Die Prävalenz traumatischer Zahnverletzungen, einschließlich Frakturen und Dislokationsverletzungen, wird weltweit auf bis zu 30% geschätzt, wobei die Zahl der Unfälle über die letzten Jahre stetig zugenommen hat [1,2]. Dislokationsverletzungen gehen in der Regel mit einer Veränderung der Zahnstellung einher und können insbesondere die Pulpa und den Zahnhalteapparat schädigen. Sie machen schätzungsweise bis zu 61% aller Zahnverletzungen aus [3].
Zur systematischen Diagnostik der verschiedenen Dislokationsverletzungen können Aspekte wie Zahnlockerung, Sulkusblutung sowie Richtung und Ausmaß der Zahnverlagerung herangezogen werden. Aus röntgenologischer Sicht stehen die Zahnstellung und die Darstellung des Parodontalspaltes im Vordergrund, der je nach Dislokationsverletzung erweitert oder unterbrochen sein kann. Folgende Dislokationsverletzungen werden unterschieden:
- Konkussion: keine erhöhte Beweglichkeit oder Verlagerung des Zahnes
- Lockerung: erhöhte Beweglichkeit, aber keine Verlagerung des Zahnes
- Extrusion: Verlagerung des Zahnes aus der Alveole heraus in inzisaler Richtung
- Laterale Dislokation: Verlagerung des Zahnes in eine beliebige seitliche Richtung, in der Regel in Verbindung mit einer Fraktur oder Kompression des Alveolarknochens
- Intrusion: Verlagerung des Zahnes in seine Alveole in apikaler Richtung
- Avulsion: vollständige Herauslösung des Zahnes aus seinem Alveolarfach
Zahntraumata können verschiedene Arten von Schäden an Zähnen und angrenzenden Strukturen verursachen. Dazu gehören Verletzungen der Pulpa, des Wurzelzements und des parodontalen Ligaments. Eine der Hauptaufgaben der Pulpa ist die Bildung von Dentin im Zuge des Wurzelwachstums.
Die Vitalerhaltung der Pulpa ist daher bei Zahnverletzungen, insbesondere bei jungen Patienten/-innen mit unreifen Wurzeln, von großer Bedeutung. Bei Dislokationsverletzungen ist die Blutversorgung der Pulpa häufig beeinträchtigt oder sogar unterbrochen, was die Heilungschancen verringern kann [4]. Aber auch das Parodont ist von dieser Art des dentalen Traumas betroffen.
Dabei spielen der Wurzelzement mit den Zementoblasten und das Parodontalligament eine wichtige Rolle, da die Verletzung dieser Strukturen ein hohes Risiko für pathologische Resorptionen der Zahnwurzel birgt [5]. Um die Chancen für die Erhaltung der Pulpavitalität nach einem Zahnunfall zu maximieren und das Resorptionsrisiko zu minimieren, ist es wichtig, bereits bei der Erstversorgung die Weichen richtig zu stellen.
Traumabedingte Risiken des Pulpa-Dentin-Komplexes
Die Pulpa ist ein Bindegewebe im Zahninneren und wird durch das umgebende Hartgewebe vor Mikroorganismen und mechanischen Verletzungen geschützt. Sie enthält verschiedene Zellarten wie Fibroblasten, Immunzellen, mesenchymale Stammzellen und Odontoblasten. Letztere befinden sich direkt an der sogenannten Pulpa-Dentin-Grenze und stellen eine mechanische und funktionelle Verbindung zwischen der Pulpa und dem tubulären Dentin her.
Die Odontoblasten strecken lange Zellfortsätze tief in die Dentintubuli und sind in der Lage, durch Sekretion einer kollagenen Matrix, die eine Vielzahl bioaktiver Proteine enthält und anschließend mineralisiert wird, das tubuläre Dentin zu bilden [5]. Neben der Dentinbildung gehören zu den wichtigsten Aufgaben des Pulpa-Dentin-Komplexes die Wahrnehmung mechanischer, thermischer und mikrobiologischer Reize sowie die Immunabwehr [6]. Zusammen schützen diese Funktionen den Zahn vor einer Vielzahl von Schädigungen [7,8].
Die meisten Zahntraumata ereignen sich bei Kindern und Jugendlichen, bei denen die Wurzelbildung noch nicht abgeschlossen ist und der Verlust eines Zahnes lebenslange Folgen hat. Da eine vitale Pulpa Voraussetzung für das Wachstum und damit die Stabilität der Zahnwurzel ist, kommt der Vitalerhaltung bei der Behandlung von Zahnverletzungen gerade hier eine besonders hohe Bedeutung zu. Es ist zu beachten, dass die Zahnwurzeln beim Durchbruch in die Mundhöhle unreif und nur etwa zur Hälfte entwickelt sind.
Bis zum Abschluss der Apexogenese etwa 3 Jahre nach dem Durchbruch sind die Dentinwände dünn und frakturgefährdet [9,10]. Die Pulpakammer weist zunächst ein weites Lumen und einen breiten Wurzelkanal auf. Am apikalen Ende der sich entwickelnden Wurzeln befinden sich die Hertwigsche Epithelscheide und die apikale Papille, die vermutlich für das Wachstum und die Form der Wurzeln verantwortlich sind [10,11].
Die Pulpa bei jungen bleibenden Zähnen ist zellreich und sehr gut vaskularisiert, weshalb ihr ein hohes Heilungspotenzial zugeschrieben wird [12]. Darüber hinaus begünstigt ein weites apikales Foramen das Einsprossen von Blutgefäßen, die sogenannte Revaskularisation, nach traumabedingten Pulpanekrosen [13]. Somit spielt auch das Entwicklungsstadium des Zahnes eine wichtige Rolle bei der Therapieentscheidung nach einer Zahnverletzung (Abb. 1, Tabelle 1).
Prof. Dr. Widbiller
| Dislokationsverletzung | Wurzelunreife Zähne | Wurzelreife Zähne | ||||||||||||||||||||||||||||||||||||||||||
|---|---|---|---|---|---|---|---|---|---|---|---|---|---|---|---|---|---|---|---|---|---|---|---|---|---|---|---|---|---|---|---|---|---|---|---|---|---|---|---|---|---|---|---|---|
|
|
|
Tab. 1: Vitalerhaltung der Pulpa wurzelunreifer und wurzelreifer Zähne nach verschiedenen Dislokationsverletzungen. Die Pulpa kann vital bleiben, nekrotisch werden oder es kann zur Obliteration des Wurzelkanals kommen [41].
Für die Vitalerhaltung stellen Dislokationen eine große Gefahr dar, da es durch ein mechanisches Trauma zu einer Spannung, Kompression oder Durchtrennung des Gefäß-Nervenbündels am apikalen Foramen kommt, was zu einer Pulpanekrose führen kann. Dabei haben die Richtung und das Ausmaß der Dislokationsverletzung sowie die Weite des apikalen Foramens einen großen Einfluss auf die Prognose [14]. Bei wurzelunreifen Zähnen ist das Risiko einer Pulpanekrose geringer als bei Zähnen mit abgeschlossener Wurzelentwicklung [15–17], da die Regenerationsfähigkeit der Pulpa mit zunehmender Wurzelreife abnimmt [18,19] (Abb. 1).
Zeigt sich jedoch radiologisch ein Stillstand des Wurzelwachstums, deutet dies auf eine Pulpanekrose hin und erfordert eine endodontische Intervention. Wenn die Pulpa eine Dislokationsverletzung überlebt, kann es zu einer Wurzelkanalobliteration mit möglicher Verfärbung der Zahnkrone kommen, die keine sofortige Wurzelkanalbehandlung erfordert, solange der betroffene Zahn klinisch und radiologisch symptomfrei ist [20].
Traumabedingte Risiken des Parodonts
Zum Zahnhalteapparat gehören neben dem Wurzelzement das Parodontalligament, der Alveolarknochen und die Gingiva. Während im Alveolarknochen Auf- und Abbauprozesse in einem physiologischen Gleichgewicht stehen [21], sind diese im bleibenden Zahn, der über das Parodontalligament mit dem Knochen verbunden ist und eine knochenähnliche Zusammensetzung aufweist, nur im Zusammenhang mit pathologischen Prozessen vorzufinden [5].
Der Knochenabbau erfolgt durch Osteoklasten, die von knochenbildenden Osteoblasten unter dem Einfluss der Signalmoleküle RANKL (Receptor Activator of NF-κB Ligand) und M-CSF (Macrophage Colony-stimulating Factor) aktiviert werden [22,23]. Der physiologische Gegenspieler von RANKL ist das Osteoprotegerin (OPG), das unter anderem von Odontoblasten und Zementoblasten, die eine Schutzschicht auf der Wurzeloberfläche bilden, produziert wird und eine Hemmung der Osteoklastenbildung und -aktivität bewirkt [24,25]. Osteoklasten können sich mithilfe von Adhäsionsproteinen, die aus einer RGD-Sequenz aus Arginin, Glycin und Asparaginsäure bestehen, an Hartgewebe anheften.
Während Knochen und Dentin diese Adhäsionsproteine enthalten, sind sie weder in Prädentin noch in Präzement vorhanden, wodurch die Adhäsion gehemmt wird [26–29]. Zusammen mit der OPG-Sekretion bildet dies eine Barriere zwischen Zahn und Alveolarknochen, die ein Übergreifen von Knochenresorptionsprozessen auf den Zahn verhindert.
Bei Dislokationsverletzungen können neben der Unterbrechung der Blutversorgung auch die Zementoblasten durch die Verlagerung des Zahnes geschädigt werden; es kommt zur sogenannten Wurzeldenudation. Durch das mechanische Trauma entstehen Quetschungen und Nekrosen auf der Wurzeloberfläche, welche ein lokales Entzündungsgeschehen begünstigen und das Dentin, welches aufgrund der Haftungsproteine nicht gegen Osteoklasten resistent ist, freilegen.
Starke Denudationen, wie sie bei Intrusionen auftreten, oder desmodontale Schäden durch trockene oder falsche Lagerung nach Avulsionen, können daher zu einer Ersatzresorption und schließlich zur Ankylose des Zahnes führen (Abb. 2A bis C), wobei das Dentin irreversibel abgebaut und durch Knochen ersetzt wird [30,31]. Ankylosierte Zähne weisen eine reduzierte Beweglichkeit und einen metallischen Klopfschall auf und neigen mit fortschreitendem Knochenwachstum zur Infraposition (Abb. 2D).
Prof. Dr. Widbiller
Eine Pulpanekrose in Verbindung mit einer Schädigung des Wurzelzements, wie sie häufig bei Dislokationsverletzungen auftritt, birgt ein hohes Risiko für externe entzündliche Resorptionen, die eine sofortige endodontische Intervention erfordern [14,32]. Grund hierfür ist die bakterielle Infektion des Wurzelkanals bei Pulpanekrose.
Bakterielle Toxine diffundieren in Richtung der geschädigten Wurzeloberfläche und wirken als zusätzliches Stimulans für die Osteoklasten [29]. Klinisch zeigt sich neben der negativen Sensibilität oft eine geringgradige Lockerung. Die infektionsbedingten Resorptionsprozesse sind röntgenologisch bereits 2 bis 4 Wochen nach dem Trauma nachweisbar.
Schienung
Die Heilung der parodontalen Strukturen ist für die langfristige Erhaltung dislozierter Zähne von großer Bedeutung. Daher stellen die Repositionierung und Schienung dieser Zähne wichtige Bestandteile der Initialtherapie dar [33,34]. Die Schienung dient insbesondere der Stabilisierung des Zahnes in seiner korrekten Lage und soll durch die funktionelle Belastung die parodontale Heilung unterstützen und das Ankyloserisiko reduzieren [35,36].
Die Verwendung von flexiblen Titan-Trauma-Schienen (TTS, Medartis, Basel, Schweiz) mit Komposit in zahnfremder Farbe ist für jegliche Dislokationsverletzungen empfohlen [34]. Die Schienungsdauer hängt von der Art der Dislokationsverletzung ab und kann bei Verletzungen ohne Zerstörung der Alveole (Konkussion, Lockerung, Dislokation, Extrusion, Avulsion) kürzer sein, da die parodontale Heilung bereits früh nach dem Trauma für ausreichende Stabilität sorgt (Tabelle 2).
| Dislokationsverletzung | Schienungsdauer |
|---|---|
| Konkussion | 1 bis 2 Wochen |
| Lockerung | 1 bis 2 Wochen |
| Extrusion | 1 bis 2 Wochen |
| Laterale Dislokation | 2 bis 4 Wochen |
| Intrusion | 2 bis 4 Wochen |
| Avulsion | 1 bis 3 Wochen |
Tab. 2: Empfohlene Schienungsdauer für Dislokationsverletzungen [34].
Bei Traumata mit Verletzungen der Alveole (Intrusion, laterale Dislokation) sollte die Schienungsdauer aufgrund der Regeneration des Alveolarknochens entsprechend der Empfehlung länger erfolgen. Eine zu starre oder zu lange Schienung kann jedoch mit Komplikationen wie Ersatzresorption und Ankylose einhergehen und das Risiko einer Pulpanekrose erhöhen [3,34,37].
Initiale endodontische Behandlung
Die sofortige Einleitung einer Wurzelkanalbehandlung ist bei ausgeprägten Dislokationsverletzungen sinnvoll. Konkret betrifft dies laterale Dislokationen, Extrusionen und Intrusionen von Zähnen mit abgeschlossenem Wurzelwachstum, die mehr als 2 mm verlagert sind, sowie Avulsionen. Bei Zähnen mit weit offenem Apex sollte hingegen abgewartet werden und keine initiale endodontische Intervention erfolgen, da hier eine Revaskularisation möglich ist [34].
Eine Ausnahme bilden Zähne mit weitem Apex bei Avulsionsverletzungen mit einer Trockenlagerzeit von mehr als 60 Min., die aufgrund ihrer insgesamt schlechten Prognose ebenfalls initial endodontisch behandelt werden sollten. Eine negative Sensibilitätsprüfung unmittelbar nach dem Unfall allein stellt keine Indikation für eine endodontische Behandlung dar, da vorübergehende Sensibilitätsausfälle auftreten können, die mehrere Wochen bis Monate andauern können [4,38].
Die Wurzelkanalbehandlung sollte, beginnend mit der Trepanation des Zahnes, nach empfohlenen Qualitätskriterien erfolgen, die eine chemomechanische Aufbereitung des Wurzelkanalsystems unter vollständiger Trockenlegung mit Kofferdam beinhalten [39]. Als medikamentöse Einlage kann zunächst ein Mischpräparat aus Antibiotikum und Kortikosteroid (Ledermix, Riemser, Greifswald, Deutschland) und dann Kalziumhydroxid verwendet werden [14].
Im weiteren Verlauf kann bei Zähnen mit abgeschlossenem Wurzelwachstum eine konventionelle Wurzelkanalfüllung mit Guttapercha und Sealer erfolgen. Bei unreifen Zähnen müssen aufgrund des offenen Apex verschiedene Therapieoptionen wie Apexifikation, apikaler Verschluss mit einem hydraulischen Kalziumsilikatzement oder Revitalisierung gegeneinander abgewogen werden. Ist das Risiko für ausgedehnte Resorptionsprozesse der Zahnwurzel als hoch einzustufen, wie dies bei Avulsionen mit langer extraoraler Trockenlagerung der Fall ist, kann eine dauerhafte Einlage mit bioresorbierbaren Materialien wie Kalziumhydroxid erwogen werden [4,31,34,40].
Akutbehandlung
Konkussion
Konkussionen sind Verletzungen, die durch ein mechanisches Trauma des Zahnhalteapparates verursacht werden, ohne dass klinische Anzeichen einer Zahnlockerung oder -verlagerung vorliegen [15]. Die Perkussion ist anfänglich schmerzhaft, während die Sensibilitätsprobe in der Regel positiv bleibt [4].
Das Risiko der Pulpanekrose nach einer Konkussion ist gering (4%), insbesondere wenn die Sensibilitätsreaktion unmittelbar nach dem Trauma positiv ist [41]. Eine flexible Schienung des betroffenen Zahnes für 1 bis 2 Wochen und weiche Nahrung können zur Schonung in Betracht gezogen werden.
Lockerung
Als Lockerungen werden Verletzungen des Zahnhalteapparates bezeichnet, die mit einer erhöhten Zahnbeweglichkeit und Perkussionsempfindlichkeit ohne klinischen oder röntgenologischen Nachweis einer Zahnverlagerung einhergehen [4]. Bereits geringe Verlagerungen können zu parodontalen Läsionen führen, die sich in Form einer Sulkusblutung manifestieren können.
Eine Lockerung kann zu Ödemen, Hämatomen und Entzündungen im Parodontium führen, die eine Resorption der Wurzelstruktur und eine Resorption der Lamina dura des angrenzenden Alveolarknochens zur Folge haben [42]. Obwohl eine anfängliche negative Reaktion auf Sensibilitätstests auftreten kann, ist eine Pulpanekrose selten (15%), und die Sensibilität kehrt oft innerhalb weniger Monate nach dem Trauma zurück [31,41]. Zur Verbesserung der Nahrungsaufnahme kann der betroffene Zahn für 1 bis 2 Wochen mit einer flexiblen Titan-Trauma-Schiene versorgt und weiche Kost empfohlen werden.
Extrusion
Die Extrusion beschreibt die koronale Verlagerung eines Zahnes mit der Folge der Dehnung oder des Abrisses der Pulpa und des parodontalen Ligaments [17]. Klinisch kommt es zu Sulkusblutungen und einer erhöhten Beweglichkeit bis hin zu einer Okklusionsstörung [4]. Typischerweise ist das Perkussionsgeräusch dumpf, der Sensibilitätstest negativ und im Röntgenbild ein erweiterter Parodontalspalt zu erkennen.
Bei Extrusionen besteht ein hohes Risiko für ein Abreißen der Pulpa und eine damit verbundene Pulpanekrose, was wiederum die Entstehung externer entzündlicher Resorptionen begünstigt [17,43]. Aufgrund der geringen Verletzung der Alveole ist eine Repositionierung des Zahnes sehr präzise möglich, wodurch die Wahrscheinlichkeit einer Revaskularisation durch End-zu-End-Anastomosen oder das Einwachsen neuer Blutgefäße nach Extrusion im Vergleich zu anderen Dislokationsverletzungen höher ist [17]. Insbesondere bei wurzelunreifen Zähnen ist eine Revaskularisation aufgrund der größeren Kontaktfläche begünstigt.
Der extrudierte Zahn muss zeitnah nach dem Unfall mit vorsichtigem apikalem Druck in seine Alveole zurückbewegt werden. Nach der Repositionierung sollte der Zahn für 1 bis 2 Wochen flexibel geschient werden [4]. Bleibende Zähne mit abgeschlossenem Wurzelwachstum sollten nach starker Extrusion (> 2 mm) unmittelbar endodontisch behandelt werden.
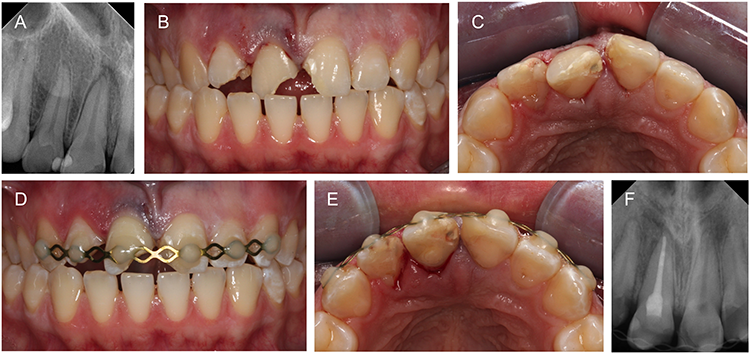
Laterale Dislokation
Laterale Dislokationen beschreiben die Verlagerung von Zähnen nach oral oder vestibulär und machen einen großen Teil der Dislokationsverletzungen aus [44]. Das parodontale Ligament wird teilweise komprimiert oder zerrissen, und der Alveolarknochen wird oftmals beschädigt. Klinisch gehen laterale Dislokationen häufig mit einer Okklusionsstörung, einer negativen Reaktion auf Sensibilitätstests und einem röntgenologisch erweiterten Parodontalspalt einher [4].
Lateral dislozierte Zähne sollten präzise repositioniert und für 2 bis 4 Wochen flexibel geschient werden. Gegebenenfalls kann eine kieferorthopädische Korrektur zu einem späteren Zeitpunkt in Betracht gezogen werden, wenn die 1. Vorstellung verspätet war und keine Repositionierung erfolgte. Bei starker Dislokation von Zähnen mit abgeschlossenem Wurzelwachstum (> 2 mm) ist ein vollständiger Abriss der Pulpa wahrscheinlich.
Die Folgen sind eine Pulpanekrose und ein erhöhtes Risiko einer bakteriellen Kontamination des Wurzelkanals [45,46], weshalb innerhalb 1 Woche eine Wurzelkanalbehandlung eingeleitet werden sollte (Abb. 3). Bei wurzelunreifen Zähnen ist hingegen eine Revaskularisation möglich. Diese erfolgt über einen Zeitraum von mehreren Monaten, in denen regelmäßige Kontrolltermine stattfinden sollten, um Anzeichen einer Nekrose frühzeitig zu erkennen [4,41,44,46].
Prof. Dr. Widbiller
Röntgenologische Veränderungen ohne Krankheitswert können eine vorübergehende apikale Resorption, die sich in der Regel im Verlauf von Monaten bis Jahren zurückbildet, und eine Wurzelkanalobliteration sein [47]. Bei ischämischer Pulpanekrose nach lateraler Luxation muss der Zahn bei der Nachuntersuchung nicht unbedingt eine Perkussionsempfindlichkeit oder Schwellung aufweisen. Verfärbungen, negative Reaktionen auf Sensibilitätstests, zunehmende periapikale Radioluzenz, anhaltende Mobilität, Schleimhautschwellung, Abszessbildung oder gestörte Wurzelentwicklung bei wurzelunreifen Zähnen können jedoch auf die Notwendigkeit einer Wurzelkanalbehandlung hinweisen [31,48].
Intrusion
Intrusionen bezeichnen die Verlagerung von Zähnen in Richtung der Alveole und machen einen geringen Prozentsatz (0,5 bis 2%) der Zahnverletzungen im bleibenden Gebiss aus [49]. Diese Verletzungen sind durch eine schwere Schädigung des Zahnhalteapparates mit Wurzeldenudation gekennzeichnet [50,51]. Darüber hinaus ist der Alveolarknochen häufig frakturiert und die Pulpa an der Wurzelspitze komprimiert, was zu einer hohen Rate von Pulpanekrosen (100%) führt [41].
Klinisch befindet sich der betroffene Zahn meist in Infraposition, wobei ein ungleichmäßiger Zahndurchbruch und Kronenfrakturen die Diagnose erschweren können [16]. Weitere Anzeichen für eine Intrusion können eine negative Reaktion auf Sensibilitätstests, ein metallisches Perkussionsgeräusch und mangelnde Beweglichkeit sein. Röntgenologisch kann der Parodontalspalt im apikalen Bereich unterbrochen sein.
Intrudierte Zähne mit abgeschlossenem Wurzelwachstum sollten immer in die anatomisch korrekte Position bewegt, für 2 bis 4 Wochen geschient und bei schweren Intrusionen (> 2 mm) unmittelbar endodontisch behandelt werden, um externe entzündliche Resorptionen zu vermeiden. Bei Zähnen mit unvollständigem Wurzelwachstum ist eine Spontaneruption innerhalb weniger Wochen möglich, wenn die Intrusion weniger als 3 mm beträgt.
Die Spontaneruption ist mit den geringsten Heilungskomplikationen verbunden [17], und eine sofortige endodontische Behandlung wird wegen der Möglichkeit einer Revaskularisation, die in etwa einem Drittel der Fälle auftritt, nicht empfohlen [14,31,52]. Bleibt die Eruption aus oder ist die Intrusion größer als 3 mm, ist eine chirurgische oder kieferorthopädische Extrusion erforderlich. Bei einer Intrusion von mehr als 6 mm können diese Maßnahmen sofort eingeleitet werden (Abb. 4) [14,52].
Prof. Dr. Widbiller
Je nach Schweregrad kann die ausgedehnte Schädigung des Wurzelzements zu einer Ersatzresorption und damit zu einer Ankylose des Zahnes führen. Dies wiederum resultiert in einer lokalen vertikalen Wachstumshemmung des Alveolarfortsatzes. Bei fortschreitender Resorption und entzündlichen Prozessen kann eine Zahnentfernung oder Dekoronation notwendig werden [53].
Avulsion
Als Avulsion wird die vollständige Lösung eines Zahnes aus seinem Zahnfach bezeichnet. Rasches und richtiges Handeln am Unfallort kann die Prognose des Zahnes deutlich verbessern [13,30,40,54–56]. Als Sofortmaßnahme sollte ein avulsierter Zahn schnellstmöglich in einer zellphysiologischen Lösung, z.B. in einer Zahnrettungsbox, H-Milch oder physiologischer Kochsalzlösung, gelagert und replantiert werden.
Die Trockenlagerung sollte so kurz wie möglich sein, um eine Schädigung der für die physiologische Heilung wichtigen Desmodontalzellen zu vermeiden. Die Replantation sollte zeitnah erfolgen und der Zahn für 1 bis 3 Wochen geschient werden. Nach einer Avulsion ist die Blutversorgung der Pulpa unweigerlich unterbrochen, und eine Nekrose insbesondere bei Zähnen mit vollständiger Wurzelbildung ist sehr wahrscheinlich.
Bei Zähnen mit unreifen Wurzeln ist dagegen eine Revaskularisation möglich [13,57]. Nach Abschluss der Akuttherapie richtet sich die weitere Behandlung nach dem Stadium des Wurzelwachstums und der Lagerung des Zahnes bis zur Replantation. Da nach einer Avulsion wurzelreifer Zähne unabhängig von den Lagerungsbedingungen mit einer Pulpanekrose gerechnet werden muss, ist die Einleitung einer unmittelbaren endodontischen Behandlung innerhalb einer Woche indiziert (Abb. 5).
Prof. Dr. Widbiller
Bei avulsierten Zähnen mit offenem Apex ist die Prognose der desmodontalen Zellen genauso zu beurteilen wie bei reifen Zähnen. Die endodontische Therapie unterscheidet sich jedoch durch die Möglichkeit der Revaskularisation über den offenen Apex in Abhängigkeit von der extraoralen Lagerung. Daher ist eine sofortige Wurzelkanalbehandlung nicht indiziert, wenn die Trockenlagerungszeit weniger als 60 Min. beträgt.
Beträgt die Trockenlagerungszeit jedoch mehr als 60 Min., sollte eine endodontische Therapie eingeleitet werden, da mit einer Pulpanekrose und einer schweren Schädigung der desmodontalen Zellen zu rechnen ist. In diesem Fall sollte eine Apexifikation, eine apikale Barriere mit hydraulischen Kalziumsilikatzementen oder eine Revitalisierung durchgeführt werden [9,58–60]. Die Verwendung von bioresorbierbaren Materialien wie Kalziumhydroxid, die dauerhaft im Wurzelkanal verbleiben, kann erwogen werden, da die Wahrscheinlichkeit einer knöchernen Ersatzresorption mit Ankylose in diesen Fällen als sehr hoch einzuschätzen ist [40].
Nachsorge und Komplikationen
Im Anschluss an die Akuttherapie ist grundsätzlich eine sorgfältige und verständliche Instruktion der Patienten/-innen und der Begleitpersonen über das Verhalten nach erlittenem Zahnunfall erforderlich. Entscheidend ist die Schonung der verletzten Zähne für ca. 2 Wochen.
Bis zur Schmerzfreiheit sollten vorwiegend weiche Speisen verzehrt und das Beißen mit den verletzten Zähnen vermieden werden. Auch die häusliche Mundhygiene darf nicht vernachlässigt werden.
Eine vorsichtige Reinigung der traumatisierten Zähne kann mit einer weichen Zahnbürste oder Wattestäbchen erfolgen. In komplexen Fällen kann eine alkoholfreie Chlorhexidinlösung (0,12%) 1 Woche lang 2-mal täglich unterstützend angewendet werden. Um weiteren Zahnschäden vorzubeugen, sollten risikoreiche Aktivitäten während der Genesungszeit zunächst vermieden werden.
Regelmäßige zahnärztliche Kontrollen 3 Wochen, 6 Wochen, 3 Monate, 6 Monate und 12 Monate nach dem Unfall beinhalten eine sorgfältige klinische und röntgenologische Diagnostik, die es ermöglicht, Komplikationen frühzeitig zu erkennen und entsprechende Behandlungsmaßnahmen einzuleiten. Zur besseren Beurteilung des Verlaufs kann auch eine Fotodokumentation hilfreich sein. Darüber hinaus sollten die Patienten/-innen dazu angehalten werden, sich bei Schmerzen an den betroffenen Zähnen, bei Schwellungen oder Fistelbildungen zeitnah in der Zahnarztpraxis vorzustellen [4,31,34].
Komplikationen, die als Langzeitfolgen nach Zahnunfällen auftreten können und über die Patienten/-innen aufgeklärt werden sollten, umfassen neben der Pulpanekrose auch interne und externe Wurzelresorptionen, Wurzelkanalobliterationen, Wachstumshemmungen des Alveolarfortsatzes und Rezessionen. Im äußersten Fall können diese zum Zahnverlust führen [34,45,53].
Fazit
Zusammenfassend lässt sich feststellen, dass Dislokationsverletzungen eine potenzielle Gefahr für die Zahnpulpa und den Parodontalapparat darstellen und je nach Art und Ausmaß das Überleben des betroffenen Zahnes gefährden können. Besonders bei jungen Patienten/-innen mit unreifen Wurzeln ist die Erhaltung der Vitalität der Pulpa nach zahnärztlichen Traumata von entscheidender Bedeutung.
Die richtige Erstbehandlung spielt eine entscheidende Rolle für die langfristige Prognose des Zahnes. Eine regelmäßige Kontrolle ist von großer Bedeutung, um Komplikationen frühzeitig zu erkennen und zu behandeln.
Bildquellen sofern nicht anders deklariert: Unternehmen, Quelle oder Autor/-in des Artikels
Entdecke CME Artikel





Keine Kommentare.