Viele Patienten leiden erheblich unter einem dauerhaft trockenen Mund. So ist die mundgesundheitsbezogene Lebensqualität von Patienten mit Mundtrockenheit vielfach sehr viel geringer als von Patienten ohne Mundtrockenheit [4,9]. Dabei spielt es meist keine Rolle, ob die Mundtrockenheit im Sinne einer echten Verminderung der Speichelfließrate (Hyposalivation) objektivierbar ist, lediglich als subjektives Empfinden der betroffenen Patienten besteht (Xerostomie) oder beide Varianten gleichzeitig vorliegen.
Man sollte davon ausgehen, dass etwa jeder fünfte Erwachsene von Mundtrockenheit betroffen ist, wobei diese in verschiedenen Schweregraden vorkommt. Sehr ausgeprägte Formen treten typischerweise als Folge von Autoimmunerkrankungen oder Bestrahlungen von Malignomen auf; manchmal sind sie auch bedingt durch Einnahme von stark xerogenen Medikamenten. Weiterhin sind auch mildere Verlaufsformen, z.B. bei Patienten mit Diabetes mellitus, häufig.
Patientenfall
Kurz nach meinem Wechsel von Regensburg nach Leipzig wurde mir einer meiner ersten Patienten von einer niedergelassenen Kollegin überwiesen, verbunden mit der Bitte um Abklärung einer etwaigen Mundtrockenheit und mögliche Behandlungsvorschläge vor umfangreicher prothetischer Versorgung. Der Patient war ein typischer Patient mit Mundtrockenheit – etwa 55 Jahre alt, Zustand nach Bypass-Operation und seit einiger Zeit unter Dauermedikation mit etwa neun verschiedenen Medikamenten, darunter Metoprolol, ASS, Candesartan, Hydrochlorothiazid und Allopurinol. Die überweisende Kollegin berichtete, dass sie seit etwa 2 Jahren – zeitlich kongruent mit einer Herzoperation – eine deutliche Zunahme der Kariesaktivität beobachten würde; sie hätte wiederholt schon verschiedene konservierende Maßnahmen durchgeführt und sei insgesamt unzufrieden mit der klinischen Situation, die schlussendlich eine umfassende prothetische Rehabilitation mit Kronen erfordern würde.
Ingolf Riemer, Universitätsklinikum Leipzig
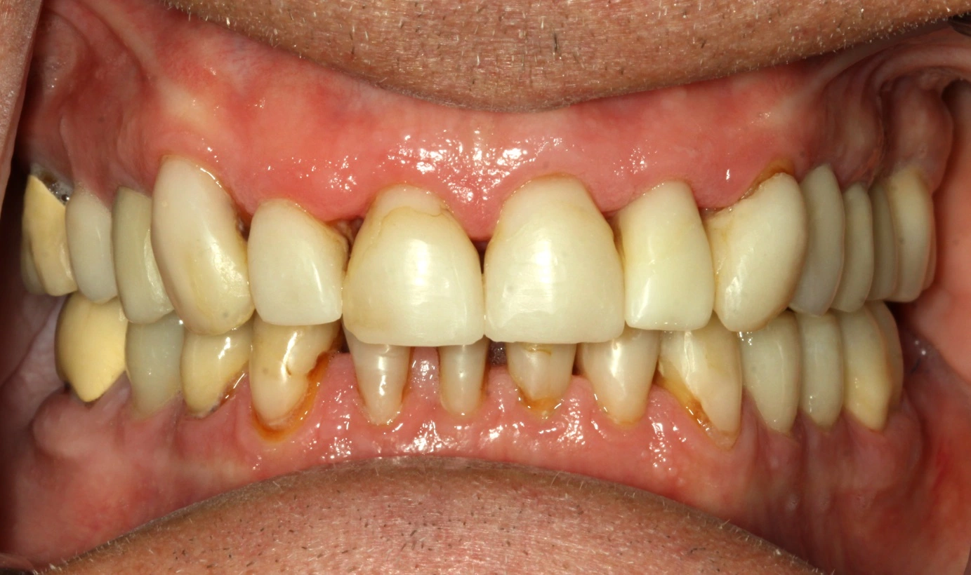
Die klinische Untersuchung zeigte schließlich das typische Bild eines Patienten mit ausgeprägter medikamentenassoziierter Mundtrockenheit (Abb. 1): schaumig-blasiger Speichel mit hoher Viskosität, fehlende Bildung eines Speichelsees (sog. „saliva pooling“) und zirkumferent im Zahnhalsbereich lokalisierte kariöse Läsionen, die zum Teil mit direkten Füllungsmaterialien versorgt worden waren. Interessanterweise war dem Patienten seine Mundtrockenheit selbst gar nicht so bewusst; vielmehr beobachtete er seit einigen Jahren erstaunt, dass trotz regelmäßiger Besuche beim Zahnarzt und überdurchschnittlicher Mundhygiene wiederholt invasive zahnärztliche Maßnahmen erforderlich waren. Nicht zuletzt aus diesem Grund empfiehlt es sich, in den zahnärztlichen Anamnesebogen eine Frage zur Mundtrockenheit zu implementieren.
Therapie richtet sich nach dem Ausprägungsgrad
Wie geht man nun in der Behandlung eines derartigen Patienten mit Mundtrockenheit vor? Welche Aspekte gilt es zu beachten – und gibt es eine einfache und allgemeingültige Lösung? Leider muss man in diesem Zusammenhang konstatieren, dass bis zum heutigen Tag kein allgemeingültiges Konzept für die zahnärztliche Betreuung von Patienten mit Mundtrockenheit existiert. Aufgrund der heterogenen Ätiologie und des individuell stark unterschiedlichen Leidensdruckes der betroffenen Patienten sowie der unterschiedlichen Bedürfnisse von unbezahnten, teilbezahnten und bezahnten Patienten muss die Therapie prinzipiell sehr individuell gestaltet werden. Dabei gilt, dass sich die Behandlung von Mundtrockenheit immer an ihrem Ausprägungsgrad orientieren sollte; hierbei kann z.B. die Bestimmung der Speichelfließrate einen wertvollen Hinweis geben und auch in forensischer Hinsicht relevant sein.
Bei der sog. Sialometrie unterscheidet man zwischen der Bestimmung der unstimulierten bzw. der stimulierten Speichelfließrate. Dabei sollte man – insbesondere bei wiederholten Messungen bei demselben Patienten – möglichst standardisiert vorgehen und die Messung immer zur selben Tageszeit (idealerweise am Vormittag) durchführen; der Patient sollte wenigstens 90 Minuten zuvor nicht getrunken oder gegessen und keine Mundhygienemaßnahmen betrieben haben. Für die Bestimmung der nicht stimulierten Speichelfließrate spült der entspannt sitzende Patient seinen Mund zunächst mit Wasser aus, verwirft den in der Mundhöhle verbliebenen Speichel und expektoriert dann für einen Zeitraum von etwa 5 Minuten den produzierten Speichel in ein Sammelgefäß (hierfür ist häufig ein kleiner Trichter hilfreich). Durch Umfüllen in ein Messgefäß kann anschließend die Speichelfließrate pro Minute leicht errechnet werden. Für die Bestimmung der stimulierten Speichelfließrate wird weitgehend analog vorgegangen, allerdings wird der Speichelfluss durch Kauen auf ein Paraffinpellet (z.B. erhältlich als Bestandteil von Kariesrisikotests) mit einer Frequenz von etwa einer Kaubewegung/Minute angeregt.
Persönlich zieht der Autor die Bestimmung der stimulierten Speichelfließrate vor, da gerade bei Patienten mit ausgeprägter Mundtrockenheit die gesammelten Volumina bei fehlender Anregung des Speichelflusses gering sind und eine exakte Quantifizierung manchmal schwierig ist. Während in verschiedenen Publikationen unterschiedliche Werte kursieren, geht man im Allgemeinen davon aus, dass eine Speichelfließrate von weniger als 0,1 ml/min (nicht stimuliert) resp. 0,5 ml/min (stimuliert) das Vorliegen einer Hyposalivation anzeigt [6]. Im dargestellten klinischen Fall ergab die Bestimmung der stimulierten Speichelfließrate einen Wert von 0,8 ml/min – wenig, aber immer noch ein wenig oberhalb des gemeinhin akzeptierten Grenzwertes; letzterer ist vor allem für die Beantragung von Ausnahmeindikationen, etwa zur Rehabilitation mit implantatgetragenem Zahnersatz bei Patienten nach Tumorerkrankungen, relevant.
Mundtrockenheit: häufigste orale Nebenwirkung vieler Medikamente
Im oben beschriebenen klinischen Beispiel war die Mundtrockenheit Folge der Einnahme einer Vielzahl von Medikamenten mit zum Teil xerogenen Eigenschaften. Während sich bis dato nur wenige wissenschaftliche Arbeiten der Untersuchung von xerogenen Eigenschaften gewidmet haben, ist bekannt, dass die Prävalenz der Mundtrockenheit signifikant mit der Anzahl an Grunderkrankungen und der Anzahl an eingenommenen Medikamenten steigt [15,18]. Mundtrockenheit gilt als häufigste orale Nebenwirkung vieler Medikamente; besonders häufig wird sie z.B. bei Einnahme von Psychopharmaka, Neuroleptika, Antidepressiva oder Antihypertonika beobachtet. Im Zusammenhang mit der Behandlung der Hypertonie konnten Djukic et al. nachweisen, dass Enalapril als Monopräparat keine xerogenen Eigenschaften aufweist, wohingegen bei Patienten, die mit Kombinationen von Enalapril mit Metoprolol oder Hydrochlorothiazid behandelt wurden, ausgeprägte Mundtrockenheit beobachtet wurde [3].
Der beschriebene klinische Fall ist typisch und zeigt, wie schwierig eine kausale Behandlung der Mundtrockenheit häufig ist. So ist eine Umstellung von xerogenen Medikamenten auf Präparate mit weniger xerogenen Eigenschaften prinzipiell denkbar, scheitert aber in vielen Fällen an der übergeordneten medizinischen Notwendigkeit der unterschiedlichen Präparate oder am fehlenden Verständnis bzw. mangelnder Compliance der medizinischen Kollegen. Darüber hinaus – dies wurde insbesondere bei Patienten mit Diabetes mellitus beobachtet – muss die Behandlung der Grunderkrankung nicht notwendigerweise mit einer Verbesserung der subjektiven resp. objektiven Mundtrockenheit einhergehen [1]. Nicht zuletzt aus diesem Grund beschränkt sich die zahnärztliche Betreuung von Patienten mit Mundtrockenheit in vielen Fällen auf symptomatische Maßnahmen mit dem Versuch, die Lebensqualität der betroffenen Patienten zu verbessern und die Folgen eines verminderten Speichelflusses zu verringern.
Die medikamentöse Stimulation des Speichelflusses, z.B. mit dem Parasympathomimetikum Pilocarpin, ist insbesondere bei einer Restaktivität der Speicheldrüsen möglich, wird aber nach Kenntnis des Autors in Deutschland nur selten angewendet. Unabhängig davon sollten die klassischen zahnärztlichen Maßnahmen zur zahnärztlichen Betreuung von Patienten mit hohem Kariesrisiko Anwendung finden; dazu zählen insbesondere die regelmäßige Motivation und Instruktion zur Mundhygiene, die regelmäßige professionelle Entfernung von Belägen, eine Ernährungslenkung sowie die topische Fluoridierung. Ausmaß und Frequenz sollten sich dabei an den individuellen Bedürfnissen der Patienten orientieren. Typisches Medium zur supportiven zahnärztlichen Betreuung von Patienten mit Mundtrockenheit sind Speichelersatzmittel, die die Patienten in der Regel ad libitum verwenden können. Speichelersatzmittel behandeln die Mundtrockenheit nicht kausal, sondern dienen dazu, das subjektive Gefühl von Mundtrockenheit zu lindern und die mit der Mundtrockenheit assoziierten klinischen Probleme zu verringern. Dazu zählen unter anderem:
- Beschwerden beim Schlucken, insbesondere beim Essen von trockener Nahrung
- Probleme beim Sprechen
- Mundgeruch
- ausgeprägtes Durstgefühl
- Geschmacksstörungen
- Rauheitsgefühle
- Brennen und Schmerzen der Schleimhäute bzw. der Zunge
- Taubheitsgefühle
- Prothesenstomatopathien, oftmals assoziiert mit mangelnder Retention bei schleimhautgetragenem Zahnersatz
- floride Karies mit schneller Progredienz
- ausgeprägte Plaquebildung aufgrund fehlender Selbstreinigungsfähigkeit der Mundhöhle
Stimulation des Speichelflusses verschafft Linderung
Im vorliegenden klinischen Fall bestanden die vom Patienten geäußerten Hauptbeschwerden in einem in den vergangenen Jahren verstärkten Durstgefühl sowie der häufigen Notwendigkeit invasiver zahnärztlicher Maßnahmen. Zur Linderung des Durstgefühles griff der Patient häufig zu Mineralwasser und kaute regelmäßig Kaugummi, um eine Stimulation des Speichelflusses zu bewirken. Beide Maßnahmen sind valide und für die Linderung von Mundtrockenheit empfohlen. Das Kauen von Kaugummi bietet sich gerade bei bezahnten oder Patienten ohne abnehmbaren Zahnersatz an; selbstverständlich sollten in diesen Fällen zuckerfreie Varianten Anwendung finden, die allerdings aromatisiert sein sollten, da diese eine verstärkte Stimulation des Speichelflusses bewirken können [2]. Andere Maßnahmen zur Stimulation des Speichelflusses umfassen das Lutschen von (gefrorenen) Zitrusfrüchten; während auf diese Weise zwar eine gute Anregung des Speichelflusses bewirkt wird, ist dieses Vorgehen insbesondere bei bezahnten oder teilbezahnten Patienten aufgrund der erosiven Wirkung der Präparate kritisch zu sehen und sollte keine Anwendung mehr finden. Das häufige Trinken von Wasser, wie es vom Patienten im vorliegenden Fallbeispiel angewendet wurde, kann Mundtrockenheit deutlich lindern; allerdings ist die Substantivität sehr gering und der lindernde Effekt von Wasser deutlich geringer als von kommerziell erhältlichen Speichelersatzmitteln [5]. Vielen Patienten – so auch im vorliegenden Beispiel – ist jedoch gar nicht bewusst, dass es mittlerweile unterschiedliche und durchaus vielfältige Präparate gibt, die zur supportiven Behandlung von Patienten mit Xerostomie und/oder Hyposalivation eingesetzt werden können.
Präparate zur unterstützenden Behandlung der Mundtrockenheit
Neben den gegenwärtig auf dem Markt befindlichen Produkten werden laufend neue Formulierungen in klinischen Studien untersucht; allerdings kamen in den vergangenen Jahren kaum neue Präparate in den Handel. Klassische Vertreter werden in der Regel als Sprays angeboten, die ad libitum von den Patienten appliziert werden. Diese sind meist auf Basis von Wasser und versetzt mit Muzinen (pflanzlich oder tierisch), unterschiedlichen Arten von Cellulose, Sorbit oder Ölen, um ihre Viskosität anzupassen und ihnen speichelähnliche Eigenschaften zu verleihen; weitere Bestandteile umfassen Salze, Fluoride und Geschmacksstoffe. Modernere Vertreter umfassen neben Sprays auch Präparate mit diversifizierter Viskosität, z.B. Mundspülungen oder Gele; Produkte mit hoher Viskosität versprechen eine höhere Substantivität als Produkte mit geringer Viskosität. Auf diese Weise kann die Therapie besser an die individuellen Bedürfnisse der Patienten angepasst werden. Darüber hinaus bieten manche Hersteller speziell für die Bedürfnisse von Patienten entwickelte Kaugummis und Zahnpasten an; ein wissenschaftlicher Nachweis für die bessere Eignung derartiger im Vergleich zu konventionellen Produkten steht allerdings bis dato aus.
Fazit
Prinzipiell gilt, dass die Therapie mit Speichelersatzmitteln sehr individuell und stark von den Empfindungen des Patienten abhängig ist. Ein universell und für alle Patienten gleichermaßen zu empfehlendes Produkt existiert nach heutigem Stand nicht – aus diesem Grund ist es anzuraten, die betroffenen Patienten verschiedene Produkte ausprobieren zu lassen, um das individuell am besten geeignete Produkt zu finden. Viele der auf dem Markt befindlichen Produkte können eine Linderung der Mundtrockenheit bewirken [11,17,14]. Im vorgestellten klinischen Fall wurden dem Patienten sowohl klassische als auch moderne Präparate empfohlen, die er gegenwärtig ausprobiert; Tabelle 1 gibt einen Überblick über auf dem Markt befindliche Präparate.
Hahnel
Es ist zu beachten, dass Speichelersatzmittel einen niedrigen pH-Wert aufweisen können; in Laboruntersuchungen konnte gezeigt werden, dass die Exposition von Zahnschmelz und Dentin zu manchen Präparaten eine Demineralisation der Zahnhartsubstanzen bewirken kann [10,19]. Allerdings ist bekannt, dass eine Übersättigung von per se sauren Speichelersatzmitteln mit Calcium und Phosphaten sowie der Zusatz von Fluorid auch eine Remineralisation der Zahnhartsubstanzen fördern können [16,10,12]. Aus diesem Grund erscheint es aus zahnärztlicher Sicht gerade bei bezahnten Patienten essenziell, Produkte zu empfehlen, die einen möglichst neutralen pH-Wert bzw. eine Übersättigung mit Calcium bzw. Phosphat und einen Zusatz von Fluoriden aufweisen.
Weiterführende Links
Bildquellen sofern nicht anders deklariert: Unternehmen, Quelle oder Autor/-in des Artikels
Entdecke CME Artikel





Keine Kommentare.