Wer tiefe Klasse-II-Kavitäten erfolgreich mit Komposit füllen möchte, benötigt eine gute Anwendungstechnik [1]. Das Prinzip hat sich in den letzten 20 bis 30 Jahren kaum geändert und die Verbesserungen liegen eher im Detail. So stehen seit einigen Jahren z.B. Bulk-Fill-Komposite zur Verfügung, die wegen des geringeren Schrumpfungsstresses und der höheren Transluzenz in Schichten von zumeist 4 mm eingebracht und polymerisiert werden können.
Dabei sollte – wie bei anderen Kompositen auch – auf den C-Faktor* geachtet werden [2]. Studien zeigen in Bezug auf die Erfolgsraten kaum Unterschiede für die einzelnen Materialien und Methoden [3]. Unabhängig davon wird eine Restauration aber nur dann erfolgreich sein, wenn eine bewährte Arbeitstechnik in geeigneter Weise angewendet wird.
Matrizen sollten daher für eine gute Randadaptation und suffiziente Approximalkontakte präzise angepasst und verkeilt werden [4,5]. Hierfür stehen eine Reihe konfektionierter Systeme und individuell einsetzbare Einzelkomponenten zur Verfügung.
Benachbarte Defekte
Sehr häufig müssen zwei benachbarte approximale Defekte in einer Sitzung gleichzeitig versorgt werden, sei es wegen kontaktbedingter Karies oder weil vorhandene Füllungen erneuerungsbedürftig sind. In diesen Fällen sollte immer zuerst nur eine Füllung mit möglichst anatomisch einwandfreier Gestaltung komplett fertiggestellt werden. Dies gelingt am besten, indem die approximale Wand einschließlich Randleiste aufgebaut und damit für das optimale Verhalten bei der Lichtpolymerisation in eine Klasse-I-Kavität umgewandelt wird [6].
Erst wenn die 1. Füllung fertiggestellt und poliert ist, sollte mit der 2. Füllung begonnen werden. Die entsprechenden Arbeitsschritte bei mittelgroßen Defekten beschreibt die nachfolgende Falldokumentation.
Fallbeschreibung
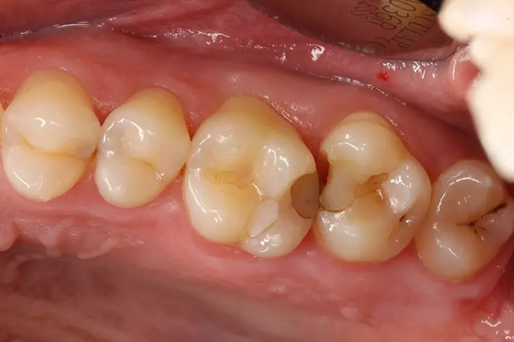
Bei einem 31-jährigen Patienten ohne Vorerkrankungen mussten aufgrund primärer und sekundärer Karies mehrere Seitenzahnfüllungen ersetzt und erneuert werden. Die Zähne 26 und 27 waren mit älteren Kompositfüllungen versorgt.
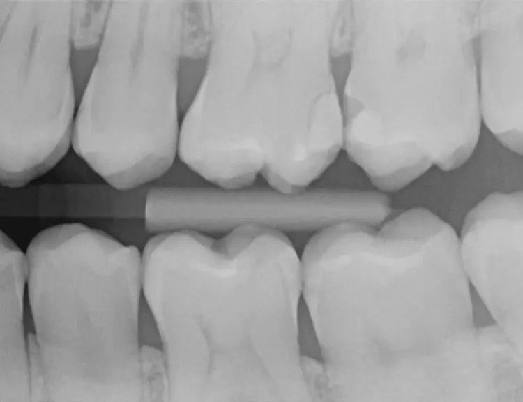
Die vorhandenen Restaurationen waren defekt und undicht, sodass sich Speisereste einlagerten (Abb. 1). Die Bissflügelaufnahme bestätigte den klinischen Befund (C2). Die Sekundärkaries hatte nur wenig das Dentin infiltriert (Abb. 2).
Dr. Denner
Dr. Denner
Therapie
Behandlungsplanung
Die Exkavation der Karies, Primärpräparation und Randglättung an den Zähnen 26 und 27 sollten ohne Kofferdam erfolgen. Nach Anlegen des Kofferdams kann mit der adhäsiven Füllungstherapie begonnen werden (Abb. 3).
Dr. Denner
Dr. Denner
Die dünne Teilmatrize für Molaren für die Füllung an Zahn 27 (bombierte Teilmatrize Quickmat Deluxe 0,04 x 6,4 mm, Polydentia) ließ sich leicht adaptieren und zervikal abdichten (Abb. 4). Die Oberfläche der Kavität soll nach der Anwendung mit einem Adhäsiv (Futurabond U, VOCO) zunächst dünn mit einem fließfähigen Nanohybrid-Ormocer-Komposit (Admira Fusion Flow, VOCO) überschichtet werden.
Abfolge der Behandlungsschritte
Um die Klasse-II- in eine Klasse-I-Kavität zu überführen, wurde zunächst die Randleiste mit einem hochviskösen Nanohybrid-Bulk-Fill-Komposit (GrandioSO x-tra, VOCO) aufgebaut (Abb. 5 und 6). Da das Material leicht modellierbar und die 0,04 mm dünne Stahlmatrize ausreichend stabil war, konnte bei diesem Schritt auf die Verwendung eines Matrizenrings verzichtet werden.
Dr. Denner
Dr. Denner
Dies erleichterte zudem die Übersicht und den Zugang für die Modellierinstrumente. Beim Aufbau der Randleiste war darauf zu achten, dass diese zum Nachbarzahn hin abgerundet wurde, um eine natürliche Einziehung zum späteren Einführen der Zahnseide sicherzustellen. Zur entsprechenden Formgebung diente ein spezieller Modellierspatel (Composite 4, American Eagle Instruments) (Abb. 5).
Dr. Denner
Für die Füllung an Zahn 26 wurde anschließend eine noch dünnere Stahl-Teilmatrize für Molaren angelegt (bombierte Teilmatrize Quickmat Deluxe, 0,025 x 6,4 mm, Polydentia), mit einem Keil zervikal abgedichtet und letztendlich noch ein Spannring (Palodent, Dentsply Sirona) eingesetzt (Abb. 8). Nach dem Einbringen von Flow- und Bulk-Fill-Inkrementen in der bewährten und bekannten Schichttechnik wurde die Teilmatrize entfernt. Diese ließ sich nur gegen hohen Abzugswiderstand entfernen, was mit einem starken Approximalkontakt korrespondierte (Abb. 9).
Dr. Denner
Dr. Denner
Dr. Denner
Dr. Denner
Für das Anlegen einer äußeren Schale bei approximalen Kavitäten eignen sich konfektionierte, bombierte Teilmatrizen aus Stahl (Polydentia) besonders gut. Diese sind sehr dünn, zugleich stabil und lassen sich wie andere Stahlmatrizen für das Anlegen starker Kontaktpunkte gut zurechtschneiden. Darüber hinaus sind sie im Vergleich zu anderen Produkten relativ preisgünstig.
Was bei der Verwendung von Spannringen zu beachten ist
Sowohl Zähne als auch Kavitäten sind in Bezug auf ihre Größe und Anatomie sehr unterschiedlich. Das zeigt sich insbesondere an der Lage des Zahnäquators und der Form der zervikalen Verjüngung. Aus diesem Grund sollten mehrere Spannringoptionen von verschiedenen Anbietern zur Verfügung stehen, um gute Ergebnisse erreichen zu können und nur minimal Überschüsse entfernen zu müssen.
Dr. Denner
Biomechanisch von Bedeutung ist, zu welchem Zeitpunkt der jeweilige Spannring eingesetzt werden sollte. Bei tiefen Defekten und nur wenig verbleibender Zahnsubstanz sollten die unter sich gehenden Bereiche zunächst mit höherviskösem Komposit ausgefüllt und die Höcker damit stabilisiert werden [5]. Erst nach diesem Schritt sollte der Spannring eingesetzt werden.
Erwähnenswert ist an dieser Stelle, dass ein Spannring mit starker Rückstellkraft sowohl zu Frakturen graziler Wände als auch ganzer Höcker führen kann. Andererseits sollte der Spannring unabhängig von der Größe der Kavität so früh wie möglich gesetzt werden. Dies sollte spätestens vor dem Härten des Bondings in engen Kavitäten oder dem Einbringen von Komposit in den approximalen Kontaktpunktbereich bei größeren Kavitäten erfolgen.
Der Grund dafür ist, dass sich die Matrize im Kontaktpunktbereich beim Einsetzen des Spannrings verschieben kann und der zuvor eingestellte Kontaktpunkt im ungünstigsten Fall dadurch verloren geht. In der hier beschriebenen Falldokumentation wurden die Höcker noch ausreichend durch gesundes Dentin unterstützt und mussten daher nicht extra stabilisiert werden. So konnte der Spannring sofort und noch vor Verwendung des Bondings und dem ersten Flowinkrement angelegt werden (nicht abgebildet).
Inkrementtechnik sinnvoll einsetzen
Die Inkrementtechnik erfolgt schichtweise nach Konditionierung der Kavität mit einem Bonding. Die Oberfläche wird danach immer nach demselben Prinzip mit einem fließfähigen Material überschichtet: Jedes Inkrement wird mit maximaler freier Oberfläche eingebracht und separat polymerisiert (hier: Nanohybrid-Ormocer-Komposit „Admira Fusion Flow“, VOCO). Auf diese Weise wird der Stress an der Grenzfläche zum Zahn reduziert und optimiert.
In der hier beschriebenen Falldokumentation wurde bei der relativ flachen Kavität an Zahn 27 zunächst nur die Randleiste aufgebaut und damit in eine Klasse-I-Kavität überführt (Abb. 5 und 6). Es folgte die Rekonstruktion der Okklusalfläche mit je einem Inkrement für den palatinalen und bukkalen Höckerabhang (Abb. 7). An Zahn 26 wurde wegen der schmalen, in mesiodistaler Richtung verlaufenden Kavität vorab keine primäre approximale Wand aufgebaut.
Dr. Denner
Dr. Denner
Dr. Denner
Dr. Denner
Stattdessen wurden, ausgehend vom Kavitätenboden, zuerst der distopalatinale Höckerabhang und die approximale Wand modelliert (Abb. 8). Auch hier wurde im Rahmen der Inkrementtechnik jeweils eine maximale freie Oberfläche angestrebt [5,7,8].
Das Prinzip der Inkrementtechnik ist unabhängig vom verwendeten Komposit. Lediglich die Verwendung von Bulk-Fill-Kompositen erlaubt größere Schichtdicken.
Auch bei den in der hier beschriebenen Falldokumentation verwendeten Materialien handelt es sich um hochvisköse Nanohybrid-Bulk-Fill-Komposite (GrandioSO x-tra, VOCO), weshalb größere Inkremente möglich waren. Zur Minimierung des C-Faktors kann ihre Anwendung daher besonders auch bei tiefen Kavitäten sinnvoll sein.
Fazit
Die Schichtung umfasst trotz relativ kleiner Kavitäten und Verwendung von Bulk-Fill-Kompositen mehrere Schritte. Dies ist aber im Sinne einer geringen Polymerisationsschrumpfung und damit minimierter Stressbelastung an den Grenzflächen mit dichten Rändern ratsam. Der Patient im hier vorgestellten Fall mit hohem Kariesrisiko wird sicher davon profitieren.
Bildquellen sofern nicht anders deklariert: Unternehmen, Quelle oder Autor/-in des Artikels
Entdecke CME Artikel






Keine Kommentare.