Im Rahmen der EuroPerio 9 wurde am 22. Juni 2018 in Amsterdam die schon länger erwartete und bereits im Vorfeld diskutierte neue Klassifikation der parodontalen und periimplantären Erkrankungen der Öffentlichkeit vorgestellt. Ziel der neuen Klassifikation ist die Berücksichtigung der neuen Erkenntnisse, besonders zur Ätiologie und Pathogenese der parodontalen Erkrankungen, die seit dem International Workshop for a Classification of Periodontal Diseases and Conditions 1999 [4] hinzugekommen sind, mit erstmaliger Einbeziehung periimplantärer Erkrankungen.
Die Klassifikation als Matrix für die Diagnose
Jede zahnmedizinische Intervention muss auf der Grundlage einer genau definierten und reflektierten Diagnose erfolgen. Diese beruht zuerst einmal auf Informationen, die in der allgemeinen Anamnese, in der speziell zahnmedizinischen, in der Familien- und in der sozialen Anamnese erhoben werden. Hinzu kommen die Daten aus der klinischen Untersuchung, wie extra- und intraorale Befunde, Zahn- und Parodontalstatus mit Hygiene- und Entzündungsparametern und Befunde aus röntgenologischen Darstellungen, ergänzend unter Umständen die Ergebnisse von Labortests zur weiteren Abklärung der Mikrobiologie und der Aktivität einzelner Enzyme, wie etwa der Matrix-Metalloproteinase 8 (aMMP-8).
Eine Krankheitsklassifikation stellt nun gewissermaßen die Matrix dar, mit deren Hilfe die gesammelten Informationen zu einer möglichst passgenauen und individualisierten Diagnose vereinigt werden können. Diese individualisierte Diagnose ist wiederum Voraussetzung für die immer nachdrücklicher geforderte personalisierte Therapie jedes Patienten. Da parodontale Erkrankungen häufig einen chronischen Verlauf haben, ist ein einmaliges Erarbeiten und Festlegen der Diagnose nicht ausreichend. Vielmehr müssen nach einzelnen therapeutischen Schritten und regelmäßig in der Nachbeobachtung eines Patientenfalls Befunde im Sinne einer Reevaluation kontrolliert und neu erhoben werden. Hier ist es Aufgabe eines Klassifikationssystems, die sich im Laufe der Zeit ergebenden Veränderungen möglichst genau abbilden zu können.
Erstmals definiert: klinische parodontale Gesundheit
Eine wichtige Neuerung ist die erstmalig vorhandene Definition des Begriffs der klinischen parodontalen Gesundheit [25]. Im gingivalen Sulcus ist auch unter optimalen Hygienebedingungen stets eine geringe Menge eines bakteriellen Biofilms vorhanden, eine absolute Keimfreiheit ist unter klinischen Bedingungen nicht denkbar. Als Reaktion hierauf wird sich histologisch in der Regel ein begrenztes subepitheliales Infiltrat aus neutrophilen Granulozyten (PMN) finden lassen, womit auf den ersten Blick die Kriterien für das Vorliegen der Initialläsion einer Gingivitis erfüllt sind [39]. Solange jedoch die Homöostase zwischen Biofilm und einem geringen PMN-Infiltrat erhalten bleibt, wird dieser Zustand als Ausdruck einer immunologischen Kontrolle und damit als physiologischer und nicht als pathologischer (Entzündungs-)Prozess angesehen [8,9]. Ob der Zustand klinischer parodontaler Gesundheit bestehen bleibt, hängt von der mikrobiologischen Belastung und von Wirtsfaktoren ab. Letztere können in lokal prädisponierende Faktoren, wie vorhandene parodontale Taschen, zahnärztliche Restaurationen und anatomische Gegebenheiten (Wurzelform, Zahnstellung), die zur vermehrten Biofilmakkumulation führen, und systemisch modifizierende Faktoren (Immunfunktion, systemische Gesundheit, genetische Prädisposition) gegliedert werden.
Unterscheidung: parodontale Gesundheit am intakten vs. am reduzierten Parodontium
Unterschieden wird ein Zustand klinischer parodontaler Gesundheit am intakten Parodontium von dem am reduzierten Parodontium, bei dem bereits ein klinischer Attachmentverlust eingetreten ist. Dieser klinische Attachmentverlust kann entzündungsbedingt im Verlauf einer Parodontitis entstanden sein. Dann kennzeichnet der Begriff der klinischen parodontalen Gesundheit einen stabilen Zustand nach erfolgreicher parodontaler Therapie. Ebenso kann klinische parodontale Gesundheit trotz Attachmentverlust infolge von Rezessionen oder iatrogenen Veränderungen, z.B. nach einer chirurgischen Kronenverlängerung, vorliegen [12]. Klinisches Kennzeichen ist immer das Ausbleiben einer Blutung nach vorsichtiger Sondierung (Bleeding on Probing = BoP; Einzelheiten zu diesem Parameter s.u.). In der Klassifikation wird eine stellen- bzw. zahnspezifische Diagnose, bei der an der Untersuchungsstelle ein negativer BoP-Befund gemessen werden muss, von der Diagnose für die komplette Dentition oder für epidemiologische Studien differenziert, bei der ein Schwellenwert von höchstens 10% blutungspositiver Messpunkte noch die Kriterien der klinischen parodontalen Gesundheit erfüllt. Die Sondierungstiefen dürfen maximal 3 mm betragen; bei reduziertem Parodontium nach parodontaler Therapie wird noch bei einem Grenzwert von 4 mm ein stabiler Zustand angenommen („closed pocket“, [35]).
Ein Parodontitispatient bleibt zeitlebens Parodontitispatient
Wird bei einem Patienten oder an einem Zahn der Zustand „klinischer parodontaler Gesundheit“ diagnostiziert, ist es wichtig, die Differenzierung dieser Diagnose bezüglich der speziellen Anamnese im Blick zu behalten: Parodontitis ist eine chronische Erkrankung, die durch eine adäquate Therapie erfolgreich kontrolliert werden kann, sodass Zähne langfristig erhalten werden können. Während ein Patient mit einer Gingivitis wieder einen Status vollständiger Gesundheit erreichen kann, bleibt der Parodontitispatient jedoch zeitlebens ein Parodontitispatient, der einer Erhaltungstherapie zur Vermeidung eines Krankheitsrezidivs bedarf [11]. Auch bei einem Patienten, bei dem eine stabile Situation erreicht wurde – die entsprechend dieser Klassifikation als „klinische parodontale Gesundheit am reduzierten Parodontium“ einzuordnen ist –, besteht dauerhaft ein höheres Risiko für eine erneute Krankheitsprogression als bei einer Person ohne parodontale Vorerkrankung oder bei einem Gingivitisfall.
Für die Kommunikation mit den Patienten ist es positiv zu werten, dass im Sinne des Konzeptes der Salutogenese ein Behandlungserfolg auch wieder als Zustand von Gesundheit charakterisiert werden kann [3]. Das aufgrund der Vorerkrankung veränderte Risikoprofil muss aber weiterhin in der Patienteninformation berücksichtigt bleiben. Wenn die Werte der Sondierungsblutung bei einem Parodontitispatienten therapeutisch nicht unter den Schwellenwert von 10% gebracht werden, aber eine signifikante Reduktion der BoP-positiven Stellen eintritt, wird nicht mehr von parodontaler Stabilität, sondern nur von einer Remission als Ausdruck teilweiser Krankheitskontrolle gesprochen [5].
Plaque-induzierte Gingivitis
Die neue Klassifikation unterscheidet weiterhin zwischen der Plaque-induzierten Gingivitis und nicht Plaque-induzierten gingivalen Erkrankungen [12]. Die Plaque-induzierte Gingivitis wird wie in der Klassifikation von 1999 [34] als unspezifische entzündliche Läsion infolge einer begrenzten immunologischen Reaktion auf eine vermehrte Biofilmansammlung am Gingivarand und im gingivalen Sulcus definiert, die sich nur im Bereich der Gingiva manifestiert und Wurzelzement, parodontales Ligament und den Alveolarknochen ausspart [38]. Die klinischen Kennzeichen sind Schwellung, Rötung, unter Umständen eine Schmerzempfindlichkeit und, für die Diagnose ausschlaggebend, die Blutung bei vorsichtigem Sondieren [45]. Die klinischen Symptome der Gingivitis sind begrenzt auf die freie und befestigte Gingiva und überschreiten nicht die mukogingivale Grenze, die Entzündung ist nach Zerstörung des Biofilms reversibel, das parodontale Attachmentlevel bleibt stabil [38]. Da einer Parodontitis zwingend eine Gingivitis vorangeht, ist die Behandlung der Gingivitis die wichtigste Maßnahme zur Prävention einer Parodontitis und eines Parodontitisrezidivs [34]. Die Biofilm-induzierte Gingivitis kann durch orale Faktoren, die die Formation von Biofilm begünstigen, und systemische Faktoren, wie Hyperglykämie, Leukämie, Rauchen, Mangelernährung (Vitamin C) und Veränderungen des Spiegels an Steroidhormonen während Pubertät und Schwangerschaft, verstärkt werden [48].
Weshalb der BoP-Index für die Diagnostik?
Als wesentliches diagnostisches Kriterium für die Unterscheidung zwischen klinischer parodontaler Gesundheit und Gingivitis wurde für die aktuelle Klassifizierung der BoP-Index ausgewählt. Im Gegensatz zum häufig für die Gingivitisdiagnostik verwendeten Gingiva-Index (GI) [32], bei dem ein leichter Druck von außen auf den Gingivarand ausgeübt wird (Score 2 des GI), wird beim BoP die Blutung durch Druck auf den Boden des Sulcus oder der parodontalen Tasche stimuliert. Die Ergebnisse der Indizes korrelieren gut bei höheren Sondierungstiefen (ST), bei ST ? 2 mm ist eine schlechtere Übereinstimmung festzustellen [13]. Auf histologischer Ebene besteht eine Assoziation zwischen einem positiven BoP-Befund und dem prozentualen Anteil des von einem entzündlichen Infiltrat betroffenen Bindegewebes [17,18]. Da der BoP-Index der Standardparameter zum klinischen Monitoring der Entzündungsaktivität in Parodontitisfällen ist, sprachen praktische Gründe für eine Vereinheitlichung in der Verwendung der klinischen Parameter [49]. Der BoP-Index hat eine hohe Zuverlässigkeit zur Vorhersage inaktiver parodontaler Stellen [26]. Der BoP-Index wird häufiger als andere Indizes in Studien angegeben, in denen über die Korrelation parodontaler Zustände mit von Patienten angegebenen Symptomen [6] und der mundgesundheitsbezogenen Lebensqualität berichtet wird [15].
Ein Sondierungsdruck entsprechend einer Belastung mit einem Gewicht von ? 25 g führt zu falsch positiven Ergebnissen [23,28]; daher wird eine Kalibrierung der Untersucher oder die Verwendung druckkalibrierter Sonden empfohlen.
Bei der Interpretation der BoP-Werte ist mit einzubeziehen, dass die Blutungsreaktion nach vorsichtigem Sondieren von verschiedenen patientenbezogenen Faktoren abhängig ist: Die Blutungsreaktion beim Entwickeln einer Gingivitis wird durch Rauchen reduziert [41]. Eine Medikation mit Antikoagulantien hingegen erhöht die Blutungsreaktion [43]. Zur Beurteilung eines Falls und zur Einschätzung der Prävalenz parodontaler Erkrankungen hat sich gezeigt, dass durch Untersuchung der gesamten Dentition präzisere Ergebnisse erzielt werden als bei Untersuchung einzelner Indexzähne, v.a. für die Parodontitisdiagnostik [33,46,47]. Daher sollte diese Methode konsequenterweise auch für die Gingivitisdiagnostik angewandt werden.
Analog zur Beschreibung des Zustands der klinischen parodontalen Gesundheit wird auch bei der Gingivitis wieder zwischen einer stellen- bzw. zahnspezifischen Diagnose („gingivitis site“) und einer Diagnose auf Patientenebene unterschieden („gingivitis case“, [49]). Bei einem Patienten liegt eine lokalisierte Gingivitis vor, wenn an mehr als 10 und maximal 30% der Messstellen ein positiver Blutungsbefund (BoP+) erhoben wird; bei über 30% an BoP-positiven Messstellen besteht eine generalisierte Gingivitis. Die Sondierungstiefen dürfen grundsätzlich maximal 3 mm betragen (Tab. 1a). Weiterhin wird wie bei der klinischen parodontalen Gesundheit zwischen Gingivitis am intakten und reduzierten Parodontium unterschieden (Tab. 1b, c).
Prof. Dr. Peter Hahner, Prof. Dr. Georg Gaßmann
Prof. Dr. Peter Hahner, Prof. Dr. Georg Gaßmann
Prof. Dr. Peter Hahner, Prof. Dr. Georg Gaßmann
Die aktuelle Klassifikation sieht also eine sehr differenzierte Beschreibung von parodontalen Diagnosen vor: Bei einem Patienten mit dem Zustand parodontaler Gesundheit kann sich zuerst eine Gingivitis am intakten Parodontium entwickeln, die vollständig reversibel ist. Auf dem Boden dieser Gingivitis kann eine Parodontitis mit Attachmentverlusten entstehen. Dann ist aus dem parodontal gesunden Patienten über die Zwischenstufe „Gingivitispatient“ ein „Parodontitispatient“ geworden. Je nach Erfolg oder Misserfolg der parodontalen Therapie erreicht dieser Parodontitispatient einen Zustand parodontaler Gesundheit (= stabiler Fall) bzw. einen Zustand mit Stellen gingivaler Entzündung (= „Gingivitis bei reduziertem Parodontium“) oder er bleibt Parodontitispatient (= nicht stabiler Fall mit wiederkehrenden Erkrankungsschüben) [12].
Nicht Plaque-induzierte Gingivitis
Wie schon in der Klassifikation von 1999 [21] wird der Plaque-induzierten Gingivitis eine Reihe von sehr heterogenen Krankheitsbildern gegenübergestellt, bei denen gingivale Veränderungen ohne induzierenden Biofilm zu beobachten sind [22]. Hauptsächliche Veränderungen sind in der Anpassung der Nomenklatur an die diagnostischen Codes der ICD (= International Statistical Classification of Diseases and Related Health Problems) zu sehen. Die klinische Relevanz für die Berücksichtigung der hier zusammengefassten Krankheitsbilder begründet sich daraus, dass es sich um eine Reihe auch schwerwiegender Pathologien handelt, die häufig zuerst über orale Symptome auffällig werden und durch das zahnärztliche Team nicht übersehen werden sollten. Für detailliertere Informationen muss in diesem Zusammenhang auf die einschlägige Literatur verwiesen werden (Übersicht z.B. bei Holmstrup et al. [22]).
Parodontitis
Parodontitis wird als Erkrankung definiert, bei der infolge einer mikrobiell bedingten und durch Wirtsfaktoren modulierten Entzündung parodontale Gewebeverluste entstehen, die beim Sondieren als klinischer Attachmentverlust (CAL) registriert werden können [46]. Die Tatsache, dass es sich bei der Parodontitis um eine Erkrankung handelt, die in unterschiedlichen Altersgruppen beginnt und eine unterschiedliche Krankheitsprogression zeigt, ist seit Langem bekannt. Diese Charakteristika dienten bisher als Grundlage für die Formulierung unterschiedlicher Diagnosen: Der World Workshop in Clinical Periodontics 1989 nahm eine Gruppierung in präpubertäre, lokalisierte und generalisierte juvenile, Erwachsenen- und rasch fortschreitende Parodontitis vor [10]. In einem europäischen Konsensuspapier von 1993 findet sich eine Vereinfachung in früh beginnende (early onset) und Erwachsenenparodontitis [24]. Die bisher gültige Klassifizierung kannte eine Einteilung in chronische und aggressive Parodontitis, jeweils in einer lokalisierten und generalisierten Ausprägung, in nekrotisierende Parodontalerkrankungen, parodontale Abszesse und Parodontalerkrankungen als Manifestation systemischer Erkrankungen [28, 30,31].
In den vergangenen Jahren zeigten sich zunehmend Schwächen der bestehenden Klassifizierung, insbesondere bedingt durch neuere Erkenntnisse zur Ätiologie und Pathogenese. Es wurde bemängelt, dass Einflussfaktoren, wie etwa das Patientenalter, Rauchgewohnheiten und systemische Erkrankungen, zu wenig in die Diagnose einfließen, Überschneidungen zwischen Diagnosen vorkommen und klare, pathobiologisch begründbare Unterschiede zwischen einzelnen Krankheitsbildern fehlen [1].
System für eine differenzierte Parodontitisdiagnose
Zur Charakterisierung eines Patientenfalls als Parodontitisfall werden in der neuen Klassifikation drei Schritte angegeben:
- die Identifikation eines Patienten als an Parodontitis erkrankt,
- die Bestimmung der spezifischen Form der Parodontitis und
- die Beschreibung des klinischen Krankheitsbildes und der Faktoren, die sich auf Therapie, Prognose und potenzielle Einflüsse auf die systemische Gesundheit auswirken [46].
Die Diagnose „Parodontitis“ wird gestellt, wenn an mindestens 2 nicht benachbarten Zähnen ein approximaler klinischer Attachmentverlust vorliegt oder ein bukkaler oder oraler klinischer Attachmentverlust von ? 3 mm mit Sondierungstiefen ? 3 mm zu finden ist. Als Ursache auszuschließen sind traumatische gingivale Rezessionen, Wurzelkaries, klinische Attachmentverluste distal der 2. Molaren im Zusammenhang mit retinierten 3. Molaren oder nach chirurgischer Entfernung der 3. Molaren, Fisteln von endodontalen Läsionen durch das Parodontium oder vertikale Wurzelfrakturen [40].
Nunmehr werden Parodontitisfälle anhand pathophysiologischer Kriterien in die Diagnosen Parodontitis, nekrotisierende Parodontitis und Parodontitis als direkte Manifestation systemischer Erkrankungen eingeteilt [46]. Die Diagnose „aggressive Parodontitis“ wird mit der Begründung aufgegeben, dass die bestehende Definition zu weit gefasst und daher eine klare Abgrenzung zu weniger progressiv verlaufenden Formen nicht möglich ist und zu wenige Daten über Spezifika bei Krankheitsbeginn und -progression und in unterschiedlichen geografischen Regionen vorliegen [16].
„Staging and Grading“ als Kernstück
Prof. Dr. Peter Hahner, Prof. Dr. Georg Gaßmann
Der Schweregrad hat Auswirkungen auf die Komplexität der Behandlung. Während die Stadien I und II (initiale und moderate Parodontitis) durch nichtchirurgische antiinfektiöse Therapie bei angemessener Compliance des Patienten und einer strukturierten Erhaltungstherapie (UPT) gut kontrolliert werden können, erfordert eine Erkrankung im Stadium III (schwere Parodontitis) in der Regel weitere, häufig aufwendigere, auch parodontalchirurgische Interventionen. Im Stadium IV (fortgeschrittene Parodontitis) sind wegen der vorhandenen Zahnverluste (mehr als 5 Zähne) mit Einschränkung der Kaufunktion darüber hinaus komplexe Rehabilitationen unumgänglich.
Prof. Dr. Peter Hahner, Prof. Dr. Georg Gaßmann
Als Differenzialdiagnosen zur Parodontitis gibt die neue Klassifikation die nekrotisierende Parodontitis (s.u.) und Parodontitis als direkte Manifestation bestimmter systemischer Erkrankungen an [40]. Letztere wie etwa das Down-Syndrom und das Papillon-Lefèvre-Syndrom sollen mithilfe der diagnostischen Codes der ICD systematisiert werden [2].
Akute parodontale Läsionen
Neben der neuen Systematisierung der Diagnose „Parodontitis“ werden mehrere Erkrankungen in einer Gruppe sogenannter akuter parodontaler Läsionen zusammengefasst. Diesen ist gemeinsam, dass sie in der Regel mit einer rasch fortschreitenden parodontalen Destruktion und Schmerzen einhergehen, sodass Patienten häufig auch zu einer Akutbehandlung die Praxis aufsuchen.
Die nekrotisierenden Parodontalerkrankungen zeichnen sich klinisch durch eine ausgeprägte gingivale Blutung, Nekrosen und Ulzera der interdentalen Papillen und Schmerzen aus. Begleitend können eine Halitosis, die Bildung von Pseudomembranen, eine regionale Lymphadenopathie und Fieber vorkommen. Je nach Ausbreitungsgrad wird zwischen einer nekrotisierenden Gingivitis, die auf die gingivalen Strukturen beschränkt ist, einer nekrotisierenden Parodontitis mit zusätzlich rasch verlaufendem Knochenverlust und einer nekrotisierenden Stomatitis, die sich bis in die alveoläre Mukosa ausbreitet und durch freiliegende Knochenanteile und Sequesterbildung gekennzeichnet ist, unterschieden [19]. Die nekrotisierende Parodontitis wird den Parodontitiden zugerechnet (s.o.). Ursächlicher Faktor für alle nekrotisierenden Parodontalerkrankungen ist ein typischer Biofilm, in dem neben anderen parodontalpathogenen Spezies regelmäßig Spirochäten gefunden werden [14]. Eine weitere Gemeinsamkeit ist die stark reduzierte Immunabwehr, etwa aufgrund einer HIV-Infektion, AIDS (acquired immune deficiency syndrom) oder aufgrund von Mangelernährung oder ausgeprägten Stresssituationen.
Parodontale Abszesse werden ebenfalls zu den akuten parodontalen Läsionen gezählt. Es handelt sich um eine lokalisierte Akkumulation von Pus innerhalb einer parodontalen Tasche mit ausgeprägtem Gewebszusammenbruch [19], in der Regel im Zusammenhang mit hohen Sondierungstiefen, einem positiven BoP-Index und Zahnmobilität. Bei Parodontitispatienten können Abszesse auftreten auf dem Boden einer unbehandelten Parodontitis, als akutes Rezidiv in sogenannten refraktorischen Fällen und während der Erhaltungstherapie (UPT). Abszessbildung während der Erhaltungstherapie ist ein häufiger Grund für Zahnverluste [36,44]. Außerdem können Abszesse nach zahnmedizinischen Intervention gesehen werden, z.B. nach Scaling durch Dislokation von Zahnstein und Konkrementen in die Tiefe der parodontalen Tasche oder durch inadäquate Instrumentierung mit koronalem Verschluss der Tasche bei verbleibenden Zahnstein in der Tiefe, nach parodontaler Chirurgie, wenn bei unzureichendem Wundverschluss eine Infektion von eingebrachtem Fremdmaterial (Membran, Knochenersatzmaterial) ausgelöst wird, und bei einer systemischen Antibiose ohne begleitendes mechanisches subgingivales Débridement.
Differenzialdiagnostisch abzugrenzen sind parodontale Abszesse bei Patienten ohne Parodontitis: Die Gründe hierfür können impaktierte Fremdkörper (Zahnseide, orthodontische Hilfsmittel wie Gummibänder, Retraktionsfäden, Reste von Kofferdam oder Abformmaterial), iatrogene Perforationen, Wurzelfrakturen oder kombinierte Endo-Paro-Läsionen sein.
Die Anwendung der aktuellen Klassifikation im Patientenfall
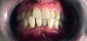
Zur Verdeutlichung sollen die neuen Kriterien abschließend auf einen konkreten klinischen Fall angewendet werden (Abb. 1–3). Es handelt sich um einen 25-jährigen Patienten, der sich auf Überweisung des Hauszahnarztes vorstellt und über zunehmende Schmerzen beim Abbeißen und eine seit Tagen bestehende und größer werdende Gingivaschwellung im Frontzahnbereich des Unterkiefers berichtet. Die allgemeinmedizinische Anamnese ist unauffällig, der Patient ist Nichtraucher. Intraoral zeigt sich eine druckdolente Schwellung vestibulär in regio 41/42, massive Zahnsteinablagerungen lingual an den unteren Frontzähnen und vestibulär der oberen Molaren, Entleerung von Pus aus den Sulci der Zähne 31 – 43. Einzelne Zähne weisen eine pathologische Mobilität auf (42/Grad III, 41/II, 31/I, 32/I) bei positivem Befund der thermischen Vitalitätsprüfung.
Prof. Dr. Peter Hahner, Prof. Dr. Georg Gaßmann
Prof. Dr. Peter Hahner, Prof. Dr. Georg Gaßmann
Prof. Dr. Peter Hahner, Prof. Dr. Georg Gaßmann
Aus den klinischen und röntgenologischen Befunden können als Diagnosen formuliert werden:
- parodontaler Abszess in regio 42 und 41 als Folge einer bisher unbehandelten Parodontitis
- Parodontitis (Stadium III, generalisiert; Grad C – schnelle Progression)
Das Staging folgt aus den klinischen und röntgenologischen Parametern, da mehrere Zähne Sondierungstiefen über 6 mm und einen vertikalen Knochenabbau aufweisen (Abb. 2 und 3; vgl. Tab. 2). Zum Grading existiert zwar keine direkte Evidenz für einen Attachmentverlust von mehr als 2 mm in den vergangenen 5 Jahren, da keine Befunde aus der Vergangenheit vorliegen. Der Quotient aus prozentualem Knochenverlust und Alter erreicht aber an mehreren Zähnen einen Wert von über 1,0. Trotz der hohen Menge an vorhandenem Biofilm übersteigt die schon stattgefundene parodontale Destruktion erheblich das für einen 25-jährigen Patienten erwartbare Ausmaß. Der Patient stellt sich zudem in einem Stadium rascher Krankheitsprogression vor (vgl. Tab. 3).
Auf der Grundlage dieser Diagnosen können die Behandlungsplanung und die prognostische Einschätzung erfolgen. Der parodontale Abszess erfordert eine Akutbehandlung vor Beginn der systematischen Parodontitistherapie. Eine Erkrankung im Stadium III (schwere Parodontitis) bedingt über die mechanische antiinfektiöse Therapie hinaus komplexe, ggf. chirurgische parodontologische Interventionen. Die vermutete schnelle Progression (Grad C) gibt Hinweise auf mögliche Probleme während der Therapie und auf ein erhöhtes Risiko für Rezidive und weiteren Attachmentverlust in der Zukunft. Diese Faktoren müssen in der Patientenberatung und individualisierten Therapie zur Auswahl der Therapieoptionen mit der höchsten Evidenz für einen Behandlungserfolg und für die Organisation der Erhaltungstherapie berücksichtigt werden.
Näheres zu den Autoren des Fachbeitrages: Prof. Dr. Peter Hahner, Prof. Dr. Georg GaßmannBildquellen sofern nicht anders deklariert: Unternehmen, Quelle oder Autor/-in des Artikels
Entdecke CME Artikel




Keine Kommentare.