Der erste Schritt sollte bei komplexen prothetischen Planungen aber immer ein Wax-up / Set-up im Artikulator sein, welches auch zur Phonetik- und Ästhetikanprobe am Patienten eingesetzt werden kann. Dadurch kann der Patient sich bereits in der ersten Phase der Behandlungsplanung ein realistisches Bild vom Behandlungsziel machen. Der Behandler gewinnt notwendige Informationen, z. B. über Kauebene, Phonetik, Ästhetik und Lippenstütze. Ist die prothetische Planung festgelegt, ist es die Aufgabe des Implantologen, diese im Sinne eines „backward planning“ chirurgisch korrekt umzusetzen. Dabei ist im Einzelfall abzuwägen, welche diagnostischen und therapeutischen Mittel erforderlich sind (OPG oder dreidimensionale Bildgebung, Röntgenschablonen, Bohrschablonen konventionell oder computergestützt hergestellt etc.).
Fallpräsentation
Dr. Ruppin
Aufgrund der Knochensituation im Oberkiefer bietet sich in diesem Fall primär eine implantologische Versorgung mit herausnehmbarem Zahnersatz an, z. B eine Stegversorgung auf vier Implantaten im Bereich 14-24. Dabei wäre auch die Bisshebung sowie ein Ausgleich des anterior atrophierten Alveolarfortsatzes über ein Prothesen-Lippenschild problemlos realisierbar gewesen. Der Patient wollte aber auf keinen Fall einen herausnehmbaren Zahnersatz, sondern strebte primär eine festsitzende Versorgung an. Eine in diesem Fall normalerweise indizierte Beckenkammaugmentation kam für den Patienten aufgrund starker beruflicher Auslastung und damit verbundenem Zeitmangel nicht in Frage. Daher stellte sich die Frage, ob bei dieser extrem schwierigen Ausgangssituation eine computernavigierte Implantation als Alternative zur Beckenkammaugmentation möglich wäre. Dazu wurde nach ausführlicher Beratung mit dem Patienten folgendes Procedere vereinbart:
- Prothetisches backward planning in mehreren Stufen: Zunächst Neuanfertigung von suffizienten Totalprothesen mit Bisshebung und Korrektur der Ebenen sowie mehrmonatige Tragedauer als Langzeitprovisorium zur Kontrolle der neugewonnenen Zentrik und Bisshöhe. Nachdem der Patient mit den Langzeitprovisorien ohne funktionelle Beschwerden und mit der Aufstellung sowohl ästhetisch als auch phonetisch zufrieden war, war das prothetische Ziel für das backward planning definiert.
- Externer Sinuslift mit autologem Knochen in Kombination mit bovinem Knochenersatzmaterial (Abb. 2), Heilungsphase von 3 Monaten.
- DVT-Analyse mit Röntgenschablonen, die das zuvor erarbeitete prothetische Ziel radiologisch sichtbar machen.
- Virtuelle Planung der möglichen Implantatpositionen und Evaluation, ob eine festsitzende Versorgung ohne Beckenkammaugmentation durchführbar ist. Die Analyse ergab, dass eine Versorgung im Oberkiefer mit acht Implantaten und im Unterkiefer mit sechs Implantaten für ein festsitzendes Zahnersatz-Konzept zwar implantologisch anspruchsvoll, aber durchführbar wäre. Daraufhin wurden die optimalen Implantatpositionen sowohl in Bezug auf den verfügbaren Knochen als auch das prothetische Ziel definiert und in der Planungssoftware (coDiagnostiX) festgelegt (Abb. 3-5).
Dr. Ruppin
Dr. Ruppin
Dr. Ruppin
Dr. Ruppin
Zur Übertragung der virtuellen Implantatposition in den OP Situs wurden knochengetragene Bohrschablonen virtuell konstruiert (Abb. 6-7).
Dr. Ruppin
Dr. Ruppin
Die Schablonen wurden in einem 3D-Druckverfahren hergestellt und mit Bohrhülsen für das Camlog Guide System versehen (Abb. 8-9). Hierbei handelt es sich um ein speziell abgestimmtes Bohrersystem zur sog. „full guided“ Implantation, d. h. nicht nur alle Bohrschritte von der Pilotbohrung bis zur fi nalen Aufbereitung und ggf. Gewindeschnitt, sondern auch die Implantatinsertion wird durch die Schablone durchgeführt. Intraoperativ wurde zunächst ein Mukoperiostlappen zur Darstellung des krestalen Knochens präpariert, was eine sichere und reproduzierbare Positionierung der Schablonen auf den Knochenauflagen ermöglichte. Danach erfolgte die full guided Insertion von Camlog Implantaten mit dem Camlog Guide Abb. 7: Planung der UK-Bohrschablone (Labor Cera-Technik, München). Abb. 8: OK-Bohrschablone mit eingearbeiteten Bohrhülsen (Labor Cera-Technik, München). Abb. 9: OK-Bohrschablone von basal mit den Knochenauflagen (Labor Cera- Technik, München). Abb. 10: Full guided Insertion der Implantate durch die Schablone. Bohrersatz in regio 16, 14, 13, 11, 21, 23, 24, 26 sowie 36, 34, 33, 43, 44, 46 (Abb. 10-12). Schon während der virtuellen Planung wurde dabei das Ausmaß ggf. zusätzlich notwendiger Augmentationen festgelegt und es erfolgte nach Abnahme der Schablonen an den geplanten Stellen autologe Augmentationen mit autologen Knochenblöcken (Abb. 13- 14).
Dr. Ruppin
Dr. Ruppin
Dr. Ruppin
Dr. Ruppin
Dr. Ruppin
Dr. Ruppin
Dr. Ruppin
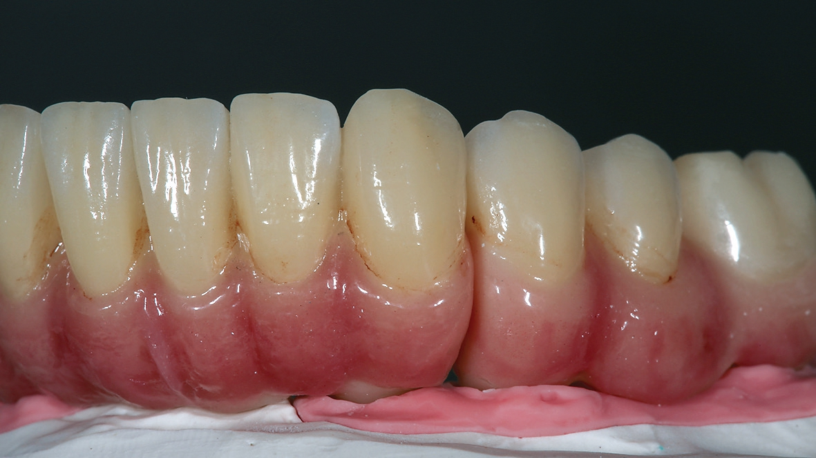
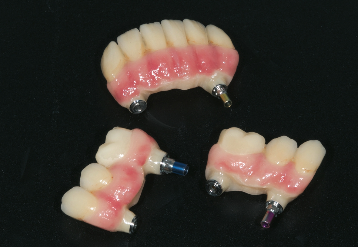
Bei reizlosem postoperativem Verlauf konnten die Implantate wie geplant nach drei Monaten freigelegt werden. Um das Emergenzprofil für die Prothetik möglichst optimal zu gestalten, kamen dabei sowohl zylindrische als auch wide body Gingivaformer zum Einsatz. Nach einer Heilungszeit von zwei Wochen für das Weichgewebe wurde der Patient für die prothetische Phase an die zuweisende Zahnarztpraxis (Dr. Andreas Karg, Lenggries) zurücküberwiesen. Dort wurde der Unterkiefer mit drei Brückensegmenten 46-44, 43-33, 34-46 definitiv versorgt. Zunächst erfolgte nochmals eine exakte zentrische Relationsbestimmung mit auf den Implantaten verschraubten Gerber-Stützstiftregistrat-Platten (Abb. 16). Anschließend wurden die Brückengerüste in CAD/CAM-Technik konstruiert und aus Zirkonoxid gefräst und individuell keramisch vollverblendet. Im Oberkiefer wurde zunächst ein auf provisorischen Abutments reversibel zementiertes Langzeitprovisorium aus PMMA mit glasfaserverstärkten Strängen (Targis Vectris) eingegliedert, um Phonetik, Ästhetik, Hygienefähigkeit und die Bisslage nochmals über eine Tragezeit von sechs bis neun Monaten zu evaluieren und falls notwendig letzte Korrekturen durchführen zu können (Abb.17-23). Danach ist die definitive Versorgung mit vier einzelnen Brückensegmenten in regio 16- 14, 13-11, 21-23 sowie 24-26 geplant.
Dr. Ruppin
Dr. Ruppin
Dr. Ruppin
Dr. Ruppin
Dr. Ruppin
Dr. Ruppin
Dr. Ruppin
Dr. Ruppin
Dr. Ruppin
Zusammenfassung
Die prothetischen Möglichkeiten, die die moderne Implantologie bietet, sind komplex. Klare Kriterien sind dabei für die Planung notwendig, um Misserfolge in der Behandlung zu vermeiden. Solche Misserfolge können dabei im Bereich der Prothetik selbst (insuffizienter Halt, Chipping und Gerüstfrakturen, phonetische und ästhetische Probleme, fehlerhafte Zentrik und funktionelle Komplikationen), der Hygienefähigkeit, des Weichgewebes (Mukositis/Periimplantitis, Rezessionen) und der Implantate selbst (Versagen von Suprakonstruktionen, Lockerung/Bruch der Abutmentverbindung, Überlastung der periimplantären Strukturen oder des Implantates selbst) entstehen.
Einer zum individuellen Fall passenden Planung muss sich die suffiziente chirurgische Umsetzung anschließen, um eine erfolgreiche Prothetik zu ermöglichen. Daher ist ein konsequentes, stufenweises backward planning im Team aus Prothetiker, Zahntechniker und Chirurg gerade in komplexen Fällen unabdingbar.
Die Techniken zur dreidimensionalen Bildgebung und damit die Bildqualität haben sich in den letzten Jahren stark weiterentwickelt, die Strahlenbelastung hat gleichzeitig abgenommen [3]. Der diagnostische Wert für die implantologische Planung ist hoch [4]. Die Umsetzung einer computergestützten Planung über eine Bohrschablone im Sinne einer „computer guided surgery“ ist mit ausreichender Genauigkeit möglich [5,6].
Die vierte Konsensuskonferenz des International Team for Implantology (ITI), die sich intensiv mit der dazu vorhandenen Studienlage auseinandergesetzt hat, erkennt die Möglichkeiten der computernavigierten Chirurgie an. Zugleich wird aber ausdrücklich auf die Techniksensitivität und Komplexität solcher Verfahren hingewiesen [7]. In den Händen erfahrener Kliniker kann die Anwendung für komplexe Fälle hilfreich sein. Es müssen aber auch die Strahlenbelastung, der Planungsaufwand und die zusätzlichen Kosten für die navigierte Chirurgie kritisch hinterfragt werden. Welche diagnostischen und therapeutischen Mittel letztlich für den einzelnen Fall indiziert sind, muss der behandelnde Arzt von Fall zu Fall individuell entscheiden.
Diskussion
Im vorgestellten Fall konnte eine festsitzende Versorgung trotz eines zum Teil extrem kompromittierten Knochenangebotes realisiert werden. Die Erfahrung zeigt hierbei, dass gerade komplexe Planungen am besten im Team aus Zahntechniker und Behandler gemeinsam erarbeitet werden. Besonderes Augenmerk wurde im vorliegenden Fall auf die knöcherne Abstützung der Schablonen gelegt, da im zahnlosen Kiefer eine sichere Lagefixierung der Bohrschablonen nur über Knochenauflagen oder über temporäre Hilfsimplantate erreicht werden kann. Diese sichere Fixierung stellt aber eine conditio sine qua non in der computernavigierten Implantologie dar und ist für die Genauigkeit der Übertragung der geplanten Implantatpositionen entscheidend [8]. Die Möglichkeit zur „flapless Surgery“, also die Implantate direkt transgingival zu setzen, besteht dabei nur bei zahngetragenen Bohrschablonen oder bei der Verwendung von Hilfsimplantaten. Da alle Navigationssysteme zwangsläufig eine technisch begrenzte Genauigkeit aufweisen, muss hierbei ein ausreichender Sicherheitsabstand zu anatomisch kritischen Strukturen bei der Implantatplanung mit berücksichtigt werden [9].
Das implantatprothetische Konzept mit acht Oberkieferund sechs Unterkieferimplantaten wurde gewählt, um große Brückenspannen zu vermeiden. Durch die Implantatposition sind im Oberkiefer vier und im Unterkiefer drei jeweils kurzspannige Brücken realisierbar (16-14, 13-11, 21-23, 24-26, 36-34, 33-43, 44-46). Dies bringt Vorzüge hinsichtlich der Zahnersatz-Passung einerseits, erhöht aber auch die Reparaturfreundlichkeit im Falle eines Chippings o.ä. signifikant.
Bei Implantatversorgungen in beiden Kiefern ist das Problem von Chipping durch die fehlende physiologische Zahnbeweglichkeit einerseits, aber auch den fehlenden „occlusal sense“ andererseits eine große prothetische Herausforderung. Daher eignen sich hierfür entweder monolithische Konstruktionen oder die Verwendung von hochverdichtetem Komposit als Verblendungsmaterial in einem Kiefer. Bei monolithischen Restaurationen, z. B. aus Zirkonoxid, ist zwar das Chipping-Risiko ebenfalls minimiert, andererseits sind die hierbei entstehenden unphysiologisch hohen okklusalen Kräfte kritisch zu bewerten. Bei Patienten, bei denen funktionelle Parameter wie Bisslage und -höhe verändert wurden bzw. die von herausnehmbaren auf festsitzenden Zahnersatz umgestellt werden, ist darüber hinaus die Verwendung von Langzeitprovisorien sehr empfehlenswert, um evtl. noch erforderliche Feinanpassungen zu ermöglichen.
Danksagung
Der Autor bedankt sich herzlich bei allen Beteiligten, insbesondere ZTM Bastian Heinloth vom Labor Cera-Technik in München, ZTM Matthias Gauger und Florian Kubitschek von GL Dental in Penzberg, ZTM Uli Schoberer in Seehausen sowie Dr. Andreas Karg in Lenggries für das Teamwork!
Bildquellen sofern nicht anders deklariert: Unternehmen, Quelle oder Autor/-in des Artikels
Entdecke CME Artikel






Keine Kommentare.