Nentwig
Zementfreie Befestigungsmöglichkeiten
Alternativ zu zementierten Befestigungen stehen beim Myplant two-System (Myplant GmbH, Frankfurt am Main) folgende Möglichkeiten zur Verfügung:
- Verschraubungen der Restauration mit dem Abutment
- Verschraubung der mit dem Abutment verklebten Restauration direkt im Implantat
- Fixierung der Restauration auf dem Abutment über Friktionskappen.
- Verschraubung der Restauration mit dem Abutment
Nentwig
Nentwig
Verschraubung der mit dem Abutment verklebten Restauration direkt im Implantat
Nentwig
Ein weiterer Vorteil ist darin zu sehen, dass nur eine Verschraubungseinheit vorliegt, deren Schraubenkopf zudem tief an der Basis des Abutments angeordnet ist und einen relativ kleinen Durchmesser aufweist. Damit lässt sich der okklusale Zugang in gleicher Weise wie oben erwähnt verschließen und ein günstiger kosmetischer Effekt erzielen (Abb. 5a-d).
Nentwig
Nentwig
Nentwig
Nentwig
Fixierung der Restauration auf dem Abutment über Friktionskappen
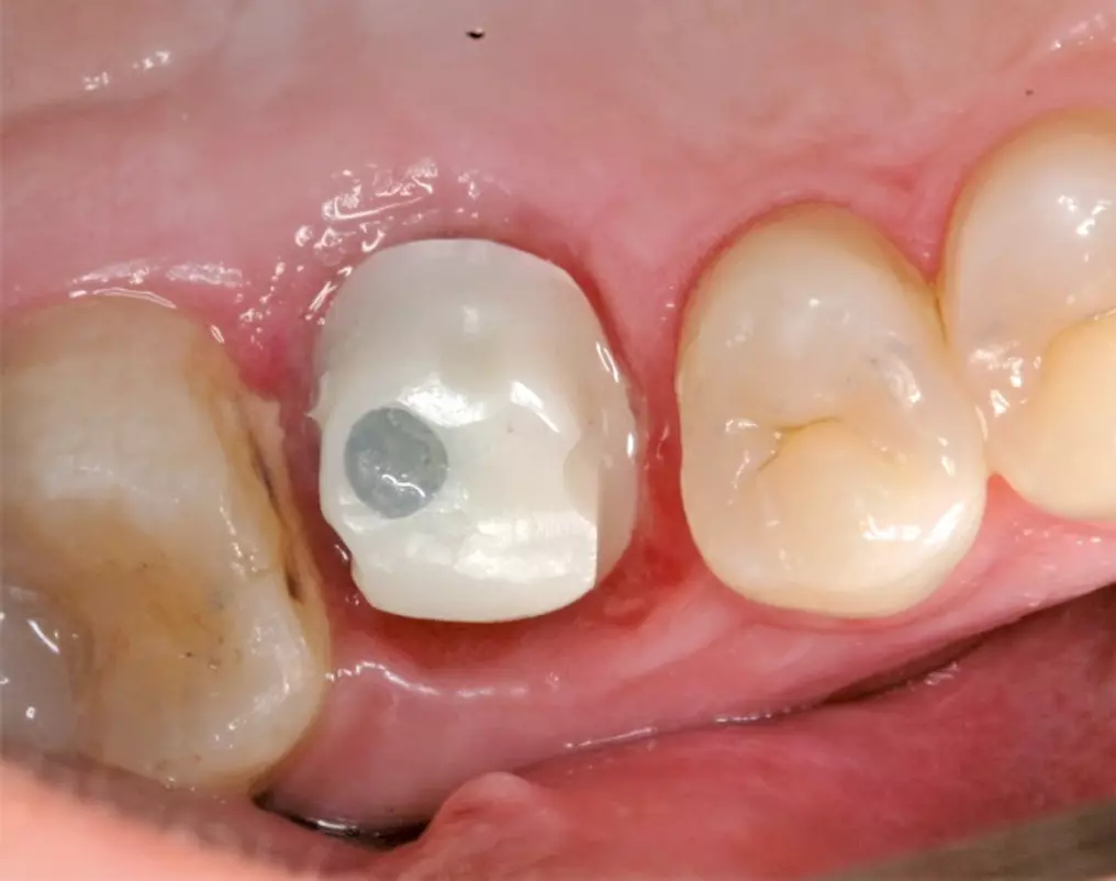
Zu allen Standardabutments (0°. 7,5°, 15°, 22,5°) existieren beim Myplant two-System passgenaue Kappen aus Gold, die als Friktionselemente (4° Konus) zur Retention der prothetischen Restauration geeignet sind (Abb. 6).
Nentwig
Diese Variante ist als besonders interessant einzustufen, da sie mit den vorhandenen Standardabutments durchgeführt werden kann, die auch die provisorische Restauration zur Sofortversorgung oder zum Knochentraining getragen haben („One Abutment One Time“-Konzept). Die Parallelisierung der frei einstellbaren, da nicht mit Index versehenen Abutments geschieht dabei direkt im Mund über optische Parallelisierungshilfen, die Abformung über präzise Transferkappen. Alternativ kann die Auswahl und parallele Positionierung der Standardabutments natürlich auch nach Übertragung der Implantatposition über einen Scan- oder konventionellen Abdruck durch das zahntechnische Labor vorgenommen werden, wobei die Rückübertragung der exakten Position über einen individuellen externen Index sicherstellt wird (Abb. 7).
Nentwig
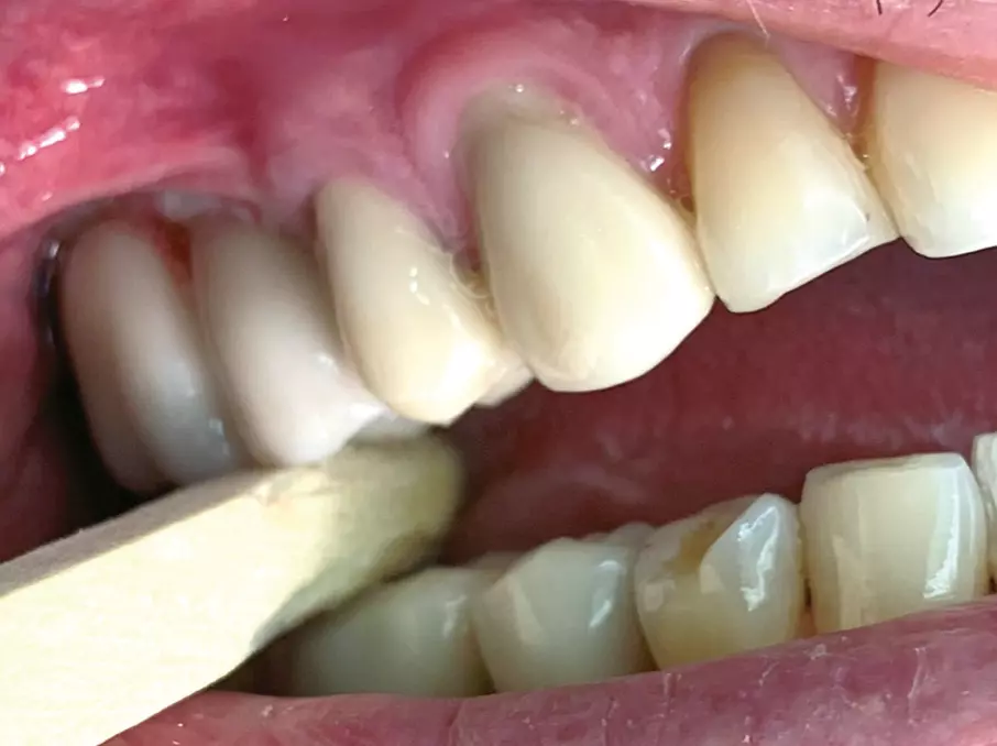
Der Praktiker schätzt vor allem im distalen Bereich das einfache Einsetzen der Rekonstruktion ohne Manipulation mit einem Schraubendreher. Der Patient wird aufgefordert, fest auf einen Holzspatel zu beißen, um die Reibhaftung zu aktivieren (Abb 8a-c).
Nentwig
Nentwig
Nentwig
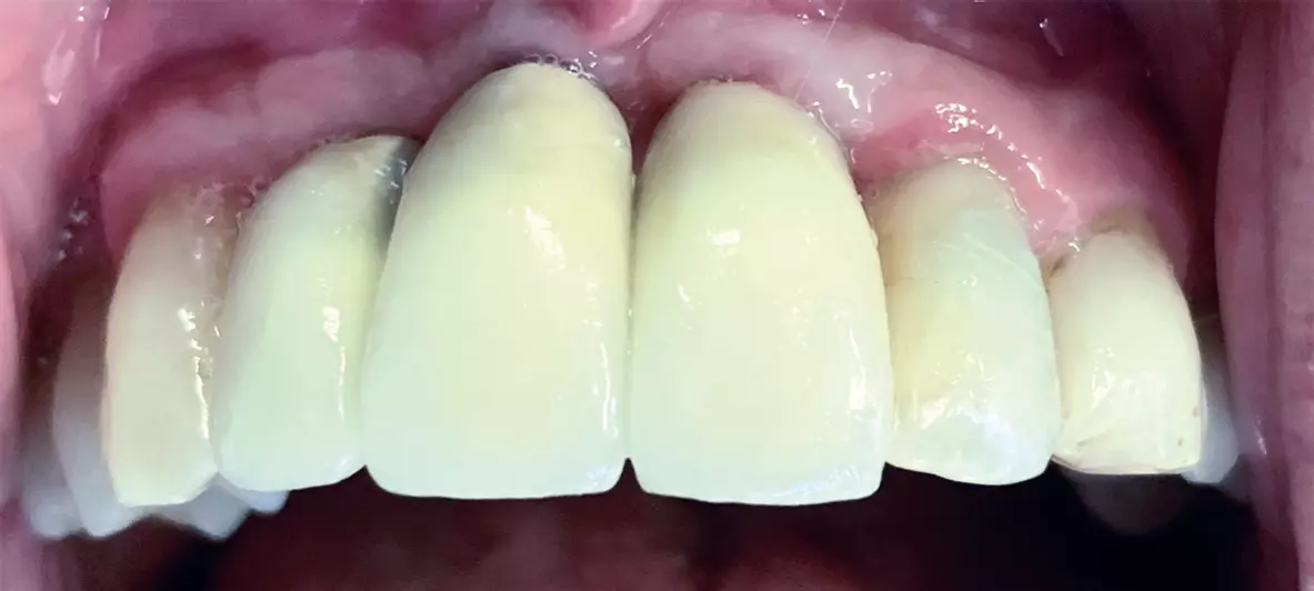
Im Frontbereich ist der Vorteil dieser Fixationsmethode darin zu sehen, dass keinerlei Schraubenzugänge zu verschließen sind, was der Ästhetik und der sensiblen Taktilität der Zunge zugutekommt (Abb. 9a-d).
Nentwig
Nentwig
Nentwig
Nentwig
Zusammenfassung
Zementfreie Retentionen werden heute aus Gründen der Periimplantitisprophylaxe („Zementitis“) breit favorisiert [3]. Von den Alternativen am bekanntesten und meistgenutzten ist die Fixierung der Restaurationen über okklusale oder laterale Verschraubungen in den Abutments. Die Zugänge zu den Schraubenköpfen sollten bakteriendicht verschlossen werden, da offenliegende Zugänge den Transport von Mikroorganismen ermöglichen, die über die nicht dichten Gewindefl anken dann die Region des Kronenrandes und damit möglicherweise die Weichgewebsmanschette erreichen. Ein Verschluss dient auch der Ästhetik und Haptik für die Zunge. Gelegentliche Schraubenlockerungen können vorkommen, weshalb der Schraubenzugang stets revidierbar sein muss.
Eine immer mehr sich etablierende Alternative ist das sogenannte Kronenabutment, wo Abutment und Krone eine durch Klebung verbundene Einheit bilden und im Implantat verschraubt werden. Dies wird durch die sich laborseits immer mehr durchsetzende CAD/CAM-Technologie möglich und setzt voraus, dass die Konstruktionsdaten der betroffenen Implantatkomponenten (Basis- oder Standardabutments) durch die Hersteller hinterlegt und durch die Zahntechnik abgreifbar sind. Besonders vorteilhaft ist dieses Verfahren, wenn die Implantat-Abutmentverbindung konisch und bakteriendicht ausgeführt ist, da dann Schraubenlockerungen eine seltene Ausnahme darstellen.
Relativ neu in der Reihe der zementlosen Fixierungsmöglichkeiten von Restaurationen ist das Verfahren der friktionsfixierten Retention. Seit kurzem wird hier z.B. das Acuris®-Konzept der Firma Dentsply propagiert [4]. Beim myplant two-System wird die Friktion durch Goldkappen generiert, die in die Restauration zahntechnischerseits eingeklebt werden. Diese Kappen liegen herstellerseits passend zu allen Varianten der Standardabutments vor.
Da es sich beim myplant two-System um eine selbsthemmende Konusverbindung handelt, wird im Unterschied zu den übrigen Implantatsystemen ein geometrisches Element („Index“) zur Rotationssicherung nicht benötigt. Durch die dadurch ermöglichte freie Einstellbarkeit der Abwinklungsrichtung kann bereits chairside eine prothetikgerechte bzw. – bei Brückenversorgungen – parallele Ausrichtung der Standardabutments erfolgen, sodass ein weiterer Abutmentwechsel prinzipiell nicht erforderlich ist („One Abutment One Time“-Konzept).
Mit diesem einfachen Workflow und durch die Verwendung von präfabrizierten Elementen (Kappen, Abutments) ergibt sich auch ein beachtlicher ökonomischer Vorteil, der nicht zu Lasten der technischen und/oder biologischen Qualität geht. Friktionsfixierte Brückenversorgungen lassen sich auch sehr gut bei zahnlosen Patienten auf rein Implantat getragener Basis einsetzen.
Näheres zu den Autoren des Fachbeitrages: Univ.-Prof. Dr. med. dent. Dr. h. c. Georg-Hubertus Nentwig, Oliver SeitzBildquellen sofern nicht anders deklariert: Unternehmen, Quelle oder Autor/-in des Artikels
Entdecke CME Artikel






Keine Kommentare.