|
Getting your Trinity Audio player ready...
|
Vor weit über 20 Jahren, im Jahr 2003, stellte Dentsply mit Quixfil das erste Bulkfill-Komposit vor. Versprochen wurde schnelles und einfaches Handling, eine Aushärtung von 4 mm in nur 10 Sek., mit 7% eine minimale Schrumpfung und hohe Abrasionsfestigkeit. Die LMU München publizierte 2018 die Zehnjahresdaten einer klinischen Studie zu Quixfil im Vergleich zu Tetric Ceram [46]. Es zeigte sich nach 10 Jahren kein signifikanter Unterschied zwischen Quixfil/Xeno III und Tetric Ceram/Syntac: Von 46 gelegten QuiXfil/Xeno III und 50 Tetric Ceram/Syntac-Füllungen (14 Klasse-I- und 82 Klasse-II-Kavitäten) konnten 26 QuiXfil und 30 Tetric Ceram-Füllungen nachuntersucht werden. Vier Tetric Ceram und sechs QuiXfil-Füllungen versagten im Beobachtungszeitraum. Die Autoren attestierten beiden Materialkombinationen nach zehn Jahren gute klinische Resultate.
Im Jahr 2010 folgte dann der nächste Meilenstein in der Bulkfill-Anwendung: Mit SDR hängte erneut Dentsply die Messlatte hoch und stellte das erste Bulk-Flow-Komposit vor: Ebenfalls in 4-mm-Schichten applizierbar, sehr gut selbstadaptierend und mit extrem geringen Schrumpfkraft-Werten. Es kam zu einem Paradigmenwechsel, da 4 mm eines Flowables bislang noch nie auf einmal polymerisiert werden konnten und durften [28]. Da sich die wissenschaftliche Zahnmedizin sofort weltweit auf diesen neuen restaurativen Ansatz stürzte, ist SDR heute das am meisten untersuchte Bulk-Flowable: Die über 15 Jahre publizierten Untersuchungen attestieren dem Material sehr gute Resultate.
Die im Gegensatz zu pastösen Materialien jedoch reduzierten physikalischen Eigenschaften machten – bis heute – eine Überkappung mit einem stabileren pastösen Füllungsmaterial in mindestens 2 mm Schicht erforderlich. Dies wurde allerdings weitläufig akzeptiert, eröffnete diese neue Herangehensweise an Klasse-II-Kavitäten doch eine enorme Vereinfachung, Zeitersparnis und durch die Vermeidung von Fehlern auch ein Sicherheitsplus in der Anwendung. Bulkfill-Komposite haben sich in Folge über mehr als ein weiteres Jahrzehnt in der breiten Anwendung in den Praxen etabliert.
Skepsis gab es natürlich zuhauf – gerade was die Durchhärtung und die sich aus der Polymerisation ergebenden Schrumpfungskräfte betraf. Die beworbenen geringen Schrumpfungskräfte bei gleichzeitig hoher Durchhärtung in kurzer Zeit nährten den Verdacht, dass hier einfach eine zu geringe Konversionsrate vorlag, die dann natürlich geringere messbare Schrumpfungswerte ergab. Einer der Hauptskeptiker war hier Professor Price der Dalhousie University, Nova Scotia. Schließlich kamen aus Halifax über die letzten Jahrzehnte die wesentlichsten und bedeutsamsten Erkenntnisse zur Lichtpolymerisation von Kompositen und die kritischsten Fragen, gepaart mit pragmatischen Lösungsansätzen für die tägliche Anwendung der Lichtpolymerisation. Gerade die klinische Anwendung und das Erarbeiten von Handlungsempfehlungen machten die Publikationen so bedeutsam [29,33,92–95,105,106].
Genau aus diesem Grund machte Price im Jahre 2016 die Bulkfill-Komposite zum Fokusthema des jährlich stattfindenden Northern Light Meetings am 4. und 5. November 2016 an der Dalhousie University in Halifax, Nova Scotia, Kanada. Angetreten waren 45 international bekannte und anerkannte Wissenschaftler, die intensiv zum Thema Lichtpolymerisation forschten. Das Ergebnis der sehr offen geführten Konferenz kam jedoch anders als von Price angedacht: Das dann im Juni 2017 online gestellte Consensus-Statement-Paper zu den Bulkfill-Kompositen [https://oasisdiscussions.ca/2017/06/07/csbf/] ergab eine erkennbare Zeitersparnis bei der Verwendung von Bulkfill-Kompositen, zudem eine potenzielle Reduktion des Risikos einer Kontamination und von Lufteinschlüssen. Die Teilnehmer waren sich einig, dass die mechanischen Eigenschaften der Bulkfill-Komposite vergleichbar mit denen von konventionellen Hybridkompositen sind. Bulkfill-Komposite sind aber traditionellen, in Schichttechnik eingebrachten Materialien nicht überlegen. Es steht somit zu erwarten, dass Bulkfill-Komposite in kaudruckbelasteten Bereichen gleichwertig zu konventionellen, in Schichttechnik eingebrachten Kompositen sind. Die Teilnehmer betonten aber auch, dass die in Schichttechnik eingebrachten konventionellen Komposite immer noch den Goldstandard darstellen. Hickel et al. publizierten die Ergebnisse dann 2018 auf Deutsch [50].
Bevor man jetzt in die Einzelbetrachtung von Studien zum Thema Bulkfill-Komposite eingeht, ist es sinnvoll, zunächst Metaanalysen, Review-Beiträge und Übersichtsarbeiten zum Thema Bulkfill-Komposite zu betrachten [27,78]. Seit 2016 sind jeweils mindestens eine Metaanalyse und/oder Review-Arbeit zum Thema Bulkfill-Komposite erschienen [7,17,19,45,49,89,104,109,116,125,126,132]: Zu kaum einem Restaurationskonzept findet man derartig viele Übersichtsarbeiten, die das Thema bzw. die Fragestellung wissenschaftlich beleuchten und zusammenfassen. Bereits 2016, im Jahr des Northern Light Meetings zu Bulkfill-Kompositen, publizierten Schwendicke et al. [104] eine allgemeine Übersicht zu Kompositen im Journal of Dental Research. Bulkfill-Komposite spielten in dieser Metaanalyse aber noch eher eine untergeordnete Bedeutung. Die Autoren beschrieben, dass bei kaudruckbelasteten Restaurationen konventionelle Komposite die höchste Überlebenswahrscheinlichkeit („highest probability of survival”) zeigen. Wenn die Überlebensrate im Vordergrund stand, erwiesen sich bei kaudruckbelasteten Restaurationen konventionelle oder Bulkfill-Komposite als am geeignetsten; hier wurden somit die Bulkfill-Komposite mit den konventionellen Kompositen auf eine Stufe gestellt. Die wohl umfangreichste und wertigste Metaanalyse zum Thema Bulkfill-Komposite wurde 2017 von der Loevener Arbeitsgruppe publiziert [125]. Zum Thema Durchhärtung konnte herausgearbeitet werden, dass niedrigvisköse Bulkfill-Materialien in der Regel eine bessere Durchhärtung aufweisen als pastöse Bulkfill-Materialien [35,36,39,41,59,70,82,90,97,111,131].
Die besten Durchhärtungsergebnisse erzielte fast immer das relative transluzente SDR [4,70]. Dies zeigt sich gerade bei SDR auch bei Messungen der Konversionsrate [71]: Diese war unter den getesteten Bulk-Flow-Materialien am höchsten. Die Metaanalyse [125] zeigte zum Thema der mechanischen Eigenschaften ferner, dass je höher der Fülleranteil ist, desto höher sind das Elastizitätsmodul [72], die Biegebruchfestigkeit [1,54] und die Oberflächenhärte [6,26,35]. Demzufolge haben die meisten Bulk-Flow-Materialien schlechtere mechanische Eigenschaften, weswegen sie von pastösen Materialien überkappt werden sollten. Entsprechend dem Fülleranteil weisen SonicFill und X-tra fil die besten mechanischen Eigenschaften auf, während Venus Bulk Fill und Filtek Bulk Fill Flowable die schlechtesten mechanischen Eigenschaften innehaben [1,11,21,23,40,44,54,72,102,115]. Es gibt allerdings auch Ausnahmen: Tetric EvoCeram Bulk Fill zeigte oft niedrigere Biegebruchfestigkeitswerte (z.T. niedriger als bei manchen Bulk-Flow-Materialien) [25,40,54,70,118], überdurchschnittlich gute mechanische Eigenschaften hingegen X-tra base (mit 61 Vol.-% höchster Fülleranteil aller Bulk-Flow-Materialien – entsprechend dem Fülleranteil von Tetric EvoCeram Bulkfill). Das Material zeigte eine signifikant bessere Abrasionsresistenz und eine höhere Härte [26], was Ilie et al. zu der Überlegung verleitete, X-tra base entgegen den Herstellerangaben auf die Überkappung durch pastöses Material zu verwenden [54,55].
Interessant ist in dem Zusammenhang eine 2017 veröffentlichte Studie [81]. Hier wurde SDR klassisch mit einer Deckfüllung (G-aenial) verarbeitet. Als Kontrollgruppe fungierten aus G-aenial geschichtete Füllungen. Es handelte sich in dieser Studie um eine retrospektive Untersuchung, die in einer Praxis von einem einzigen Behandler gelegten wurden. Nach zwei Jahren ergab sich in beiden Gruppen eine Überlebensrate der Restaurationen von 93%. Die Misserfolgsquote stieg in beiden Gruppen mit steigender Flächenanzahl und Höckereinfassung und fand demzufolge vermehrt in größeren Kavitäten statt. Zahnfrakturen traten vorwiegend in der SDR-Gruppe auf, was die Autoren auf die doch etwas reduzierten physikalischen Eigenschaften von SDR zurückführten. Auf der anderen Seite lässt eine retrospektive Studie bei der Beurteilung von Versagensmustern nur schwer Rückschlüsse auf die Einhaltung der Verarbeitungsrichtlinien (z.B. der Lichtpolymerisation) der Materialien zu.
Hinsichtlich der Schrumpfungskräfte konnte die Metaanalyse die folgende grundsätzliche Betrachtung subsumieren: weniger Schrumpfungsstress bei Bulkfill-Materialien als bei konventionellen Kompositen und weniger Schrumpfungskräfte bei niedrigviskösen als bei hochviskösen Bulkfill-Materialien [25,36,59,65,102,112]. Die niedrigsten Schrumpfungsstress-Werte ergaben sich erneut bei SDR [53,66,80,99]. Auch die Betrachtung der Höckerauslenkung kann zur Bewertung der Schrumpfungskräfte führen: Je weniger die Höcker „zusammengezogen“ werden, desto geringer dürften die Schrumpfkraftwerte sein – allerdings nur, wenn die Randdichtigkeit der Restaurationen erhalten ist: Ein Abriss vom Kavitätenrand würde ansonsten zwangsläufig zu keinerlei Höckerauslenkung führen. Genau dies haben Moorthy et al. [83] schon 2012 berücksichtigt: Die zusätzliche Verwendung der Bulk-Flow-Materialien SDR und/bzw. X-tra base mit Überschichtung durch GandioSO (VOCO) reduzierte die Höckerauslenkung gegenüber der ausschließlich aus GrandioSO aufgeschichteten Restaurationen signifikant – ohne Änderung bei der Randdichtigkeit.
Bezüglich der Randdichtigkeit ergab die Metaanalyse [125], dass die meisten Untersuchungen zu dem Thema keinen signifikanten Unterschied in der Randdichtigkeit bei Verwendung von Bulkfill-Kompositen finden konnten [3,8,10,16,36,37,48,62,64,68,88,101,107,108]. Sechs Studien zeigten bessere Ergebnisse, wenn zusätzlich ein Bulk-Flow-Komposit zur Anwendung kam [51,64,83–86]. Nur eine Studie konnte schlechtere Randqualitäten dokumentieren, wenn ein Bulkfill-Komposit zum Einsatz kam [91]. Interessant ist in dem Zusammenhang allerdings eine Studie [61], in der pastöse Bulkfill-Materialien (Tetric N-Ceram Bulkfill und SonicFill) bessere Randqualitäten zeigten als Bulk-Flow-Materialien (SDR und Venus Bulkfill). Der sehr niedrige Schrumpfungsstress von SDR [67,103] mag mit Sicherheit auch zu den sehr guten Randqualitäten dieses Bulk-Flow-Materials beitragen. Am interessantesten an der bereits zitierten [125] Metaanalyse war jedoch die Erkenntnis, dass die Adhäsivanwendung bedeutsamer ist als die Komposittechnik [56,60]. Ebenfalls 2017 publizierten Chestermann et al. [17] im British Dental Journal ein weiteres Review zum Thema Bulkfill-Komposite. Das Review beschäftigte sich allerdings vorrangig mit den Materialeigenschaften und den Handlingsvorteilen der Bulkfill-Technik. Es werden die Anwendungsvorteile betont, die durchaus in der Lage sind, klinisch bessere Ergebnisse zu erzielen.
Ilie und Manhart attestierten im Jahre 2018 in ihrem Übersichtsbeitrag den Bulkfill-Kompositen, dass sie bislang gut zu funktionieren scheinen und somit einen wichtigen Beitrag zur Erweiterung des Spektrums moderner Restaurationsmaterialien leisten [57]. (Bereits 2015 betonte dasselbe Autorenpaar der Uni München die damals schon zunehmende Beliebtheit der Bulkfill-Komposite [79].) Ebenfalls in Deutschland publizierten Tauböck et al. 2019 eine weitere Stellungnahme zu Bulkfill-Kompositen [116]. Sie beschrieben, dass Bulkfill-Komposite eine vereinfachte Füllungstechnik und eine Arbeitsbeschleunigung ermöglichen. Bulkfill-Komposite sind ihrer Ansicht nach insbesondere in der minimalinvasiven Therapie schwer zugänglicher Kavitäten aufgrund ihrer einfachen Applikationsweise und ihrer reduzierten Schrumpfungskraftentwicklung von großem klinischem Nutzen. Die Autoren verwiesen hier speziell auch auf die bereits zitierten Zehnjahresergebnisse der klinischen Studie zu Quixfil der LMU München [46].
Ein internationales Review zum Thema Bulkfill-Komposite erschien 2019 in Dental Materials [19]: Diese Metaanalyse beschäftigte sich vorrangig mit In-vitro-Untersuchungen (n = 103) zu Bulkfill-Materialien, obwohl auch einige klinische Studien eingeschlossen waren. Die beschriebenen Bulkfill-Materialien zeigten eine geringere Polymerisationsschrumpfung, eine geringere Höckerauslenkung und eine mit konventionellen Kompositen vergleichbare Mikrohärte bei vergleichbarer Randqualität und Bruchfestigkeit. Auch die Konversionsrate zeigte ähnliche Ergebnisse wie bei den konventionell geschichteten Kompositen. Die Autoren schlussfolgerten, dass die Bulkfill-Materialien vergleichbare oder sogar bessere Ergebnisse als konventionell geschichtete Materialien brachten. Im selben Jahr erschien auch in Clinical Oral Investigations eine Metaanalyse [126], in die (aus ursprünglich 941 in Erwägung gezogenen Veröffentlichungen) zehn klinische Studien mit Beobachtungszeiten von 12 bis 72 Monaten eingeschlossen wurden. Der mittlere Betrachtungszeitraum lag hier allerdings nur bei knapp drei Jahren. Auch hier zeigten sich keine signifikanten Unterschiede in der Misserfolgsrate zwischen Bulkfill-Kompositen (Bulk Flow und pastöse) und konventionellen, in Schichttechnik eingebrachten Kompositen. Die Autoren betonten allerdings die Notwendigkeit länger laufender klinischer Studien.
Die nächste Metaanalyse erschien schon ein Jahr später [7]: Die Analyse von 16 klinischen Studien mit Nachkontrollzeiten zwischen sechs Monaten und zehn Jahren, die zwischen 2010 und 2020 publiziert worden waren, ergab ebenfalls keinen Unterschied zwischen Bulkfill-Kompositen und konventionellen Kompositen – unabhängig von der Kavitätenklasse (I oder II), der Dentitionsvariante (Milch- oder bleibender Zahn) oder der Restaurationstechnik (inkremental, komplett Bulkfill oder Bulkfill mit konventioneller Deckschicht). Wieder ein Jahr später (2021) erschien eine Analyse von acht klinischen Studien, die seit 2006 publiziert worden sind [132]. Auch hier betonen die Autoren die Erleichterung in der Komposit-Anwendungstechnik über die Reduktion der Anzahl der Arbeitsschritte und die sich daraus ergebende Reduktion der Behandlungszeit. Allerdings betonen sie den noch ungenügenden Nachweis einer Korrelation aus Bulkfill-Ansatz und Randqualitäten. Ähnliches hebt auch die Übersicht aus dem Jahre 2022 [12] heraus, die im Allgemeinen alle zur Verfügung stehenden Restaurationsmaterialien – direkte und indirekte – beschreibt. Ein Augenmerk liegt auch hier auf den Bulkfill-Kompositen. Das systematische Review von Tirapelli [117] kommt zu identisch positiven Ergebnissen: Bei den Parametern Retentionsrate, Frakturen, anatomische Form, Oberflächenbeschaffenheit, Farbanpassung, Randdichtigkeit, Randverfärbungen, Sekundärkaries und postoperative Sensitivitäten ergaben sich keine Unterschiede zwischen inkrementeller oder Bulkfill-Applikation von Kompositen in der Klasse I und II.
Heintze updatete im Jahre 2022 [49] seine zehn Jahre zuvor publizierte Metaanalyse [47] zu Seitenzahnkompositen. Hintergrund für die Autorengruppe war das Vorliegern vieler neuer klinischer Studien zu Seitenzahnkompositversorgungen als auch die erfolgreiche Markteinführung der Bulkfill-Komposite. Hier wurden Studien mit mindestens zweijähriger Laufzeit betrachtet, die in den Jahren 2000 bis 2019 publiziert worden waren. Aus den hier 423 betrachteten Studien wurden 62 in die Metaanalyse eingeschlossen; hiervon waren neun zu Bulkfill-Kompositen. In der Betrachtung konnte eine Überlebensrate nach zehn Jahren von 85–90% dokumentiert werden. Die Hauptversagensgründe waren Bulk-Frakturen und Abrasion (70% der Reinterventionsgründe). Karies lag hier bei 20% der Versagensgründe, während Retentionsverlust, nicht mehr akzeptable Randqualitäten, endodontologische Interventionen und Höckerfrakturen zusammen 10% der Versagensmuster ausmachten. Es zeigte sich in Bezug auf Farb- und Oberflächenveränderungen, Materialfrakturen und Veränderungen der anatomischen Form kein signifikanter Unterschied zwischen Hybrid-, Mikro-Hybrid-, Nano-Hybrid- und Bulkfill-Kompositen. Interessant war die Bestätigung, dass die Schmelz-Ätz-Technik generell die besten klinischen Ergebnisse brachte.
Auch das Jahr 2023 konnte mit drei Reviews bzw. Metaanalysen zum Thema Bulkfill-Komposite aufwarten. Die Metaanalyse von Sengupta et al. [109] untersuchte Publikationen klinischer Studien bis April 2023: 18 Studien wurden aus anfangs 1.445 herausgefiltert und näher betrachtet. Auch hier konnten vergleichbare Ergebnisse des Bulkfill-Ansatzes im Vergleich zur konventionellen Schichttechnik herausgearbeitet werden. Silva et al. [110] betrachteten acht Studien, die zwischen 2018 und 2021 publiziert worden waren. Auch hier ergab sich eine vergleichbare Performance der Bulkfill-Ansätze im Vergleich zu konventionellen Kompositen. In dem in Biomaterial Investigations in Dentistry veröffentlichten Review [89] wurden von 684 gesichteten Studien 53 in die nähere Betrachtung eingezogen. Die Ergebnisse zeigten sich sehr heterogen. So streute die Polymerisationsrate (Degree of conversion) zwischen 19 und 94% und die Schrumpfung zwischen 1,2 und 10,5%. Die Schrumpfungskraft-Werte bewegten sich mit 2 bis 3 MPA in einem deutlich engeren Fenster. Die ermittelten Biegebruchfestigkeitswerte lagen für die meisten Materialien oberhalb von 80 MPa. Auch hier schlussfolgerten die Autoren, dass Bulk-Flow-Materialen den Anforderungen an definitive Restaurationsmaterialien entsprechen.
Metaanalysen und Leitlinien haben den höchsten Evidenzgrad in der Literatur. Neben der Betrachtung der publizierten Metaanalysen kommt deswegen der Betrachtung von Leitlinien eine besondere Bedeutung zu. Jüngst wurde eine neue S3-Leitlinie zu direkten Kompositrestaurationen an bleibenden Zähnen im Front- und Seitenzahnbereich veröffentlicht [133]. Diese ersetzte die S1-Handlungsempfehlung zu Kompositrestaurationen im Seitenzahnbereich aus dem Jahre 2016. Neu aufgenommen wurde eine Bewertung von Bulkfill-Kompositen. Es ergab sich ein starker Konsens zu der Aussage, dass Bulkfill-Komposite bis zu einer Tiefe von 4 mm mit Polymerisationsgeräten entsprechender Leistung sicher auspolymerisiert werden können.
Aufgrund der einheitlichen Ergebnisse der vielen vorliegenden Metaanalysen und Review-Arbeiten aus den letzten zehn Jahren kann die Verwendung von Bulkfill-Kompositen auf diesem hohen Niveau aus Metaanalysen und der Leitlinie bei korrekter Verarbeitung als sicher und auch langzeitstabil betrachtet werden. Aus diesem Grund lag der Fokus der letzten Jahre darauf, den klinisch effektiven und bewährten Bulkfill-Ansatz weiter zu optimieren. Da physikalische Eigenschaften wie Stabilität, Schrumpfkraftentwicklung und Durchhärtung durchuntersucht waren, lag der Fokus auf Handling und Ästhetik. Bei den Bulk-Flow-Materialien machten Venus Bulkflow ONE [32] und Omnichroma Flow Bulk den Anfang. Das Letztere ist eine Bulkfill-Variante des bereits erfolgreich eingeführten Omnichroma Flow [30], dem inzwischen eine klinische Studie gute 2-Jahres-Ergebnisse attestierte [20]. Pluspunkt ist hier nach wie vor die hervorragende Farbadaptation zum Untergrund [38,128]. Auch die Politurfähigkeit zählt zum Thema Ästhetik: Hier ergaben sich bei Venus Bulkfill ONE und Omnichroma Flow Bulk jeweils glattere Oberflächen, wenn mit dem dreistufigen Super-Snap Rainbow Kit (Shofu, Kyoto, Japan) poliert wurde als mit den Diacomp plus Twist-Polierern (EVE Technik, Pforzheim, Germany) [5]. Interessant ist allerdings, dass in der jüngsten Untersuchung zu Omnichroma Flow Bulk dieses lediglich eine Durchhärtungstiefe von 3,3 mm erzielte [77]. Allerdings kam in der Untersuchung SDR flow+ auch nur auf eine Durchhärtung von 3,9 ± 0,2 mm, was im Hinblick auf die bereits zu SDR publizierten Daten [52,69,100] etwas an der Methodik der Untersuchung zweifeln lassen mag. Auf der anderen Seite gibt es eine Studie aus dem Jahre 2023 [113], in der bei einer Betrachtung der Korrelation von Unter- zu Oberseitenhärte keines der untersuchten Bulkfill-Materialien in der Lage war, 4 mm suffizient auszuhärten. Es hängt demnach wie immer an der verwendeten Messmethode ab.
Abseits der zitierten Metaanalysen werden weiterhin interessante klinische Einzelstudien zum Thema Bulkfill-Komposite publiziert, z.B. zur mittleren jährlichen Verlustrate zu Seitenzahnrestaurationen mit bzw. ohne SDR [122] nach drei Jahren in Klasse-II-Kavitäten. Das Bulkflow SDR kam genau nach Gebrauchsanweisung zur Anwendung – mit einer Deckschicht aus CeramX. Die Kontrollgruppe war im Split-Mouth-Ansatz jeweils eine geschichtete CeramX-Füllung. Im Beobachtungszeitraum versagten vier der 80 Füllungen (5%): eine in der SDR-Gruppe, drei in der CeramX-Schicht-Gruppe. Die mittlere jährliche Verlustrate lag somit in der SDR/CeramX-Gruppe bei jährlichen 0,8%, in der CeramX-Gruppe bei 2,5%. Der Unterschied war aber nicht statistisch signifikant. Auch hier konnte SDR eine gute klinische Eignung attestiert werden. Die Studie ähnelt vom Versuchsaufbau und den Ergebnissen her den älteren Studien von van Dijken und Pallesen aus den Jahren 2016 und 2017 [123,124].
2022 wurde eine klinische Studie zu Tetric EvoCeram Bulk Fill versus Filtek Ultimate mit Sechsjahresergebnissen publiziert [129], in denen sich bei dem Bulkfill-Ansatz weniger Randverfärbungen zeigten. In den anderen untersuchten Parametern ergaben sich keine signifikanten Unterschiede. Die Autoren gingen demzufolge sogar so weit zu schlussfolgern, dass ein Bulkfill-Komposit gegenüber einem in Inkrementen applizierten Material unter klinischen Aspekten gerade im Hinblick auf Randverfärbungen besser funktionieren könnte. Fünfjahresdaten zu einem anderen Bulkfill-Material (Tetric N-Ceram Bulk-Fill, entspricht Tetric EvoCeram Bulkfill) wurden 2023 publiziert [73]. Die mittlere jährliche Verlustrate lag bei der Inkrementtechnik bei 1,0% und in der Bulkfill-Gruppe bei 1,2%. Der Unterschied war auch hier nicht statistisch signifikant (p = 0,35). Somit konnten auch bei hochviskösen Bulkfill-Materialien selbst nach fünfjähriger Beobachtungszeit gute klinische Ergebnisse dokumentiert werden.
Eine aktuellere Studie aus dem Jahr 2024 zu Filtek Bulk Fill, erwärmten Filtek Bulk Fill, G-ænial BULK Injectable und SonicFill3, die im Journal of Esthetic and Restorative Dentistry publiziert wurde, attestierte allen untersuchten Bulkfill-Materialien nach zwei Jahren Beobachtungszeitraum „vielversprechende“ klinische Ergebnisse für die Klasse II [42]. Es ergaben sich keine signifikanten ästhetischen, funktionellen oder biologischen Unterschiede zwischen den Materialen, die sich in ihrer Viskosität doch deutlich unterschieden. Eine ebenfalls 2024 im selben Journal erschienene Studie [2] beschäftigte sich neben Tetric Powerfill zusätzlich mit Cention N und Surefil One. Nach einem 2-jährigen Beobachtungszeitraum ergab sich für Tetric Powerfill und Surefil One eine klinische Erfolgsrate von 100%, bei Cention N von nur 96%, die allerdings ebenso als klinisch akzeptabel bezeichnet werden konnte. Einzig die Randqualität von Cention N veränderte sich im Vergleich zu Baseline signifikant.
Die Dreijahresstudie von González et al. [43] fokussierte primär auf die Anwendung des Adhäsivs Adper Single Bond 2 auf feuchtem bzw. trockenem Dentin. Alle Kavitäten wurden aber mit Filtek Bulk Fill versorgt. Die Unterschiede in der Dentinfeuchtigkeit ergaben keine signifikanten Unterschiede in der klinischen Performance nach drei Jahren. Jeweils 22% der Restaurationen pro Gruppe zeigten geringfügige Randverfärbungen und 24% kleinere Randdefekte. Je zwei Füllungen pro Gruppe (4%) gingen verloren. Eine weitere Zweijahresstudie im Split-Mouth-Design mit je 30 Füllungen untersuchte ein Bulk Flow Ormocer versus Schichttechnik aus einem konventionellen 2-mm-Schichtkomposit. Auch hier ergaben sich nach dem zweijährigen Nachuntersuchungsinterval keine signifikanten Unterschiede zwischen den beiden Restaurationskonzepten. Die klinische Erfolgsquote lag in beiden Gruppen bei 93% [120].
Die Studie von Twigg et al. [121] präsentiert seltene Zweijahresdaten zu einem wirklichen Bulkfill-Material – dem selbsthärtenden Fill-Up (im Vergleich zu dem geschichteten Brilliant Everglow). Der Fokus lag in dieser Studie vorrangig auf dem Auftreten postoperativer Sensitivitäten. Diese waren in beiden Gruppen nicht signifikant unterschiedlich. Interessanterweise ging eine Fill-Up-Restauration nach zehn Tagen aufgrund eines Debondings verloren. Eine weitere Studie zu demselben selbsthärtenden Bulkfill-Material mit Lichthärtungsoption wurde in Clinical Oral Investigations publiziert [24]: Neben Fill-Up wurden in dieser klinischen Studie an 40 Patienten/-innen QuiXfil und Tetric N-Ceram Bulkfill untersucht. Als Adhäsiv wurde in allen Kavitäten One Coat 7 Universal in der selektiven Schmelzätztechnik verwendet. Es wurden pro Patient drei Restaurationen gelegt. Die Studie wurde als Doppelblindstudie bezeichnet; es stellt sich hier allerdings die Frage, wie dies im Falle von Fill-Up funktionieren soll. Im Endeffekt ergaben sich aber keinerlei signifikanten Unterschiede in den drei Untersuchungsgruppen in allen untersuchten Parametern.
Das schallaktivierte Bulkfill-Komposit Sonicfill 2 zeigte sich bereits nach 18 Monaten dem Glashybrid Equia forte HT in Bezug auf Retentionsverlust und Farbanpassung überlegen [9] und überzeugte generell mit guten klinischen Ergebnissen. Das Bulkfill-Ormocer Admira Fusion x-tra zeigte nach zweijähriger Beobachtungszeit bei den Parametern Oberflächenglanz und Oberflächenveränderungen signifikant bessere klinische Ergebnisse als das in derselben Studie verwendete, klassische Schicht-Komposit Grandio. Dafür ergaben sich bei Admira Fusion x-tra schlechtere Ergebnisse bei den Kriterien Oberflächenverfärbungen und der Farbanpassung. Zur Anwendung kamen beide Materialien im Split-Mouth-Design an den ersten Molaren sechs- bis zwölfjähriger Kinder. Beide Füllungsmaterialien konnten aber als klinisch akzeptabel eingestuft werden [14].
Ebenfalls 2024 wurde eine Vierjahresstudie zu einem Bulkfill-Komposit in Dental Materials veröffentlicht [15]. Der Fokus lag hier in der zusätzlichen Verwendung eines Versiegelungslackes (Biscover oder Permaseal). Lediglich eine Füllung (ohne Versiegelung) ging im Beobachtungszeitraum verloren, was die Vierjahreserfolgsquote in dieser Gruppe auf 98% drückte; mit den aufgebrachten Versieglern lag sie bei jeweils 100%. Die Autoren bescheinigten dem Bulkfill-Komposit exzellente Ergebnisse nach vier Jahren – unabhängig davon, ob ein zusätzlicher Versiegelungslack aufgebracht worden ist – was den Schluss zulässt, dass dieser zusätzliche Schritt entbehrlich ist.
Da die Evidenzlage der Literatur eindeutig ist und die Anwendung von Bulkfill-Techniken (egal ob Bulkflow- oder pastöses Bulkfill-Material) als sicher und effizient beschreibt, steht der breiten klinischen Anwendung nichts im Wege, sofern vom Anwendenden eine Vereinfachung der bewährten Schichttechnik in 2-mm-Inkrementen gewünscht wird. Die noch etwas zurückhaltende Akzeptanz von Bulkfill-Materialien war wahrscheinlich deren bislang reduziertem ästhetischem Potenzial zuzuschreiben. Hier hat sich aber in den letzten Jahren viel getan: Neben den bereits beschriebenen, hochästhetischen Bulkflow-Materialien Venus Bulkflow ONE [31,32] und Omnichroma Flow Bulk gibt es z.B. mit Filtek ONE (Solventum, vormals 3M Oral Care) und Ecosite Bulkfill auch pastöse Bulkfill-Komposite, mit denen sich ästhetisch sehr gute Ergebnisse erzielen lassen. Während Filtek ONE dem klassischen Vita-Farbschlüssel folgt, wird Ecosite Bulkfill in einer Universalfarbe angeboten, die nahezu alle Anwendungsbereiche abdeckt – und das bei beworbenen 5 mm Schichtstärken (20 Sek. Aushärtung). Den „Universalfarbansatz“ verfolgen neben dem pastösen Ecosite Bulkfill auch die niedrigviskösen Materialien Venus Bulkflow ONE, Omnichroma Flow Bulk und Brillant Bulkflow, das in der Farbe „Multishade“ angeboten wird.
Neu hinzu kommt jetzt Kettenbach mit einem Bulk-Flow-Material (Visalys Bulk Flow), das sich jedoch in seiner Konsistenz von den herkömmlichen Bulk-Flow-Materialien etwas unterscheidet: Es ist deutlich standfester, geht etwas in Richtung eines „Injectable-Composites“ und lässt somit aufgrund der sehr guten Handlingseigenschaften wesentlich mehr Spielraum in der Okklusalflächen- und Randleistengestaltung. Es kommt zudem ohne Deckschicht aus einem pastösen Material aus. Gerade für die Versorgung approximaler Slot-Kavitäten ist diese Standfestigkeit bei gleichzeitigem Anfließverhalten ein großer Vorteil. Genau wie Venus Bulkflow ONE und Omnichroma Flow wird Bulk Visalys Bulk Flow ausschließlich in einer einzigen ästhetischen Universalfarbe angeboten, die identisch schöne Behandlungsergebnisse liefert wie die vorgenannten. Die folgenden Behandlungsbeispiele verdeutlichen die Anwendung dieses Material.
Fallbeispiele
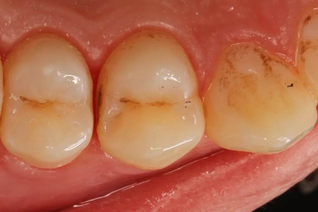
Fall 1: Versorgung einer Initialkaries an Zahn 45
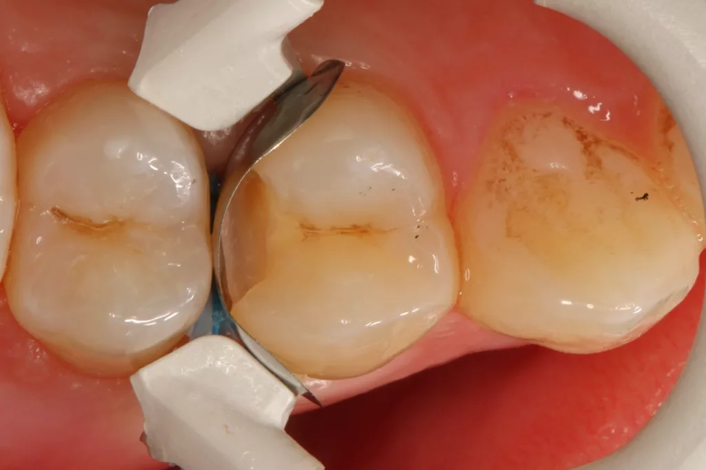
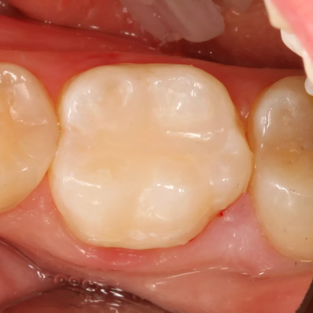
Bei der 54 Jahre alten Patientin fiel eine versteckte Approximalkaries distal an Zahn 45 auf (Abb. 1). Nach Eröffnung des Defektes (Abb. 2) zeigte sich das Ausmaß des stark unterminierenden Defektes. Nach vollständiger Kariesexkavation, Präparation des Defektes und Ausformung der Kavität mit einer Teilmatrize (Danville ultra thin flex, Zest Dental Solutions, CA, USA), einem Kunststoffkeilchen (G-Wedge, Garrison, MN, USA) und einem NiTin-Prämolaren-Spannring (re-invent Dental Products GmbH, Abb. 3) erfolgte erneut unter relativer Trockenlegung nach adhäsiver Vorbehandlung (G2 Universal, GC, total etch) die Versorgung mit dem niedrigviskösen Visalys Bulk Flow – diesmal in einem einzigen Inkrement (Abb. 4). Das Material ließ sich nach der Applikation mit einer Sonde ausformen und die Randleiste durch Verstreichen an der Innenseite der Matrizenfolie so gut darstellen, dass nach Abnahme der Matrize kaum noch Ausarbeitungsaufwand bestand.
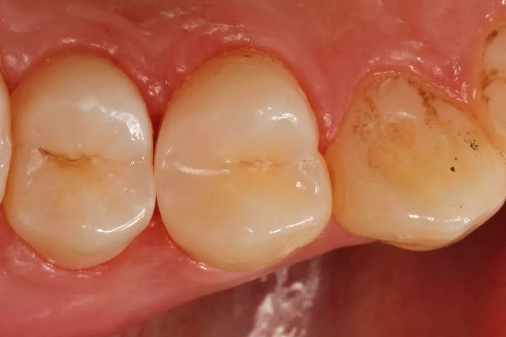
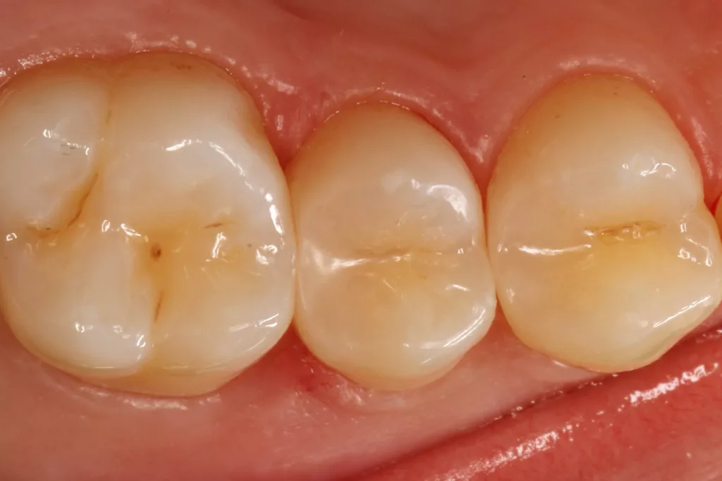
Die Polymerisation erfolgte zunächst für 20 Sek. aus okklusaler Richtung (Elipar Deep Cure, 3M), nach Abnahme der Matrize erfolgten zwei weitere Härtungszyklen für nochmals 20 Sek.: einmal aus bukkaler Richtung sowie ein Nachhärten der Restauration mit mittig okklusal auf dem Zentrum der Füllung platziertem Lichtaustrittsfenster. Die Abbildung 5 zeigt die Restauration unmittelbar nach Ausarbeitung und Politur (Diacomp Plus Twist, EVE). Die sehr gute Farbanpassung beeindruckt: Das Material erscheint auf keinen Fall zu transluzent, obwohl es in einer 4-mm-Bulkanwendung eingesetzt worden war. Durch die Versorgung des kleinen Defektes in einem einzigen Inkrement reduziert sich neben der Arbeitszeit auch das Risiko einer nicht bemerkten Defektstelle zwischen Einzelinkrementen bei derart schwer einseh- und kontrollierbaren Kavitäten. Das Ergebnis spricht unter ästhetischen und funktionellen Aspekten für sich. Die Abbildung 6 zeigt die klinische Situation bei einer Nachkontrolle nach sechs Monaten: Es sind weder Randverfärbungen noch Desintegration erkennbar, die Ästhetik ist unverändert.
Fall 2: Versorgung einer Initialkaries an Zahn 14 und später an 15
Die 26 Jahre alte Patientin störte sich an der approximalen Lücke zwischen den Zähnen 14 und 15, da sich hier ständig Speisereste impaktierten. Bei der klinischen Inspektion fiel die Initialkaries distal an Zahn 14 auf (Abb. 7). Die Patientin wurde dahingehend beraten, den Spalt mit einer minimalinvasiven Kompositrestauration zu versorgen – bei zeitgleicher Exkavation der Karies an Zahn 14. Nach Exkavation und Präparation des Defektes (der sich als deutlich ausgeprägter präsentierte als anfangs angenommen) erfolgte identisch zu Fall 2 die Ausformung der Kavität mit einer Teilmatrize (Danville ultra thin flex), einem Kunststoffkeilchen (G-Wedge) und der Separation mit einem NiTin-Prämolaren-Spannring (re-invent, Abb. 8).
Teilmatrizensysteme stellen heutzutage die erste Wahl in der Gestaltung anatomischer Kontaktflächen dar [22]: Sie garantieren korrekte anatomische Formen, straffe Approximalkontakte und belastungsoptimiert ausgeformte Randleisten [74–76]. Nach der adhäsiven Vorbehandlung (G2 Universal, GC, total etch) wurde der Defekt identisch zum vorherigen Fall mit dem niedrigviskösen Visalys Bulkflow in einem Zug aufgefüllt und mit der Sondenspitze ausmodelliert (Abb. 9). Die Aushärtung (Elipar Deep Cure) erfolgte erneut standardisiert für jeweils 20 Sek.: einmal okklusal zentral nach Einbringen des Bulkflow-Materials und je einmal als Nachhärtung nach Abnahme der Matrizen-Verschalung aus bukkaler und erneut okklusaler Richtung mit genau auf der Randleiste positioniertem Lichtgerät. So wird mit Sicherheit eine suffiziente Aushärtung des 4 mm tiefen Defektes gewährleistet.
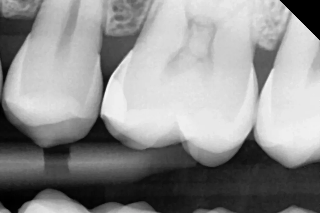
Die Abbildung 10 zeigt das Behandlungsergebnis unmittelbar nach Ausarbeitung und Politur (Diacomp Plus Twist, EVE), die Abbildung 11 bei einer weiteren Kontrolle nach sechs Monaten. In diesem Kontrolltermin wurden dann im routinemäßigen, zwei- bis dreijährigen Intervall Bissflügelröntgenaufnahmen zur Kariesdiagnostik angefertigt. Auf der Röntgenaufnahme zeigt sich die neue Visalys-Bulk-Flow-Restauration als randdicht, anatomisch korrekt geformt und ausreichend röntgenopak (Abb. 12). Die Schmelzläsion mesial an den Zähnen 15 und 16 erschien nicht therapiebedürftig, da die Oberfläche intakt war, wohl aber die versteckte Dentinläsion distal an dem Zahn 15. Der Defekt wurde in einem weiteren Termin identisch mit denselben Materialkombinationen und identischem Polymerisationsprotokoll versorgt (Abb. 13 bis 15).
Fall 3: Versorgung einer Initialkaries an Zahn 25 neben einer Goldkrone
Die Versorgung von Approximalläsionen neben Metallfüllungen (Amalgam oder Gold) gestaltet sich bei den gängigen Bulkfill-Materialien daher meist als schwierig, weil aufgrund der hohen Transluzenz der Restaurationsmaterialien die gelegte Füllung oft grau erscheint. Die graue Farbe ist bei klinischen Kontrollen oft schwer zu interpretieren: Es muss eine Kariesausbreitung unter der Füllung klar von der materialintrinsischen Transluzenz differenziert werden.
Aus diesem Grunde ist es sehr zu begrüßen, wenn Bulkfill-Materialien eine Farbanpassung dahingehend aufweisen, sodass sie auf keinen Fall zu transluzent wirken. Dies ist bei den Bulkflow-Materialien Venus Bulkflow ONE, Omnichroma Flow Bulk und Visalys Bulk Flow der Fall. Somit konnte bei der Anwendung des Visalys Bulk Flow in der Kavität neben der Goldteilkrone bei einer hier 57 Jahre alten Patientin ein klinisches Erscheinungsbild etabliert werden, das dem natürlichen Zahn 1:1 entspricht (Abb. 16 bis 19). Das Behandlungsprozedere entspricht den vorangegangenen Approximalfällen. Lediglich anstelle des G-Wedges wurde ein Fusion Wedge (ebenfalls Garrison) eingesetzt, da dieser eine nochmals bessere zervikale Abdichtung der Matrize gewährleistete.
Fall 4: Versorgung von zwei benachbarten Approximalläsionen
Dass mit sehr dünnen Matrizenfolien auch zwei benachbarte Kavitäten gleichzeitig versorgt werden können, zeigt der Fall des 19-jährigen Patienten an den Zähnen 24 und 25. Die zeitgleiche Versorgung zweier benachbarter Kavitäten hat den Vorteil des ökonomischeren Arbeitens und der Reduktion einer Kontamination der zweiten Kavität mit dem Adhäsiv, bei dessen Verblasen in der als erste versorgten Kavität: Da es beim Matrizenwechsel nahezu immer zu einer Blutung oder sonstigen Kontamination kommt, muss eine erneute Reinigung bzw. Nachpräparation der zweiten Kavität vorgenommen werden. Ein ledigliches Ausspülen vor einer adhäsiven Versiegelung der Kavität dürfte ineffizient sein, da sich die Phosphorsäurekonditionierung der Schmelzränder durch die Verklebung der Oberfläche mit dem verblasenen Adhäsiv aus der erstversorgten Kavität kaum suffizient gestalten lassen dürfte.
Es müssten die Klebeflächen somit sekundär noch einmal angefrischt werden, was wiederum aufgrund der Enge in dem minimalinvasiven Kavitätenbereich einen erneuten und nicht ganz so einfachen Arbeitsschritt darstellt. Aus diesem Grunde ist die zeitgleiche Versorgung derartiger Approximalläsionen kontaminationstechnisch einfacher zu bewerkstelligen und somit vorzuziehen – vorausgesetzt der Approximalkontakt ist ausreichend stark. Dies wurde in dem vorliegenden Fall durch die Verwendung zweier sehr dünner (0,03 mm) Teilmatrizenfolien (QuickmatFLEX Titan, Polydentia, Schweiz, Abb. 20 und 21) sichergestellt. Die hervorragende Separationskraft des verwendeten NiTin-Spannringes garantiert eine ausreichende Kontaktstärke (Abb. 22).
Das Restaurationsprozedere folgte den vorangegangenen Fällen. Die Polymerisation von Adhäsiv (G2 Universal) und des Bulkflow-Komposites (Visalys Bulk Flow) erfolgte hingegen separat und nicht mit einer gemeinsamen Abdeckung beider Kavitäten mit dem 10 mm Lichtleiter der Elipar Deep Cure, um den Schattenwurf der beiden Teilmatrizen zu minimieren. Die Nachpolymerisation nach Abnahme beider Matrizen erfolgte hingegen nur einmal für beide Kavitäten: einmal von okklusal zentral und mittig auf beide, gerade neu aufgebaute Randleisten und einmal von approximal/bukkal. Das klinische Endergebnis überzeugte erneut funktional und ästhetisch. Die Abbildung 23 zeigt die klinische Kontrolle nach sechs Monaten: Es sind weder Randverfärbungen noch Desintegration erkennbar, die Ästhetik ist ebenso unverändert.
Fall 5: Versorgung einer okklusalen Kavität an einem unteren Molaren
Auch im Molarenbereich können Bulkflow-Materialien effektiv und ökonomisch eingesetzt werden, ohne Abstriche an der Ästhetik machen zu müssen, was der Fall des hier versorgten Zahnes 46 bei einer 22-jährigen Patientin zeigt. Die Abbildung 24 stellt die bereits präparierte und mit einem Einzelzahnkofferdam isolierte Kavität mit der Phosphorsäurekonditionierung der Schmelzränder (Gel Etchant, Kerr) dar. Die Entscheidung zur absoluten Trockenlegung fiel aufgrund der nicht so einfach kontrollierbaren Zunge und der vielen Schluckreflexe, was das Risiko einer ungewollten Speichelkontamination der Klebefläche unverhältnismäßig erhöhte.
Die Verwendung des Kofferdams ist generell eine sehr empfehlenswerte, aber keine zwingende Voraussetzung zur Etablierung einer suffizienten Kontaminationskontrolle [47,96]. Das bisher auch bereits verwendete Zwei-Schritt-Universaladhäsiv G2 Universal wurde hier in der selektiven Schmelzätztechnik angewendet, d.h., das Material arbeitet auf dem Dentin selbstkonditionierend (Abb. 25). Die bislang zu diesem innovativen Mehrflaschen-Universaladhäsiv publizierten Daten zeigen eine beeindruckende Performance, die den Vergleich mit sogenannten Goldstandards [98] wie einem Optibond FL nicht scheuen müssen [13,18,34,58,63,114,119,127,130]. Im nächsten Schritt wurden die einzelnen Höcker mit dem angenehm standfesten Flowable aufgebaut (Abb. 26). Die Abbildung 27 zeigt die komplett versorgte okklusale Kavität, die Abbildung 28 die Situation unmittelbar nach Ausarbeitung und Politur. Erneut beeindruckt die gute Farbadaptation.
Fall 6: Mini-Slot-Kavität an einem oberen Molaren
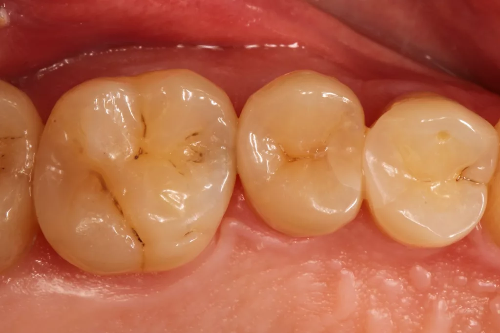
Die kleine Approximalkaries mesial an dem Zahn 26 des 34 Jahre alten Patienten zeigte sich aufgrund der aus palatinaler Sicht klinisch erkennbaren Kavitation als behandlungsbedürftig. Nach Kavitätenpräparation mit der Sonicsys Quick Micro-Präp-Schallspitze SFQ 30 M (Komet, Lemgo), die eine maximale Schonung des Nachbarzahnes zuließ [87], erfolgte die Verschalung erneut über eine QuickmatFLEX Titan Teilmatrizenfolie (Polydentia), einem Fusion-Wedge (Garrison) und einem NiTin-Spannring (Abb. 29). Als Adhäsiv kam erneut G2 Universal zur Anwendung – diesmal in der „Total-Etch“-Technik: Eine differenzierte Ätzung von Schmelz und Dentin ist bei so kleinen Kavitäten nicht möglich. Da bei Universaladhäsiven eine Dentinätzung mit Phosphorsäure optional ist und zumindest keine negativen Effekte bedingt, ist die Anwendung eines Universaladhäsivs eine optimale Materialoption.
Das Auffüllen des Slot-Defektes erfolgte in einem Zug erneut mit dem Einfarben-Bulkflow Visalys Bulk Flow (Abb. 30). Nach Polymerisation für 20 Sek. von okklusal (Elipar Deep Cure), Nachpolymerisation über die Randleiste und von bukkal für jeweils weitere 20 Sek. sowie der Ausarbeitung und Politur präsentierte sich erneut ein funktionell stabiles und ästhetisch ansprechendes Ergebnis (Abb. 31). Eine in der Sitzung durchgeführte routinemäßige Bissflügelaufnahme zeigt die randdichte Minifüllung und die gute Röntgenopazität (Abb. 32).
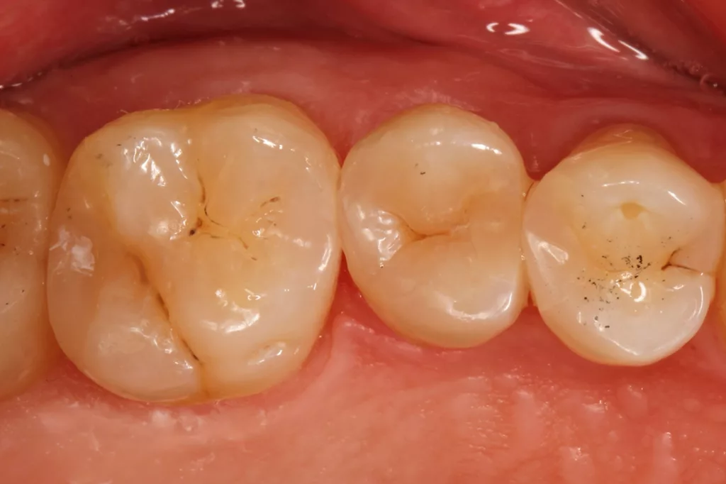
Fall 7: Klasse-II-Restauration an Zahn 26
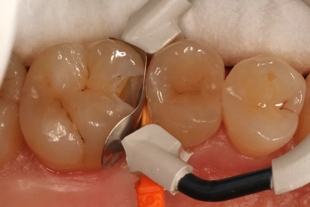
Die Approximalläsion des 57-jährigen Patienten mesial am Zahn 26 (Abb. 33 und 34) ähnelt der im vorhergehenden Fall an demselben Zahn, war nur in orovestibulärer Richtung etwas weiter unterminierend extendiert. Auch hier wurde mit der Sonicsys Quick Micro-Präp-Schallspitze SFQ 30 M (Komet, Lemgo) gearbeitet. Die Einschalung der Kavität konnte mit einer Danville ultra thin flex Teilmatrize, einem Fusion Wedge (Garrison) und einem NiTin- Prämolaren-Spannring (re-invent) optimal vorgenommen werden (Abb. 35).
Unter relativer Trockenlegung konnte nach adhäsiver Vorbehandlung (G2 Universal, GC, total etch) die Versorgung mit dem niedrigviskösen Visalys Bulk Flow problemlos in einem Inkrement eingebracht und mit der Sondenspitze an der Innenseite der Randleiste ausgeformt werden (Abb. 36). Auch hier überzeugt das Ergebnis nach Polymerisation, Ausarbeitung und Politur ästhetisch und funktionell (Abb. 37).
Fall 8: Füllungsaustausch an Zahn 26
Diesmal war es eine defekte Approximalfüllung an Zahn 26, die ausgetauscht werden musste (Abb. 38). Der Patient erschien als Schmerz- und Neupatient. Nach Exkavation und Einschalung des Defektes analog zu den vorangestellten Fällen (Abb. 39) erfolgten die adhäsive Versiegelung und die restaurative Versorgung des Zahnes mit der identischen Materialkombination (G2 Universal, Visalys Bulk Flow). Die Abbildung 40 zeigt die ausgearbeitete und polierte adhäsive Restauration, die Abbildung 41 eine Bissflügelaufnahme in einem Folgetermin zu einer regulären Kontrolluntersuchung.
Hier fiel auch der approximal-zervikale Defekt distal an Zahn 24 auf, der in einem anschließenden Termin mit derselben Materialkombination versorgt wurde. Die Röntgenaufnahme verdeutlich den tief unterminierenden Defekt, der von dem Bulkflow-Material vollständig und blasenfrei aufgefüllt werden konnte.
Fazit
Hochwertige lichthärtende Bulkfill-Restaurationsmaterialien stellen heute eine sinnvolle Erweiterung des restaurativen Produktportfolios dar. Sie sind seit Jahrzehnten mannigfaltig untersucht, wissenschaftlich fundiert bewertet, nachweislich bewährt und somit für die breite Anwendung definitiv geeignet. Vom anfänglichen, rein „funktionellen“ Indikationsgedanken hat sich die Materialgruppe inzwischen zu anwendungssicheren Allroundern hin entwickelt, die sich hinter ihren „Schicht-Brüdern“ auch ästhetisch nicht mehr verstecken müssen.
Wie die jüngsten Produktentwicklungen zeigen, ergeben sich immer wieder Optimierungsmöglichkeiten in puncto Handling, Ästhetik etc. Diese wurden in den letzten Jahren sukzessive von unterschiedlichen Herstellern aufgegriffen und konsequent umgesetzt. Herausgekommen sind Universalisten, die selbst in einer einzigen Standardfarbe etablierten Materialien, die in unterschiedlichen Farben angeboten werden, Paroli bieten können. Es bleibt abzuwarten, was da so in Zukunft noch an Neuem angeboten wird: Nach der IDS ist vor der IDS.
Entdecke CME Artikel















































Keine Kommentare.