In vielen Behandlungsfällen kommt eine Insertion von Dentalimplantaten nicht ohne vorherige knöcherne Rehabilitation aus [7]. Die sog. Schalentechnik, ursprünglich von Prof. Dr. Fouad Khoury als Alternative zur konventionellen Knochenblocktransplantation und zur Regeneration komplexer ossärer Defekte entwickelt, bietet sich hierfür als erster Schritt für den Wiederaufbau an. So lassen sich die benötigten Voraussetzungen für eine erfolgreiche Implantation schaffen.
Diese besondere Technik verbindet die Knochentransplantation mit gesteuerter Knochenregeneration [4,13]. Zum Einsatz kam hier zunächst körpereigener (autologer) Knochen. Inzwischen wird alternativ auch allogener Knochen verwendet – ein humaner Spenderknochen, der nach strengen Richtlinien aufbereitet wurde und so sicher wie ein Arzneimittel ist [8].
Zu Beginn der Behandlung wird durch eine Schalung des atrophierten Bereichs mit autologen oder allogenen Knochenscheiben eine neue Kontur des Alveolarfortsatzes geschaffen, wobei ein geschützter Hohlraum entsteht. Dieser wird anschließend mit autologen oder allogenen Knochenspänen aufgefüllt. So kann der Bereich gezielt regenerieren, bevor die Implantate gesetzt werden [4].
„Schutzpanzer“ Augmentatives Relining
Neuere Entwicklungen zeigen, dass man noch einen Schritt weitergehen und die klassische Schalentechnik mit einem zusätzlichen augmentativen Verfahren, dem augmentativen Relining (auch Delayed Relining Technique), kombinieren kann. Insbesondere bei komplexen Knochendefekten hat sich dieser Ansatz als sehr vorteilhaft erwiesen, weil man auf diese Weise bereits stattgefundene Resorptionsprozesse ausgleichen oder nachfolgende Resorptionserscheinungen deutlich senken kann.
Etwa vier Monate nach dem ersten Eingriff ist das Knochengrundgerüst wiederaufgebaut und bietet damit die ideale Basis für die Implantation und eine weitere Augmentation. Im Zuge der Implantatinsertion wird nun eine einzige Schicht bovines Knochenersatzmaterial auf den neu aufgebauten Knochen gesetzt und mit einer schützenden Kollagenmembran abgedeckt. Diese Maßnahme spricht erfahrungsgemäß sehr gut auf den darunterliegenden Knochen an, dessen regenerativer Auf- und Umbau noch bis zu zwei Jahre andauern kann [14].
Eine Hauptindikation für die Anwendung der allogenen Schalentechnik ist der Wunsch ohne Eigenknochenentnahme ein reduziertes Knochenangebot zu rehabilitieren. Angezeigt ist der Einsatz auch in Fällen, wo bereits an der Linea Obliqua des Kiefers eine Entnahme erfolgte und eine weitere Entnahme nicht mehr möglich ist oder aber das Risiko für eine Nervenverletzung deutlich steigt. In unserer Praxis verwenden wir hierfür schnellheilende Allografts (maxgraft®).
Das folgende Relining-Verfahren erfolgt dann mit dem volumen- und resorptionsstabilen XenoGraft, ein bewährtes deproteiniertes bovines Knochenersatzmaterial, in Verbindung mit einer schützenden Kollagenmembran, der Jason® membrane aus porcinem Perikardium (alle Produkte: Straumann).
XenoGraft wurde direkt für die Knochenregeneration z.B. bei intraossären und periimplantären Defekten sowie bei Extraktionsalveolen, Ridge Preservation und Sinusbodenelevation entwickelt, und die sehr guten Ergebnisse wurden bisher vielfach wissenschaftlich belegt [3,5,12]. Bei uns kommt das Biomaterial vor allem im Sinusbereich zum Einsatz, für das augmentative Relining oder für kleinere Konturaugmentationen.
Es begünstigt aufgrund seines knochenähnlichen Kalzium-Phosphat-Verhältnisses und der unterschiedlichen Porengrößen nachweislich die ossäre Integration. Dabei liefert die hohe Porosität das Grundgerüst für die Zellmigration: Makroporen ermöglichen das Eindringen von Osteoklasten, Osteoblasten und Mikrokapillaren während Mikroporen die schnelle Flüssigkeitsaufnahme durch Kapillarwirkung gewährleisten [15].
Darüber hinaus ist das Handling sehr angenehm, es fühlt sich naturbelassener als hoch gesinterte Materialien an, hält während der Applikation gut zusammen und kommt meiner Meinung nach dem bekannten Produkt Geistlich Bio-Oss sehr nahe. Beide Produkte durchlaufen nach Herstellerangaben eine chemisch-thermale Behandlung, durch die bovine Lipide und Proteine entfernt werden.
XenoGraft wird ausgiebig getestet, um Antigenität zu eliminieren. Die begrenzte Resorption des Biomaterials bietet eine erhöhte Stabilität und damit die sichere Basis für eine langfristige Weichgewebsunterstützung [15].
Autolog oder allogen? Die Patienten entscheiden…
Die klinischen Vorteile der allogenen Augmentationsmethode wie die vergleichsweise Minimalinvasivität des Eingriffs, eine Reduzierung der Operationszeit und des Operationsaufwandes, ein deutlich geringeres Schrumpfen des allogenen Transplantats, keine Risiken für Komplikationen an der Entnahmestelle sowie Infektionen, Hämatome oder Schwellungen sprechen für sich [2,9]. Deshalb entscheiden sich vermehrt Patienten bewusst gegen eine Eigenknochenaugmentation. Anders fällt die Entscheidung mitunter aus, wenn der Unterkiefer von Knochendefekten betroffen ist und die Entnahmestelle an der Linea Obliqua direkt danebenliegt.
Ich kläre die Patienten über die verschiedenen Therapiemöglichkeiten auf, auch darüber, dass laut der geltenden Richtlinie zur Gewinnung von Blut und Blutbestandteilen und zur Anwendung von Blutprodukten der Bundesärztekammer nach einer allogenen Gewebetransplantation eine viermonatige Sperre für die Blutspende einzuhalten ist. Der Vollständigkeit halber sei erwähnt, dass zu einem dauerhaften Ausschluss nur Transplantationen von Dura mater oder Augenhornhaut führen.
Die finale Entscheidung überlasse ich den Patienten. Beobachtungen zufolge kristallisieren sich zwei Lager heraus: Die einen möchten auf keinen Fall eigenen Knochen nutzen, die anderen auf keinen Fall eine Knochenspende von einem anderen Menschen. Das Verhältnis in unserer Praxis liegt derzeit bei 50:50.
Dennoch gilt autologer Knochen weithin in diesem Arbeitsbereich als das Transplantat der Wahl. Ich persönlich habe den Eindruck, dass die allogenen Materialien weniger resorbieren und stabiler sind als die autologen. Beobachtungen zeigen eine Verschiebung zugunsten der allogenen Transplantate, denn die Verwendung hängt heute vielmehr von der Indikation und den Wünschen des Patienten, aber auch des behandelnden Arztes ab.
Betroffene Patienten schätzen immer häufiger den Verzicht einer Knochenentnahme am eigenen Körper [11]. Nach Erkenntnissen der Wissenschaft ist der Erfolg der Regeneration des Kieferkamms nach dem Einsatz von autologen oder allogenem Knochen im Endergebnis aber vergleichbar [1,6,10,11,16].
Fallbericht
Als wir mit dem Konzept des augmentativen Relinings im Jahr 2012 begannen, wurde dies ausschließlich im Frontzahnbereich durchgeführt, um dort optimale ästhetische Ergebnisse zu erzielen. Inzwischen hat sich die Methode in unserer Praxis so etabliert, dass sie gerade für komplexere Situationen auch im Seitenzahnbereich das Verfahren der Wahl ist.
Im folgenden Patientenfall soll gezeigt werden, wie die Rehabilitation der regio 21-23 mit Hilfe der Alloschalentechnik in Verbindung mit konischen BLT-Implantaten (Straumann) und augmentativem Relining gelingt.
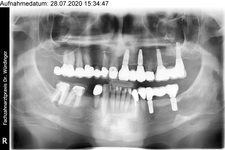
Ein 64 Jahre alter männlicher Patient ohne anamnestische Auffälligkeiten wurde mit dem Wunsch nach einer festsitzenden und ästhetisch ansprechenden Lösung im Frontzahnbereich von seinem Hauszahnarzt zur weiteren implantologischen Rehabilitation an unsere Praxis überwiesen. Nach eingehender klinischer Untersuchung wurde anhand einer 3D-Röntgenaufnahme mittels DVT das knöcherne Lager in der zu behandelnden Region beurteilt, worauf sich ein ausgeprägtes horizontales Knochendefizit zeigte, das eine Implantation in korrekter prothetischer Lage nicht zuließ (Abb. 1-3).
Praxis Dr. Robert Würdinger
Praxis Dr. Robert Würdinger
Praxis Dr. Robert Würdinger
Die Entscheidung fiel daraufhin auf ein zweizeitiges Vorgehen mit vorheriger Knochenaugmentation in Schalentechnik und späterer Implantation von zwei BLT-Implantaten mit augmentativem Relining: Der Patient entschied sich nach ausführlicher Beratung und Vorstellung der alternativen Augmentationsmöglichkeiten für die Schalentechnik mit allogenen Kortikalisplatten und Granulaten (maxgraft® spongiosa, Straumann), wie die Abbildungen 4 bis 7 dokumentieren.
Praxis Dr. Robert Würdinger
Praxis Dr. Robert Würdinger
Praxis Dr. Robert Würdinger
Praxis Dr. Robert Würdinger
Nach einer viermonatigen Einheilphase erfolgte die Implantation von zwei Straumann® BLT Implantaten mit einer Länge von 12 mm und einem Durchmesser von 4,1 mm im Bereich des aufgebauten Knochens (Ausgangssituation siehe Abb. 8). Vor der Implantation fand vorbereitend eine Glättung der Oberfl äche statt, um scharfe Kanten zu beseitigen (Abb. 9). Für die korrekte prothetische Positionierung der Implantate kamen individuell gefertigte Orientierungsschablonen zum Einsatz, anschließend wurden die Implantate für eine verschraubte Brücke gesetzt (Abb. 10).
Praxis Dr. Robert Würdinger
Praxis Dr. Robert Würdinger
Praxis Dr. Robert Würdinger
Die Abbildungen 11 und 12 dokumentieren das augmentative Relining, das zum Schutz vor Resorption und zur Konturaugmentation dienen soll. Dabei wurde eine Schicht bovines Knochenersatzmaterial (Straumann® XenoGraft) direkt auf den neu aufgebauten Knochen aufgetragen und mit Hilfe einer Kollagenmembran (Jason® membrane, Straumann) konturiert und vernäht. Damit legt man dem darunterliegenden neu aufgebauten Knochen einen Schutzpanzer an, der ihn einmal mehr vor Resorption schützt und die weitere Regeneration begünstigt.
Praxis Dr. Robert Würdinger
Praxis Dr. Robert Würdinger
Diese Form der Überaugmentation gibt dem Behandler nicht nur eine Möglichkeit an die Hand, die Konturen noch einmal zu justieren. Darüber hinaus treten erfahrungsgemäß im Rahmen der Implantatfreilegung auch weniger Weichgewebedefizite auf, die dann später durch entsprechende Transplantate wieder ausgeglichen werden müssten. Gerade im Frontzahnbereich ist eine möglichst große Volumenstabilität für das ästhetische Ergebnis von großer Bedeutung.
Praxis Dr. Robert Würdinger
Praxis Dr. Robert Würdinger
Praxis Dr. Robert Würdinger
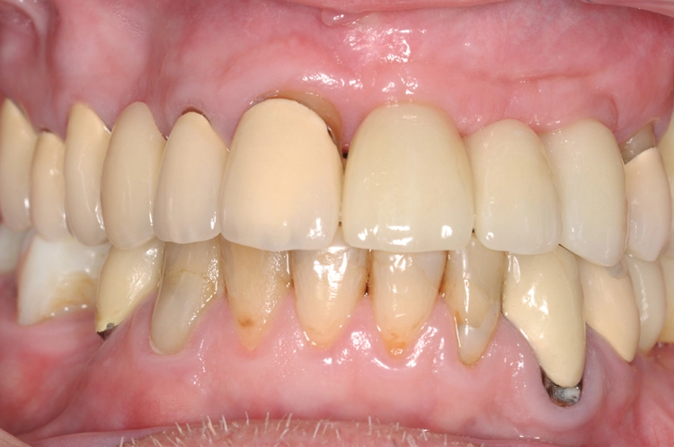
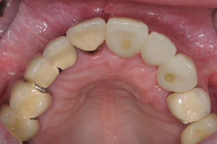
Die Abbildungen 16 und 17 stellen nachfolgend den Zeitpunkt der postoperativen Kontrolle nach dem Einbringen von individualisierten Gingivaformern und die Situation vier Wochen postoperativ dar. Das gelungene Ergebnis der Behandlung nach Alloschalentechnik, Implantation inklusive augmentativem Relining und prothetischer Versorgung zeigen die Abbildungen 18 bis 20.
Praxis Dr. Robert Würdinger
Praxis Dr. Robert Würdinger
Praxis Dr. Robert Würdinger
Praxis Dr. Robert Würdinger
Praxis Dr. Robert Würdinger
Fazit für die Praxis
Der augmentative Ansatz dieses Behandlungsfalls nutzt die Kombination zweier bewährter Knochenaufbauverfahren. Mit Hilfe der Schalentechnik kann die Knochenresorption zwischen Augmentation und der späteren Implantation gegenüber dem Einsatz von monokortikalen Knochenblocktransplantaten deutlich gesenkt werden. Zudem lässt sich so der im weiteren Heilungsverlauf auftretende Knochenverlust durch die nachfolgende Überaugmentation von bovinem Ersatzmaterial und resorbierbarer Membran erfahrungsgemäß nicht nur reduzieren.
Es wird hier sogar ein Knochengewinn – verglichen mit dem Volumen nach Augmentation – erreicht. Das Verfahren des augmentativen Relinings hat sich bereits nach autologen Augmentationen bewährt und findet analog in diesem Fallbericht eine erfolgreiche Anwendung nach dem Knochenaufbau in allogener Schalentechnik.
Der Behandlungsfall macht deutlich, dass die Schalentechnik mit Verwendung von rein allogenem Knochenersatzmaterial (kortikale Platte und spongiöses Granulat) der klassischen autologen Methode ebenbürtig ist [9,16]. Auch wenn die Resorptionseigenschaften allogener Materialien bekanntermaßen geringer sind als die des autologen Knochens, beobachte ich bei meinen Patienten nach Durchführung des Relinings im Frontzahnbereich ästhetisch optimalere Hart- und Weichgewebesituationen.
Neben dem zusätzlichen Resorptionsschutz kann durch das augmentative Relining eine minimalinvasivere Freilegungstechnik gewählt und weitere Transplantationen vermieden werden. Die Patientenbelastung ist damit nicht nur während der Augmentation geringer, sondern auch bei der Freilegung der Implantate.
Natürlich steht und fällt der Erfolg der Technik auch mit den Materialien. Die Arbeit mit den hier verwendeten Produkten ist sehr verlässlich, weil diese langjährig erprobt, bestens erforscht und aufeinander abgestimmt sind. Damit ist man auf der sicheren (Anwender-)Seite.
Der Einsatz allogener Kortikalisplatten eröffnet dem erfahrenen Chirurgen die Möglichkeit, atraumatischer und patientenfreundlicher an einen komplexen Fall heranzutreten. Das augmentative Relining gibt zusätzlich die Sicherheit, späte Misserfolge durch stärkere Resorptionen zu vermeiden. Die Kombination beider bewährter Augmentationsverfahren sehen wir deshalb in unserer Praxis inzwischen als neuen Goldstandard in der Augmentationschirurgie im Front- und Seitenzahnbereich an.
Bildquellen sofern nicht anders deklariert: Unternehmen, Quelle oder Autor/-in des Artikels
Entdecke CME Artikel



Keine Kommentare.