Praktikabilität und klinische Relevanz des ABS
Das ZahnAbnutzungsBewertungsSystem ist ein Instrument zur Dokumentation der Quantität vorhandener, nicht durch kariöse Einflüsse entstandener Zahnhartsubstanzschäden und reiht sich somit als sehr nützliche klinische und einfach durchzuführende Befunderfassung in die Gruppe der bereits landläufig bekannten und auch generell gebräuchlichen Indices wie beispielsweise API (Approximalraum-Plaque-Index), PSI (Periodontal-Screening- Index), BOP (Bleeding on Probing) und SBI (Sulkus-Blutungs-Index) ein.
Konzipiert und für die tägliche Anwendung in der zahnärztlichen Praxis optimiert wurde das ABS von den niederländischen Zahnärzten und Hochschullehrern Wetselaar und Lobbezoo in den Jahren 2001 bis 2009 [3,17,23]. Für den deutschsprachigen allgemeinzahnärztlichen Leserkreis ist dieser Index erstmalig im Jahre 2017 in der zur interaktiven CME-Selbstschulung gedachten Monografie „Diagnostik der Zahnabnutzung“ des Fortbildungsmedienhauses AkkreDidakt/Prelum vorgestellt worden [24].
Das für die alltägliche Praxis so Hilfreiche des ABS ist, dass primär nicht nur eine einzige Art der möglichen Zahnhartsubstanzabnutzungen bewertet wird [4,8–10,22]. So wird im Gegensatz zur – an sich sehr sinnvollen – BEWE-Klassifikation (Basic Erosive Wear Examination) im grundlegenden Ansatz des ABS keine stringente Fokussierung auf zunächst nur eine spezielle Schadensursache und -ausprägung vorgenommen [18]. Denn der oftmals schleichende Zahnhartsubstanzverschleiß durch Attrition, Abrasion und Erosion zeigt sich nicht immer als eindeutig monokausale Auswirkung [16]. Nicht selten ergeben sich in letztendlicher Konsequenz multifaktoriell bewirkte Zahnschmelz- und Dentindefekte [11–15,20,21]. Mithilfe von 3 „ABS-Quantifizierungsmodulen“ können alle erkennbaren Zahnabnutzungen unkompliziert und schnell einzelzahnmäßig wie auch zahnflächenbezogen erfasst werden.
Die ABS-Quantifizierungsmodule
Zur quantifizierten Erfassung des Zahnverschleißes stehen 3, teils nur im Detail voneinander abweichende Klassifizierungsskalen zur Verfügung:
- 3-Punkte-Skala „Zahnabnutzung sowohl bukkal/labial als auch palatinal/lingual“-Modul
0: keine (sichtbare) Abnutzung
1: sichtbare Abnutzung im Zahnschmelz
2: freiliegendes Dentin - 5-Punkte-Skala „okklusale und inzisale Abnutzung- Screening“-Modul
0: keine (sichtbare) Abnutzung
1: sichtbare Abnutzung im Zahnschmelz
2: freiliegendes Dentin – Verkürzung der klinischen Krone < 1/3
3: Verkürzung der klinischen Krone > 1/3, aber < 2/3
4: Verkürzung der klinischen Krone > 2/3 - 8-Punkte-Skala „Zahnabnutzung detailliert okklusal/ inzisal“-Modul
0: keine (sichtbare) Abnutzung
1a: minimale Abnutzung der Höcker und inzisalen Spitzen (im Zahnschmelz)
1b: zu den normalen Konturflächen parallele Facetten (im Zahnschmelz)
1c: deutliche Abflachung der Höcker und inzisalen Spitzen (im Zahnschmelz)
2: Abnutzung mit Dentinfreilegung und Verkürzung der klinischen Krone < 1/3
3a: Verkürzung der klinischen Krone 1/3 bis 1/2
3b: Verkürzung der klinischen Krone 1/2 bis 2/3
4: Verkürzung der klinischen Krone > 2/3
Das ABS ermöglicht mit diesen 3 Dokumentationsmodulen eine lokalisierte Quantifizierung der im Munde eines Menschen vorliegenden Zahnabnutzungen. Mithilfe eines „Mapping“ kann manifestierter Zahnhartsubstanzverschleiß genauestens zahnflächenbezogen festgehalten werden. Hierdurch kann nicht nur retrospektiv, sondern gerade auch im Rahmen einer prophylaktisch orientierten „überwachenden Betreuung“ eines Patienten aktiv dafür Sorge getragen werden, ob, wie und zu welchem Zeitpunkt eine Ursachenvermeidung der Zahnabnutzungen einzuleiten ist. Darüber hinaus lassen sich Aussagen treffen, wann und mit welchen restaurativen Maßnahmen eine konservierende Wiederherstellung verloren gegangener Zahnhartgewebe vorzunehmen ist.
Das „qualitative“ ABS
AkkreDidakt / Prelum 2017
Fallbeispiele
• Attrition
Nach Wetselaar und Lobbezoo definiert sich „Attrition“ als „mechanische Zahnabnutzung infolge der Funktion und Parafunktion“ und wird durch direkten „Zahn-zu-Zahn-Kontakt“ verursacht [24], was eine sehr weitgefasste Beschreibung für alle durch dynamische sowie statische Okklusionskräfte sich einstellenden Zahnhartgewebeverluste bei Menschen darstellt. So sei in diesem Zusammenhang daran erinnert, dass stressbedingtes Pressen und Knirschen mit den Zähnen mittlerweile nicht selten schon bei Patienten jüngeren bis mittleren Lebensalters fatal destruktive Auswirkungen auf die vertikale maxillomandibuläre Dimension der habituellen statischen (Schlussbiss-) Okklusion verursachen [12,20]. Zusätzlich zu solchen pathologischen Zahnabnutzungen kommen noch die Verschleißerscheinungen an Zähnen, die sich aufgrund des physiologischen Zahnhartsubstanzabtrages durch Kauen und die natürliche dynamische Okklusion bzw. Artikulation einstellen. Bei einer stetig steigenden Anzahl von immer älteren Patienten ist diese die Zahnhartsubstanz beeinträchtigende „natürliche“ Ursache nicht außer Acht zu lassen [1].
Dr. Firla
Dr. Firla
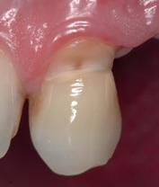
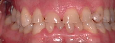
Die Abbildungen 2 und 3 zeigen 2 Beispiele massiver Attrition, teils generell (Abb. 2), teils partiell (Abb. 3), an natürlichen Zahnkronen. Das klassische klinische Bild der mechanischen Abnutzung ist in beiden Fällen klar zu ersehen: Ineinandergreifende Abnutzung antagonistisch okkludierender Zahnflächen, Zahnschmelz und Dentin nutzen sich im gleichen Maß ab, glänzende Facetten, Frakturbereiche von Zahnschmelz. Über die genaue ursächliche Ätiologie des Attritionsgeschehens gibt der Abnutzungsgrad an sich keine differenzierte Auskunft. Hierzu ist das klinische enorale Gesamtbild erforderlich.
• Abrasion
Per definitionem genannter Hochschullehrer stellt die Abrasion eine „mechanische Zahnabnutzung dar, die nicht auf die Funktion oder Parafunktion zurückzuführen ist“, also nicht auf Bruxismus oder ähnlichen Geschehen beruht. Häufigste Ursachen sind die übermäßige Verwendung von (zu) harten Zahnbürsten oder ungeeigneter anderer Hilfsmittel. Aber auch unsachgemäße Pflegetechniken, wie zum Beispiel „horizontal sägendes“ Zähneputzen, tragen nicht unerheblich zur Ausbildung von Abrasionen bei. Nicht selten sind jedoch auch schädliche orale Gewohnheiten sowie enorale Piercings verantwortlich für die Ausprägung solcher Schädigungen.
Dr. Firla
Dr. Firla
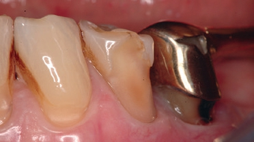
Wie aus den Abbildungen 4 und 5 zu ersehen ist, treten Abrasionen häufig in Prädilektionstellen bzw. -bereichen auf. Putzdefekte meist links, da Rechtshänder (ca. 90% der Menschen sind Rechtshänder) dazu tendieren, auf der kontralateralen Körperseite länger und mit mehr Kraft, sprich Druck, zu putzen als auf ihrer rechten Seite. Auch bei Abrasionen ist die Ätiologie gelegentlich komplex. Der keilförmige Zahnhartsubstanzverschleiß in Abbildung 4 beispielsweise legt die Vermutung nahe, dass auch okklusale Spannungskräfte mitverantwortlich für das Auftreten dieses Schadens sind. Abbildung 5 belegt weiter, dass abrasiver Verschleiß normalerweise in den Zahnhalsbereichen lokalisiert ist, sich in der Zahnhartsubstanz eher breit als tief erstreckt und vor allem an Eckzähnen und Prämolaren zu finden ist [6].
• Erosion
Nach gleicher Quelle definiert, ist eine Erosion eine „chemische Zahnabnutzung aufgrund intrinsischer (Magensäure) oder extrinsischer Stoffe (saure Nahrungsmittel)“. Klinisch imponieren erosive Defekte durch okklusale Kelch-, inzisale Furchen- und/ oder Kraterbildung. Auch Abnutzungen nicht okkludierender Zahnflächen mit „angehobenen“ Restaurationen fallen auf. Eine erhöhte Transluzenz des Zahnschmelzes, aber auch nur glatte, seidig schimmernde bzw. seidig glänzende bis zuweilen sogar matte Zahnoberflächen können auftreten. Besonders augenfällig ist bei ausgeprägten Erosionsschäden das Persistieren eines „Zahnschmelzkragens“ im Sulkus gingivalis eines Zahnes.
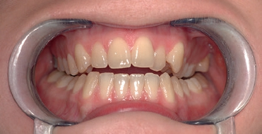
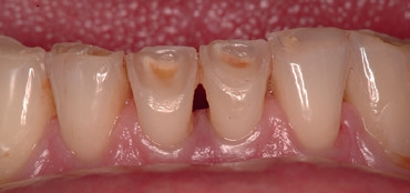
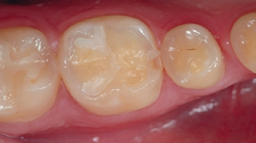
Gerade letztgenanntes Phänomen lässt sich in Abbildung 6 an den dargestellten Frontzähnen klar erkennen. Die erhöhte erosionsbedingte Transluzenz des Zahnschmelzes zeigt sich in der frontalen Übersichtsaufnahme aller Zähne einer jungen Patientin, die sich diese Zahnhartsubstanzveränderung durch einen selbstbestimmten Missbrauch (zu oft und zu intensiv) von Bleaching-Agenzien zugefügt hatte (Abb. 7). Die laut Definition vorkommenden okklusalen Kelche in Zahnhöckern sowie die sich durch die Erosionseffekte über die natürliche Zahnhartsubstanz hinaus erstreckenden Füllungen zeigen sich in der Detailaufnahme eines rechten unteren 1. Molaren und 2. Prämolaren (Abb. 8).
Dr. Firla
Dr. Firla
Dr. Firla
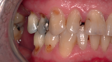
• Mischformen
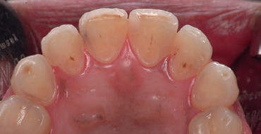
Dass Zahnabnutzungen durchaus häufig in sich überlagernden Ausprägungen vorkommen, ist eine die klinische Diagnostik und Therapie zuweilen schwierig machende Tatsache. So geben die Abbildungen 9 und 10 wieder, dass sich in beiden Fällen abrasive und erosive Verschleißeffekte, teils stark destruktiv, erheblich ergänzen. Das Typische, besonders für erosiv geschädigte Zahnbereiche, ist das nahezu perfekt saubere Erscheinungsbild der beeinträchtigten Areale.
Dr. Firla
Dr. Firla
Das ABS als Indikator für Prävention und Therapie
Das ZahnAbnutzungsBewertungsSystem ist bei der „investigativen“ Diagnostik von großem Nutzen. Häufig sind sich Patienten über ihre Zahnschäden durch Attrition, Abrasion und/oder Erosion nicht bewusst, noch haben sie sich überhaupt Gedanken über das Ausmaß, geschweige denn über die Ursache(n) gemacht, vor allem, wenn das stomatognathe System die eingetretenen Zahnhartsubstanzverluste ohne kollaterale Probleme und schmerzhafte Beschwerden zu kompensieren versucht.
Vergleichbar mit einer „profilenden Tatortanalyse“, stellt die Untersuchung und Dokumentation des Mundraumes mit der Zielsetzung, nichtkariös bedingte Zahnharzsubstanzschäden ausfindig zu machen, gelegentlich durchaus eine detektivische Spurensuche dar [11]. Insbesondere mit Blick auf eine präventive Betreuung von Patienten zur allgemeinen Vermeidung von Zahnverschleißerscheinungen ist daher eine graduierte Dokumentation solcher Schäden sehr hilfreich.
Wetselaar und Lobbezoo empfehlen in ihrer zur CME-Selbstschulung gedachten Monografie „Diagnostik der Zahnabnutzung“ eine intervallweise Wiederholung der Befundungs- und Dokumentationssitzungen [24]. Diese Intervalle sollten nach Ansicht des Autors zum einen vom erkannten Schweregrad der Zahnabnutzungen eines Patienten, zum anderen vom „Gefährdungsgrad“ des betreffenden bzw. betroffenen Menschen abhängig gemacht werden. Und stets mit exaktem Bezug und unter genauer Berücksichtigung der Ursache der Zahnhartsubstanzabnutzung. So lassen sich in schon mehrfach dokumentierten „unproblematischen“ Fällen Zeitabstände von 1 bis sogar 2 Jahre denken. Bei Jugendlichen aber, beispielsweise mit – anamnestisch und/oder klinisch – nachweislicher Gefährdung, durch „Energy- bzw. Soft-Drink-Abusus“ Erosionsschäden zu erleiden, sollte eine quantifizierte/qualitative Dokumentation gegebenenfalls vorliegender Zahnhartsubstanzverluste jedoch sogar mit den üblicherweise halbjährlich stattfinden Routinekontrollen erfolgen. Gleiches gilt für zu befürchtende oder schon im Ansatz ersichtliche, durch Abrasion bewirkte „Putzdefekte“ aufgrund unsachgemäßer Mundhygienetechniken sowie ungeeigneter Pflegehilfsmittel. Aber auch gewohnheitsmäßig betriebene „Malhabits“, wie etwa Fingernägelbeißen, Bleistiftkauen oder auch Pfeifen- und E-Zigaretten-Rauchen mittels interokklusal gehaltener Mundstücke, geben Anlass dazu, das etwaige Eintreten bzw. das Vorhandensein sowie letztendlich das Fortschreiten von manifesten Zahnhartsubstanzabnutzungen mithilfe des ABS zu überwachen. Nicht zuletzt sollte auch das „Timing“ des Zähneputzens in ein präventives, den Patienten betreuendes Zahnabnutzungsmonitoring mit einbezogen sein. Denn vor oder nach dem Essen Zähne zu putzen, kann in bedeutendem Maße von der Art der zu sich genommenen Speisen und Getränken abhängig gemacht werden.
Ein weiterer Vorteil des ABS ist, dass mit seiner Hilfe der Zeitpunkt für eine therapeutische Intervention des nichtkariös verursachten Zahnverschleißes stimmig festgelegt werden kann [9]. Denn auch wenn der ABS keine Aussagen über die intrinsischen und/oder extrinsischen Ursachen der Zahnabnutzung gibt, so ermöglicht er mit Blickrichtung auf die differenzierende Erkennung und die Bewertung des Ausmaßes des Zahnhartsubstanzverlustes dennoch eine genau nachvollziehbare Auskunft, wann und an welchen Zähnen restaurative Maßnahmen zu beginnen haben. Denn progrediente oder pathologische Zahnhartsubstanzverluste können durch Anwendung des ABS nicht übersehen werden.
Fazit
Das ZahnAbnutzungsBewertungsSystem ist ein praktischer und klinisch einfach anzuwendender Index für die Diagnose, Dokumentation und Behandlungsplanung von Patienten mit erosions-, attritions- und/oder abrasionsbedingten Zahnhartsubstanzverlusten. Anhand einer 3-, 5- und 8-Punkte-Skala lassen sich inzisale, okklusale, bukkale und palatinale Abnutzungen von Zahnschmelz und Zahnbein exakt quantifizieren.
Insbesondere die Möglichkeit, auch anfänglich noch unscheinbare multifaktoriell verursachte Zahnhartsubstanzdefekte oben genannter Art gemäß ihrer Lokalisation und Quantität genauestens zu erfassen, macht das ABS zu einem ausgesprochen nützlichen Instrument, die wirksame Vorsorge oder zielgerichtete Maßnahmen zur Vermeidung des Fortschreitens von Verschleißerscheinungen an natürlichen Zahnkronen zweifelsfrei zu überwachen.
Weitere Informationen:
Interessierte an dem ABS-System sowie an CME-Fortbildungsprogrammen von AkkreDidakt/Prelum finden weitere Informationen auf www.akkredidakt.de
Bildquellen sofern nicht anders deklariert: Unternehmen, Quelle oder Autor/-in des Artikels
Entdecke CME Artikel





Keine Kommentare.