Ein konventionelles zweizeitiges Vorgehen führt nach Extraktion eines Zahnes zu einer krestalen Knochenresorption. Ein durchschnittlicher horizontaler Knochenverlust von 29 bis 63% und ein vertikaler Abbau von 11 bis 22% sind bereits in den ersten sechs Monaten nach Extraktion nachweislich beobachtbar, wobei der Verlust in der Breite tendenziell größer ist als in der Höhe. Dieser Umstand führt häufig zur Notwendigkeit von umfangreichen Knochenaugmentationen bei Spätimplantationen.
Die Socket bzw. Ridge Preservation, d. h. die Auffüllung des leeren Zahnfachs mit einem Knochenaufbaumaterial im Sinne der geführten Knochenregeneration (Guided Bone Regeneration, GBR), ist ein bewährtes Verfahren für den Erhalt der Dimensionen des Kieferkamms.
Bei dem im Fallbeispiel verwendeten Material handelt es sich um ein reines Beta-Tricalciumphosphat (ß-TCP; DentOss®, Demedi-Dent), das innerhalb von vier bis sechs Monaten zu einem vitalen implantierbaren Knochen umgewandelt wird. Es besitzt eine hochvernetzte Porosität, welche die dreidimensionale Regeneration des Knochens steuert und die vollständige Penetration mit mesenchymalen Stammzellen und Osteoprogenitorzellen ermöglicht.
Diese Eigenschaft ermöglicht ein vereinfachtes und schonendes Operationsprotokoll ohne Lappenpräparation mit offener Wundheilung – bei großen Defekten reicht eine Papillen-Adaptationsnaht völlig aus. Durch die exponierte Einheilung stellen sich keine Infektionen, keine vorzeitige Resorption und/ oder das Einwachsen von Weichgewebe ein.
Falldarstellung
Die 43-jährige Patientin stellte sich mit einem schmerzenden, perkussionsempfindlichen Zahn 14 vor, der vor ca. 15 Jahren endodontisch behandelt wurde. Die Patientin nimmt seit Jahren Medikamente ein, die die Blutgerinnung beeinflussen. Sie hat eine gute Mundhygiene und ist Nichtraucherin.
Nach Aufklärung über die möglichen Therapien (Revision, WSR) entschied sich die Patientin für eine Extraktion und Implantatversorgung mit einem Keramikimplantat. Die Nachbarzähne 15, 16 waren bereits durch Implantate ersetzt und eine Brücke kam für sie nicht in Frage.
Weiterhin wurde die Patientin über das Knochenaufbaumaterial informiert. Nach dem § 630e BGB ist der Behandelnde verpflichtet, den Patienten über sämtliche für die Einwilligung wesentlichen Umstände aufzuklären.
Die Patientin wünschte die bestmögliche und damit eine festsitzende Versorgung und entschied sich daher für die Implantatversorgung mit Zirkonrestauration auf Keramikimplantat.
Diagnostik
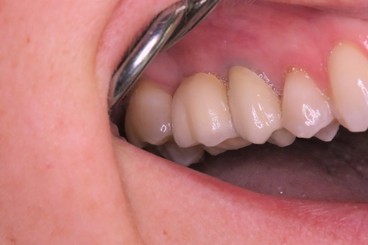
Nach der ersten klinischen Befundaufnahme und Fotodokumentation der Ausgangssituation (Abb. 1) wurde zur Ergänzung des klinischen Befundes eine Einzelzahnaufnahme erstellt (Abb. 2). Vom Oberkiefer wurde eine Abformung genommen, um eine Tiefziehschiene herzustellen. Diese wird direkt am OP-Tag genutzt, um eine provisorische Krone herzustellen.
da Silva
da Silva
Planung
Der Zahn 14 sollte, wenn möglich atraumatisch, extrahiert werden, um eine Sofortimplantation mit Augmentation mit DentOss ß-TCP (fein 0,1-0,5 mm) zu ermöglichen.
Verwendetes Material
Aufgrund des entstandenen großen Defektes und Traumas wurde 1 g DentOss ß-TCP (grob 0,5-1,0 mm Körnung) verwendet. Das Implantat (SDS Keramikimplantat) wurde verzögert eingesetzt.
Präimplantologische Maßnahmen
Die Patientin wurde antibiotisch mit Clindamycin (3 x 600 mg) prä- und postoperativ abgedeckt. Als Analgetikum wurde Ibuprofen verschrieben.
Chirurgisches Vorgehen
Aufgrund der traumatischen Extraktion des ankylosierten Zahnes, die zu einer Osteotomie wurde (Abb. 3), fehlten die vestibuläre und palatinale Lamelle (Röntgenkontrollbild während der Osteotomie, Wurzelrest noch vorhanden Abb. 4). Dieser Wurzelrest wurde entfernt. Bei dem geringen Restknochenvolumen war eine Sofortimplantation nicht mehr indiziert.
da Silva
da Silva
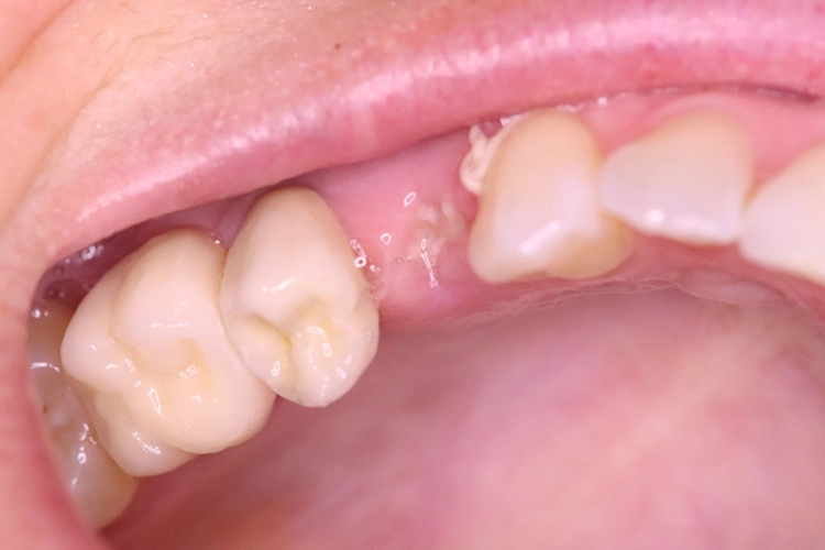
Der Erhalt der Weichgewebsstrukturen und des Kieferkamms wurde durch das Einbringen eines Knochenaufbaumaterials im Sinne einer Socket/Ridge Preservation ohne Membran gewährleistet (Abb. 5). Mesial zum 13 wurde eine resorbierbare Naht (SABAsorb rapid) gesetzt, um die Weichgewebe zu adaptieren. Die Kontrolle des Heilungsverlaufs nach dem Eingriff erfolgte ein Tag später (Abb. 6).
da Silva
da Silva
Während der Phase des Wundverschlusses ging ein geringer Bruchteil (1-2 %) des Knochenersatzmaterials verloren. Daher wird empfohlen, immer bis zum Gingivaniveau zu augmentieren. Dieser leichte Verlust spielt keine Rolle für den weiteren Knochenaufbau, der Patient merkt lediglich ein paar „Krümel“ im Mundraum.
da Silva
da Silva
da Silva
da Silva
Implantation
da Silva
da Silva
da Silva
da Silva
da Silva
da Silva
Die Implantate wurden provisorisch versorgt (Abb. 17). Kontrolle nach einer Woche mit Nahtentfernung (Abb. 18). Präparation und Abformung nach zwei Wochen.
da Silva
da Silva
Das alte Titanimplantat (20 Jahre in situ) bekam auch einen Zirkonaufbau (Abb. 19). Nach drei Wochen erfolgte die defi nitive Versorgung mit nicht-verblockten Zirkonkronen (Abb. 20).
da Silva
da Silva
Kontrollbild und Röntgenkontrolle ein Jahr und ein Monat nach Socket/Ridge Preservation (Abb. 21 und 22). Der komplette Umbau zu Eigenknochen ist noch nicht abgeschlossen. Die Papillenregeneration zwischen 13/14 und 14/15 ist jedoch deutlich erkennbar.
da Silva
da Silva
Zusammenfassung
Ein atraumatischer, minimalinvasiver Kieferkammerhalt über eine Socket/Ridge Preservation ist mit dem hier verwendeten Material (DentOss®, Demedi-Dent), einem reinen ß-TCP, risikolos und ohne Membran oder Mesh realisierbar. Das Material heilt offen ein – das Einwachsen von Bindegewebe findet nicht statt.
Bei größeren Defekten ist eine Adaptationsnaht zu empfehlen, um die Wundheilung zu optimieren. Nach circa vier Monaten kann risikofrei, bei optimalem Knochenvolumen, implantiert werden – ohne große chirurgische Eingriffe durchführen zu müssen, die den Patienten unnötig belasten.
Bildquellen sofern nicht anders deklariert: Unternehmen, Quelle oder Autor/-in des Artikels
Entdecke CME Artikel





Keine Kommentare.