Vorhandene Diastemata können sehr erfolgreich und ästhetisch anspruchsvoll mit indirekten Keramikrestaurationen in Form von seit Jahrzehnten bewährten Veneers versorgt werden [2,3,5,8,17,32,37]. Entsprechend schöne Beispiele findet man in der Literatur – gekrönt mit hochzufriedenen Patienten [20,23,24,39,40].
Sieht man mal von den „Non-Prep Veneers“ ab [31], sind Veneers im Vergleich zu direkten Kompositrestaurationen nicht nur deutlich kostenintensiver und auch deutlich substanzfordernder, wie man in entsprechenden Case-Reports erkennen kann [23]. Im Vergleich zur Krone hingegen differenziert sich das Veneer im Bezug auf die Substanzforderung natürlich schon sehr positiv [32].
Direkte Kompositrestauration: Therapie der Wahl beim ästhetischen Diastemaschluss
Als Alternative haben sich ebenfalls seit Jahrzehnten direkte Kompositversorgungen bewährt und etabliert [1,6,7,19,25–30,33,35]: Sie stellen die am wenigsten invasive ästhetische Restaurationsmaßnahme im Frontzahnbereich dar und können aufgrund des deutlich geringeren Behandlungsaufwandes und der Tatsache, dass keine Laborkosten anfallen, mit Sicherheit auch als die für den Patienten finanziell attraktivste Versorgungsvariante gelten. Gerade beim Diastemaschluss, bei dem keine weiteren Änderungen an dem betreffenden Zahn wie optische Derotationen, Zahnverlängerungen oder die Neuversorgung multipler labialer Defekte vorzunehmen sind, stellt die direkte Kompositversorgung somit als 1. Wahl bei der Beratung des Patienten [4,14,18,28, 34,36].
Zu berücksichtigen ist allerdings, dass diese direkten Versorgungsvarianten auch sehr anspruchsvoll sein können, gerade was Farbund Formgestaltung angeht, da nicht automatisch jedes Komposit und jedes Schichtkonzept perfekt mit dem zu versorgenden Zahn matcht. Aus diesem Grund können direkte Kompositversorgungen durchaus mal frustran sein [21,22]. Dementsprechend versucht die Zahnmedizin seit vielen Jahren, komplexe Schichttechniken zu vereinfachen [9,15] und sogar komplett auf Universalfarben anstelle von Schichtkonzepten zu setzen, was sehr häufig erstaunlich gut funktioniert [13,38].
Das neueste Ästhetik-Universalkomposit wurde letztes Jahr von 3M Oral Care auf der IDS präsentiert: Filtek Universal (3M) stellt im Prinzip eine etwas opakere Variante der Body-Farbe des bewährten Filtek Supreme XTE dar. Das Material basiert auf der bewährten Supreme-Nanofiller-Technologie und kombiniert diese mit der Monomer-Technologie des inzwischen ebenfalls gut etablierten Filtek One. Die etwas höhere Opazität macht Filtek Universal somit nochmal universeller als die Body-Farben von Filtek Supreme. Konzeptioniert ist das Material als reines Mono-Material, d.h., auf eine aufwendige Schichtung kann grundsätzlich verzichtet werden. Dennoch besteht natürlich die Möglichkeit, Filtek Universal bei komplexeren Fällen mit weiteren Dentin-, Schmelz- oder Effektmaterialien – z.B. von Filtek Supreme XTE – sowie mit den entsprechenden Flowables zu kombinieren. Die beiden folgenden Fälle zeigen die Verwendung von nur einer einzigen Universalfarbe zum Schluss von Diastemata – eine Versorgung, die bislang eher komplexeren Schichtkonzepten, wie z.B. mit Filtek Supreme XTE, vorbehalten gewesen wäre.
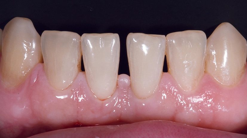
Patientenfall 1
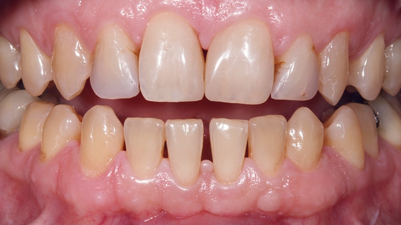
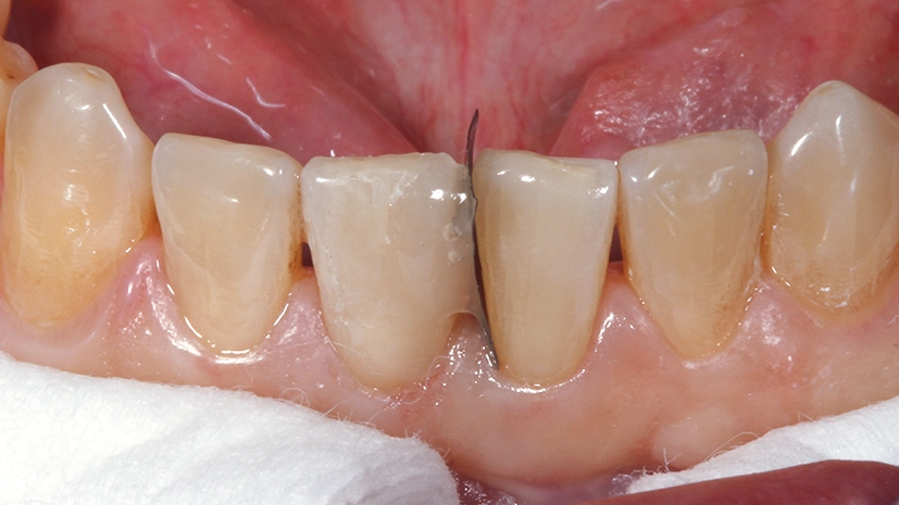
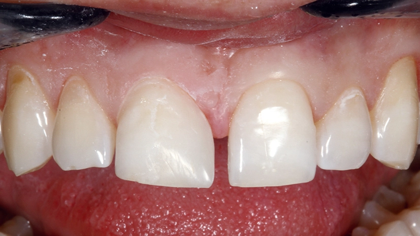
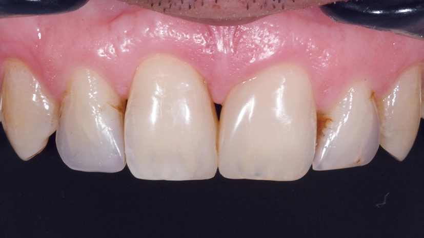
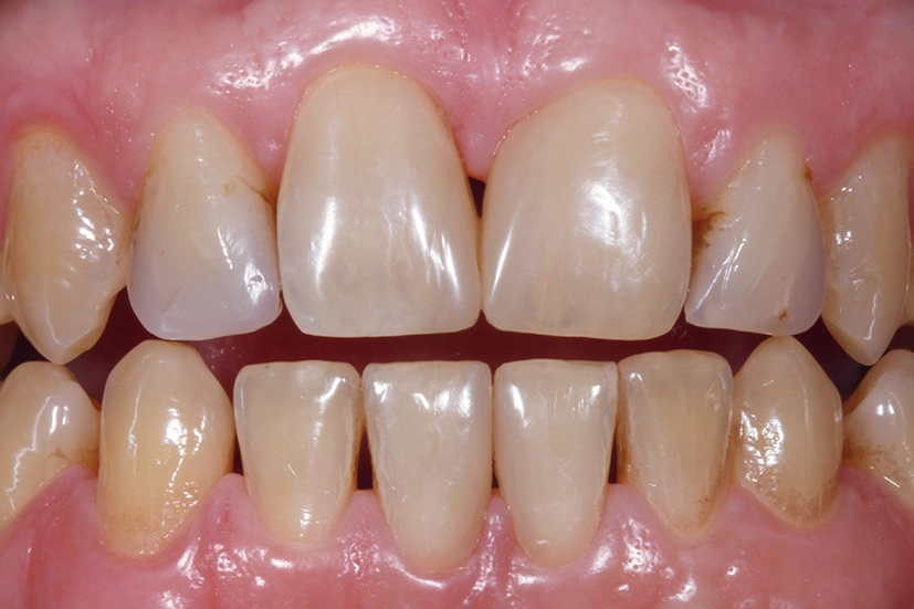
Der 48-jährige Patient stellte sich mit einem auffälligen und ihn sehr störenden Diastema mediale im Ober- und im Unterkiefer vor (Abb. 1). Die ursprüngliche Lücke wurde seinerzeit entweder nicht vollständig geschlossen oder öffnete sich parafunktionell oder Zungendruck-bedingt wieder. Im Oberkiefer fielen an den inzwischen insuffizienten mesialen Kompositanbauten an den Zähnen 11 und 21 die konkaven Einziehungen am zervikalen Rand der Anbauten auf: Diese Gestaltung musste in Hinblick auf die Parodontalprophylaxe als eher ungünstig bewertet werden.
Prof. Dr. C.-P. Ernst
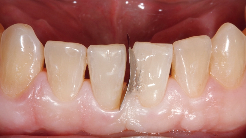
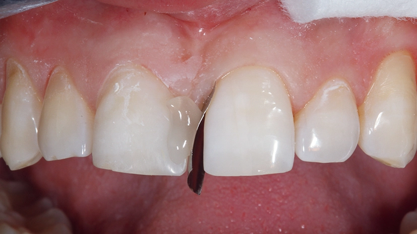
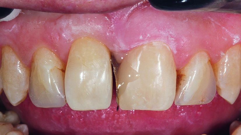
Entgegen der ursprünglichen Verschalungstechnik nach Hugo und Klaiber [26–28,36], wird bei der hier angewendeten modifizierten Technik anstelle eines ausbombierten Frasacostreifens eine vertikal inserierte und fixierte Teilmatrize (Composi-Tight 4,6 mm Prämolaren Matrizenband, B-Serie, Garrison) verwendet [10,11,14, 15]. Da bei dieser Verschalungsvariante keine manuelle Ausbombierung erfolgen muss (die nur 0,035 mm dicke, nierenförmige Teilmatrize definiert bereits die erforderliche konkave Approximalform der späteren Restauration), vermeidet man ein unbeabsichtigtes Ablösen des unter Spannung stehenden Verschalungsstreifens von dem lichthärtenden Provisoriummaterial, welches zur Befestigung und Fixierung verwendet wird.
Ein Zurechtschneiden der Teilmatrizenfolie in Höhe der Inzisalkante ist zu empfehlen, da ansonsten der Zugang von inzisal erschwert ist. Aufgrund der guten Mundhygiene des Patienten und des sehr geringen Entzündungsgrades der Gingiva war eine Versorgung unter relativer Trockenlegung möglich; eine Kofferdamisolierung war nicht zwingend erforderlich [25].
Prof. Dr. C.-P. Ernst
Prof. Dr. C.-P. Ernst
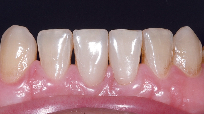
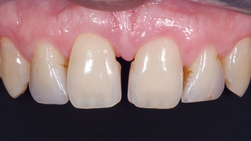
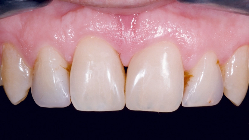
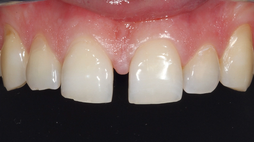
Da als Zielfarbe die Vita A3,5 bestimmt worden war, kam das entsprechende Material in einer einzigen Monofarbe (Filtek Universal A3,5, 3M) zur Anwendung. Auf die zusätzliche Verwendung von Dentin- oder Schmelzmassen wurde bewusst verzichtet – auch um die Möglichkeiten des neuen Universalkomposits auszuloten.
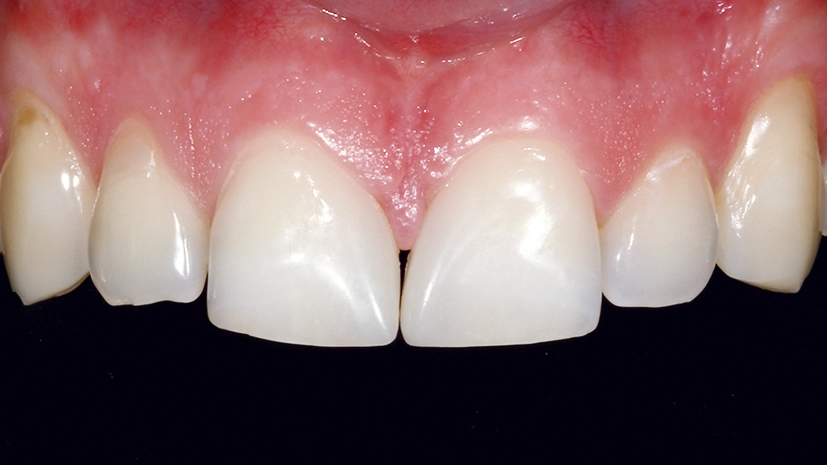
Nach Ausarbeitung mit einem speziellen Komposit-Hartmetall-Finierer (H48 LQ, Komet) und flexiblen Scheiben (Soflex Pop-On XT 2381 M, F und SF) erfolgte die Abschlusspolitur mit speziellen Komposit-Polierern (Diacomp Plus Twist DT-DCP10m und DTDCP10f, EVE).
Bei einem Diastemaschluss kann durchaus versucht werden, den bilateralen Anbau an beiden der Lücke zugewandten Zähnen gleichzeitig vorzunehmen. Hierbei ist es allerdings schwierig, wirklich identische Zahnbreiten zu generieren. Einfacher ist es, erst einen Zahn aufzubauen, die erforderliche Breite durch eine sukzessive approximale Reduktion exakt den Erfordernissen an die Zahnbreite des benachbarten Zahnes anzupassen, zu polieren und dann den Nachbarzahn im unmittelbaren Anschluss an den bereits fertiggestellten Anbau anzupassen. Dies ist zwar etwas zeitaufwendiger, führt im
Prof. Dr. C.-P. Ernst
Prof. Dr. C.-P. Ernst
Prof. Dr. C.-P. Ernst
Prof. Dr. C.-P. Ernst
Prof. Dr. C.-P. Ernst
Prof. Dr. C.-P. Ernst
Prof. Dr. C.-P. Ernst
Prof. Dr. C.-P. Ernst
Prof. Dr. C.-P. Ernst
Prof. Dr. C.-P. Ernst
Prof. Dr. C.-P. Ernst
Prof. Dr. C.-P. Ernst
Patientenfall 2
Prof. Dr. C.-P. Ernst
Prof. Dr. C.-P. Ernst
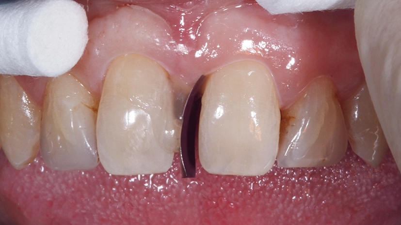
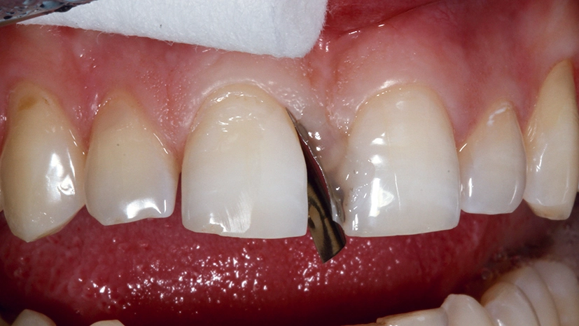
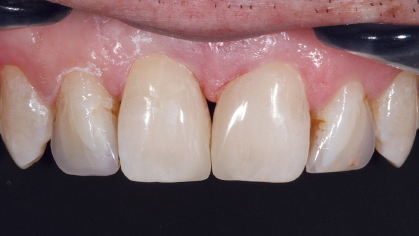
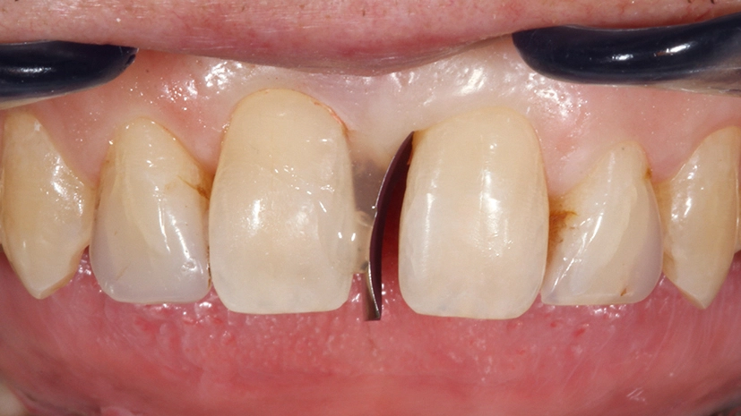
Im Gegensatz zu Fall 1 war hier die Vita A1 als Zielfarbe gegeben, somit fiel die Füllungsmaterialauswahl auf die Kombination aus Filtek Supreme XTE Flow in der Farbe A1 und auf Filtek Universal in der Farbe A1 als alleiniges Restaurationsmaterial. Des Behandlungsprozedere entsprach 1:1 dem in Fall 1 detailliert beschriebenem Vorgehen: Nach mechanischer Anrauung (und Reinigung) der Klebefläche an Zahn 11 mit einer Feinkorn-EVAFeile (Proxoshape Flexible, Intensiv) erfolgte die Verschalung mit einer Teilmatrizenfolie (Composi-Tight 4,6 mm Prämolaren Matrizenband, B-Serie, Garrison; Fixierung am Nachbarzahn mit Clip Flow, Abb. 19). Nach derselben adhäsiven Vorbehandlung wie in Fall 1 konnte der Aufbau an Zahn 11 komplett modelliert (Filtek Supreme XTE Flow A1 nur zervikal, restlicher Aufbau komplett Filtek Universal A1) und polymerisiert werden, gefolgt von einer initialen Ausarbeitung und Politur (Abb. 20). Dann erst erfolgte die Vorbehandlung von Zahn 21 und dessen Verschalung (Abb. 21) sowie der Aufbau des Zahnes mit dem Komposit.
Prof. Dr. C.-P. Ernst
Prof. Dr. C.-P. Ernst
Prof. Dr. C.-P. Ernst
Prof. Dr. C.-P. Ernst
Prof. Dr. C.-P. Ernst
Schlussbetrachtung
Bei kleineren ästhetischen Formkorrekturen, wie dem Schließen eines Diastemas, stellt die direkte Kompositversorgung eine ernst zu nehmende ästhetische Alternative zur Veneerversorgung dar. Beeindruckend ist zudem, wie weit man heute mit Universalkompositen kommt: Somit ist nicht automatisch eine ästhetische Frontzahnkompositrestauration mit einer aufwendigen Schichttechnik assoziiert. Sicherlich müssen Detailabstriche bei Ansprüchen an herausmodellierte Mammelons, transluzente Fenster und Haloeffekte akzeptiert werden – dafür erhält man eine einfache, pragmatische und vor allem leicht vorhersehbare und reproduzierbare Möglichkeit zur Reduktion von Diastemata.
Bildquellen sofern nicht anders deklariert: Unternehmen, Quelle oder Autor/-in des Artikels
Entdecke CME Artikel






Keine Kommentare.