Patientenfall
Anamnese
Ein 50-jähriger Patient stellte sich in unserer Zahnklinik vor. Er war mit dem Aussehen seiner Frontzahnkronen unzufrieden. Darüber hinaus klagte er über Schmerzen insbesondere an Zahn 21.
Er berichtete von einem vor 10 Jahren erlittenen Trauma an den oberen mittleren Schneidezähnen. Da die Zähne außerdem kariöse Läsionen aufwiesen, wurden sie endodontisch behandelt und prothetisch mit Zahnkronen versorgt. Der Patient hatte hohe Erwartungen an die bevorstehende Behandlung und erhoffte sich eine deutliche Verbesserung hinsichtlich der Ästhetik und Funktion.
Befunde und Diagnose
Das Trauma an den oberen mittleren Schneidezähnen führte zu Wurzelresorptionen und einem Mobilitätsgrad 3. Der Patient zeigte Schmerzen an bei der Perkussion von Zahn 21. Die Kronenversorgung der beiden mittleren Schneidezähne war insuffizient.
In beiden Kiefern wurde eine erhebliche Abnutzung der Eckzähne und der Kauflächen im Seitenzahnbereich festgestellt, die zu einem Verlust der anterioren Führung und der vertikalen Dimension führte. Die Zähne 14 bis 17 fehlten.
Die röntgenologischen und computertomografischen Untersuchungen zeigten, dass die Wurzeln der mittleren Schneidezähne Anzeichen von Resorption aufwiesen. Zusätzlich waren auch Aufhellungen sichtbar, was auf mögliche periapikale Granulome hindeutete.
Therapie
Behandlungsplanung
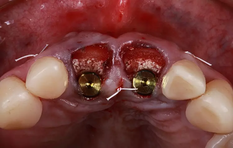
Nach einer gründlichen Untersuchung wurde ein Behandlungsplan aufgestellt, der die Wünsche und Bedenken des Patienten berücksichtigte. Auch aufgrund seiner schlechten Erfahrungen mit misslungenen Wurzelbehandlungen und Kronenversorgungen wurde entschieden, Zahn 11 und 21 zu extrahieren und durch implantatgetragene Einzelkronen zu ersetzen.
Abfolge der Behandlungsschritte
Amilkar Rocha DDS, MS, PhD
Die Form, das labiale Volumen und die Höhe für die Zahnkrone 11 wurden mit einer ästhetischen Apparatur aus selbsthärtendem Acrylharz (Pattern Resin, GC America) visualisiert. Ein Prototyp dient dem Zahntechniker als Platzorientierung bei der Modellierung des Wax-up und liefert auch Informationen über die korrekte Lagebeziehung der Oberkiefer- zu den Unterkieferfrontzähnen (Abb. 2).
Amilkar Rocha DDS, MS, PhD
Amilkar Rocha DDS, MS, PhD
Eine weitere Multifunktionsapparatur aus Pattern Resin (GC America) wurde hergestellt, um die zentrische Kondylenposition auf der Grundlage der ästhetischen, phonetischen und physiologischen Parameter mithilfe eines Deprogrammierers zu finden (Abb. 3). Die intermaxilläre Bissregistrierung mit Registriersilikon erfolgte bei eingesetzter Multifunktionsapparatur, um die geplante vertikale Dimension und funktionsorientierte Okklusionsebene festzulegen. Das Oberkiefermodell mit dem Kronenprototyp für Zahn 11 wurde mithilfe eines Gesichtsbogens (Elite, Bio-Art) in einen teiljustierbaren Artikulator (A7-Plus, Bio-Art) einartikuliert.
Amilkar Rocha DDS, MS, PhD
Amilkar Rocha DDS, MS, PhD
Amilkar Rocha DDS, MS, PhD
Amilkar Rocha DDS, MS, PhD
Amilkar Rocha DDS, MS, PhD
Amilkar Rocha DDS, MS, PhD
Das für das Mock-up verwendete Material bestand aus selbsthärtendem Mikro-Hybrid-Komposit für provisorische Kronen und Brücken (Structur 2, VOCO). Das thermoviskose VisCalor bulk (VOCO) wurde additiv in einen weiteren Silikonschlüssel injiziert, um die okklusalen Aspekte zahlreicher OK-Zähne sowie der rechten unteren Prämolaren und Molaren des Unterkiefers direkt im Mund zu rekonstruieren. Die Eckzahnführung wurde hingegen mit Admira Fusion (VOCO) wiederhergestellt.
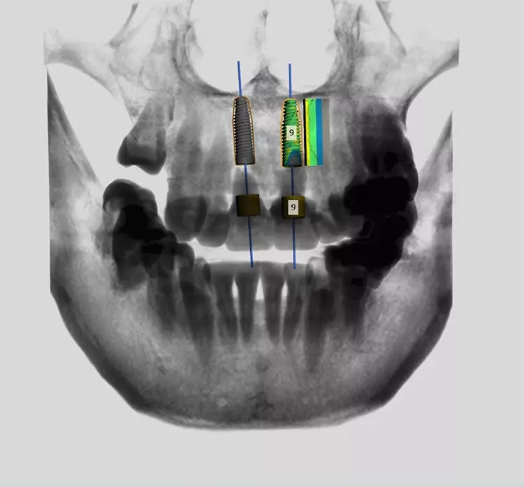
So wurde die Rehabilitation zur Wiederherstellung von okklusaler Stabilität, VDO (Vertikale Dimension der Okklusion) und funktionsorientierten Zahnführungen Schritt für Schritt vorgenommen. Zwischenzeitlich visualisierte der Zahntechniker die vorläufige Implantatplanung für die später folgende navigierte Implantation (Abb. 10). Der chirurgische Eingriff wurde simuliert, indem virtuelle Zähne in der CAD-Planungssoftware (Implant Studio, 3shape) entworfen wurden, wobei die Kontur des Alveolarfortsatzes beibehalten wurde.
Amilkar Rocha DDS, MS, PhD
Amilkar Rocha DDS, MS, PhD
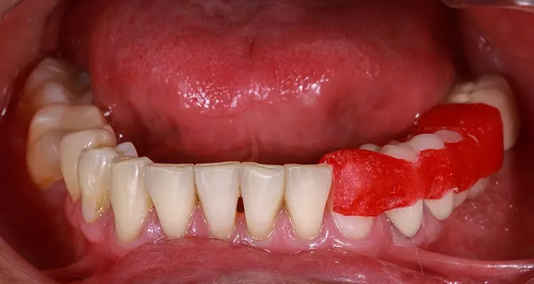
Die Bohrschablone wurde additiv aus speziellem 3D-Druckharz (Cosmos SG, Yller) auf einem Photon Mono 4K (Anycubic) hergestellt. Die Zähne wurden atraumatisch unter Erhaltung der Integrität der Gingiva und der Gingivaarchitektur extrahiert (Abb. 11).
Amilkar Rocha DDS, MS, PhD
Amilkar Rocha DDS, MS, PhD
Amilkar Rocha DDS, MS, PhD
Amilkar Rocha DDS, MS, PhD
Amilkar Rocha DDS, MS, PhD
Amilkar Rocha DDS, MS, PhD
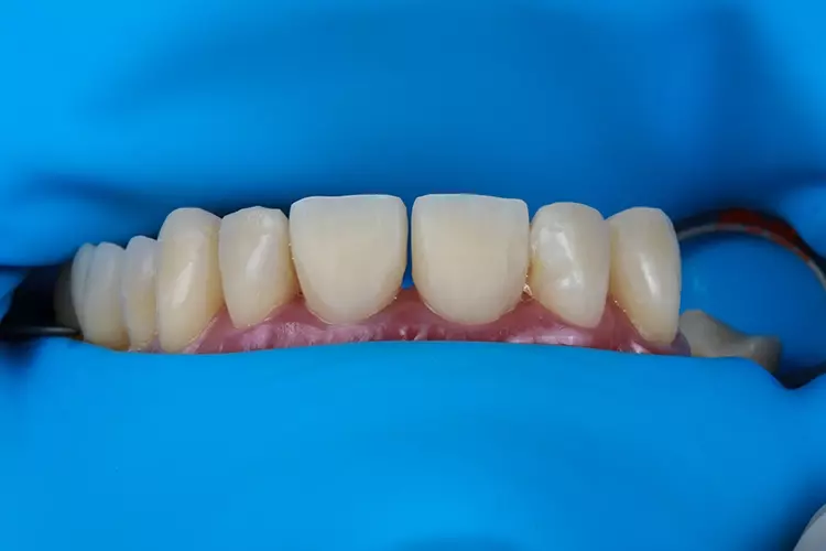
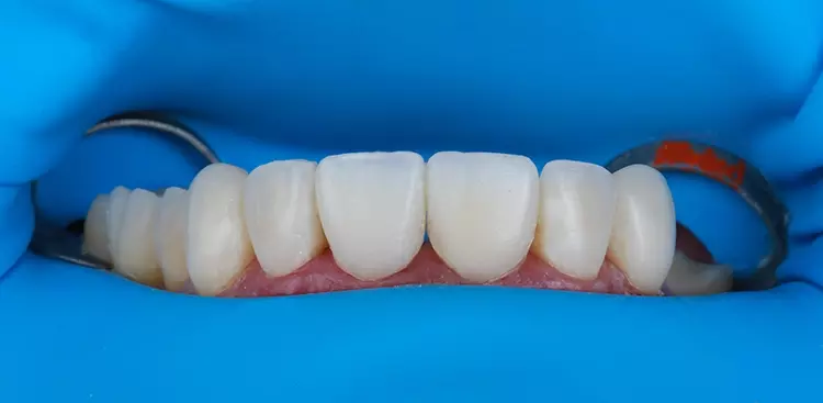
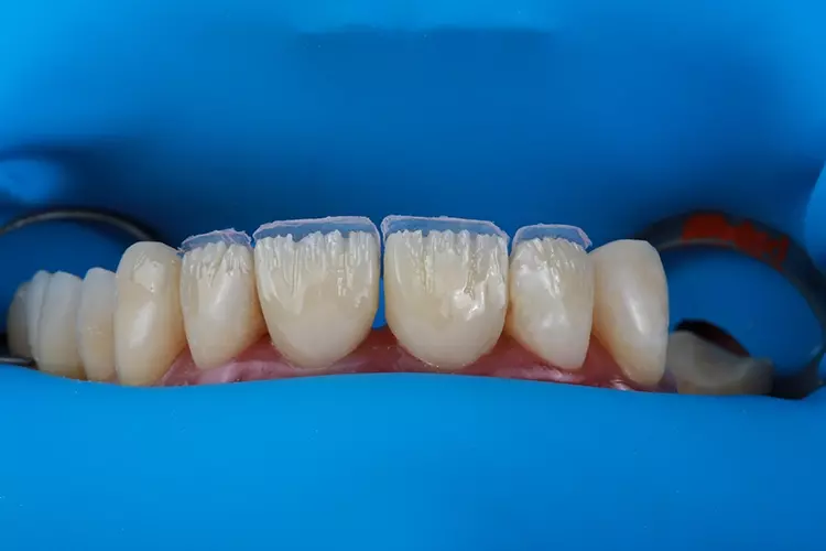
Die Kronen für 11 und 21 wurden mit einer 5-Achs-Fräs- und Schleifmaschine (inLab MC X5; Dentsply Sirona) aus einer nanokeramischen Komposit CAD/CAM-Ronde (Grandio disc, A1, VOCO) gefräst und mit Bifix Hybrid Abutment (VOCO) auf einem Abutment aus Metall (Grand Morse, Neodent Titanium Base Neodent, Straumann) im Labor zementiert. Die Kronen wurden in ihrer endgültigen Position eingegliedert (Abb. 18). Jede Krone wurde mit direkten Komposit-Veneers modifiziert.
Amilkar Rocha DDS, MS, PhD
Amilkar Rocha DDS, MS, PhD
Amilkar Rocha DDS, MS, PhD
Amilkar Rocha DDS, MS, PhD
Amilkar Rocha DDS, MS, PhD
Amilkar Rocha DDS, MS, PhD
Amilkar Rocha DDS, MS, PhD
Ergebnis
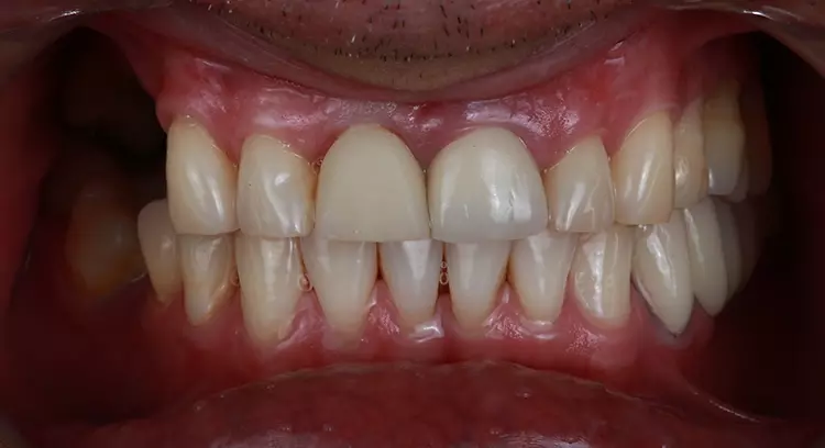
Das Ergebnis entsprach den Erwartungen des Patienten. In der Nachbehandlungsphase wurde die Okklusion erfolgreich wiederhergestellt, wobei eine neue vertikale Dimension, eine passende Kronenform und -größe sowie funktionsorientierte Okklusionsebenen erreicht wurden.
Es konnten sofortige positive ästhetische und funktionelle Verbesserungen beobachtet werden, die auch 6 Monate nach Eingliederung noch deutlich sichtbar sind. Darüber hinaus wurden okklusale Stabilität und korrekte Zahnführungen erreicht.
Diskussion
Basierend auf dem klinischen Befund einer Grad-3-Mobilität und den röntgenologischen und computertomografischen Befunden einer Wurzelresorption und postendodontischer periapikaler Granulome wurde entschieden, beide mittleren Schneidezähne zu extrahieren und durch Implantate zu ersetzen. Der Verlust der vertikalen Dimension der Okklusion und die fehlende anteriore Führung würden die sofort belasteten Implantate gefährden. Aus diesem Grund wurde die Stabilität der Okklusion vor dem chirurgischen Eingriff wiederhergestellt.
Die Nanohybrid-Komposite für Kronen und Veneers wurden aufgrund ihrer mechanischen Eigenschaften (ähnlich denen natürlicher Zähne), ihrer Farbstabilität und ihrer einfachen Reparatur und Charakterisierung im Mund des Patienten ausgewählt. Es wird erwartet, dass die Implantatkronen und entsprechenden Titanabutments über einen langen Zeitraum in Funktion bleiben können, ohne dass sie entfernt werden müssen, sodass der Implantathals sowie das Hart- und Weichgewebe keine signifikanten klinischen Veränderungen erfahren („one-abutment/one-time“-Konzept). Die Haltbarkeit des verwendeten Kompositmaterials und die Stabilität des periimplantären Gewebes sollten im Rahmen einer Langzeitbeobachtung dokumentiert werden.
Fazit
Die wichtigste Erkenntnis ist die, dass es äußerst wichtig ist, sich genau an die festgelegten Protokolle zu halten, um das Risiko von Komplikationen oder Misserfolgen zu minimieren. Dazu gehört auch der Einsatz von Technologien wie die schablonengeführte Chirurgie oder individuell gefräste Kronen, begleitet von einer technischen Ausbildung und einem gründlichen Studium der anzuwendenden Verfahren. Darüber hinaus erfordert die direkte Schichtung von Komposit-Veneers die strikte Einhaltung der vorgeschriebenen Arbeitsschritte, um ein optimales Ergebnis zu erhalten.
Letztendlich hängt der Behandlungserfolg weniger von der Erfahrung der Behandelnden als vielmehr von der Beachtung und Einhaltung der Planungs- und Ausführungsprotokolle bei der Anwendung der Technik ab. Eine direkte Schichtung von Komposit-Veneers ist preisgünstiger als herkömmliche keramische Veneers und kann in nur einer Behandlungssitzung durchgeführt werden.
Weiterführende Literatur:
- Araújo MG, Silva CO, Souza AB, Sukekava F. Socket healing with and without immediate implant placement. Periodontol 2000. 2019; 79: 168–177.
- Avila-Ortiz G, Chambrone L, Vignoletti F. Effect of alveolar ridge preservation interventions following tooth extraction: A systematic review and meta-analysis. J Clin Periodontol. 2019; 46 Suppl 21: 195–223.
- Bittner N, Planzos L, Volchonok A, Tarnow D, Schulze-Späte U. Evaluation of horizontal and vertical buccal ridge dimensional changes after immediate implant placement and immediate temporization with and without bone augmentation procedures: short-term, 1-year results. A randomized controlled clinical trial. Int J Period Restor Dent. 2020; 40: 83–93.
- Blanco J, Carral C, Argibay O, Liñares A. Implant placement in fresh extraction sockets. Periodontol 2000. 2019; 79: 151–167.
- Buser D, Chappuis V, Belser UC, Chen S. Implant placement post extraction in esthetic single tooth sites: when immediate, when early, when late? Periodontol 2000. 2017; 73: 84–102.
- Chappuis V, Araújo MG, Buser D. Clinical relevance of dimensional bone and soft tissue alterations post-extraction in esthetic sites. Periodontol 2000. 2017; 73: 73–83.
- Gabay E, Katorza A, Zigdon-Giladi H, Horwitz J, Machtei EE. Histological and dimensional changes of the alveolar ridge following tooth extraction when using collagen matrix and collagen-embedded xenogenic bone substitute: A randomized clinical trial. Clin Implant Dent Relat Res. 2022; 24 (3): 382–390.
- Groenendijk E, Staas TA, Bronkhorst E, Raghoebar GM, Meijer GJ. Immediate implant placement and provisionalization: aesthetic outcome 1 year after implant placement. A prospective clinical multicenter study. Clin Implant Dent Relat Res. 2020; 22: 193–200.
- Hämmerle CH, Chen ST, Wilson TG Jr. Consensus statements and recommended clinical procedures regarding the placement of implants in extraction sockets. Int J Oral Maxillofac Implants. 2004; 19: 26–28 Suppl.
- Lang NP, Pun L, Lau KY, Li KY, Wong MC. A systematic review on survival and success rates of implants placed immediately into fresh extraction sockets after at least 1 year. Clin Oral Implants Res. 2012; 23 (Suppl 5): 39–66.
- Lilet R, Desiron M, Finelle G, Lecloux G, Seidel L. Immediate implant placement combining socket seal abutment and peri-implant socket filling: a prospective case series. Clin Oral Implants Res. 2022; 33: 33–44.
- Majzoub J, Ravida A, Starch-Jensen T, Tattan M, Suárez-López Del Amo F. The influence of different grafting materials on alveolar ridge preservation: a systematic review. J Oral Maxillofac Res. 2019; 10: e6.
- Mastrangelo F, Gastaldi G, Vinci R, et al. Immediate postextractive implants with and without bone graft: 3-year follow-up results from a multicenter controlled randomized trial. Implant Dent. 2018; 27: 638–645.
- Seyssens L, Eeckhout C, Cosyn J. Immediate implant placement with or without socket grafting: a systematic review and meta-analysis. Clin Implant Dent Relat Res. 2022; 24: 339–351.
- Zaki J, Yusuf N, El-Khadem A, Scholten RJPM, Jenniskens K. Efficacy of bone-substitute materials use in immediate dental implant placement: a systematic review and meta-analysis. Clin Implant Dent Relat Res. 2021; 23: 506–519.
Bildquellen sofern nicht anders deklariert: Unternehmen, Quelle oder Autor/-in des Artikels
Entdecke CME Artikel





Keine Kommentare.