Eine sichere Behandlung, ein vorhersagbares, ästhetisch ansprechendes sowie prothetisch optimales Ergebnis – diese Wünsche lassen sich mithilfe von digitalen Technologien bei Implantatbehandlungen erreichen. Die Herausforderung besteht dabei weniger in der Planung, als in deren Umsetzung im Patientenmund. Hilfreich ist hier vor allem der Einsatz einer Bohrschablone. Sie ermöglicht die 1:1-Übertragung der prothetisch orientierten Implantatplanung in den Mund des Patienten. Zudem sorgt die geführte Chirurgie mittels Bohrschablone für eine größere Sicherheit und verbesserte Präzision im Vergleich zur Freihand- Bohrung [1]. Darüber hinaus zeigten auch die Ergebnisse der 5. Internationalen ITI-Konsensuskonferenz, dass die vollständig geführten Protokolle eine größere Genauigkeit erreichen als teilgeführte Systeme, bei denen nur die Osteotomie geführt umgesetzt wird, während die Implantatinsertion freihändig erfolgt [2]. In der klinischen Praxis bietet die Bohrschablone den Vorteil, dass sie die Bohrung führt und lenkt. Die Führung unterstützt dabei, die exakte Endposition zu finden. Dazu kommt, dass bei einer größeren Versorgung die räumliche Orientierung verbessert wird. Es gilt, die Symmetrie sicherzustellen und anatomische Untiefen zu „umschiffen“. Limitationen ergeben sich gelegentlich intraoperativ, etwa wenn das Platzangebot des OP-Feldes nicht ausreicht oder der Knochen zusätzlich aufwendig augmentiert oder gespreizt werden muss. Für meine Arbeit gilt: kein Dogmatismus. Bohrschablonen sind kein Selbstzweck. Sie müssen die Behandlung unterstützen und dürfen mich in keiner Situation einschränken. Daher werden sie nur dann eingesetzt, wenn sie allen Beteiligten einen echten Mehrwert für den Behandlungserfolg bieten [3].
Bohrschablone für komplett geführte Insertion
In dem nachfolgenden Patientenfall kam CEREC Guide 3, die Bohrschablone von Dentsply Sirona für den Chairside-Workflow, zum Einsatz. Sie ermöglicht für hauseigene Implantate (Ankylos, Astra Tech Implant System EV, Xive) eine komplett geführte Chirurgie. CEREC Guide 3 ist eine Weiterentwicklung von CEREC Guide 2, der Bohrschablone für die Vorbereitung des Implantatbetts. Die wesentliche Neuerung zum Vorgängermodell besteht darin, dass in CEREC Guide 3 nach dem Ausfräsen eine Führungshülse aus Titan in der Schablone verklebt wird – ein weiterer Bohrschlüssel wird nicht benötigt. Auf diese Weise kann durch die Bohrschablone das Implantat geführt inseriert werden. Die Führungshülse und der integrierte Tiefenstopp gewährleisten die präzise Übertragung der Planung in die Operation.
Fallbericht
Eine 36-jährige Patientin stellte sich mir mit einem gefüllten Milchzahn an Position 85 vor. Der Zahn war aufgrund einer Sekundärkaries mit folglicher Pulpanekrose nicht erhaltungswürdig und sollte aufgrund der Nichtanlage des Zahnes 45 durch ein Implantat ersetzt werden (Abb. 1a und b). Zielsetzung war eine Sofortimplantation sowie die Sofortversorgung des Implantats. Eine andere Möglichkeit wäre eine kieferorthopädische Behandlung zum teilweisen oder vollständigen Lückenschluss gewesen oder alternativ die klassische Versorgung mittels einer 3-gliedrigen Brücke, jedoch bei unversehrten Pfeilerzähnen. Beide Konzepte schieden patientenseitig aus.
Dr. Martin Weber
Dr. Martin Weber
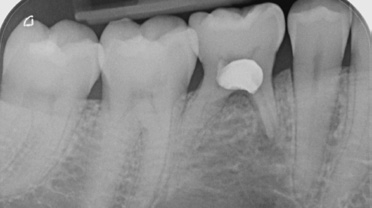
Die intraorale Röntgenaufnahme zeigte die übliche 2-wurzelige Konfiguration des Milchmolaren, apikal das Foramen mentale sowie gering ausgeprägte trabekuläre Strukturen der regionalen Spongiosa aufgrund der kurzen Wurzelkonfiguration (Abb. 2). Eine geführte Implantation, für deren Umsetzung ein DVT angefertigt wurde (Orthophos XG 3D), bot hier den Vorteil einer sicheren Führung ohne Richtungsablenkung durch die bestehenden Alveolen sowie der optimalen Ausnutzung des vorhandenen Raumangebots, um maximale Stabilität zu erreichen. Aufgrund der größeren mesiodistalen Breite des Zahnes 85 im Vergleich zu üblichen Prämolaren orientierte ich mich bei der prothetischen Planung am vorhandenen Milchmolaren.
Zur optimalen Behandlungsplanung wurde neben dem DVT ein intraoraler Scan mit der CEREC Omnicam durchgeführt. Die vorhandenen Daten wurden sodann im Implantatplanungsprogramm (Galileos Implant, Dentsply Sirona) für die prothetische Planung sowie für das Design einer Bohrschablone mittels der CERECSoftware vorgenommen und zusammengeführt. Die Fertigung der Bohrschablone erfolgte binnen 45 Minuten direkt in der Praxis mit der Schleifeinheit CEREC MC XL Premium Package. Anschließend wurde die Titanhülse für die geführte Insertion eingeklebt (Abb. 4 bis 6).
Dr. Martin Weber
Dr. Martin Weber
Dr. Martin Weber
Dr. Martin Weber
Dr. Martin Weber
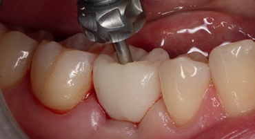
Obwohl ursprünglich als Sofortimplantation geplant, erfolgten die schonende Extraktion (Abb. 3) und die Implantation im Abstand von einer Woche. Das Ziel war es, die apikale Ostitis mit kurz vor dem OP-Termin beginnender bukkaler Schwellung abheilen zu lassen und eine ausreichende Entzündungsfreiheit zu erreichen (Abb. 7). Beim Einsetzen des Implantats kam die Bohrschablone zum Einsatz. Um die Lagestabilität der Schablone zu gewährleisten, war es wichtig, diese ausreichend groß zu dimensionieren (Auflage Zahn 33 bis 46); Sichtfenster ermöglichen es dabei, die planmäßige und vollständige Auflage der Schablone auf dem Zahnbogen jederzeit zu kontrollieren.
Nach der geführten Implantatbettaufbereitung wurde das Astra Tech Implant System EV 4,8C × 13 mm durch die Hülse hindurch mit Höhenanschlag in seine geplante Position inseriert (Eindrehmoment final: 45 Ncm) (Abb. 8 bis 10). Die Lage des Implantats wurde mit einer intraoralen Röntgenaufnahme postoperativ überprüft (Abb. 11). Es folgte die digitale Abformung mit der CEREC Omnicam: Um die Implantatposition exakt zu übertragen, wurde ein Scanbody platziert (Abb. 12). Der dabei erzeugte Scan wurde für das präzise Design eines Provisoriums mit der Abformung des Milchzahnes überlagert und im Anschluss gefräst (Abb. 13). Das Kunststoffprovisorium wurde mit der dazugehörigen TiBase verklebt (Multilink Hybrid Abutment, Ivoclar Vivadent). Zuvor wurden sowohl die TiBase als auch das Zirkonabutment sandgestrahlt, im Ultraschallbad gereinigt und im Anschluss silanisiert (Monobond plus, Ivoclar Vivadent). Im nächsten Schritt wurde das Provisorium mit dem Implantat okklusal verschraubt (Abb. 14) und mit Komposit verschlossen (Abb. 15 bis 17). Um eine Überbelastung des Implantats während der Einheilzeit zu vermeiden, war eine Nonokklusion von 0,5 bis 1 mm zum Antagonisten zu beachten. Dazu gehörte auch die Empfehlung an die Patientin, das Provisorium in den ersten Monaten nur eingeschränkt zu belasten (weiche Kost).
Dr. Martin Weber
Dr. Martin Weber
Dr. Martin Weber
Dr. Martin Weber
Dr. Martin Weber
Dr. Martin Weber
Dr. Martin Weber
Dr. Martin Weber
Dr. Martin Weber
Dr. Martin Weber
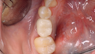
Nach einer Einheilzeit von 3 Monaten wurde die Osseointegration röntgenologisch kontrolliert, das Provisorium über ein okklusales Re-Opening entfernt und anschließend die Implatatposition mit dem Intraoralscanner CEREC Primescan von Dentsply Sirona und der CEREC SW 5 erneut gescannt.
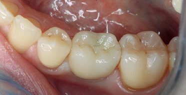
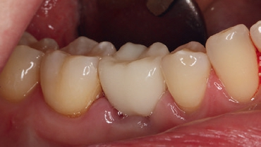
Dabei nutzte ich das durch die provisorische Versorgung bereits bestehende Emergenzprofil des Weichgewebes für eine optimale definitive Versorgung. Etwaige okklusale Differenzen während der Einheildauer ließen sich auf diese Weise gut ausgleichen. Die finale Versorgung habe ich 2-teilig ausgeführt. Die Unterkonstruktion wurde mittels eines individuellen Zirkonabutments aus inCoris Meso Block gefräst und anschließend gesintert (CEREC SpeedFire). Die Krone wurde aus einem Celtra Duo LT Block geschliffen und im Anschluss individuell bemalt und glasiert (Abb. 18 bis 22).
Dr. Martin Weber
Dr. Martin Weber
Dr. Martin Weber
Dr. Martin Weber
Dr. Martin Weber
Diskussion
Der Anspruch der Patientin war eine möglichst effiziente, nachhaltige Versorgung der entstandenen Lücke, optimalerweise ohne eine herausnehmbare Prothese während der Einheilzeit. Nach Insertion im Direktverfahren war daher ein festsitzendes Provisorium, das über eine hervorragende Oberflächenqualität mit geringer Plaqueakkumulation verfügt, über einen längeren Zeitraum stabil ist und somit die Einheilung des Implantats begünstigt, das Ziel. All dies konnte über das gewählte Verfahren optimal erreicht werden. Für die Patientin bot die Methode zudem den Vorteil, bereits im Vorfeld in die Behandlungsplanung eingebunden und in etwa einer Stunde adäquat versorgt worden zu sein. Die Alternative, eine Spätimplantation mit gegebenenfalls geschlossener Einheilung und späterer Wiedereröffnung, hätte zusätzliche Zeit, Termine und somit einen deutlich höheren Aufwand bedeutet. Durch die sehr kurze Zeitspanne zwischen Extraktion und Implantatinsertion konnte die gute Weichgewebsstruktur für eine optimale Ausformung der Krone genutzt werden. Das Provisorium verblieb zur Einheilung des Implantats 3 Monate in situ, und es wurde dann chairside mit einer vollkeramischen Krone versorgt. Die Versorgung mit einem Implantat bedeutete für die Patientin eine sichere, komfortable und ästhetisch ansprechende Lösung bei guter Hygienefähigkeit und Langzeitprognose. Die bewährte ursprüngliche Okklusion blieb während der kompletten Behandlung bestehen: Weder ergab sich eine ästhetische noch eine gnathologische Einschränkung durch die Wahl, die Lücke mit einer Milchmolarenkrone zu versorgen. Zu den Vorteilen für die Patientin zählten die insgesamt verkürzte Behandlungsdauer, die Direktversorgung der Lückensituation sowie der optimale Erhalt des Hart- und Weichgewebes. Aus zahnärztlicher Sicht bot sich zu jeder Zeit eine technisch beherrschbare Situation bei geringstmöglichem Risiko.
Die Bohrschablone hat sich in diesem Fall aus verschiedenen Gründen bewährt: Neben der Sicherheit und dem Komfort beim Einbringen des Implantats bot sie zudem Flexibilität, Schnelligkeit und Wirtschaftlichkeit. Mit sehr geringem Materialeinsatz ließ sich ohne Änderung der vorhandenen Infrastruktur in der Praxis – das CEREC-System ist in meiner Praxis seit Jahren vorhanden und der CEREC Guide Workflow in der Software hinterlegt – und ohne großen Mehraufwand in sehr kurzer Zeit eine Bohrschablone herstellen, die den Behandlungserfolg weitreichend optimierte. Bemerkenswert ist der Qualitätssprung von CEREC Omnicam zu CEREC Primescan: Die uns für diesen Fall zur Verfügung gestellte neue Aufnahmeeinheit bietet einen deutlich vereinfachten und beschleunigten Workflow bei der optischen Abformung.
Literatur:
[1] Shen P et al.: Accuracy evaluation of computer-designed surgical guide template in oral implantology. Journal of Cranio-Maxillofacial Surgery 43 (10), 2189–2194 (2015).
[2] Tahmaseb A, Wismeijer D, Coucke W, Derksen W: Computer technology applications in surgical implant dentistry: a systematic review. Int J Oral Maxillofac Implants 29, 25–42 (2014).
[3] Schubert O et al.: Digital implant planning and guided implant surgery – workflow and reliability. British Dental Journal 226 (2), 101–108 (2019).
Bildquellen sofern nicht anders deklariert: Unternehmen, Quelle oder Autor/-in des Artikels
Entdecke CME Artikel





Keine Kommentare.