Der Zahnfarbbestimmung wird in der Zahnarztpraxis häufig nicht die nötige Aufmerksamkeit geschenkt. „Passt“ die ausgewählte Farbe der Restauration bei der Anprobe nicht, bedeutet das oft einen neuen, zusätzlichen Termin, mit einem nicht unerheblichen ökonomischen Verlust und einem womöglich verärgerten Patienten. Auch für die zahntechnischen Labore, die oft zur Zahnfarbbestimmung als Serviceleistung hinzugezogen werden, stellen diese Farbbestimmungstermine und die Nachbesserungen an der Zahnfarbe einen erheblichen ökonomischen Verlust dar. Nach einer Pilotuntersuchung im Jahr 2013 beläuft sich der wirtschaftliche Schaden für die Labore in Deutschland insgesamt auf einen mehrstelligen Millionenbetrag pro Jahr [1]. Grund genug, um sich mit dem Thema Farbe auf wissenschaftlicher Basis zu beschäftigen und daraus die richtigen Schlüsse und Strategien für die Praxis abzuleiten.
Dreidimensionales Farbkoordinatensystem

Klassische visuelle Zahnfarbbestimmung

Dreidimensionale visuelle Zahnfarbbestimmung

Das ideale Set-up für die visuelle Zahnfarbbestimmung
Um eine möglichst exakte visuelle Abmusterung zu gewährleisten, müssen bestimmte Rahmenbedingungen erfüllt sein. Die Zahnfarbbestimmung sollte demnach vor der Präparation erfolgen, um eine Austrocknung der Zähne und damit eine Aufhellung der Zahnhartsubstanz zu vermeiden. Dieser Effekt ist vor allem bei absoluter Trockenlegung mit Kofferdam extrem. Eigene Untersuchungen zeigen aber auch bei einer relativen Trockenlegung, dass schon ab 2 Minuten 20% und ab 15 Minuten bereits 40% der bestimmten Farben nicht mehr zu einem akzeptablen Ergebnis führen würden. Darüber hinaus braucht ein Zahn Stunden zur Rehydrierung, um seine ursprüngliche Zahnfarbe wieder anzunehmen. Die Nachbarzähne sollten vor der Messung gereinigt, grelle Umgebungsfarben ausgeschlossen werden. Farbintensive Kleidung sollte ebenfalls mit einer grauen Schürze abgedeckt und Make-up und Lippenstift sollten entfernt werden. Für die Bestimmung ist das Stuhllicht meist zu intensiv und sollte nicht verwendet werden. Eine farbneutrale, graue Umgebung mit Tageslichtleuchte (5500 K) bietet ideale Bedingungen für die visuelle Zahnfarbbestimmung. Für die korrekte Anwendung von Farbskalen ist es wichtig, zu verstehen, dass die Farbmusterzähne nach dem Vorbild natürlicher Zähne gefertigt sind. Das bedeutet, dass die auf dem Stäbchen angegebene Farbe ausschließlich durch das Zentrum des Farbmusterzahns repräsentiert ist. Hals und Schneide weisen wie beim natürlichen Zahn andere Farben auf. Das Farbmusterstäbchen sollte 5 bis 7 Sekunden in 30 cm Entfernung beurteilt werden, um ein Ermüden des Auges zu vermeiden. Der erste Eindruck ist dabei ohnehin meist der richtige.
Digitale Zahnfarbbestimmung

Farbbestimmung – Konzept zum klinischen Vorgehen mit digitalen Hilfen
Die Zahnfarbbestimmung besteht aus zwei Schritten. Der erste Schritt ist die Bestimmung der Grundfarbe eines Zahnes, der zweite Schritt ist die Kommunikation der (Farb-)Effekte zum Labor. Die Grundfarbe kann mit einem optoelektronischen Farbbestimmungsgerät entweder an einer Stelle oder in ästhetisch relevanteren Bereichen an drei Punkten am Zahn bestimmt werden. Die Messung erfolgt am gereinigten Zahn vor Beginn der eigentlichen Behandlung. Bei der Einpunktbestimmung wird in dem Bereich gemessen, wo man das meiste Dentin vermutet (mittleres Drittel, leicht nach zervikal). Bei der Dreipunktmessung wird am Zahnhals, der Zahnmitte und dem inzisalen Drittel gemessen. Bei der Zahnhalsmessung ist darauf zu achten, nicht zu dicht an die Gingiva zu kommen; bei der Inzisalmessung können sehr transparente Inzisalkanten zu Messfehlern oder Fehlinterpretationen des Messwertes führen. Eine visuelle Gegenabmusterung sollte allerdings immer in Kombination zur digitalen Messung stattfinden, nicht zuletzt auch, um dem Patienten eine Möglichkeit zu geben, das ausgewählte Muster zu bestätigen.

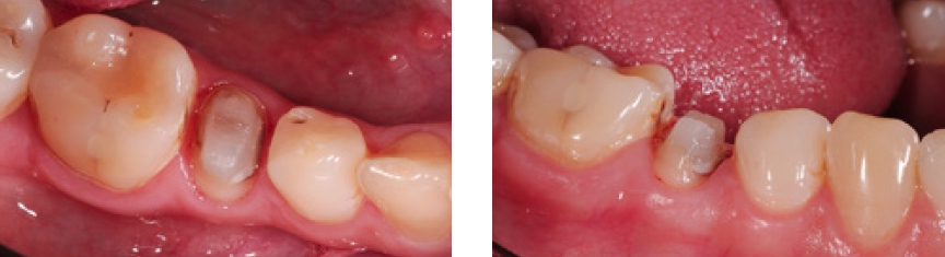
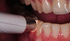
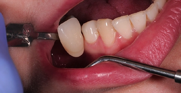
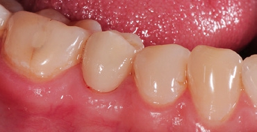
Im dokumentierten Patientenfall sollte Zahn 45 mit einer Krone versorgt werden (Abb. 5 u. 6). Durch die kleine Messsonde des VITA Easyshade V ist es möglich, auch im Seitenzahnbereich einfach Messungen durchzuführen, in diesem Fall eine Einpunktmessung am Dentinkern (Abb. 7). Neben der Information zur Grundzahnfarbe benötigt der Zahntechniker zur Reproduktion aber auch Informationen zu (Farb-)Effekten am Zahn. Dies können Effekte und Charakteristika wie White Spots, verfärbte Risse, verfärbte initialkariöse Läsionen, aber auch besonders hoch oder wenig transluzente Areale am Zahn sein. Ohne diese Informationen ist eine gute Reproduktion der Farbwirkung des Zahnes nicht möglich. Die Übermittlung dieser Informationen kann heute sehr einfach durch eine digitale Fotografie vonstattengehen. Ist eine aufwendige Kameratechnik mit Seit- oder Ringblitz nicht verfügbar, so ist selbst das Versenden eines einfachen Handyfotos zum Labor besser, als keine Information zu geben. Es ist zudem durchaus sinnvoll, das ausgewählte Farbmuster mit auf ein Foto zu nehmen (Abb. 8). Dies dient weniger dem Farbabgleich, der über ein Foto nur sehr schwer möglich ist, als vielmehr der Einordnung des Transluzenzverlaufs am Zahn im Vergleich zum Zahnfarbmuster. Die letzte benötigte Information über die Beschaffenheit der Oberfläche des Zahnes kann sich der Zahntechniker natürlich vom Meistermodell ableiten. Sowohl die Grundfarbbestimmung via digitale Zahnfarbbestimmung als auch ein Foto benötigen nur wenige Minuten und können schnell auf digitalem Wege das Labor erreichen. Erst anhand der gesammelten Informationen in der Praxis ist es dem Zahntechniker dann möglich, die Restauration patientenindividuell zu reproduzieren (Abb. 9). Das gilt gerade dann, wenn im Rahmen der Behandlung kein direkter Kontakt zwischen Zahntechniker und Patient besteht. Im Labor kann die Zahnfarbe abschließend ebenfalls mit dem Easyshade gegengeprüft werden (Abb. 10). Nachdem sich in diesem Fall die erwünschte Zahnfarbe bestätigte, konnte die Einzelkrone eingegliedert werden. Nach der adhäsiven Zementierung integrierte sich die vollkeramische Krone an 45 harmonisch in die Restbezahnung (Abb. 11).



Fazit und Einordnung
Egal mit welcher Methode die Zahnfarbe bestimmt wird, es muss schnell und sicher ein akzeptables Ergebnis erzielt werden, um wirtschaftlich zu arbeiten und die Patienten zufriedenzustellen. Die vorgestellte Methodik zeigt ein modernes, schnelles und sicheres Prozedere für ein vorhersagbares Ergebnis. Der Anteil an Nacharbeiten kann dadurch deutlich reduziert werden, auch wenn es keine 100%ige Trefferquote bei der Bestimmung der Zahnfarbe gibt. Dies liegt nicht zuletzt daran, dass unsere Farbmuster und Keramiken im Gegensatz zu den vorkommenden natürlichen Zahnfarben begrenzt sind und dass Farbempfinden letztlich immer individuell ist.
Moderne Farbsysteme wie das VITA SYSTEM 3D-MASTER bieten eine breite Abdeckung der natürlichen Zahnfarben und sind systematisch aufgebaut. Die digitale Zahnfarbbestimmung kann schnell und überall durchgeführt werden, ohne irgendwelche Rahmenbedingungen schaffen zu müssen. Sie bietet zudem aufgrund der Technologie gegenüber dem Patienten einen gewissen „moment of excellence“ durch ein modernes Verfahren, das der Patient vielleicht noch nicht kennt, und ist als Laborposition abrechenbar. Sie macht verschiedene Farbsysteme nutzbar, auch wenn man diese sonst nicht klinisch verwendet.
Bildquellen sofern nicht anders deklariert: Unternehmen, Quelle oder Autor/-in des Artikels
Entdecke CME Artikel






Keine Kommentare.