Die Knochenhaut ernährt den unter ihr liegenden Knochen. Schont man bei der chirurgischen Intervention das Periost und verletzt es kaum, so wird über die kommenden Jahrzehnte die Ernährungsleistung der periimplantären Knochenstruktur nicht eingeschränkt. Es wird mittlerweile wissenschaftlich diskutiert, ob man nicht die konventionelle Implantat-Chirurgie – mit Mukoperiostlappenbildung – als die wichtigste Ursache bzw. Faktor für die Entstehung einer Periimplantitis ansehen kann.
Kaum ein anderes Feld der Zahnmedizin erfuhr in den vergangenen 20 Jahren einen derart wachsenden Zuspruch wie die zahnärztliche Implantologie. Ganz zu Recht, wie ich finde, denn die Statistik zeigt, dass nach 20 Jahren immer noch über 90 % der Implantate inkorporiert sind. Das ist die höchste Erfolgsrate einer Therapie in der Zahnmedizin: kein Zahnersatz, keine Füllung, keine KFO-Therapie, keine Wurzelbehandlung kann eine vergleichbare Erfolgsstatistik aufweisen.
Dass diese Erfolgsstatistik so hoch ist, liegt auch an der Einführung minimalinvasiver Insertionsverfahren, z. B. dem seit 30 Jahren bewährten Insertionsprotokoll „MIMI“. Das MIMI-Verfahren, die minimalinvasive Methodik der Implantation, gewann 2013 in Dubai den „Oscar“ als „Beste Innovation in der Medizin“ und wurde 2017 für den „German Medical Award“ nominiert!
Mittlerweile verstehen rund ein Fünftel der bundesweit tätigen Zahnärzte Implantologie als eine ganz „normale“ Therapie im Alltag ihrer Praxen. Das Champions-Implantatsystem mit seinem fast schon spartanisch kleinen OP-Tray (lediglich 29 Insertionsteile für Titan- und Keramik-Implantate inkl. Drills und Condensern) lenkt den Behandler nicht ab. Das zweiteilige Champions (R)Evolution® System wurde speziell für das MIMI-Verfahren konzipiert. Statt einer chirurgischen Verschlussschraube verfügt das System über einen Shuttle, der lediglich 1x abgenommen werden muss.
98 % aller Patientenfälle können wir im MIMI-Verfahren durchführen, welches z. B. für eine Einzelzahnversorgung lediglich zwei Patientensitzungen benötigt, im Gegensatz zu fünf oder sechs Sitzungen im konventionellen Verfahren:
- Erste Sitzung: Implantation mit eventuell simultan durchgeführter, horizontaler Augmentation von schmalen Kieferkämmen (MIMI II) und interner, direkter Sinuslift (IDS, MIMI V) – gänzlich ohne Mukoperiostlappenbildung, Abformung und Bissnahme.
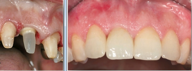
- Zweite Sitzung: Eingliedern der Krone(n) (Abb. 1 bis 8).
Champions Implants
Champions Implants
Keramik-Implantatsystem
Champions Implants
Das MIMI-Insertionsprotokoll in der Praxis
MIMI ist ein etwa 25 Jahre altes „Schlüsselloch“-Verfahren, das die Zahnimplantologie wirklich revolutioniert hat. Die Zusammenarbeit mit Prof. Dr. Jean-Pierre Bernard, der in einem einjährigen, klinischen von ihm entwickelten Curriculum Zahnärzte/Innen zum „Experten Implantologie & Implantatprothetik“ CITC ausbildet, bestätigt, dass ich zu Recht auf Distanz zu Verfahren gehe, die immer noch – wie vor 30 Jahren – Implantate mit Sicht auf den Knochen und Wiedereröffnung der Gingiva inserieren. Aber nicht nur das hat sich in den letzten 30 Jahren geändert. Mittlerweile haben sich einige Thesen bestätigt:
1) Eine DVT-Aufnahme im Vorfeld einer Standard-Implantation ist nicht notwendig. Nur bei extremen, anatomisch sehr schwierigen Situationen kann sie sinnvoll sein. Ebenfalls nicht im Patienteninteresse kann es sein, anhand einer dreidimensionalen Aufnahme standardmäßig Länge und Durchmesser der Implantate zu planen und die Insertion durchzuführen. Insbesondere bei der Längenmessung per DVT-Aufnahme erlebt man in der Praxis oftmals eine große Diskrepanz von bis zu mehreren Millimetern zwischen Planung und Realität. Als Folge davon kann es zu völlig falschen und damit katastrophalen Einschätzungen kommen. Die deutlich erhöhte Strahlenbelastung eines DVTs gegenüber einem OPTG oder einem Zahnfilm steht niemals einem derart hohen diagnostischen Nutzen gegenüber, dass ein DVT für den Patienten-Standardfall indiziert wäre.
2) Darauf aufbauend ist eine DVT-basierte Schablonen-geführte Navigation ebenfalls kritisch anzusehen: Sie funktioniert „flapless“ (ohne Mukoperiostlappen) i. d. R. nur, wenn die Gingiva weniger als 3 mm dick ist. Ansonsten ist eine richtige Positionierung der Schablonen nicht gewährleistet und somit diese Art der Navigation ein großes Wagnis mit signifikant großen Abweichungen zur Planung. Zweitens warnen wir eindringlich davor, das eigene chirurgische Gefühl auf dem Altar eines angeblichen Fortschritts und einer – nur suggerierten – „Mehr-Sicherheit“ zu opfern. Nicht vergessen darf man dabei, dass man bei verschiedenen Navigations-Schablonen nicht von der ersten Bohrung bis zur eigentlichen Implantation mit Schablonen implantiert, sondern lediglich nur wenige Bohrungen navigiert ausführt, die man jedoch noch später manuell deutlich verändern kann oder gar verändern wird. Im Durchschnitt beträgt die Abweichung der vom Labor oder der Industrie gefertigten Hülsen-Positionierung 2° und führt so durchschnittlich zu einer koronalen Abweichung von 0,91 mm und apikal gar von 1,12 mm.
Das Thema ‚Bohrer-Wasserkühlung’ ist ebenfalls ein Thema: Wie kühlt man die Bohrerspitzen im Knochen, wenn man sein „altes Bohrprotokoll“ von mehr als 250 U/Min und mehr als 70 U/Min in der Spongiosa beibehält? Innengekühlte Bohrer wurden inzwischen – aus hygienischen Gründen – vom Gesetzgeber verboten.
3) Ohne Nachzudenken werden immer noch Mukoperiostlappen standardmäßig durchgeführt! Bildung von Mukoperiostlappen, teilweise sehr riskante Knochentransplantationen, Zygoma-Implantationen, die Wiedereröffnung der Gingiva, das mehrmalige Manipulieren des Implantatinnengewindes bis zur Fertigstellung des Zahnersatzes führen jedoch eindeutig zu vermehrten Komplikationen in Chirurgie und Prothetik (Abutment-Lockerungen), zu mehr Schmerzen post OP und zu einem völlig überzogenen Mehraufwand und mehreren Sitzungen in den Praxen – damit schlussendlich zu erheblichen Mehrrisiken für den Patienten.
Mehr und mehr Unternehmen der Implantatbranchen erkennen mittlerweile den immensen Vorteil von minimalinvasiven Insertionen und wollen auf diesen Zug aufspringen, obwohl sie über kein Produkt dafür in ihrem Portfolio verfügen. Übertragen auf die Herzchirurgie würde das so aussehen: Ein Herzchirurg erklärt Ihnen, dass der Stent-Eingriff minimalinvasiv sei, da seine eingesetzten Stents etwas kürzer und kleinere Durchmesser aufweisen, er jedoch den Brustkorb mit Riesenschnitten aufklappt und diesen nach der Stentinsertion aufwändig in drei Schichten vernäht. Exakt das Gleiche passiert jedoch in vielen implantologischen Praxen und Kliniken. Wie wird heutzutage ein Stent gesetzt? Minimalinvasiv durch einen Zugang im Oberarm oder der Leiste und der Patient verlässt am Folgetag der OP die Klinik – ohne Komplikationen und gut gelaunt!
4) Ein aktuelles OPTG (Panorama-Übersichtsbild) ist für den seitlichen Unterkiefer zur Längenbestimmung indiziert, sowohl in anterioren Regionen des Unterkiefers als auch Planungen im Oberkiefer kann man auf zweidimensionale Zahnfilm-Aufnahmen zurückgreifen. Notieren sollte sich das Behandlerteam auch die Längen der extrahierten Wurzeln, denn dadurch können Sie mit Hilfe einem gewöhnlichen Dreisatz ermitteln, welche Implantatlängen Sie zukünftig einsetzen können, entweder als Sofort- oder eben zu einem späteren Zeitpunkt als Spätimplantat.
Wie wird MIMI definiert?
- Keine Mukoperiostlappen-Bildungen während Chirurgie und Prothetik! Dadurch wird die den Knochen ernährende Knochenhaut (Periost) nicht verletzt und dadurch auch langfristig die „Ernährungs-Pumpe“ für den periimplantären Knochen nicht eingeschränkt.
- Als sichere Navigations-Medien bedienen wir uns der CNIP-Navigation und den Champions-Guides (beides wird später ausführlich erklärt)
- Krestale Entlastung im harten D1- & D2-Knochen
- Primärstabilität sollte von der spongiosen Knochenstruktur kommen
- Kontrollierte laterale Knochen-Kondensationen
- Knochen-Kavitäten-Kontrollen mittels langer, flexibler Knochensonden
- Keine Wiedereröffnung der Gingiva in der prothetischen Phase („No-Re-Entry“).
80 % meiner Implantate (als niedergelassener Zahnarzt inserierte ich über 2.000 Implantate pro Jahr nach dem MIMI-Protokoll) waren und sind Sofortimplantationen, d. h. Extraktion und Implantation erfolgen in der gleichen Sitzung. Dies ist jedoch nur möglich, wenn man logistisch und organisatorisch in der Praxis keinen größeren Aufwand betreibt als bei einer „kleinen Chirurgie“, wie etwa die einer Zahnentfernung: „Normal“ heißt: Kein Extra-Aufbau/Umbau von Instrumentarium und Behandlungsstuhl, kein „steriles“ Abdecken oder „Astronauten“-Bekleidung – weder für das Behandler-Team noch für den Patienten. Meiner Meinung nach müssen für eine implantologisch tätige Praxis keine großen Investitionen getätigt werden: Weder DVT noch Piezo, noch nicht einmal ein Mikromotor werden benötigt, lediglich ein grünes Winkelstück am Behandlungsstuhl, was die allermeisten bereits haben.
Der Smart Grinder (KometaBio, Vertrieb: Champions-Implants GmbH) ist für mich einer der „Meilensteine“ auf dem Gebiet der KEM. Er ist eine Revolution und eine einleuchtende, geniale Innovation, die sogar der autologen Knochentransplantation den Rang als „Goldstandard“ des KEM ablaufen wird: Das Zahnmaterial wird nicht so schnell resorbiert wie augmentierter Knochen, ein zweites Operationsfeld (zur Knochenentnahme) ist überflüssig und die Zahnsubstanz selbst enthält sogar mehr Knochenwachstumsfaktoren als der eigentliche Knochen! Nutzen wir also die wissenschaftliche Datenlage, entsorgen zukünftig keine extrahierten Zähne in den Müll, arbeiten tagtäglich „mit der Natur“ und recyceln patienteneigenes Material zum Erhalt deren Weich- und Hartgewebes. Nicht zuletzt müssen wir unsere Patienten über die aktuellen, evidenzbasierten Möglichkeiten zur Vermeidung eines Knochen-Kollapses post extraktionem aufklären, um uns nicht dem Vorwurf der in Kauf genommenen Körperverletzung (Resorptionsprozesse nach Extraktion) auszusetzen.
MIMI-Nomenklatur
MIMI Ia: Sofortimplantationen (auch Socket Shield und Smart Grinder-Anwendung zur Gewinnung autologem Material aus aufbereitetem Zahnmaterial extrahierter Zähne)
MIMI Ib: Spätimplantationen
MIMI II: Horizontale Distraktion (nach Dr. Ernst Fuchs-Schaller)
MIMI III: Vertikale Distraktion
MIMI IV: Horizontale & vertikale Distraktion
MIMI Va: Indirekter Sinuslift
MIMI Vb: Interner, direkter Sinuslift (IDS, nach Armin Nedjat)
Die Aufbereitung extrahierter Zähne ist für die Patienten faszinierend und für Sie als Zahnarzt denkbar einfach. In den Zähnen sind mehr Knochenwachstumsfaktoren vorhanden als im Knochen selbst! Eine geschulte ZFA ist in der Lage, innerhalb von 8 Minuten den zuvor mechanisch gereinigten Patientenzahn aufzubereiten. Interessant finde ich den Ansatz einiger zahntechnischer Labore, einen Smart Grinder ihren Zahnarztpraxen zur Verfügung zu stellen, um auf diese Weise „Kundenbindung“ zu betreiben. ‚Smarter Implantology‘ mit minimalinvasiver Chirurgie und hochwertiger Prothetik – zum Wohle der Patienten – ist die Zukunft in unseren Praxen (Abb. 11 bis 13).
Champions Implants
Champions Implants
6) Generell sind wir im Laufe des letzten Jahrzehnts zur Überzeugung gekommen, nicht das uns zur Verfügung stehende Platzangebot ausnutzen zu wollen: Eine Implantatlänge von z. B. 12 oder 14 mm ist die große Ausnahme geworden: In den meisten Fällen bedienen wir uns eher 10er oder gar „nur“ 8er Implantat-Längen!
7) Auch beim Durchmesser bedienen wir uns prinzipiell eher den ø 3,5 mm Implantaten (mit Ausnahme des Einzel-Molaren, bei dem wir ø 4,0 mm empfehlen), insofern der Test mit Condenser ø 3,3 mm bzw. ø 3,8 mm handfeste Primärstabilität aufweist. Nur in seitlichen Oberkiefer-Regionen greifen wir auch auf ø 4,5 oder gar ø 5,5 mm zurück, wenn die entsprechenden Condenser ø 4,3 bzw. ø 5,3 mm erst die Primärstabilität von 20-30 Ncm erreichen. Nicht die Anatomie entscheidet über die Länge und Durchmesser eines Implantats, sondern lediglich die intraoperativ feststellbare Knochendichte. Bei einem harten D1- und D2-Knochen empfehlen wir eine krestale Entlastung: Für ein ø 3,5 mm Implantat erweitern wir krestal 1-2 mm mit einem ø 4,0 mm Bohrer, um die periimplantäre Ernährung nicht einzuschränken. Die erforderliche Primärstabilität wird ausschließlich von der Spongiosa erreicht!
8) Der BIC (Bone-Implant-Contact) spielt bei der Auswahl der Implantatlängen und -durchmesser keine Rolle mehr! Dies bedeutet, dass eine Praxis nicht mehr alle Größen und Längen eines Systems auf Lager halten muss!
9) Sowohl für die Zahntechniker als auch Zahnärzte ist es wichtig, auf ein System zurückgreifen zu können, das nur eine Abutmentlinie für alle Implantatdurchmesser aufweist.
10) MIMI-Navigation: Beim MIMI-Verfahren bedienen wir uns einerseits der CNIP-Navigation (sagittale Navigation) und andererseits prothetischer Schablonen (mesial/distal orientierte Navigation), die für den Unter- und Oberkiefer immer wieder benutz-, sterilisier- und einsetzbar sind: Diese von Prof. Dr. A. El-Hamid (Casablanca) entwickelten Schablonen sind wirklich praktisch in der Handhabung: Man formt die Schablone extraoral entsprechend des Kieferkamms, legt sie am jeweiligen Kiefer an und erhält auf diese Weise die bestmögliche prothetische Position der zu inserierenden Implantate mit jeweils ausreichenden intraimplantären Abständen (Abb. 14). Die sagittal ausgerichtete CNIP-Navigation begleitet die Champions- Guides! Vergleichen kann man CNIP mit der Handaufbereitung von Wurzelkanälen bei einer Endodontie- Behandlung, bei der auch kein Kanal auf diese Weise perforiert werden kann. Analog des „weichen“ Nervkanals lassen die kompakten Außenwände (bukkal und oral) die konischen Dreikantbohrer nur in der „weichen“ Spongiosa des Knochens arbeiten, in die Tiefe gelangen und Kavitäten aufbereiten. Alle Bohrungen werden nur mit konischen Dreikantbohrern und 50–70 U/Min in der Spongiosa durchgeführt. Eine Perforation nach bukkal oder oral ist mit diesen Instrumenten bei diesen niedrigen Touren und deshalb auch mit Implantaten gänzlich ausgeschlossen! Dies gilt auch bei MIMI II-Behandlungen (Distraktion von schmalen Kieferkämmen ohne Mukoperiostlappen-Bildungen) (Abb. 15).
Champions Implants
Champions Implants
Bildquellen sofern nicht anders deklariert: Unternehmen, Quelle oder Autor/-in des Artikels
Entdecke CME Artikel






Keine Kommentare.