Anzeige

Allgemeine Zahnheilkunde

Diastemaschluss in Adhäsivtechnik

Bei ästhetischen Korrekturen wie z.B. einem Diastema, bei dem der Abstand der Inzisiven sehr breit ist, stellt die direkte Kompositrestauration eine substanzschonende, effiziente und kostengünstige Behandlungsmethode dar. Nachfolgend wird die Vorgehensweise anhand eines Patientenfalls detailliert beschrieben. Der Fokus wird unter anderem auf effektive Hilfsmittel und bestimmte Techniken gelegt, die auf das harmonische und natürliche Endergebnis entscheidend Einfluss nehmen.

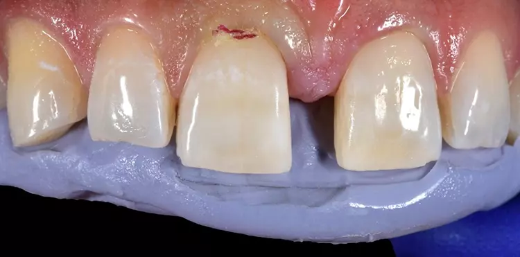
Abb. 1: Frontale Ansicht des anterioren Bereichs. Breite interdentale Lücke
zwischen den Inzisiven, konkaver Inzisalkantenverlauf. Krueger-Janson
Abb. 1: Frontale Ansicht des anterioren Bereichs. Breite interdentale Lücke zwischen den Inzisiven, konkaver Inzisalkantenverlauf.
Abb. 1: Frontale Ansicht des anterioren Bereichs. Breite interdentale Lücke zwischen den Inzisiven, konkaver Inzisalkantenverlauf.

Im vorliegenden Fall schien der ästhetische Lückenschluss des Diastema mediale insofern als besonders problematisch, weil der Abstand zwischen den Inzisiven sehr breit war, die beiden seitlichen Schneidezähne inzisale Gebrauchspuren aufwiesen und distal eine Lücke zum Eckzahn zu sehen war. Darüber hinaus zeigten die mesialen Führungsflächen der Eckzähne scharfe Abrasionskanten und der Inzisalkantenverlauf ließ ein lateroprotrusives Habit vermuten (Abb. 1 bis 3).

Abb. 2: Laterale Ansicht. Krueger-Janson
Abb. 2: Laterale Ansicht.
Abb. 3: Laterale Ansicht. Krueger-Janson
Abb. 3: Laterale Ansicht.

Mock-up und Silikonschlüssel für die Planung und Umsetzung

Für die Planung und Analyse der zu rekonstruierenden Funktionsflächen und die Gestaltung natürlich wirkender Proportionen eignet sich insbesondere die Erstellung eines Mock-up (Abb. 4). Dafür wird Komposit in einer opaken Dentinfarbe auf die trockene Zahnsubstanz aufgetragen und nach morphologischen Kriterien weitgehend modelliert und ausgehärtet. Anschließend kann das Funktionsmuster einer Front-Eckzahnführung von palatinal eingeschliffen werden (Abb. 5).

Abb. 4: Herstellung des Mock-up (Frankfurter Verschalung).
Interdental werden die Lücken geschlossen.
Die Zahnlänge wird mit einer durchschnittlichen
Länge von 10 bis 12 mm gestaltet und die
lateralen Schneidezähne proportionsgemäß angepasst.
Die Eckzähne werden palatinal aufgebaut
und nach inzisal verlängert. Krueger-Janson
Abb. 4: Herstellung des Mock-up (Frankfurter Verschalung). Interdental werden die Lücken geschlossen. Die Zahnlänge wird mit einer durchschnittlichen Länge von 10 bis 12 mm gestaltet und die lateralen Schneidezähne proportionsgemäß angepasst. Die Eckzähne werden palatinal aufgebaut und nach inzisal verlängert.
Abb. 5: In der Ansicht von palatinal wird der
Lückenschluss so gestaltet, dass die spätere
Konstruktion der Flächen- und Formbestandteile
erleichtert wird. Krueger-Janson
Abb. 5: In der Ansicht von palatinal wird der Lückenschluss so gestaltet, dass die spätere Konstruktion der Flächen- und Formbestandteile erleichtert wird.

Ein Silikonschlüssel dient als Hilfsmittel, um die erarbeiteten Informationen für die spätere Anfertigung nutzen zu können. Für die Herstellung wird Silikon von palatinal gegen die Zähne gedrückt, 2 Watterollen im dorsalen Bereich zwischen die Zahnreihen gelegt und der Patient gebeten, den Mund zu schließen. Durch das Einbeissen des Unterkiefers entstehen Impressionen, die für das spätere Fixieren des Silikonschlüssels sehr hilfreich sind.

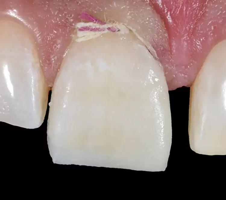
Abb. 6: Nach Legen des Retraktionsfadens der
Stärke II wird die Zahnoberfläche an 11 im mesialen
und inzisalen Drittel mit Pulverstrahl (50 μm)
gereinigt. Insuffiziente Schmelzanteile sowie
kolorierte Impaktierungen werden entfernt. Krueger-Janson
Abb. 6: Nach Legen des Retraktionsfadens der Stärke II wird die Zahnoberfläche an 11 im mesialen und inzisalen Drittel mit Pulverstrahl (50 μm) gereinigt. Insuffiziente Schmelzanteile sowie kolorierte Impaktierungen werden entfernt.
Nach Entfernung des Mock-ups werden die Zahnoberflächen mit Pulverstrahl oder alternativ mit einem diamantierten Metallstreifen gereinigt (Abb. 6) und der Zahn mit iBOND Universal, Kulzer, gemäß den Herstellerangaben konditioniert. Für das weitere Prozedere wird der angefertigte Silikonschlüssel verwendet, der zuvor auf spannungsfreien Sitz überprüft wurde (Abb. 7). Zunächst wird das opake dentinfarbene Venus Pearl OLC Komposit, Kulzer, in den Silikonschlüssel eingebracht und dieser anschließend gegen die Palatinalflächen der Zähne gedrückt (Abb. 8).
Abb. 7: Der Silikonschlüssel wird auf spannungsfreien
Sitz überprüft und die Gestaltungsmöglichkeit einer
dreidimensionalen Zahnstruktur im mesialen Bereich
beurteilt. Krueger-Janson
Abb. 7: Der Silikonschlüssel wird auf spannungsfreien Sitz überprüft und die Gestaltungsmöglichkeit einer dreidimensionalen Zahnstruktur im mesialen Bereich beurteilt.
Abb. 8: Dentinfarbenes, opakes Komposit
(Venus Pearl OLC) wird gemäß den Vorgaben
des Mock-ups in Position gebracht. Krueger-Janson
Abb. 8: Dentinfarbenes, opakes Komposit (Venus Pearl OLC) wird gemäß den Vorgaben des Mock-ups in Position gebracht.

Abb. 9: Ein Klarsichtstreifen wird im Sulkus positioniert.
Eine Verdrängung der mesialen Papille ist sichtbar.
Eine Öffnung des subgingivalen Bereichs ist
ebenfalls erfolgt. Krueger-Janson
Abb. 9: Ein Klarsichtstreifen wird im Sulkus positioniert. Eine Verdrängung der mesialen Papille ist sichtbar. Eine Öffnung des subgingivalen Bereichs ist ebenfalls erfolgt.
Der Überschuss wird inzisal entfernt und mesial das Material mittig positioniert, aber der zervikale Bereich noch ausgespart. Dafür wird ein Klarsichtstreifen um den Zahn von palatinal bis auf Höhe des Retraktionsfadens in den Sulkus geschoben und mit dem Silikonschlüssel fixiert. Die mesiale Papille wird durch die Verdrängung leicht anämisiert (Abb. 9).

Streifentechnik für ein natürliches Emergenzprofil

In diesen geöffneten subgingivalen Bereich wird nun eine Schicht Venus Flow OM, Kulzer, aufgetragen und mit der Sondenspitze blasenfrei an die Zahnsubstanz adaptiert (Abb. 10). Durch leichten Zug am Streifen kann die mesiale Approximalfläche ausgeformt werden. Es entsteht eine primäre Verschalung, die als Hilfe für den folgenden interdentalen Aufbau mit Venus Pearl OLC, Kulzer, genutzt werden kann (Abb. 11).

Abb. 10: Der geöffnete Bereich wurde mit Venus
Bulk Flow ONE aufgefüllt und der Streifen zur
Gestaltung der mesialen Kontur mit einer Pinzette
in die gewünschte Position gebracht. Krueger-Janson
Abb. 10: Der geöffnete Bereich wurde mit Venus Bulk Flow ONE aufgefüllt und der Streifen zur Gestaltung der mesialen Kontur mit einer Pinzette in die gewünschte Position gebracht.
Abb. 11: Komposit Venus Pearl A2 wird in die Verschalung
(Abb. 8) eingebracht und an die Zahnoberfläche
im mesialen und inzisalen Bereich adaptiert. Krueger-Janson
Abb. 11: Komposit Venus Pearl A2 wird in die Verschalung (Abb. 8) eingebracht und an die Zahnoberfläche im mesialen und inzisalen Bereich adaptiert.

Zur weiteren Gestaltung wird der Streifen erneut um die mesiale Kontur gelegt und sollte subgingival unterhalb der bereits applizierten Kompositschicht positioniert werden (Abb. 12). Nachdem das Material aufgetragen und die mesiale Zahnfläche gemäß der Streifentechnik ausmodelliert wurde, ist final eine natürliche und anatomisch korrekte Zahnform entstanden (Abb. 13). Nach der gleichen Vorgehensweise erfolgt auch der Aufbau des Zahnes 21: Erneut wird der transparente Streifen um den Zahn gelegt, das Komposit auf die mesiale Kontur aufgebracht, der Streifen nach palatinal mobilisiert und die Approximalfläche des Zahnes 21 ausgeformt.

Abb. 12: Zur weiteren Gestaltung wird der Streifen
um den mesialen Bereich im Sulkus positioniert. Krueger-Janson
Abb. 12: Zur weiteren Gestaltung wird der Streifen um den mesialen Bereich im Sulkus positioniert.
Abb. 13: Nach Materialauftrag und Ausformung
der mesialen Kontur mittels Streifentechnik ist eine
runde, anatomisch adäquate Form entstanden. Krueger-Janson
Abb. 13: Nach Materialauftrag und Ausformung der mesialen Kontur mittels Streifentechnik ist eine runde, anatomisch adäquate Form entstanden.

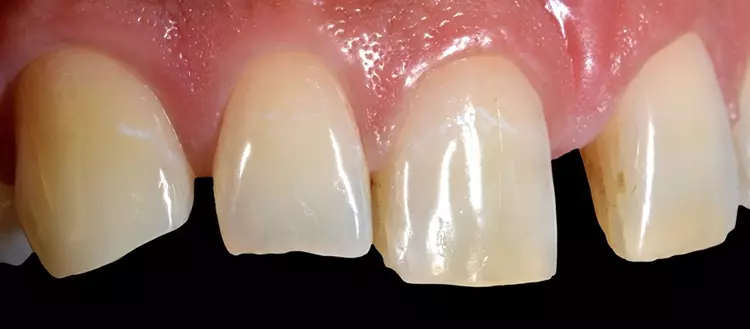
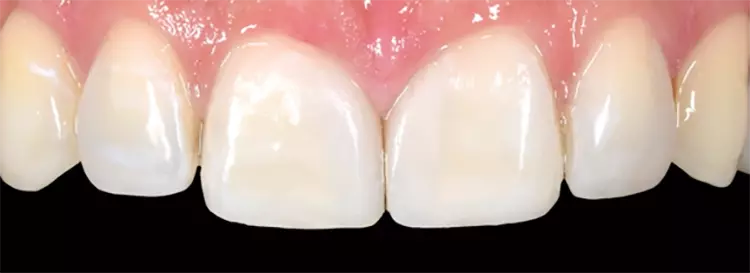
Abb. 14: Das geschlossene Diastema mediale.
Es sind natürlich proportionierte Zahnformen
entstanden. Die Papille hat eine natürliche Position
eingenommen Krueger-Janson
Abb. 14: Das geschlossene Diastema mediale. Es sind natürlich proportionierte Zahnformen entstanden. Die Papille hat eine natürliche Position eingenommen
Neben einem anatomisch geformten Kontaktpunkt ist auch hier eine rundliche mesiale Kontur entstanden, die keiner wesentlichen Ausarbeitung bedarf (Abb. 14). Der mesiale Lückenschluss ist erfolgt. Die vestibulären Flächen wurden mit einem oszillierenden Winkelstück (EVA KaVo) ausgearbeitet und die Retraktionsfäden entfernt.

Bereits in diesem initialen Stadium hat sich die Papille dank der atraumatischen subgingivalen Adaption des Komposits dem neu geschaffenen Emergenzprofil reizlos angelegt. Nach dem Diastemaschluss folgte der Aufbau der lateralen Zahnbereiche. 

Abb. 15: Öffnung des distalen Korridors mit
passiver gingivaler Verdrängung durch den
Klarsichtstreifen. Krueger-Janson
Abb. 15: Öffnung des distalen Korridors mit passiver gingivaler Verdrängung durch den Klarsichtstreifen.
Im Folgenden wird die Vorgehensweise exemplarisch am Zahn 12 demonstriert: Wie zuvor wird ein Klarsichtstreifen palatinal um den Zahn gelegt und so positioniert, dass er im distalen Sulkus zum Liegen kommt. Durch den Biss des Patienten auf den Silikonschlüssel wird der Streifen fixiert und der distale Kontaktpunktbereich geöffnet (Abb. 15). Durch die Verdrängung wird die Papille leicht anämisiert.

Nach Konditionierung der Zahnflächen wird Venus Bulk Flow ONE in den geöffneten Bereich zwischen Zahn und Streifen appliziert (Abb. 16a und b). Alternativ kann auch Diamond Flow OM verwendet werden, da es sich der Umgebungsfarbe anpasst.

Abb. 16a: Der Streifen wurde mit der Sondenspitze
gegen den Silikonschlüssel gedrückt und Venus Bulk
Flow ONE in den geöffneten Bereich eingebracht. Krueger-Janson
Abb. 16a: Der Streifen wurde mit der Sondenspitze gegen den Silikonschlüssel gedrückt und Venus Bulk Flow ONE in den geöffneten Bereich eingebracht.
Abb. 16b: Nach Entnahme der Hilfsmittel
präsentiert sich ein stabiler Aufbau mit einem
primärem interdentalen Kontaktpunkt. Krueger-Janson
Abb. 16b: Nach Entnahme der Hilfsmittel präsentiert sich ein stabiler Aufbau mit einem primärem interdentalen Kontaktpunkt.

Als Nächstes wird ein dentinfarbenes festes Komposit gemäß der Krümmung an den Zahn aufgetragen (Abb. 17). Die weitere distale Gestaltung erfolgt mit einem weißlich transluzenten Komposit, welches mithilfe der bereits beschriebenen Streifentechnik appliziert wird (Abb. 18).

Abb. 17: Der Streifen wurde erneut interdental
positioniert und ein dentinfarbenes pastöses
Komposit (Venus Pearl OLC) formgebend aufgetragen.
Zur weiteren Gestaltung der distalen
Krümmung wurde ein helles schmelzfarbenes
Material aufgetragen und mittels Streifentechnik
konturiert. Krueger-Janson
Abb. 17: Der Streifen wurde erneut interdental positioniert und ein dentinfarbenes pastöses Komposit (Venus Pearl OLC) formgebend aufgetragen. Zur weiteren Gestaltung der distalen Krümmung wurde ein helles schmelzfarbenes Material aufgetragen und mittels Streifentechnik konturiert.
Abb. 18: Zustand direkt nach der Anfertigung und Entnahme der Retraktionsfäden.
Die gingivalen Verhältnisse sind unauffällig und wirken nach Gestaltung
des interdentalen Emergenzprofils wenig strapaziert. Krueger-Janson
Abb. 18: Zustand direkt nach der Anfertigung und Entnahme der Retraktionsfäden. Die gingivalen Verhältnisse sind unauffällig und wirken nach Gestaltung des interdentalen Emergenzprofils wenig strapaziert.

Ergebnisoptimierung mittels Cut-back-Technik

Bei der Kontrolle nach 1,5 Wochen zeigte sich eine farbliche Diskrepanz zwischen den Aufbauten und der Dentinfarbe, die den Patienten störte (Abb. 19 und 20). Im Sinne einer Reparatur wurde mittels Cut-back-Technik die Reduzierung der kolorierten Areale vorgenommen (Abb. 21 und 22). Der ausgeschliffene Bereich wurde zur Schaffung mikroretentiver Strukturen mit Pulver abgestrahlt, die beschliffenen Schmelzanteile mit Ätzgel weiter konditioniert und nach dem Auftragen des iBOND Universaladhäsivs der Bereich mit einer Mischung 2er Flowfarben, Venus Diamond Flow, Kulzer, aufgefüllt.

Abb. 19: Kontrolle nach 2 Wochen: Eine physiologische Integration in die gingivalen Strukturen wurde ermöglicht, das Gewebe hat sich reizlos adaptiert. Die
Proportionen untereinander sind ausgeglichen, die farbliche Anpassung ist jedoch insuffizient. Die Übergänge sind sichtbar und im inzisalen Drittel tritt die gelbliche
Dentinfarbe deutlich hervor. Krueger-Janson
Abb. 19: Kontrolle nach 2 Wochen: Eine physiologische Integration in die gingivalen Strukturen wurde ermöglicht, das Gewebe hat sich reizlos adaptiert. Die Proportionen untereinander sind ausgeglichen, die farbliche Anpassung ist jedoch insuffizient. Die Übergänge sind sichtbar und im inzisalen Drittel tritt die gelbliche Dentinfarbe deutlich hervor.
Abb. 20: Kontrolle nach 2 Wochen: Eine physiologische Integration in die gingivalen Strukturen wurde ermöglicht, das Gewebe hat sich reizlos adaptiert. Die
Proportionen untereinander sind ausgeglichen, die farbliche Anpassung ist jedoch insuffizient. Die Übergänge sind sichtbar und im inzisalen Drittel tritt die gelbliche
Dentinfarbe deutlich hervor. Krueger-Janson
Abb. 20: Kontrolle nach 2 Wochen: Eine physiologische Integration in die gingivalen Strukturen wurde ermöglicht, das Gewebe hat sich reizlos adaptiert. Die Proportionen untereinander sind ausgeglichen, die farbliche Anpassung ist jedoch insuffizient. Die Übergänge sind sichtbar und im inzisalen Drittel tritt die gelbliche Dentinfarbe deutlich hervor.
Abb. 21: Die ausgeschliffenen, farblich stark hervorgetretenen Areale. Eine Reduktion der Farbintensität ist zu erkennen. Ein Mundöffner wurde in Regio 23
platziert. Krueger-Janson
Abb. 21: Die ausgeschliffenen, farblich stark hervorgetretenen Areale. Eine Reduktion der Farbintensität ist zu erkennen. Ein Mundöffner wurde in Regio 23 platziert.
Abb. 22: Die ausgeschliffenen, farblich stark hervorgetretenen Areale. Eine Reduktion der Farbintensität ist zu erkennen. Ein Mundöffner wurde in Regio 23
platziert. Krueger-Janson
Abb. 22: Die ausgeschliffenen, farblich stark hervorgetretenen Areale. Eine Reduktion der Farbintensität ist zu erkennen. Ein Mundöffner wurde in Regio 23 platziert.

Die Entscheidung fiel dabei auf BXL und A1, um eine helle weißliche Farbstruktur zu generieren. Die Komponenten können auf der Zahnoberfläche mit der Sondenspitze gemischt werden, bis eine farbliche Integration in das umgebende Milieu erreicht wird. Es empfiehlt sich, während des Mischens die Sondenspitze im Medium zu belassen, um eine durch häufigeres Eintauchen entstehende Blasenbildung zu vermeiden (Abb. 23 und 24).

Abb. 23: Die freigeschliffene Zahnsubstanz wird nach Konditionierung mit
Pulverstrahl geätzt. Das Ätzgel (iBOND Etch) hat nur einen reinigenden Effekt
auf das bereits adaptierte Komposit. Danach wird iBOND Universal aufgetragen. Krueger-Janson
Abb. 23: Die freigeschliffene Zahnsubstanz wird nach Konditionierung mit Pulverstrahl geätzt. Das Ätzgel (iBOND Etch) hat nur einen reinigenden Effekt auf das bereits adaptierte Komposit. Danach wird iBOND Universal aufgetragen.
Abb. 24: Die Venus Diamond Flow Farben A1 und BXL (Venus Diamond Flow)
werden zur Korrektur verwendet. Krueger-Janson
Abb. 24: Die Venus Diamond Flow Farben A1 und BXL (Venus Diamond Flow) werden zur Korrektur verwendet.

Nach Ausarbeitung und Politur ist eine gute farbliche Adaption zu erkennen. Die Proportionen sind gut aufeinander abgestimmt, sodass sich der Lückenschluss unauffällig in das Gesamtbild integriert.

Zur Eliminierung des anterioren Habits und dessen Schäden wurden die anterioren Funktionsflächen neu aufgebaut und eine gleichmäßig balancierte Front-Eckzahnführung wiederhergestellt. Eine Schiene zum Schutz wurde ebenfalls angefertigt (Abb. 25 bis 28).

Abb. 25: Nach der Korrektur sind die farblich hervortretenden Merkmale reduziert. Krueger-Janson
Abb. 25: Nach der Korrektur sind die farblich hervortretenden Merkmale reduziert.
Abb. 26a: Ein Vorher-Nachher-Bild im Vergleich. Krueger-Janson
Abb. 26a: Ein Vorher-Nachher-Bild im Vergleich.
Abb. 26b: Ein Vorher-Nachher-Bild im Vergleich. Krueger-Janson
Abb. 26b: Ein Vorher-Nachher-Bild im Vergleich.
Abb. 26c: Ein Vorher-Nachher-Bild im Vergleich. Krueger-Janson
Abb. 26c: Ein Vorher-Nachher-Bild im Vergleich.
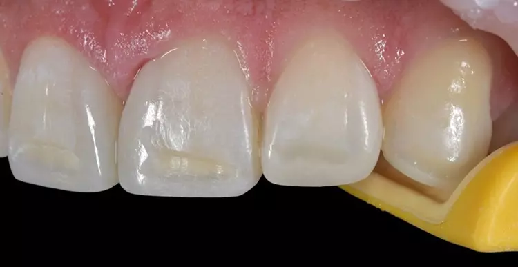
Abb. 27: Abschlussfoto nach Korrektur der farblich nicht passenden Areale. Die
Integration kann als gelungen bezeichnet werden. Krueger-Janson
Abb. 27: Abschlussfoto nach Korrektur der farblich nicht passenden Areale. Die Integration kann als gelungen bezeichnet werden.
Abb. 28: Die Integration in den Restzahnbestand. Krueger-Janson
Abb. 28: Die Integration in den Restzahnbestand.

Fazit

Durch den Diastemaschluss und Angleichung der Proportionen von 12 und 22 ist ein harmonisches Erscheinungsbild entstanden. Mit einer Kombination aus pastösem und fließfähigem Komposit ist es gelungen, eine ästhetisch anspruchsvolle Restauration zu gestalten. Zudem konnte durch das „reparative“ Vorgehen mit geringem Aufwand das Ergebnis optimiert werden.

Die rein additive Behandlungstechnik zeigt, dass mit Komposit noninvasiv und zugleich sehr konstruktiv umgegangen werden kann. Dies kommt dem Wunsch vieler Patienten nach einer zeitgemäßen und hochästhetischen Behandlungsmethodik entgegen.

Bildquellen sofern nicht anders deklariert: Unternehmen, Quelle oder Autor/-in des Artikels

Anzeige

Kommentare

Keine Kommentare.

Anzeige