Allogene Knochenblöcke erweisen sich gerade als Alternative zu autologen Transplantaten, da das Risiko durch eine weitere OP an der Entnahmestelle entfällt. Der Behandler muss sich in diesen Fällen allerdings an den jeweiligen Stand der Regeneration anpassen, deren Verlauf auch aufgrund des Risikofaktors Nikotin nicht immer genau vorhersagbar ist. Zudem muss gewährleistet werden, dass der Patient stets provisorisch so versorgt sein muss, dass er gesellschafts- und arbeitsfähig bleibt.
Der Patientenfall
Ein 53-jähriger männlicher Patient, Raucher mit einem durchschnittlichen Zigarettenkonsum von 15 bis 20 Zigaretten pro Tag, stellte sich 2013 in unserer Praxis mit einer konservierend und prothetisch anbehandelten Gebisssituation mit Schaltlücke im linken Oberkieferseitenzahnbereich vor. Durch umfangreiche parodontale, chirurgische und augmentative sowie implantologische Maßnahmen konnte der kompromittierte Zustand im Jahr 2020 rehabilitiert werden. Ausschlaggebend für die letztlich erfolgreiche nachhaltig angelegte Therapie war unter anderem die Transplantation eines allogenen Knochenblocks mit anschließender Implantation.
Anamnese
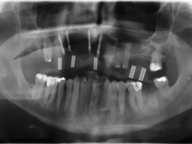
Der Patient war über mehrere Jahre nur unregelmäßig in zahnärztlicher Behandlung gewesen. Aufgrund seiner berufsbedingten zeitlichen Beschränkungen wollte er eine umfangreiche Sanierung seines Gebisszustandes so lange wie möglich hinauszögern. Im Jahr 2008 war zwar eine geschlossene, an eine mikrobiologische Keimanalysenauswertung angelehnte, adjuvante Antibiotikatherapie und Kürettage erfolgt, eine regelmäßige unterstützende Parodontitis-Therapie (UPT) konnte der Patient allerdings nicht einhalten. Im Jahr 2013 führte ihn die Fraktur des apikal beherdeten Zahnes 17 in die oralchirurgische Praxisklinik (Abb. 1 und 2).
Dr. Simone Esser
Dr. Simone Esser
Befund und Therapie
Dr. Simone Esser
Präoperative Überlegungen und Planungen
Nach dem Entfernen der insuffizienten Versorgung von 14 auf 22, stellten sich die Zähne 14, 13, 21 und 22 als nicht erhaltungswürdig heraus. Präoperativ wurde ein Eierschalenprovisorium gefertigt, welches im März 2015 auf den Zähnen 15 und 23 sowie auf temporären Implantaten regio 013, 014, 021 und 022 (Bone Trust® mini, Medical Instinct, Bovenden) intraoperativ angepasst und verankert werden sollte (vgl. Abb. 8-13). Im Verlauf des Eingriffs, bei dem die genannten Zähne operativ entfernt wurden, zeigten sich ausgedehnte radikuläre Zysten, die mit einer Resorption der vestibulären Knochenlamelle einhergingen und ektomiert werden mussten (Abb. 4-6).
Dr. Simone Esser
Dr. Simone Esser
Dr. Simone Esser
Dr. Simone Esser
Dr. Simone Esser
Dr. Simone Esser
Dr. Simone Esser
Dr. Simone Esser
Dr. Simone Esser
Dr. Simone Esser
Dr. Simone Esser
Auf dieser Grundlage ergab sich der folgende Behandlungsplan:
- Juli 2018: Transplantation eines durch digitalisierte Planung individuell an die Defektregion des Patienten angepassten allogenen Knochenblocks (Abb. 15).
- Januar 2019: Insertion von definitiven Implantaten im allogenen Knochenblocktransplantat regio 015, 013,021,022 sowie direkter Sinuslift regio 026 und 027.
- Juni 2019: Operative Freilegung 015, 013, 021, 022 und Implantation regio 026, 027.
- Februar-März 2020: Freilegung regio 026, 027, prothetische Versorgung des Oberkiefers, Implantation 037.
Dr. Simone Esser
Operationsprotokoll I – Juli 2018
Im Juli 2018 erfolgte in Intubationsnarkose die Präparation eines vestibulären Schleimhaut-Periostlappens durch vertikale Entlastungen distal von 15 und mesial von 21. Die Inzisionen wurden tief im Vestibulum verbunden, um das Dehiszenzrisiko zu minimieren. Eine dritte Inzision wurde regio 023 angelegt, um hier eine Tunnelierungstechnik zu ermöglichen, die eine Einheilung des Transplantats optimieren sollte. Eine komplette Tunnelierung des Transplantatbettes war aufgrund der Größe des Allografts nicht möglich (Abb. 16).
Dr. Simone Esser
Dr. Simone Esser
Dr. Simone Esser
Dr. Simone Esser
Zeitgleich wurde das allogene Knochenblocktransplantat (Puros Allograft Patientenindividueller Block, Zimmer Biomet Dental, München) mit NaCl vorbereitet (Abb. 17 und 18). Das Material, aus dem die individuellen Knochenblöcke hergestellt werden, ist ausschließlich aus Lebendspenden gewonnene und aufbereitete humane Spongiosa (vgl. Würzler, 2015) [1].
Dr. Simone Esser
Dr. Simone Esser
Der Knochenblock, dessen teilweises Einbringen in den Tunnel sich aufgrund seiner Größe als diffizil gestaltete, wurde mit Osteosyntheseschrauben (Ustomed Instrumente, Tuttlingen) fixiert (Abb. 19 und 20) und kleine Unebenheiten und Nischen zum Alveolarkamm zusätzlich mit partikulärem allogenen Ersatzmaterial ausgeglichen (Puros Allograft Spongiosa Partikel, Zimmer Biomet Dental). Die Transplantatregion wurde mit einer resorbierbaren Kollagenmembran von 30 mm x 40 mm (CopiOs Pericardium Membran, Zimmer Biomet Dental) abgedeckt und mit 2 Titanpins (Ustomed Instrumente) fixiert (Abb. 21). Es folgte ein spannungsfreier Nahtverschluss mittels 31 resorbierbarer Nähte (Glycolon ® 6/0, Resorba, Nürnberg).
Dr. Simone Esser
Dr. Simone Esser
Dr. Simone Esser
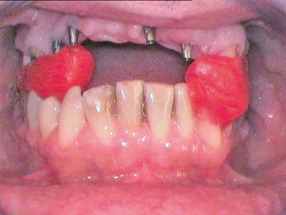
Geplant war, dass die temporären Implantate während der Einheilzeit des Knochenblocks belassen werden können, um die augmentierten Regionen vor mechanischer Belastung zu schützen. Entgegen dieser ursprünglichen Planung mussten sie jedoch aufgrund der ausgedehnten vertikalen Augmentation von crestal ca. 3 mm entfernt werden. Eine druckfreie Einheilung des Augmentats war dennoch gewährleistet, da das Langzeitprovisorium metallverstärkt war und auch auf den natürlichen Zähnen 16 und 23-25 durch die Geschiebekonstruktion und durch das Ausschleifen an der Basis spannungsfrei fixiert werden konnte (Abb. 8-13). Eine perioperative antiinfektiöse Therapie erfolgte mit einer intravenösen Gabe von 600 mg Clindamycin, gefolgt von Clindamycin 600 mg 1-1-1 oral über 10 Tage postoperativ. Sechs Wochen postoperativ ließ sich bereits klinisch die Ausrundung des OK-Bogens durch das Knochenblocktransplantat erkennen (Abb. 23).
Operationsprotokoll II – Januar 2019
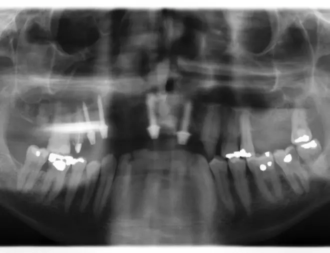
Nach sechsmonatiger Einheilzeit des Augmentats (Abb. 22 und 23) erfolgte im Januar 2019 das Re-Entry (Abb. 24). Die Mikrofixturen/Osteosyntheseschrauben wurden entfernt und vier definitive Implantate (T3, Zimmer Biomet Dental) mit einem Drehmoment von 30 Ncm nach vorherigem Gewindeschneiden (Abb. 25) inseriert: regio 015 (4,0 mm x 13 mm; simultaner direkter Sinuslift), 013 (4,0 mm x 13 mm), 021 (4,0 mm x 13 mm), 022 (3,25 mm x 13 mm). Der Knochenblock zeigte eine gute Osseointegration und Vaskularisierung, lediglich in regio 012 war er leicht gelockert, jedoch periostal gestielt (Abb. 26).
Dr. Simone Esser
Dr. Simone Esser
Dr. Simone Esser
Dr. Simone Esser
Dr. Simone Esser
Gaps wurden mit Allograft Spongiosa aufgefüllt und mit einer resorbierbaren CopiOs Membran von 20 mm x 30 mm abgedeckt (Abb. 28). In regio 015 erfolgte ein direkter Sinuslift mit Augmentation von allogenen Knochenpartikeln (Puros Allograft Spongiosa Partikel, Zimmer Biomet Dental), gemischt mit Eigenknochen aus dem Knochenfilter. Ebenso erfolgte in regio 026, 027 ein direkter Sinuslift mit Augmentation mittels Puros Allograft Spongiosa und Eigenknochen aus dem Knochenfilter. Aufgrund der stark reduzierten crestalen Restlamelle und der Ausdehnung des Sinus (Abb. 27) wurde hier die Entscheidung zum zweizeitigen Implantationsvorgehen getroffen. Abgedeckt wurde regio 026, 027 mit einer resorbierbaren Bio-Gide Compressed Membran (Geistlich Biomaterials), die mit 2 Titanpins fixiert wurde (Abb. 28).
Dr. Simone Esser
Dr. Simone Esser
Dr. Simone Esser
Dr. Simone Esser
Operationsprotokoll III – Juni 2019
Dr. Simone Esser
Operationsprotokoll IV – Februar 2020 bis März 2020
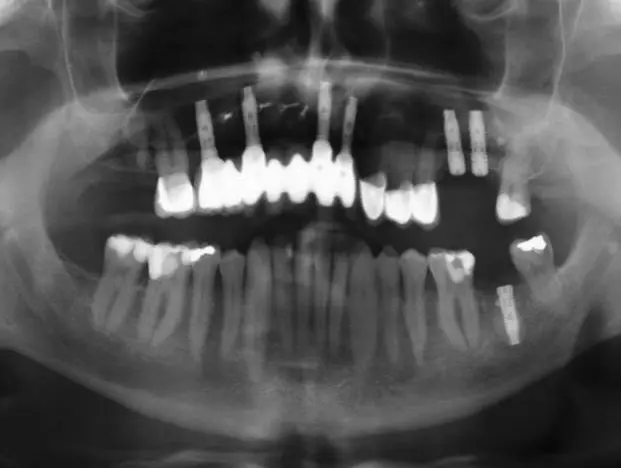
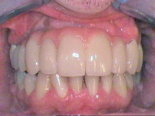
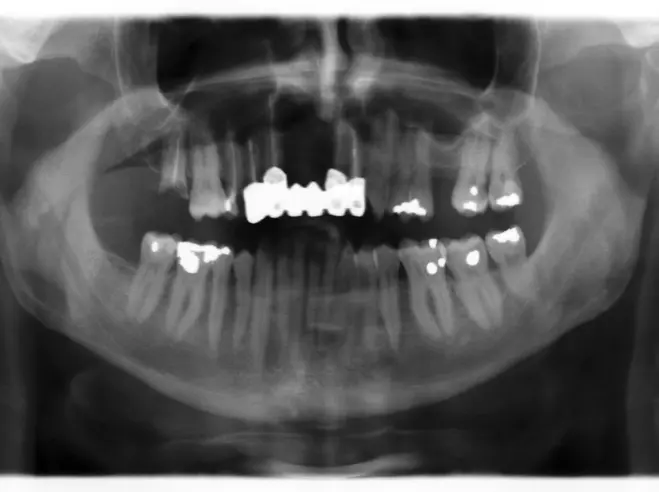
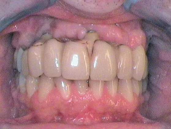
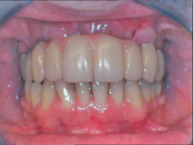
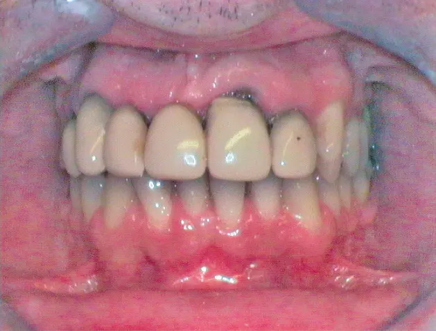
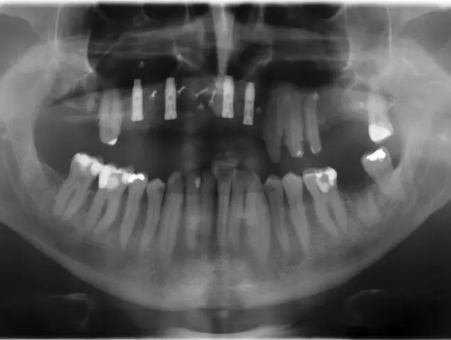
Nach Freilegung der Implantate regio 026,027 im Februar 2020, bei der auch die Implantation regio 037 (T3, Zimmer Biomet Dental, 4,0 mm x 13,0 mm) vorgenommen wurde (Abb. 32 OPG nach Freilegung), erfolgte im März nach Abformung mit offenem Löffel (open tray technique) und Gesichtsbogenregistrat die prothetische Versorgung mittels CAD/CAM gefräster Abutments (Dentaltechnik Hessel und Lutgen, Trier) und transversal verschraubter, verblockter VMK-Kronen (Abb. 33-36). Die Freilegung und Versorgung des Implantates 037 ist zusammen mit der Entfernung des Zahnes 38 für Juli 2020 geplant.
Dr. Simone Esser
Dr. Simone Esser
Dr. Simone Esser
Dr. Simone Esser
Dr. Simone Esser
Dr. Simone Esser
Diskussion
Der vorliegende Patientenfall zeigt die Herausforderungen, denen wir im Alltag als Behandler ausgesetzt sind: Patienten mit einem umfangreichen Sanierungsbedarf und gleichzeitigen Risikoparametern wie Nikotinabusus, Stresskomponenten durch berufliche Belastung sowie zeitlichen Einschränkungen. Den angeblichen Kontraindikationen für eine implantologische, vor allem mit Augmentationsbedarf einhergehenden Sanierung müssen wir uns daher immer wieder neu stellen.
Levin und Schwartz-Arad [2] stellen fest, dass beim Rauchen einer Zigarette nahezu 400 verschiedene Gase freigesetzt würden, darunter Kohlenmonoxid, Kohlendioxid und Stickstoff. Daher gehe mit dem Rauchen eine höhere Komplikationsrate bei Augmentation und Implantationen einher. Bonfante et al. [3] kommen zu dem Schluss, dass Nikotin den frühen Heilungsprozess von autologen Knochenblöcken in Ratten gefährdet, ihn aber nicht verhindert. Zieht man das Ergebnis von Kloss et al. [4] hinzu, dass ähnliche Resorptionsraten bei autologen und allogenen Transplantation festgestellt werden können, kann der vorliegende Patientenfall nur ermutigen, auch komplexe Sanierungsfälle bei Rauchern anzugehen.
Letztgenannte Autoren berichten zudem, dass nach einer Einheilzeit von sechs Monaten 30 % neue Knochenformationen in allogenen Knochenblöcken gefunden werden konnten. Per definitionem handelt es sich bei Allografts um ein Knochenersatzmaterial, welches hinsichtlich Struktur und Zusammensetzung am ehesten dem Eigenknochen entspricht, andererseits aber auch die Vorteile der Knochenersatzmaterialien (osteogen, osteoinduktiv, osteokonduktiv und volumenstabil) mit sich bringt (vgl. Rutkowski, Gosau, Smeets) [5]. Hinzu kommt die fehlende Entnahmemorbidität im Vergleich zum autologen Transplantat und die unbegrenzte Verfügbarkeit des allogenen Materials (Al-Nawas, Schiegnitz) [6].
Fazit
Es spricht nichts dagegen, auch Patienten mit Risikofaktoren wie Stress und Rauchen zu augmentieren und implantieren. Unerlässlich für den Erfolg der Therapie sind allerdings eine umfassende Aufklärung und Compliance des Patienten sowie die Bereitschaft von Patient und Behandler, nach den einzelnen Etappen der Behandlung das Therapiekonzept immer wieder an das jeweilige Ergebnis anzupassen.
Bildquellen sofern nicht anders deklariert: Unternehmen, Quelle oder Autor/-in des Artikels
Entdecke CME Artikel






Keine Kommentare.