Anzeige

Allgemeine Zahnheilkunde

Die Abformung eines Oberkieferfrontzahns unter Anwendung einer Retraktionspaste

Subgingival liegende Präparationsgrenzen können im Rahmen der Abformung oftmals zu einer Herausforderung werden. Nicht selten wird bei der Erstellung der Modelle festgestellt, dass die Präparationsgrenzen nicht vollständig oder nur unzureichend dargestellt werden. An einem Fallbeispiel wird ein Behandlungsprocedere unter Anwendung einer Retraktionspaste aufgezeigt.

Ausgangssituation. Prof. Dr. J. Manhart
Ausgangssituation.
Ausgangssituation.

Subgingival liegende Präparationsgrenzen können im Rahmen der Abformung oftmals zu einer Herausforderung werden. Nicht selten wird bei der Erstellung der Modelle festgestellt, dass die Präparationsgrenzen nicht vollständig oder nur unzureichend dargestellt werden.

Für die optimale Darstellung tiefliegender Präparationsgrenzen bei der Abformung und somit für die spätere Erstellung eines passgenauen Zahnersatzes hat der Dentalhersteller VOCO GmbH nun eine adstringierend wirkende Retraktionspaste zur mechanisch-chemischen Verdrängung des subgingivalen Gewebes entwickelt. Auch in Kombination mit Retraktionsfäden lässt sich so der Sulcus gingivalis zusätzlich und vorübergehend erweitern.

Gleichzeitig wird eine eventuell durch die Präparation hervorgerufene lokale Blutung im Bereich der Gingiva durch die Verwendung der Retraktionspaste effektiv gestoppt. Nur ein sauberes und trockenes Arbeitsfeld erlaubt die genaue Detailwiedergabe während der Abformung mit einem Präzisionsabformmaterial.

Fallbeispiel

Nachfolgend wird anhand eines Patientenfalls das Behandlungsprocedere bildhaft beschrieben. Die Ausgangssituation zeigt die frakturierten Zähne 21 und 22 bei Zustand nach einem traumatischen Ereignis.

Abb. 1: Ausgangssituation: Frakturierte Schneidezähne im linken Oberkiefer nach einem Trauma. Zahn 22 ist final endodontisch behandelt. Zahn 21 ist trepaniert, im Wurzelkanal befindet sich Kalziumhydroxid als temporäre Einlage. Prof. Dr. J. Manhart
Abb. 1: Ausgangssituation: Frakturierte Schneidezähne im linken Oberkiefer nach einem Trauma. Zahn 22 ist final endodontisch behandelt. Zahn 21 ist trepaniert, im Wurzelkanal befindet sich Kalziumhydroxid als temporäre Einlage.
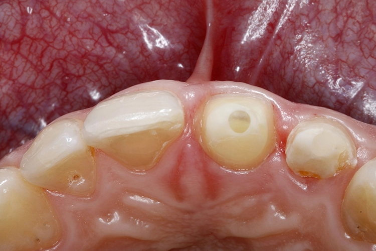
Abb. 2: Ausgangssituation: Die Ansicht von inzisal zeigt einen palatinal-distal tief subkrestal frakturierten Zahn 22, der aufgrund des ungünstigen Frakturverlaufs nicht erhaltungsfähig ist und daher nur noch bis zur geplanten Extraktion mit anschließender Sofortimplantation in situ verbleiben soll. Prof. Dr. J. Manhart
Abb. 2: Ausgangssituation: Die Ansicht von inzisal zeigt einen palatinal-distal tief subkrestal frakturierten Zahn 22, der aufgrund des ungünstigen Frakturverlaufs nicht erhaltungsfähig ist und daher nur noch bis zur geplanten Extraktion mit anschließender Sofortimplantation in situ verbleiben soll.
Abb. 3: Situation nach der Präparation von Zahn 21 für die Aufnahme einer Krone. Zahn 22 soll in der nächsten Sitzung extrahiert und ein Sofortimplantat inseriert werden. Als Interimslösung während der Einheilzeit und vor der definitiven Versorgung soll ein laborgefertigtes, metallverstärktes Langzeitprovisorium bestehend aus einer Krone 21 mit Anhänger 22 verwendet werden. Prof. Dr. J. Manhart
Abb. 3: Situation nach der Präparation von Zahn 21 für die Aufnahme einer Krone. Zahn 22 soll in der nächsten Sitzung extrahiert und ein Sofortimplantat inseriert werden. Als Interimslösung während der Einheilzeit und vor der definitiven Versorgung soll ein laborgefertigtes, metallverstärktes Langzeitprovisorium bestehend aus einer Krone 21 mit Anhänger 22 verwendet werden.
Abb. 4: Die inzisale Ansicht von Zahn 21 zeigt, dass ein adhäsiv befestigter, glasfaserverstärkter Wurzelstift eingebracht wurde (Rebilda Post, VOCO). Prof. Dr. J. Manhart
Abb. 4: Die inzisale Ansicht von Zahn 21 zeigt, dass ein adhäsiv befestigter, glasfaserverstärkter Wurzelstift eingebracht wurde (Rebilda Post, VOCO).
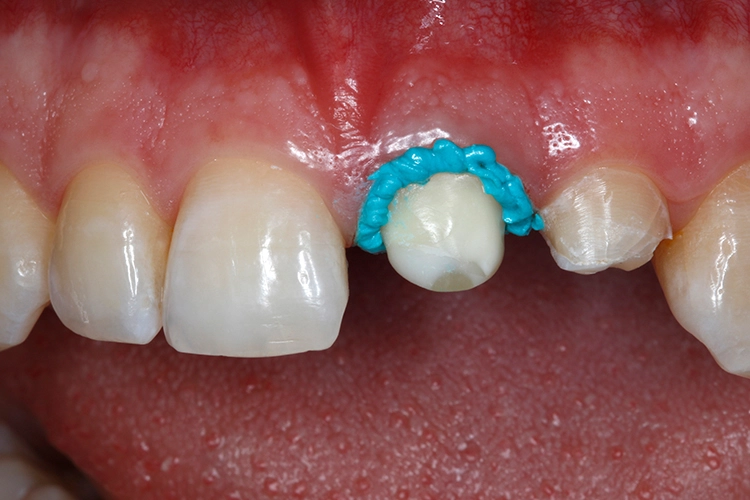
Abb. 5: Nach dem Platzieren eines sehr dünnen Retraktionsfadens (Größe 000) in den Sulkus von Zahn 21, wurde die Retraktionspaste aus einem Caps zirkulär mit einer sehr dünnen, spitz zulaufenden Kanüle in den Sulkus appliziert (Retraktionspaste, VOCO). Prof. Dr. J. Manhart
Abb. 5: Nach dem Platzieren eines sehr dünnen Retraktionsfadens (Größe 000) in den Sulkus von Zahn 21, wurde die Retraktionspaste aus einem Caps zirkulär mit einer sehr dünnen, spitz zulaufenden Kanüle in den Sulkus appliziert (Retraktionspaste, VOCO).
Abb. 6: Die Retraktionspaste lässt sich gut applizieren, verfügt aber auch über eine ausreichend kompakte Konsistenz, um den Sulkus zusätzlich erweitern zu können. Gleichzeitig wird eine eventuell durch die Präparation hervorgerufene, lokale Blutung der Gingiva gestoppt. Prof. Dr. J. Manhart
Abb. 6: Die Retraktionspaste lässt sich gut applizieren, verfügt aber auch über eine ausreichend kompakte Konsistenz, um den Sulkus zusätzlich erweitern zu können. Gleichzeitig wird eine eventuell durch die Präparation hervorgerufene, lokale Blutung der Gingiva gestoppt.
Abb. 7: Die inzisale Ansicht von Zahn 21 zeigt die standfeste Konsistenz der Retraktionspaste, die nach der Applikation ortsständig verbleibt und nicht zerfließt. Prof. Dr. J. Manhart
Abb. 7: Die inzisale Ansicht von Zahn 21 zeigt die standfeste Konsistenz der Retraktionspaste, die nach der Applikation ortsständig verbleibt und nicht zerfließt.
Abb. 8: Nach einer Einwirkzeit von 1 bis 2 Minuten erfolgt das sorgfältige Entfernen der Retraktionspaste mit dem Druckluft-Wasser-Spray unter Absaugung, sowie die anschließende Trocknung mit ölfreier Luft. Prof. Dr. J. Manhart
Abb. 8: Nach einer Einwirkzeit von 1 bis 2 Minuten erfolgt das sorgfältige Entfernen der Retraktionspaste mit dem Druckluft-Wasser-Spray unter Absaugung, sowie die anschließende Trocknung mit ölfreier Luft.
Abb. 9: Zahn 21 konnte optimal für die Abformung vorbereitet werden, wobei der Sulkus zirkulär gut einsehbar ist. Der Präparationsrand konnte mithilfe der Retraktionspaste deutlich freigelegt, geöffnet und trocken dargestellt werden. Prof. Dr. J. Manhart
Abb. 9: Zahn 21 konnte optimal für die Abformung vorbereitet werden, wobei der Sulkus zirkulär gut einsehbar ist. Der Präparationsrand konnte mithilfe der Retraktionspaste deutlich freigelegt, geöffnet und trocken dargestellt werden.
Abb. 10: Situation nach Entfernung des Retraktionsfadens. Prof. Dr. J. Manhart
Abb. 10: Situation nach Entfernung des Retraktionsfadens.
Abb. 11: Abformung unter Zuhilfenahme eines Präzisionsabformmaterials und eines individualisierten Abformlöffels (V-Posil Heavy Soft Fast und V-Posil Light
Fast, VOCO). Prof. Dr. J. Manhart
Abb. 11: Abformung unter Zuhilfenahme eines Präzisionsabformmaterials und eines individualisierten Abformlöffels (V-Posil Heavy Soft Fast und V-Posil Light Fast, VOCO).
Abb. 12: In der Detailansicht der Abformung zeigt sich die Präparationsgrenze von Zahn 21 deutlich dargestellt. Prof. Dr. J. Manhart
Abb. 12: In der Detailansicht der Abformung zeigt sich die Präparationsgrenze von Zahn 21 deutlich dargestellt.
Abb. 13: Endergebnis: Chairside hergestelltes Provisorium (Structur 3, VOCO). In der nachfolgenden Sitzung soll die Extraktion Zahn 22 mit Sofortimplantation
folgen. Prof. Dr. J. Manhart
Abb. 13: Endergebnis: Chairside hergestelltes Provisorium (Structur 3, VOCO). In der nachfolgenden Sitzung soll die Extraktion Zahn 22 mit Sofortimplantation folgen.

Bildquellen sofern nicht anders deklariert: Unternehmen, Quelle oder Autor/-in des Artikels

Anzeige

Kommentare

Keine Kommentare.

Anzeige