Prof. Dr. C.-P. Ernst
Nach erneuter Konsultation des Vorbehandlers teilte ihm dieser mit, dass eine direkte Kompositfüllung für diesen Defekt anscheinend nicht ausreichend sei und deswegen der Defekt besser mit einem Keramikinlay zu versorgen wäre. Dem (privatversicherten) Patienten erschien dies schlüssig und er willigte deshalb in die Neuversorgung ein, die dann auch an den beiden Zähnen (14 und 15) durchgeführt wurde.
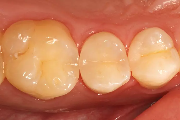
Die Abbildung 1 zeigt diese beiden gerade erst mit kleinen Od-Keramikinlays versorgten Zähne. Die beschriebenen Beschwerden an Zahn 15 persistierten allerdings nach wie vor unverändert. Der irritierte Patient bat dementsprechend um eine Zweitmeinung bzw. einen alternativen Therapievorschlag.
Kälteempfindlichkeiten können durchaus unterschiedliche Ursachen haben: Neben den eingangs beschriebenen Fehlern in der Adhäsivtechnik [15,30] kann durchaus auch ein exzessives Ausarbeiten mit akzidentieller Exposition von Dentin nach dem Einschleifen oder Wurzeldentin nach approximaler Ausarbeitung als auch durch eine forcierte, zervikalwärts gerichtete Kofferdamklammer-Adjustierung hervorgerufen werden. In der Regel geben sich derartige Beschwerden aber zum größten Teil nach 4 bis 6 Wochen. Nur bei einem kleinen Anteil muss tatsächlich eine Reintervention erfolgen.
Anders sieht es hingegen bei den Aufbissbeschwerden aus: Diese weisen oft in die Richtung einer Infraktion, dem „Cracked-Toth-Syndrom“ (CTS) [6,14]. Hiervon spricht man, wenn Aufbissempfindlichkeiten in Kombination mit einer Heiß- und/oder Kaltempfindlichkeit auftreten – exakt das, was im vorliegenden Fall vom Patienten berichtet wurde. Dementsprechend stand eine bislang nicht diagnostizierte Infraktion als Verdachtsdiagnose im Raum.
Studienübersicht zum Thema „Cracked-Tooth-Syndrom“
Da das Cracked-Tooth-Syndrom per se nicht neu ist, finden sich dementsprechend zahlreiche Publikationen aus den letzten Jahrzehnten zu dem Themenkomplex, die gut die Brisanz des Themas aufzeigen [2,6,32,33,35,40]. Für die Diagnose einer Infraktion ist nach wie vor der Aufbisstest der aufschlussreichste [51]. Schon 1992 konnte Geurtsen [32] zeigen, dass untere Molaren am häufigsten betroffen waren, dann allerdings gefolgt von oberen Prämolaren wie im vorliegenden Fall.
Eine Altershäufung der Infraktionen konnte zwischen dem 40. und 59. Lebensjahr festgestellt werden [37]. In der zitierten Studie mussten 83% aller Zähne mit Infraktionen wurzelkanalbehandelt werden; lediglich 17% blieben vital und wurden mit Kronen ohne Wurzelkanalbehandlung versorgt [37]. Aus diesem Grund geben neben dem klinischen Beschwerdebild die Lokalisation und das Ausmaß des Risses die Behandlungsoptionen vor [36].
Im Gegensatz zu adhäsiv restaurierten Zähnen (dies waren in 5% der Fälle Kompositund in 1% Keramikversorgungen) erhöhten nicht adhäsive Restaurationen wie Amalgam (19%) oder Gold (21%) generell das Frakturrisiko [51]. In einer Studie an 40 CTS-Zähnen mit Anzeichen einer reversiblen Pulpitis [46] waren 6 Monate nach deren Versorgung mit direkten adhäsiven Restaurationen 75% der Zähne beschwerdefrei, was als sehr guter Kurzzeiterfolg betrachtet werden kann. Ein Einbeziehen der Höcker zeigte keinen signifikanten Einfluss auf die Befunde.
Dieselbe Arbeitsgruppe publizierte später die 7-Jahres-Daten [47]: Die mittlere jährliche Verlustrate ohne Einbeziehung der Höcker lag dann mit 6% unverhältnismäßig hoch: Bei 3 von 20 Zähnen war eine endodontologische Behandlung erforderlich, 2 versagten aufgrund einer Fraktur. Kein Versagen konnte in der Gruppe mit einem Höckerschutz verzeichnet werden. Demzufolge favorisieren die meisten Autoren bei Vorliegen von Infraktionen bereits seit langem eine Höckereinfassung in Form eines Onlays, eines Overlays oder einer Teilkrone [7,31,32,52].
Dass allerdings auch konservative Vorgehensweisen doch erfolgversprechend sein können, zeigt eine interessante Studie aus dem Jahre 2009 [1]: Bei 100 Zähnen mit einer diagnostizierten reversiblen Pulpitis und dem Vorliegen von Infraktionen konnten über einen Beobachtungszeitraum von 5 Jahren 80% der Zähne vital erhalten werden. Die Therapie war allerdings komplex: Nach Reduktion der Risse, dem Entfernen existierender Füllungen und Karies einer „sedativen“ medikamentösen Einlage mit Ledermix erfolgte zunächst für 3 Monate eine Interimsfüllung mit Glasionomerzement (teilweise mit Einfassung des Zahnes mithilfe eines Stahlbandes), später wurden die Zähne mit einem Overlay oder einer Krone versorgt. Die unterstützende externe Stabilisierung mithilfe eines kieferorthopädischen Bandes beschrieb auch Jacker-Guhr in einer sehr guten und differenzierten Übersicht zur CTSSymptomatik und Therapie 2014 in der DZZ [35]: Ergänzend sieht sie Kompositrestaurationen zur internen Stabilisierung als sehr gut geeignet.
Bei Vorliegen eines Infraktionsbefundes sollte für eine langfristige, definitive Versorgung nach Sichtung der Literatur tendenziell eher zur Höckereinfassung geraten werden als beim komplett intakten Zahn [35]. Dies gilt umso mehr beim Vorliegen klinischer Symptome wie Aufbissbeschwerden. Bei kleineren Substanzdefekten in Kombination mit symptomlosen Infraktionslinien z.B. an Randleisten bei existierenden Restaurationen könnten diese hingegen nach wie vor auch mit einer direkten Kompositrestauration ohne Höckereinfassung versorgt werden [18].
Vorgehen im vorliegenden Patientenfall
Gemäß der erhobenen Anamnese und aufgrund der vorliegenden Befunde konnte im vorliegenden Fall nach einer Entfernung des Keramikinlays demzufolge die Detektion einer Infraktionsline erwartet werden. Unter Berücksichtigung der Empfehlungen aus der Literatur und der Befunde [7,31,32,52] stand auf jeden Fall eine vollkeramische Teilkronenversorgung im Raum – die Frage war lediglich, ob mit oder ohne vorangestellte Wurzelkanalbehandlung.
Prof. Dr. C.-P. Ernst
Die Abbildung 2 zeigt die sehr tief pulpanah reichende, völlig kariesfreie und bereits mit einer Danville Contact Matrix ultra thin flex Teilmatrizenfolie, einem Garrison Fusion-Kunststoffkeilchen und einem Garrison Composi-Tight 3DXR Ring isolierte Kavität an Zahn 15 unter relativer Trockenlegung. Dank der heutigen Möglichkeiten der Approximalflächengestaltung [49] mithilfe der vielfältig und hervorragend einsetzbaren Teilmatrizensysteme sind die technischen Möglichkeiten der direkten Füllungstherapie in der Klasse II nahezu unbegrenzt.
Direkte Kompositrestaurationen müssen sich hinter Keramikinlays auch nicht als „Budget-Variante“ verstecken: Keine andere Restaurationsmaßnahme kombiniert so perfekt den minimalinvasiven Behandlungsaspekt mit Ästhetik und Kosteneffizienz: Die Patienten/-innen erhalten gegenüber einem adhäsiven Inlay eine deutlich günstigere und substanzschonendere (weil unterminierend anwendbare) Versorgungsvariante, die zudem alle ästhetischen Belange abdeckt [17,24,48]. Die aktuelle S1-Leitlinie zu Kompositrestaurationen im Seitenzahnbereich* aus dem Jahre 2016 war zwar nur bis Oktober 2021 gültig, hat aber inhaltlich nichts eingebüßt und verdeutlicht sehr schön die weit gesteckte Bandbreite an Indikationen für direkte Kompositrestaurationen.
Vielleicht ergänzt die inzwischen bereits überfällige Neufassung bzw. Überarbeitung dann endlich auch den Inlayersatz: Dieser ist in der 2016 veröffentlichten Leitlinie nicht enthalten, obwohl das bereits 2 Jahre zuvor veröffentlichte europäische Konsensuspapier zu Seitenzahn-Kompositfüllungen [41] dies explizit beinhaltet. Deswegen gilt der vor 5 Jahren von Prof. Frankenberger geprägte Ausspruch „Composite first – Ceramic second“ [29] mit der Aussage, dass heute im Prinzip kaum mehr etwas für ein Inlay spricht, nach wie vor und ist aktueller denn je.
Auch die aktuelle Meta-Analyse von Heintze et al. [34] aus dem Jahre 2022 konnte nach 10 Jahren gute Überlebensraten von 85 bis 90% dokumentieren. Basis dieser Meta-Analyse war eine Evaluation von 62 klinischen Studien, die in den Jahren 2000 bis 2019 publiziert worden waren. Interessant ist, dass Füllungsfrakturen und Abrasionen mit 70% die Hauptursachen der Versagensgründe darstellten, Randkaries lediglich zu 20%.
Dies zeigt, dass die Anforderungen an die physikalischen Materialqualitäten nach wie vor sehr hoch sind und in diesem Bereich immer noch „room for improvement“ besteht. Deswegen sollten gerade physikalische Eigenschaften wie die mechanische Stabilität von Füllungsmaterialien im Fokus stehen. Der entscheidende Garant dafür, dass ein lichthärtendes Restaurationsmaterial überhaupt in der Lage ist, seine theoretisch möglichen, guten physikalischen Eigenschaften zu erzielen, ist die suffiziente Lichtpolymerisation jedes einzelnen Inkrements und des Adhäsivs.
Nähere Details hierzu sind mannigfaltig publiziert [9,16,19]. Neben der korrekten Anwendung zählen natürlich auch der technische Zustand und die Leistungsfähigkeit des verwendeten Lichtpolymerisationsgerätes [19,20].
Bei der Materialauswahl zur Versorgung eines derartigen, hinsichtlich der Prognose zumindest als „unklar“ einzuschätzenden Befundes sollten demzufolge keine Kompromisse eingegangen werden und auf bewährte, hochqualitative und stabile Medizinprodukte gesetzt werden. Aufgrund der sehr pulpanahen Kavitätentiefe (Abb. 2) wurde bewusst ein selbstkonditionierender Ansatz auf dem Dentin gewählt, um die Pulpa durch eine Phosphorsäureätzung und die damit in Folge nochmals tiefer in Richtung Pulpa reichende, sekundär ausgefüllte Hybridschicht nicht noch weiter „zu ärgern“. Eine Phosphorsäureätzung erfolgte somit ausschließlich an den Schmelzrändern.
Beim Adhäsiv fiel die Wahl im vorliegenden Fall auf das inzwischen bewährte robuste Universaladhäsiv iBond Universal (Kulzer). Als Restaurationsmaterial kam als 1. Schicht im approximalen Kasten und in der erweiterten okklusalen Fissur das hochästhetische, selbst farbadaptierende Bulk-Flow-Komposit Venus Bulk Flow ONE (Kulzer) [26] zur Anwendung. Hier wurde bewusst die mögliche 4-mm-Schichtstärke erst gar nicht ausgereizt und das Material in „gewöhnlicher“ Flow-Schichtstärke von 1 bis 2 mm eingebracht.
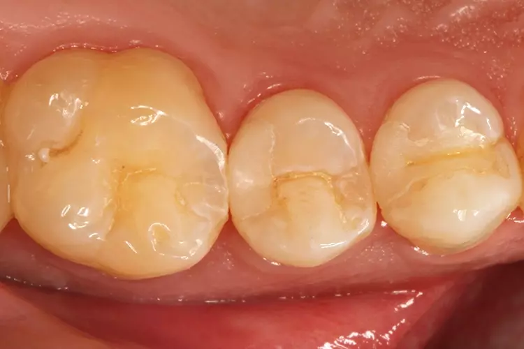
Das Material kombiniert geringe Schrumpfungskräfte mit einer adäquat hohen mechanischen Stabilität, weshalb dieses spezielle Bulk-Flow in der Kavität sogar komplett ohne jegliche okklusale Deckfüllung aus einem pastösen Material auskommen würde (Abb. 3). Venus Bulk Flow ONE beinhaltet dasselbe selbstadaptierende Farbsystem wie das bereits erfolgreich markteingeführte Venus Diamond ONE und Venus Pearl ONE (beide Kulzer) [22–24] und ähnelt in der Anwendung sehr dem bekannten Omnichroma (Tokuyama) [21,25]. Als zusätzliche Deckfüllung kam Venus Pearl (Kulzer) in der selbstadaptierenden Farbe ONE zum Einsatz (Abb. 4).
Prof. Dr. C.-P. Ernst
Prof. Dr. C.-P. Ernst
Venus Diamond bewährt sich inzwischen seit 2009; das nur leicht in der Füllkörpertechnik adaptierte Venus Pearl folgte 2012. Beide sind seitdem hinsichtlich ihrer Kombination aus hoher Biegebruchfestigkeit mit geringen Schrumpfungskräften unübertroffen, die herausragenden Materialeigenschaften sind in diversen Publikationen dokumentiert [3,4,8,10–13,38,39,43,45,50,53–56].
Demzufolge eignet es sich sehr gut in anspruchsvolleren Kavitäten, wie dem Ersatz existierender Inlays. Selbst wenn vom theoretischen Materialaspekt her das Füllungskomposit an sich den geringsten Anteil am Erfolg der adhäsiven Restauration hat [28,42], sollte dem Materialaspekt dennoch eine adäquate Bedeutung zukommen.
Prof. Dr. C.-P. Ernst
Die klinischen Beschwerden waren zwar noch nicht vollständig verschwunden, dafür aber deutlich reduziert. Ein Jahr nach der Neuversorgung gab der Patient in einer telefonischen Konsultation an, dass die Beschwerden nun vollständig abgeklungen sind. Ästhetisch übertrifft die Kombination aus Venus Bulk Flow ONE und Venus Pearl ONE sowohl die vorangegangene als auch die benachbarte Keramikinlayversorgung.
Auf jegliche Art von „indirekten Überkappungsmaßnahmen“ wurde bewusst verzichtet, um eine möglichst große Klebefläche zur internen Stabilisierung zu erzielen. Die volladhäsive, bakteriendichte Versiegelung erschien hier somit den sinnvollsten Pulpaschutz darzustellen. So zeigte beispielsweise eine ältere klinische Studie auch mehr postoperative Beschwerden bei Verwendung einer Unterfüllung im Vergleich zur volladhäsiven Anbindung [44].
Aufgrund einer fehlenden adhäsiven Anbindung zur internen Stabilisierung in der erforderlichen Größenordnung schien z.B. das Einbringen einer Interimsfüllung aus einem hydraulischen Kalziumsilikat-Zement ebenso als zu riskant, falls doch eine nicht detektierte Infraktion vorlag. Der klinische Erfolg gab der gewählten Therapievariante (zumindest in der Kurzzeitbetrachtung nach einem Jahr) recht. Ob die oben angesprochene Therapiealternative genauso erfolgreich oder vielleicht sogar besser gewesen wäre, lässt sich retrospektiv nicht beantworten.
Zumindest ist bei der gewählten Behandlungsform aus jetziger Sicht keine Zweitintervention erforderlich, was für den Patienten neben dem Zeitaspekt auch die Vermeidung eines weiteren, zwar kleinen, aber dennoch vorhandenen Kollateralschadens in Form einer diskreten Kavitätenvergrößerung durch die erforderliche Nachpräparation bedeutete.
Fazit
- Das Keramikinlay ist keine alternative bzw. gar bessere Therapieoption bei Vorliegen klinischer Beschwerden an Kompositrestaurationen.
- Beim Auftreten interventionsbedürftiger Beschwerden macht eine Neuversorgung mit sogar denselben Materialkombinationen mehr Sinn als eine alternative, aufwendigere Versorgung wie mit einem Inlay. Bei Neuversorgungen (selbst gelegter) Füllungen geht man in der Regel im 2. Anlauf umsichtiger und sorgfältiger vor – ein Garant für das nicht wiederholte Auftreten von Anwendungsfehlern.
- Keramikinlayversorgungen können heute als überflüssig angesehen werden: Ihre Anwendung stellt eindeutig eine Überversorgung dar. Auf der anderen Seite darf der Einsatz eines Keramikinlays nicht als falsch deklariert werden; Klasse-II-Kavitäten können grundsätzlich durchaus auch (neben Gold-) mit Keramikinlays versorgt werden. Ob dies medizinisch sinnvoll bzw. erforderlich ist, ist eine andere Frage. Eine dezidierte Materialaufklärung auch im Hinblick auf die entstehenden Versorgungskosten sollte dann aber als selbstverständlich angesehen werden.
- Vom Keramikinlay ist eindeutig die Keramikteilkrone zu differenzieren: Keramikteilkronen sind hocheffektive, klinisch bewährte Versorgungsvarianten, die aus der modernen adhäsiven Zahnheilkunde nicht mehr wegzudenken sind. Keramikteilkronen sind dann indiziert, wenn Höcker eingefasst werden müssen und den Behandelnden die direkte Kompositversorgung dieser Fälle als zu gewagt erscheint.
- Klinische Beschwerden nach Legen direkter Kompositrestaurationen sind in der Regel auf Anwendungs- bzw. Verarbeitungsfehler zurückzuführen. Auch eine suffiziente Lichtpolymerisation zählt hierzu.
- Indirekte, stabilisierende Keramikrestaurationen in Form von Teilkronen bieten sich zur Stabilisierung von Zähnen mit Infraktionen an, sofern eine Wurzelkanalbehandlung noch als vermeidbar angesehen werden kann. Eine Keramikinlayversorgung wäre bei einem Infraktionsbefund mit klinischen Beschwerden eher kontraindiziert.
- Eine suffizient verarbeitete Kompositrestauration stellt heute mehr denn je die Idealversorgung für nicht höckereinfassenden Klasse-II-Läsionen dar. Sie kombiniert als die ökonomischste Versorgungsvariante bei sehr guter Langzeitprognose Behandlungseffizienz mit Stabilität und Ästhetik.
Bildquellen sofern nicht anders deklariert: Unternehmen, Quelle oder Autor/-in des Artikels
Entdecke CME Artikel


![Komplikationsrate bei der Lokalanästhesie nach Daubländer [6].](https://dentalwelt.spitta.de/wp-content/uploads/post_images/Tipp2_Komplikationsrate_LA_in_Prozent.png.webp)


Keine Kommentare.