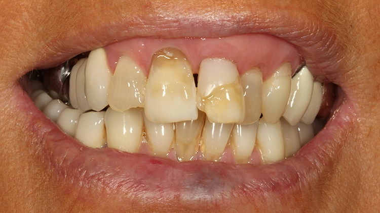
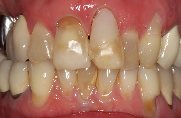
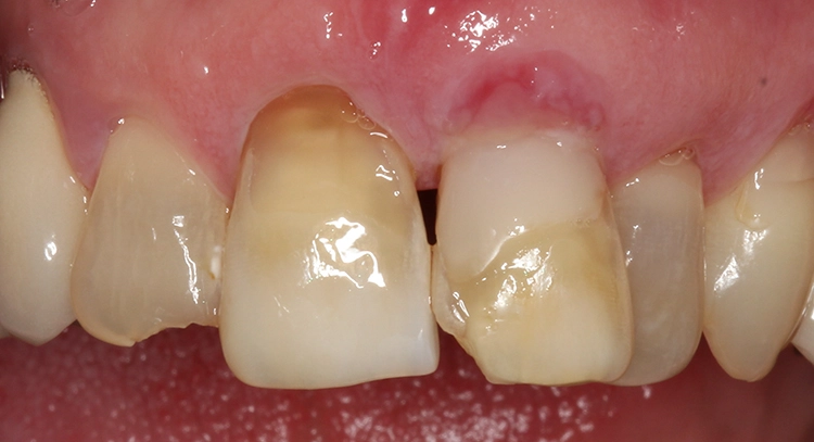
Bei der 61-jährigen Patientin imponierten unterschiedlichste Befunde, die ein ästhetisches Gesamterscheinungsbild gerade der Oberkieferschneidezähne deutlich beeinträchtigten (Ausgangsbefund Bild oben): Labiale und inzisale Zahnhartsubstanzdefekte unterschiedlichster Ausprägung an allen Inzisivi, Verfärbungen der Zähne, eine Fehlstellung sowie multiple Rezessionen und keilförmige Zahnhalsdefekte, die zum Teil von diversen Vorbehandlern mit Zahnhalsfüllungen versorgt worden waren. Es zeigte sich ein Gewebeüberschuss in regio 22, der zumindest teilweise durch die Elongation und Retrusion des Zahnes 22 bedingt zu sein schien. Diese Kombination führte zu einem disharmonischen Gingivaverlauf im Ober- und im Unterkiefer.
Auf die Situation angesprochen, war die Patientin sehr erstaunt zu hören, dass hier doch Behandlungsmöglichkeiten existieren, die das Gesamterscheinungsbild verbessern könnten. Die ansonsten sehr gepflegte und auch auf ihr Äußeres bedachte Dame äußerte dann sehr spontan den Wunsch nach einer Behandlung, als sie über die diversen Therapieoptionen aufgeklärt wurde.
Der Wunsch der Patientin zur ästhetischen Neuversorgung bezog sich primär auf die Oberkieferfront. Dabei kam eine kieferorthopädische Therapie für sie nicht infrage. Fokus in der Beratung lag auf der mukogingivalen Grenzlinie: Vollkeramische Restaurationen können zwar auch bei Befunden wie dem vorliegenden eingesetzt werden, das ästhetische Gesamtbild ist dann jedoch ziemlich eingeschränkt, wenn eine derartige Asymmetrie der Gingivaverläufe der einzelnen Zähne besteht.
Die Patientin wurde eingehend über die Möglichkeiten und das operative Vorgehen der präprothetischen Mukogingivalchirurgie aufgeklärt: Die „Zahnfleischästhetik“ kann durch einen Rückgang, auch aber durch einen Überschuss von Gewebe negativ beeinflusst werden. Korrekturen von diesen Missverhältnissen können demnach durch unterschiedliche chirurgische Maßnahmen vorgenommen werden. Aufgrund von Statur und Gesichtsform der Patientin erschienen die Zähne 13 bis 11 nicht zu lang, weshalb gemeinsam mit der Patientin lediglich eine Korrektur des Gingivaverlaufes im 2. Quadranten eingeplant wurde.
So sollte an den Zähnen 21 und 23 eine Rezessionsdeckung mit Verdickung des Gewebes und an Zahn 22 eine chirurgische Kronenverlängerung durch Exzision der Gingiva ohne Osteotomie erfolgen (Low-Crest-Typ). Der Verlauf der Schneidekantenlängen und die Zahnstellung sollten in einem 2. Schritt durch Vollkeramikteilkronen bzw. Veneers mit Inzisalfassung harmonisiert werden. In der Behandlungsplanung dieses Falles kam erschwerend hinzu, dass 3 verschiedene parodontalchirurgische Behandlungsindikationen zusammenkamen:
1. Gewebeüberschuss
Liegt ein Überschuss an Gingiva vor, kann dieser mithilfe einer chirurgischen Kronenverlängerung beglichen werden. Bei dieser Art von Eingriff stehen die funktionellen Indikationen den ästhetischen gegenüber. Während vor einer prothetischen Neuversorgung bei umfangreichem Zahnhartsubstanzverlust oder tief subgingival platzierten erneuerungswürdigen Kronenrändern die Funktionalität und die Wiederherstellung der biologischen Breite im Vordergrund stehen, zählen ein asymmetrischer Gingivaverlauf und ein „Gummy Smile“ bei subgingival liegender Schmelz-Zement-Grenze zu den ästhetischen Indikationen.
2. Chirurgische Kronenverlängerung
Die Entscheidungsfindung für das Vorgehen bei einer ästhetischen Kronenverlängerung hängt zum einen von der Breite der keratinisierten Gingiva, zum andern von dem Abstand von Gingivarand zu Alveolarknochen ab [5,31]. Letzterer kann in 3 verschiedene Crest-Typen eingeteilt werden.
Bei Patienten vom Low-Crest-Typ beträgt der Abstand zwischen Gingivarand und Knochen vestibulär mindestens 3 mm, interproximal mindestens 5. Daher führt bei diesen Patienten unter Umständen eine einfache Exzision von Gingiva ohne Knochenchirurgie bereits zu einem zufriedenstellenden Ergebnis.
Bei Patienten mit einem hohen Knochenkamm, einem High-Crest-Typ, beträgt der Abstand weniger als 3 mm, sowohl vestibulär als auch approximal. Bei diesen Patienten und auch bei denen vom Normal-Crest-Typ (3 mm vestibulär und 3 bis 5 mm interproximal) ist in der Regel eine resektive Knochenchirurgie notwendig.
Je nach Breite der keratinisierten Gingiva wird dann über die Operationstechnik entschieden. Ein apikal verschobener Mukosalappen findet bei einer Breite von weniger als 2 mm Einsatz, während bei einer Breite von mehr als 3 mm ein voller Mukoperiostlappen präpariert wird.
Minimalinvasivere Ansätze, bei denen die Knochenresektion ohne Präparation eines Zugangslappens über den parodontalen Spalt durchgeführt wird, bestehen ebenfalls. Nachteil dieser Technik ist allerdings eine sehr viel geringere Sicht auf das Operationsgebiet, weshalb diese Methode in erster Linie für Nivellierungen kleineren Umfangs und von erfahrenen Operateuren einzusetzen ist.
3. Geweberückgang
Rezessionen, also ein Geweberückgang, sowohl von Gingiva als auch des darunter liegenden Alveolarknochens, können durch unterschiedliche Einflussfaktoren bedingt sein. Diskutiert werden hier sowohl die kieferorthopädische Behandlung, eine falsche Zahnputztechnik, Zahnfehlstellungen, Bänder- oder Muskelzug und auch eine chronische Parodontitis [13,22,24]. Der Schwund des Zahnhalteapparates bedingt nicht nur ästhetische Einbußen, sondern kann ebenfalls die Überlebensdauer des Zahnes negativ beeinflussen.
Die freiliegende Wurzeloberfläche ist nicht nur hypersensibel, sondern auch kariesanfälliger. Gerade bei tiefen Rezessionen und einer schmalen keratinisierten Gingiva fällt den Patienten eine adäquate Mundhygiene häufig sehr schwer, da sie schmerzhaft ist [22]. Der Schweregrad des Gewebeverlustes wird nach der Klassifikation von Cairo eingeteilt und beeinflusst die Therapieauswahl [6].
Im Hinblick auf die möglichen Operationstechniken muss die für die jeweilige Behandlungsindikation am ehesten geeignete Technik herausgefunden werden. Die Therapiemöglichkeiten einer Rezession sind vielfältig. Die geeignete Operationstechnik hängt von der Tiefe der Rezession, der Anzahl der zu deckenden Wurzeloberflächen und der Beschaffenheit der keratinisierten Gingiva um die Rezession herum ab [1,33].
Es können verschiedenen Lappentechniken (Verschiebe- oder Rotationslappen), aber auch Kombinationen mit Weichgewebetransplantaten unterschieden werden [24,27,32]. Für die „klassische“ Rezessionsdeckung ist vielen noch das freie Schleimhauttransplantat in Erinnerung.
Das Schleimhauttransplantat wird am Gaumen entnommen; die Entnahmestelle epithelialisiert nach der Entnahme sekundär. Ein freies Schleimhauttransplantat, bei dem das Epithel belassen wird, kann zur Verbreiterung der keratinisierten Gingiva beispielsweise vor einer Implantation dienen. Aufgrund der meist unpassenden Farbintegration an das umliegende Gewebe wird das freie Schleimhauttransplantat allerdings kaum mehr für die Rezessionsdeckung eingesetzt [1,29,33].
Weichgewebetransplantate in Form von Bindegewebetransplantaten stellen heute einen festen, evidenzbasierten Bestandteil parodontalchirurgischer Behandlungsansätze dar und ermöglichen besser und einfacher die gewünschte „rote Ästhetik“. Aus diesem Grunde stellt das Bindegewebetransplantat heute den Goldstandart für die Rezessionsdeckung dar [6,7,21,27].
Für die Entnahme des Bindegewebes am Gaumen haben sich besonders 2 Schnittführungen bewährt – die „Trap-Door“ und die „Single-Incision“ nach Hürzeler und Wenig [17,31]. Um dem Patienten diese Transplantatentnahme am Gaumen zu ersparen, finden sich außerdem verschiedene Matrizes als Ersatz auf dem Markt [12,21,28,29,30].
Behandler- und fallspezifische Unterschiede in der Operationstechnik sind die Regel, Einigkeit besteht allerdings in einer minimalinvasiven Herangehensweise. So wird beispielsweise versucht, wenn möglich auf Entlastungsinzisionen zu verzichten [5,12,28,30]. Die Patientin willigte dann in die geplante Therapiemaßnahme ein; diese bestand aus präprothetischer parodontalchirurgischer Rezessionsdeckung mittels Bindegewebetransplantat, chirurgischer Kronenverlängerung und zeitversetzter restaurativer Therapie mit Vollkeramikteilkronen bzw. Veneers mit Inzisalfassung.
Falldarstellung
Dr. Hormes
Dr. Hormes
Dr. Hormes
Dr. Hormes
Dr. Hormes
Postoperativ wurde die Patientin angewiesen, für 2 Wochen mit Chlorhexamed zu spülen. Außerdem wurde ihr ein ausdrückliches Putzverbot im Operationsgebiet und die Vermeidung jeglicher mechanischen Irritationen verordnet. Die Nähte am Gaumen (Abb. 6) konnten bereits nach 1 Woche entfernt werden, wohingegen die Nähte am Transplantat erst nach 14 Tagen entfernt wurden. Ab diesem Zeitpunkt konnte die Patientin wieder sehr vorsichtig mit einer sehr weichen Zahnbürste putzen (Abb. 7).
Dr. Hormes
Dr. Hormes
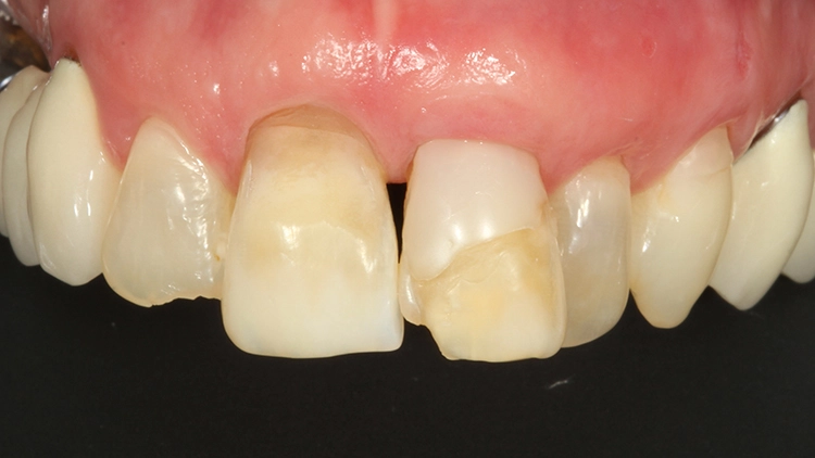
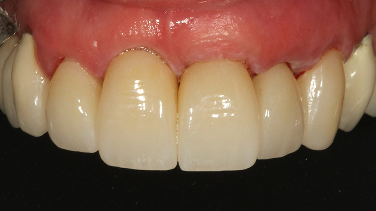
Bis zur definitiven prothetischen Versorgung sollte aufgrund etwaiger Gewebeveränderungen 6 Monate gewartet werden. Nach dieser Wartezeit zeigte sich ein stabiles, rezidivfreies parodontalchirurgisches Behandlungsergebnis (Abb. 8 und 9).
Prof. Dr. Ernst
Prof. Dr. Ernst
Bei der jetzt anstehenden Teilkronen- bzw. Veneerversorgung der Zähne 12 bis 23 blieb zunächst die Frage des keramischen Restaurationsmaterials zu klären. Neben der bewährten und hochästhetischen glasbasierten Keramik [2,8,10,14–16] eignen sich heutzutage transluzente Zirkonoxidmaterialien hervorragend für die ästhetische Ausgestaltung von Frontzahnbereichen [11], da sie genauso gut verklebt werden können wie Glaskeramiken [9,23].
Gerade im Bereich parafunktional gefährdeter Areale punktet das gegenüber der klassischen Glaskeramik doch deutlich bruchfestere Vollzirkonmaterial. Da bei der Patientin bereits mehrfach Füllungen und Inzisalkanten frakturierten, fiel in diesem Fall die Materialauswahl auf ein hochtransluzentes, polychromes Vollzirkon (zolid fx multilayer, Amann Girrbach), welches mit Ceramotion ZR (Dentaurum) verblendet wurde. Hergestellt wurde die Arbeit (Abb. 10 und 11) im eigenen Meisterlabor durch ZTM Richard Bohrer.
Prof. Dr. Ernst
Prof. Dr. Ernst
Im Einsetztermin erfolgte nach Abnahme der Provisorien, der Reinigung der präparierten Zähne und der Einprobe der Arbeit nach ästhetischer Zustimmung durch die Patientin die Vorbehandlung der Teilkronen bzw. Veneers mit Schneidekantenfassung. Die Vorbehandlung der Zirkonoxid-Klebeflächen erfolgte bereits laborseitig mit 50 ?m Aluminiumoxid [18].
Da bei der Einprobe immer von einer Kontamination der Klebefläche ausgegangen werden muss, muss diese im nächsten Schritt nochmals von Mucinen und Proteinen gereinigt werden. Die Literatur empfiehlt hierzu nochmaliges Abstrahlen [9] oder eine Reinigung mit Ivoclean (Ivoclar Vivadent) [26]. Ein neueres, vergleichbares Produkt ist der Katana Cleaner (Kuraray Noritake).
Im Gegensatz zu Glaskeramiken darf bei Zirkonoxid keine Applikation einer Phosphorsäure erfolgen [20]. Somit bleibt neben der Verwendung von einer der beiden angebotenen Reinigungspasten nur das nochmalige Abstrahlen. In der engsten Auswahl stehen 50 ?m Al2O3 oder 27 ?m CoJet-Strahlgut zur tribochemischen Silikatisierung.
Dieses Abstrahlen ist essenziell, um einen suffizienten und dauerhaften Haftverbund zu Zirkonoxidkeramik zu etablieren, wie eine Meta-Analyse hierzu zeigt [18]. Bei genauerer Betrachtung der zu diesem Thema zur Verfügung stehenden Literatur [3,19] zeigt sich, dass die tribochemische Silikatisierung mit dem CoJet-Strahlgut doch nochmals bessere Haftwerte generiert als das alleinige Abstrahlen mit 50 ?m Al2O3.
Prof. Dr. Ernst
Prof. Dr. Ernst
Prof. Dr. Ernst
In der Abbildung 15 ist die Teilkrone für den Zahn 11 mit dem fast vollständig evaporierten Primer zu sehen. Zeigt sich ein derartiges Evaporationsbild vorzeitig, muss Material nachappliziert werden. Die Verklebung von Veneers und Teilkronen unter Kofferdammisolierung ist sicherlich sinnvoll.
Prof. Dr. Ernst
Ebenso sinnvoll ist es, Teilkronen einzeln zu verkleben und nach Versäuberung des Befestigungskomposits die als nächstes zu verklebende Teilkrone nochmals einzuprobieren. Verständlicherweise erfolgt dann erst die Vorbehandlung dieser Teilkrone. (Auch jetzt kann trotz Kofferdamm immer nochmal eine Klebeflächenkontamination passieren.)
Prof. Dr. Ernst
Im Anschluss erfolgte die Applikation des Visalys Tooth Primers (Kettenbach) – exakt nach Herstellerangaben: Dieser wirkt 30 Sek. ein und wird danach verblasen (Abb. 17). Da er keine photopolymerisierbaren Komponenten enthält, entfällt auch die Notwendigkeit einer Lichthärtung, was bei vielen anderen Befestigungskomposit-/Adhäsivkombinationen gegeben ist.
Prof. Dr. Ernst
Nach Positionierung der Teilkrone mit dem dann auf dieser aufgebrachten Befestigungskomposit (Hier Visalys CemCore A2/A3, Kettenbach) kann der Pinselhalter mit dem Clip abgedreht werden. Das Optrasculpt-Instrument (Ivoclar Vivadent) mit dem großen Schaumstoffpad übernimmt dann die Fixierung der Teilkrone durch Druck von labial während der Versäuberung des Befestigungskomposits.
Obwohl eine Überstandsentfernung nach einem Anhärten („Tack Cure“) bei Visalys CemCore durchaus möglich wäre, wurde im vorliegenden Fall das Befestigungskomposit mit einem Heideman-Spatel und einem Bondingpinsel entfernt. Hier profitiert man von der im Vergleich zu anderen Befestigungskompositen etwas höheren Standfestigkeit von Visalys CemCore. Die Verarbeitungszeit des Materials erlaubt eine entspannte und sichere Überstandsentfernung.
Der approximal eingesetzte Frasacostreifen verblieb während des Befestigungsprozederes zunächst in situ. Erst nach einer initialen Überstandsentfernung mit dem Heidemann- Spatel wurde dieser unter Halt der Teilkrone von labial mit dem Optrasculpt-Instrument herausgezogen. Dieses Vorgehen bewirkt eine perfekte Versäuberung von Überständen approximal.
Nach dem Herausziehen des Frasacostreifens beobachtet man ein leichtes „Nachsetzen“ der Teilkrone bzw. des Veneers. Dies ist durch die Überbrückung des nun optimal passenden Approximalkontaktes zu erklären. Das noch heraustretende Befestigungsmaterial konnte zügig mit einem (frischen) Bondingpinsel aufgenommen und komplett entfernt werden.
Es erfolgte die Lichtpolymerisation von labial und palatinal für jeweils 40 Sekunden/Fläche. Obwohl Visalys CemCore ein ausgezeichnetes Dunkelhärtungspotenzial aufweist, sollte die Polymerisation auf jeden Fall durch eine Lichthärtung unterstützt werden. Nur dann kann die Fixierung der Teilkrone unmittelbar nach der Lichtpolymerisation gelöst werden, zudem wird eine sichere Polymerisation der Fügerandbereiche sichergestellt.
Ein weiterer Polymerisationszyklus wurde unter Glyceringel-Applikation der Klebefuge durchgeführt: Die Polymerisation der Klebefuge unter Sauerstoffabschluss durch das Glyceringel (hier die Try-In-Paste von Visalys CemCore) hindurch erlaubt eine vollständige Aushärtung an der Oberfläche: Somit wird eine Farbstabilität des Befestigungskomposits garantiert und gleichzeitig ein „Auswaschen“ insuffizient ausgehärteten Materials direkt an der Oberfläche der Klebefuge verhindert. Nach der vollständigen Befestigung und Überschussentfernung der Teilkrone auf Zahn 11 wurde die Zahnhals-Kofferdammklammer an Zahn 21 umpositioniert (Abb. 18) und die Teilkrone für den Zahn 21 (Abb. 19) nach Einprobe und Vorbehandlung unter denselben Kautelen wie an Zahn 11 verklebt. Auch die Vorbehandlung der Klebefläche am Zahn (Rondoflex-Abstrahlen, Phosphorsäurekonditionierung, Visalys Tooth Primer-Applikation) erfolgte vorab separat.
Prof. Dr. Ernst
Prof. Dr. Ernst
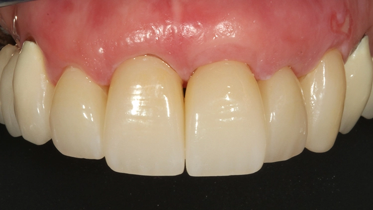
Die Abbildungen 20 und 21 zeigen das Behandlungsergebnis unmittelbar nach Abnahme des Kofferdamms, die Abbildungen 22 und 23 bei einer weiteren Kontrolle nach 4 Wochen. Die Patientin war überglücklich über das gesamtästhetische Erscheinungsbild als Resultat aus der Kombination von präprothetischer mukogingivaler Chirurgie und hochästhetischer Vollkeramikrestauration.
Prof. Dr. Ernst
Prof. Dr. Ernst
Prof. Dr. Ernst
Prof. Dr. Ernst
Schlussbetrachtung
Durch die plastische Mukogingivalchirurgie können Rezessionen langfristig gedeckt werden. Dabei ist eine Deckung der Wurzeloberfläche von 84 bis zu 98% nach 2 Jahren möglich [32]. Durch die Kombination mit einem Bindegewebetransplantat kann Gewebe verdickt und somit das Ergebnis des Eingriffes positiv beeinflusst werden.
Sowohl die chirurgische Erfahrung des Operateurs als auch das Lappendesign und die Compliance des Patienten können das Ergebnis dabei maßgeblich beeinflussen. Die Kombination eines modernen, individualisierten und damit hochästhetischen und dennoch hochfesten Vollzirkonoxidmaterials mit der sicheren adhäsiven Befestigung unter Gewähr einer suffizienten Aushärtung durch Verwendung eines selbsthärtenden Befestigungskomposits mit Lichthärtungsoption stellt bei der hier vorgestellten Versorgung ein Beispiel für ein ästhetisches Versorgungskonzept mit sehr guter Langzeitprognose dar. Die Kombination aus Parodontalchirurgie und restaurativer Zahnheilkunde erfordert allerdings eine enge Abstimmung zwischen den an der Therapie beteiligten Behandlern – sofern beide Fachbereiche nicht in Personalunion durch dieselbe Person abgebildet werden können.
Näheres zu den Autoren des Fachbeitrages: Prof. Dr. Claus-Peter Ernst, Dr. Maike HormesBildquellen sofern nicht anders deklariert: Unternehmen, Quelle oder Autor/-in des Artikels
Entdecke CME Artikel






Keine Kommentare.