Das Angebot im Bereich der direkten plastischen Kompositmaterialien hat sich in den letzten Jahren stark erweitert [1–3]. Aufgrund der enorm gestiegenen ästhetischen Ansprüche der Patienten wurde neben den klassischen Universalkompositen eine große Anzahl sogenannter „Ästhetikkomposite“ auf den Markt gebracht. Teilweise umfassen diese Kompositsysteme über 30 verschiedene Kompositmassen in unterschiedlicher Farbabstufung und Lichtdurchlässigkeit. Dadurch lassen sich hochästhetische direkte Restaurationen erzielen, die von der Zahnhartsubstanz praktisch nicht mehr zu unterscheiden sind und im Einzelfall sogar mit der Ästhetik von vollkeramischen Restaurationen konkurrieren [5,6]. Eine entsprechende Erfahrung im Umgang mit diesen Materialien, die vor allem im Frontzahnbereich eingesetzt werden, ist deshalb unerlässlich [4,7]. Ein Trend der letzten Jahre besteht darin, die Anwendung der Komposite im Seitenzahnbereich zu vereinfachen und gleichzeitig sicherer zu machen [8–14]. Üblicherweise werden lichthärtende Komposite aufgrund ihrer Polymerisationseigenschaften und der limitierten Durchhärtungstiefe in einer Schichttechnik mit Einzelinkrementen von max. 2 mm Dicke verarbeitet. Die einzelnen Inkremente werden jeweils separat mit Belichtungszeiten von 10 bis 40 Sek. polymerisiert, je nach Lichtintensität der Lampe, der Farbe bzw. dem Transluzenzgrad der entsprechenden Kompositpaste und der Art und Konzentration des in der Kompositpaste enthaltenen Photoinitiators [15]. Dickere Kompositschichten führten mit den bis vor Kurzem verfügbaren Materialien zu einer ungenügenden Polymerisation des Kompositwerkstoffs und somit zu schlechteren mechanischen und biologischen Eigenschaften [16–18]. Mit der Schichttechnik lässt sich zudem durch eine günstige Ausformung der Einzelinkremente in der Kavität ein niedrigerer C-Faktor (Configuration Factor = Verhältnis der gebondeten zu freien Kompositoberflächen) realisieren. Somit können durch möglichst viele frei schrumpfende Kompositoberflächen auch der materialimmanente polymerisationsbedingte Schrumpfungsstress und dessen negative Auswirkungen auf die Restauration – wie Ablösung des Komposits von den Kavitätenwänden, Randspaltbildung, Randverfärbungen, Sekundärkaries, Schmelzfrakturen, Höckerdeflexionen, Rissbildung in den Zahnhöckern und Hypersensibilitäten – minimiert werden [16,19]. Vor allem bei großvolumigen Seitenzahnkavitäten kann das Einbringen des Komposits in 2 mm dicken Schichten ein sehr zeitintensives und techniksensitives Vorgehen sein [20]. Deshalb besteht bei vielen Zahnärzten der Wunsch nach einer Alternative zu dieser komplexen Mehrschichttechnik, um Komposite zeitsparender und somit wirtschaftlicher und gleichzeitig einfacher und mit größerer Anwendungssicherheit verarbeiten zu können [11,14,21,22]. Hierfür wurden in den letzten Jahren die Bulk-Fill-Komposite entwickelt, die bei entsprechend hoher Lichtintensität der Polymerisationslampe in einer vereinfachten Applikationstechnik in Schichten von 4 bis 5 mm Dicke, mit kurzen Inkrementhärtungszeiten von 10 bis 20 Sek, schneller in der Kavität platziert werden können [11,15,23–26].
Varianten und Anwendungstechniken der Bulk-Fill-Komposite
Die Bulk-Fill-Komposite werden in zwei Varianten angeboten, die eine unterschiedliche Anwendungstechnik erfordern:
- Niedrigvisköse, fließfähige Bulk-Fill-Komposite, die an der Oberfläche von einer zusätzlichen Deckschicht (2 mm Dicke) aus einem seitenzahntauglichen, herkömmlichen Hybridkomposit geschützt werden müssen [20,27,28], da ihr reduzierter Füllkörperanteil und die vergleichsweise großen Füllkörper für einen geringen Polymerisationsstress optimiert sind. Dies resultiert allerdings im Vergleich zu traditionellen Hybridkompositen in schlechteren mechanischen und ästhetischen Eigenschaften, wie einem geringeren E-Modul, einer höheren Abrasionsanfälligkeit, einer größeren Oberflächenrauigkeit sowie einer schlechteren Polierbarkeit [15,29–33]. Darüber hinaus dient die Deckschicht zur Ausgestaltung einer funktionellen okklusalen Konturierung, die mit einer fließfähigen Konsistenz kaum oder nur sehr schwierig zu gestalten wäre.
- Normal- bis hochvisköse, standfeste, modellierbare Bulk-Fill-Komposite, die bis an die okklusale Oberfläche reichen können und keine schützende Deckschicht und somit kein zusätzliches Kompositmaterial benötigen.
Bulk-Fill-Komposite in beiden Viskositätsvarianten erlauben aufgrund limitierter Durchhärtungstiefen Schichtstärken von max. 4 mm. Dies bedeutet, dass lediglich die hochviskösen Vertreter in einer Kavitätentiefe, die maximal der Durchhärtungstiefe des Materials entspricht, als wahre Bulk-Fill-Materialen angesehen werden können. Liegen tiefere Defekte vor oder werden die fließfähigen Varianten eingesetzt, so erfordert dies immer eine zusätzliche Schicht.
„Bulk-Fill“ bedeutet im eigentlichen Sinn, dass man eine Kavität ohne Schichttechnik in einem einzigen Schritt lege artis füllen kann [29]. Dies ist derzeit mit plastischen Zahnfüllungsmaterialien lediglich mit Zementen (insbesondere Glasionomerzemente) möglich, die aufgrund ungenügender mechanischer Eigenschaften eine klinisch langfristig stabile Füllung im kaulasttragenden Seitenzahnbereich des bleibenden Gebisses speziell in Klasse-IIKavitäten nicht erlauben und daher lediglich als Interimsversorgungen/ Langzeitprovisorien geeignet sind [34–39], sowie mit chemisch aktivierten oder dualhärtenden Stumpfaufbaukompositen, die allerdings weder als Füllungsmaterial freigegeben sind noch vom Handling (z.B. Kauflächengestaltung) für eine solche Indikation geeignet erscheinen. Selbst Amalgam muss portionsweise in die Kavität eingebracht und kondensiert werden. Die Bulk-Fill-Komposite, die derzeit für die vereinfachte Füllungstechnik im Seitenzahnbereich angeboten werden, sind bei genauem Hinsehen eigentlich keine echten „Bulk“-Werkstoffe, weil speziell die approximalen Extensionen der klinischen Kavitäten meist tiefer sind als die maximale Durchhärtungstiefe dieser Materialien von 4 bis 5 mm [40,41]. Allerdings können mit einer geeigneten Materialwahl bis zu 8 mm tiefe Kavitäten – und dies umfasst die überwiegende Anzahl der im klinischen Alltag vorkommenden Defektdimensionen – in 2 Inkrementen gefüllt werden. Bei Verwendung eines fließfähigen Vertreters der Bulk-Fill- Komposite für die erste 4-mm-Schicht kann ein umständliches und fehleranfälliges Stopfen und Adaptieren des Materials an den Kavitätenboden und die Innenwinkel/-ecken (v.a. bei tiefen, schmalen Kästen) vermieden werden, da das niedrigvisköse Material von selbst perfekt an diese Geometrien anfließt.
Admira Fusion Ormocer-Familie: Füllungsmaterialien ohne Zusatz konventioneller Monomere
Die meisten Komposite enthalten auf der klassischen Methacrylatchemie basierende organische Monomermatrizes [42]. Alternative Ansätze hierzu existieren in der Silorantechnologie [43–48] und der Ormocerchemie [49–56]. Bei den Ormoceren („organically modified ceramics“) handelt es sich um organisch modifizierte, nichtmetallische anorganische Verbundwerkstoffe [49–57]. Ormocere können zwischen anorganische und organische Polymere eingeordnet werden und besitzen sowohl ein anorganisches als auch ein organisches Netzwerk [54,58–60]. Diese Materialgruppe wurde vom Fraunhofer-Institut für Silikatforschung, Würzburg, entwickelt und in Zusammenarbeit mit Partnern in der Dentalindustrie im Jahre 1998 erstmals als zahnärztliches Füllungsmaterial vermarktet [51,52]. Seither hat für diesen Anwendungsbereich eine deutliche Weiterentwicklung der ormocerbasierten Füllungsmaterialien stattgefunden. Bei den bisherigen zahnmedizinischen Ormoceren wurden zur besseren Verarbeitbarkeit und zur Einstellung der Viskosität der Matrix noch weitere Methacrylate zur reinen Ormocerchemie hinzugefügt (neben Initiatoren, Stabilisatoren, Pigmenten und anorganischen Füllkörpern) [61]. Deshalb ist es besser, hier von ormocerbasierten Kompositen zu sprechen.
Das Bulk-Fill-Ormocer-Füllungsmaterial Admira Fusion x-base (VOCO GmbH, Cuxhaven) enthält neben den Ormoceren in der Matrix keine konventionellen Monomere mehr. Es verfügt über eine nanohybride Füllertechnologie mit einem anorganischen Füllkörperanteil von 72 Gew.-% und ist in einer Universalfarbe verfügbar. Admira Fusion x-base kann in Schichten von max. 4 mm appliziert und je Inkrement in 20 Sek. gehärtet werden (Intensität Polymerisationslampe > 800 mW/cm²). Admira Fusion x-base verfügt durch seine guten Benetzungseigenschaften über ein hervorragendes Anfließverhalten – auch in engsten Kavitätenbereichen. Es muss okklusal mit einer mindestens 2 mm dicken Schicht eines seitenzahntauglichen Komposits bzw. Ormocers überschichtet werden. Das hochvisköse, modellierbare Ormocer- Füllungsmaterial Admira Fusion (VOCO) enthält ebenfalls keine konventionellen Monomere in der Matrix. Es verfügt über eine nanohybride Füllertechnologie mit einem anorganischen Füllkörperanteil von 84 Gew.-%. Das Material weist eine Polymerisationsschrumpfung von 1,25 Vol.-% bei gleichzeitig niedrigem Schrumpfungsstress (3,87 MPa) auf. Admira Fusion ist in einer breiten Palette an Farben in drei Transluzenz- bzw. Opazitätsstufen (10 universelle Vita-Farben, 4 opake Dentinfarben, 4 Spezialfarben) verfügbar und kann je nach Bedarf sowohl in der simplifizierten Einfarbtechnik, z.B. im Seitenzahnbereich, als auch in einer polychromatischen Mehrschichttechnik in ästhetisch anspruchsvollen Situationen eingesetzt werden. Aufgrund ihrer Materialzusammensetzung verfügt die komplette Admira Fusion Ormocer-Familie über eine hohe Biokompatibilität und Farbstabilität.
Klinischer Fall

Zu Beginn der Behandlung wurde der betreffende Zahn mit fluoridfreier Prophylaxepaste und einem Gummikelch gründlich von externen Auflagerungen gesäubert. Anschließend wurde die passende Farbe für Admira Fusion am noch feuchten Zahn mit den systemzugehörigen Farbwahlmustern ermittelt. Der bereits okklusal kavitierte Defekt wurde mit einem rotierenden Diamantinstrument dem Verlauf der Karies folgend erweitert; dabei musste auch der mesiale Approximalraum eröffnet werden (Abb. 2). Nach dem vollständigen Exkavieren wurde die Präparation mit Feinkorndiamanten finiert (Abb. 3) und anschließend das Behandlungsareal durch das Anlegen von Kofferdam isoliert (Abb. 4). Der Spanngummi grenzt das Operationsfeld gegen die Mundhöhle ab, erleichtert ein effektives und sauberes Arbeiten und garantiert die Reinhaltung des Arbeitsgebietes von kontaminierenden Substanzen wie Blut, Sulkusfluid und Speichel. Eine Kontamination von Schmelz und Dentin würde in einer deutlichen Verschlechterung der Adhäsion des Füllungsmaterials an den Zahnhartsubstanzen resultieren und eine langfristig erfolgreiche Versorgung mit optimaler marginaler Integrität gefährden. Zudem schützt der Kofferdam den Patienten vor irritierenden Substanzen wie z.B. dem Adhäsivsystem. Kofferdam ist somit ein wesentliches Mittel zur Arbeitserleichterung und Qualitätssicherung in der Adhäsivtechnik. Der geringe Aufwand, der zum Legen des Kofferdams investiert werden muss, wird durch die Vermeidung von Watterollenwechsel und des Verlangens des Patienten zum Ausspülen zusätzlich kompensiert.



Im Anschluss wurde die Kavität mit einer Teilmatrize aus Metall abgegrenzt, die mithilfe eines Kunststoffkeils an der zervikalen Stufe abgedichtet wurde (Abb. 5). Der Spannring des Matrizensystems adaptiert das Matrizenband an den vertikalen Flanken der approximalen Extension der Kavität, sorgt für eine ausreichende Separation des Zahnes vom mesialen Nachbarzahn und gewährleistet somit einen straffen Approximalkontakt der neuen Füllung. Für die adhäsive Vorbehandlung der Zahnhartsubstanzen wurde das Universaladhäsiv Futurabond M+ (VOCO) ausgewählt. Bei Futurabond M+ handelt es sich um ein modernes Einflaschen- Universaladhäsiv, das mit allen gebräuchlichen Konditionierungstechniken und sämtlichen derzeit angewendeten Adhäsivstrategien kompatibel ist („Multi-mode“-Adhäsiv): der phosphorsäurefreien Self-Etch-Technik und beiden phosphorsäurebasierten Etchand- Rinse-Konditionierungstechniken (selektive Schmelzätzung bzw. komplette Total-Etch-Vorbehandlung von Schmelz und Dentin mit Phosphorsäure). Auch bei diesen Universaladhäsiven resultiert die vorangehende Phosphorsäurekonditionierung des Zahnschmelzes (selektive Schmelzätzung) in einer besseren Haftvermittlung [62–64]. Im Gegensatz zu den klassischen Self-Etch- Adhäsiven verhalten sich die neuen Universaladhäsive unempfindlich gegenüber einer Phosphorsäureätzung des Dentins [65–69]. Die Möglichkeit, bei Verwendung dieser Universaladhäsive das Applikationsprotokoll in Abhängigkeit von intraoralen Notwendigkeiten ohne Wechsel des Haftvermittlers jederzeit kurzfristig variieren zu können, reduziert die Techniksensitivität und gibt dem Behandler die nötige Freiheit, auf unterschiedliche klinische Situationen (z.B. pulpanahes Dentin, Blutungsgefahr der angrenzenden Gingiva etc.) flexibel reagieren zu können.
Im vorliegenden Fall wurde eine selektive Schmelzätzung eingesetzt. Hierzu wurde 35%ige Phosphorsäure (Vococid, VOCO) zirkulär entlang der Schmelzränder aufgetragen und wirkte dort für 30 Sek. ein (Abb. 6). Danach wurden die Säure und die damit aus der Zahnhartsubstanz herausgelösten Bestandteile gründlich mit dem Druckluft-Wasser-Spray für 20 Sek. abgesprüht (Abb. 7) und anschließend überschüssiges Wasser vorsichtig mit Druckluft aus der Kavität verblasen (Abb. 8). Danach wurde eine reichliche Menge des Universalhaftvermittlers Futurabond M+ auf Schmelz und Dentin mit einem Microbrush aufgetragen (Abb. 9). Das Adhäsiv wurde für 20 Sek. mit dem Applikator sorgfältig in die Zahnhartsubstanzen einmassiert. Nachfolgend wurde das Lösungsmittel mit trockener, ölfreier Druckluft vorsichtig verblasen (Abb. 10) und danach der Haftvermittler mit einer Polymerisationslampe für 10 Sek. ausgehärtet (Abb. 11). Es resultierte eine glänzende und überall gleichmäßig von Adhäsiv benetzte Kavitätenoberfläche (Abb. 12). Dies sollte sorgfältig kontrolliert werden, da matt erscheinende Kavitätenareale ein Indiz dafür sind, dass nicht ausreichend Adhäsiv auf diese Stellen aufgetragen wurde. Im schlimmsten Fall könnte sich dies in einer verminderten Haftung der Füllung an diesen Arealen mit gleichzeitig beeinträchtigter Dentinversiegelung auswirken und eventuell auch mit postoperativen Hypersensibilitäten einhergehen. Werden bei der visuellen Kontrolle derartige Areale gefunden, so wird dort selektiv nochmals Haftvermittler aufgetragen.






Im nächsten Schritt wurde zuerst die mesiale Approximalwand komplett bis zur Randleistenhöhe mit dem modellierbaren Ormocer Admira Fusion aufgebaut und für 20 Sek. lichtpolymerisiert. Dann wurde ein effektiver Volumenersatz der verloren gegangenen Dentinanteile vorgenommen, indem eine 4 mm dicke Restaurationsschicht mit dem fließfähigen Bulk-Fill-Ormocer Admira Fusion x-base in die Kavität eingespritzt wurde (Abb. 13). Zur Vermeidung des Einschlusses von Luftblasen wird hierbei in der tiefsten Stelle des Defekts begonnen; die dünne Metallkanüle der Spritze sollte dabei ständig im herausfließenden Material eingetaucht sein. Innerhalb weniger Sek. kommt es durch die Fließfähigkeit des Materials zu einer Selbstnivellierung der Füllungsschicht. Die gute Benetzungsfähigkeit von Admira Fusion x-base resultiert in exzellenten Anfließeigenschaften des Materials an die Zahnhartsubstanzen; schlecht einsehbare oder schwierig zugängliche Kavitätenbereiche, wie z.B. spitze Innenkanten bzw. -winkel der Kavität und dünn auslaufende approximale Schmelzanschrägungen, werden blasenfrei mit dem niedrigviskösen Füllungsmaterial abgedeckt bzw. ausgefüllt. Das flowable Füllungsmaterial wurde für 20 Sek. mit einer Polymerisationslampe (Lichtintensität > 800 mW/cm²) ausgehärtet (Abb. 14).

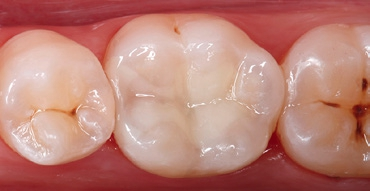
Mit dem modellierbaren Ormocer Admira Fusion wurde das fließfähige Bulk-Fill-Ormocer okklusal abgedeckt, das Restvolumen der Kavität komplett gefüllt und die Anatomie der Kaufläche in Zahnfarbe aufgebaut (Abb. 15). Nach der Lichthärtung aus okklusaler Richtung wurde das Restaurationsmaterial nach Abnahme der Matrize jeweils noch einmal für 20 Sek. von mesio-lingual und mesio-bukkal nachgehärtet, um sicherzustellen, dass sämtliche Areale im approximal-zervikalen Kastenbereich ausreichend polymerisiert wurden.

Nachfolgend wurde die Füllung sorgfältig mit rotierenden Instrumenten (okklusal) und abrasiven Scheibchen (approximal) ausgearbeitet und die statische und dynamische Okklusion adjustiert. Danach wurde mit diamantimprägnierten Silikonpolierern (Dimanto, VOCO) eine glatte und glänzende Oberfläche der Restauration erzielt (Abb. 16). Zum Abschluss wurde mit einem Schaumstoffpellet Fluoridlack (Bifluorid 12, VOCO) auf die Zähne appliziert.
Fazit
Die Bedeutung direkter Füllungsmaterialien auf Kompositbasis wird weiter zunehmen. Es handelt sich hierbei um wissenschaftlich abgesicherte und durch die Literatur in ihrer Verlässlichkeit dokumentierte, hochwertige permanente Versorgungen für den kaubelasteten Seitenzahnbereich [70–77]. Gemäß der neuen S1-Leitlinie der DGZ und der DGZMK zu Kompositrestaurationen im Seitenzahnbereich aus dem Jahr 2016 (AWMF-Registernummer: 083–028) können diese Restaurationen nach der aktuellen Datenlage erfolgreich zur Versorgung von Klasse-I- und -II-Kavitäten im Seitenzahnbereich eingesetzt werden [20].
Die Ergebnisse einer umfangreichen Übersichtsarbeit haben gezeigt, dass die jährliche Verlustquote von Kompositfüllungen im Seitenzahnbereich (2,2%) statistisch keinen Unterschied zu der von Amalgamfüllungen (3,0%) aufweist [72]. Minimalinvasive Behandlungsprotokolle in Verbindung mit der Möglichkeit, kariöse Läsionen immer früher zu entdecken, wirken sich zusätzlich positiv auf die Überlebensraten solcher Versorgungen aus. Allerdings sind zur Sicherstellung einer qualitativ hochwertigen direkten Kompositrestauration folgende Grundvoraussetzungen notwendig: eine sorgfältige Matrizentechnik (bei approximaler Beteiligung), ein wirksames und gemäß Vorgaben appliziertes Dentinadhäsiv, die korrekte Verarbeitung des Füllungswerkstoffs und die Erzielung eines ausreichenden Polymerisationsgrades des Komposits.
Der Autor bietet Fortbildungen und praktische Arbeitskurse im Bereich der ästhetisch-restaurativen Zahnmedizin (Komposit, Vollkeramik, Veneers, adhäsive Wurzelstifte, ästhetische Behandlungsplanung) an.
Bildquellen sofern nicht anders deklariert: Unternehmen, Quelle oder Autor/-in des Artikels

 Entdecke CME Artikel
			Entdecke CME Artikel		 
			





Keine Kommentare.