Klinischer Fall:
Ein 80-jähriger Patient stellte sich in der Zahnklinik der Universitätsmedizin Mainz zur Beratung und Planung einer gaumenfreien Versorgung im Oberkiefer vor. Sein aktueller Zahnersatz war eine Interimstotalprothese im Oberkiefer, die nach parodontaler Schädigung und Verlust der Restbezahnung seit einem Jahr in situ war. Im Gegenkiefer war der Patient festsitzend versorgt und parodontal mit engem Recall erfolgreich therapiert worden.
Dr. Bayadse und PD Dr. Dr. Schiegnitz
Nach einer Beratung und Aufklärung über Therapieoptionen und -alternativen wurde im gemeinsamen Konsens mit dem Patienten eine Pro-Arch-Sofortversorgung mittels Straumann® BLX im Oberkiefer geplant. Präoperativ wurde die Implantatversorgung mit Hilfe der dreidimensionalen Volumentomographie geplant (Abbildung 2). Die definitive Versorgung erfolgte in Zusammenarbeit mit den Kollegen der Prothetik in domo.
Dr. Bayadse und PD Dr. Dr. Schiegnitz
Dr. Bayadse und PD Dr. Dr. Schiegnitz
Hierzu wurde eine digitale Planung des Zahnersatzes im Sinne eines Backward Planning erstellt (Abbildung 3 und 4). Nachdem eine digitale Volumentomographie (DVT) des Patienten mit dem vorhandenen Zahnersatz in Okklusion inklusive Referenzpunkten und zusätzlich eine DVT der Prothese extraoral durchgeführt wurde, konnten im Anschluss mit dem Programm Exoplan® beide Scans gematcht werden. Auf dieser Grundlage wurden die sechs Implantate virtuell in idealer Position unter Berücksichtigung des ortsständigen Knochens geplant.
Dr. Bayadse und PD Dr. Dr. Schiegnitz
Dr. Bayadse und PD Dr. Dr. Schiegnitz
Dr. Bayadse und PD Dr. Dr. Schiegnitz
Dr. Bayadse und PD Dr. Dr. Schiegnitz
Die Vermeidung einer Sinusbodenelevation, sowie ein maximal großes Unterstützungspolygon standen im Fokus der präoperativen Planung für die festsitzende prothetische Versorgung. Dabei ergab sich ein 17 bzw. 30 Grad Neigungswinkel der distalen Implantate, der durch die Mesostruktur der Multi-unit Abutments ausgeglichen werden sollte, um eine gemeinsame Einschubrichtung für die geplante provisorische Brückenversorgung zu ermöglichen.
Das schon präoperativ erstellte Brückenprovisorium wurde mit großzügigen Aussparungen in regio der Sekundärstrukturen erstellt, um intraoperative Abweichungen von der Planung ausgleichen zu können. Für den OP-Situs resultierte daraus folglich eine navigierte Führungsschablone (fully-guided) und ein laborgefertigtes Sofor tversorgungsprovisorium (Abbildung 5). Am Tag der Operation erhielt der Patient präoperativ eine Single-shot-Antibiose.
Dr. Bayadse und PD Dr. Dr. Schiegnitz
Dr. Bayadse und PD Dr. Dr. Schiegnitz
Dr. Bayadse und PD Dr. Dr. Schiegnitz
Diese wurden auf die multi-units eingebracht und mit dem Provisorium kunststoffseitig verbunden (Abbildung 7). Die definitive Ausarbeitung erfolgte final im Labor, um eine ideale und hygienisch günstige Struktur zu gewährleisten.
Dr. Bayadse und PD Dr. Dr. Schiegnitz
Dr. Bayadse und PD Dr. Dr. Schiegnitz
Dr. Bayadse und PD Dr. Dr. Schiegnitz
Dr. Bayadse und PD Dr. Dr. Schiegnitz
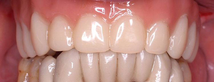
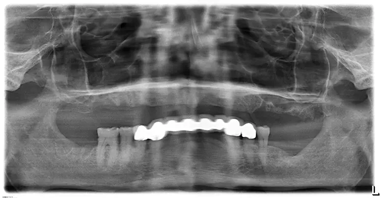
Der Patient wurde am gleichen Tag mit dem festsitzenden Brückenprovisorium entlassen und ausführlich über die Mundhygiene des Langzeitprovisoriums postoperativ aufgeklärt. Abbildung 8 zeigt eine regelrechte Implantatposition in der postoperativen Panoramaschichtaufnahme. In Abbildung 9 ist die postoperative Versorgung in situ zu sehen.
Dr. Bayadse und PD Dr. Dr. Schiegnitz
Dr. Bayadse und PD Dr. Dr. Schiegnitz
Der Patient erhielt eine engmaschige Nachsorge, um biologische Komplikationen, rechtzeitig zu erkennen. Im Verlauf zeigte sich eine regelrechte Wundheilung und Implantateinheilung sowie eine erhebliche Steigerung der mundgesundheitsbezogenen Lebensqualität des Patienten durch den gaumenfreien Zahnersatz.
Diskussion
Gehen Zähne verloren, kommt es zum Knochenabbau sowie zur Resorption des Ober- und Unterkiefers. Der alveoläre Knochenabbau beginnt rasch und hält über Jahre an. Verschiedene Studien haben gezeigt, dass der Verlust des Alveolarknochens in den ersten 12 Monaten bspw. nach Zahnextraktion 11-22 % der Alveolarknochenhöhe und 29-63 % der Alveolarknochenbreite beträgt, während zwei Drittel des Kieferkamms in den ersten drei Monaten nach der Zahnextraktion verloren gehen [3, 4].
Um eine optimale Funktion, Phonation und Ästhetik zu gewährleisten, werden festsitzende prothetische Versorgungen angestrebt mit Full-Arch Implantaten, statt herausnehmbarer Zahnersatz [6, 7]. Implantat-Versorgungen hängen im Hinblick auf die Osseointegration und die Langlebigkeit von der Quantität und Qualität des Knochenangebots zum Zeitpunkt der Implantation ab [8]. Eine dünne bukkale Knochenlamelle führt zu Dimensionsänderungen des Alveolarkamms vor allem im ästhetischen und Prämolaren-Bereich, während die Resorption im posterioren Bereich des Kiefers zu einer Abnahme der vertikalen Knochenhöhe führt.
Ist das Knochenangebot zu gering, erfordert dies für Implantatversorgungen komplexe Knochenaugmentationen (häufig autologer Knochen aus dem Beckenkamm), im Oberkiefer eine Sinusbodenelevation oder im Unterkiefer die Verwendung von kurzen Zahnimplantaten bis hin zur Lateralisierung des Nervus alveolaris inferior [6,7]. Das Konzept der Implantation von vier bzw. sechs Implantaten wird bei stark resorbierten, vollständig zahnlosen Ober- und Unterkiefer bevorzugt angewendet. Dabei werden im zahnlosen Unterkiefer im Frontzahnbereich jeweils zwei Implantate orthogonal zur Okklusionsebene oder leicht nach vorne gekippt und zwei 15-45° distal im Seitenzahnbereich (ein Implantat in jedem Segment bilateral) anterior des Nervus mentalis inseriert.
Im Oberkiefer wird darauf geachtet, dass die Implantate anterior der Sinuswand und nach distal gekippt inseriert werden [9-11]. Durch die Platzierung der beiden posterioren Implantate vor den Foramina mentales und die Neigung nach distal wird eine Verletzung des Nervus alveolaris inferior vermieden, die polygonale Fläche für einen festsitzenden Zahnersatz vergrößert und eine zufriedenstellende Abstützung der Molaren erreicht [12,13]. Nach Krekmanov et al. beträgt die gewonnene Strecke der Prothesenabstützung im Unterkiefer 6,5 mm, während sie im Oberkiefer 9,3 mm beträgt [14].
Ziel ist es, eine festsitzende Versorgung mit möglichst wenigen Implantaten, vor allem bei Patienten mit anatomischen Einschränkungen, zu ermöglichen. Posteriore Extensionen sollten vermieden werden. Im Oberkiefer ist die Qualität und Quantität des Knochens im Vergleich zum Unterkieferknochen trabekulärer und weniger dicht [15].
Die posterioren Implantate werden deshalb als Langwinkelimplantate mit einer Länge von 13 mm im Bereich der vorderen Kieferhöhlenwand platziert und bieten eine hohe Primärstabilität [7, 16]. Die Kombination von gekippten und geraden Implantaten zur Abstützung festsitzender Prothesen bietet eine Rehabilitationsmethode mit weniger Morbidität, geringerem Zeitaufwand und ist zudem kostengünstiger. Die postoperative Phase gestaltet sich für die Patienten weitaus angenehmer.
Es zeigten sich jedoch auch Nachteile. So kann beispielsweise die Neigung der Implantate das Spannungsverhalten an der Knochen-Implantat-Schnittstelle verändern [16-18]. In vitro Studien zeigten höhere Spannungswerte bei geneigten Implantaten im Vergleich zu axialen Implantaten [19, 20].
Externe Steg- oder Sechskantverbindungen zeigten ebenfalls eine stärkere Spannungsübertragung als Implantate mit konischer Innenverbindung oder nicht verblockte Implantate [21, 22]. Die Technik umfasst die sofortige Anfertigung und Belastung von Sofortprovisorien in den postoperativen 8 bis 48 Stunden. Ist die Osseointegration erreicht, kann eine definitive, festsitzende Versorgung nach drei Monaten hergestellt werden [9-11].
Nach der provisorischen Phase mit einem festsitzenden Brückenprovisorium, besteht die Möglichkeit den definitiven Zahnersatz herausnehmbar zu gestalten und kann vom Patienten sehr gut im Hinblick auf die Ästhetik, den Lippensupport und die Hygienefähigkeit, mitbeurteilt werden. Somit stellt das Konzept eine ansprechende Alternative für ein großes Patientenkollektiv dar, ohne komplexe Knochenaugmentation einen Langzeiterfolg im Hinblick auf die prothetische Rehabilitation zu erzielen. Eine Follow-Up Studie von Prof. Malo von bis zu 18 Jahren zeigte die kumulative Implantatüberlebensrate von mehr als 90 % [1, 2, 23, 24].
Allgemein werden verschraubte Suprakonstruktionen bevorzugt, insbesondere bei geringer Pfeilerlänge und zur Vermeidung von biologischen Komplikationen wie dem Verbleiben von Zementresten. Es werden verschraubte Mesostrukturen bei Implantat-getragenen herausnehmbaren Versorgungen empfohlen. Die Prothese kann so für die tägliche Hygiene sowie bei Komplikationen mit dem Abutment und/oder den Implantaten leicht herausgenommen werden.
Weiterhin sollte der Patient über eine mögliche Schraubenlockerung als technische Komplikation aufgeklärt werden, die folglich auch zu Schraubenbrüchen führen kann [7, 25]. Die Knochenresorption scheint dabei gering. Überbelastungen der Knochen-Implantat-Grenzfläche bei Implantat-getragenen Prothesen können jedoch durch chirurgische Traumata und bakterielle Invasion ausgelöst werden. Außerdem können eine unzureichende Okklusion, ungeeignete Prothesen- und/oder Implantatdesigns sowie Fehler bei der chirurgischen Implantation zu einem unzureichenden Lastübertragungsmechanismus des überlasteten periimplantären Knochens unter funktionellen Kräften führen.
Folglich kommt es zu einer Stressakkumulation an der Knochen-Implantat-Grenze. Spannungsbereiche im Knochengewebe stimulieren die biologische Knochenresorption, es kommt zu Knochenabbau im Halsbereich des Implantats [26]. Die okklusalen Kräfte sollten im Bereich zwischen den anterioren und posterioren Implantaten ihr Zentrum haben.
Distal der Prothese sollte kein Kontakt bestehen, die Zentrik sollte gewährleistet sein [7, 27]. In der aktuellen S3-Leitlinie zur implantatprothetischen Versorgung des zahnlosen Oberkiefers wird empfohlen, für den zahnlosen Oberkiefer nicht weniger als vier Implantate zu planen. Diese können dann entweder herausnehmbar oder festsitzend versorgt werden, wobei eine gleichmäßige anterior-posteriore Implantatverteilung im Sinne eines möglichst großen Unterstützungspolygons angestrebt werden soll [28].
Die Konsensuskonferenz Implantologie beschreibt innerhalb der Indikationsklasse III für die Verankerung eines festsitzenden Zahnersatzes im zahnlosen Oberkiefer die Notwendigkeit von acht Implantaten, für die Verankerung eines herausnehmbaren Zahnersatzes mindestens sechs Implantate. Weiterhin werden für den zahnlosen Unterkiefer bei der Verankerung einer festsitzenden Versorgung sechs Implantate empfohlen sowie für die herausnehmbare Versorgung vier Implantate [29]. Werden weniger als vier Implantate gesetzt, zeigt sich insbesondere im Oberkiefer aber auch im Unterkiefer eine erhöhte Verlustwahrscheinlichkeit von Implantaten [30].
In anderen systematischen Reviews konnten zwischen Ober- und Unterkiefer jedoch gleiche Überlebensraten der Implantate festsitzender Versorgungen untersucht werden [31, 32]. Agliardi et al. schlugen daher eine ähnliche Technik vor, bei der die Patienten mit sechs Implantaten versorgt werden, um anschließend mit einer sofort belastbaren full-arch Konstruktion versorgt werden können.
Hierbei werden zwei distale Implantate mit einer Neigung von 30 bis 45 Grad relativ zur Okklusionsebene in die hintere Wand der Kieferhöhle inseriert. Zwei weitere gekippte Implantate greifen in die anteriore Kieferhöhlenwand. Schließlich werden zwei gerade Implantate in den anterioren Oberkiefer inseriert [33].
Fazit
Zusammenfassend können die Sofortversorgungskonzepte als gute Rehabilitationskonzepte für den zahnlosen Ober- und Unterkiefer angesehen werden. Im gemeinsamen Konsens mit dem Patienten sollte im Hinblick auf die anatomischen Gegebenheiten und der Patientenpräferenz eine optimale Versorgung ermöglicht werden sowie im Hinblick auf das Nutzen-Risiko-Verhältnis auch Alterntivtherapien wie die Standardversorgung mittels Totalprothese abgewogen werden.
Wird die implantatverankerte Versorgung angestrebt, kann die Insertion der Implantate mit anschließender Sofortversorgung eine Verbesserung der mundgesundheitsbezogenen Lebensqualität, Mastikation, Phonetik und Ästhetik der Patienten ermöglichen. Allerdings sollten randomisierte klinische Studien mit großer Stichprobengröße und langfristiger Nachbeobachtung einbezogen werden [5].
Näheres zu den Autoren des Fachbeitrages: Dr. Saskia-Vanessa Schröger, Dr. Monika Bjelopavlovic, Dr. Morse Bayadse, Dr. Dr. Peer Wolfgang KämmererBildquellen sofern nicht anders deklariert: Unternehmen, Quelle oder Autor/-in des Artikels
Entdecke CME Artikel






Keine Kommentare.