Finalisieren der Arbeit
Nach der Schlusspolymerisation, auch der basalen Bereiche, erfolgt das Ausarbeiten unter Silberpuder. Hierbei separieren wir zuerst die einzelnen Verblendungen mittels einer dünnen Diamantscheibe. Ob dabei eine doppelt oder eine einseitig (Oberseite oder Unterseite) belegte Scheibe zum Einsatz kommt, ist Geschmackssache.
Die eigentliche Form erarbeiten wir schrittweise durch Fräsen. Dazu verwenden wir die UK-Serie von Komet, da diese speziell für das Ausarbeiten von Keramik und Komposit sowie der Übergänge der Verblendung zum Metall entwickelt wurde. Die Oberflächengüte – also das Maß der Rauheit in der Oberflächenprüfung – ist trotz der hohen Abtragsleistung enorm.
Bei diamantierten Fräsern besteht das Risiko, die Nanofüllstoffe an der Oberfläche zu zertrümmern. Zudem neigen sie dazu, den Polieraufwand zu erhöhen, bzw. liefern unserer Erfahrung nach schlechtere Polierergebnisse und steigern damit die Plaqueaffinität. Daher bin ich insbesondere beim körperhaften Ausarbeiten der Flanken und Interdentalräume ein Anhänger der superfeinen, aber sehr schnittfreudigen H 23 RS-Instrumente.
Nach dem Fräsen gummieren wir die Übergänge zwischen Kunststoff und Metall mit einer blauen Polierwalze. Bei der anschließenden Politur arbeiten wir mit den bewährten Mitteln von grob nach fein. Die Vorpolitur erfolgt an der Poliereinheit mittels Bürsten und Bims.

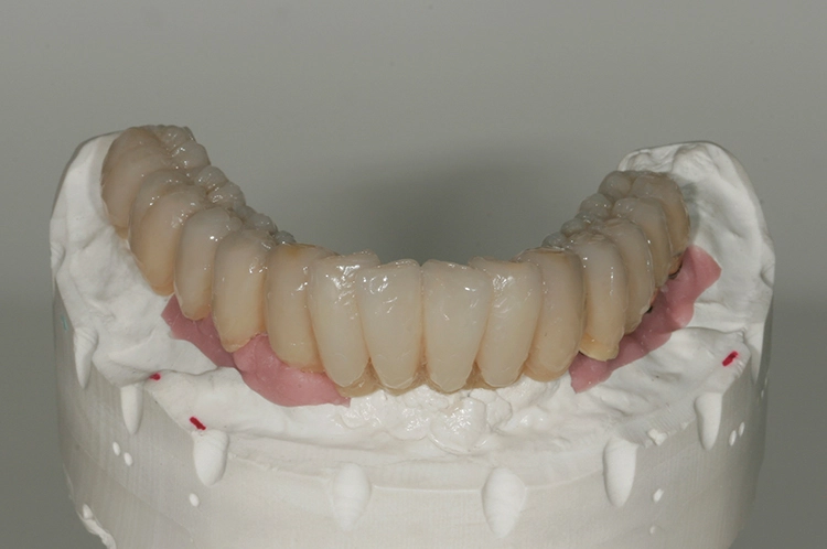
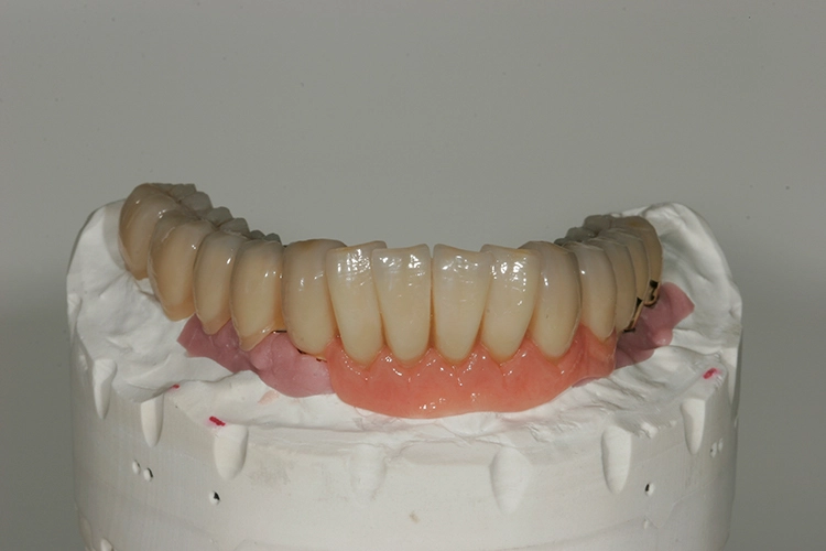
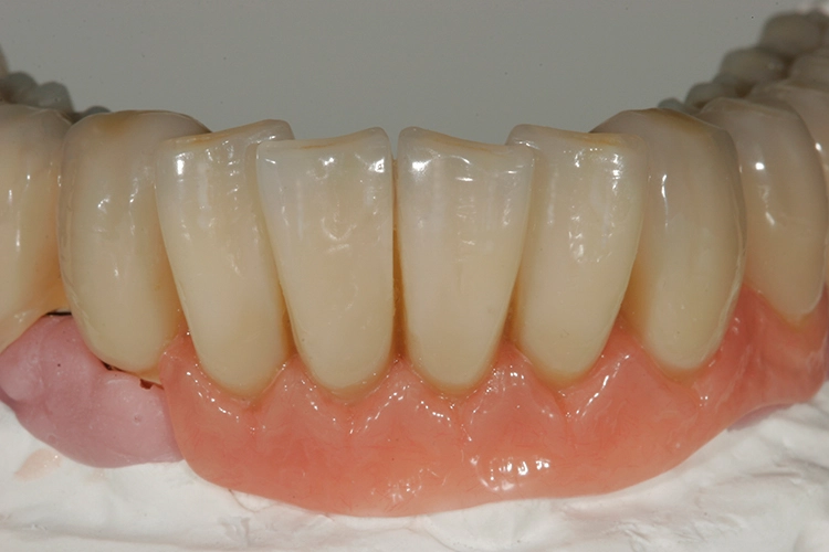
Danach kommen Bürsten und Polierpaste zum Einsatz, um anschließend mittels Schwabbel und Polierpaste einen ersten Hochglanz zu erzeugen. Die entscheidende Hochglanzpolitur erfolgt nach dem Säubern unter dem Stereomikroskop mit Robinsonbürstchen und Diamantpolierpaste. Hierbei sind besonders die Interdentalräume und basalen Auflagen wichtig. Bereits das Ergebnis vor dem Schlussfinish überzeugt (Abb. 129 bis 133).

Abb. 130: Feinseparieren mit der 911HEF.




Abb. 134: Lebendige Inzisalkanten.
In der Detailansicht wird besonders die lebendige Zahnstellung, Schichtung und markante Inzisalkante deutlich (Abb. 134) – allerdings verlangt Regio 42 bis 34 noch einen kleinen rosa Kunststoffsattel. Um die Kunststoffanteile zu ergänzen, strahlen wir diese Bereiche vorsichtig ab, bringen im Metallbereich einen Metallprimer auf und verwenden einen rosafarbenen Opaker. Nach dem Aushärten sind die angrenzenden Verblendbereiche mit einem Silanprimer dünn zu bestreichen.
Damit erreichen wir einen bestmöglichen Verbund. Nach dem Isolieren des Modells kann der rosafarbene Kunststoff angetragen und auspolymerisiert werden. Entsprechend wird mit dem Lippenschild im Fronzahnbereich verfahren.

Abb. 135: Implantatschürze rosa opakert.
Nach dem obligatorischen Schmirgeln erfolgt die Politur, hierbei ist besondere Sorgfalt auf die Strukturierungen und Übergänge zu den Verblendungen anzuwenden. Zuletzt erfolgen eine gründliche Reinigung, Kontrolle und Desinfektion (Abb. 135 bis 137).


Schlussbetrachtung

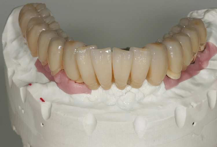
Abb. 138: Basal bestmöglich ausgeformt und poliert.
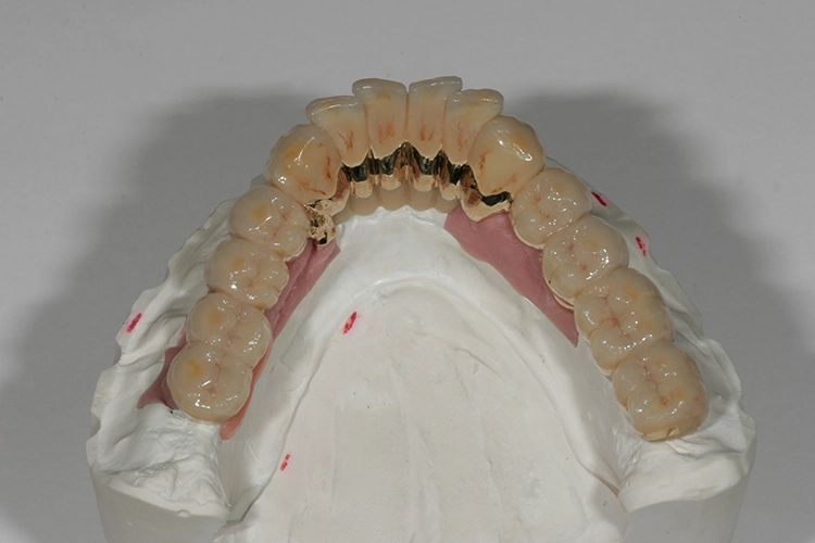
Die Basalansicht zeigt die nahtlosen Übergänge zu Komposit, sämtliche Bereiche sind tadellos ausgeführt und poliert (Abb. 138). Beachtenswert ist zudem die Ausformung 34 mit Fräsfläche, auspolierter Implantatschürze und rosa Kunststoff. Dieselbe Ansicht von labial bringt sehr schön den interessanten Gingivasaum, die Verstärkungspapille zwischen 33/34 und die polierten Anteile bzw. Übergänge der Schürzen 36/37 zur Geltung.
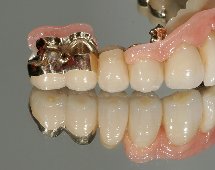
Besonders interessant ist außerdem die Ansicht im Spiegel. Hier zeigt sich die Diskrepanz zwischen Abutmentlage und Verblendung: 35/35 mussten deutlich nach bukkal und 46/47 stark nach lingual verlagert werden (Abb. 139 und 140). In der Detailansicht vom 3. Quadranten werden neben den eckigen TK-Kästen auch die makellosen Übergänge Metall zu Komposit deutlich.


Im 4. Quadranten sind die sorgfältig ausgearbeiteten Interdentalbereiche und okklusal das durchschimmernde Dentin an den „Abrasionsflächen“ zu erkennen. Auch in der Vergrößerung zeigen sich keinerlei Makel. Das runde TK-Snap-Element ist einwandfrei angegossen und der Verlauf zwischen Metall, Komposit und rosa Kunststoff weist eine optimale, spaltfreie Oberfläche auf.
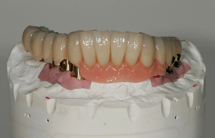
Mit eingesetztem Abutment wird neben der guten Passung auch die gelungene Gesamtausformung mit bester Reinigungsmöglichkeit deutlich (Abb. 141 bis 144). Besonders interessant ist die Ausformung bei Abutment Regio 34: Eine Implantatschürze deckt bukkal den freiliegenden Teil des Implantats ab und die linguale Verstärkungspapille geht fließend in den mesialen Verblendbereich und nach dem Eingliedern basal in die vorhandene Schleimhautausformung (Abb. 145). Bei 44/45 besticht neben der hervorragenden Passung 43, 44 und 45 die Ausformung: Die Sekundärteile sind lingual am Übergang extra dünn gestaltet und die Gesamtausformung nach bukkal verlagert (Abb. 146).






Die Abbildungen 147 und 148 zeigen nochmals die Abutments mit eingeschliffener Retentionsmulde und Kennzeichnung sowie die subgingivale Ausformung nebst Stufenausformung. Die Abbildungen 149 und 150 zeigen in Spiegelperspektive die zugeordneten Abutments und das Resultat nach dem Einsetzen. Hierbei wird auch die Ausrichtung der einzelnen Implantate in Bezug auf die Suprakonstruktion deutlich.




Nach dem Reponieren der Abutments auf das Modell ist in der Detailansicht vom 3. Quadranten schön der harmonische Übergang von der Abutmentschulter zur Schleimhaut sowie im 4. Quadranten das unterschiedliche Niveau bzw. die Ausformungen zu sehen (Abb. 151 und 152). In der Gesamtansicht mit Abutments und Primärteil wird nochmals die Gesamtproblematik offenkundig: Die Schleimhautausformung, insbesondere im Frontgebiet und Seitenzahngebiet des 3. Quadranten, ist für eine Teleskopbrücke nicht unbedingt prädestiniert, Implantat 34 liegt weit frei (Abb. 153). Mit halb aufgesetzter Suprakonstruktion sind die erheblichen Verlagerungen und Retuschierungen wahrnehmbar (Abb. 154), ohne die ein derartiges Ergebnis sicher nicht möglich gewesen wäre.





Abb. 155: In Endposition.
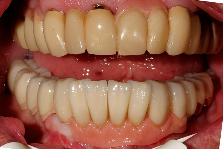
Bei eingesetzter Prothese sind die eigentlichen Probleme von labial nicht mehr erkennbar (Abb. 155), es besteht ein idealisiertes, lebendiges Gesamtbild. Von lingual (3. Quadrant) wird die Liebe zum Detail deutlich. Die Verstärkungspapille fügt sich fließend in die Schleimhautausformung und den Verblendbereich 33 ein.

Abb. 156: Lösung im Detail 33–37 und 43–47 von lingual.
Auch der rosafarbene Sattelanteil nimmt die mesial wulstige Schleimhautkontur auf und führt diese fortlaufend weiter. Die Gesamtansicht von okklusal ist überzeugend, sodass niemand unmittelbar eine abnehmbare Arbeit vermuten würde (Abb. 156 bis 158). Ob die markante Farbgestaltung im Frontbereich notwendig ist, kann diskutiert werden.


In Zeiten von A1 und Gleichmäßigkeit kommt bei uns älteren Technikern gerne der Realismus aus früheren Zeiten durch – wenn auch nur lingual. Im Artikulator zeigt sich gegenüber der Ausgangssituation ein deutlich idealisierter Schlussbiss. Der offene Biss ließ sich beseitigen und auch im Seitenzahngebiet ein normaler Überbiss erreichen.
Geöffnet wird eine lebhafte, gleichmäßige Gesamtgestaltung deutlich (Abb. 159 und 160), das Seitenzahnniveau ist nahezu angeglichen. Im Detail zeigt sich die lebendig verschachtelte Front mit der hellen, dezenten Farbgestaltung (Abb. 161), den Inzisalkanten sowie dem Zahnfleischsaum. Die Okklusalansicht bedarf keiner weiteren Kommentierung (Abb. 162).





Abb. 163: Teleskop in vitro.
Abbildung 163 zeigt die eingebrachten Abutments und das Primärteleskop, wobei die fließenden Übergänge der Abutmentschulter gut zu erkennen sind. In der Gesamtansicht zeigen sich nochmals das weit freiliegende Implantat Regio 34 und die stellenweise problematische Schleimhautausformung (Abb. 164). Eingesetzt sind alle Problemzonen verdeckt, zum Gegenbiss besteht ein harmonischer Verlauf (Abb. 165).


Dieser wird zu einem späteren Zeitpunkt neu verblendet bzw. neu angefertigt und farblich angepasst. Was die vorliegende Arbeit anbelangt, war der Patient sofort mit Form und Farbe zufrieden, die linguale Ausführung wurde zu keinem Moment als Fremdkörper empfunden. Die korrekte Bisslage führte durch den nunmehr vorliegenden Frontaufbiss kurzzeitig zu Irritationen im Schlussbiss (Abb. 166), was sich aber schnell legte.


Gegenüber der Ausgangssituation ist nunmehr die Front auf gleichem Niveau mit den Eck- bzw. Seitenzähnen und der Unterkiefer wirkt freundlich und natürlich (Abb. 167). Sowohl der Patient als auch der Behandler sind absolut zufrieden.
Nachwort
Trotz großer Materialvielfalt (z.B. EMF, Galvano, Zirkoniumdioxid, Hybridkeramik) und Auswahl an Herstellungsverfahren (Guss, CAD/CAM, 3D-Druck etc.) sehen wir im High-End-Bereich in der Teleskoptechnik nach wie vor das Gussverfahren mit hochgoldhaltiger Legierung als das beste Verfahren für ideale Einzel- und Gesamtpassung. Ähnliche Ergebnisse lassen sich noch mit Galvano erreichen, jedoch gilt es dabei mit Tertiärkonstruktion und Verklebungen zu arbeiten, was letztendlich mehr Platz verbraucht und im Randbereich nachteilig für die Verblendung ist. Auch haben wir in unserer Laufbahn immer wieder Galvanokonstruktionen gesehen, die nach einigen Jahren keine ausreichende Friktion mehr hatten.
Wir vermuten, dass dies von dem zu weichen Material herrührt. Zudem erachten wir es als nachteilig, mit verschiedenen Materialien bei Primär- und Sekundärteilen zu arbeiten. Aus diesem Grund fertigen wir nach wie vor Teleskoparbeiten nur mit einer hochgoldhaltigen Legierung in altbewährter Gusstechnik.
Die über viele Jahre hinweg gleichmäßige, perfekte Friktion sowie die unschlagbare Passung beeindrucken auch heute noch und garantieren langfristig zufriedene Patienten und Behandler. Neben der Relevanz des technischen Know-hows bei einer derart umfangreichen und vielschichtigen Konstruktion ist das perfekte Zusammenspiel von Patient, Behandler und Zahntechniker ausschlaggebend. Ein weiterer entscheidender Einflussfaktor sind die verwendeten Materialien – nicht zuletzt vor dem Hintergrund der neuen europäischen Herstellungsrichtlinien für Sonderanfertigungen.
Gerade Patienten mit klar definierten Vorstellungen und Vorgaben gilt es vorab über die Ausführungsmöglichkeit aufzuklären, um deren Erwartungshaltung ggf. zu korrigieren. Keinesfalls dürfen falsche Erwartungen bestehen oder das Vertrauen durch mangelnden Informationsfluss gestört sein. Der Langzeiterfolg sollte stets das oberste Ziel aller Beteiligten sein.
Über Farben und Formen hingegen darf debattiert werden; letztendlich ist es aber immer die Entscheidung des Patienten. Bei den Materialien verwenden wir die langjährig bewährten und erprobten. Gerade bei weitspannigen Versorgungen mit Implantaten wirken besonders hohe Kräfte auf das Gerüst und die Verblendungen.
Entscheidend für ein langfristig gutes Ergebnis ist hier das perfekte Zusammenspiel von Legierung und Kompositmaterial. Über viele Jahre wurde Komposit gegenüber der Keramik als zweitklassig angesehen. Die neuen Komposite in Nanotechnologie zeichnen jedoch ein anderes Bild.
Kosmetisch sind Verblendungen nunmehr im Vergleich zur Keramik als ebenbürtig anzusehen. Auch das Langzeitverhalten stellt keinen Nachteil mehr dar, die Zeiten der Verfärbungen sind längst vorbei. Die Abrasionsfestigkeit entspricht bei manchen Produkten gar dem natürlichen Zahnschmelz.
Somit ist gerade die geringere Härte gegenüber Keramik bei Implantatarbeiten, Kiefergelenkbeschwerden, Bruxismus etc. von Vorteil. Abplatzungen, Chipping wie bei der Keramik sind kein Thema. Auch die Reparaturfreundlichkeit ist von Vorteil, d.h. bei Bedarf können selbst im Mund notwendige Veränderungen vorgenommen werden.
Das Einsatzgebiet erstreckt sich nicht mehr nur auf die reinen Verblendungen, vielmehr decken die High-End-Komposite nahezu alle Indikationen ab: Inlays, Teilkronen, Veneers, Aufbauten zur Bisshebung, festsitzende oder abnehmbare Konstruktionen, Pfeilerzahn oder Implantat. Mit einer spezifischen Legierung, wie im vorliegenden Fall dargestellt, sind so umfangreiche Sanierungen mit höchstem Anforderungsprofil erst möglich.
Materialien
Es folgt eine abschließende Übersicht der verwendeten Materialien nebst kurzer Erläuterung, weshalb wir diese verwenden. Dabei handelt es sich um unsere ganz persönliche Einschätzung und Erfahrung. Unbestritten sind viele andere sehr gute Produkte auf dem Markt. Dennoch ist es immer interessant zu erfahren, mit welchen konkret vorgestellte Arbeiten bewerkstelligt wurden. Hier nun die unseren:
Legierung
Gerade bei umfangreichen Teleskop- und Implantatarbeiten halten wir nach wie vor eine spezifische Legierung für unverzichtbar. Mit der hochgoldhaltigen Legierung Argenco Biolight (Argen Dental) haben wir die für uns ultimative Legierung gefunden: hochgoldhaltig, palladiumfrei und speziell für den Einsatz bei höchstem Anforderungsprofil. Insbesondere im Teleskop-, Steg- oder Implantatbereich sowie beim Angussverfahren steht der sichere Langzeiterfolg im Vordergrund.
Die sattgelbe Goldfarbe wirkt extrem wertig, das E-Modul ist beeindruckend und das Handling beim Fräsen und Polieren überzeugend. Die mechanischen Werte sind ein Garant für filigrane Leichtbaukonstruktionen und eine perfekte Passung.
Teleskop- und Stegbereich
Hier sind wir bereits seit Jahren erklärte Anhänger der TK-Snap- oder TK-Fric-Elemente (Si-tec). Wir arbeiten sie rein prophylaktisch als sog. Schläfer ein, um bei einem eventuellen Ausfall von Teleskopen langfristig eine gesicherte Friktion zu gewährleisten. Der Aufbau ist einfach und der Kosten-Nutzen-Faktor bezogen auf die Gesamtkosten überzeugend.
Für sämtliche Bereiche wie Edelmetall, NE oder Titan und die Vielzahl der Retentionseinsätze stehen geeignete Aufnahmekästen zur Verfügung. Am häufigsten verwenden wir die TK-Snap-Elemente.
Sollte aufgrund der Materialstärke am Primärteil keine Retentionsmulde möglich sein, stellen die kompatiblen TK-Fric-Einsätze eine gute Wahl dar. Zwischenzeitlich besteht auch die Möglichkeit der digitalen Fertigung mit entsprechender Software des Herstellers.
Fräser
Die Fräser der Komet H 364 RXE-Serie (Gebr. Brasseler) eignen sich besonders zum schnellen, effizienten Vorfräsen und lassen sich sogar beim Reduzieren der Kunststoffkamine von angussfähigen Abutments einsetzen. Für die eigentlichen Fräsarbeiten ist die H 364 RGE-Serie unser präferiertes Produkt. Je nach Drehzahl kann eine hohe Schleifleistung oder eine relativ glatte Oberfläche erzielt werden.
Gerade im abnehmbaren Bereich ist eine Nachbearbeitung der Zahnfleischmaske unerlässlich. Dabei sind die Fräser der GSQ-Serie eine wertvolle Hilfe für die leichte und gezielte Oberflächengestaltung. Beim Ausarbeiten von Goldbereichen bevorzugen wir die EF-Serie, bei Kompositverblendungen verwenden wir spezielle kreuzverzahnte Fräser der EF-Serie.
Die blauen Silikonpolierer bringen schnell und effizient einen schönen Mattglanz, die Hochglanzpolitur geht mühelos vonstatten. Obligatorisch ist beim Ausarbeiten vom Löffelmaterial und rosa Kunststoffanteilen der H251 ACR. Soweit Modellgussanteile bestehen, haben wir mit dem SHAX-Fräser beeindruckende Erfahrungen gesammelt.
Silikon
Wie im Bericht deutlich wird, ist das 1:1-Knetsilikon Platinum 85 (Zhermack) vielseitig einsetzbar. Die Verarbeitung ist sicher und einfach, die Detailtreue perfekt, das Preis-Leistungs-Verhältnis unseres Erachtens sehr gut. Obgleich im Speedbereich angesiedelt, können wir keinerlei Nachteile beim Doubliersilikon Elite Double 22 feststellen, vielmehr besticht dieses mit einer sehr glatten und homogenen Oberfläche und spart gleichzeitig unnötige Wartezeiten.
Die Universal-Präzisionseinbettmasse Elite Vest Plus zeigt sowohl im Speed- als auch Übernachtbereich präzise und passgenaue Gussergebnisse. Besonders im Implantat- bzw. Angussbereich besticht sie durch ihre besondere Kantenstabilität. Mit der Elite Vest Cast sind ebenfalls konventionelle und im Speedbereich sehr glatte, detailgenaue Modelle möglich, die letztendlich für das Gussergebnis bzw. die Passung im Modellgussbereich verantwortlich sind.
Löffel- und Bissschablonenmaterial
Hier verarbeiten wir seit vielen Jahren C-Plast (Candulor). Das Aesthetic Autopolymerisat bietet diverse Farbtöne mit und ohne Aderung. Die natürliche Farbwirkung mit semiopaker Einfärbung lässt ein natürliches Rosa erscheinen. Bei Bedarf kann jederzeit noch mit erhältlichen Intensivfarben farblich individualisiert werden.
Texturmarker
Das Ausarbeiten unter Silberpuder ist für uns obligatorisch. Hier bevorzuge ich den Texturmarker (Benzer Dental), der bei dünnen Schichtstärken gut deckt und gleichzeitig exakt zeichnet. Mit fließendem Wasser bzw. Ultraschall lässt er sich leicht und rückstandsfrei entfernen.
Weiterführende Links
- Die vollverblendete Teleskopbrücke – Teil 1
- Die vollverblendete Teleskopbrücke – Teil 2
- Die vollverblendete Teleskopbrücke – Teil 3
Bildquellen sofern nicht anders deklariert: Unternehmen, Quelle oder Autor/-in des Artikels
Keine Kommentare.