Sinkende Zahlen bei Zahnverlusten und Kariesprävalenz sind Ausdruck für den Erfolg präventiver Maßnahmen [7]. Die im Bewusstsein großer Bevölkerungsanteile angekommene Einsicht, dass nicht nur das zahnärztliche Team in der Lage ist, zu helfen (passive Prävention), sondern man selbst aktiv viel für seine Mundgesundheit tun kann (z.B. durch ausgewogene Ernährung, bedarfsgerechte Fluoridierungsmaßnahmen und nicht zuletzt gezielte Mundhygieneanstrengungen), ist eine „kulturhygienische“ Errungenschaft. Dies hat u. a. auch zu einer größeren Nachfrage und einem größeren Angebot verfügbarer Produkte auf dem Markt der Mundhygienehilfsmittel geführt.
Interdentalraumreinigung
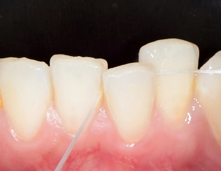
Die Reinigung des Interdentalraums, der bei Erwachsenen eine Kariesprädilektionsstelle sowie eine Eintrittspforte von Mikroorganismen in das Parodont darstellt, wird als besonders kritisch angesehen, weil dieser Bereich durch klassisches Zähneputzen allein nur unzureichend erreicht wird [8–10]. Zu diesem Zweck stehen verschiedene Hilfsmittel zur Verfügung, die häufigsten darunter sind Zahnhölzer, Zahnseide und Interdentalraumbürsten.
Während Zahnhölzer nur selten Eingang in zahnmedizinische Empfehlungen gefunden haben, da sie offenkundig zu keiner optimalen Plaquereduktion führen [11], war die Empfehlung zur Verwendung von Zahnseide lange Standard jeder Prophylaxesitzung. Aufgrund fehlender Evidenz hinsichtlich der präventiven Wirkung wurde die Zahnseide 2016 jedoch aus den „Dietary Guidelines for Americans“, den von der Regierung der Vereinigten Staaten erstellten Richtlinien für ein gesundes Leben, gestrichen [12]. Aus wissenschaftlicher Sicht trifft es zu, dass die Studienlage zur Reduktion von Plaque und Gingivitis durch Zahnseide ungenügend ist. Obwohl einige Arbeiten der Zahnseide einen positiven Effekt zusprechen [13–15], zeigen systematische Reviews Schwachstellen in der verfügbaren Studienlage auf [16,17].
Kritisiert wird vor allem, dass keine Untersuchungen zur Verfügung stehen, die neben Gingival- oder Plaqueindex auch den langfristigen Auswirkungen auf die Kariesprävalenz, den Attachmentverlust oder die mundgesundheitsbezogene Lebensqualität nachgehen.
Sekundo/Frese
Interdentalraumbürsten
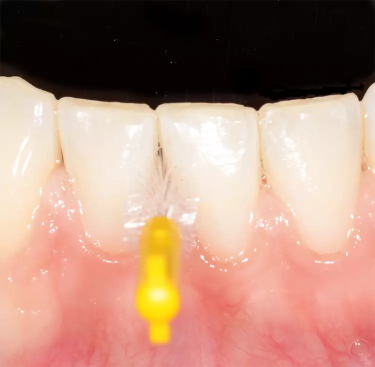
Die derzeit höchste Evidenz für eine Reduktion von Plaque und Gingivitis weisen Interdentalraumbürsten auf [18-24]. Diese sind daher auch in den neuen S3-Leitlinien der Deutschen Gesellschaft für Parodontologie als bevorzugtes Mittel zur Interdentalraumhygiene aufgeführt [12]. Der Empfehlung zufolge sollte die passende Auswahl vom zahnmedizinischen Fachpersonal getroffen werden und sich nach den anatomischen Gegebenheiten des jeweiligen Interdentalraums richten. Zu den Fragen, wie genau diese Auswahl zu treffen ist, welche Formen oder Bürstenanordnungen zu bevorzugen sind oder mit welcher Kraft die Interdentalraumbürste in den Zahnzwischenraum eingeführt werden sollte, besteht bislang jedoch noch kein wissenschaftlich eindeutig begründeter Konsensus [25].
In der Praxis werden an Patienten zuweilen mit Messsonden diverse Größen ausprobiert, um eine entsprechende Empfehlung abzugeben [26]. Allerdings ist ihr Wert umstritten. Eine korrekt angepasste Interdentalraumbürste sollte den kompletten Interdentalraum reinigen und mit „mittlerem“ Druck ein- und auszuführen sein. Wenn sie zu dünn ist, hat sie eine zu geringe Reinigungswirkung; ist sie hingegen zu dick, besteht Traumatisierungsgefahr. Abbildung 2 zeigt die Einprobe und Auswahl am Beispiel des Interdentalraums 41/42.
Sekundo/Frese
Sekundo/Frese
Sekundo/Frese
Ist eine passende Bürste gefunden, so lässt sich die Größenempfehlung für den Patienten jedoch kaum auf andere Hersteller ausweiten. Die Sortimente der Hersteller gestalten sich höchst unterschiedlich und folgen keiner einheitlichen Systematik.
Um eine bessere Übersichtlichkeit und Vergleichbarkeit zu erhalten, existiert zu Interdentalraumbürsten inzwischen eine Norm der „International Organization for Standardization“ (ISO): DIN EN ISO 16409:2016. Hierfür wird der kleinste Lochdurchmesser in Millimetern gewählt, durch den die getestete Interdentalraumbürste mit „klinisch relevanter“ Kraft passt, ohne sich zu verbiegen, der sogenannte „Passage Hole Diameter“ (PHD-Wert in mm) [27]. Mehrere PHD-Werte werden zu einer ISO-Gruppengröße zusammengefasst.
Dabei umfassen die ISO-Gruppengrößen 1 bis 3 jeweils zwei PHD-Werte, die Größen 4 bis 5 drei und die Größen 6 bis 7 fünf PHD-Werte. Alle Bürsten mit einem PHD von > 2,9 erhalten die ISO-Größe 8. Obwohl die neue Norm ein großer Fortschritt ist, führen die heterogenen ISO-Gruppengrößen vor allem bei größeren Interdentalraumbürsten zu ungenügender Differenzierung. Nicht alle Bürsten der gleichen ISO-Gruppengröße können denselben Interdentalraum passieren (Abb. 3). Entscheidend ist daher die Orientierung am einzelnen PHD-Wert und nicht an der ISO-Gruppengröße [28].
Sekundo/Frese
Sekundo/Frese
Sekundo/Frese
Sekundo/Frese
Ungeachtet der wenig exakt definierten Kraft, die für die Bestimmung des PHD nötig ist, weist dieser eine hohe Reproduzierbarkeit auf, die eine verlässliche Größenbestimmung von Interdentalraumbürsten zulässt. Bisher wird dieser Wert jedoch nur von 25% aller Hersteller angegeben. Am häufigsten wird zur Größendifferenzierung der Bürstendurchmesser verwendet, der jedoch aufgrund unterschiedlicher Drahtdicken und Borstensteifigkeiten nicht mit dem PHD übereinstimmt und daher kaum übertragbare Aussagen zur Bürstengröße ermöglicht [29].
Sekundo/Frese
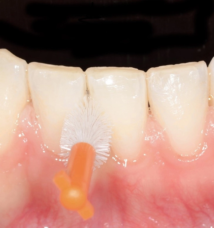
Man benötigt gerade in solchen Situationen ein ausreichendes Sortiment größerer Interdentalraumbürsten, wenn man das Ziel verfolgt, bei der Anwendung den jeweiligen Taschenfundus zuverlässig zu erreichen (Abb. 5).
Sekundo/Frese
Sekundo/Frese
Sekundo/Frese
Sekundo/Frese
Sekundo/Frese
Sekundo/Frese
Sekundo/Frese
Sekundo/Frese
Sekundo/Frese
Sekundo/Frese
Sekundo/Frese
Sekundo/Frese
Sekundo/Frese
Sowohl in der initialen Behandlungsphase nach Erstdiagnose einer Parodontitis als auch im Rahmen der Erhaltungstherapie (unterstützende Parodontitistherapie/UPT) besitzt die individuelle Mundhygieneschulung mit regelmäßiger Anpassung von Interdentalraumbürsten eine hohe Relevanz. Die Empfehlung der korrekten und passgenauen Interdentalraumbürste wird allerdings u. a. durch eine zu geringe Auswahl von Produkten mit größerer Reichweite erschwert.
Sekundo/Frese
Fazit
Zusammenfassend lässt sich festhalten: Mechanische Interdentalraumhygiene ist nach wie vor ein wichtiger Bestandteil der zahnmedizinischen Prophylaxe. Eine individuelle Auswahl von Interdentalraumbürsten muss separat für jeden Interdentalraum getroffen werden. Bei der Passage eines Interdentalraums darf die jeweilige Bürste weder zu dünn (geringe Reinigungswirkung) noch zu dick (Traumatisierungsgefahr) sein. Die Passung der Interdentalraumbürsten (Passage mit spürbarem Widerstand, damit die Bürsten in die Tiefe der Tasche geführt werden können) muss regelmäßig überprüft und ggf. adjustiert werden. Das von Herstellern angebotene Produktspektrum folgt oft keiner erkennbaren Systematik hinsichtlich kontinuierlich aufsteigender PHD-Werte für Patienten mit besonderen Anforderungen (z.B. Parodontitispatienten). Hier besteht seitens der Anbieter Handlungsbedarf.
Wir bedanken uns bei Prof. Dr. Dr. Hans Jörg Staehle, Universitätsklinikum Heidelberg, für die Überlassung der Abbildung 5.
Die Erstpublikation erfolgte in Prophylaxe Journal, 4/2019 der Oemus Media AG.
Bildquellen sofern nicht anders deklariert: Unternehmen, Quelle oder Autor/-in des Artikels
Entdecke CME Artikel






Keine Kommentare.