Der AG Keramik-Vorsitzende Dr. Bernd Reiss freute sich in seiner Begrüßungsrede zum Symposium über ein interessiertes Auditorium mit „sehr keramikambitionierten“ Teilnehmern an den Bildschirmen. Vom Podium der DDA aus referierten Prof. Dr. Florian Beuer, ZTM Andreas Kunz, ZA Peter Neumann sowie Dr. Bernd Reiss.
Getreu dem Ziel der AG Keramik, „die therapeutischen und technischen Möglichkeiten von Dentalkeramiken objektiv zu eruieren“ erörterte das Team an einer sequenzweise eingespielten Patienten-Behandlung viele Entscheidungsschritte hin zu einer fundierten Therapielösung.
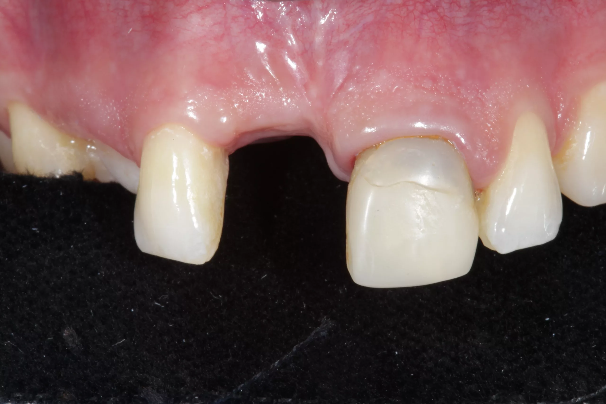
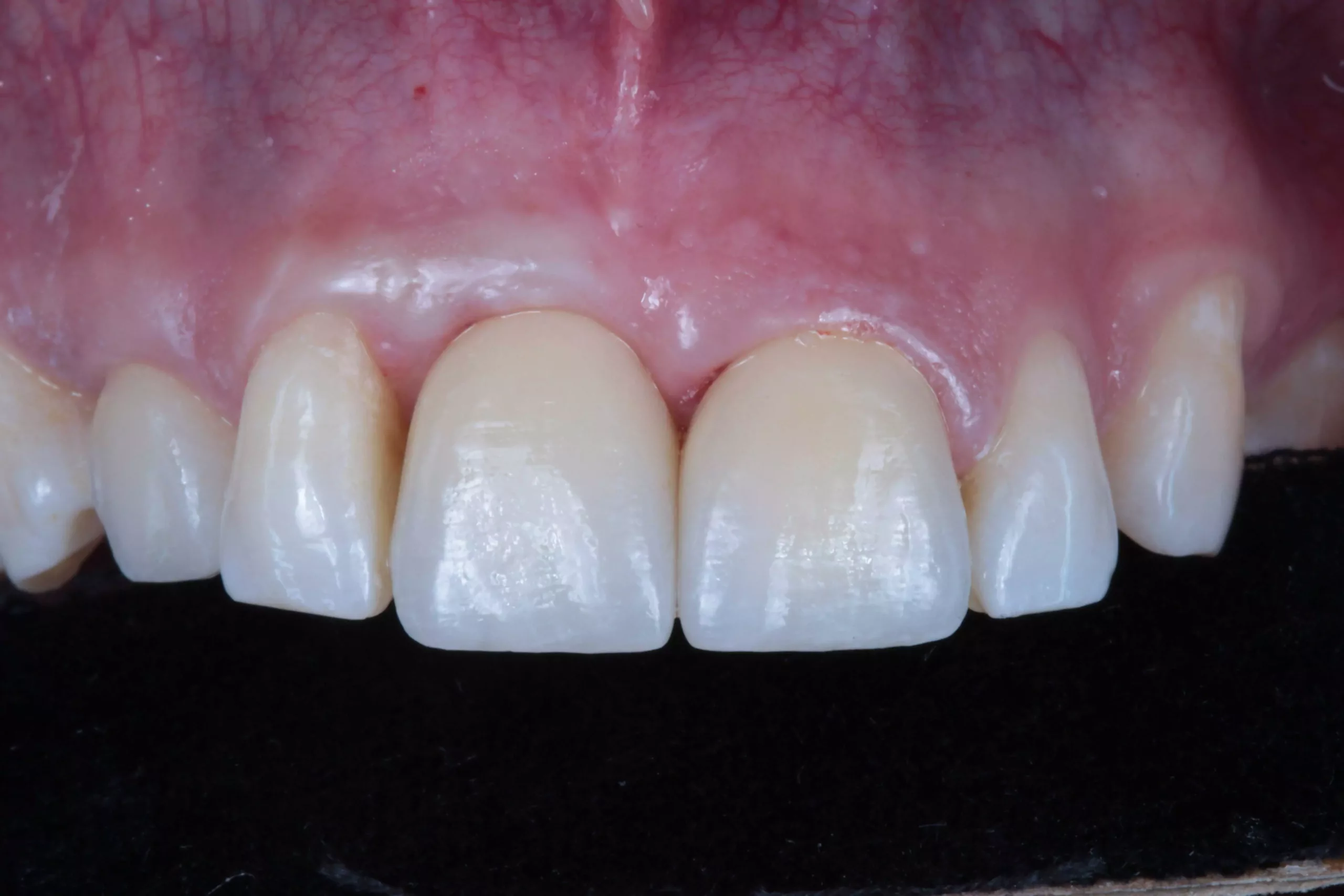
Tags zuvor hatte Prof. Beuer den Patientenfall, eine Frontzahnversorgung mit vollkeramischer Restauration auf einem Implantat und einem avitalen natürlichen Zahn, durchgeführt und aufgezeichnet.
Alternativen und Varianten
Zunächst diskutierten die Referenten verschiedene Behandlungsoptionen, so z.B. Extrusionstechniken als Alternative zur Extraktion nach einer tiefen palatinalen Fraktur. Mit Verweis auf den realen Fall, bei dem Zahn 11 bereits fehlte, erläuterte Peter Neumann die Vor- und Nachteile einer Maryland-Brücke.
Prof. Beuer hatte im Einklang mit dem Patientenwunsch entschieden, eine klassische zweizeitige Implantation mit simultaner lateraler Knochenaugmentation sowie eine Weichgewebeaugmentation zur Rekonstruktion des Volumens durchzuführen.
Die Implantation erfolgte statisch navigiert mit einer präzisen Bohrschablone auf Grundlage der DVT-Daten mittels SMOP. Für den präsentierten Patientenfall bot die analoge Abformung mit individualisierten Abformpfosten und einer präzisen Übertragung des vorher mittels eines Provisoriums ausgeformten Emergenzprofils einen klinischen Vorteil. Vergleichsweise wurde jedoch auch die digitale Erfassung mit zwei Intraoralscannern (Primescan, Dentsply Sirona; Trios 4, 3shape) gezeigt.
Analog und digital im Vergleich
ZTM Andreas Kunz hatte den Patienten im Vorfeld einer ästhetischen Analyse unterzogen. Sein Ziel war es dann, das Weichgewebe und das Abutment aufeinander abzustimmen und das Emergenzprofil präzise auf die finale Situation zu übertragen. „Digital macht es bei mir nur Sinn, wenn es schneller geht als analog“, betont Kunz. Nach diesem Prinzip hatte er das Abutment aus Zirkonoxid im CAD/CAM-Verfahren hergestellt, die Kronen aber in Wachs modelliert. Bei der Auswahl der Keramik orientierten sich Zahnarzt und Zahntechniker nicht zuletzt an der S3 Leitlinie, die für die Frontzahnkronen Lithiumdisilikat oder verblendete Zirkonoxidkronen empfiehlt. Beide Kronen sowie das Veneer für den retinierten Zahn 13 wurden aus Glaskeramik (IPS e.max, Ivoclar) gefertigt und adhäsiv eingesetzt.
F. Beuer
F. Beuer
AG Keramik: Wissen, was in der Praxis passiert
Dr. Bernd Reiss brachte am Ende der Veranstaltung den Anreiz für die Arbeit der AG Keramik auf den Punkt: „Bei jeder Behandlung gibt es so viele Entscheidungen zu treffen. Daher fragen wir bei der AG Keramik, was in der Praxis passiert und was wir für die Praktiker/innen tun können. Mit unserer Praxisbefragung sowie unserer Qualitätsstudie Ceramic Success Analysis (CSA) erhalten wir regelmäßig wertvolle Hinweise zur Verwendung der Materialien und Verfahren und können das auch an die Zahnärzte und Zahntechniker zurückspiegeln.“
Mehr Informationen zur Arbeit der AG Keramik finden Sie unter www.ag-keramik.de
Quelle:
AG Keramik
Dr. Caroline Gommel
caroline.gommel@dokolea.de
Bildquellen sofern nicht anders deklariert: Unternehmen, Quelle oder Autor/-in des Artikels
Entdecke CME Artikel






Keine Kommentare.