Nachdem die traditionellen, metallbasierten Rekonstruktionen in der Prothetik lange Zeit als „Goldstandard“ betrachtet wurden, führte die Weiterentwicklung der Materialwissenschaft zur Einführung neuer Gerüstwerkstoffe auf vollkeramischer Basis. Ferner haben der Patientenwunsch nach zahnfarbenen, metallfreien und somit biologisch verträglichen Versorgungen, dazu hohe Edelmetallkosten und der schnelle Fortschritt der Digitalisierung in der Fertigungstechnik bewirkt, dass Vollkeramik besonders unter optischen Aspekten zum bevorzugten Restaurationswerkstoff der Wahl wurde. Die ästhetischen Vorzüge im Vergleich zu metallgestützten Versorgungen resultieren daraus, dass die Keramikkrone vollständig aus zahnfarbenem Material aufgebaut und dadurch mit einer höheren Lichttransmission verbunden ist. Die hohe Biokompatibilität beruht auf der Korrosionsfreiheit und der gegenüber anderen Werkstoffen geringeren Plaqueakkumulation. Durch den Einsatz neuer Technologien in der industriellen Materialherstellung, in der Behandlungspraxis und im ZT-Labor hat sich das Indikationsspektrum der Vollkeramik seit 15 Jahren ständig erweitert.
Einen wesentlichen Beitrag zur Indikationserweiterung leistete Zirkoniumdioxid (ZrO2) als Gerüstkeramik, deren strukturbedingte Opazität eine aufbrennkeramische Verblendung erfordert. Die Kosten für den Verblendaufwand, die anfänglichen Chipping-Probleme, die Auflösung der Opazität zugunsten einer zunehmenden Verbesserung der Transluzenz von ZrO2 führten zu einer Substitution der Keramiken zur sogenannten „Volkskrone“, also zur monolithischen, verblendfreien Zirkonia-Krone. Dadurch erfolgte eine Neuordnung der Werkstoffe, die sich für den prothetischen Einsatz qualifizierten.
Verblendung im Fokus der Ästhetik
Der Frontzahnbereich erfordert in der Regel ein besonderes Ästhetikkonzept. Daher ist es bei anspruchsvollen Vollkeramikrestaurationen meistens sinnvoll, die individuelle Zahnfarbe über eine labiale Schichttechnik mit Leuzit- oder Fluorapatit-Sinterkeramik als Verblendung zu realisieren. Dabei steht nicht so sehr die Farbe im Vordergrund, die sich auch mit Malfarben gut darstellen lässt. Vielmehr sind die Unterschiede im Transluzenzgrad an verschiedenen Stellen des Zahns wichtig, die nur durch eine individuelle Schichtung erreicht werden können. Auch notwendige Volumeneffekte unter der Oberfläche der Restauration lassen sich mit der Schichttechnik erzielen. Als geeigneter Werkstoff für Frontzahnkronen hat sich Lithiumdisilikat (LS2, e.max) bewährt – verfügbar in verschiedenen Farben, Opazitäten und Transluzenzen.
Zur Erfüllung hoher Ästhetikansprüche ermöglicht die CAD/CAM-Technik, das anatoforme Vollkronendesign gemäß dem labialen Schichtauftrag zu reduzieren (Cutback- Technik), um Platz für die aufbrennkeramische Verblendung zu schaffen (Abb. 1 u. 2). Da Verblendungen mechanisch um den Faktor 4 bis 5 schwächer sind als die Gerüstkeramik, besteht die Gefahr von kohäsiven Verblendfrakturen (Chippings) bei nicht korrekter Gerüstgestaltung. Obwohl diese Frakturen im Frontzahn seltener auftreten als im Seitenzahnbereich, hat sich die Gestaltung von palatinalen Führungsflächen im Gerüstwerkstoff bewährt.
Quelle: Seger/Ivoclar Vivadent
„Weißer Stahl“ braucht Verkleidung
Im Gegensatz zum Frontzahnsektor muss der Molarenbereich aufgrund der höheren Kaudruckbelastung als Risikozone für Restaurationen betrachtet werden. In den vergangenen Jahren hat sich für posteriore Kronen und Brücken Zirkoniumdioxid (ZrO2) als „weißer Stahl“ profiliert und somit als Gerüstkeramik qualifiziert. Da der Werkstoff sehr opak und im metastabilen Aggregatzustand nicht zahnfarben ist, muss die Krone zur Erlangung eines natürlichen, schmelzähnlichen Farbspiels aufbrennkeramisch verblendet, alternativ nach dem Formfräsen eingefärbt werden (Tauchkolorierung) oder es müssen industriell voreingefärbte Blanks (dentinfarbig) benutzt werden.
Quelle: Scherrer
Verblendfreie Monolithen auf dem Vormarsch
Monolithisch und somit anatoform gestaltete Kronen im Frontzahnbereich können sowohl aus Silikatkeramik als auch aus Oxidkeramik gefertigt werden. Verblendfrei gestaltet, entfällt das Risiko einer Verblendfraktur. Der Vorteil der Silikate ist ihre zahnähnliche Lichtleitfähigkeit. Hier hat sich besonders Lithiumdisilikat-Keramik (LS2) als optimaler Synergismus von Ästhetik und Festigkeit qualifiziert und stellt bislang die höchste Evolutionsstufe der Glaskeramiken dar. Sie verfügt inzwischen über mehr als 15 Jahre klinische Bewährung. Mit klinischen Überlebensraten von 96-98 % nach 10 Jahren in situ sind LS2-Kronen vergleichbar mit jenen aus Metallkeramik und somit auch für den Seitenzahnbereich geeignet [4, 9]. Selbst kurzspannige Brücken bis zum Ersatz eines Prämolaren können durch CAD/CAM-unterstütztes Schleifen aus Blöcken oder mittels Presstechnik zur Versorgung herangezogen werden.
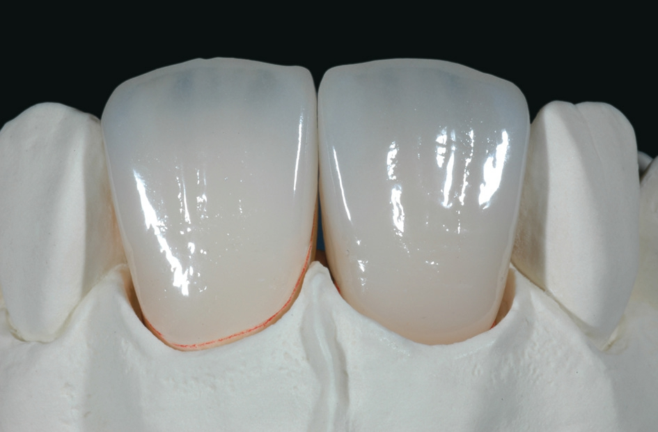
Durch innovative Weiterentwicklungen in der Materialtechnologie stehen für die subtraktive Bearbeitung der Rohlinge mehrfarbige Blöcke zur Verfügung, die entweder in einem linearen Verlauf oder in einem „Dentin- Schmelz“-Aufbau eingefärbt sind. Die Presstechnik beschränkte sich bisher auf monochrome Werkstücke; inzwischen sind auch polychromatische Ingots verfügbar (Abb. 4). Mit Malfarben lassen sich die Presslinge hinreichend individualisieren.
Quelle: Seger/Ivoclar Vivadent
Quelle: Neumann
Transluzentes Zirkoniumdioxid – eine Perspektive?
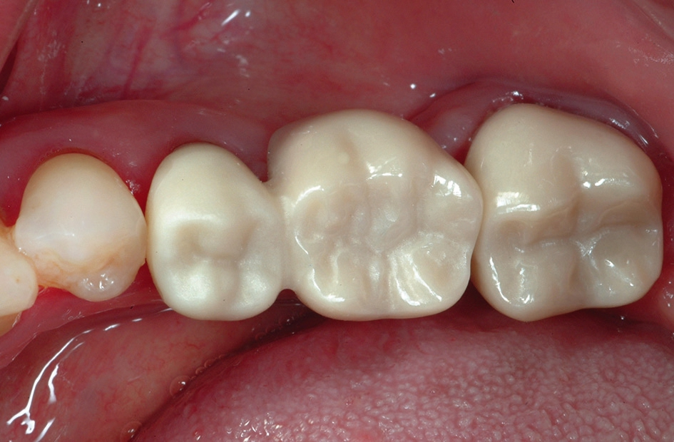
Um das Risiko des Chippings zu umgehen, wird neuerdings modifiziertes ZrO2 monolithisch verarbeitet – d. h. auf eine Verblendung wird weitgehend verzichtet. Um die bisherige Opazität zu reduzieren, wurde der Anteil an Aluminiumoxid von 0,25 bis auf 0,01 % (Gewicht) abgesenkt – eine Dotierung, die für die Stabilität der Restauration gegen Feuchtigkeit (Speichel) verantwortlich ist. Ferner wurde der Anteil des Yttriumoxids von 4,5 auf 10 % angehoben. Die kubischen Y2O3-Kristalle haben ein größeres Volumen im Vergleich zu den tetragonalen. Damit streut das Licht an den Korngrenzen zwar weniger stark, aber aufgrund der isotropischen Eigenschaft wird das einfallende Licht in alle Raumrichtungen abgestrahlt. Im Ergebnis erzielt das modifizierte ZrO2 eine gewisse Transluzenz [39]. Ferner ist es gelungen, ZrO2-Blocks industrieseitig gemäß den Shade-Guides einzufärben und teilweise Schmelz-Dentin-Farbverläufe (Multilayer) zu integrieren. Dadurch wurde erreicht, dass der monolithische Einsatz von ZrO2 im Seitenzahnbereich kein ästhetisches Hindernis mehr darstellt (Abb. 5). Allerdings weist eine Studie darauf hin, dass Al2O3-reduziertes ZrO2 eher für eine hydrothermale Alterung anfällig sein kann [6]. In-vitro-Kausimulationen monolithischer ZrO2-Kronen mit Wandstärken bis minimal 0,3 mm zeigten initial keine abweichenden Bruchlastwerte im Vergleich zu konventionellen, gleich dimensionierten ZrO2-Kronengerüsten [21]. Bei gleicher Wandstärke war die Bruchlast der ZrO2-Kronen signifikant höher als die der Lithiumdisilikat-Kronen. Für LS2-Kronen ist herstellerseitig eine okklusale Mindestschichtstärke von 1,5 mm vorgegeben. Somit kann ZrO2 den Vorteil nutzen, eine geringere Präparationstiefe und Schichtstärke anzubieten. Bewegen sich die Überlebensraten verblendeter ZrO2-Brücken nach 6 Jahren im Frontzahnbereich im Korridor von 89-100 % und im Seitenzahnbereich nach 5 Jahren bei 90-97 % [11, 14, 17], liegen für monolithische ZrO2-Restaurationen noch keine längerfristigen Studiendaten vor.
Quelle: Knappe/Birg
Quelle: Knappe/Birg
Für den monolithischen Einsatz kann ZrO2 im vorgesinterten Zustand mittels manueller Einfärbung der anvisierten Zahnfarbe angepasst werden; alternativ können vierschichtig voreingefärbte Rohlinge genutzt werden (Abb. 6 u. 7). Ob diese Verfahren eine Möglichkeit für den Frontzahneinsatz bieten, muss im Einzelfall klinisch entschieden werden. Hier spielen die natürlichen Nachbarzähne hinsichtlich Lichtdurchlässigkeit und Helligkeit als Referenz eine wesentliche Rolle. Meist kommt man auch mit Lithiumdisilikat zu hervorragenden Ergebnissen, da in der Regel die Festigkeit hierfür ausreichend ist. Bei hellen, opaken Referenzzähnen kann aber auch ZrO2-Keramik mit ihren zahnfarbenen und tendenziell weniger lichtdurchlässigen Eigenschaften geeignet sein. In Kombination mit einer Infiltration und einer oberflächlichen Charakterisierung mit Keramikmalfarben kann auch mit dem hellen, semitransparenten ZrO2 ein ästhetisches Ergebnis erzielt werden. Da das Einfärben von ZrO2 nicht zu Ergebnissen führt, die mit jenen von Lithiumdisilikat vergleichbar sind, ist eingefärbtes ZrO2 eher für Restaurationen im ästhetisch weniger anspruchsvollen Fall geeignet.
Mit dem Verzicht auf eine Verblendung kann bei Einsatz von ZrO2 substanzschonender präpariert werden. Die Kronenwandstärke kann auf 0,5-0,7 mm abgesenkt werden – eine Dimensionierung, die mit der metallischen Vollgusskrone vergleichbar ist. Auch Verbinderquerschnitte bei Brücken können im Vergleich zu Lithiumdisilikat geringer dimensioniert werden, wobei grundsätzlich immer darauf zu achten ist, dass die Höhe zur dritten Potenz (vertikal extendiert) zur Festigkeit beiträgt. Zur Maskierung stark verfärbter Zahnstümpfe kann die Opazität des Restaurationsmaterials und auch für höhere Wandstärken (bis zu 1 mm) genutzt werden. Um beim antagonistischen Kontakt von ZrO2 einen Substanzabtrag im Gegenkiefer zu minimieren, muss durch Politur mit entsprechend abgestimmten Poliersystemen eine optimale Oberflächengüte erzielt werden.
Neue Werkstoffe: Zirkonverstärkte Glaskeramiken
Eine Kombination enthalten die neuen Lithiumsilikat-Glaskeramiken (ZLS: Celtra Duo, Celtra Press, Suprinity). Die Glasphase ist mit 10 Volumenprozent ZrO2 dotiert. Dies führt zu einer sehr fein dispers verteilten Kristallstruktur (0,5 ?m Partikelgröße). Die Kombination von kleinen Lithiumsilikat- und Phosphatkristallen sowie amorph in der Glasphase gelöstem Zirkoniumdioxid hat eine höhere Glasphase im Vergleich zum reinen Lithiumdisilikat zur Folge. Nach Herstellerangaben soll dies die Grundlage für günstigere optische Eigenschaften im Bereich von 500-700 nm (Nanometer) sein, die im Lichtleitverhalten noch näher an den Zahnschmelz herankommen und den „Chamäleoneffekt“ ermöglichen. Mit der ZrO2-Zugabe wird eine Biegebruchfestigkeit von 350-420 MPa erreicht, vergleichbar mit Lithiumdisilikat.
Quelle: Rinke
Mit den ZLS-Keramiken stehen effiziente Verfahren zur Herstellung monolithischer Kronen zur Verfügung, mit denen sich aufgrund der guten, lichtoptischen Eigenschaften in den meisten Fällen leichter ästhetische Ergebnisse erzielen lassen als dies mit monolithischen ZrO2-Restaurationen möglich ist [8]. Berücksichtigt werden muss jedoch, dass ZLS-Restaurationen eine höhere Mindestmaterialstärke erfordern (1,0-1,5 mm) als solche aus ZrO2. Mittel- und langfristige Daten zur klinischen Bewährung von ZLS-Keramiken stehen noch aus.
Vollkeramik in der klinischen Bewährung
Für die vollkeramische Kronen- und Brückentechnik haben sich in den vergangenen Jahren besonders Lithiumdisilikat, ferner zirkonverstärktes Aluminiumoxid und Zirkoniumdioxid als Gerüstkeramik mit Verblendung in längerfristigen klinischen Studien qualifiziert. Die Studien zeigen auch hier wiederum, dass die klinische Bewährung stark vom Einsatzbereich, von den verwendeten Werkstoffen und der Einhaltung materialspezifischer Bedingungen abhängt [35, 37].
Als Nachfolger der leuzitverstärkten Silikatkeramiken zeigen Verblendkronen aus Lithiumdisilikat (LS2) im Front- und Seitenzahnbereich nach 10 Jahren Überlebensraten von 93,0 bis 96,8 % [6, 40, 43, 44]. Vergleicht man diese Ergebnisse anterior und posterior mit klassischen VMK-Kronen, zeigen sich keine relevanten Unterschiede bei den Überlebensraten [22, 34]. Monolithisch gefertigte Kronen aus LS2 weisen höhere Festigkeiten auf als verblendete LS2-Kronen. Die Überlebensraten der Frontzahnkronen sind vergleichbar mit jenen aus Metallkeramik [10, 45]. Der Werkstoff kann für Frontzahnbrücken empfohlen werden [4].
Für monolithische Seitenzahnbrücken aus Lithiumdisilikat konnte nach 10 Jahren eine Erfolgsrate von 87,9 % ausgewiesen werden [9]. Aufgrund der höheren Festigkeit gegenüber der verblendeten Variante haben sich DGZMK und DGPro entschlossen, den Einsatz monolithischer dreigliedriger LS2-Brücken bis zum 2. Prämolar zu unterstützen [4]. Für monolithische LS2-Brücken im Molarenbereich liegen noch keine Herstellerfreigaben vor und sie können evidenzbasiert noch nicht unterstützt werden [15].
Für Kronen aus zirkonoxidverstärktem Lithiumsilikat (ZLS) liegen noch keine mittel- und langfristigen Studien vor. Abrasionsuntersuchungen und klinische Fallberichte [26] mit günstigen Prognosen für Frontzahnkronen wurden publiziert.
Verblendete Zirkoniumdioxid-Kronen (ZrO2) erzielten in der Frontzahnregion nach 5 Jahren eine Erfolgsrate von 99,4 % [18], im Molarenbereich von 97,6 % [28]. Allerdings berichteten andere Autoren von Misserfolgen durch Verblendfrakturen auf ZrO2-Gerüsten in bis zu 25 % [24, 31, 32, 33]. Anfänglich wurden mit ZrO2 okklusal und zirkulär sehr geringe Wandstärken gewählt; ferner entsprachen die Gerüste nicht dem anatoformen Design und kannten noch keine ausgeprägte Höckerunterstützung. Jedoch führten die beobachteten Chippings oftmals nicht zwangsläufig zur Erneuerung der Restaurationen; lediglich bei Verlust der anatomischen Form, besonders approximal, erfolgte eine Erneuerung. Zwischenzeitlich sind die Gründe für diese Misserfolge erkannt worden [1, 3, 29, 36]. Mehrere Autoren schlussfolgerten, dass die Überlebensraten von ZrO2-Kronen vielversprechend sind.
Mit Brücken im Frontzahnbereich erzielten dreigliedrige, verblendete Rekonstruktionen mit ZrO2-Gerüsten nach 6 Jahren eine Überlebensrate bis zu 100 % [14, 46]. Hingegen zeigten weitspannige, verblendete Brücken mit 4 bis 7 Gliedern im Front- und Seitenzahnbereich nach 5 Jahren eine erhöhte Misserfolgsrate; die Überlebensrate erreichte nur 82 % – Gerüstfrakturen gab es zwar kaum, aber Wurzelfrakturen, endondontische Zwischenfälle, Dezementierungen sowie Chippings senkten die klinische Erfolgsrate. Der Autor resümierte, dass weitspannige ZrO2-Brücken besonders im Molarenbereich mit einem höheren Risiko behaftet sind als anterior [38].
Für verblendete Keramikbrücken im Seitenzahnbereich liegt ausreichend klinische Evidenz vor. Mit dreibis viergliedriger Zirkonoxid-verstärkter Aluminiumoxidkeramik (In-Ceram Zirconia) wurden Erfolgsraten nach 5 Jahren in situ von 90 bis 96,8 % erreicht [5, 9]; nach 10 Jahren wurden 84,6 % protokolliert [2]. Dreigliedrige ZrO2-Brücken (Lava) als Lückenschluss für den 2. Prämolar und 1. Molar kamen nach 5 Jahren auf 90 % Erfolgsquote; hierbei wiesen 20 % der Verblendungen leichte und ausgeprägte Chippings auf [25]. Der Retentionsverlust und somit die Bedeutung der Befestigung wurde in einer weiteren Studie deutlich: Konventionell befestigte ZrO2-Brücken mit 3 bis 4 Gliedern (Cercon) erreichten nach 4 Jahren eine Überlebensrate von 94 %. Unterkieferbrücken zeigten ein erhöhtes Risiko für Retentionsverlust. Daraus ist zu folgern, dass Zinkoxidphosphatzement zwar keinen negativen Einfluss auf die Frakturstabilität hat, aber auch keine ausreichende Retentionsstabilität bietet, insbesondere bei einer erhöhten Pfeilermobilität in der Mandibula durch die Deformation beim Kauen [30]. Deshalb sollte die axiale Pfeilerhöhe bei konventioneller Zementierung mindestens 4 mm betragen. Bei größeren Brückenkonstruktionen wird von einigen Autoren wahlweise eine Innenflächen-vorbereitende Korundstrahlung [7] und als Befestigungsmedium ein selbstadhäsives Komposit mit sauren Monomeren oder Phosphat-Monomer mit Primer empfohlen. Gleichwohl sollte immer berücksichtigt werden, dass die Verbundfestigkeit des Dentin-Bondings sehr alterungsabhängig ist und deshalb auf eine retentive Präparationsform nicht verzichtet werden sollte [42].
Weitere Gründe für Misserfolge zeigte eine Studie mit verblendeten, drei- bis viergliedrigen posterioren ZrO2-Brücken aus Cercon. Komplikationen entstanden durch Verblendfrakturen, Pfeilerverluste und Dezementierungen. Nach 7 Jahren wurde eine Überlebensrate von 83,4 % erhoben [27].
Keramik bei Parafunktionen?
Auf einen der Gründe für Misserfolge verblendeter ZrO2-Brücken im Frontzahn- und Seitenzahnbereich wiesen einige Studien hin [19]: Funktionelle Defizite bei Patienten mit Parafunktionen lösten Gerüst- und Verblendfrakturen aus und senkten die Überlebensrate nach 5 Jahren auf 89,8 %. Auch auf implantatgetragenen Kronen und Brücken mit ZrO2-Gerüst (anterior und posterior) wurden nach 5 Jahren 12 % Misserfolge durch Gerüst- und Verblendfrakturen sowie Dezementierungen beobachtet, ausgelöst durch Parafunktionen bzw. Bruxismus [12, 13, 19]. Zweifellos stellt Bruxismus generell eine hohe Belastung für prothetische Versorgungen und somit einen Risikofaktor dar. In diesen Fällen ist es angezeigt, einen Aufbissbehelf als „Stressbreaker“ für die Nacht zu empfehlen.
Herstellerseitig wird monolithisches ZrO2 zur Versorgung von Bruxismus-Patienten empfohlen. Zur klinischen Bewährung von monolithischem ZrO2 liegen allerdings noch keine längerfristigen Daten vor. In In-vitro-Studien wurde die hohe Festigkeit des Werkstoffs für Molarenkronen untersucht. Es zeigte sich, dass hohlkehlenpräparierte Kronen mit Wandstärken von 0,5 mm okklusal kein Frakturrisiko aufweisen [20] bzw. ähnlich stabil sind wie dickwandige Restaurationen [16]. Literaturbelegt ist die Bedingung, dass verblendfreie ZrO2-Kronen und -Brücken von maschinellen Frässpuren befreit und mit einer perfekten glatten Oberfläche versehen werden müssen, um die Antagonisten zu schonen.
Die Eignung bei massivem Bruxismus wurde anhand monolithischer Kronen schon klinisch untersucht. Nach 2 Jahren in situ wurde vertikal ein Substanzabtrag festgestellt. Zahnschmelz auf Antagonisten wurde um 46 ?m abradiert, die ZrO2-Krone verlor 14 ?m; die Abrasion auf kontralateralen Zähnen betrug 19-26 ?m. Der Autor resümierte, dass monolithisches ZrO2 mehr Schmelz abradiert als andere Keramiken [41]. Dieses klinische Ergebnis steht jedoch im Widerspruch zu In-vitro-Kausimulationen mit monolithischen ZrO2-Kronen; die Testungen ergaben, dass Substanzverluste am Antagonisten sogar geringer waren als bei verblendeten Kronen, wenn das ZrO2 mehrstufig handpoliert war [39]. Es fehlen also noch auf breiter Basis gewonnene Daten zur Abrasion, wenn praxisnah monolithische ZrO2-Kronen intraoral eingeschliffen und lediglich im Mund des Patienten poliert werden können.
Fazit: Erfahrung steigert Erfolg
Wie bei anderen zahnärztlichen Eingriffen beeinflussen mögliche Komplikationen das Behandlungsverfahren. Bei der Risikobewertung sollte die Versorgung mit vollkeramischen Kronen und Brücken gegen eine Standardtherapie mit metallgestützten Versorgungen abgewogen werden. Besonders Patienten mit Bruxismus sollten auf das erhöhte Frakturrisiko vollkeramischer Versorgungen hingewiesen werden. Klinische Funktionsstörungen sollten vorab durch funktionskorrigierende Maßnahmen behandelt werden. Bei der Wahl der Therapieform mit vollkeramischen Versorgungen spielt die Behandlungserfahrung des Zahnarztes eine entscheidende Rolle. Da die Eigenschaften von Keramiken sich deutlich von Metalllegierungen unterscheiden, sollten die Empfehlungen der Hersteller hinsichtlich Indikation und Werkstoffauswahl, Präparationsformen, morphologischer Restaurationsgestaltung, Wand- und Verbinderstärken, Verarbeitungsverfahren und Befestigungstechnik beachtet werden. Und generell gilt weiterhin die Empfehlung, sich mit den Merkmalen und Eigenheiten der Werkstoffe auseinanderzusetzen: Think Ceramics!!
Literatur auf Anfrage bei der AG Keramik
Gekürzte Fassung der Erstpublikation: Pospiech P, Kern M: Verblendet vs. Monolithisch. ZWR Deutsch Zahnärzteblatt 2016; 125(9): 430-436.
Näheres zu den Autoren des Fachbeitrages: Prof. Dr. Peter PospiechBildquellen sofern nicht anders deklariert: Unternehmen, Quelle oder Autor/-in des Artikels
Entdecke CME Artikel






Keine Kommentare.