
Die Ätiologie der MIH ist bisher kaum geklärt. Pränatale Faktoren, wie mütterliches Rauchen oder Erkrankungen während der Schwangerschaft, werden ebenso diskutiert wie geburtliche (Frühgeburt, geringes Geburtsgewicht, Kaiserschnittgeburt etc.) oder postnatale Faktoren (Medikamenteneinnahme), wobei auch eine genetische Komponente wahrscheinlich ist [1,6,14,32,41]. MIH-Schmelz zeigte histologisch eine weniger strikte Organisation der Schmelzkristalle und weist eine geringere Härte als gesunder Schmelz auf. Dies wird auf einen erhöhten Proteinanteil zurückgeführt, der zu unzureichendem Kristallwachstum sowie unzureichender Kristallorganisation und -reifung führen soll und mit einem geringeren Mineralgehalt – verglichen mit gesundem Schmelz – vergesellschaftet ist [12,15,16,18,23, 35,42,52].
In der täglichen Praxis ist jedoch weniger die Ätiologie als die Behandlung von MIH-Zähnen relevant. Dabei tritt eine Reihe von Herausforderungen auf:
- MIH-Zähne, vor allem Molaren, sind oft stark temperatur- und berührungsempfindlich. Dies trifft vor allem auf jene Fälle mit schweren Schmelzschädigungen zu. Letztere sind klinisch durch eine braune Färbung (im Vergleich mit der meist weißlichen, gelben oder cremefarbenen Färbung milderer Fälle) gekennzeichnet. Als Ursache für diese Empfindlichkeit wird die Porosität des Schmelzes genannt, die dann frühzeitig zu einer Bakterieninvasion und einer chronischen Pulpaentzündung führt [13,34,39,47]. Die Empfindlichkeit führt schließlich zu einer eingeschränkten Mundhygiene in diesem Bereich, beeinträchtigt aber auch dramatisch die Behandlung dieser Zähne, unter anderem weil die chronische Pulpaentzündung eine erfolgreiche Lokalanästhesie erschwert [31].
- MIH-Schmelz frakturiert oft; zusammen mit einer unzureichenden Mundhygiene ergeben sich Plaqueretentionsstellen. Gerade MIH-Molaren weisen daher oft zusätzlich auch kariöse Läsionen auf. Die genannte Empfindlichkeit, der oft beobachtete Zusammenbruch großer Schmelzareale und die Kariesanfälligkeit führen gerade für MIH-Molaren zu einer dramatisch erhöhten Behandlungsnotwendigkeit [4,24,25,28,30,36]. Da diese Behandlungen dann oftmals schmerzhaft sind, weisen Kinder mit MIH statistisch gesehen deutlich mehr Zahnarztphobien auf. Deswegen ist eine wirksame Schmerzkontrolle von wesentlicher Bedeutung, wobei Aspekte wie Verhaltensformung, eine adäquate Anästhesietechnik und Prämedikation (Analgetikum), Lachgas-Sedierung und im Extremfall eine Narkose angewandt werden können [25,57].
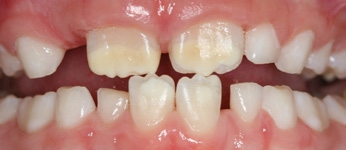
- Im Frontzahnbereich stehen die ästhetischen Einschränkungen, gerade bei schweren Fällen, im Vordergrund.
- MIH wird oftmals nicht frühzeitig diagnostiziert und mit kariösen Läsionen verwechselt (gerade im Molarenbereich). Das Ergebnis ist eine (teilweise verfrühte) invasive Therapie dieser Zähne mithilfe restaurativer Konzepte, die für kariöse Defekte (Fissurenkaries, approximale Karies) ausgelegt sind, in MIH-Zähnen jedoch oft nicht zum Erfolg führen. Die resultierenden Restaurationen sind gekennzeichnet durch ihre untypische Ausdehnung (Höckerersatz, Ersatz ganzer oraler oder bukkaler Flanken). Die Diagnose „MIH“ kann mitunter nur auf der Basis dieser Karies-untypischen Ausdehnung gestellt werden (Abb. 2). Eine internationale Arbeitsgruppe hat Ende 2016 einen MIH-Behandlungsbedarfsindex (MIH-TNI) entwickelt, der die wichtigsten klinischen Probleme (Ausmaß der Zahnhartsubstanzzerstörung und Hypersensibilität) bei Patienten mit MIH berücksichtigt. Basierend auf dem individuellen Kariesrisiko des Patienten in Kombination mit dem MIH-TNI kann der Behandlungsbedarf bestimmt werden [54,55].

Behandlung von MIH-Molaren
Nur wenige klinische Studien haben die Behandlung von MIH mittels noninvasiver Therapien untersucht, also jenen Behandlungen, bei denen keine Entfernung von Zahnhartsubstanz stattfindet. Eine solche noninvasive Option zur Behandlung milder Hypersensibilitäten scheint die Applikation von Casein-Phosphopeptid- amorphem Kalziumphosphat (CPP-ACP, beispielsweise Tooth Mousse, GC) zu sein. Hierbei etabliert sich eine kalziumphosphatreiche Deckschicht im Schmelz, die Flüssigkeitsbewegungen entlang der Schmelzporositäten reduziert. Eine kürzlich veröffentlichte klinische Studie belegte zudem die Wirksamkeit einer Arginin- und Kalziumkarbonathaltigen Paste (elmex Sensitive Professional desensitizing paste) zur Verringerung der Hypersensibilität in MIH-Molaren [2,8, 37,56].

Die weit überwiegende Zahl klinischer Studien befasste sich jedoch mit der restaurativen Therapie von MIH-Molaren. Wie dargelegt, stellen sich hier andere Herausforderungen als an kariesbedingte Restaurationen: Retentive und überwiegend im Fissurensystem oder approximal lokalisierte Kavitäten sind seltener anzutreffen; stattdessen müssen ganze Höcker oder Flanken ersetzt werden. Daher verwundert es auch nicht, dass Amalgamrestaurationen für MIH-Zähne ungeeignet sind, da 1. unnötig (oftmals gesunder) Schmelz entfernt werden muss, um eine retentive Kavität zu schaffen, 2. der benachbarte Schmelz nur ungenügend gestützt und geschützt wird und 3. die Überlebensraten dieser Restaurationen gering sind [5,17,49].
Auch Glasionomerzementrestaurationen scheinen wenig geeignet für die Restauration von MIH-Molaren: Gerade der Ersatz großflächiger, kaubelasteter Bereiche, womöglich noch als Höckerersatz, kann durch diese Materialien nicht erfolgreich gewährleistet werden. Dies wird mit den niedrigen Biegefestigkeiten und der geringen Abrasionsstabilität von Glasionomerzementen begründet. Die oftmals zitierte Fluoridfreisetzung scheint klinisch von untergeordneter Rolle zu sein. Hervorzuheben ist die einfache Applikation von Glasionomerzementen, da auf umfängliche (und unangenehme) Konditionierungs- und Trocknungsschritte weitgehend verzichtet wird. Zur temporären Versorgung von MIH-Molaren, gerade jenen mit starker Hypersensibilität, könnte dieses Material demnach einen Platz haben (s. u.).

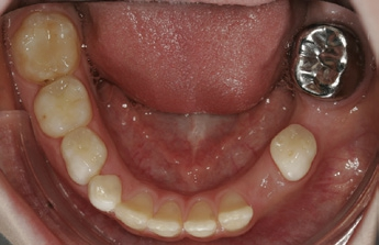
Eine weitere Restaurationsform steht zwischen den direkten und indirekten Restaurationen: Die zur Versorgung von Milchmolaren üblichen präformierten Stahlkronen wurden in klinischen Studien auch zur Versorgung von bleibenden MIH-Molaren erfolgreich angewandt (Abb. 4). Die Überlebensraten dieser Restaurationsform scheinen hoch zu sein (95 % nach 3 Jahren). Bei stark zerstörten MIH-Zähnen könnte diese Restaurationsform zudem mit minimaler Präparation im Sinne einer Hall-Krone angewendet werden, was gerade vor dem Hintergrund der hohen Empfindlichkeit der Zähne relevant sein dürfte [28,36,53]. Die Ästhetik dieser Restaurationsform ist jedoch eingeschränkt und die langfristige Abrasionsstabilität der relativ weichen Legierungen bisher nicht belegt. Zukünftig könnten präformierte Zirkonoxidkronen eine Alternative darstellen.

Eine weitere Option zur Behandlung von MIH-Molaren sind indirekte Restaurationen, vor allem Onlays, Teil- und Vollkronen. Diese werden üblicherweise erst im späten Jugendlichen- oder frühem Erwachsenenalter eingesetzt, wobei die Indikation auf Zähne abzielt, die erhalten werden sollen. Basierend auf klinischen Studien [19,27,36,53] zeigen indirekte Restaurationen hohe Überlebenswahrscheinlichkeiten (ca. 95 % nach 4–5 Jahren). Gerade adhäsiv zu befestigende indirekte Restaurationen (Keramik, auch laborgefertigte Komposite) scheinen hierbei günstig, da eine retentive Präparation entfällt; jedoch zeigen auch Goldrestaurationen hohe Überlebensraten. In bestimmten Fällen sind mitunter zum Ersatz ausgeprägter Defekte auch nur minimale Präparationen notwendig, da eine ausreichende vertikale Dimensionierung durch den Defekt sichergestellt ist. Nachteilig sind bei indirekten Restaurationen vor allem der Aufwand, die Kosten und der Indikationszeitpunkt.
Behandlung von MIH-Inzisivi
Nur sehr wenige Studien haben die Behandlung von MIH-Inzisivi untersucht. Hierbei stehen oft weniger die Wiederherstellung verloren gegangener Zahnhartsubstanz oder etwaige Hypersensibilitäten im Vordergrund, sondern ästhetische Aspekte. Eine Reihe von Konzepten, die auch zur Korrektur vestibulärer White- Spot-Läsionen oder zur Behandlung von ästhetisch einschränkenden Fluorosen eingesetzt werden, steht zur Verfügung. Remineralisierungstherapien (wie beschrieben mittels CPP-ACP oder reinen fluoridhaltigen Präparaten) sind bisher nur in einer Studie für MIH-Inzisivi eingesetzt worden, um Hypersensibilierungen zu behandeln. Eine solche Remineralisierungsbehandlung ist nahezu „nebenwirkungsfrei“ sowie einfach und günstig (teilweise auch durch den Patienten selbst) durchzuführen. Um zusätzlich eine Einlagerung von Fluoriden zu gewährleisten und damit kariösen Läsionen vorzubeugen, scheint die Applikation fluoridhaltigen CPP-ACPs sinnvoll (Tooth Mousse Plus etc.) [37]. Die zusätzliche Anwendung von Ozon konnte in einer Studie die Wirksamkeit dieser Desensibilierungsbehandlung verlängern, kann aber hinsichtlich ihrer Kostenwirksamkeit und Breitentauglichkeit nicht als Standard gelten. Remineralisierungsbehandlungen können auch zur Therapie ästhetisch einschränkender Defekte eingesetzt werden, sind aber bisher in ihrer Wirksamkeit nicht gut untersucht worden. Ein Nachteil solcher Remineralisierungsansätze ist, dass eine hypermineralisierte Oberflächenschicht aufgebaut wird, die – so sich keine ästhetische Verbesserung einstellt – mitunter mikroinvasive Folgetherapien einschränkt.
Zu diesen Therapien gehört beispielsweise die Mikroabrasion. Hierbei wird mit einer abrasiven Paste, mitunter unter Zuhilfenahme anorganischer Säuren wie Phosphor- oder Salzsäure, der betroffene Schmelz teilweise oder vollständig entfernt. In klinischen Studien zeigte diese Therapie zufriedenstellende Ergebnisse [50,51]. Kritisch muss eingewendet werden, dass der Abtrag bei dieser Methode mitunter substanziell ist [38,40,43,44,50]. Mikroabrasionsbehandlungen können unter Umständen auch mit der Therapie mittels Versieglern oder restaurativen Behandlungen (im Falle kavitierter MIH-Läsionen) kombiniert werden. Versiegler zählen ebenfalls zu den mikroinvasiven Therapien. Sie können, teilweise in Kombination mit einer Zahnaufhellung oder der genannten Mikroabrasion, zur Versorgung defekter Schmelzareale oder zur Maskierung verfärbter MIH-Läsionen eingesetzt werden. Hierbei sei hervorgehoben, dass gerade gelbe oder braune MIH-Läsionen nur bedingt zufriedenstellend maskiert werden können [20,51]. Auch die Kunststoffinfiltrationstechnik ist theoretisch vielversprechend, liefert sie doch gerade für White Spots, aber auch (in geringerem Maße) für Fluorosen gute ästhetische Ergebnisse [3]. Hierbei wird poröser Schmelz nach einer Entfernung der Oberflächenschicht mit Kunststoffen durchdrungen, anschließend wird der Kunststoff auspolymerisiert. Da der Lichtbrechungsindex des Kunststoffes dem Brechungsindex von gesundem Schmelz ähnlich ist, kommt es zu einer Maskierung der Läsionen. Die Infiltration von MIH-Läsionen konnte in Studien jedoch nicht zuverlässig erreicht werden, möglicherweise weil die im MIH-Schmelz enthaltenen Proteine eine Penetration des Kunststoffes in den porösen Schmelz verhindern. Bisher existiert kein Behandlungsprotokoll, das zuverlässige ästhetische Ergebnisse mittels Infiltration verspricht [7].
Zusammenfassend sind sowohl non- als auch mikroinvasive Therapien zur ästhetischen Korrektur von MIH-Inzisivi einsetzbar; der Erfolg dieser Behandlungen ist jedoch nur bedingt vorherzusagen. Demgegenüber führen restaurative Therapien zu deutlich besseren ästhetischen Ergebnissen, entfernen jedoch oftmals auch deutlich mehr (gesunde) Zahnhartsubstanz. In klinischen Studien wurde allerdings nur die restaurative Behandlung von MIH-Inzisivi mittels Kompositveneers untersucht, die über 0,5–2,5 Jahre nachverfolgt wurden. Die mittlere Überlebensrate betrug 86 %. Alternative Restaurationen mittels Keramikveneers sind ebenfalls denkbar und lassen ähnliche Überlebensraten erwarten. Deutlich hervorzuheben ist, dass die Platzierung von Veneers irreversibel ist: Gescheiterte Veneers müssen durch neue Veneers oder (unter zusätzlichem Verlust von Zahnhartsubstanz) durch Kronen ersetzt werden. Eine Veneerversorgung sollte demnach nur als letzte Option zur ästhetischen Korrektur von MIH-Inzisivi angesehen werden.
Empfehlungen für ein evidenzgeleitetes Behandlungskonzept
Wie dargelegt, sind die verschiedenen Behandlungsoptionen von MIH nur bedingt durch klinische Studien belegt. Im Folgenden soll daher kein „evidenzbasiertes“, sondern ein evidenzgeleitetes Konzept zur Behandlung von MIH-Zähnen veranschaulicht werden. Dabei ist der Fokus weniger auf die spezifischen Behandlungen gerichtet, sondern auf die Prinzipien, die dem Konzept zugrunde liegen.
Ein zentraler und bisher wenig beleuchteter Aspekt ist die frühe Detektion von MIH. Mitunter kann bereits im Milchgebiss die sog. MMH (Milchmolaren-Hypomineralisation) bzw. DMH (Decidous Molar Hypomineralistion) aufgefunden werden. Das Auftreten dieser Hypomineralisation ist häufig vergesellschaftet mit entsprechenden Hypoplasien im bleibenden Gebiss [10]. Ebenso ist eine frühzeitige Detektion von MIH beim Durchbruch der ersten bleibenden Molaren möglich. Die frühe Detektion ist entscheidend, um der Entstehung von Hypersensibitäten und Karies vorzubeugen. Gerade in solchen frühen Stadien ist eine wirksame Prävention, z. B. mittels Remineralisierungsstrategien oder Fissurenversieglern, erfolgreich und auch gut zu bewältigen (gerade weil die Zähne noch nicht stark empfindlich sind). Sollten bereits Hypersensibilitäten vorliegen, ist zunächst eine symptomatische Behandlung angezeigt, da weitergehende Therapien an den stark empfindlichen Zähnen oft nicht möglich sind. Eine solche Behandlung kann z. B. durch Remineralisierungsstrategien, u. a. auch durch eine Applikation von Desensitizern oder Adhäsiven (z. B. selbstkonditionierenden Adhäsiven), mitunter kombiniert mit der Applikation von Komposit (z. B. Flowable für kleinere Defekte), realisiert werden. Erst dann kann, im Sinne einer sekundär- oder tertiärpräventiven Behandlung, in Stufen die Behandlung vorhandener hypomineralisierter Defekte erfolgen.
Dieses Stufenkonzept sollte geleitet werden von dem Gedanken, zunächst wenig invasive Therapien einzusetzen und nur schrittweise eskalierend zu therapieren. Eine Ausnahme stellt – wie dargelegt – die frühe Indikationsstellung zur Extraktion der MIH-Molaren dar; hier muss mitunter (gerade zur temporären Versorgung der Zähne) invasiver vorgegangen werden. In der Regel ist zur Restauration von MIH-Defekten im Molarenbereich Komposit empfehlenswert. Auch die Nutzung von präformierten Kronen ist denkbar, u. a. wenn der Erhalt des Zahnes langfristig angestrebt und die Platzierung indirekter Restauration angedacht ist. Ebenso ist eine temporäre Versorgung stark defekter MIH-Molaren, die für eine Extraktion vorgesehen sind und bis zum günstigsten Zeitpunkt im Mund gehalten werden müssen, mittels solcher Stahlkronen möglich. Indirekte Restaurationen sind erst im späten Jugendlichen- bzw. Erwachsenenalter empfehlenswert; hierbei sollten adhäsive, defektorientierte Restaurationen bevorzugt werden.
Zur Behandlung von MIH-Inzisivi ist auch eine Behandlung in Stufen zu empfehlen. Non- oder mikroinvasive Therapien (z. B. Bleaching, Infiltration) können zunächst explorativ eingesetzt werden, auch wenn sie weniger vorhersehbar sind. Sollten diese Therapien nicht erfolgreich eingesetzt werden, kann immer noch invasiv, z. B. mittels direkten Kompositrestaurationen oder mit indirekten (Veneer-)Versorgungen, vorgegangen werden. Für Letztere sind minimalinvasive Vorgehensweisen (minimaler Substanzabtrag) empfehlenswert. Einschränkend muss die geringere Haftung von Adhäsiven an MIH-Schmelz hervorgehoben werden; klinische Studien zeigen jedoch gute Überlebenswahrscheinlichkeiten von Veneers auf MIH-Inzisivi.
Schlussfolgerungen
Die Behandlung von MIH ist eine Herausforderung: Gerade im Molarenbereich erschweren die oftmals auftretenden Hypersensibilitäten eine Therapie, auch sind – so vorliegend – schwerwiegende Schmelzdefekte nur eingeschränkt mit konventionellen Konzepten therapierbar. Zentral ist demnach, der Entstehung von Pulpaentzündungen und Empfindlichkeiten frühzeitig nach dem Durchbruch, beispielsweise mittels Remineralisierungs- oder Versiegelungsbehandlung, vorzubeugen. Sollten restaurative Behandlungen nötig sein, sind adhäsive Materialien, idealerweise Komposit, einzusetzen. Alternativ kann, vor allem als Überbrückungsbehandlung, auch eine Versorgung mit präformierten Stahlkronen erfolgen, wodurch Zähne über einen längeren Zeitraum retiniert werden können. So kann, unter kieferorthopädischer Begleitung, Zeit für eine etwaige Extraktion von stark betroffenen Zähnen gewonnen oder ein günstiger Zeitpunkt zur Platzierung indirekter (Komposit, Keramik) Restaurationen abgewartet werden. Bei MIH-Inzisivi stehen die ästhetischen Einschränkungen im Vordergrund. Hier ist ein wenig invasives, stufenweises Konzept angezeigt, bei dem zunächst noninvasive Strategien bzw. mikroinvasive Behandlungen (Remineralisierung, Versiegelung, Infiltration) eingesetzt werden sollten. Diese sind im Allgemeinen weniger vorhersehbar als invasive (restaurative) Strategien, opfern jedoch auch keine oder nur wenig Zahnhartsubstanz und vermeiden, in den Zyklus sich wiederholender, eskalierender Restaurationen einzusteigen. Sollten für schwerwiegende Fälle Veneers o. ä. eingesetzt werden, ist die Präparation möglichst minimalinvasiv zu gestalten oder, falls möglich, ganz auf sie zu verzichten.
Näheres zu den Autoren des Fachbeitrages: Univ.-Prof. Dr. Falk Schwendicke, Prof. Dr. Paul-Georg Jost-Brinkmann, Prof. Dr. Sebastian Paris, Karim ElhennawyBildquellen sofern nicht anders deklariert: Unternehmen, Quelle oder Autor/-in des Artikels
Entdecke CME Artikel





Keine Kommentare.