Für Patienten spielt eine gutsitzende, komfortable prothetische Versorgung, ob mit festsitzendem oder herausnehmbarem Zahnersatz, eine entscheidende Rolle. In den vergangenen Jahren wurden daher weltweit immer häufi ger Implantate gesetzt, um fehlende Zähne oder komplett zahnlose Kiefer zu versorgen [4]. Dieser Trend zeigt sich laut DGI auch in Deutschland, mit etwa 1,3 Millionen gesetzten Implantaten im Jahr 2018 [8]. Für eine suffi ziente Implantatversorgung und einen guten Langzeiterfolg ist ein ausreichendes Angebot an Hart- und Weichgewebe unabdingbar [1].
Entscheidend ist der Erhalt des Knochens nach Zahnextraktion, da vor allem in den ersten sechs Monaten postoperativ bis zu 63% horizontal und 22% vertikal an Knochensubstanz verloren geht [12]. Kleine, von mehreren Knochenwänden begrenzte Defekte können mit partikulären Eigenknochen oder Knochenersatzmaterialien aufgefüllt und je nach Defektmorphologie zusätzlich mit einer Membran im Sinne der „Guided bone regeneration“ versorgt werden [4].
Die dabei eingesetzten Membranen oder Folien gewährleisten, dass der zu regenerierende Knochendefekt nicht frühzeitig von Weichgewebe aufgefüllt wird, da Osteoprogenitorzellen, die Vorläuferzellen knochenbildender Zellen, sich langsamer teilen als Weichgewebezellen. Entscheidend für die dann stattfi ndende Knochenheilung sind zahlreiche regulatorische Faktoren, wie zum Beispiel Knochenmatrixproteine und Wachstumsfaktoren. Genannte Faktoren sind unter anderem in den ?-Granula von Thrombozyten enthalten, die bei Aktivierung der Blutgerinnungskaskade freigesetzt werden und dadurch die Knochenregeneration in Gang setzen [7].
Aus diesem Grund kann zusätzlich zu einer Membran, wie im folgenden Patientenfall auch, der augmentierte Bereich mit „platelet rich fi brin“ (PRF) abgedeckt werden. PRF wird aus dem Blut des Patienten gewonnen, das präoperativ entnommen und ohne Additive zentrifugiert wird. Hierbei entsteht je nach Aufbereitungsprotokoll ein dichtes, hochvernetztes Fibrinnetz oder eine fl üssige Matrix. Während der Zentrifugation fi nden grundsätzlich zwei Prozesse statt, der extrinsische Weg der Blutgerinnung wird in Gang gesetzt und die unterschiedlichen Blutbestandteile werden aufgetrennt. Die feste Komponente, das PRF, wird anschließend komprimiert.
Eingebracht in das OP-Gebiet setzt diese autologe Membran nachweislich bis zu 7 Tage postoperativ Wachstumsfaktoren wie PDGF (platelet-derived growth factor) und VEGF (vascular endothelial growth factor), Adhäsionsmoleküle, pro- und antiinflammatorische Zytokine frei [3,10]. Zusätzlich moduliert es den reparativen Entzündungsprozess und reduziert die postoperativen Schwellungen und Schmerzen [12]. Aus diesen Gründen ermöglicht PRF bei der gesteuerten Knochenregeneration in Kombination mit Knochenersatzmaterialien die Knochenreifung oder stabilisiert das eingebrachte Eigenknochentransplantat [5].
Kasuistik 1: Ridge preservation mit einem xenogenen Knochenersatzmaterial – „deproteinized bovine bone matrix“
Ausgangssituation und Extraktion
Praxis Dr. Dr. Tröltzsch
Nach ausführlicher Aufklärung der Patientin über das operative Vorgehen und alle Versorgungsmöglichkeiten erfolgte eine präoperative antibiotische Abschirmung mit 3 g Amoxicillin. Die Extraktion erfolgte in Lokalanästhesie. Nach EKR distal an Zahn 34 erfolgte regio 35 eine krestale und an 36 und 37 eine marginale Schnittführung. Anschließend wurde ein vestibulärer Mukoperiostlappen präpariert und der Zahn unter möglichst vollständigem Erhalt des ortsständigen Knochens extrahiert. Nach sorgfältiger Kürettage der Alveole wurde der Fistelgang aus dem umliegenden Gewebe ebenfalls entfernt.
Um einer Resorption des Knochens um die Extraktionsalveole vorzubeugen, wurde die Alveole mit einem intraoperativ individualisiertem bovinen Block DBBM-C (Deproteinized bovine bone Matrix-Collagen, Geistlich BioOss-Collagen, Geistlich Biomaterials) aufgefüllt. Im Anschluss erfolgte eine Adaptionsnaht (Abb. 2). Die postoperative Phase verlief ohne Besonderheiten, sodass die Nähte nach sieben Tagen entfernt werden konnten. Beim Kontrolltermin nach acht Wochen zeigte sich die Wunde vollständig und reizlos abgeheilt (Abb. 3).
Praxis Dr. Dr. Tröltzsch
Praxis Dr. Dr. Tröltzsch
Implantation nach 6 Monaten Einheilzeit
Nach 6 Monaten Einheilzeit wurde für eine exakte Planung präoperativ ein OPG und ein DVT angefertigt und die genauen Implantatpositionen mittels Software ermittelt (Abb. 4 a-c). Klinisch und radiologisch stellte sich ein ausreichendes Knochenangebot für eine Implantation dar (Abb. 3 und 4).
Praxis Dr. Dr. Tröltzsch
Praxis Dr. Dr. Tröltzsch
Praxis Dr. Dr. Tröltzsch
Die Implantation wurde ebenfalls in Lokalanästhesie und unter antibiotischer Abschirmung durchgeführt. Die Schnittführung orientierte sich an der vorhandenen Narbe mit leichter Tendenz nach lingual. Zur besseren Übersicht erfolgte die Präparation eines vestibulären und lingualen Mukoperiostlappens, bei dem zur Mobilisation und spannungsfreien Deckung eine Periostschlitzung durchgeführt wurde. Nach Ankörnung des Knochens, an den der Planung entsprechenden Stellen regio 35 und 36, wurde das Implantatbett, dem Bohrprotokoll des Herstellers folgend, aufbereitet (Abb. 5) und zwei Implantate (Bego SCX: regio 35: 4,1 x 10 mm; regio 36: 4,1 x 10 mm) primärstabil inseriert (Abb. 6). Zur vertikalen und lateralen Nachkonturierung des umgebenden Knochens wurden perioperativ gesammelte Knochenspäne, partikuläres xenogenes Knochenersatzmaterial (Geistlich BioOss) und präoperativ gewonnenes flüssiges PRF vermischt (Abb. 7) und anmodelliert (Abb. 8).
Praxis Dr. Dr. Tröltzsch
Praxis Dr. Dr. Tröltzsch
Praxis Dr. Dr. Tröltzsch
Praxis Dr. Dr. Tröltzsch
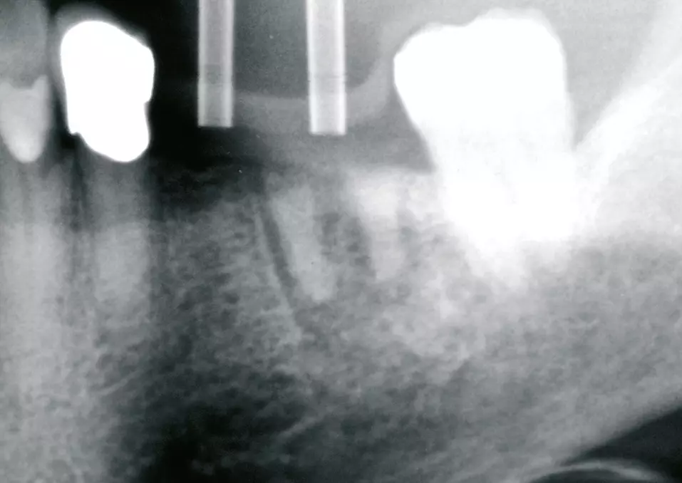
Vor dem abschließenden spannungsfreien und speicheldichten Wundverschluss (Abb. 10) erfolgte die Abdeckung der Implantate und des Knochenaufbaus mit einer Kollagen- (Geistlich Bio-Gide®, Geistlich Biomaterials) und PRF-Membran (Abb. 9). Das postoperative Röntgenbild (Abb. 11) zeigt die entsprechend der Planung gesetzten Implantate mit aufgeschraubten Heilungskappen. Zehn Tage postoperativ konnten die Fäden entfernt werden. Die Wunde zeigte sich in guter, völlig reizfreier Abheilung (Abb. 12).
Praxis Dr. Dr. Tröltzsch
Praxis Dr. Dr. Tröltzsch
Praxis Dr. Dr. Tröltzsch
Praxis Dr. Dr. Tröltzsch
Freilegung nach 3 Monaten
Nach 3 Monaten Einheilzeit wurden die Implantate freigelegt und mit Gingivaformern (jeweils 4,1 x 5 mm) versorgt. Die Abbildung 13 zeigt den Zustand zehn Tage nach Freilegungsoperation und Entfernung der Gingivaformer. Die prothetische Versorgung (Abb. 14 und 15) stellte unser praxiseigenes Labor her. Die Patientin stellt sich regelmäßig zur Kontrolle und Zahnreinigung in unserer Praxis vor. Drei Jahre nach abschließender prothetischer Versorgung zeigen sich die Implantate klinisch und radiologisch gut osseointegriert (Abb. 16).
Praxis Dr. Dr. Tröltzsch
Praxis Dr. Dr. Tröltzsch
Praxis Dr. Dr. Tröltzsch
Praxis Dr. Dr. Tröltzsch
Ausgedehnte Knochendefekte bedürfen komplexerer Maßnahmen als den einfachen Einsatz von partikulären Materialien. Die Regeneration von dreidimensionalen horizontalen und vertikalen Knochendefekten gilt daher als eine der anspruchsvollsten operativen Indikationen [6]. In der aktuellen Literatur gilt daher das autologe Eigenknochentransplantat noch als „Goldstandard“ [13]. Um ein ausreichendes Knochenvolumen, eventuell auch als Knochenblock, zu generieren, ist allerdings ein weiteres OP-Gebiet mit zusätzlichen Schmerzen und einer erhöhten Patientenmorbidität notwendig [9]. Um diesen Nachteil zu umgehen, wird seit den 1990er Jahren an Titangittern zur Versorgung größerer knöcherner Defekte im Sinne einer umfangreicheren guided bone regeneration (GBR) geforscht [2].
Die „guided surgery“ ist aktuell in aller Munde, ob in der Endodontie, der Implantologie oder eben der augmentativen Chirurgie. Erweitert und verbessert wird diese Methode mit der modernen 3D-Bildgebung, wie einem CT oder DVT, die eine umfangreiche präoperative Planung und damit ein individualisiertes, exakt auf den Patienten zugeschnittenes operatives Vorgehen ermöglicht. Zusätzlich können mögliche Komplikationen vermieden oder gegebene anatomische Verhältnisse bestmöglich genutzt werden. Durch den generierten 3D-Datensatz kann mittels DICOM-Daten und entsprechender Software ein individualisiertes CAD/CAM gefertigtes Titangitter geplant und hergestellt werden. Die Titangitter sind exakt auf den Patienten individualisiert und berücksichtigen alle an den Defekt angrenzenden anatomischen Strukturen. So wird eine zeitaufwendige intraoperative Anpassung des Gitters vermieden [11].
Kasuistik 2: Vertikale und horizontale Kieferkammaugmentation mit einem individuellen, digital geplanten 3D-Titangitter
Ausgangsituation und Planung
Der zweite Patientenfall beschäftigt sich mit einer Patientin Anfang 60, die sich mit einer verkürzten Zahnreihe bis zum Zahn 34 und dem Wunsch der Versorgung des III. Quadranten zu uns in die Praxis kam (Abb. 17a). Allgemeinanamnestisch besteht ein Diabetes mellitus, Sarkoidose und eine Primärprophylaxe mit ASS 100 mg. Die Zähne im III. Quadranten sind schon vor mehreren Jahren verloren gegangen, was die starke vertikale und horizontale Atrophie des Kieferkamms erklärt (Abb. 17b). Nach ausführlicher Aufklärung über alle Behandlungsmöglichkeiten und entstehende Kosten, entschied sich die Patientin für eine festsitzende Implantatversorgung mit drei Implantaten zum Ersatz der Zähne 45-47. Bei der Planung der Implantate zeigte sich das stark ausgeprägte horizontale und vertikale Knochendefizit, was den Knochenaufbau mit einem individuell geplanten Titangitter (Yxoss, ReOss) notwendig machte. Mittels DVT-Daten und entsprechender Planungssoftware wurde das 3D-Gitter individuell, entsprechend der anatomischen Verhältnisse und des benötigten Knochenvolumens, geplant und angefertigt (Abb. 17 c-e).
Praxis Dr. Dr. Tröltzsch
Praxis Dr. Dr. Tröltzsch
Praxis Dr. Dr. Tröltzsch
Praxis Dr. Dr. Tröltzsch
Praxis Dr. Dr. Tröltzsch
Knochenaufbau mit individuell geplantem 3D-Gitter
Zuerst wurde die Augmentation des benötigten Knochenvolumens durchgeführt. Nach entsprechender Vorbereitung der Patientin und Lokalanästhesie erfolgte eine marginale und krestale, leicht linguale Schnittführung mit distaler Entlastung am aufsteigenden Ast. Anschließend wurde ein vestibulärer und lingualer Mukoperiostlappen präpariert und eine Periostschlitzung für eine ausreichende Mobilisation des Lappens durchgeführt. Danach erfolgte die Einprobe und das Einpassen des individualisierten Gitters (Abb. 18) mit Konditionieren der knöchernen Oberfläche und dem Vorbohren der Schraubenkanäle zur Gitterfixierung (Abb. 19). Das Konditionieren der Oberfläche erfolgte mit einem Safescraper, der es ermöglicht, autogenen Knochen aus dem Augmentationsgebiet zu gewinnen (Abb. 20a). Beladen wird das individuelle Gitter dann mit „sticky bone“, einer Mischung aus den gewonnenen autogenen Knochenchips, vor der Operation abgenommenem und aufbereitetem „platelet rich fibrin“ (PRF) und einem xenogenen Knochenersatzmaterial, „deproteinized bovine bone matrix“ (DBBM Geistlich BioOss) (Abb. 20b-e).
Praxis Dr. Dr. Tröltzsch
Praxis Dr. Dr. Tröltzsch
Praxis Dr. Dr. Tröltzsch
Praxis Dr. Dr. Tröltzsch
Praxis Dr. Dr. Tröltzsch
Praxis Dr. Dr. Tröltzsch
Praxis Dr. Dr. Tröltzsch
Abschließend wurde das beladene Gitter implantiert, mit einer individuell zugeschnittenen Kollagenmembran (Geistlich Bio-Gide) und mehreren PRF Matrizes abgedeckt und mit einer mehrschichtigen spannungsfreien Naht verschlossen (Abb. 21-24a). Abbildung 25b zeigt das postoperative Röntgenbild nach Gitterimplantation. Zum Schutz des Aufbaus wurde eine Verbandplatte eingesetzt (Abb. 25 a und b) und die Patientin ausführlich über das postoperative Verhalten aufgeklärt. Acht Tage postoperativ zeigte sich die Wunde in regelrechter, zeitlich entsprechender Heilung, woraufhin eine Teilnahtentfernung mit Belassen der tiefen Stabilisierungsnähte erfolgte (Abb. 26).
Praxis Dr. Dr. Tröltzsch
Praxis Dr. Dr. Tröltzsch
Praxis Dr. Dr. Tröltzsch
Praxis Dr. Dr. Tröltzsch
Praxis Dr. Dr. Tröltzsch
Praxis Dr. Dr. Tröltzsch
Praxis Dr. Dr. Tröltzsch
Praxis Dr. Dr. Tröltzsch
Gitterentfernung und Implantation
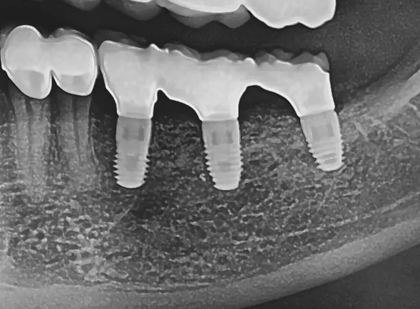
Nach 6 Monaten Einheilzeit wurde die Gitterentfernung mit gleichzeitiger Implantation durchgeführt. Nach Vorbereiten der Patientin und entsprechender Lokalanästhesie wurde eine marginale, entlang an Zahn 34 und der vorhandenen Narbe krestale leicht linguale Schnittführung gewählt. Zur Darstellung des Gitters wurde ein vestibulärer und lingualer Mukoperiostlappen präpariert. Das Gitter zeigte sich regelrecht eingeheilt und zum Teil sogar knöchern bedeckt (Abb. 28). Zur Entfernung des Gitters wurde dieses an der mittleren Sollbruchstelle aufgebrochen und der linguale und vestibuläre Anteil getrennt entfernt (Abb. 29a und b). Anschließend wurde das Implantatlager vorgebohrt und entsprechend dem Bohrprotokoll des Herstellers aufbereitet (Abb. 30). Der Planung folgend wurden dann drei Implantate (Bego SC) regio 35 mit 4,1 x 8,5 mm, regio 36 mit 4,5 x 8,5 mm und regio 37 mit 4,5 x 7mm gesetzt (Abb. 31). Für eine Nachkorrektur der Knochenkontur um die gesetzten Implantate wurde nochmals DBBM eingebracht, mit einer Kollagenmembran (Geistlich Bio-Gide) und PRF abgedeckt und mit einer spannungsfreien Naht verschlossen (Abb. 32 und 33). Das postoperative Röntgenbild zeigt die drei gesetzten Implantate (BEGO SC) an den jeweils vorher digital geplanten Implantatpositionen (Abb. 34).
Praxis Dr. Dr. Tröltzsch
Praxis Dr. Dr. Tröltzsch
Praxis Dr. Dr. Tröltzsch
Praxis Dr. Dr. Tröltzsch
Praxis Dr. Dr. Tröltzsch
Praxis Dr. Dr. Tröltzsch
Praxis Dr. Dr. Tröltzsch
Praxis Dr. Dr. Tröltzsch
Praxis Dr. Dr. Tröltzsch
Praxis Dr. Dr. Tröltzsch
Freilegung und prothetische Versorgung
Die Freilegungsoperation fand nach etwa vier Monaten Einheilzeit statt. Die Implantate zeigten sich regelrecht eingeheilt und gedeckt von einer vitalen Knochenschicht (Abb. 35 und 36). Zur Ausformung der Gingiva wurden die Implantate regio 35 mit einem 4,1 x 3 mm und regio 36 und 37 mit einem 4,5 x 5 mm Gingivaformer versorgt. Zur Gerüsteinprobe (Dentalwerk Nürnberg) drei Wochen nach Eingliederung (Abb. 38) zeigen sich gesunde, reizfreie Schleimhautverhältnisse mit einer ausreichenden Schleimhautdicke (Abb. 37). Abschließend werden die Implantate prothetisch mit einem vollkeramischen Kronenblock (Dentalwerk Nürnberg) drei Wochen nach Freilegung versorgt (Abb. 39a und b). Nach Eingliederung der Prothetik wurde ein abschließendes Kontrollröntgen (Abb. 40) angefertigt, das suffizient eingeheilte Implantate mit mehr als ausreichendem Knochenangebot zeigt.
Praxis Dr. Dr. Tröltzsch
Praxis Dr. Dr. Tröltzsch
Praxis Dr. Dr. Tröltzsch
Praxis Dr. Dr. Tröltzsch
Praxis Dr. Dr. Tröltzsch
Praxis Dr. Dr. Tröltzsch
Praxis Dr. Dr. Tröltzsch
Fazit
Ein ausreichendes Knochenangebot ist die Grundvoraussetzung für eine suffiziente Implantatversorgung [1]. Gerade bei ausgedehnten horizontalen und/oder vertikalen Knochendefiziten reichen partikuläre Materialien meist nicht aus, um ausreichend neues Knochenvolumen zu generieren. Um eine Eigenknochentransplantation zu umgehen und damit auch alle Nachteile der „donor site morbidity“, stellen digital geplante, individuelle 3D-Titangitter eine echte Alternative dar. Durch die moderne digitale Volumentomographie und entsprechende Software ist es möglich, ein patientenindividuelles 3D-Gitter zu planen und herzustellen, das exakt an anatomische Gegebenheiten und benötigtes Knochenvolumen angepasst ist [2].
Dies erspart eine aufwendige intraoperative Anpassung vorgefertigter Gitter und dem Patienten ein weiteres OP-Gebiet. Wie die beiden Fälle aus unserer Praxis zeigen, ist eine Augmentation sowohl im kleineren als auch im größeren Umfang, auch bei sogenannten „Risikopatienten“, möglich. Eine gute präoperative Planung und ausführliche Aufklärung der Patienten natürlich vorausgesetzt.
Näheres zu den Autoren des Fachbeitrages: Dr. Dr. Markus TröltzschBildquellen sofern nicht anders deklariert: Unternehmen, Quelle oder Autor/-in des Artikels
Entdecke CME Artikel






Keine Kommentare.