- Kronen und Brücken aus Zirkoniumoxid
- Restaurationen auf Implantat-Abutments
- Wurzelstiften, z. B. FRC Postec Plus
Anwenderfreundliche Verarbeitung und effizienter Prozess
Ivoclar Vivadent
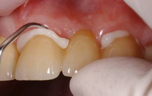
Eines der Hauptmerkmale von SpeedCEM Plus ist die hervorragende Überschussentfernung. Dank Lichthärtungs-Option können Überschüsse nach kurzem Anhärten in großen Teilstücken leicht mit einem Scaler entfernt werden.
Die Pluspunkte:
- Effizienter Prozess: kein Adhäsiv oder Primer für Zirkonoxid nötig
- Ideal für Zirkonoxid durch hohe Haftwerte bei Selbsthärtung
- Anwenderfreundliche Verarbeitung durch leichte Überschussentfernung
Praxistipp: Richtig reinigen nach der Einprobe
Ivoclar Vivadent
Reinigen Sie deshalb Ihre Restauration nach der Einprobe mit Ivoclean. Diese einzigartige universelle Reinigungspaste entfernt gründlich alle Speichelrückstände.
Lernen Sie jetzt SpeedCEM Plus kennen. Fordern Sie hier Ihre kostenlose Testpackung an.
In der Testpackung SpeedCEM Plus ist die Reinigungspaste Ivoclean mit enthalten.
Bildquellen sofern nicht anders deklariert: Unternehmen, Quelle oder Autor/-in des Artikels
Entdecke CME Artikel






Keine Kommentare.