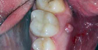
Ein Patient stellte sich in unserer Praxis vor und beschrieb im Gespräch zunächst eine Erhebung am Zahnfleisch regio 26. Diese beobachte er bereits seit mehreren Wochen, abgesehen von einer hin und wieder auftretenden Sekretentleerung habe er aber nur gelegentliche Beschwerden. Auch die vorherige Untersuchung bei einem anderen Behandler habe keine Ursache für die Erhebung am Zahnfleisch ergeben. Hier sei, so wörtlich, „eigentlich nichts“ festzustellen.
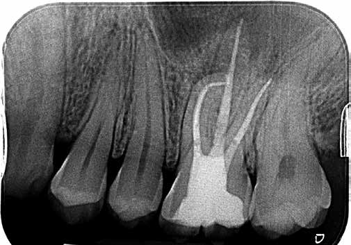
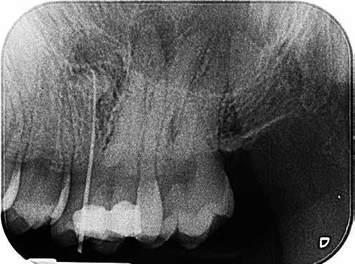
Bei der Diagnose des schmerzfreien Patienten stellte sich die beschriebene Erhebung schließlich als Fistel heraus (Abb. 1). Der Zahn 26 sowie die Nachbarzähne wurden zunächst einer Sensibilitätsprüfung unterzogen, wobei der Kältetest an Zahn 26 negativ ausfiel. Im Anschluss erfolgte dann die Anfertigung der diagnostischen Röntgenaufnahmen (Abb. 2 und 3). Dazu wurde ein Guttapercha-Stift in den Fistelgang eingebracht, um die Lokalisation der Entzündung zu erleichtern. Speziell bei der distal exzentrischen Aufnahme ließ sich dabei an 2 Wurzelspitzen des Zahns 26 die Entzündung ausmachen (Abb. 2). Insofern war in diesem Fall eine endodontische Behandlung des Zahnes angezeigt. Für diese wurde sogleich ein Folgetermin vereinbart.
Dr. Bruno Szabo
Dr. Bruno Szabo
Dr. Bruno Szabo
Behandlungssitzung
In der 1. Sitzung wurde der zu behandelnde Zahn zunächst mithilfe eines Diamantbohrers trepaniert. Das Pulpakammerdach wurde dann mit einem langschaftigen Rosenbohrer vollständig entfernt und der Pulpakammerboden dargestellt. Hierbei wurden zugleich auch die Dentinüberhänge abgetragen, wodurch die Kanaleingänge dargestellt werden konnten. Sie wurden anschließend mit K-Feilen der ISO-Größe 8 sondiert. Danach begann die Schaffung der Sekundärkavität (sog. Preflaring zum Entfernen/ Bearbeiten von Dentinüberhängen an den Kanaleingängen) mit einer reziprok rotierenden Feile (WaveOne Gold, Primary, Dentsply Sirona), ISO 25. Dabei wurde darauf geachtet, mit bürstenden Bewegungen nach außen hin zu arbeiten, und das nur im oberen Kanaldrittel. Eine intensive Spülung mit Natriumhypochlorit sowie die Sondierung mit einer K-Feile ISO 8 wurden nach jeder Anwendung der Feile vorgenommen. Für die Aktivierung der Spülflüssigkeit kam dabei ein Schallsystem zum Einsatz. Vor der Versorgung des Zahnes mit einer medikamentösen Einlage (AH Temp, Dentsply Sirona) und einer provisorischen Deckfüllung wurde die Wurzelkanallänge endometrisch bestimmt. Alle Arbeitsschritte wurden unter Kofferdam vorgenommen.
Definitive Versorgung
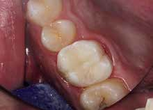
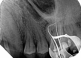
Als sich der Patient immer noch schmerzfrei 4 Wochen später im Rahmen des Termins zur definitiven Versorgung in der Praxis vorstellte, war lediglich noch das Fistelmaul, aber keine Erhebung am Zahnfleisch mehr zu sehen (Abb. 4). Nachdem auch sonst keine Auffälligkeiten festzustellen waren, wurde wie geplant mit der endgültigen Versorgung des Zahnes 26 begonnen. Hierfür wurde zunächst eine Isolierung des Zahnes mit Kofferdam vorgenommen (Abb. 5). Für ein genaueres Bild vom Verlauf der Wurzelkanalanatomie lieferte eine Kontrastaufnahme mithilfe von K-Feilen und eines Silberstiftes, mb2, (Abb. 6) die notwendigen Informationen. Dabei stellte sich heraus, dass insbesondere einer der Kanäle sich durch eine außerordentliche Krümmung von beinahe 90° auszeichnete (Abb. 7).
Dr. Bruno Szabo
Dr. Bruno Szabo
Dr. Bruno Szabo
Dr. Bruno Szabo
Aus diesem Grund fiel die Wahl für die sich anschließende Aufbereitung auf ein Feilensystem mit besonders hoher Flexibilität und Festigkeit (WaveOne Gold, Dentsply Sirona). Vor der eigentlichen Aufbereitung erfolgte das Anlegen eines Gleitpfads mit geeigneten Gleitpfadfeilen für stark gekrümmte Kanäle (PathFile, Dentsply Sirona) mit einem weniger starken Taper (02) in aufsteigender Größe (ISO 13, 16 und 19). Die Aufbereitung wurde im Anschluss mit der Primary-Feile (rot 25/07) sowie der Medium-Feile (grün 35/06) des Feilensystems vorgenommen. Jedem Feilengang schloss sich dabei eine gründliche Spülung anhand eines gängigen Spülprotokolls an.
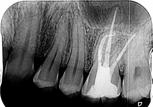
Nach der Aufbereitung wurden die Wurzelkanäle mit zum Feilensystem passenden Guttapercha-Mastercones (Conform Fit Technologie) bestückt. Ihr einwandfreier Sitz im Kanal ließ sich mithilfe einer Masterpointaufnahme kontrollieren (Abb. 8). Mithilfe warmvertikaler Kompaktion konnten die Wurzelkanäle danach gefüllt werden (Abb. 9). Aufschluss über die Passung dieser Füllung gab eine Backfill-Aufnahme (Abb. 10).
Dr. Bruno Szabo
Dr. Bruno Szabo
Dr. Bruno Szabo
Der Blick auf das Röntgenbild zeigte eine suffiziente Füllung, sodass mit der Deckfüllung begonnen werden konnte.
Zu diesem Zweck wurden die Kanäle zunächst bis zum Pulpakammerboden mit einem besonders fließfähigen Flow-Komposit gefüllt. Anschließend kam ein fließfähiges Bulkfill-Komposit (SDR, Dentsply Sirona) zum Einsatz, das in mehreren Inkrementen eingebracht wurde (Abb. 11 bis 14). Für die Höckergestaltung wiederum wurde ein universelles nanokeramisches Füllungsmaterial (Ceram.x universal, Dentsply Sirona – der Werkstoff ist mittlerweile unter dem Namen Ceram.x Spectra ST HV erhältlich) verwendet (Abb. 15 und 16).
Dr. Bruno Szabo
Dr. Bruno Szabo
Dr. Bruno Szabo
Dr. Bruno Szabo
Dr. Bruno Szabo
Dr. Bruno Szabo
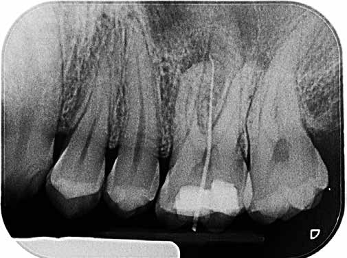
Das klinische Endergebnis (Abb. 17) stellte den Patienten und mich als Behandler zufrieden. Auch die Röntgenkontrollaufnahme nach der Behandlung bestätigte den Erfolg (Abb. 18). Bei der Kontrolluntersuchung 1 Jahr nach der Behandlung stellte sich der Patient komplett beschwerdefrei in der Praxis vor. Die bei diesem Termin angefertigte Röntgenkontrollaufnahme ließ eine vollständige Remission der apikalen Aufhellung erkennen (Abb. 19).
Dr. Bruno Szabo
Dr. Bruno Szabo
Dr. Bruno Szabo
Diskussion
Beim vorliegenden Fall erscheinen 2 Aspekte besonders interessant: Einerseits macht er deutlich, dass eine eher untypische und zudem schmerzfreie Ausgangssituation einen endodontischen Behandlungsbedarf keineswegs ausschließt. Andererseits wird ersichtlich, wie Konzepte für eine durchgehende Behandlung von der Wurzel bis zur Krone in der Praxis zum Einsatz kommen können. Konkret war es hier das System „R2C – The Root to Crown Solution“ von Dentsply Sirona, welches zahlreiche der verwendeten Komponenten beinhaltet (Feilensystem, medikamentöse Einlage, Guttapercha, Bulkfill-Komposit, nanokeramisches Füllungsmaterial). Da dieses Behandlungskonzept verschiedene Lösungswege ermöglicht, etwa indem es direkte sowie indirekte Restaurationen miteinschließt, oder indem es verschiedene Feilensysteme umfasst, sollen 2 der getroffenen Behandlungsentscheidungen hier näher erläutert werden.
In diesem Zusammenhang sei zunächst das gewählte Feilensystem erwähnt: Mit WaveOne Gold fiel die Wahl bewusst auf ein reziprok arbeitendes Ein-Feilen-System, dessen Feilen über ein hohes Maß an Flexibilität verfügen. Das wärmebehandelte Material sorgt für ein geringeres Frakturrisiko und somit für ein erhöhtes Maß an Arbeitssicherheit. Gleichzeitig verringert sich so auch die Gefahr einer Formveränderung oder einer Verlagerung des Kanals. Darüber hinaus erlaubt das System ein höheres Arbeitstempo. Um einen guten Austausch der Spülflüssigkeit und somit eine adäquate Desinfektion der Wurzelkanäle zu gewährleisten, wurde zudem auf eine apikale Präparation bis zur ISO-Größe 35 Wert gelegt.
Mit Blick auf die koronale Versorgung fiel die Entscheidung zugunsten einer direkten Füllung mit Bulkfill-Komposit. Der nur von distal geringfügig zu erkennende Abriss vom Kavitätenrand beeinträchtigt die Prognose des Zahns nicht und wurde deswegen belassen. Da der zu behandelnde Zahn gänzlich kariesfrei war, konnte mit einer rein okklusalen Kavität gearbeitet werden. Auf diese Weise kam ein deutlich geringerer Stabilitätsverlust zustande als bei Kavitäten mit Beteiligung von Seitenflächen. Der Wiederaufbau der Krone als direkte Kompositversorgung stellte vor diesem Hintergrund kein Problem dar und führte zu einer schnellen, vollständig chairside realisierbaren Therapie.
Bildquellen sofern nicht anders deklariert: Unternehmen, Quelle oder Autor/-in des Artikels
Entdecke CME Artikel



Keine Kommentare.