Ein steter Fortschritt in der Zahnmedizin, der Zahntechnik und der Materialkunde eröffnet dem Behandler fortwährend neue Behandlungsmethoden und bietet ihm die Möglichkeit, alte Problemstellungen mit neuen Therapiekonzepten zu lösen. War das zahnmedizinische Fachwissen früher zum größten Teil dem Zahnarzt vorbehalten, so betreten heute immer häufiger Patienten die Praxis, die sich bereits mit einer Internet-Recherche über mögliche Therapiealternativen informiert haben. Der Anspruch des Patienten an eine zahnärztliche Versorgung wird hierdurch meist gesteigert und kann nur von versierten Zahnmedizinern, die sich am Nerv der Zeit orientieren, erfüllt werden. Der aktuelle Anspruch an festsitzenden Zahnersatz dreht sich aus der Sicht des Patienten und des Zahnarztes um die Kernbegriffe Langzeitstabilität, Minimalinvasivität, Biokompatibilität und Ästhetik. Die diesbezüglich infrage kommenden Therapiealternativen werden gegenüber den Patienten ausführlich dargelegt.
Bei der Versorgung von Einzelzahnlücken im Frontzahngebiet unterscheidet man hinsichtlich des Zahnhartsubstanzverlusts minimalinvasive Versorgungen wie Adhäsivbrücken und Implantatversorgungen. Der non-invasive kieferorthopädische Lückenschluss ist nicht zuletzt abhängig vom kraniofazialen Wachstumsmuster und wird nach ausführlicher kieferorthopädischer Analyse abgewogen. Fällt die Entscheidung auf eine Lückenöffnung, so ist es nach kieferorthopädischer Ausrichtung der Pfeilerzähne die Aufgabe des Zahnarztes, die Schaltlücke zu versorgen. Faktoren wie Alter des Patienten, Knochenangebot, Lückenbreite, Pfeilerzahnparallelität und die monetäre Situation lassen die häufig angestrebte Implantatversorgung ausscheiden. Übrig bleiben dann als festsitzende Therapiekonzepte die konventionelle Brückenversorgung, die einen großen Substanzabtrag bei der Präparation von v. a. unversehrten Pfeilerzähnen mit sich bringt, und die minimalinvasive Versorgung mittels ein- bzw. zweiflügeliger Adhäsivbrücke. Dabei wird der vollkeramischen einflügeligen Adhäsivbrücke aufgrund der aktuellen Studienlage der Vorzug gegeben [1-3]. Gerade in Hinblick auf die anfallenden Kosten und die Behandlungszeit liegen – im Gegensatz zu konventionellen Zahnersatz- und Implantatversorgungen – die Vorteile bei der einflügeligen Adhäsivbrücke [4].
Indikationen
Grundsätzlich gilt, dass die vollkeramische einflügelige Adhäsivbrücke zum Ersatz der zentralen und lateralen Inzisivi im Ober- und Unterkiefer zum Einsatz kommen kann. Eine Erweiterung des Versorgungsgebiets bis zum Ersatz des Eckzahnes ist dann möglich, wenn keine Führungskontakte (z. B. beim frontal offenen Biss) bestehen. Vor allem im kindlichen bzw. jugendlichen Alter wäre das zirkumferente Beschleifen eines Pfeilerzahnes bei konventioneller Brückenversorgung (Substanzabtrag hier bis zu 68 % [5]) aufgrund des noch ausgedehnten Pulpenkavums riskant und eine Implantation kommt wegen des persistierenden Wachstums [6] noch nicht in Betracht. Weiterhin sollte bei reduziertem Knochenangebot und konvergierenden Wurzeln der Nachbarzähne von einer Implantation abgesehen werden. Bei einer medikamentösen Therapie aus übergeordneten Gründen mit sogenannten Antiresorptiva, die auf den Knochenstoffwechsel Einfluss nehmen, ist eine prothetische Versorgung ohne chirurgischen Eingriff vorteilhaft.
Kontraindikationen
Da die Langzeitbewährung von Adhäsivbrücken von einem guten Haftverbund zum Schmelz lebt, stellt ein reduziertes Schmelzangebot, wie z. B. bei kurzen klinischen Kronen, Schmelzanomalien, Erosionen und ausgeprägten Abrasionen bzw. Attritionen, eine absolute Kontraindikation dar. Darüber hinaus ist generell bei Patienten mit Parafunktionen wie Bruxismus – zum einen aufgrund des beschriebenen reduzierten Schmelzangebotes, zum anderen wegen der unkontrolliert einwirkenden großen Kräfte – von einer Versorgung mit Adhäsivbrücken abzuraten. Ausgeprägte Kippungen, Rotationen, Elongationen oder übergroße Spannweite der zu versorgenden Lücke schränken ebenso die adäquate Versorgung und die ästhetisch ansprechende Integration mit der hier vorgestellten minimalinvasiven Versorgung ein, sodass abhängig von der individuellen Situation ein interdisziplinärer Therapieansatz mit kieferorthopädischer Vorbehandlung sinnvoll sein kann. Bei Patienten, die Kontaktsportarten ausüben, sollte aus forensischen Gründen einer konventionellen Brückenversorgung der Vorzug gegeben werden [7].
Beschaffenheit des Pfeilerzahnes
Der Pfeilerzahn sollte vital, karies- und füllungsfrei sein, wobei kleinere Füllungen, die vom gesamten Gerüst bedeckt werden, akzeptiert werden können. Des Weiteren sollte die prospektive Klebefläche ausreichend dimensioniert sein [8]. Vor Indikationsstellung muss außerdem das Platzangebot des Pfeilerzahnes hinsichtlich der horizontalen und vertikalen Frontzahnstufe überprüft werden und der notwendige Platz von 0,8 mm gegebenenfalls durch eine kieferorthopädische Protrusion des Pfeilerzahnes oder der gesamten Oberkieferfrontzähne in Betracht gezogen werden [8, 9].
Materialauswahl
Laut aktueller Studienlage sind Gerüste aus Zirkoniumoxidkeramik als Material der Wahl zu empfehlen (Abb. 1) [1-3].
Fallbericht
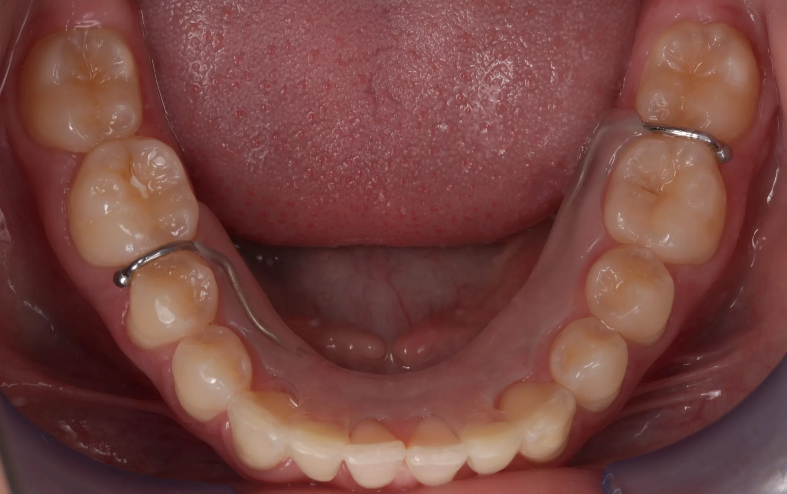
Eine 17-jährige Patientin stellte sich nach kieferorthopädischer Vorbehandlung alio loco und bereits erfolgter Lückenöffnung regio 32, 42 bei Nichtanlage 31, 41 in der Klinik für Zahnärztliche Prothetik und Biomaterialien, Zentrum für Implantologie des Universitätsklinikums Aachen mit dem Wunsch nach einer Lückenversorgung vor (Abb. 2-4). Die Lücken wurden mithilfe eines herausnehmbaren Zahnersatzes (Interimsprothese) offen gehalten. Nach aktiv- kieferorthopädischer Therapie sollten mindestens 6 bis 8 Wochen als Retentionszeit vor der definitiven, festsitzenden prothetischen Versorgung kalkuliert werden [7].
Eine ausführliche Anamnese, extra- und intraorale Befundung sowie Diagnostik, Indikationsstellung und Planung stehen zu Beginn einer jeden Behandlung. Anschließend erfolgt die Aufklärung über Risiken und Gefahren der Behandlung, hier im Speziellen das Verschlucken oder die Aspiration beim Lösen einer Adhäsivbrücke. Zusätzlich zu den bereits erwähnten Anforderungen an den Pfeilerzahn muss auf ausreichend Platz für das Gerüst geachtet werden. Bei einem vertikalen Frontzahnüberbiss von mehr als 3 mm mit physiologischen Okklusionskontakten muss der notwendige Platzbedarf für Gerüst und Klebefuge von etwa 0,8 mm durch kieferorthopädische Protrusion oder Schmelzpräparation geschaffen werden [8, 9]. Bei einer Versorgung im Unterkieferfrontzahnbereich und vorliegender Angle-Klasse I oder II spielen die Bisslage und Okklusion eine untergeordnete Rolle. Ein weiteres Augenmerk sollte bereits in der Planungsphase auf die Lückenbreite und die Weichteilverhältnisse gelegt werden, damit hier im Rahmen der prothetischen Vorbehandlung Optimierungen vorgenommen werden könnten.



Aufgrund reduzierter Platzverhältnisse in mesiodistaler Ausdehnung musste bei der hier vorgestellten Patientin von einer implantatgetragenen Lösung Abstand genommen werden (Abb. 5). Die absolute Unversehrtheit der lückenbegrenzenden Zähne sprach zudem für eine zahnsubstanzschonende prothetische Rehabilitation. Somit fiel die Entscheidung zur Versorgung der Schaltlücken auf zwei einflügelige Adhäsivbrücken.
Zu Beginn der Behandlung und zur besseren Planungsübersicht werden Situationsmodelle hergestellt, einartikuliert und ein diagnostisches Wax-Up im zahntechnischen Labor angefertigt. Das Wax-Up dient dazu, eventuelle Führungskontakte im Bereich der Brückenglieder bei Funktionsbewegungen bereits vor der Behandlung aufzuspüren. Vor Beginn der Präparation werden die Kontaktpunkte mittels Okklusionsfolie sichtbar gemacht. Danach erfolgen die Reinigung und das Anfärben der oralen und der der Lücke zugewandten approximalen prospektiven Klebeflächen mit einem wasserfesten Stift (Abb. 6).
Für die Präparation empfiehlt es sich, ein rotes Winkelstück mit geringer Drehzahl zu verwenden. Zuerst präpariert man die Begrenzung des Flügels mit flacher Hohlkehle, legt dann die Noppe (Kugel Ø = 2 mm) im Bereich des Tuberculums und einen approximalen Kasten (2 mm × 1 mm × 0,5 mm) [1] an. Die orale Veneerpräparation findet ihren Abschluss in der Präparation der restlichen eingefärbten Zahnfläche und der Elimination scharfer Kanten. Dieses Präparationsdesign sorgt für keinerlei mechanische Retention, wohl aber für einen definierten Sitz des Flügels auf dem Zahn. Es ist darauf zu achten, mit wenig Druck und geringer Drehzahl zu arbeiten, damit ein minimaler Abtrag von maximal 30-50 ?m nicht überschritten wird und somit die Präparation rein schmelzbegrenzt bleibt.
Im Anschluss an die Präparation findet die Pontic-Ausformung statt (Abb. 7). Im Idealfall steht ausreichend Gewebe in vertikaler und horizontaler Ausdehnung zur Verfügung und eine forcierte Ausformung mit einer grob diamantierten Kugel, einem Elektrotom oder dem Laser reicht aus. Bei wenig Gewebe im basalen Bereich des Brückengliedes sollte eine chirurgische Vorbehandlung im Rahmen der präprothetischen Vorbehandlung (z. B. Rolllappen, Bindegewebstransplantat) in Erwägung gezogen werden.


Es folgt die Abformung, konventionell (Doppelmisch-Technik mit A-Silikon oder Polyäther) oder digital, welche wegen des supragingivalen Verlaufs der Präparationsgrenze keine besondere Herausforderung darstellt. Lediglich im Bereich des Approximalkontaktes zum Nachbarzahn kann es bei konventioneller Abformtechnik zu einem Ausreißen des Abformmaterials kommen. Ein vorheriges minimales Ausblocken von vestibulär, z. B. mit Wachs, kann hier hilfreich sein [9]. Auf ein Abdecken der Präparationsfläche mit einer provisorischen Versorgung wird verzichtet. Die Position der Nachbarzähne sollte jedoch mittels Interimsprothese oder herausnehmbarer Schienen sichergestellt sein.
Im zahntechnischen Labor erfolgt die Herstellung des Zirkoniumdioxid-Gerüsts. Ein zuvor angefertigter Silikonschlüssel des Wax-Ups hilft dabei, die Ausdehnung des Gerüsts für eine optimale Unterstützung der Verblendkeramik festzulegen (Abb. 8). Der Verbinder sollte für die gesinterte Zirkoniumoxidkeramik einen Querschnitt von 7-9 mm2 nicht unterschreiten [10]. Nach Fertigstellung der Brücke (Abb. 9) erfolgt die intraorale Anprobe. Es werden Form, Farbe, Approximalkontakt und die Passung überprüft. Die Okklusions- und Artikulationskontakte können in diesem Stadium nicht am Patienten überprüft werden. Erst nach adhäsiver Befestigung können diese kontrolliert und ggf. durch Einschleifen feinjustiert werden.




Nach dem Anlegen des Kofferdams sollte nochmals die Passung überprüft werden. Um einen korrekten spaltfreien Sitz der Brücke auch mit Kofferdam zu gewährleisten, kann es hilfreich sein, einen Zementierungsschlüssel zu verwenden (Abb. 10). Dieser wird vom Zahntechniker auf dem Modell angefertigt und fixiert das Brückenglied und die Inzisalkanten der Nachbarzähne. Auf ausreichend Freiraum zum Versäubern der Zementreste sei hier ausdrücklich hingewiesen.
Der Klebeflügel wird für die Verklebung konditioniert. Hierzu trägt man eine Schutzschicht aus Kunststoff (Pattern-Resin) auf die Verblendkeramik auf und färbt den Flügel auf der Seite der Klebefläche mit einem Stift ein [11]. Dieses Anfärben dient auch hier der visuellen Kontrolle des Abstrahlprozesses. Die Klebefläche wird mit Aluminiumoxidpartikeln (Al2O3) der Korngröße 50 ?m und 0,5 bar abgestrahlt (Abb. 11). Anschließend wird die Adhäsivbrücke für 3 Minuten in 96 % Isopropanol im Ultraschallbad gereinigt und getrocknet [12, 13].
Die Oberflächenreinigung der prospektiven Klebefläche am Zahn erfolgt mit Bimsmehl und Wasser oder mit einem Prophylaxe- Pulverstrahlgerät. Danach werden die Retentionsflächen mit 37%iger Orthophosphorsäure für 45 Sekunden geätzt und gründlich mit Wasser abgesprüht. Ist man sich nicht sicher, ob eventuell Dentinareale in der Retentionsfläche integriert liegen, empfiehlt es sich, die Klebefläche nur 15 Sekunden zu ätzen und nach Lufttrocknung das Ätzmuster zu kontrollieren. Die Dentinbereiche werden bei der weiteren Ätzung für 30 Sekunden ausgespart. Liegen keine Dentinareale frei, muss die Klebefläche nicht weiter vorbehandelt werden. Der phosphatmonomerhaltige Kompositkleber mit seinen MDP-Molekülen (Panavia 21, Kuraray) wird auf den Flügel aufgebracht (Abb. 12) und die Brücke inkorporiert. Die ausquellenden Klebeüberschüsse werden umgehend von der Assistenz mit Zahnseide und Schaumstoffpellets entfernt. Es folgt das Aufbringen eines Gels, das die Sauerstoffinhibition des Kompositklebers bei der Polymerisation verhindert. Nach der vollständigen Aushärtung wird das Gel abgesprüht, der Zahn getrocknet und Klebereste werden sorgfältig entfernt. 



Okklusion und Artikulation können nun überprüft und ggf. angepasst werden. Abschließend folgt die Instruktion des Patienten zur effizienten Reinigung im Bereich der Adhäsivbrücke. Eine Situationsabformung mit anschließendem Situationsmodell und die fotografische Dokumentation des klinischen Ergebnisses helfen bei den Nachsorgesitzungen zur Kontrolle etwaiger Veränderungen der Pfeilerzahnstellung (Abb. 13- 15).
Näheres zu den Autoren des Fachbeitrages: Dr. Hanna Schiffer, Dr. Christoph BothungBildquellen sofern nicht anders deklariert: Unternehmen, Quelle oder Autor/-in des Artikels
Entdecke CME Artikel






Keine Kommentare.