In der Literatur finden sich sehr gut dokumentierte Langzeitergebnisse zu Goldinlays, die damit den „Golden Standard“ als Referenz für alle weiteren Restaurationsmaßnahmen definierten [3,11]. Hauptkriterium des Erfolges ist allerdings – wie bei allen zahnmedizinischen Versorgungen – die fach- und indikationsgerechte Anwendung. Gold ist aber auch nicht gleich Gold.
So können z.B. nicht Studienergebnisse zu Goldteilkronen [1] auf Goldinlays 1:1 übertragen werden: Während die Goldteilkrone oder das „Overlay“ die Kaudruckbelastung gleichmäßig ableiten, kann ein Goldinlay durchaus eine prognostisch ungünstige Keilwirkung entfalten, die zu Frakturen von einzelnen, nicht dentinunterstützen Wänden oder in schlimmsten (aber Gott sei Dank sehr seltenen) Fällen zu kompletten Längsfrakturen von Zähnen führen. Aus diesem guten Grund ist nach klassischer Lehrmeinung [14] – die sich primär auf zementierte Goldinlays stützt – die Indikationsgrenze für Goldinlays bei einer oro-vestibulären Ausdehnung von maximal 1/2 des Interkuspidalabstandes zu sehen.
Die Überlebensrate der Goldinlays steigt generell mit der Anzahl der Flächen: Bei mehr als 3-flächigen Goldinlays lag nach der Studie von Erpenstein et al. [11] die Überlebensrate nach 25 Jahren zwar bei 85%; bei 1-flächigen hingegen nur bei 52%.
Bei den 2-flächigen Inlays lag die Überlebensrate bei 64% und bei 3-flächigen bei 76%. Aus diesem Grund macht es am meisten Sinn, bei kleinen und mittleren Kavitätengrößen den Blick auf Alternativlösungen zur indirekten Goldversorgung zu werfen [6].
Betrachtet man demzufolge die Kavitätenbreiten, die früher den Inlayeinsatz limitierten, so kann man durchaus verallgemeinernd subsumieren, dass solche kleinen Kavitäten heute genauso suffizient mit Komposit zu versorgen wären. Das einzige Argument, welches in solchen Fällen pro Inlay – und damit für eine laborgefertigte indirekte Restauration – sprechen würde, wäre ein extrem weiter Approximalbereich, der sich selbst mit der ausgefeiltesten Teilmatrizentechnik nicht schließen ließe und somit einen insuffizienten Approximalkontakt zur Folge hätte.
Aufgrund der Entwicklungen geeigneter Matrizensysteme und deren heutiger Marktpenetration dürfte dies allerdings nur noch für sehr seltene Ausnahmeindikationen gelten. Die Möglichkeiten der Approximalflächengestaltung wurden jüngst erst sehr gut im „The Journal of Adhesive Dentistry“ dargestellt [22] und sind mit den richtigen Matrizensystemen nahezu unbegrenzt.
Direkte Kompositrestaurationen müssen sich hinter Gold- und Keramikinlays nicht verstecken. Keine andere Restaurationsmaßnahme kombiniert so perfekt den minimalinvasiven Behandlungsaspekt mit Ästhetik und Kosteneffizienz: Der Patient erhält trotz einer MKV-Zuzahlung gegenüber einem adhäsiven Inlay eine deutlich günstigere Versorgungsvariante, die zudem alle ästhetischen Belange abdeckt [23]. Die aktuelle S1-Leitlinie zu Kompositrestaurationen im Seitenzahnbereich* verdeutlicht sehr schön die weit gesteckte Bandbreite an Indikationen für direkte Kompositrestaurationen.
Sehr interessant ist, dass diese 2016 veröffentlichte Leitlinie den Inlayersatz durch Komposit nicht beinhaltet, wohlweislich aber das bereits 2 Jahre zuvor veröffentlichte europäische Konsensuspapier zu Seitenzahnkompositfüllungen [18]; anscheinend war dies den Inlay-liebenden Deutschen nicht vermittelbar, obwohl heute im Prinzip kaum mehr etwas für ein Inlay spricht. Sehr positive Langzeitergebnisse zu direkten Kompositrestaurationen nach 22 [2] oder sogar nach 30 Jahren Beobachtungszeitraum [21] ergeben mittlere jährliche Verlustraten, die deutlich unter der wissenschaftlichen Benchmark von 2,5% pro Jahr liegen [19] und sich damit mit den oben zitierten Studien zu Goldinlays messen können.
Ebenso erwähnt müssen jedoch auch nicht ganz so positive Ergebnisse [20] werden, die Kompositfüllungen eine geringere Lebenserwartung und eine höhere Prävalenz von Sekundärkaries attestierten als Amalgamfüllungen. Versucht man sich an einer Ursachenforschung, kommt man schnell zur Qualität der Lichtpolymerisation: Zusammen mit der korrekten Adhäsivanwendung ist die Lichtpolymerisation der entscheidende Erfolgs-, aber auch Misserfolgsfaktor, der die Lebenserwartung einer adhäsiven Restauration maßgeblich beeinflussen kann [5,12].
Deswegen ist die korrekte Lichtpolymerisation bedeutsamer als die Materialauswahl des Komposites: Nur wenn das Kompositmaterial suffizient polymerisiert ist, kann es seine überlegenen physikalischen Eigenschaften bei Biegebruchfestigkeit, Abrasion und natürlich auch in der Adhäsion des Adhäsivs tatsächlich auch ausspielen. Hierbei ist zu beachten, dass der heute gern verwendete und vielversprechende Bulkfill-Ansatz nicht automatisch bedeutet, dass jedes Komposit in 4-mm-Schichten eingebracht und (schon gar nicht in 3 Sekunden [8]) ausgehärtet werden kann – klassische Schichtkomposite stellen nach wie vor den Golden Standard dar; die Standardpolymerisation mit Einberechnung eines „Sicherheitspuffers“ sollte selbst bei Hochleistungs-Polymerisationsgeräten 20 Sekunden betragen, die lediglich mal in besonderen Einzelfällen auf 10 Sekunden verkürzt werden kann [7].
Zur Illustration der Indikation „Inlayaustausch“ dienen die folgenden 3 Fallbeispiele: Die beiden ersten zeigen die Versorgung des Zahnes 45, wobei es im 1. Fall um den Ersatz eines Goldinlays und im 2. Fall eines Keramikinlays geht. Beide Kavitäten wurden mit der neuen Universalfarbe Venus Diamond ONE (Kulzer, Hanau) versorgt.
Das Material wurde bereits im letzten Jahr als Innovation vorgestellt [10], basiert aber auf der bewährten Technologie von Venus Diamond und Venus Pearl [9]. Venus Diamond ist inzwischen seit 12 Jahren auf dem Markt (Markteinführung in Deutschland im Jahr 2009, Venus Pearl folgte dann 2015) und ist hinsichtlich seiner Kombination aus hoher Biegebruchfestigkeit mit geringen Schrumpfungskräften seitdem unübertroffen.
Demzufolge eignet es sich sehr gut in anspruchsvolleren Kavitäten, wie dem Ersatz existierender Inlays. Einen solchen, älteren Fall, der in seiner Gänze bereits 2015 hier in der ZMK publiziert wurde [6], zeigt jetzt auch ein 11-Jahres-Kontrollbild. Hieraus ist abschätzbar, wie die Ergebnisse der ersten beiden Fälle vielleicht auch nach über 10 Jahren aussehen könnten.
Fallbeispiele
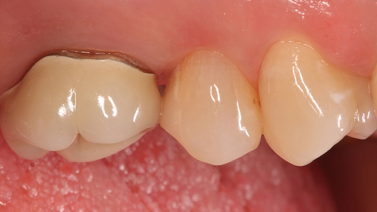
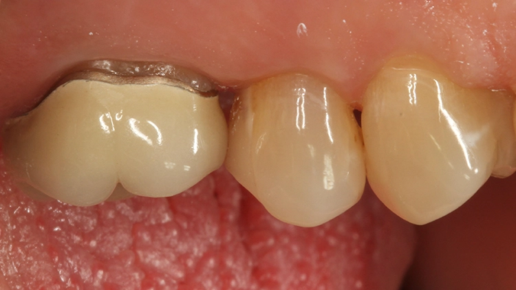
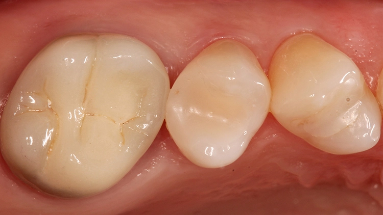
Fall 1: Austausch eines Goldinlays an Zahn 45
Prof. Dr. C.-P. Ernst
Da aufgrund der Randdefekte eine Austauschindikation bestand, wurden das Inlay sowie minimale Restkaries entfernt und die Ränder nachpräpariert. Bei einer direkten Komposit-Neuversorgung können im Gegensatz zu einer Neuversorgung mit einem Keramikinlay spitz auslaufende Ränder in Form des alten Federrandes belassen werden, da das Restaurationsmaterial diese Bereiche ausfließen und somit randdicht versorgen kann.
Prof. Dr. C.-P. Ernst
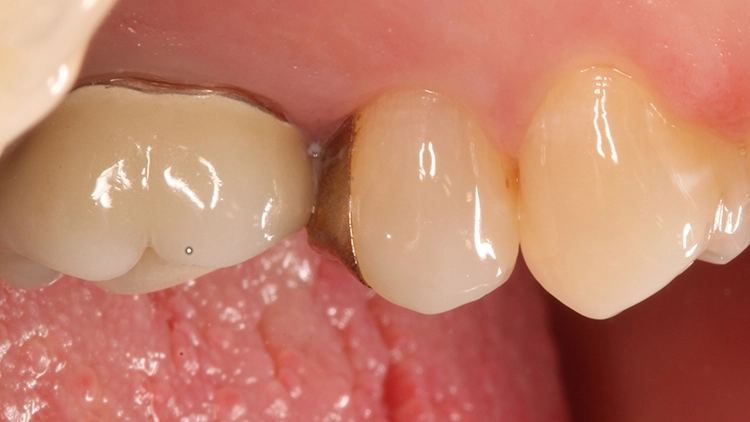
Nach Phosphorsäurekonditionierung von Schmelz und Dentin mit nachfolgender Applikation eines klassischen Mehrflaschenadhäsivs (Abb. 3) erfolgte die Versorgung des Bereiches der approximalen Stufe mit dem weiß-opaken Venus Diamond Flow Baseliner (Kulzer, Abb. 4) [4]. Diese opake Flowkompositfarbe ermöglicht die leichtere Identifizierung des Kompositmaterials gerade im sonst eher unübersichtlichen Approximalraum bei Kontrollen und eventuell einer späteren Entfernung, sofern dies erforderlich sein sollte.
Prof. Dr. C.-P. Ernst
Prof. Dr. C.-P. Ernst
Prof. Dr. C.-P. Ernst
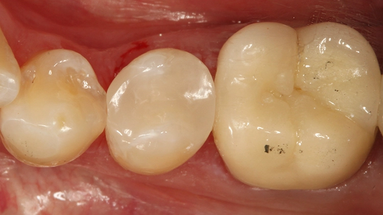
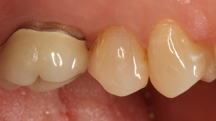
Die Abbildung 6 zeigt die fertig ausgearbeitete (H390Q und 48LQHartmetallfinierer, Komet, Lemgo) und polierte (Diacomp plus Twist DT-DCP10m und DT-DCP10f, EVE Ernst Vetter GmbH, Keltern) Restauration, die sich ästhetisch perfekt in die umgebende Zahnhartsubstanz einfügt. Die Approximalkontakte sind straff, die anatomische Form des Zahnes ist korrekt und die Patientin ist mit dem schnellen Versorgungsergebnis nach 45 Minuten sehr zufrieden.
Prof. Dr. C.-P. Ernst
Fall 2: Austausch eines Keramikinlays an Zahn 45
Der 55-jährige Patient störte sich an dem Randausbruch seines erst 10 Jahre alten Keramikinlays an Zahn 45 (Abb. 7). Er wünschte eine Neuversorgung mit Keramik. Nach eingehender Aufklärung und Beratung konnte er davon überzeugt werden, dass in der Dimension der Kavität eine direkte Kompositversorgung genauso funktionieren könnte.
Prof. Dr. C.-P. Ernst
Der sehr anspruchsvolle Patient haderte zunächst wegen der Ästhetik von „Kunststofffüllungen“: Er war der Überzeugung, dass hier keine adäquate Farbanpassung möglich sei, ließ sich aber auf den Vorschlag der direkten Kompositversorgung ein. Dieser Fall sollte dann eine Challenge für die Universalfarbe Venus Diamond One werden – aufgrund vorangegangener guter Erfahrungen von über 1,5 Jahren mit dem Material [10] konnte man sich ziemlich sicher sein, dass hier automatisch eine adäquate Farbanpassung stattfinden wird und gar keine hochspezifische individuelle Zahnfarbbestimmung erforderlich ist.
Prof. Dr. C.-P. Ernst
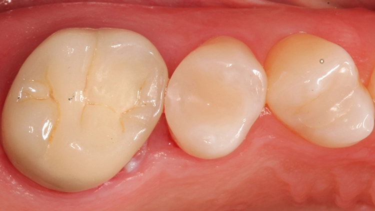
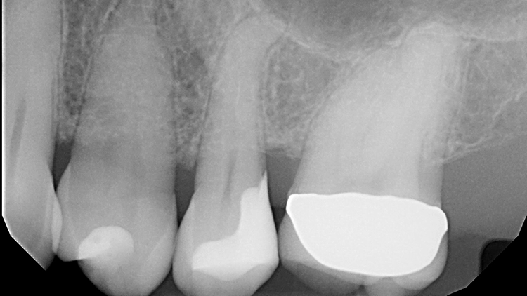
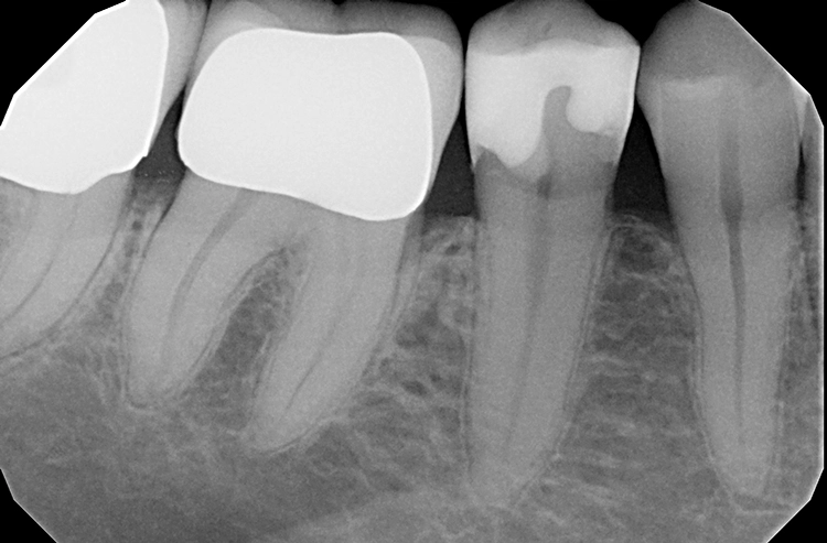
Die weitere Versorgung der Kavität erfolgte analog zu Fall 1 nach Anwendung eines klassischen Etch&Rinse-Mehrflaschenadhäsivs und schichtweiser Applikation und Polymerisation von Venus Diamond ONE (Kulzer) mit einem Hochleistungs-LED-Polymerisationsgerät > 1.000 mW/cm2 für jeweils 20 Sekunden Lediglich anstelle des Venus Diamond Flow Baseliners kam aufgrund der sehr hohen ästhetischen Ansprüche des Patienten Venus Diamond Flow in der Farbe A2 zum Einsatz – der Patient hätte keinen weiß-opaken Rand an seiner Restauration akzeptiert. Das Ergebnis (Abb. 9) überzeugte den Patienten nicht nur funktionell, sondern vorrangig ästhetisch: Auch hier passt sich die Universalfarbe perfekt an die Zahnhartsubstanz an. Zur Überprüfung der Ausdehnung der Überkappung wurde im Anschluss an die Versorgung eine Zahnfilm-Röntgenaufnahme erstellt (Abb. 10).
Prof. Dr. C.-P. Ernst
Prof. Dr. C.-P. Ernst
Das Bild zeigt den perfekten Randschluss der Restauration in Kombination aus Venus Diamond Flow A2 und Venus Diamond ONE. Beeindruckend ist zudem die sehr hohe Röntgenopazität des Materials. Das pulpanahe, weniger röntgenopake Material ist das TheraCal LC-Überkappungsmaterial.
Fall 3: Austausch eines Goldinlays an Zahn 25 vor 11 Jahren
Prof. Dr. C.-P. Ernst
Prof. Dr. C.-P. Ernst
Prof. Dr. C.-P. Ernst
Die Patientin bat damals um einen Austausch des Goldinlays, da ihr keine Möglichkeiten einer Nacharbeitung am Inlayrand angeboten werden konnten. Die Inlayversorgung zeigte sich sehr weit in den Approximalraum ausgedehnt (Abb. 11 und 12), was nach Aussage der Patientin an der damaligen Indikation eines Lückenschlusses zwischen den Zähnen 25 und 26 lag.
Nach Entfernung des Goldinlays zeigte sich eine kariesfreie Kavität, die lediglich nachfiniert werden musste. Im Zuge dieses Arbeitsschrittes wurde auch die Klebefläche angefrischt. Aufgrund der vorangegangenen Federrandpräparation ergab sich eine für eine Keramikversorgung (die als Alternative diskutiert worden war) sehr ungünstige Gestaltung des approximalen Kastens.
Ein Nachpräparieren in Richtung einer planen Stufe würde den approximalen Kasten unnötig vertiefen. Ein zervikaler Aufbau in Form einer Kavitätenbodenelevation [13,15,24–26] würde dieses Problem zwar lösen, aber dann auch die berechtigte Frage aufwerfen, warum bei einem so klein dimensionierten Defekt der Rest der Kavität nicht auch gleich mit Komposit versorgt wird.
Approximale Überhänge, die wie im vorliegenden Fall labortechnisch leicht mit dem Goldinlay zu überbrücken sind, sind bei Keramikmaterialien nicht sonderlich beliebt: Hier werden häufig 1,5 mm als Maximum der Extension angegeben. Ein Problem, welches bei Komposit – eine hohe Biegebruchfestigkeit des Materials [9] und eine suffiziente Lichtpolymerisation einmal vorausgesetzt – weniger im Vordergrund steht.
Die Erstellung eines ordentlichen Approximalkontaktes setzt eine entsprechende technische Ausstattung mit passenden Teilmatrizen [22] und Spannringen voraus. Hier ist vorrangig der Spannring in der Pflicht, einen strammen Approximalkontakt zu gewährleisten [16,17]. Dem Keilchen kommt hinsichtlich eines Separationsdruckes nur eine untergeordnete Bedeutung zu: Er dichtet lediglich zervikal ab.
Prof. Dr. C.-P. Ernst
Prof. Dr. C.-P. Ernst
Prof. Dr. C.-P. Ernst
Prof. Dr. C.-P. Ernst
Die Abbildungen 18 und 19 zeigen dieselbe Situation nach 2 Jahren, die Abbildungen 20 und 21 nach 5 Jahren und die Abbildungen 22 und 23 nach 11 Jahren. Die direkte Kompositrestauration zeigte sich im gesamten Beobachtungszeitraum nahezu unverändert; es haben sich lediglich etwas Zahnsteinauflagerungen approximal gebildet, die im Rahmen der demnächst geplanten PZR beseitigt werden. Beim Nachkontrolltermin nach 11 Jahren wurde zudem eine erneute Röntgenaufnahme angefertigt (Abb. 24).
Prof. Dr. C.-P. Ernst
Prof. Dr. C.-P. Ernst
Prof. Dr. C.-P. Ernst
Prof. Dr. C.-P. Ernst
Prof. Dr. C.-P. Ernst
Prof. Dr. C.-P. Ernst
Prof. Dr. C.-P. Ernst
Hintergrund waren diffuse Beschwerden am benachbarten Zahn 26, die einer Abklärung bedurften. Es ergab sich allerdings keine weitere Behandlungsindikation: Alle Zähne in dem Quadranten zeigten eine vergleichbare, unauffällige Reaktion im Sensibilitätstest und das Röntgenbild war ohne Befund.
Gut erkennbar sind hingegen die perfekte Randdichtigkeit der Venus Diamond-Restauration an Zahn 25 und die sehr gute Röntgenopazität. Somit konnten dem inzwischen 11 Jahre alten Inlayersatz in direkter Technik mit Komposit durchweg gute Noten vergeben werden. Auch die Patientin zeigte sich mit der Versorgung nach wie vor sehr zufrieden – sie sah ihre damalige Entscheidung zu Gunsten der direkten Versorgungsvariante bestätigt.
Fazit
Eine suffizient verarbeitete Kompositrestauration kann durchaus eine valide Alternative zu einem Goldinlay sein – gerade, wenn kleinere bis mittelgroße Kavitäten in Betracht gezogen werden. Die einzig verbleibende Challenge ist die Ausgestaltung des Approximalbereiches, was allerdings heute dank des sehr umfangreichen Angebots an Teilmatrizensystemen keine so große Herausforderung mehr darstellt wie vor 20 Jahren.
Zwar stehen Studienergebnisse zu direkten adhäsiven Seitenzahnversorgungen, die einen Vergleich mit den 40-Jahres-Ergebnissen der Tucker-Goldinlays [3] standhalten können, bislang nicht zur Verfügung, die eingangs bereits zitierte, publizierte 30-Jahres-Studie zu Kompositrestaurationen aus Dänemark [21] zeigt aber das Potential direkter Restaurationen: Die kumulative Erfolgsquote lag nach 30 Jahren bei 63%, die jährliche Verlustrate mit nur 1,1% weit unter der wissenschaftlichen Benchmark [19] von 2,5% pro Jahr.
Die in der Meta-Analyse von Manhart et al. [19] erfassten 19 Studien zu Goldinlays und Onlays kamen auf eine mittlere jährliche Verlustrate von 1,4%. Generell ist der Ersatz eines insuffizienten Goldinlays durch eine direkte Kompositrestauration zu erwägen, wenn
- keine neue Goldversorgung aus ästhetischen oder finanziellen Gründen gewünscht wird.
- eine alternative Versorgung mit einem Adhäsivinlay aus Keramik oder Komposit aufgrund der Kosten ebenso nicht möglich ist oder aufgrund der umfangreichen Nachpräparationsarbeiten (Umgestaltung des Federrandes in eine plane Stufe oder zumindest in eine ausgeprägte Hohlkehle) die dann erforderliche Zahnhartsubstanzforderung nicht sinnvoll erscheint.
- eine erneute Versorgung mit einem zementierten oder verklebten Goldinlay durch Überschreitung der maximalen Relation zum Interkuspidalabstand die Stabilität des Zahnes negativ beeinflussen würde.
- eine adhäsive Stabilisierung nicht dentinunterstützter Randleistenbereiche gefordert ist, die ansonsten durch eine extendierte Inlaykavitätenpräparation in die Präparation mit einbezogen werden müssten.
- stark unterminierende Kavitätenareale zum Erhalt einer Einschubrichtung eine unnötige Substanzforderung bei der Präparation bedeuten würden.
- eine suffiziente Kontaminationskontrolle möglich ist.
- der Approximalkontaktbereich mithilfe geeigneter Matrizen ausgeformt werden kann.
Demzufolge spricht sehr viel für die direkte adhäsive Füllungstherapie bei derartigen Sekundärversorgungen ursprünglich indirekt versorgter Defekte.
Bildquellen sofern nicht anders deklariert: Unternehmen, Quelle oder Autor/-in des Artikels
Entdecke CME Artikel






Keine Kommentare.