Am besten hilft dabei die Einstellung, dass wir jeden Fall als neue Herausforderung betrachten. Folgen Sie uns hier bei der Versorgung einer Patientin mit Nichtanlage der Frontzähne 12 und 22. Sie sehen Schritt für Schritt, worauf wir unser Augenmerk gelegt haben.
Planung und Beratung
Eine junge Frau (Jahrgang 1995) besuchte die Praxis mit dem Wunsch nach definitiver Rekonstruktion der äußeren Inzisiven im Oberkiefer. Diese waren genetisch nicht angelegt (Abb. 1), durch eine langjährige Behandlung in der Jugend war aber darauf hingearbeitet worden, ihr als Erwachsene ein ansprechendes Ergebnis zu ermöglichen. Im Alter von 10 Jahren waren 52 und 62 extrahiert worden, um Platz für Zahnersatz in den Maßen bleibender Zähne schaffen zu können. Eine Schiene diente ab jenem Tag als Platzhalter, wobei die Regionen 52 und 62 bzw. dann 12 und 22 mit Kunststoff gefüllt wurden. So wurde dem wachsenden Kiefer Rechnung getragen, was einer späteren Okklusionsstörung vorbeugen sollte (Abb. 2). Bei der ersten Vorstellung der Patientin im Dentalcenter Kleinsman/Varzideh wurden der aktuelle Gesundheitsstatus der Zähne und die Gebisssituation überprüft. Mittels Röntgenbild wurde abgeklärt, ob einer Implantation nichts im Wege stand. Es konnte grünes Licht gegeben werden und die Patientin wurde aufgeklärt und beraten. Sie erfuhr unter anderem, dass das Knochenangebot ausreichte, aber zu einer natürlich wirkenden Umsetzung ein Zahnfleischtransplantat nötig sein würde.
Wehning/Kleinsman
Wehning/Kleinsman
Die junge Frau wurde außerdem über die Alternative einer Brückenversorgung aufgeklärt. Die Zähne 11 und 13 sowie 21 und 23 waren aber gesund und intakt. Eine Implantatlösung an 12 und 22 würde die Zahnsubstanz der Nachbarzähne schonen und wies zudem den Vorteil auf, den Knochen zu stabilisieren und langfristig Knochenabbau zu verhindern.
Die Patientin begrüßte eine Implantation und Weichgewebstransplantation mit der Aussicht auf eine für Laien nicht erkennbare Rehabilitation ihrer Front und stimmte den beabsichtigten Maßnahmen zu. Ein Wax-up zeigte ihr die geplante Endsituation.
Von der Implantation bis zur Übergabe an den Zahntechniker
Die Implantation wurde mittels 3D-Planung vorbereitet (Sicat, Bonn). Anhand einer speziell gefertigten Schiene wurden die Positionen der Implantate im DVT festgelegt, es folgte die Herstellung einer Bohrschablone, die für eine genaue Platzierung der Bohrung des Schraubkanals geeignet war.
Zur Insertion kamen je ein Implantat an 12 und 22 mit Typ NC 3,3×12 mm (Straumann, Basel/Schweiz). Außerdem wurde eine Zahnfleischtransplantation von der Gaumenpartie in den vestibulären Frontzahnbereich durchgeführt und der Entnahmesitus abgedeckt. Die Insertionsorte wurden mit passenden Verschlussschrauben versehen und die Patientin konnte die zuvor verwendete Schiene als Provisorium weitertragen.
Wehning/Kleinsman
Bemühungen um die Farbe
Selbstverständlich sollten sich beide Kronen unauffällig in den Zahnbogen einfügen lassen. Um dies gut zu bewerkstelligen und Details zu entdecken, sind viele Notizen, aussagekräftige Fotos sowie Zeitinvestitionen notwendig. Unterstützend zur zahnärztlichen Farbnahme wurde eine ausführliche Farbbestimmung im Dentallabor vorgenommen.
Wehning/Kleinsman
Emergenzprofil, Abutments und Gerüstherstellung
Bei der Abutmentgestaltung forderte zunächst die Radierung des Meistermodells (Dentona esthetic-base 300, Dentona, Dortmund) Aufmerksamkeit. Dieser Arbeitsschritt ist mit ausschlaggebend dafür, dass die späteren Kronen in ihrem Umfeld natürlich wirken; er sollte daher ausführlich zwischen dem Zahnarzt und Zahntechniker besprochen werden. Denn für einen natürlich wiederhergestellten Gingivaverlauf ist eine ideale Druckverteilung notwendig, die vom Zahnarzt gut geplant sein will.
Abbildung 5 zeigt die insgesamt ca. 1,5 mm tiefe Radierung, die mit einer recht scharfen Kante abschloss, um zu einer möglichst natürlichen Gingiva zu kommen. Eine kleine Furche diente bei der Schichtung zum Lösen des Abutments.
Es folgte die Konstruktion des individuellen Abutments, die durch einen digitalen Modellmatch des Situationsmodells mit Wax-up bestens umzusetzen war. Im Anschluss wurde gefräst (VITA YZ HT 1M1) und das in Zirkoniumdioxid erhaltene Ergebnis in das Meistermodell eingepasst (Abb. 6).
Wehning/Kleinsman
Wehning/Kleinsman
Wehning/Kleinsman
Die Anprobe im Patientenmund bestätigte die gute Passung, sodass nun die Gerüste in Form von Zirkoniumdioxidkappen in verkleinerter anatomischer Form gefräst werden konnten (Abb. 7). Damit waren alle Grundlagen geschaffen und die Vorbereitungen getroffen, um die Keramikschichtung anzugehen.
Detaillierte Schichtbeschreibung
Für die Vollverblendungen wurde die Feldspatkeramik VITA VM 9 herangezogen, die eigens für Zirkoniumdioxidgerüste entwickelt wurde. Durch einen ersten Washbrand der Käppchen sollte nach Auftrag des VITA Effect-Liners eine fluoreszierende Wirkung aus der Tiefe wie bei natürlichen Zähnen erzielt werden. Die Leuchtkraft der späteren Krone wird nach unserer Erfahrung durch den Liner deutlich verstärkt, Licht wird bis in tiefste Winkel transportiert.
Vor dem ersten Dentinbrand wurde die Zahnform mit Base Dentine und Transpa Dentine vervollständigt, es folgte ein Cut-Back. Des Weiteren entstand ein inzisaler Teller aus Neutral Transpa, auf dem wiederum Effektmassen platziert wurden (Abb. 8–10).
Wehning/Kleinsman
Wehning/Kleinsman
Wehning/Kleinsman
Für den Korrekturbrand komplettierten Neutral Transpa und Enamel die Form. Ein Halo-Effekt aus Base Dentine und Interno rundete das Schichtbild ab (Abb. 11).
Nach grober Ausarbeitung der gebrannten Korrektur folgte nun der Feinschliff zum schlussendlichen Glanzbrand (Abb. 12). Hierbei sollte auf die Oberflächentextur und andere Merkmale der Nachbarzähne geachtet werden, um diese detailgetreu zu übernehmen (Abb. 13).
Wehning/Kleinsman
Wehning/Kleinsman
Wehning/Kleinsman
Der Eingliederungstermin und unser Fazit
Wehning/Kleinsman
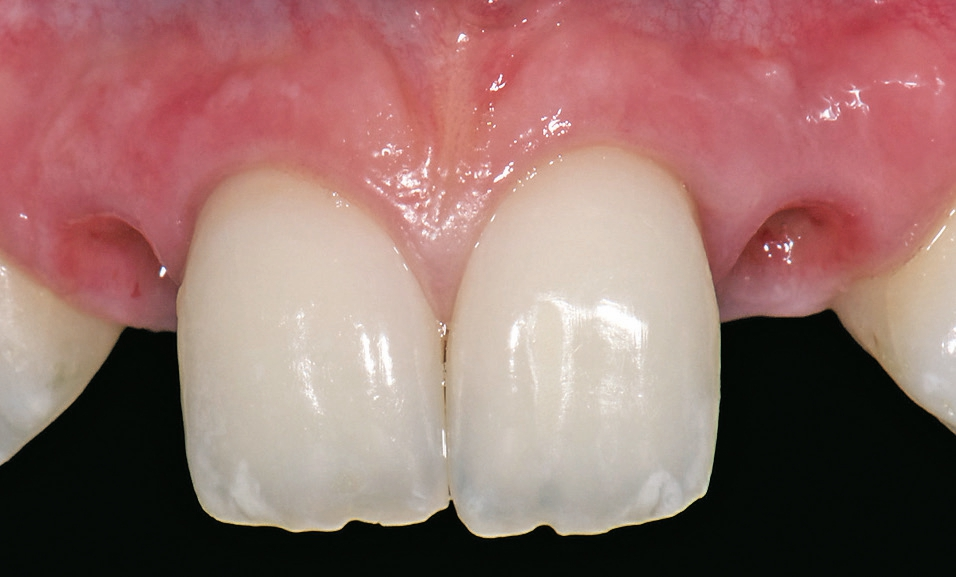
Mit den neuen Implantatkronen zeigte sie sich sehr zufrieden und stimmte der definitiven Eingliederung zu (Abb. 14).
Bevor diese vorgenommen wurde, prüften Zahnarzt und Zahntechniker das Resultat kritisch. Im Team legen wir Wert darauf, den Glanzgrad, die Oberflächentextur und eingearbeiteten Details, die Grundfarbe, das Farbspiel, das Volumen der Restauration, den Inzisalsaum, den Zahnfleischverlauf im Mund, die Harmonie im Zahnbogen und anderes mehr noch einmal gründlich unter die Lupe zu nehmen. Hält das Ergebnis der systematischen Analyse nicht in allen Punkten stand, muss gegebenenfalls nachgebessert werden.
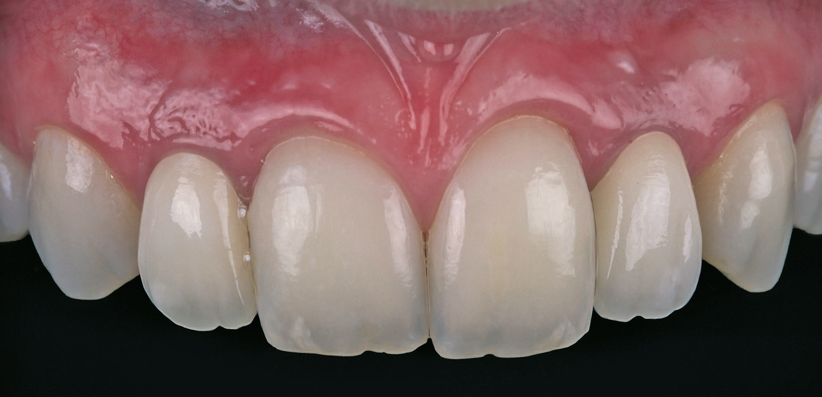
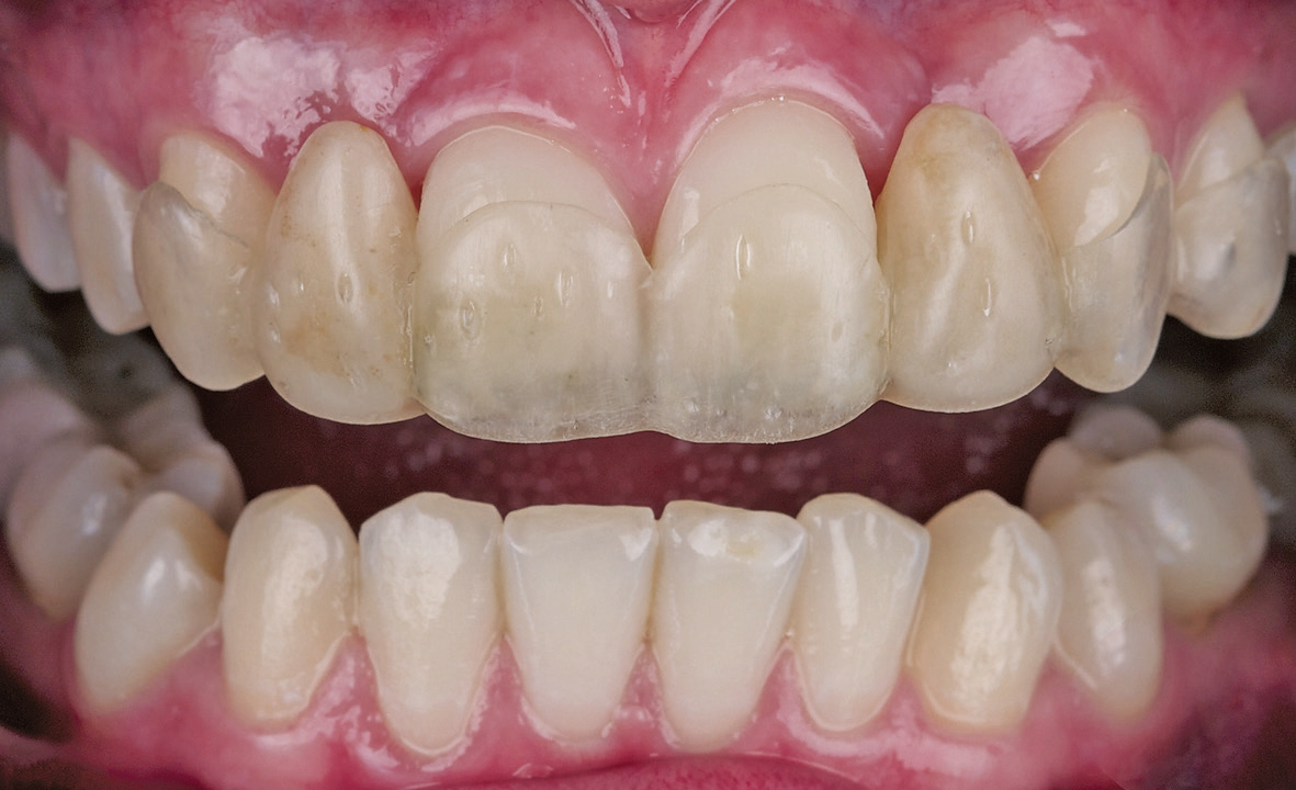
Auf diese Weise erarbeiten wir stets schöne Ergebnisse, und Restaurationen sind für Laien nicht als „Kunst“werke identifizierbar (Abb. 15 u. 16). Auch die hier vorgestellte Patientin konnten wir beeindrucken. Die junge Frau fühlte sich wieder sicher und lächelte unbeschwert. Als sie sich im Spiegel betrachtete und ihr neues Lächeln mit Bildern der Vorher-Situation verglich (Abb. 17), konnten wir geradezu zusehen, wie ihr Selbstbewusstsein wuchs.
Wehning/Kleinsman
Wehning/Kleinsman
Unser persönliches Fazit: Wenn das Behandlungsteam mit Bedacht und viel Geduld eine „Mission“ antritt, kommt in jedem Fall ein Resultat zustande, zu dem man mit bestem Gewissen stehen kann. Denn es wurde versucht, die bestmögliche Leistung abzurufen – und allein das zählt für uns.
Näheres zu den Autoren des Fachbeitrages: ZT Carolin Wehning, Drs. Bertho KleinsmanBildquellen sofern nicht anders deklariert: Unternehmen, Quelle oder Autor/-in des Artikels
Entdecke CME Artikel






Keine Kommentare.