Vorausgeschickt sei: Wendet man sich CAD/CAM zu, so zeigt sich hinsichtlich des geringeren Materialverbrauchs das aufbauende Verfahren vorteilhafter als das abtragende, sodass ich hier nicht auf die Frästechnik eingehe. Außerdem: Wer blockiert seine Fräseinheit gern mit dem Fräsen partieller Gerüste? Von den Schleifkörpern ganz abgesehen. Andererseits: In eine Laser-Melting-Anlage, die ein Metallobjekt direkt aus digitalen Daten produziert, werden nicht viele Labore investieren wollen. Wer das Laser-Melting bevorzugt, der schicke seine Dateien in andere Hände und entrichte dafür seinen Obolus. Man darf jedoch nicht vergessen, dass gegossene Chrom-Kobalt-Legierungen von ihren spezifischen mechanischen Eigenschaften – genannt seien Elastizitätsmodul, Dehngrenze sowie Zugfestigkeit – gegenüber dem laser-gesinterten/-geschmolzenen Metall im Vorteil liegen, da letzteres spröder ist und damit die gewünschten federelastischen Eigenschaften eingeschränkt sind.
Wertschöpfung im eigenen Labor
Zur Herstellung einer Chrom-Kobalt-Basis bleibt für mich nach allen Erwägungen bezüglich der Wertschöpfung im eigenen Labor nur ein digitaler Weg gangbar: nämlich mithilfe eines 3D-Druckers. Wer in einen solchen investiert, wird schnell die vielen Möglichkeiten erkennen, wie er dieses Gerät in den Laboralltag integrieren kann. Mit den verschiedensten lichthärtenden Materialien und diversen Softwarelösungen bieten sich zunächst Modelle, Bohrschablonen, temporäre Kronen und Brücken, Zementierungsschlüssel und Schienen an. Dabei ist es allerdings meine ehrliche Meinung, dass Schienen noch ein heikles Thema darstellen. Aber die Entwicklung der Materialien nimmt immer weiter Fahrt auf und da ist sicherlich für die Zukunft einiges zu erwarten. Und das betrifft nicht nur die Schienen-Materialien! Es steht heute schon eine weite druckbare Material-Palette zur Verfügung – einschließlich ausbrennbarer Wachse, die ich mir während der Herstellung einer Chrom-Kobalt-Basis zunutze mache. Dabei verzichte ich auf den herkömmlichen Guss nicht.
Gedanken vorab
Bei der digitalen Herstellung ändert sich die Vorgehensweise ab vorliegendem Meistermodell erstmal völlig. Was jedoch gleich bleibt, sind die Beachtung der statischen Grundlagen und die Konstruktionsprinzipien eines partiellen Zahnersatzes. Die Erfahrungen aus der konventionellen Vorgehensweise sind sehr hilfreich und zweckdienlich.
Da der digitale Weg oftmals Vorteile bringt – Stichwörter: Materialvielfalt, Effizienz und mehr –, können oder wollen sich viele moderne Labore dieser Technik kaum entziehen. Dementsprechend erlebe ich in meinem Umfeld, dass in den meisten zahntechnischen Laboren mindestens ein Scanner zum Einsatz kommt – oder sogar mehrere.
Mit der Software, die uns heutzutage zur Verfügung steht, ist es nicht mehr so schwierig, ein elegantes und doch stabiles Gerüst zu designen. Wer aber sein reales Wachsmesser nicht missen möchte, dem sei versichert: Nach dem Druck ist ein Wachsmesser noch erlaubt, um das eine oder andere i-Tüpfelchen zu setzen.
Die Herstellung des Löffels
Wir bevorzugen für die Abformung immer einen individuellen Löffel. Bei der zweiten Abformung können Auflagen und evtl. anderes präpariert werden, wenn es erforderlich ist. Unabdingbar ist eine gute Konstruktionsplanung von Zahnarzt und Labor in enger zahnärztlich-zahntechnischer Zusammenarbeit.
Schon bei der Herstellung des Löffels arbeiten wir digital. Wenn man sich hierzu entschließt, dann entfallen das aufwendige Per-Hand-Ausblocken des Modells mit Wachs, der Isoliervorgang und das Aufbringen des Löffelmaterials. So erzielen wir beim digitalen Ausblocken eine signifikante Zeitersparnis. Das Auftragen des Löffelmaterials erledigt der Drucker und es bleibt Zeit für anderes (Abb. 1–6). Hierfür sowie zum Designen des Gerüstes setzen wir den Sirona-Scanner inEos X5 und die Software InLab 18.0 ein. Gewöhnlich scannen wir das Modell.
Seidel
Seidel
Seidel
Seidel
Seidel
Seidel
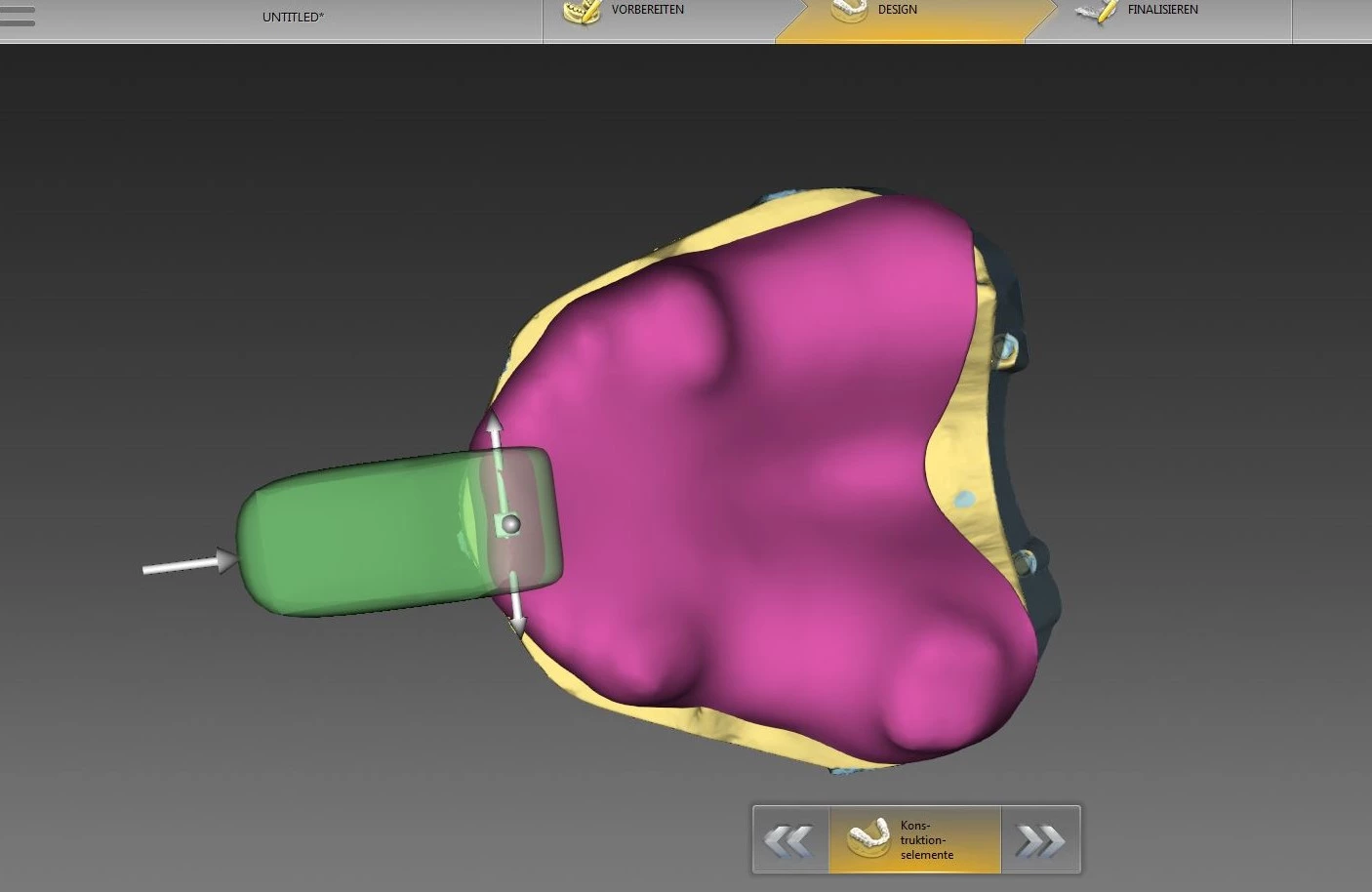
Wir starten das Schienen-Tool. Bei der Auswahl und Konstruktion klickt man auf „Abformlöffel erstellen“. Nun werden die Modellachse festgelegt, die Einschubrichtung eingestellt und es folgt das automatische Ausblocken. Jetzt können wir den Löffel konstruieren und den Griff ansetzen. Die Parameter für die Ausblockung des Modells und Dicke des Löffels sind anwendungsbezogen und kundenspezifisch hinterlegt. Auf die Einzelschritte der Löffel-Konstruktion gehe ich hier nicht ein, da jeder mit einer anderen Software arbeitet und er sich natürlich außerdem an den jeweiligen Kundenwünschen orientiert.
Nach dem Abspeichern der Datei senden wir diese (den „File“) an eine SD-Karte, an den USB-Stick, via WLAN oder über eine LAN-Verbindung zum entsprechenden Drucker und drucken den Löffel auf einem Filament-Drucker im FFF-Verfahren (Fused Filament Fabrication). Hierfür verwenden wir unseren eigenen Drucker Agency One. Auch der FFF-Drucker Ultimaker 3 kommt hier zum Einsatz. Der Vorteil des Ultimakers liegt einmal darin, dass er außer über die SD-Karte über alle anderen Verbindungen angesteuert werden kann. Die Bauplattform ist selbstjustierend und es kann mit zwei Materialien gearbeitet werden. Das heißt, man wählt entweder zwei unterschiedliche Farben oder die Supports aus einem anderen wasserlöslichen Material. Dabei wird ein Polymer„draht“, das Filament, in einem Extruder zu einer heißen Düse transportiert. Das Filament wird flüssig und auf die warme Druckplatte aufgetragen. Schicht für Schicht wird das Objekt aufgebaut. Ein kleiner Ventilator am Druckkopf kühlt das Material wieder ab. Zuerst werden Stützstrukturen aufgebaut und dann das eigentliche Objekt gedruckt (Abb. 7–12).
Seidel
Seidel
Seidel
Seidel
Seidel
Seidel
Seidel
Als Material verwenden wir unser eigens entwickeltes Trayfill, das der Medizinprodukteklasse 1 entspricht. Zudem ist dieses kostengünstig, sterilisierbar, formstabil bis 220 °C und auf den digitalen Workflow abgestimmt. Vom Einscannen bis hin zur Abspeicherung benötigen wir 10 Minuten. Das Material für einen Löffel kostet im Durchschnitt 93 Cent. Die Druckzeit beträgt etwa zwei Stunden für einen Löffel. Es können vier bis fünf Löffel auf der Druckplatte Platz nehmen. Das Drucken vollzieht sich hauptsächlich in der Zeit, in der wir unseren Feierabend genießen!
Am nächsten Morgen werden die Löffel von der Druckplatte entfernt und gehen zum Tempern in den kalten Ofen. Sie werden im Trockenschrank auf 100 °C hochgeheizt und verweilen dort 5 Minuten. Danach lassen wir den Ofen mit den Löffeln abkühlen.
Die Supports können per Hand oder mit einer Zange leicht entfernt werden. Der Löffel wird nur noch mit einer groben Fräse bei niedrigen Drehzahlen und mit einem Sandpapier bearbeitet. Da die Schichtstärke überall gleich ist und die Ränder vom Design her schon abgerundet sind, beträgt die Ausarbeitung nur 5 Minuten. Durch die Bearbeitung ist der Löffel etwas aufgeraut. Sandstrahlen, wie einige Techniker es bevorzugen, entfällt. In der Praxis kann Adhäsiv aufgetragen werden, wenn der Behandler es für sein verwendetes Material braucht.
Die Herstellung der Chrom-Kobalt-Basis
Nach erfolgreicher Abformung in der Zahnarztpraxis geht es nun wieder ins Labor. Das vorliegende Meistermodell scannen wir nun wieder mit dem inEos X5 ein und starten inLab 18.0 Partial Frame.
Das Ermitteln der Einschubrichtung sowie das Ausblocken vollziehen sich bei uns rein digital und es ist auch hier ein enormer zeitlicher Vorsprung gegenüber dem konventionellen Arbeitsschritt zu verzeichnen. Bei der Klammergestaltung im Frontzahnbereich wird immer auf die Ästhetik geachtet und dementsprechend die Ausblockung im vestibulären und bukkalen Bereich wieder so weit abgetragen, um die Klammer ästhetisch designen zu können – natürlich tun wir dies nur, wenn es erforderlich ist.
Wenn die Basis zuvor mit dem Kerr-Stift auf dem Gipsmodell eingezeichnet ist, kann die virtuelle Basis sehr schnell konstruiert werden. Die Einzeichnung auf dem Modell bildet sich sehr gut auf dem virtuellen Modell ab.
Ein Tipp: Wir starten mit der Basis und ziehen diese ein bisschen in den Sattel zu den Klammerzähnen hinein. Daraus ergibt sich eine saubere Gestaltung des Kunststoffs bei der Fertigstellung und die Abschlusskante ist einfacher und harmonischer virtuell zu modellieren (Abb. 13–16).
Seidel
Seidel
Seidel
Seidel
Auf das Darstellen des restlichen virtuellen Modellierens will ich hier verzichten, da jeder selbst für sich in seinem Software-Programm das Beste herausholt und außerdem auch kundenbezogen vorgeht. Es folgen das Finalisieren, Abspeichern und Senden an den Drucker.
Zurzeit arbeiten wir mit dem Formlabs 2 (SLA-Drucker; Stereo-Lithography Apparatus = Stereolithografie). Die hier beschriebene Arbeit ist auf dem Formlabs 2 gedruckt. Zusätzlich steht ein Drucker der Firma Envisiontec zur Verfügung (DLP-Drucker; Digital Light Processing = Maskenbelichtung). Beim Gerät von Envisiontec erreichen wir hervorragende Oberflächen und Passungen. Der Vorteil liegt bei diesem Drucker darin, dass man die Einstellungen seinen Bedürfnissen anpassen kann. Eine materialspezifische Kalibrierung ist möglich. Der Envisiontec ist schneller durch gleichmäßiges Belichten.
Der Formlabs-Drucker kann nicht kalibriert werden und das Material nicht den Laborbedürfnissen angepasst werden. Er ist wesentlich langsamer, da der Laser die Wege zur Verschmelzung des Resins abfahren muss. Allerdings gibt er uns ein sehr gutes Preis-Leistungs-Verhältnis an die Hand. Um erstmals in die Druckwelt einzutauchen, eignet sich dieser Drucker sehr gut. Wir erreichen mit dem Formlabs eine sehr gute Passung des Druckobjekts für den Bereich des partiellen Zahnersatzes aus Chrom-Kobalt. Wer mehr will und braucht, kann sich bei uns über unsere Erfahrungen mit dem Envisiontec-Printer informieren.
Die Software des Druckers der Firma Formlabs heißt Preform und ist beim Kauf des Druckers enthalten. In der Preform wird die Datei geöffnet und das designte Objekt auf die virtuelle Bauplattform gelegt. Es wird lagerichtig positioniert und es werden Stützstrukturen gesetzt, was die Software alleine erledigt. Es kann jedoch sein, dass einige Supports durch Markieren anders gesetzt werden müssen, da sie im Innenbereich der Klammer, Auflagen oder Basis liegen. Dieses ist mit ein paar Klicks schnell geändert und kommt nicht bei jeder Arbeit vor.
Nun wird das Material ausgewählt und an den Drucker gesendet. Bei Formlabs drucken wir mit dem Standard Resin Grey V4 (Abb. 17a–c). Mit diesem Material haben wir gute Erfahrungen gemacht. Es enthält keinen Wachsanteil. Je nach Objektgröße dauert der Druck etwa 1 Stunde und 50 Minuten. Mit der Formwash von Formlabs ist es einfach, den Print zu reinigen, danach legen wir das Objekt für etwa 10 Minuten bei 40 °C in einen Trockenschrank, um den Restalkohol zu verdampfen.
Seidel
Seidel
Seidel
Nun werden die Supports mithilfe einer Diamantscheibe entfernt und die restlichen Überschüsse mit einer Fräse, mit der wir auch Kunststoff bearbeiten, beschliffen. Nun passen wir den Print auf das Modell auf. Gegebenenfalls modellieren wir etwas nach. Das bedeutet zum Beispiel, eine Klammerschulter zu verstärken oder an der Abschlussleiste für den Kunststoff etwas zu ändern. Wie schon erwähnt, ist das Benutzen des Wachsmessers hier nicht verboten. Außerdem werden Gusskanäle positioniert (Abb. 18–22).
Seidel
Seidel
Seidel
Seidel
Seidel
Seidel
Seidel
Seidel
Seidel
Seidel
Als wir anfingen, gedruckte Gerüste zu gießen, haben wir alle auf dem Markt befindlichen Einbettmassen getestet, die für Resin geeignet waren. Leider konnte uns keine Masse 100-prozentig überzeugen. Es traten immer wieder vermehrt Risse an den Muffeln auf (Abb. 23a u. b). Auch wenn die Muffel äußerlich in Ordnung schien, waren vermehrt Gussfahnen am Metallguss zu sehen (Abb. 24a u. b). Die Passung der Basen und Auflagen waren nicht zufriedenstellend. Auf der Internationalen Dental-Schau 2017 habe ich einen Mineralogen kennengelernt, mit dem wir zusammen eine Resin-Einbettmasse entwickelt haben. Daher verwenden wir nun zum Überbetten Print-Cast M von 3D Agency. Damit wird nach Anleitung eingebettet, wobei wir hier den Speed-Guss bevorzugen. Die nun vorliegenden Gussergebnisse und Passungen sind hervorragend.
Seidel
Seidel
Seidel
Seidel
Sowie die Muffel im Ofen ihren heißen Platz einnimmt, wird wieder nach dem bekannten Muster zur Herstellung eines Modellgusses verfahren und wir betten das gedruckte Gerüst wie eine Brückenarbeit ein. Viele sprechen hier aus Gewohnheit immer noch vom Modellguss, der Name kommt aber vom Gießen auf dem Modell. Das machen wir bei dieser Art der Herstellung nicht – also verwende ich diese Bezeichnung auch nicht, sondern sage „Basis“ (Abb. 25–26).
Seidel
Seidel
Seidel
Nach dem Gießen der Basis arbeiten wir diese aus und polieren das Objekt. Hier gehen wir wie bei der klassischen Methode vor bzw. es macht dies jeder Zahntechniker, wie er es bevorzugt.
Schlussbemerkungen
Mit den nach und nach von den Herstellern auf den Markt gebrachten Verbesserungen der Software-Programme zum virtuellen Modellieren und den darauf fußenden nun guten Gussergebnissen macht es wirtschaftlich Sinn, sich diesem Thema zu widmen. Als vorteilhaft sehe ich es an, dass das Ausblocken per Hand und der gesamte Dubliervorgang entfallen. Wir sparen nicht nur Zeit, sondern vor allem die Kosten des Dublierens, und es wird weniger Abfall produziert. Bei Sonderwünschen hat es sich sogar gezeigt, dass virtuelles Designen dem manuellen überlegen sein kann (Abb. 27a u. b).
Seidel
Seidel
Falls es doch mal zu einem Fehlguss kommen sollte, kann die gespeicherte Datei erneut zum Druck verwendet und die Konstruktion in Metall schnell umgesetzt werden. Der Techniker spart sich den neuerlichen Modelliervorgang.
Bezüglich der Abrechnung ändert sich bei unserem Vorgehen nichts. Es wird, wie in der BEL ausgewiesen, eine ‚Metallbasis’ berechnet.
Da inzwischen in jedem modernen Dentallabor CAD/CAM in irgendeiner Weise mit den dazugehörigen Programmen installiert ist, ist mit dem hier beschriebenen Verfahren alleine eine Investition in einen 3D-Printer zu tätigen.
Wir brauchen nicht mehr darüber nachzudenken, wenn ein digitaler Datensatz aus einer Praxis kommt, wie ich mir mein Modell baue, wo ich das Modell herbekomme, so wie wir es in unserem Labor brauchen. Wir machen es einfach selbst! Auch kann man die 3D-Druck-Möglichkeit für die Akquise nutzen. Und: Wir können mehr digital erledigen, wenn wir die Printer-Optionen erst einmal ausgelotet und ausprobiert haben. So wird das Gerät mehr und mehr ausgelastet.
Bei allem habe ich auch den zahntechnischen Nachwuchs im Blick. Denn endlich gibt es eine weitere Möglichkeit, junge Menschen durch neue digitale Techniken für unseren Beruf zu begeistern!
Bildquellen sofern nicht anders deklariert: Unternehmen, Quelle oder Autor/-in des Artikels
Entdecke CME Artikel






Keine Kommentare.