Der Patient ist 41 Jahre alt, männlich, und gibt die Aufgabenstellung vor: Für den Zahn 21 eine mit Schichtkeramik verblendete Krone, die die besonderen Farb- und Formeigenschaften des Nachbarzahns aufgreifen soll.
Nicht nur der eigens mit den Kursreferenten ZT Renato Carretti und Dr. Nico Chatzis (Aufmacherbild) aus der Schweiz angereiste Patient erscheint neugierig, auch die bewusst klein gehaltene Teilnehmerrunde ist gespannt, was die folgenden zwei Kurstage hier in der VITA-Akademie in Frankfurt-Langen bereithalten werden. Die fertige Krone eines Kursteilnehmers, die dem Patienten am Schluss am besten gefällt und optimal passt, wird final eingegliedert werden.
Ein besonderes Augenmerk dieses Workshops liegt auf der Reproduktion der individuellen Charakteristika im Zahninneren (Schmelzrisse, Kalzifikationen, Mamelons etc.) mittels interner Kolorierung sowie der Balance aus Chroma, Fluoreszenz, Transluzenz und Transparenz. Dabei ist „die Transluzenz das Wichtigste“, betont ZT Renato Carretti und bevorzugt für seine tägliche Laborarbeit die fluoreszierenden VITA INTERNO Malfarben für tiefenwirksame Farbeffekte sowie VITA VM 9 NEUTRAL- und WINDOW-Massen zur Steuerung einer natürlich wirkenden Transluzenz der Frontzahnkrone.
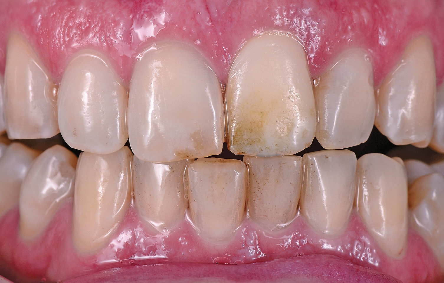
Über Jahre hinweg hat sich ZT Carretti sein persönliches Schichtschema für eine individuelle Frontzahnästhetik erarbeitet, das er stepby- step zunächst theoretisch, dann praktisch mit den Kursteilnehmern durchgeht (Abb. 1). Um die Vorgaben für die Verblendung zu gewinnen, stehen am Anfang stets die Bestimmung der Zahnfarbe sowie eine ausführliche Analyse der lichtoptischen Eigenschaften und individuellen Zahnmerkmale des Patienten (Abb. 2).
Susanne Wolf
Marita Heeren Fotografie
Feinjustierung im Patientenmund
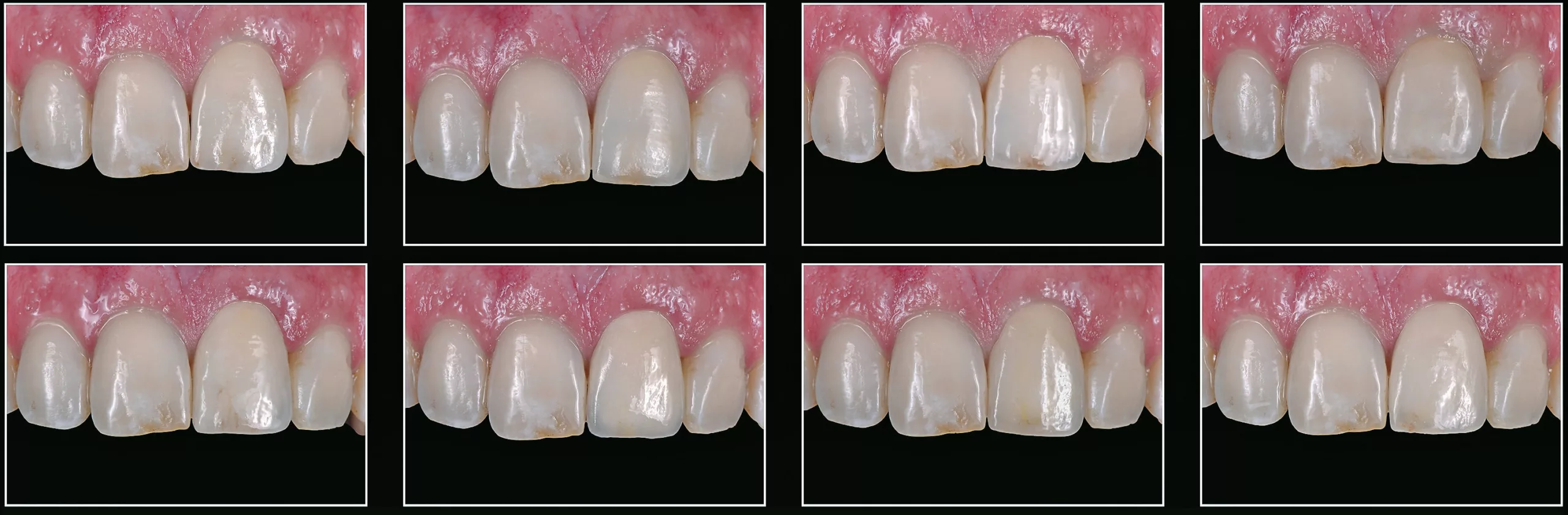
Nach dem ersten Brand wird es spannend für die Kursteilnehmer: Passen Form und vor allem die farblichen Charakteristika? Ist die Transluzenz gelungen? Wo müssen Korrekturen gemacht werden? Wie können diese durchgeführt werden oder ist doch eine Neuanfertigung nötig? Jede im Kurs geschaffene Arbeit wird nun im Mund des Patienten anprobiert und detailliert analysiert (Abb. 3).
Außerdem demonstriert ZT Carretti, dass der Zahntechniker mit den VITA INTERNO Malfarben auch oberflächliche farbliche Nachbesserungen direkt an der Krone im Mund vornehmen kann, mit anschließendem Fixierbrand. Nach mehreren Einproben und der schließlich für jeden zufriedenstellenden Ausarbeitung der Frontzahnkronen folgt der Glanzbrand mit VITA AKZENT Plus FINISHING AGENT und die abschließende Politur. Für welche Krone sich der Patient entschieden hat, stand bei Enstehen dieses Beitrages noch nicht fest (Abb. 4).
Susanne Wolf
Marita Heeren Fotografie
Fazit und nächster Kurstermin
Dieses Fortbildungsangebot der VITA Zahnfabrik ist ein besonderes, wo Zahnarzt, Zahntechniker und Patient aufeinandertreffen und der Techniker die Möglichkeit erhält, seine Arbeit im Patientenmund zu beurteilen und zu korrigieren. Die gering gehaltene Teilnehmerzahl und das ausführliche Zeitangebot erlauben es den Kursreferenten, sich um jeden Einzelnen zu kümmern und auf dessen Belange einzugehen, umfassend auf Fragen zu antworten und individuell zugeschnittene Tipps zu geben. Der Austausch mit Kollegen und das Netzwerken kommen ebenfalls nicht zu kurz. Alle benötigten Verblendmaterialien, Gipsmodelle und das bereits gefräste Zirkoniumdioxid-Käppchen werden im Kurs gestellt.
Der nächste Live-Patienten-Workshop 2018 mit ZT Renato Carretti und Dr. Nico Chatzis findet am 12. und 13. Oktober in der VITA-Akademie in Mauerstetten statt.
Die wichtigsten im Kurs besprochenen und verwendeten Materialien (alle VITA Zahnfabrik, Bad Säckingen)
- VITA INTERNO MALFARBEN sind feinkörnige, farbintensive und stark fluoreszierende Malfarben zur naturnahen Nachbildung aller individuellen Merkmale im Inneren des Zahnes
- VITA VM 9 EFFECT LINER steuert die Fluoreszenz aus der Tiefe der Restauration und intensiviert und unterstützt die Grundfarbe sowie die Lichtverteilung im gingivalen Bereich
- VITA VM 9 BASE DENTINE sind farbtragende und gut deckende Massen, die die ideale Voraussetzung zur Gestaltung farblich intensiver Verblendungen bilden
- VITA VM 9 SUN DENTINE wird im Dentin- und Körperbereich eingesetzt und sorgt für ein sonnigeres und wärmeres Farbergebnis
- VITA VM 9 EFFECT ENAMEL ist eine universell einsetzbare transluzente Schmelzeffekt-Masse, die das Farbergebnis verbessert und die natürliche Tiefenwirkung unterstützt
- VITA VM NEUTRAL NT ist eine universelle Transluzenzmasse, die wie ein Schleier wirkt und die Transparenz dämpft; Farbeffekte aus der Tiefe wirken so dezenter
- VITA VM 9 WINDOW WIN ist eine glasklare, farblose Transparenzmasse zur Nachbildung naturgetreuer transparenter Bereiche, besonders in der Schneide
Weitere Informationen:
Bildquellen sofern nicht anders deklariert: Unternehmen, Quelle oder Autor/-in des Artikels
Entdecke CME Artikel





Keine Kommentare.