|
Getting your Trinity Audio player ready...
|
Die Versorgungsoptionen, die direkte Kompositversorgungen seit Jahrzehnten ermöglichen, sind heute aus den Therapiekonzepten nicht mehr wegzudenken. Daten einer Metaanalyse mit medianen Erfolgsquoten von 95 % bei Klasse III und von 90 % bei Klasse-IV-Restaurationen über 10 Jahre sprechen für sich [50]. Weitere Metaanalysen bestätigen dies [11, 12, 63, 71]. Kompositrestaurationen stellen demzufolge heute in ihrer Kombination aus minimalinvasiver und hochästhetischer Versorgungsform die Versorgungsvariante der Wahl im Frontzahnbereich dar [4, 11, 24, 58, 59, 67]. Hervorragende Fallberichte zu direkten Frontzahn-Kompositversorgungen werden nicht nur in Universitätskliniken publiziert [1, 2, 3, 4, 6, 7, 8, 46, 47, 49, 57, 58, 62, 70, 76, 78], sondern ebenso in Zahnarztpraxen [9, 13, 14, 15, 61]. Dementsprechend haben die oben genannten Indikationen auch ihren Eingang in die aktuelle S3-Leitlinie zu direkten Kompositrestaurationen an bleibenden Zähnen im Front- und Seitenzahnbereich gefunden [79, 80]. Es besteht in der Leitlinie starker Konsens darüber, dass „für Zahnformkorrekturen im Frontzahnbereich direkte Kompositmaterialien zur Anwendung kommen sollen“.
Nachdem die wissenschaftliche Evidenz zur Eignung direkter Kompositrestaurationen zur Korrektur von Frontzähnen eindeutig belegt ist, ist das Augenmerk inzwischen vorrangig auf die praktische Umsetzung der Frontzahnrestaurationen wie Handling, Schichttechniken und Universalität gerichtet. Die Formgebung hat über die letzten Jahrzehnte vereinfachte Formgebungshilfen wie auch z.B. die individuelle Einschalung deutlich erleichtert [20, 22, 24, 27, 51, 53, 54, 73]. Auch wenn die Formgebung der einzelnen Restauration primär über den ästhetischen Gesamteindruck entscheidet, wird oftmals zunächst auf die angebotene Farbpalette fokussiert: Vor über 20 Jahren galt für Komposite zur ästhetischen Rehabilitation von Frontzahnversorgungen „je mehr desto besser“. „Wagte“ ein Hersteller es, statt 35 nur 25 verschiedene Farben seines neuen Komposits anzubieten, gab es in den USA bei Reality gleich einen Stern weniger. Begründung: Es fehlen Farben…. Schaut man sich aber an, was z.B. Lorenzo Vanini [74, 75] seit Jahrzehnten mit einer einzigen Farbe (Universal Dentin) in 7 Helligkeiten mit den unterschiedlichsten Schmelz- und Effektmassen zaubert, wird man kaum insistieren, dass es immer die komplette Farbpalette aus den Vita Shades A, B, C und D mit einzeln adaptierten Schmelz und Dentinfarben sein muss: In Europa dominiert ohnehin die „A“-Farbe, „B“-Farben unterscheiden sich von diesen kaum,
den leichten Grau-Touch der „C“-Farben erhält man durch eine etwas stärkere und damit transluzentere Schmelzschicht, und „D“-Farben sind zumeist eher hässlich – sie verbleiben in der Regel für Stumpfaufbauten, kurz bevor sie ihr Verfallsdatum erreicht haben. „Sein“ (Vaninis) Micerium Komposit Enamel plus HFO (heißt inzwischen Enamel plus HRi) besteht aus den Universal- Dentinmassen UD1-UD6, die aber einer A-Farbe des Vita-Farbsystems entsprechen. Dazu gehören drei „allgemeine Schmelzmassen“ (G.E. 1-3), zwei Intensiv-Farben (I.W. und I.M.) sowie vier opaleszierende Schmelzmassen: O.B.N., O.G., O.W., O.A), was die Schichtkunst durchaus etwas kompliziert macht, aber in geschickten Händen zu herausragenden ästhetischen Ergebnissen führen kann [51, 52, 53, 54]. Stark angelehnt an das Konzept von Enamel plus HRi war das Amaris-Komposit (VOCO), das 2007 markteingeführt wurde. Fünf opake Dentinfarben (O1-O5), die mit einer knapperen Auswahl an Schmelzmassen (TN, TL und TD) überschichtet werden mussten (ähnlich Ceram. X duo). Auch dieses System funktionierte sehr gut [18].
So hat sich in den letzten Jahrzehnten viel in Punkto „Verschlankung“ des Produktportfolios getan: Das „Master-Kit“ von Venus Diamond beinhaltete beispielsweise „nur“ noch 23 Farben: Der Hersteller hat absolut richtig erkannt, dass nicht für jede einzelne Vita-Farbe eine eigene Opakfarbe nötig ist und bietet normale bzw. chromatische Opakfarben in vier verschiedenen Helligkeiten an: OB, OL, OM und OD oder als chromatische Varianten bei Venus Pearl OLC, OMC, ODC und OXDC. Auch gibt es nur noch zwei transluzente Schmelzmassen und – angelehnt an Vanini – zwei opaleszierende. Vermisst hat man nichts; die ästhetischen Möglichkeiten waren sehr gut. Auch die 3M hatte schnell unter Beibehalt des ursprünglichen, aus 36 Farben bestehenden Filtek Supreme XTE-System acht „Go-to“-Optionen für deren Body Shades (A1B, A2B, A3B, A3,5B, B1B, B2B, C1B, C2B) herausgestellt. Diese waren dann die Grundlage für das später markteingeführte, vereinfachte Filtek Universal mit acht Farben (sowie einer XW und einem „Pink Opaker“), ein System, das auch sehr schön funktionierte [29, 30].
Bereits sehr früh versuchte Dentsply mit Ceram.X mono eine signifikante Vereinfachung der Vorratshaltung bei einem Universalkomposit zu erreichen: Mit sieben „Mono“-Farben wurde das gesamte Spektrum des Vita-Shade-Guides abgedeckt. Für Schichtkonzepte erschien parallel Ceram.X duo: Dies bestand aus lediglich vier Dentin und drei Schmelzfarben und funktionierte vorzüglich [24].
Da sich das Mono-System aufgrund der Farbnomenklatur (der Zahnarzt will Vita-Shade-Namen) nicht so wirklich durchsetzen konnte, brachte Dentsply Sirona dann mit Ceram.X Universal ein ganz neues Komposit unter Anlehnung an den Originalnamen [36]: Mit neuer Füllkörpertechnologie und einem innovativen „Cloud“-Farbsystem: Fünf Farben, die als Vita-„Cloud“ ihre benachbarten Farbtöne miteinbezogen. Jetzt gab es Klarheit und Struktur; das Material ist nach wie vor sehr erfolgreich und wird gerne verwendet. Ergänzt wurde es um zwei Dentin-, eine Schmelz- und eine „Bleach-white“-Farbe, was das Gesamtsystem hinsichtlich seiner ästhetischen Möglichkeiten mit insgesamt neun Farben auf ein Filtek Supreme XTE-Level hievte [27]. GC stellte mit Gaenial A‘Chord [ 42] ein ähnliches Konzept aus „Core“-Farben vor, genau wie auch VOCO mit Admira Fusion 5. Auch das neue GrandioSO Unlimited (ebenfalls VOCO) basiert auf fünf Farben, ermöglicht aber sogar eine Durchhärtung von 4 mm. Im Prinzip konnte man mit diesen Universalfarben ästhetische und gleichzeitig stabile Front- und Seitenzahnrestaurationen anfertigen [42].
Der nächste Schritt zur Vereinfachung des Farbsystems kam dann mit einem radikalen Schnitt von Tokuyama: Mit der Markteinführung von Omnichroma wurde erstmals eine einzige ästhetische Universalfarbe vorgestellt, die alle Vita-Farben matchen sollte (inklusive eines Opakers). Bei helleren Zähnen funktionierte das recht schön [28, 35]. Schnell wurde aber gewahr, dass diese Vereinfachung vielleicht doch nicht alle, insbesondere dunkle Farben perfekt abdeckt; eine Erleichterung und Vereinfachung bei helleren Farben war es jedoch definitiv [10]. Auch Kuraray nahm den Gedanken um eine Verschlankung des Kompositangebotes auf, war sich aber bewusst, dass es durchaus Sinn macht, zumindest zwischen hellen und dunklen Zähnen zu differenzieren. Mit Clearfil Majesty ES-2 Universal stehen für den Frontzahnbereich zwei Farben zu Verfügung, bei denen die hellere (Universal Light UL) den Bereich von A1-A2 abdeckt, die dunklere Universal Dark (DU) den „Cloud“-Bereich von A3-A4. Ein zusätzlicher Opaker wird laut Kuraray nicht benötigt.
Ein, zwei oder fünf Farben? Der wahrscheinlich sinnvollste Kompromiss dürfte hierbei ein Angebot von drei Farben (+ evtl. einer Bleach-Farbe) sein: Mit drei Farben, die jeweils Vita-Farbgruppen der entsprechenden Helligkeiten einbeziehen, dürfte der sinnvollste Kompromiss aus Verschlankung der Vorratshaltung und ästhetischem Potenzial gefunden worden sein. Kulzer war der erste Hersteller, der eine solche Farbpalette mit Venus Diamond Pure und Venus Pearl Pure anbot. Die Farben beschreiben eindeutig, was sie matchen sollen: Hell, Mittel und Dunkel (Light, Medium, Dark), ergänzt um eine Bleach-Farbe. Die 3M (jetzt Solventum) zog mit Filtek Easy Match Universal in den „Farben“ Bright, Natural, und Warm nach. Eine Bleach-Farbe gibt es hier allerdings nicht. Kerr konterte mit SimplyShade Universal: Auch hier gibt es Light, Medium, Dark und ein Bleach White; zusätzlich eine „Universal Opaque“. Ganz neu in dem Reigen stellte Ivoclar mit Tetric plus ebenfalls drei Farben und eine Bleach-Farbe vor: A2 plus, A3 plus, A3,5 plus, (Bleach plus). Hier wurden bewusst nicht die Helligkeit oder die Wärme als Namensgeber favorisiert, sondern eine Vita-Farbgruppe. Ähnlich wie das GrandiSO Unlimited 5-Farb-System lobt Ivoclar bei diesem neuen Material eine Durchhärtungstiefe von 4 mm aus.
Wie gut matchen derartig vereinfachte „Shading Concepts“ nun mit Zähnen in unterschiedlichen Helligkeiten im Frontzahnbereich? Dies herauszufinden, war die Intention des vorliegenden Beitrages – die Venus Pearl Pure-Farben in unterschiedlichen Indikationen von ästhetischen Frontzahnkorrekturen einzusetzen und hinsichtlich ihrer klinischen Effizienz als auch hinsichtlich ihres ästhetischen Potenzials auszuloten. Dass Kulzer in der Lage ist, einen Universalfarbansatz zu beherrschen, zeigte eindrucksvoll die erfolgreiche Ergänzung der „ONE“-Farbe in das Venus Diamond und Venus Pearl-Portfolio: sowohl als pastöses als auch als niedrigvisköses Bulkfill-Material [32,33,38,39,43]. Kombiniert man nun dieses Knowhow der universalen Farbanpassung mit den jahrzehntelangen Erfahrungen mit Venus Diamond und Venus Pearl und deren ästhetischen Potenzials [19,20,21,25,26] als auch aus dem Vorgänger Venus [16,17], ergibt sich hieraus mit den neuen „Pure“-Farben ein sehr vielversprechender Ansatz.
Fall 1: Zweizeitiger Schneidekantenaufbau von abrasiv geschädigten Zähnen
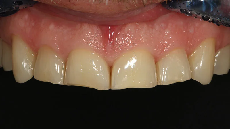
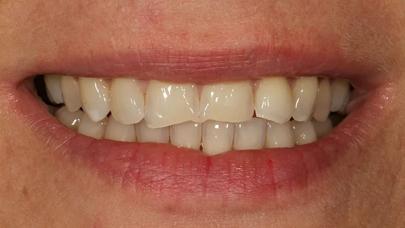
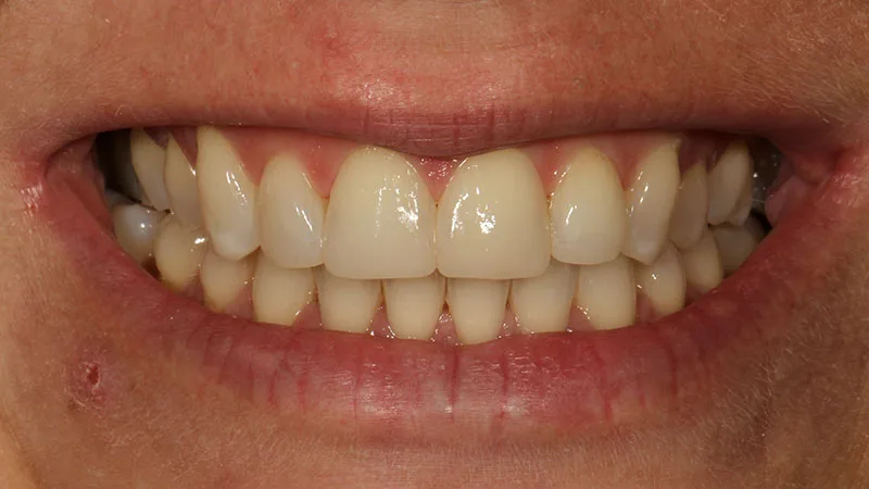
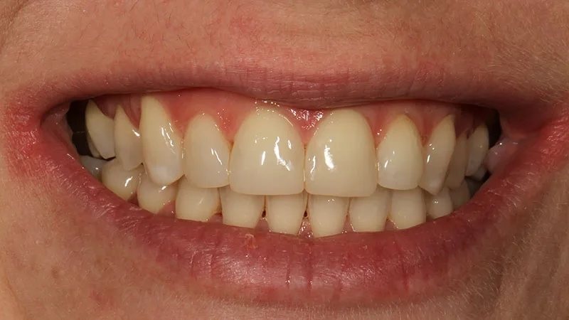
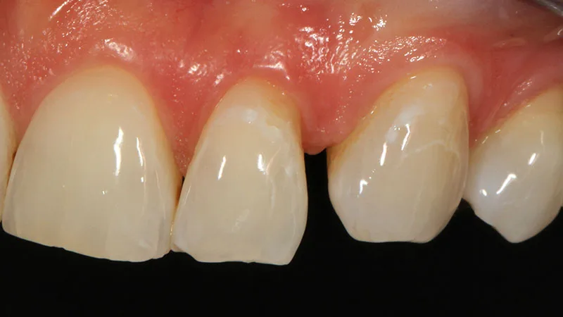
Der 62-jährige Patient stellte sich mit dem Wunsch nach einer Verbesserung seiner Frontzahnästhetik vor (Abb. 1). Vorrangig störten ihn die abgekauten Schneidekanten. Der Patient hatte keinerlei funktionellen Beschwerden, Press- und Knirschgewohnheiten bejahte er allerdings. Im Seitenzahnbereich imponierten vergleichbare okklusale Abrasionsdefekte. Der Patient wurde dahingehend aufgeklärt, dass bei ihm ein deutlicher vertikaler Dimensionsverlust vorliegt, der entweder prothetisch/restaurativ oder kieferorthopädisch therapiert werden könnte. Da der Patient keinerlei Beschwerden hatte, lehnte er eine Bisshebung im Seitenzahnbereich ab. Er wurde dahingehend aufgeklärt, dass dann nur limitierter Spielraum zum Wiederaufbau der Frontzähne besteht und zudem eine sehr große Gefahr erneuter Abfraktionen – diesmal der Aufbauten – bestünde. Dem Patienten war dies bewusst, er wünschte dennoch die restaurative Wiederherstellung der Frontzähne. Er zeigte sich auch bereit, nach Abschluss der Behandlung eine Schiene zu tragen, um zumindest in der Nacht das Risiko eines weiteren Abradierens der Schneidezähne zu reduzieren. Bei derartigen Belastungsszenarien kommt es nicht nur auf die Qualität des adhäsiven Verbundes, sondern mindestens genauso auf die physikalischen Eigenschaften des Restaurationskomposits an. Die Biegebruchfestigkeit ist hier der entscheidende Parameter, und dieser Wert ist bei Venus Pearl sehr hoch [5, 55, 56, 68, 69, 72]. Aus diesem Grund fiel die Wahl auf das bewährte, hochstabile Venus Pearl (Kulzer, Hanau) [31]. Venus Diamond wäre eine vergleichbare Alternative; die beiden Materialien unterscheiden sich nicht bzgl. ihrer mechanischen Eigenschaften: Kulzer bietet je nach Handlingspräferenz des Behandlers mit der Variante Diamond eine festere, stopfbare und mit der Variante Pearl eine cremigere Konsistenz. Bereits in einem vorangegangenen Termin wurden die beiden oberen Eckzähne mit Hilfe von Frasaco-Strip-Kappen (Frasaco, Tetnang) aufgebaut [40, 42]. Die Aufbauten sind bereits in der Abbildung 1 in situ. Die Literatur beschreibt, dass bei entsprechender Vorbehandlung und sorgfältiger Umsetzung derartige Kompositaufbauten auch im abrasiv geschädigtem Gebiss funktionieren [63, 64, 66].
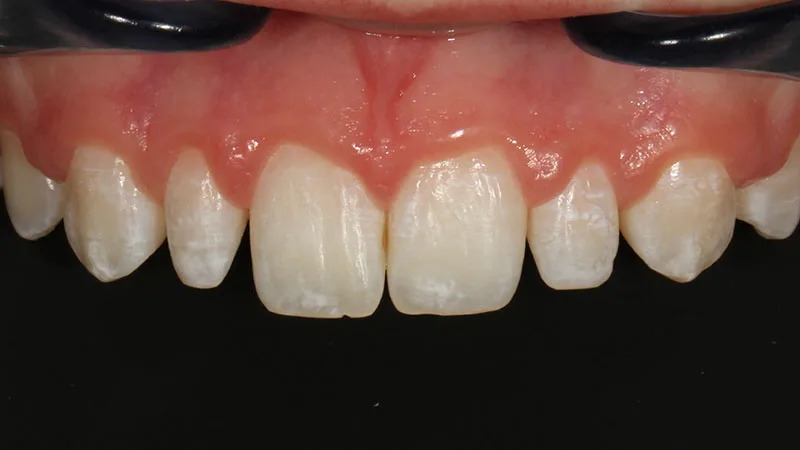
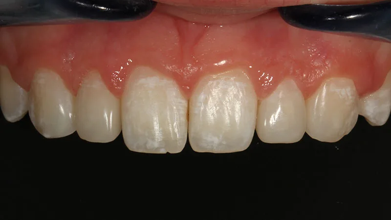
Es bestand Konsens mit dem Patienten, zunächst nur die beiden mittleren Schneidezähne aufzubauen. Da nicht eindeutig vorhersehbar war, wie weit die beiden mittleren Schneidezähne inzisal verlängert werden könnten, sollte so zumindest eine kleine optische Stufe zu den seitlichen Schneidezähnen realisiert werden. Als einzige Präparation erfolgte lediglich ein Anschleifen der Klebeflächen inklusive eines Abrundens der Kanten [24, 27]. Hierbei sollten bei der Präparation labial die Übergänge in Form eines abgerundeten „long bevel“ gestaltet werden, um über einen fließenden Verlauf zwischen Zahnhartsubstanz und Restaurationsmaterial die Restauration optisch „verschwimmen“ zu lassen. Entscheidend ist, sämtliche Abschrägungen und Übergänge rund zu gestalten, um eine Reflexion des einfallenden Lichtes in unterschiedliche Richtungen zu bewirken. [60]. Nach Kofferdamisolierung (Abb. 2) und der Anwendung eines klassischen „Total-Etch“-Mehrflaschenadhäsivs erfolgte der Aufbau der Schneidekanten einzeln für jeden Zahn unter der Formgebungsunterstützung durch einen um den Zahn geschlungenen Frasaco-Streifen. Die zu Beginn der Behandlung festgelegte Farbe schwankte zwischen A3, B3 bis hin zu einer D3. Die Festlegung auf eine einzelne Vita-Farbe war somit schwierig. Hierin liegt ein gewaltiger ästhetischer Vorteil eines vereinfachten Farbsystems: Bei Kompositfarben, die einen größeres Spektrum an Vita-Grundfarben abdecken, wie bei Venus Pearl Pure, traf die „Medium“-Helligkeit alle drei Einzelfarben und wurde aus diesem Grunde ausgewählt. Somit erleichtert ein derartiges Farbsystem nicht nur die Vorratshaltung, sondern auch die Farbbestimmung (Abb. 3).
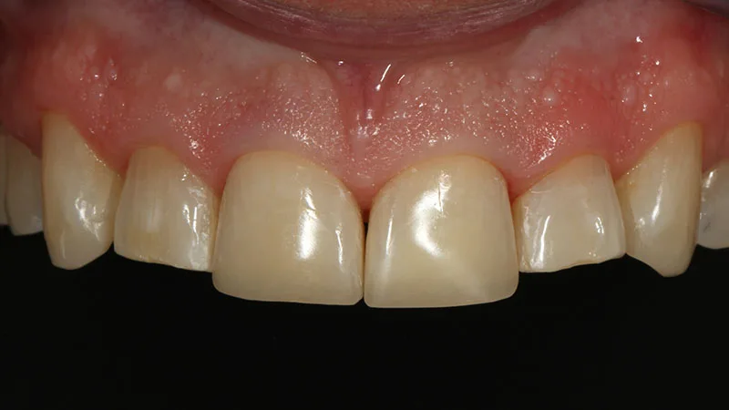
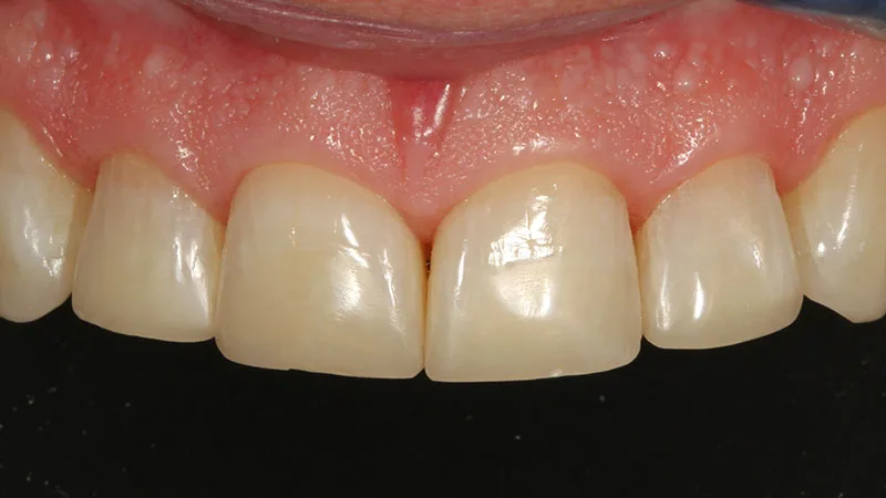
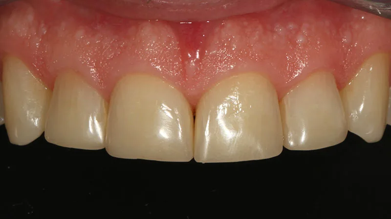
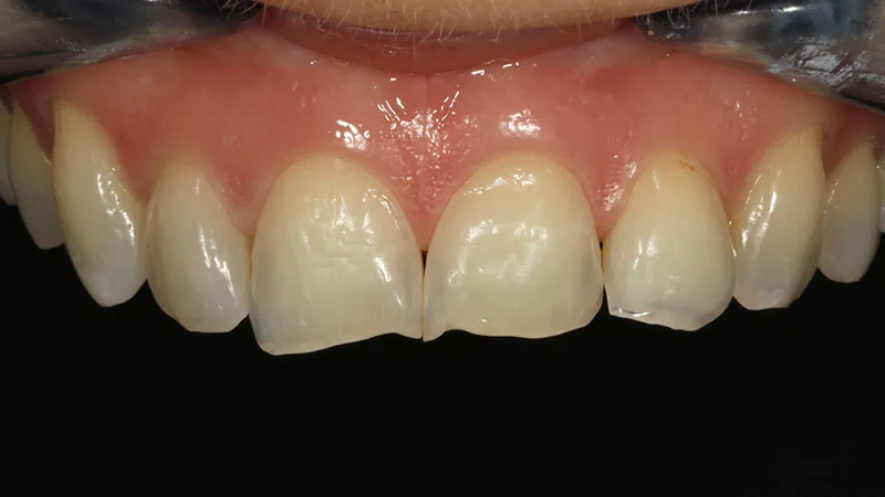
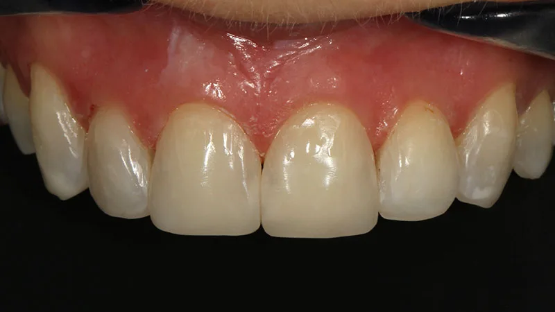
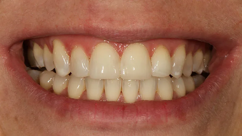
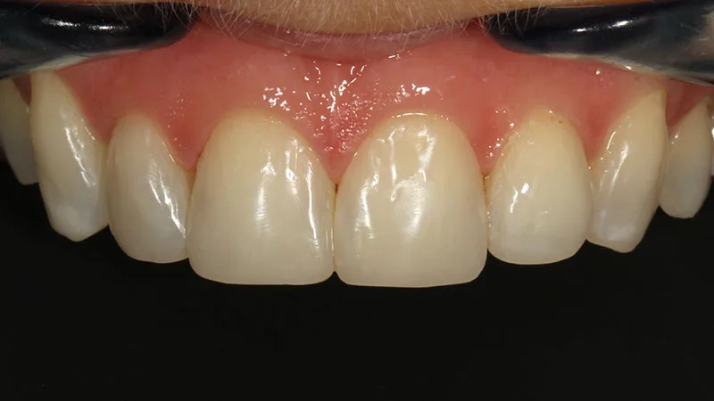
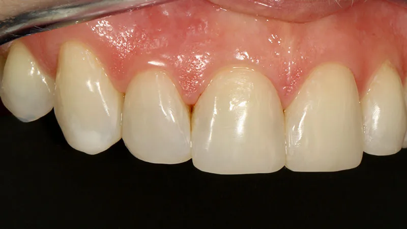
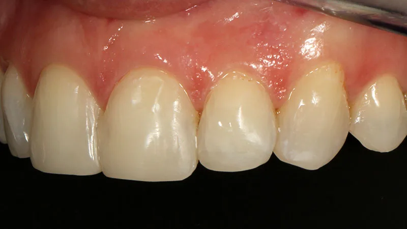
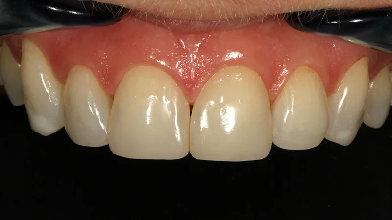
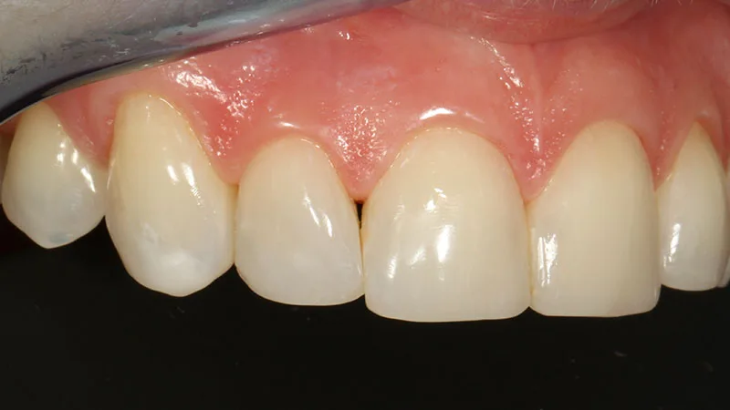
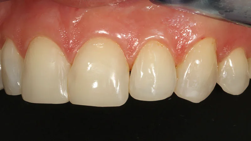
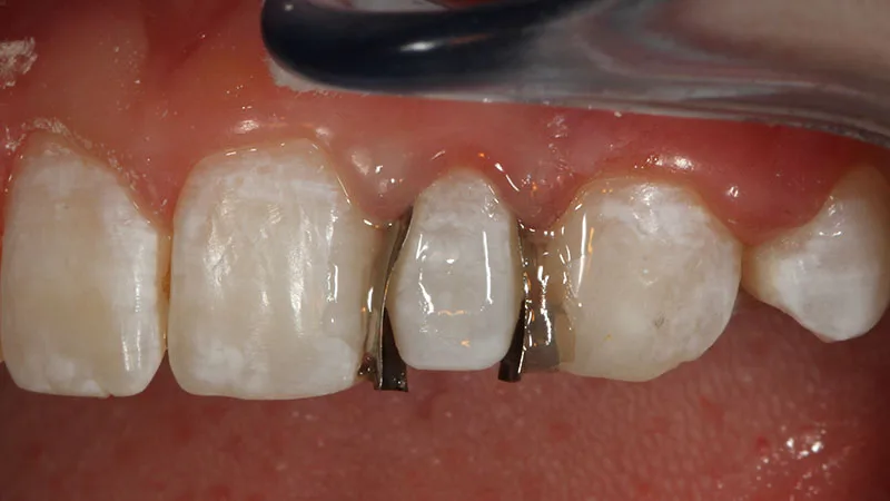
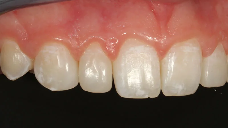
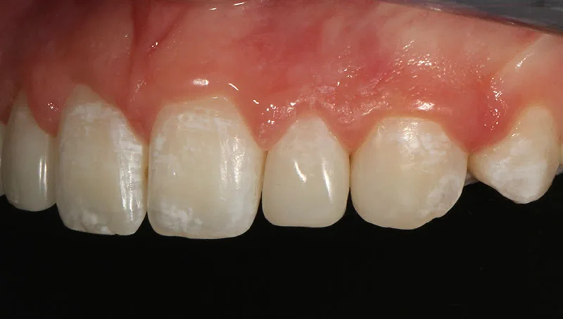
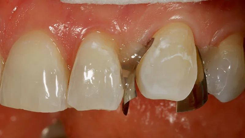
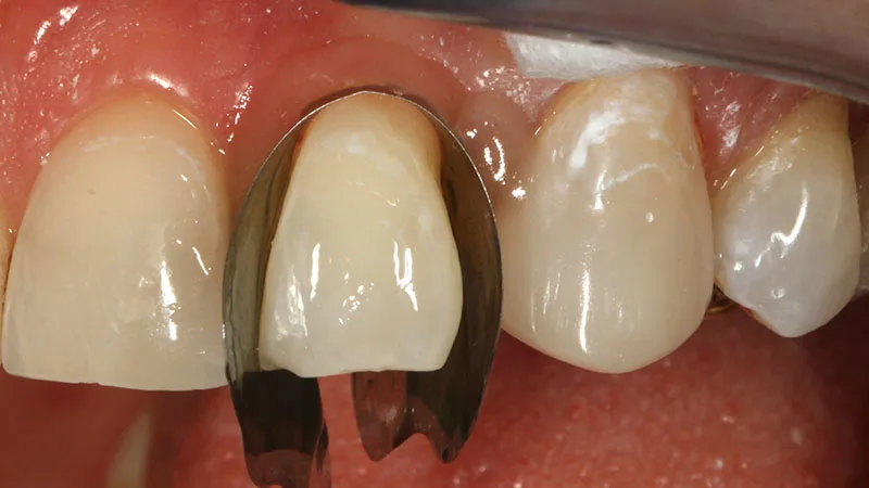
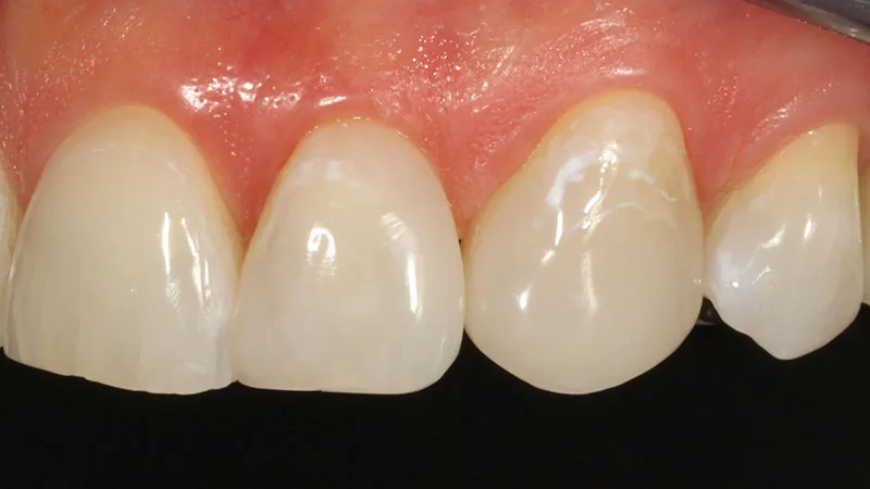
Venus Pearl Pure Medium wurde in drei Einzelinkrementen unter palatinalem Halt des Frasaco-Streifens eingebracht, ausmodelliert und ausgehärtet. Die inkrementelle Applikation war nicht irgendwelchen Durchhärtungstiefen geschuldet, sie erleichterte lediglich die Applikation und Formgestaltung. Beide mittleren Schneidezähne wurden separat aufgebaut. Abbildung 4 zeigt das Ergebnis nach Ausarbeitung und Politur: Die derart verlängerten Zähne störten weder in der Zentrik noch bei der Protrusion. Der Patient war freudig überrascht über das Ergebnis, welches ihm sehr gut gefiel. Bereits einige Wochen später stellte sich der Patient erneut mit dem Wunsch vor, nun auch die seitlichen Schneidezähne aufzubauen. Hierzu wurde weitere vier Wochen später ein neuer Termin angesetzt (Abb. 5). Das klinische Prozedere verlief identisch zum Aufbau der mittleren Schneidezähne. In der Abbildung 6 sind die Isolierung der Zähne mit Kofferdam und die approximale Separation mit Frasaco-Streifen erkennbar. Die Konditionie rung der Klebeflächen erfolgte mit 37,5%igem Phosphorsäuregel (Abb. 7). Die Abbildungen 8 und 9 zeigen die separierten, konditionierten und bereits mit dem Adhäsiv versiegelten seitlichen Schneidezähne, die Abbildungen 10 das Endergebnis nach Abschluss der Behandlung, während Abbildungen 11 und 12 das unveränderte Ergebnis acht Monate später dokumentieren. Der Patient ist mit der durchgeführten minimalinvasiven Versorgung sowohl ästhetisch als auch funktionell hochzufrieden. Er trägt allerdings weiterhin nachts eine Knirscherschiene.
Fall 2: Einzeitiger Schneidekantenaufbau von abrasiv/erosiv geschädigten Zähnen
Die 48-jährige Patientin hatte ein ähnliches Problem wie der Patient aus Fall 1 – nur ohne einen vertikalen Höhenverlust im Seitenzahnbereich (Abb. 13 und 14). Anamnestisch ergaben sich ein übermäßiger Genuss stark säurehaltiger Erfrischungsgetränke kombiniert mit Habits, die sich in einem stetigen Protrudieren der Unterkieferfront manifestierten. Es lag hiermit ein kombiniert erosiv/abrasiver Defekt vor. Mit der Patientin wurden alle möglichen ästhetischen und funktionalen Versorgungsformen (inklusive Veneers mit Schneidekanteneinfassung) durchdiskutiert. Die Patientin entschied sich aufgrund der weniger invasiven Therapieform für die direkten Kompositaufbauten ihrer Schneidezähne. Der Aufbau der Zähne erfolgte in derselben Art und Weise wie in Fall 1: Auch hier wurde jeder Zahn einzeln aufgebaut. Da die Grundfarbe der Zähne zwischen A1 und A2 lag, kam in dem Fall die Farbe „Light“ des Venus Pearl Pure-Komposits zum Einsatz. Die Abbildungen 15 und 16 verdeutlichen das Endergebnis der Behandlung unmittelbar nach Ausarbeitung und Politur, die Abbildungen 17 bis 20 bei einer weiteren Kontrolle nach vier Wochen und die Abbildungen 21 bis 25 bei der Einjahreskontrolle. Auch hier ergaben sich funktionell stabile Ergebnisse, die Ästhetik war unverändert, die Patientin sehr zufrieden. Es zeigten sich keinerlei kohäsive Ausbrüche oder Chippings im Komposit.
Fall 3: Approximaler Lückenschluss nach Kieferorthopädie
Die 16-jährige Patientin stellte sich nach abgeschlossener kieferorthopädischen Behandlung wegen eines restaurativen Lückenschlusses im Oberkiefer-Frontzahnbereich vor (Abb. 26 und 27). Beide seitlichen Schneidezähne waren deutlich kleiner als üblich, der Zahn 12 ähnelte fast schon einem Zapfenzahn. Kieferorthopädisch wurde eine schlüssige regelgerechte Klasse-I-Verzahnung erzielt. Die Größendiskrepanz zwischen den mittleren und seitlichen Schneidezähnen sollte in Folge restaurativ durch approximale Anbauten an die 2er kaschiert und damit auch die verbliebenen Lücken geschlossen werden. In so jungen Jahren sollte ein derartiger Patientenwunsch primär mit direkten Kompositanbauten gelöst werden [61] und noch nicht mit einem indirekten Veneer. Komplett nichtinvasiv ist allerdings die direkte Kompositversorgung auch nicht: Ein diskretes Anrauen der Schmelzoberfläche ist zur Vorbehandlung (und Reinigung) auf jeden Fall zu empfehlen. Das einzige Präparationsinstrument ist hier ein EVA-Kopf (KaVo Intra EVA L61R, KaVo, Biberach) in Kombination mit einer Intensiv Proxoshape Flexible-Hubfeile (PSF40, 4 0 μm, Intensiv, Schweiz).
Der Aufbau wurde in Form einer freihändigen Modellation ohne Zuhilfenahme eines Mock-ups mittels der modifizierten Verschalungstechnik geplant. Zur Ausformung der Approximalflächen wurden jeweils zwei zurechtgeschnittene Teilmatrizenfolien (Ultra thin flex Matrices small, SKU 91139-M, Zest Dental Solutions, CA, USA) vertikal inseriert und approximal außen mit Clip Flow (VOCO, Cuxhaven) fixiert (Abb. 28). Über die zervikal dicht anliegende Matrize erfolgt eine ausreichende Kontaminationskontrolle gegen aufsteigende Sulkusflüssigkeit. Aufgrund der gesunden parodontalen Verhältnisse war ein Arbeiten ohne Kofferdam möglich. Ein Foto-Abhalter (Hager&Werken) erlaubte das Abhalten der Lippen. Dieses Prozedere wurde durch den Autor bereits mehrfach publiziert [20,22,24,27]. Nach Phosphorsäurekonditionierung der Oberfläche (37,5%iges Ätzgel, über eine dünnlumige Typ-45-Kanüle (VOCO; entspricht Gauge 26 appliziert) erfolgte das Versiegeln der Klebefläche mit dem Adhäsiv des Mehrflaschensystems ohne Verwendung des Primers. Dies ist nur möglich, wenn die Klebeflächen – wie im vorliegenden Fall – ausschließlich im Zahnschmelz liegen. Alternativ wäre auch ein Universaladhäsiv sehr gut einsetzbar. Zervikal-approximal ist ein Flowable erforderlich: Nur mit einem niedrigviskösen Komposit ist es möglich, den spitzen Winkel in diesem zervikalen Bereich mit Restaurationsmaterial aufzufüllen. Passend zum ausgewählten Restaurationsmaterial Venus Pearl Pure Light kam hier erstmals das neue Venus Diamond Flow Pure Light zur Anwendung. Hier sollte zusätzlich unter Zuhilfenahme einer Explorersonde das Material verstrichen werden, um eventuell zervikal eingeschlossene Luftblasenzu eliminieren. Es sollte situativ entschieden werden, ob das Flowable separat gehärtet wird (wie hier geschehen) oder gemeinsam mit dem danach eingebrachten und ausmodellierten pastösen Material in Form der „Snowplough-Technik“ [48,65,77].
Der Aufbau erfolgte frei Hand ausschließlich mit Venus Pearl Pure in der Farbe Light. Als zusätzliches Modellationsinstrument kam das OptraSculpt (Ivoclar, Schaan, Liechtenstein) mit dem kleinen Applikationspad zum Einsatz. Es wurde im Vorfeld lange überlegt, ob noch weiße Akzentierungen in das Komposit eingelegt werden sollten. Da alle Nachbarzähne derartige weiße Flecken enthalten, wurde dies zu einem gleichförmigeren Frontzahn- Erscheinungsbild führen. Als Akzentierungsfarbe für derartige Indikationen hat sich der Venus Diamond Flow Baseliner bestens bewährt. Die Patientin lehnte diesen Vorschlag aber vehement ab, da ihr die weißen Flecken überhaupt nicht gefallen und sie überlegt, zu einem späteren Zeitpunkt diese entweder durch Mikrofüllungen oder eine Infiltrationsbehandlung entfernen zu lassen. Dementsprechend wurde ihrem Wunsch entsprochen, diese Akzentuierungen nicht vorzunehmen. Die Abbildungen 29 bis 32 zeigen das Behandlungsergebnis zwei Wochen nach dem Aufbau der seitlichen Schneidezähne. Die Patientin ist mit der neuen Form ihrer seitlichen Schneidezähne sehr zufrieden. Die Farbe Light matcht hervorragend zum Grundton des Zahnes als auch zur Grundfarbe der Nachbarzähne.
Fall 4: Zahnumformung und Lückenschluss
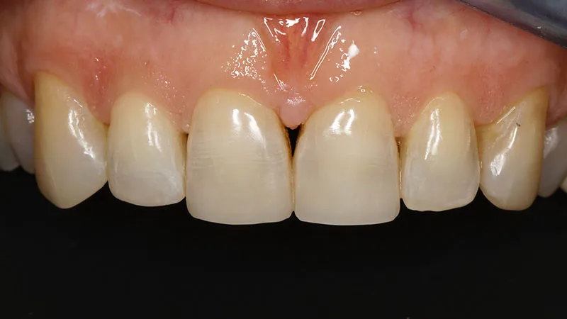
Die 49-jährige Patientin störte sich seit Jahren an ihrer Zahnlücke zwischen den Zähnen 22 und 23 (Abb. 33). Dass sie sich parallel hierzu auch den Eckzahn stark abradiert hatte, fiel ihr dabei gar nicht auf. Einen unilateraler Lückenschluss nur über einen distalen Anbau an den Zahn 22 zu realisieren, erschien ungeeignet, da hierbei der seitliche Schneidezahn im direkten Vergleich zum mittleren Schneidezahn unverhältnismäßig breit werden und somit aus dem „Goldenen Schnitt“ fallen würde. Man kam deswegen überein, den Lückenschluss über eine bilaterale Verbreiterung der beiden Zähne 22 und 23 zu bewerkstelligen und den Eckzahn zusätzlich inzisal wieder aufzubauen. Als Zielfarbe wurde erneut A1- A2 festgelegt, was der „Light“-Variante des Venus Pearl Pure entspricht. Die Neuversorgung begann mit dem Aufbau des Eckzahnes. Hinsichtlich der Verschalung, der adhäsiven Vorbehandlung, der Applikation einer kleinen Portion Venus Diamond Flow Pure Light und der freihändigen Aufmodellation entsprach das Vorgehen 1:1 dem im Fall 3 beschriebenen Prozedere (Abb. 34). Für den Aufbau des Eckzahnes fiel die Wahl aus zwei Gründen auf Venus Pearl Pure: Zum einen dessen hohe mechanische Stabilität, was bei einem derartigen Eckzahnaufbau mit entsprechenden parafunktionalen Kräften sicherlich von Vorteil ist, zum anderen aber die Eigenschaft der „Mischfarbe“. Eckzähne sind aufgrund ihres dünneren Schmelzmantels in der Regel eine Nuance dunkler als die mittleren Schneidezähne, für die eine A1 ausgewählt wurde. Im vorliegenden Fall erscheint der Eckzahn fast genau so hell wie der seitliche Schneidezahn. Bei einer regulären Farbmaterialauswahl würde man über eine reine A2-Versorgung des Eckzahnes nachdenken oder über eine Kombination aus A2 im zervikalen und mittleren Drittel und einer A1 im inzisalen Drittel. Die „Hybridfarbe“ Light deckt hier beide Farbtöne (und noch weitere) ab und matchte von der Farbe mit dem Eckzahn hervorragend.
Nach Ausarbeitung und Politur des Zahnes 23 wurde der seitliche Schneidezahn eingeschalt. Da an diesem Zahn auch der Zahnhals eingefasst werden sollte (nur so konnte ein gleichmäßiges und optisch ansprechendes Emergenzprofil gestaltet werden), fiel die Wahl auf eine Unica-Matrize (Polydentia, Schweiz, Abb. 35). Diese, von der Style Italiano-Gruppe zusammen mit Polydentia entwickelte Matrize ist für gleichzeitige approximal-zervikale Einschalungsaufgaben hervorragend geeignet [34,30,35,37]. Das weitere Prozedere der Adhäsivanwendung war identisch zu Zahn 23, es kam dann ebenfalls eine kleine, separat polymerisierte Portion Venus Diamond Flow Pure Light im zervikalen Anteil zum Einsatz. Als Restaurationsmaterial wurde dann aber bewusst mit Filtek Supreme XTE A1B ein Highend-Ästhetik-Komposit in der beschriebenen, vereinfachten „Go-to“-Auswahl einer geeigneten Body-Farbe eingesetzt. Hintergrund dieser Entscheidung war es, einen direkten Vergleich des vereinfachten Farbkonzeptes von Venus Pearl Pure mit dem traditionellen, etablierten Ästhetik-Komposit zu bekommen. Das ästhetische Ergebnis nach Ausarbeitung und Politur (Abb. 36) spricht für sich: Es war kein Unterschied in der erzielten Ästhetik erkennbar, beide Materialien ließen sich hervorragend auf Hochglanz polieren (Sof-Lex XT Pop-On, Solventum, Diacomp Plus Twist-Polierer, EVE). Die erzielte Form ergab im Höhen- zu Breitenverhältnis ein harmonisches Erscheinungsbild, zusätzliche Schmelz- oder Effektmassen wären eher abträglich gewesen.
Fall 5: Inzisalkanten-Aufbauten in der Unterkiefer-Front
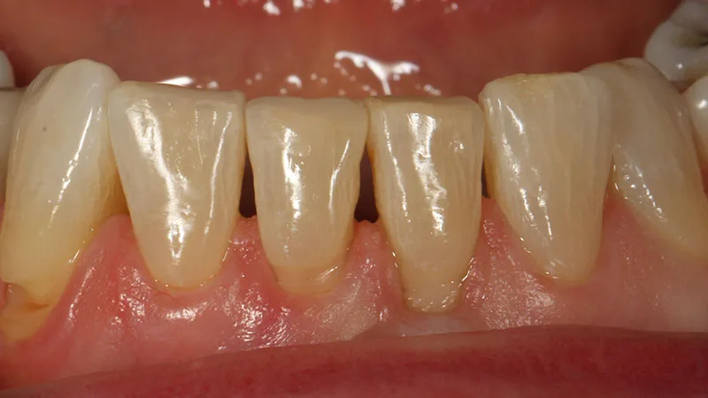
Bei der 61-jährigen Patientin waren ausgebrochene Inzisalkanten der Zähne 31-42 aufzubauen. Bei der Materialauswahl zur Versorgung solcher inzisaler Klasse-IFüllungen steht die gesamte Palette an Restaurationsmaterialien zu Verfügung: von Flowables bis hin zu pastösen Materialien. Ein ähnlicher Fall, versorgt mit einem niedrigviskösen Material, wurde erst jüngst publiziert [41]. Nach Kofferdamisolierung und Phosphorsäureätzung im Sinne des „Total Etch“ (37,5%ig, Gel Etchant Kerr, Abb. 37) erfolgte nach sorgfältigem Abspülen die Applikation eines Universaladhäsivs. Universaladhäsive stellen heute den idealen Kompromiss aus Qualität und Anwendungsvereinfachung für derartige Indikationen dar [45]. Zur Applikation des Adhäsivs kam hier ein sehr schmaler Micro-Brush zum Einsatz, da nur dieser eine Erreichbarkeit des schmalen, inzisalen „Schachtes“ bis zum Kavitätengrund ermöglichte. Die Kompositversorgung erfolgte in diesem Fall ausschließlich mit einem pastösen Material – hier mit Venus Diamond Pure und der Farbe „Dark“. In der Abbildung 38 sind die bereits polymerisierten und grob mit einer Soflex XT Pop-On Scheibe konturierten Aufbauten erkennbar. Die Abbildung 39 zeigt die sehr gute Farbanpassung der ausgearbeiteten und polierten Restaurationen. Die Patientin zeigte sich beeindruckt von dieser doch kleinen, aber hocheffektiven Versorgungsvariante.
Fall 6: Inzisalkanten-Aufbauten der mittleren oberen Schneidezähne und eines Eckzahnes
Bei der ebenfalls 61-jährigen Patientin (Abb. 40), die sich nach erfolgreicher kieferorthopädischer Vorbehandlung vorstellte, kam hingegen eine Kombination aus zwei Farben des Pure-Systems zur Anwendung: Die Farbe „light“ bei den beiden mittleren oberen Schneidezähnen, bei dem Eckzahn 13 die Farbe „medium“. Für den Aufbau aller drei Zähne wurden die PLTs des Materials in einem Vorwärmeöfchen (Calset, Addent, Danbury, USA) angewärmt [40] und mit Hilfe von individuell ausgewählten und zurecht geschnittenen Frasaco-Kappen auf die abgerundeten Präparationsflächen vorsichtig abgepresst. Die Verwendung einer derartigen Mono-Farbe erleichtert ein derartiges Vorgehen bei kleinen Aufbauten. Da es in dem vorliegenden Fall primär auf die Stabilität ankam, fiel die Wahl auf ein Produkt der Venus Diamond/Venus Pearl-Familie. Die etwas weichere Konsistenz des Venus Pearl begünstigt (neben dem Anwärmen) natürlich das Abpressen mit Hilfe einer Frasaco-Kappe. Das ästhetische Potenzial dieser Mono-Farbe ergibt zudem den gewünschten, unauffälligen ästhetischen Effekt (Abb. 41 und 42). Die Länge des Eckzahnes 13 entspricht nun dem des Zahns 23, die Schneidekanten der neu aufgebauten mittleren oberen Schneidezähne sind horizontal ausgerichtet.
Fazit
Der Hauptvorteil von Kompositsystemen mit einer reduzierten „Basis“-Farbauswahl liegt nicht alleine in der optimierten Vorratshaltung, er liegt primär in der einfacheren Farbauswahl, da es bei Farbübergängen im Zahn oder in Fällen unklarer Farbbestimmung (A2 oder B2, A3 oder C3,….) aufgrund der Einfachheit und des strukturierten Farbangebotes definitiv Zeit spart und vorhersehbarere ästhetische Möglichkeiten eröffnet. Laut Angaben des Herstellers können mit den vier Farben 90 % aller Bedürfnisse an ästhetische adhäsive Restaurationsmaterialien im Front- und Seitenzahnbereich abgedeckt werden. Was ist aber mit den restlichen 10 %? Das sind anspruchsvollere Fälle, in denen Schichtsysteme mit dezidierteren Farbpaletten doch ihre Vorteile ausspielen können. Wenn Sie ohnehin ein klassisches, auf allen Vita-Farben basierendes Kompositsystem haben, sollten sie es auf jeden Fall behalten. Es macht aber durchaus Sinn, dieses dann um z.B. die Pure-Farben zu ergänzen – entweder für die ganz einfachen Fälle oder die kritischen, in denen Sie sich bei der Einzelfarbbestimung nicht sicher sind; hierin liegt der entscheidende Vorteil des Systems!
Entdecke CME Artikel
















































Keine Kommentare.