Beim Forschungspreis entschied sich die Jury für die „5-Jahresuntersuchung von Teilkronen mit verschiedenen Wandstärken aus ZLS-Keramik“. Die Arbeit kam vom Autorenteam PD Dr. Sven Rinke M.Sc. (Universitätsmedizin Göttingen, Poliklinik für Zahnärztliche Prothetik und Praxisklinik für Zahnmedizin, Hanau), Dr. Tim Hausdörfer (Poliklinik für Präventive Zahnmedizin, Parodontologie und Kariologie, Universität Göttingen) und Prof. Dr. Dirk Ziebolz (Poliklinik für Zahnerhaltung und Parodontologie, Universität Leipzig) (Abb. 1a–c).
AG Keramik
AG Keramik
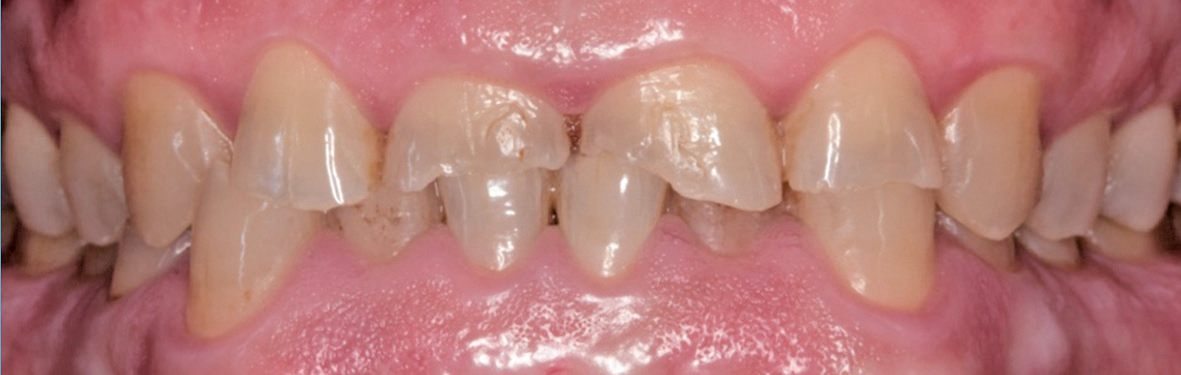
AG KeramikDie prämierte prospektive Studie über 5 Jahre beobachtete 45 Patienten und untersuchte die klinische Leistungsfähigkeit von 61 Teilkronen, chairside im CAD/CAM-Verfahren aus zirkoniumdioxidverstärktem Lithium-Silikat (ZLS) gefertigt (Abb. 2). Die Autoren evaluierten die Risiken, indem die herstellerempfohlenen Wandstärken unterschritten und verschiedene Befestigungskonzepte genutzt wurden. Die empfohlenen Mindestschichtstärken für ZLS – hier Suprinity/VITA Zahnfabrik – liegen für Inlays/Onlays bei 1,0 mm und betragen für Kronen 1,5 mm. Okklusale Wandstärken mit 0,5–0,74 mm erzielten eine Überlebensrate von 83 % und zeigten damit ein 11-fach höheres Frakturrisiko als die Gruppe mit 0,75–1,0 mm Wandstärke, die zu 100 % frakturfrei blieb. Die Lage im Kiefer (Molar vs. Prämolar) hatte keinen Einfluss. Retentionsverluste traten eher mit selbstadhäsivem Befestigungszement auf im Vergleich zur Gruppe, die mit Total-Etch-Technik und dualhärtendem Komposit befestigt wurde. Mit dieser Studie konnte erstmalig klinisch belegt werden, dass mit hochfesten glaskeramischen Werkstoffen okklusale Schichtstärken auf 1,0 mm reduziert werden können (Abb. 3 u. 4).
VITA Zahnfabrik
AG Keramik
RinkeFunktion und Ästhetik – digital behandelt im Videoclip
Der zum 5. Mal ausgeschriebene Videopreis der AG Keramik hatte erneut Videofilmer in Praxis und Dentallabor mobilisiert, besonders interessante Vorgehensweisen bei vollkeramischen Restaurationen in den Fokus zu nehmen. Die drei Teams, für deren Videos sich die Jury entschied, hatten ideenreich die digital gestützte Rekonstruktion eines Abrasionsgebisses, das schonende Trepanieren einer implantatgetragenen Keramikkrone zur Behebung einer Schraubenlockerung und die Konstruktion einer 2-Flügel-Krone für den Lückenschluss in Region 46 auf die Platte gebannt.
Die Jury vergab den 1. Videopreis an das Team der Zahnärztin Lisa Türp und des Oberarztes Dr. M.S. Chaar (Klinik für Zahnärztliche Prothetik der Universität Kiel) für das Video „Vollkeramische Rekonstruktion eines Abrasionsgebisses – mit Tipps zum adhäsiven Befestigen“.
Mit dem 2. Videopreis für das Video „Keramik schonend trepanieren“ wurde Dr. Wojtek Libecki, Fachzahnarzt für Oralchirurgie aus Hamburg, ausgezeichnet.
Den 3. Videopreis erhielt ZTM Reinhard Busch, Laborleiter in der Klinik für Zahnärztliche Prothetik der Universität Kiel, für den Kurzfilm „Doppelt hält besser“ (Abb. 5b–c).
AG Keramik
AG KeramikAlle Gewinner des Forschungs- sowie des Videopreises wurden auf dem 19. Keramiksymposium vorgestellt, das im Rahmen des Kongresses der Deutschen Gesellschaft für Implantologie (DGI) in Hamburg (28.–30. November 2019) stattfand. Laudator war Dr. Bernd Reiss, Vorsitzender der AG Keramik sowie der DGCZ und Vorstandsmitglied der DGZMK. Die Videos sind auch auf der Website der AG Keramik (www.ag-keramik.de) veröffentlicht.
Funktionstherapeutische Bisserhöhung und weitere interessante Behandlungen
Das dreiminütige Video von Türp und Chaar zeigt die komplexe Rehabilitation eines starken Abrasiongebisses (Abb. 6). Die Rekonstruktion erfolgte mit 28 Restaurationen in Form von FZ-Kronen, Veneer-Kronen, Teilkronen und keramischen Kauflächen aus Lithium-Disilikat (Abb. 7). Die FZ-Kronen wurden im Cut-back-Verfahren verblendet. Nach Herstellung eines Wax-ups an in zentrischer Relation einartikulierten Modellen wurde dies als Mock-up am Patienten visualisiert. Zum Austesten der neuen vertikalen Dimension sowie der Ästhetik wurden Polycarbonatschienen analog zum Wax-up gefertigt und als Provisorium getestet. Die Präparation erfolgte defektorientiert und minimalinvasiv – in der UK-Front schmelzbegrenzt für die Veneer-Kronen. Nach Abformung und wechselseitiger Registrierung wurden die Restaurationen digital konstruiert, auf Basis der provisorischen Versorgung, und ausgeschliffen (Abb. 8).
AG Keramik
AG Keramik
AG Keramik
TürpVor der adhäsiven Eingliederung wurde Zahnseide approximal auf die Schleimhaut gelegt und mit Gewebekleber fixiert, um nach kurzzeitigem Polymerisieren des Komposits die gelartigen Überschüsse entfernen zu können. Die Reihenfolge der Eingliederung wurde systematisch vorausgeplant. So wurden zuerst die Veneer-Kronen in der Front eingesetzt, dann folgte die Eingliederung im Seitenzahnbereich, abgestützt durch die befestigten FZ-Restaurationen. Ein Positionierungsschlüssel unterstützte die schaukelfreie Eingliederung und kontrollierte die Passung in der Befestigungsphase. Eine nachts zu tragende Schutzschiene schloss die Behandlung ab. Das Video zeigt, dass trotz weitreichender Zahnhartsubstanzdefekte eine minimalinvasive Versorgung funktionell und ästhetisch perfekt umgesetzt wurde (Abb. 9).
Das Video von Libecki zeigt die schonende Trepanation einer zementierten, implantatgetragenen Keramikkrone, um an eine gelockerte Befestigungsschraube im Abutment zu gelangen. Um eine extensive Beschädigung der prothetischen Suprastruktur während des invasiven Suchens nach dem Schraubenkanal zu vermeiden, hatte er vorsorglich bei der Herstellung des Zahnersatzes einen Trepanationsschlüssel gefertigt (Abb. 10). Dieser ermöglicht, im Falle einer Schraubenlockerung substanzschonend und exakt in den Schraubenkanal zu gelangen und die gelockerte Abutmentschraube gegen eine neue auszutauschen.
Libecki
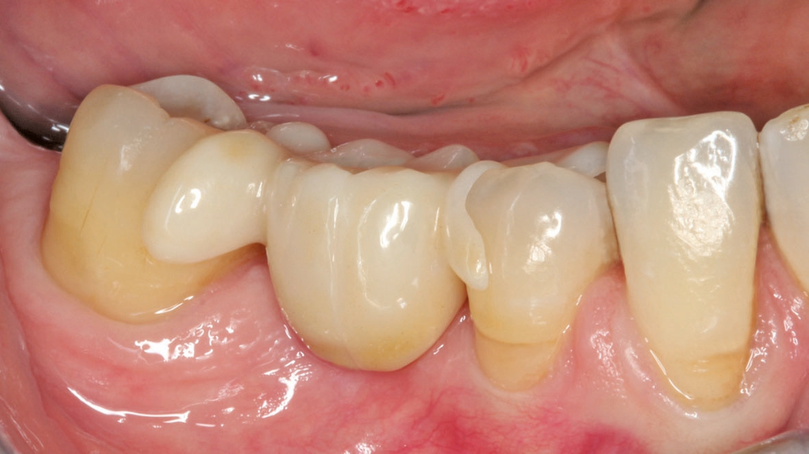
Busch, OstermannDas klinisch sehr zuverlässige Verfahren der Adhäsivbrücke nutzte Busch für das Video „Doppelt hält besser“. In Region 46 sollte ein Lückenschluss mit einer Krone aus Zirkoniumdioxid erfolgen. Da das Brückenglied als einseitiger Anhänger zu breit gewesen wäre, wurde die Restauration geteilt. Mit einem Zementierungsschlüssel wurden von Zahnärztin Freda Ostermann beide Brücken nacheinander eingegliedert. Mit diesem neuen Verfahren wurde erstmals ein Patient im Seitenzahnbereich mit zwei Adhäsivbrücken und „halbierten“ Molaren-Gliedern versorgt (Abb. 11).
Weitere Informationen:
Manfred Kern, Dr. Caroline Gommel – AG Keramik
AG Keramik Geschäftsstelle
Postfach 11 60
76308 Malsch
info@ag-keramik.de
www.ag-keramik.de
Näheres zu den Autoren des Fachbeitrages: Dr. Caroline Gommel
Bildquellen sofern nicht anders deklariert: Unternehmen, Quelle oder Autor/-in des Artikels
Entdecke CME Artikel






Keine Kommentare.