Ganz generell – sehr speziell! In Zeiten, in denen digitale Technologien zunehmend Fertigungsabläufe unterstützen, sind Spezialisten gefragt. Aber: In der Zahntechnik sollten Spezialisten Generalisten-Wissen haben. Anatomie, Funktion, Ästhetik, Phonetik, Handwerk, CAD/CAM, Werkstoffkunde … Zusätzlich zum Fachwissen bedarf es des analytischen und systematischen Denkens, planerischer Fähigkeiten sowie einer zielsicheren Umsetzung des Gesamtkonzepts. Insbesondere bei der Versorgung des zahnlosen Kiefers treffen viele Herausforderungen aufeinander.
Wie diesen begegnet werden kann, wird in dem MASTER Curriculum „Prothetik und Implantatprothetik“ vertieft. Das Curriculum wird von drei hochqualifizierten Referenten betreut: ZTM Annette von Hajmasy, ZTM Jürg Stuck und ZTM Andreas Kunz. In vier Modulen werden von der Analyse und Planung, über die Aufstellung und die Herstellung implantatprothetischer Strukturen bis zur ästhetischen Verblendung alle Bereiche aufgegriffen. Praxis und Theorie verschmelzen miteinander.
Der erste Durchgang des MASTER Curriculum „Prothetik und Implantatprothetik“ wurde im Januar 2017 beendet. Der Start für die nächste Runde steht bevor. Ab April 2017 werden sich erneut ca. fünfzehn Zahntechniker der prothetischen Versorgung des zahnlosen Kiefers widmen. Im modernen Ellwanger Fortbildungszentrum (ICDE) von Ivoclar Vivadent finden sie dafür die idealen Rahmenbedingungen vor. Die Räume sind mit einer zeitgemäßen Multimediatechnik ausgestattet. Die zahntechnischen Arbeitsplätze integrieren zusätzlich zu den konventionellen Techniken eine Komplettausstattung für die CAD/CAM-gestützte digitale Zahntechnik. Perfekt für das MASTER Curriculum, denn es wird handwerkliches Know-how in sinnvoller Symbiose mit digitalen Technologien gelehrt.
Die vier Module im Überblick
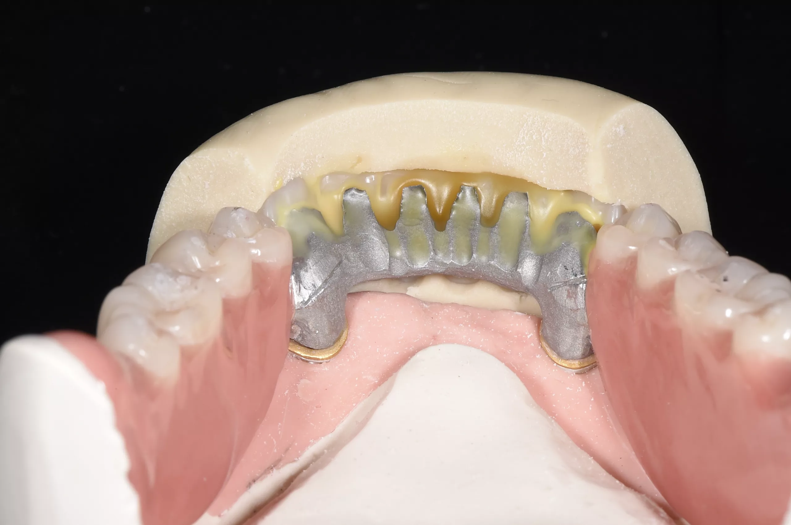
„Die drei Referenten unterrichten in aufeinander aufbauenden Modulen umfassendes praxisrelevantes Wissen“, so Michael Donhauser (Leiter zahntechnische Fortbildung Ivoclar Vivadent in Ellwangen). Eine Arbeitsprobe – Modellpaar zahnloser Kiefer – wird die Teilnehmer durch alle vier Module begleiten. Für den zahnlosen Oberkiefer wird eine konventionelle Totalprothese angefertigt. Der Unterkiefer soll mit einer implantatgetragenen Stegprothese versorgt werden.
Im ersten Modul beschäftigt sich ZTM Stuck mit der Analyse, Planung, Gestaltung und Umsetzung des Zahnersatzes.
ZTM Kunz widmet sich im zweiten Modul der Planung der implantatprothetischen Versorgung. Konstruktionsprinzipien werden dargelegt und die Ausformung der periimplantären Weichgewebe thematisiert.
Im dritten Modul werden die Teilnehmer zusammen mit Jürg Stuck die Oberkiefer-Versorgung in Kunststoff umsetzen und mit ZTM Kunz die Mesostruktur im Unterkiefer für die Fertigstellung vorbereiten.
Im vierten Modul analysiert von Hajmasy die Möglichkeiten moderner Komposite. Die Implantatprothese im Unterkiefer wird fertiggestellt.
Einblicke in das Modul 4
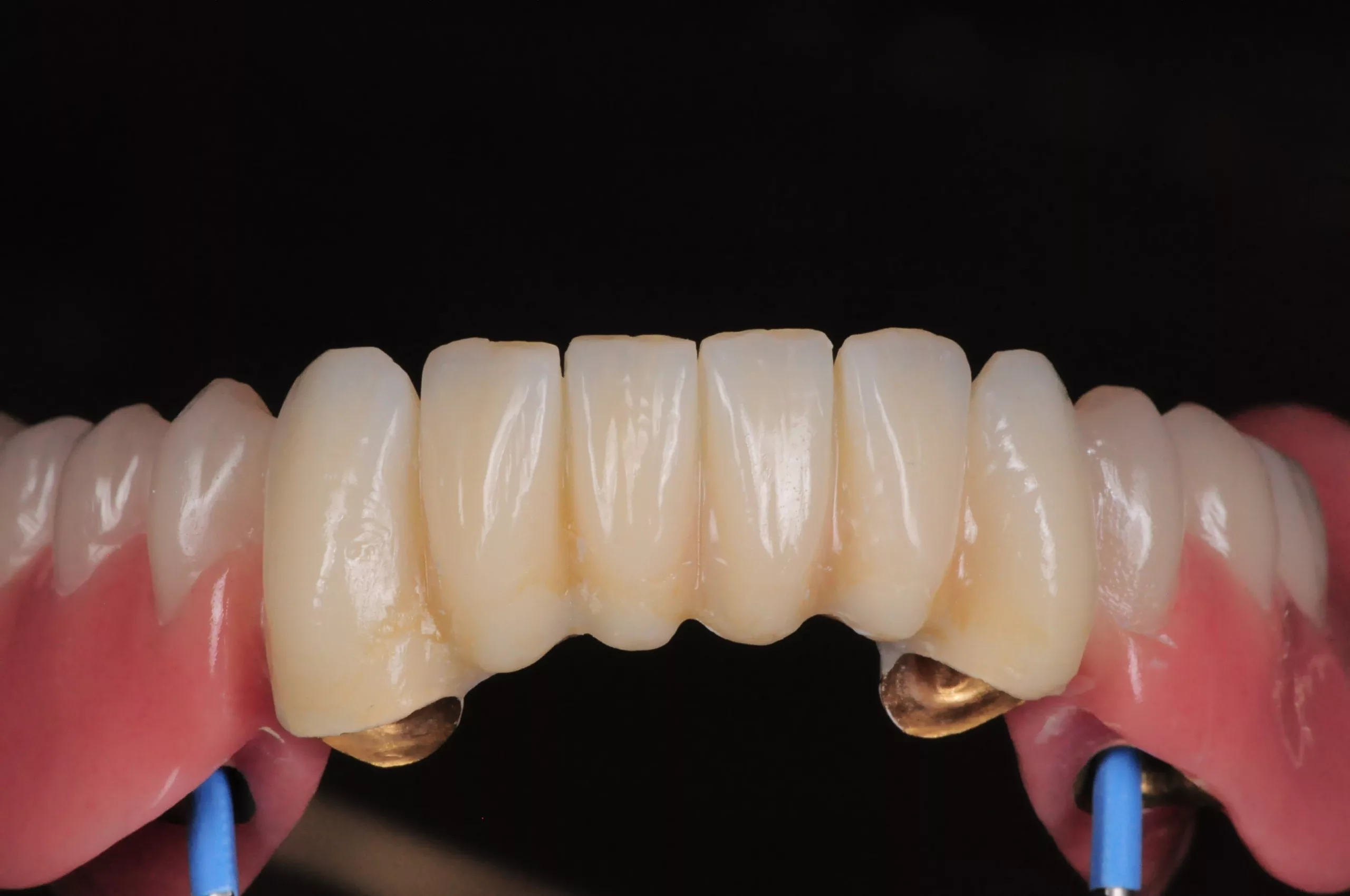
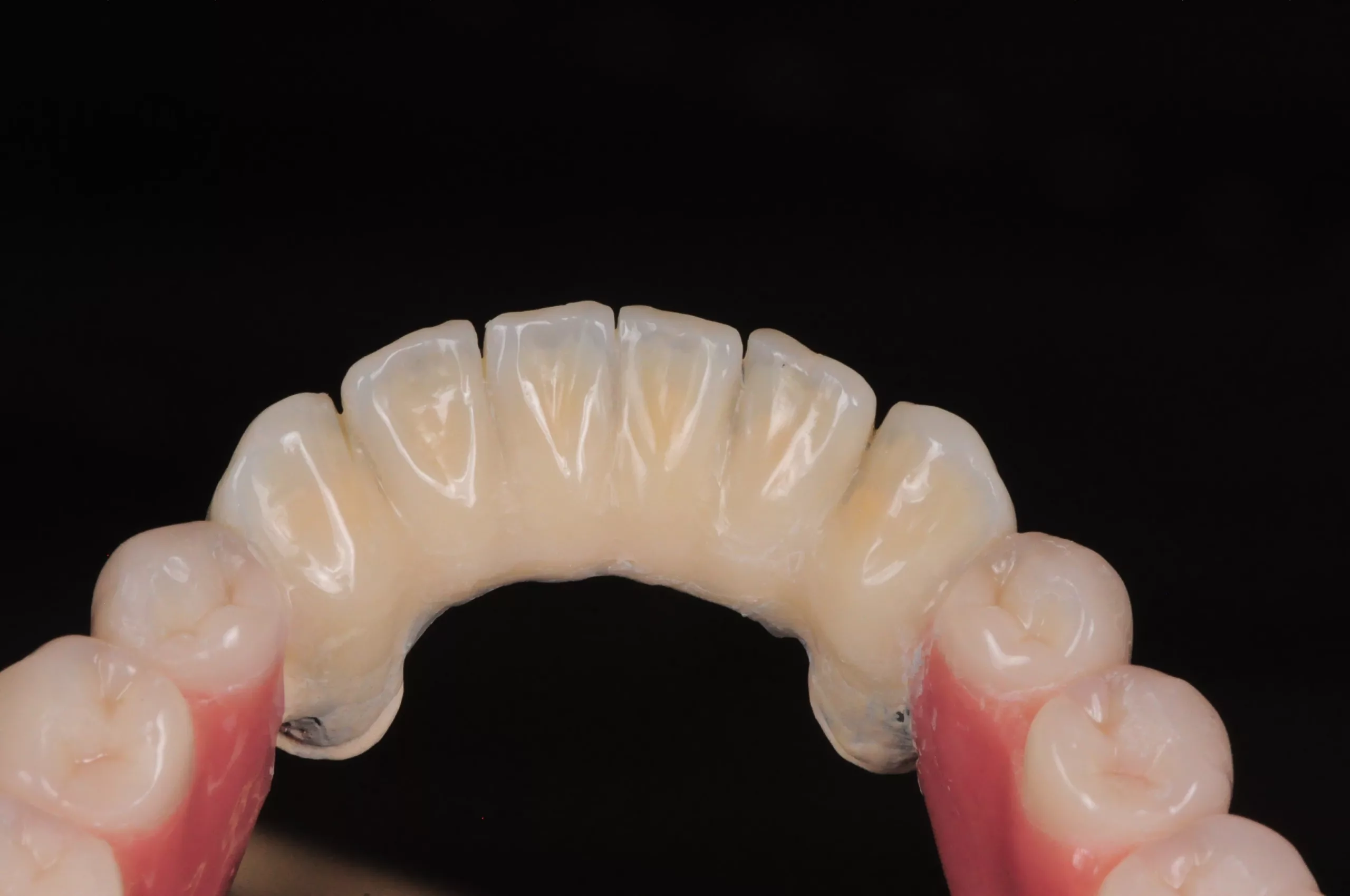
Nachdem die Teilnehmer im Modul 2 und 3 mit Andreas Kunz die Primär-, Sekundär- und Tertiärstruktur für den implantatgetragenen Zahnersatz im Unterkiefer erarbeitet haben, wird die Restauration im vierten Modul mit Annette von Hajmasy in Komposit fertiggestellt. Mit fundiertem theoretischen Wissen widmet sich die Referentin zunächst werkstofftechnischen Fakten und wird dann mit ihrer praktischen Erfahrung die Teilnehmer zu einem hochwertigen Arbeitsergebnis führen. Um eine möglichst verlustfreie Übertragung der Wachsaufstellung in Komposit zu gewährleisten, kommt die Überpresstechnik zur Anwendung. Die Teilnehmer erlernen die handwerklichen Schritte der Komposit-Presstechnik und erfahren, wie die exakte Umsetzung der diagnostischen Vorbereitung (Set-up) in die definitive Verblendung erfolgt. Die Restauration wird im Frontzahnbereich farblich charakterisiert.
Theoretische Ausführungen
Zu den Anforderungen, die ZTM von Hajmasy an ein Komposit stellt, gehören die plaqueresistente sowie glanzbeständige Oberfläche, eine naturgetreue Farbwiedergabe, Abrasionsstabilität und Reparaturfähigkeit. Da diese Dinge in einem direkten Zusammenhang mit den physikalisch-mechanischen Eigenschaften des Materials stehen, gibt es in diesem Modul einen kleinen Ausflug in die Werkstoffkunde. Einsatzgebiete werden erläutert sowie Vor- und Nachteile objektiv aufgezeigt. Es wird beispielsweise konkretisiert, welche Bedeutung der Füllstoffgehalt eines Komposites auf seine Anwendbarkeit hat. Zudem spricht die Referentin über die lichtoptischen Eigenschaften moderner Komposite mit sogenannten Mikroopalfüllern und demonstriert Wege, die zu einer natürlichen Opaleszenz und Transluzenz führen. Aufgrund der vergleichsweise hohen Elastizität (Pufferfunktion) bevorzugt Annette von Hajmasy Komposite auch in der Implantatprothetik. Als Argumente für die Überpresstechnik führte sie die exakte Umsetzung der Diagnostik (Wax-up) in die definitive Zahnform an.
Praktische Vorgehensweise
Bei der Überpresstechnik wird die anatomische Form in Dentin gepresst, mittels Cutback reduziert und anschließend mit der Schneidepressung ergänzt (Abb. 1-13). Auf effizientem Weg gelingt so ein harmonisches Zusammenspiel von Farben und Oberflächenmorphologie. Um die Tertiärstruktur fertigstellen zu können, werden die Zahnaufstellung (Modul 1) auf das Gerüst übertragen und der Seitenzahnbereich anatomisch ausmodelliert. Da das Frontzahngebiet individuell verblendet werden soll, sind die aufgestellten Zähne auf dem Gerüst fixiert und die Situation mittels Silikonschlüssel eingefroren. Das Gerüst wird konditioniert und danach die Seitenzahnbereiche in Kunststoff überführt. Die Teilnehmer erlernen nun, wie die ausmodellierten Frontzähne über die Presstechnik auf effizientem Weg in Komposit übertragen werden. Mit der Küvettentechnik (Nexco Flask) werden das Dentin und nach dem Cutback sowie Individualisierungen die Scheide gepresst. Anschließend verleihen die Zahntechniker dem Gingivabereich mit einem Potpourri an Zahnfleischfarbe (lichthärtendes Composite) ein natürliches Aussehen. Wie so oft sind es die vielen kleinen Tipps, die viel bewirken können! ZTM Annette von Hajmasy wird ihr Wissen und ihre fundierte Erfahrung aus dem Laboralltag preisgeben. 





Ergebnis
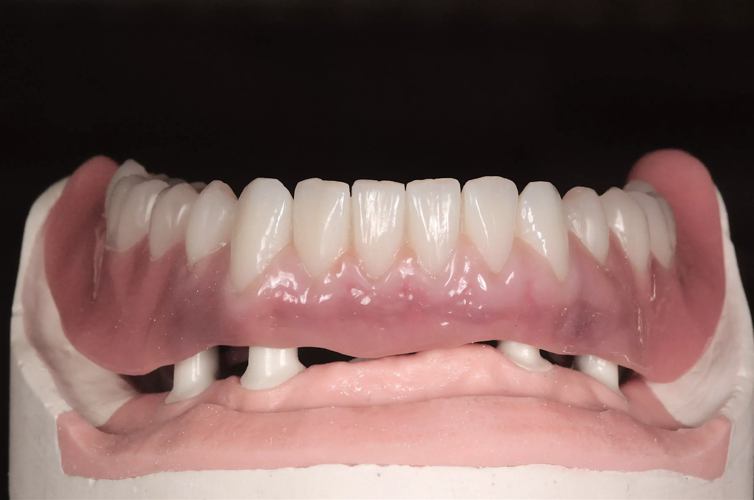
Mit dem vierten Modul ist auch das MASTER Curriculum „Prothetik und Implantatprothetik“ beendet. Die Teilnehmer halten mit Stolz ihre Arbeitsmodelle mit den angefertigten Restaurationen in der Hand. Nachdem im ersten Modul mit ZTM Jürg Stuck „Werkzeuge“ erarbeitet worden sind, die eine individuelle Planung und Diagnostik zulassen, hat ZTM Andreas Kunz im zweiten Modul die implantatprothetische Planung thematisiert. Die Teilnehmer wussten zu diesem Zeitpunkt um die Wichtigkeit der individuellen Sensorik, Mimik und Phonetik des Patienten (Modul 1) und konnten sich auf die implantatprothetische Konstruktion konzentrieren. Im dritten Modul wurden die Prothese im Oberkiefer fertiggestellt und die Mesostruktur für den Unterkiefer erarbeitet. Das Oberkiefermodell trägt eine konventionelle hochwertige Totalprothese. Auf dem Unterkiefermodell befindet sich ein implantatgetragener Zahnersatz, der im vierten Modul mittels Überpresstechnik fertiggestellt worden ist. 





Fazit
Ganz generell – sehr speziell. Zahntechniker ist ein facettenreicher Beruf, der eine Vielzahl von Fähigkeiten in sich vereint. Es gibt viele Disziplinen, in denen sich Zahntechniker zu Spezialisten entwickeln können. Aber es ist Generalisten-Wissen gefragt, denn jeder Arbeitsschritt steht im Kontext zu anderen Abläufen. Mit ihrer Erfahrung schaffen es die drei Referenten für analytisches und systematisches Denken zu sensibilisieren. Die Anwendung handwerklicher Fertigkeiten und digitale Arbeitsschritte komplettieren das MASTER Curriculum „Prothetik und Implantatprothetik“. Um die erlernte Befähigung nach außen tragen zu können, wird der Abschluss des Curriculums mit einem Zertifikat gekrönt. „Der hohe fachliche Input ist in dieser intensiven Konstellation einmalig. Aber auch die sozialen Aspekte seien erwähnt. Während des Curriculums entwickeln sich Freundschaften und Netzwerke. Es ist ein gewinnbringendes Miteinander auf fachlich hohem Niveau“, fasst Michael Donhauser zusammen.
Das nächste zahntechnische MASTER Curriculum „Prothetik und Implantatprothetik“ beginnt Ende April 2017.
Nähere Informationen unter www.ivoclarvivadent.de/fortbildung oder bei Andrea Vetter unter der Tel.: 07961 889-219, E-Mail: andrea.vetter@ivoclarvivadent.com
Annett Kieschnick,
Freie Fachjournalistin, Berlin
Bildquellen sofern nicht anders deklariert: Unternehmen, Quelle oder Autor/-in des Artikels
Entdecke CME Artikel






Keine Kommentare.