|
Getting your Trinity Audio player ready...
|
Ein wesentlicher Aspekt bei der Entwicklung der Münchner Schiene war die Verfügbarkeit einer modernen und einfach zu bedienenden Dental-CAD-Software. In den Jahren ab 2005 kamen erstmals intuitiv zu bedienende dentale Konstruktionsprogramme auf den Markt, die es erlaubten, auch komplexe Restaurationsdesigns zu generieren. Vor diesem Hintergrund konnte erstmals im Jahr 2013 das Prinzip der Münchner Schiene verwirklicht werden [1-4].
Zudem wurde zu diesem Zeitpunkt Polycarbonat als Material für die dentale CNC-Fertigung vorgestellt, sodass nun eine Umsetzung in die tatsächlichen Realgeometrien möglich war. Die Integration der Münchner Schiene in ein Behandlungskonzept war letztendlich die logische und notwendige Konsequenz, um diese neuartige Versorgungsform in die tägliche Patientenbehandlung zu integrieren. Drei wesentliche Aspekte kennzeichnen die Münchner Schiene – das Konzept, das Material und das Konstruktionsprinzip.
Das Konzept
Das Behandlungskonzept gliedert sich in 4 Teilschritte, die nach Auffassung der Entwickler grundsätzlich eingehalten werden sollten. Individuelle Adaptationen des Konzeptes sind nach Abwägung von Vor- und Nachteilen möglich, sollten aber stets eingehend mit allen Beteiligten des Teams diskutiert werden. Folgende Schritte sieht das Konzept vor:
- Wax-up
- Mock-up
- Münchner Schiene
- Definitive Versorgung
1. Wax-up
Die essentielle Grundlage der Versorgung bildet das Wax-up. Dieses kann entweder analog oder digital erfolgen. Beim Aufwachsen können für die Erzielung einer harmonischen ästhetischen Gestaltung die Dimensionen nach Shimbashi berücksichtigt werden (Abb. 1 bis 4) [5]. Damit ist es einerseits möglich, das Längen-Breiten-Verhältnis der mittleren oberen Schneidezähne zu ermitteln, andererseits kann damit auch die Vertikaldimension festgelegt werden. Besonders wichtig ist beim Aufwachsen der Oberkieferfrontzähne, dass bestimmte Grundsätze berücksichtigt werden (Abb. 5) [6-9].
Schweiger et al.
Schweiger et al.
Schweiger et al.
Schweiger et al.
Schweiger et al.
Dies sind beispielsweise:
- Positive Lachlinie (OK-Eckzähne sind kürzer als mittlere obere Schneidezähne)
- „Schneidezahntreppe“ (2er ist kürzer als 1er)
- Ausrichtung der Zahnachsen
- Vertikale Abstufung der Approximalkontakte
- Höhe der Interdentalpapillen
Als besonders hilfreich hat sich die Möglichkeit erwiesen, vom Patienten einen Gesichtsscan zu machen. Damit ist der Zahntechniker erstmals in der Lage, eine virtuelle Evaluierung des Wax-up am Patienten zu machen. Eventuelle Korrekturen können mit geringem Aufwand und ohne einen zusätzlichen Behandlungstermin erfolgen. Die Berücksichtigung von funktionellen Kriterien ist beim derzeitigen Stand der Technik noch nicht möglich.
2. Mock-up
Die Mock-up-Einprobe ist derzeit der sicherste Weg, die im Wax-up erarbeitete Versorgungs-Konzeption zu überprüfen (Abb. 6 und 7). Neben den ästhetischen Aspekten können dabei vor allem die funktionellen Parameter, wie beispielsweise die statische und dynamische Okklusion, der Sprechabstand der Zahnreihen, der bukkale Korridor oder die Phonetik überprüft werden. Hier liegt derzeit sicherlich ein wesentlicher Vorteil gegenüber der virtuellen Einprobe mittels Gesichtsscan.
Schweiger et al.
Schweiger et al.
3. Münchner Schiene
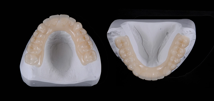
Basierend auf den Erkenntnissen des Wax-up und des Mock-up kann mithilfe moderner CAD-Software die dreidimensionale Form kopiert werden und für die Konstruktion von non-invasiven, vollanatomischen, zahnfarbenen Schienen (Münchner Schienen) verwendet werden (Abb. 8 und 9).
Schweiger et al.
Schweiger et al.
Diese werden aus Polycarbonat gefräst (Abb. 10) und können auf die vorhandenen Zähne „aufgeschnappt“ werden (Abb. 11). Aufgrund der gegenüber Polymethylmethacrylaten (PMMA) höheren Flexibilität, sind Schienen aus Polycarbonat weniger fraktur- und rissanfällig und können somit zum Schienenrand hin sehr dünn auslaufend ausgearbeitet werden.
Schweiger et al.
Schweiger et al.
4. Definitive Versorgung
Schweiger et al.
Für die CAD-Konstruktion der Kronen werden die dreidimensionalen Daten des Wax-up verwendet, sodass sich der Konstruktionsaufwand für die Versorgungen erheblich reduzieren lässt. Eventuell in den Münchner Schienen während der Tragezeit entstandene Schliff-Facetten können eingescannt und so für die CAD-Konstruktion der finalen Versorgung verwendet werden.
Das Material
Polycarbonat wird als Werkstoff in der Zahntechnik für die Herstellung von Aufbissschienen immer häufiger eingesetzt. Inzwischen bieten mehrere Hersteller das Material in Rondenform für die subtraktive Bearbeitung an. Polycarbonat weist hervorragende mechanische Eigenschaften auf und zeigt im klinischen Einsatz eine exzellente Ästhetik. Da das Material flexibel ist, wird die Bruchgefahr erheblich reduziert. Sowohl das Elastizitätsmodul als auch die Biegefestigkeit von Polycarbonat liegen über den Werten der klassischen PMMA-Werkstoffe [10].
Neben den monochromatischen Ronden mehrerer Hersteller gibt es inzwischen z.B. von der Firma Zirkonzahn mit dem Multistratum Flexible Block auch Multicolor-Ronden mit einem natürlichen Farbverlauf vom chromatischen Dentin bis zum Schneidebereich. Die Transluzenz der Rohlinge wirkt sehr natürlich. Zudem zeichnet sich das Material durch den für Kunststoffe charakteristischen Opaleffekt aus, sodass sich die vollanatomischen zahnfarbenen Schienen ästhetisch sehr gut an die intraorale Situation anpassen.
Für die CNC-Bearbeitung werden Spezialfräser im Trockenfräsmodus eingesetzt, sodass eine Bearbeitung auf den Standardfräsmaschinen ohne Wasserkühlung möglich ist. Weitere Vorteile von Polycarbonat sind eine eine sehr gute Langzeitstabilität und eine geringe Plaqueaffinität. Neben der glasklaren Variante werden die Fräsrohlinge auch in verschiedenen Zahnfarben angeboten, sodass damit ästhetisch ansprechende Versorgungen mit einer hervorragenden farblichen intraoralen Adaption gefertigt werden können. Der Kunststoff wurde insbesondere für die Herstellung vollanatomischer Restaurationen entwickelt und kann optional durch lichthärtende Malfarben, wie beispielsweise Optiglaze Color (4GC Germany, Bad Homburg) weiter individualisiert werden.
Konstruktionsprinzipien der Münchner Schiene
Bei der Anwendung von Polycarbonat haben wir uns auf die Herstellung der Münchner Schiene fokussiert. Aufgrund der flexiblen Materialeigenschaften von Polycarbonat ist dieses Material perfekt für die Schienentherapie geeignet, da die CAD/CAM-gefrästen Schienen optimal in die definierten Hinterschnitte einrasten und somit der gewünschte „Schnapp-Effekt“ erzeugt werden kann. Das Ergebnis sind Schienen, die fest und sicher sitzen und trotzdem problemlos vom Patienten ausgegliedert werden können.
Die Münchner Schiene wird zur Evaluierung von ästhetischen und funktionellen Parametern als Vorbehandlung bei der Versorgung von komplexen Fällen mit Verlust der VDO (= Vertikaldimension der Okklusion) eingesetzt. Die vollanatomischen Schienen können, da sie zahnfarben sind, im Sinne einer „23-Stunden-Schiene“ (24 Std. minus 1 Std. Nahrungsaufnahme) eingesetzt werden, sodass die Patientencompliance und damit die Effizienz dieser Schienentherapie als hervorragend bezeichnet werden kann.
Man kann 3 grundsätzliche Konstruktionsprinzipien der Münchner Schiene unterscheiden:
- Zahnhartsubstanzgetragene Münchner Schiene: Eine Sonderform der Münchner Schiene dient dem Ersatz verlorengegangener oder nicht angelegter Zähne. Sie wird im Sinne einer Coverdenture-Prothese [11] über vorhandene Restzähne oder existierende Doppelkronen-Primärteile gestaltet.
- Zahnhartsubstanzgetragene Münchner Schiene mit palatinaler/lingualer Verstärkung
- Münchner Coverdenture
1. Zahnhartsubstanzgetragene Münchner Schiene
Schweiger et al.
2. Zahnhartsubstandgetragene Münchner Schiene mit palatinaler/lingualer Verstärkung
Schweiger et al.
3. Münchner Schiene als Coverdenture-Prothese
Eine Sonderform der Münchner Schiene dient dem Ersatz verlorengegangener oder nicht angelegter Zähne. Sie wird im Sinne einer Coverdenture-Prothese [11] über vorhandene Restzähne oder existierende Doppelkronen-Primärteile gestaltet. (Abb. 15 und 16). Dabei ist die Schiene sowohl auf den Zähnen/Primärteilen als auch auf der Gingiva abgestützt. Die Ausdehnung der Schiene kann dabei ganz individuell gestaltet werden, wie beispielsweise mit oder ohne Bedeckung des Gaumens oder einer Ausdehnung in den labialen/bukkalen Gingivabereich.
Schweiger et al.
Schweiger et al.
Indikationen
Die Münchner Schiene kann für eine Reihe von Indikationen eingesetzt werden. Dazu gehören beispielsweise:
- Evaluierung von ästhetischen und funktionellen Parametern als Vorbehandlung bei der Versorgung von komplexen Fällen mit Verlust der VDO (= Vertikaldimension der Okklusion)
- Teleskopierende Zweitprothese/Reiseprothese
- Prothetische Versorgung von Patienten mit Nichtanlagen, insbesondere in der Wachstumsphase (z.B. ektodermale Dysplasie)
Aufgrund der großen Designfreiheit und der hervorragenden Materialeigenschaften von Polycarbonat ist die Anwendung der Münchner Schiene für weitere Indikationen denkbar und deshalb die Entwicklung weiterer innovativer Versorgungskonzepte durchaus wahrscheinlich.
Fazit und Ausblick
In der Gesamtbeurteilung über einen Einsatzzeitraum von mehr als 8 Jahren hat sich das Prinzip der Münchner Schiene bewährt. Der klare und übersichtliche Behandlungsablauf ermöglicht eine sichere Umsetzung im täglichen Patientenbetrieb.
Grundsätzlich ist ein Einhalten der einzelnen Behandlungsschritte anzuraten, um so das ganze Potential dieses innovativen Konzeptes auszuschöpfen. Abkürzungen im Behandlungsablauf sind nach Ansicht der Autoren zwar möglich, aber meist nicht empfehlenswert. Die Anforderungen speziell im Bereich des CAD-Designs und der CNC-Fertigung sind hoch und bedürfen einer Reihe von wichtigen Grundkenntnissen, ohne die die Herstellung einer Münchner Schiene oftmals mangelhafte Ergebnisse zeigt. Aus diesem Grund werden Spezialkurse zum Thema „Münchner Schiene“ für Zahnärzte und Zahntechniker angeboten, in denen die theoretischen Grundlagen und die praktischen Fertigkeiten intensiv vermittelt werden. Zudem arbeitet das Autorenteam aktuell an einem Lehrbuch, in dem das komplette Gebiet der Münchner Schiene detailliert beschrieben und erläutert wird.
Die Autoren:
ZT Josef Schweiger M.Sc.
Prof. Dr. Jan-Frederik Güth
Prof. Dr. Daniel Edelhoff
Bildquellen sofern nicht anders deklariert: Unternehmen, Quelle oder Autor/-in des Artikels
Entdecke CME Artikel





Keine Kommentare.