Der 64-jährige Patient ist leidenschaftlicher Camper und störte sich an seiner „schaukelnden“, nur noch auf drei Pfeilern abgestützten Teleskopprothese im Oberkiefer. Sie sei ihm im Beisein seiner Camper-Kollegen bereits des Öfteren beinahe „rausgefallen“.
Zudem sei seine Kau- und Sprechfunktion deutlich einschränkt. Er wünschte sich „etwas langfristig Festes“. Für den Patienten bestand keine Alternative zu einer implantatgetragenen Versorgung, eine herausnehmbare Versorgung in Form einer Totalprothese kam für ihn nicht in Frage.
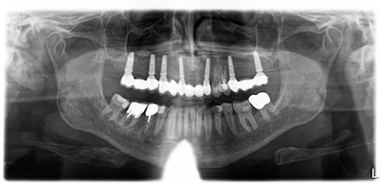
Der Patient ist Nichtraucher mit gutem Allgemeinzustand und nach Anamnese ohne kritische oder für einen eventuell notwendigen Knochenaufbau risikobehaftete Komorbiditäten [3]. Seine Teleskopprothese im Oberkiefer war nur noch über die drei Pfeilerzähne 13, 22 und 23 verankert.
Fahling
Fahling
Fahling
Therapie-Planung
Der Therapieplan wurde in Abstimmung mit dem Patienten erstellt. Dabei war zu berücksichtigen, dass der Patient über den gesamten Behandlungszeitraum bis zur Fertigstellung der definitiven Restauration unbedingt kaufunktionell versorgt zu bleiben wünschte, da er zwischenzeitlich in Campingurlaub gehen wollte. Aufgrund der starken Pneumatisation der Kieferhöhlen wurden im posterioren Bereich beidseitig ein externer Sinuslift und nach Ausheilung der Strukturen die Implantation von sieben Implantaten (Conelog, Camlog, Wimsheim) mit unterschiedlichem Durchmesser und je 13 mm Länge geplant.
Die Implantatmaße und -positionen sowie der Umfang der Sinusbodenelevation wurden dabei in Sinne eines „backward planning“ anhand von DVT-Aufnahmen bestimmt. Zahn 13 sollte noch vorübergehend erhalten bleiben, um zusammen mit den bleibenden Zähnen 23 und dem entsprechend kariesbehandelten Zahn 24 bis zur Fertigstellung der definitiven Restauration der alten Teleskopprothese als Interimsersatz Halt zu geben. Als definitive Versorgung wurden drei VMK-Brücken auf NEM-Gerüsten vorgesehen. Damit sollte auch die natürliche Bezahnung im Unterkiefer von 37 bis 47 abgestützt werden.
Sinusbodenelevation
Der aus der DVT-Aufnahme ersichtliche starke Höhendefekt beidseits machte einen externen Sinuslift notwendig, um Implantate mit optimaler Länge setzen zu können. Das Verfahren der lateralen Antrostomie weist eine hohe Sicherheit auf. So werden die Überlebensraten der Implantate beim externen Sinuslift und einzeitiger Operation mit 88,5 % und bei zweizeitigem Vorgehen mit 90,9 % angegeben [5,8].
Mit einem Mukoperiostlappen wurden die lateralen Kieferhöhlenwände dargestellt und mittels Piezosurgery beidseitig laterale Fenster präpariert. Der piezochirurgisch abgelöste Knochendeckel ist eine patientenschonende Methode mit vorhersagbarem Ergebnis [4,7].
Bei der Elevation zeigte sich in regio 25 bis 27 eine Mund-Antrum-Verbindung (MAV), verursacht durch den parodontalen Knochenabbau. Da keine Anzeichen für eine Sinusitis vorlagen, wurde die MAV vor dem Verfüllen mit einer resorbierbaren, bovinen Kollagenmembran (Mem-Lok, BioHorizons Camlog) zur Kieferhöhle hin abgedeckt.
Apikal fixiert wurde die Membran durch das Verfüllen des Situs mit autologen Knochenspänen, retromolar aus regio 18 und 28 sowie 38 und 48 entnommen. Diese wurden jeweils zur Hälfte mit allogenem Knochenersatzmaterial (maxgraft, botiss biomaterials, Berlin) gemischt, womit eine natürliche Biofunktionalisierung des Knochenersatzmaterials erreicht wird.
Die präparierten Knochendeckel wurden in einer Kochsalzlösung zwischengelagert, um ein Austrocknen des entnommenen Knochens zu vermeiden. Nach dem Verfüllen konnten die Knochendeckel wieder passgenau in die Fenster repositioniert und das Weichgewebe vernäht werden.
Die Einheilung erfolgte unter der Teleskopprothese. Der Patient wurde darauf hingewiesen, neben der Schonung der Wundfläche und der Verwendung von desinfizierenden Mundspüllösungen sich für zwei bis drei Wochen möglichst nicht zu schnäuzen und zu nießen (Abb. 4-11).
Fahling
Fahling
Fahling
Fahling
Fahling
Fahling
Fahling
Fahling
Implantation
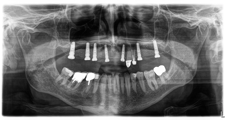
Nach einer – aufgrund eines Campingurlaubs von sechs auf acht Monaten – verlängerten Heilphase konnte der Patient implantiert werden. In der Röntgenkontrollaufnahme zeigten sich stabile knöcherne Strukturen in den augmentierten Bereichen des Sinus. Die Insertionen erfolgte gemäß Protokoll frei Hand auf Grundlage der DVT-Aufnahme und orientiert an der alten Teleskopprothese.
Fahling
Fahling
Fahling
Fahling
Fahling
Fahling
Fahling
Extraktion und Alveolenmanagement
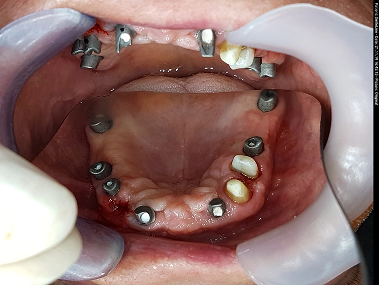
Die Freilegung der Implantate erfolgte mit minimalinvasiver Stichinzision. Die Verschlussschrauben wurden entfernt und Gingivaformer eingesetzt, um das Weichgewebe auszuformen. Die ursprüngliche Teleskopprothese wurde im Bereich der Gingivaformer ausgeschliffen und mit einer Gaumenplatte erweitert.
So konnte sie als Interimsversorgung, verankert auf den Zähnen 23 und 24, über den Gingivaformern als Interimsersatz genutzt werden und sich das Weichgewebe unbelastet um die Implantate herum ausformen. Einige Wochen später – wiederum verzögert durch einen Campingaufenthalt – konnte auf dem mittlerweile befestigten und stabilen Weichgewebe für die Herstellung der definitiven Restaurationen abgeformt werden. Hier ist von Vorteil, dass die Conelog Abformpfosten nicht in den Konus des Implantats eingreifen, sondern auf der Implantatschulter aufliegen, wodurch ein Höhenversatz bei der Abformung vermieden wird.
Zeitgleich mit der Freilegung wurde Zahn 13 extrahiert. Nach sorgfältiger Exkochleation wurde die unversehrte Alveole im Sinne einer Socket Preservation mit bovinem Knochenersatzmaterial (MinerOss X) verfüllt und mit einer porcinen Kollagenmembran (MemLok Pliable) abgedeckt. Damit lässt sich ein postoperativer Gewebeabbau und eine Einschränkung der Weichgewebeästhetik unter einem Brückenglied weitgehend vermeiden: Die Socket Preservation mit bovinem Knochenmineral und porciner Kollagenmembran schränkt die horizontale und vertikale Knochenresorption im Vergleich zur alleinigen Extraktion erheblich ein (Abb. 19 und 20) [1,6,9].
Fahling
Fahling
Versorgung
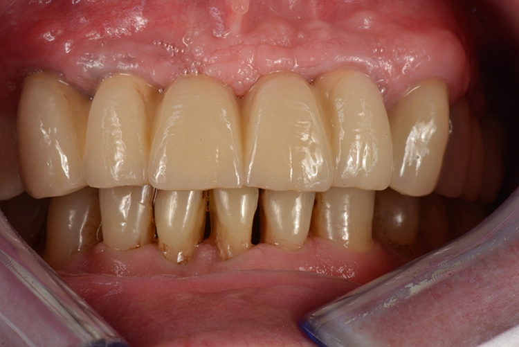
Während die Zähne 23 und 24 mit keramischen Einzelkronen versorgt wurden, erfolgte die definitive Restauration der Implantate über drei VMK-Brücken auf gefrästen NEM-Gerüsten über individuellen Titanabutments: von 17 auf 15, von 14 auf 22 und von 25 auf 27. Die Materialkombination wurde unter anderem auch in Hinblick auf ein vermindertes Chipping-Risiko gegenüber einer Versorgung mit Zirkon gewählt.
Fahling
Fahling
Fahling
Fahling
Fahling
Schlussbetrachtung
Moderne Biomaterialien bieten den Vorteil, aufgrund ihrer unterschiedlichen makroporösen Strukturen, ihrem Regenerationsverhalten und ihren Resorptionszeiten patientenindividuell unterschiedliche Defektmorphologien im Hart- und Weichgewebe volumenstabil versorgen zu können [2]. Um den Regenerationserfolg nicht zu gefährden, sollten sich die verwendeten Knochenersatzmaterialien und die Barrieremembranen durch eine hohe Biokompatibiliät auszeichnen. Der Patient war vom Behandlungsverlauf, der Optik und der Stabilität seiner Versorgung so zufrieden, dass er für seinen Unterkiefer beizeiten eine ähnliche Therapie erwägt.
Bildquellen sofern nicht anders deklariert: Unternehmen, Quelle oder Autor/-in des Artikels
Entdecke CME Artikel






Keine Kommentare.