Problemaufriss
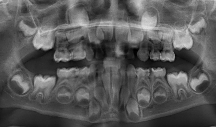
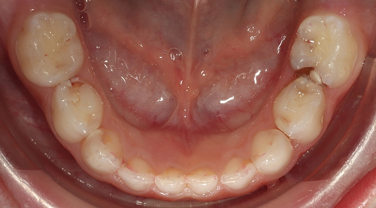
Ein 4-jähriges mäßig kooperatives Kind erscheint zur Kontrolle in der Zahnarztpraxis. Bei der klinischen Untersuchung sind offensichtlich zwei (scheinbar kleinere) approximal kavitierte kariöse Läsionen im Unterkiefer zu sehen sowie Läsionen an den Oberkieferschneidezähnen (Abb. 1a und b). Eine Versorgung dieser Zähne scheint nach klinischer Untersuchung bei diesem Kind noch ambulant möglich.
Dr. J. Schmoeckel
Dr. J. Schmoeckel
Dr. J. SchmoeckelAbb. 1c.
Erst eine weitergehende röntgenologische Untersuchung zeigt das ganze Ausmaß des Kariesbefalls (Abb. 1c). Das Kind wies an fast allen Milchzähnen bereits Dentinkaries, zum Teil auch schon sehr tiefe Läsionen (Zahn 75), auf. Solch ein Befund scheint bei zahlreichen konventionell-restaurativen Maßnahmen bei altersentsprechender mäßiger Kooperation (fast) nur in Narkose behandelbar.
Dieser Fall führt deutlich vor Augen, dass die richtige Diagnosestellung anhand adäquater Diagnostik die Basis jeder Therapieentscheidung darstellt. Der vorliegende Beitrag betrachtet im Schwerpunkt die Kinderzahnheilkunde, wobei die beschriebenen aktuellen Konzepte im Bereich der Untersuchung von Karies und der kariesspezifischen Risikoeinschätzung – also insbesondere der Diagnostik – nicht nur für „Kinderzähne“ gelten. Das Verständnis von der Erkrankung „Karies“ und das Wissen zu verschiedenen Optionen in der Kariesdiagnostik stellt die Grundvoraussetzung für die korrekte Diagnose dar und folglich auch für „modernes“ Kariesmanagement.
Aktuelle Definition von Karies
Das primäre Ziel der Zahnheilkunde ist eine hohe Lebensqualität für die Patienten durch gute langfristige Mundgesundheit und ein positives Vertrauensverhältnis zum Zahnarzt. Dafür sind eine frühzeitige Diagnostik von Karies innerhalb eines effektiven Praxiskonzepts in der Individualprophylaxe und ein modernes Kariesmanagement sehr wichtig.
Karies wird heute als Prozess eines chronischen Ungleichgewichts zwischen demineralisierenden und remineralisierenden Faktoren begriffen, bei dem die kariöse Kavität eine Folge der Erkrankung darstellt [10,19]. Der pathogene Biofilm, also die reife, ca. 48 Stunden alte dentale Plaque, verstoffwechselt u.a. Kohlenhydrate zu Säure, die die Demineralisation der unter der Plaque liegenden Zahnhartsubstanzen (zunächst Zahnschmelz, später Dentin) bewirken [11]. Das „Loch im Zahn“ – als Karies bezeichnet – ist also ein Symptom der Erkrankung, die ebenfalls im deutschen Sprachgebrauch als Karies bezeichnet wird.
Der Begriff der „Kariesentfernung“ ist daher etwas irreführend, weil zwar kariös veränderte Zahnhartsubstanz entfernt werden kann, jedoch die Erkrankung „Karies“, also die Ursache des kariösen Prozesses, davon unberührt bleibt. Auch wenn diese Unterscheidung eher semantisch erscheint, sind die Folgen für Kariesprävention und -therapie revolutionär: Die Entfernung kariös veränderter Zahnhartsubstanz dient primär dazu, den Zahn für die spätere Versorgung durch beispielsweise eine Füllung vorzubereiten, damit diese langfristig hält, und stellt primär keine ursächliche Kariestherapie dar [10,19].
Kariesepidemiologie in Deutschland
Laut der 5. deutschen Mundgesundheitsstudie (DMS V) haben 81,3% der 12-jährigen Kinder in Deutschland sogenannte kariesfreie Gebisse. Die durchschnittliche Karieserfahrung beträgt in dieser Altersgruppe nur noch 0,5 DMFT [9]. Dies bedeutet zugleich, dass Karies hochgradig polarisiert auftritt und die anderen ca. 20% dieser 12-jährigen Kinder im Schnitt 2 bis 3 Zähne mit Karieserfahrung aufweisen.
Im Milchgebiss ist die Karieserfahrung insgesamt deutlich höher und schneller progredient: Bereits 10 bis 15% der 3-Jährigen haben Karieserfahrung auf Defektniveau und sogar knapp die Hälfte aller Kinder in Deutschland erkrankt bis zur Einschulung an Milchzahnkaries [20]. Zudem ist ein Großteil dieser kariösen Milchzähne insbesondere bei den Kindergartenkindern nicht restaurativ versorgt [20].
Bei den Erwachsenen und Senioren in Deutschland hat sich die Zahngesundheit ebenfalls deutlich verbessert. So ist beispielsweise bei den 35 bis 44-Jährigen die Karieserfahrung in den vergangenen 20 Jahren um ca. 30% auf im Schnitt nun 11,2 DMFT gesunken. Bei den 65- bis 74-Jährigen sank in demselben Zeitraum die Karieserfahrung um etwa 6 Zähne auf nun 17,7 DMFT.
Bei den jüngeren Erwachsenen ist dabei insbesondere der Anteil der gefüllten Zähne zurückgegangen und bei den Senioren der Anteil der fehlenden bzw. extrahierten Zähne. Dennoch zeigen die Zahlen, dass Karies weiterhin eine epidemiologisch bedeutsame Erkrankung bleibt.
Kariesrisikoeinschätzung: Hauptmarker Karieserfahrung und Sozialstatus
Das Kariesrisiko bei Kindern kann auf Patientenebene primär anhand der Kriterien der Deutschen Arbeitsgemeinschaft Jugendzahnpflege e.V. erfolgen; diese beruhen auf der bisherigen Karieserfahrung (dmft/DMFT) (Tab. 1) [4]. Dies ist abrechnungstechnisch relevant. Nicht berücksichtigt wird dabei jedoch, dass bei einem Patienten die gegenwärtige Kariesaktivität je nach Zahn und Zahnfläche variieren kann.
Dr. J. SchmoeckelDaran sollte der Präventions- und Therapieplan individuell angepasst werden. Es ist bekannt, dass Kinder mit erhöhter Karieserfahrung im Milchgebiss ein deutlich erhöhtes Risiko für Kariesentwicklung im bleibenden Gebiss tragen [18]; Gleiches gilt für Kinder aus bildungsferneren Familien. Somit stellen Karieserfahrung und Sozialstatus wichtige Kariesrisikofaktoren dar.
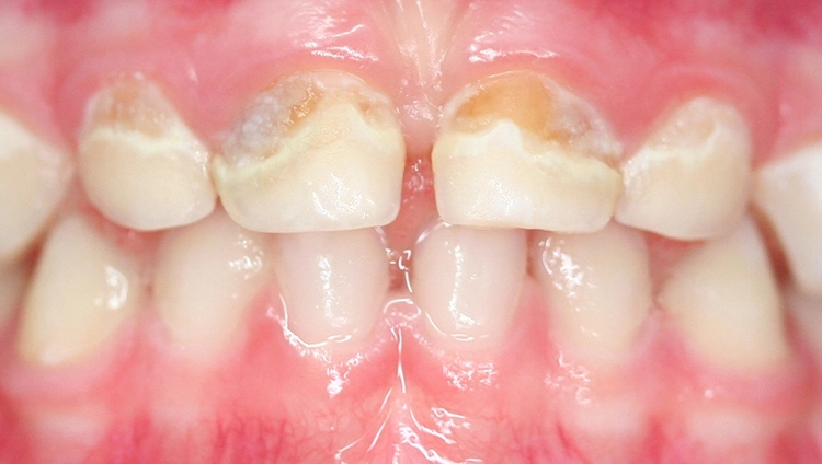
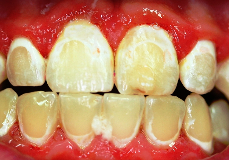
Dr. J. SchmoeckelAbb. 2: Die Frühkindliche Karies (früher „Nuckelflaschenkaries“ genannt) ist durch ein Auftreten flächiger kariöser Läsionen, die meist zunächst die Oberkieferschneidezähne betreffen, gekennzeichnet. Hauptursachen von ECC sind eine mangelhafte Zahnpflege beim Kleinkind in Kombination mit einem hochfrequenten Konsum zuckerhaltiger Getränke zwischendurch und/oder nachts.
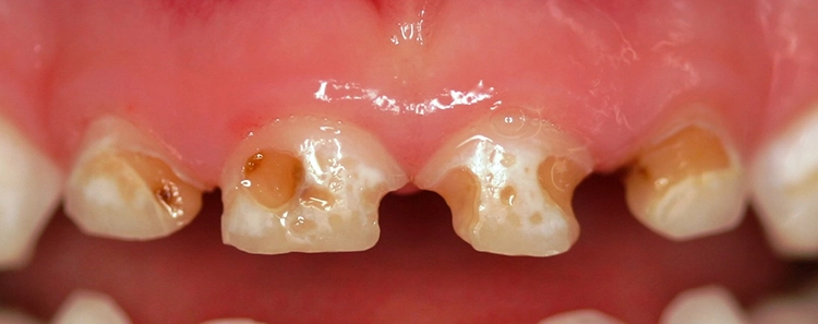
Beim Kleinkind spielt primär die frühkindliche Karies eine Rolle, die initial meist durch kariöse Läsionen an den Oberkieferfrontzähnen gekennzeichnet ist (Abb. 2). Im permanenten Gebiss unterliegen die Kauflächen der durchbrechenden 1. und 2. Molaren insbesondere in der ca. 1,5 Jahre dauernden Durchbruchsphase einem erhöhten Kariesrisiko. Während kieferorthopädischer Maßnahmen mit festsitzenden Apparaturen bei Jugendlichen sollte besonderes Augenmerk auf die Beurteilung der Mundhygiene, wie dem Vorhandensein kariogener Plaque auf Kariesrisikoflächen (Abb. 3), und Kariesaktivität gelegt werden, um frühzeitig präventiv einzugreifen und klinische Bilder mit kariösen Läsionen an fast allen Zähnen möglichst zu vermeiden (Abb. 4).
Dr. J. Schmoeckel
Dr. J. SchmoeckelBei Erwachsenen bietet sich zur Risikoeinschätzung neben dem Sozialstatus bzw. Bildungsstand ebenfalls die Karieserfahrung als Marker an. So lässt sich bei einer/einem 35bis 44-Jährigen mit > 11,2 DMFT bzw. bei einer/einem 65- bis 74-Jährigen mit > 17,7 DMFT von einem überdurchschnittlichen Kariesrisiko sprechen [9].
Kariesdiagnostik
Aus der Kariesepidemiologie ist bekannt, dass Karies in den verschiedenen Altersgruppen verschiedene Befallsmuster aufweist und meist mit dem Bildungsstand korrelierend stark polarisiert auftritt [20,9]. Diese Muster zu kennen und zu berücksichtigen, ist für eine fokussierte Diagnostik hilfreich (Tab. 2).
Dr. J. SchmoeckelAktive Initialkaries kann klinisch erst nach Entfernen der dentalen Plaque und Trocknung der Zähne unter Anwendung einer sehr guten Lichtquelle befundet werden. Zudem darf bei der Untersuchung von Initialläsionen keine Kraft mit einer spitzen Sonde aufgebracht werden, da so die intakte Oberfläche zerstört werden kann und damit die Chance auf eine defektfreie Remineralisation genommen wird. Neben der gängigen visuellen (und taktilen) Inspektion und der röntgenologischen Untersuchung sind zur Kariesdiagnostik noch weitere Optionen, wie die faseroptische Transillumination (FOTI), die lasergestützte Kariesdiagnostik und andere Kariesdetektoren verfügbar, auf die weiter unten eingegangen wird.
Aktuelle Kariesklassifikation und Kariesmanagementsystem: ICDAS
Nicht nur in der Therapie von Karies sind Fortschritte zu verzeichnen, sondern auch in der Kariesklassifikation und -diagnostik. Diese Neuerungen betreffen einen elementaren Baustein der zahnärztlichen Tätigkeit – vergleichbar hierin mit der neuen Klassifikation parodontaler Erkrankungen – denn eine regelmäßige, visuelltaktile Untersuchung des Mundes und der Zähne gehören zum Standardrepertoire eines jeden Zahnarztes (BEMA-Nr. 01 oder GOZ-Nr. 0010). Eine neuere Klassifikation nach dem International Caries Detection and Assessment System (ICDAS) ermöglicht eine sehr genaue Diagnosestellung der verschiedenen kariösen Stadien von 0 (gesund) bis 6 (tief kariös; Tab. 3), und bildet die Basis für ein internationales Kariesmanagement-Konzept (ICCMSTM).
Dr. J. SchmoeckelNach dem klinischen Kariesbewertungssystem ICDAS wird vorhandene Karies qualitativ, und nicht mehr nur nach dem wohl vielerorts üblichen „Ja-Nein-Prinzip“ diagnostiziert. Die Einteilung hilft auch dabei, das Fortschreiten der Läsionen und den kariösen Prozess insgesamt besser zu verstehen. Der Aktivitätsgrad der Läsion (+ für aktiv; – für inaktiv) kann dabei einfach ergänzt werden (s. Abschnitt „Kariesaktivität“).
Klinische Untersuchung auf Basis eines vereinfachten ICCMS-Modells
Im Praxisalltag sollte es in der Regel reichen, bei der Befundung von kariösen Läsionen zwischen Initialläsionen, moderaten Läsionen und kavitierten Defekten sowie zusätzlich deren Aktivitätsgrad zu unterscheiden, was schon eine recht präzise Therapieentscheidung ermöglicht [8,15,16]. Daher wurde mittlerweile durch ein großes internationales Expertenteam das „International Caries Classification and Management System“ (ICCMS) entwickelt. Es verwendet eine einfache Form des ICDAS-Kariesklassifikationsmodells.
Dabei werden bei der Untersuchung jeweils 2 Stadien der Karies zusammengefasst: ICDAS Codes 1 und 2 (early stage decay), 3 und 4 (moderate decay) sowie 5 und 6 (established decay). Zudem wird neben dem Kariesrisiko auf Patientenebene die Läsionsaktivität bewertet, um einen angemessenen, personalisierten, präventiv basierten, risikoadjustierten und zahnerhaltenden Kariesmanagementplan abzuleiten und anschließend auch durchzuführen [8].
https://www.iccmsweb.com/uploads/asset/5a82679fe6aeb300354089.pdf / Abbildung übersetzt.Abb. 5: Übersicht zu wesentlichen Aspekten des Kariesmanagementprozess(„Determine“, „Detect“, „Decide“, „Do“) im Rahmen des „International Caries Classification and Management System“ (ICCMS).
Details dazu finden sich hauptsächlich auf Englisch; aber auch „E-Learning-Module“ auf Deutsch (kostenfreier Login erforderlich) sind auf der Internetseite https://www.iccms-web.com/ verfügbar. Zudem kann eine gute grafische Übersicht zu wesentlichen Aspekten des Kariesmanagementprozesses im Rahmen des ICCMS kostenfrei eingesehen werden. So wie in diesem Schema dargestellt (Abb. 5), kommt zuerst die Kariesrisikoeinschätzung (determine), danach die Kariesuntersuchung (detect & assess), um basierend auf der daraus folgenden Diagnose eine (minimalinvasive) Therapieempfehlung (decide) zu geben und diese dann durchzuführen (do).
Kariesaktivität
Der Aktivitätsgrad (+/-; also aktiv/inaktiv) einer Initialläsion kann nur auf sauberen und getrockneten Zähnen ermittelt werden (Tab. 4, Abb. 6 a-c). In jedem Stadium von der initialen Schmelzläsion bis zur tiefen Dentinkaries ist eine Inaktivierung möglich (Abb. 7a und b) [8,16]. Dies geschieht durch die Störung des dentalen Biofilms (z.B. durch Zähneputzen) sowie durch Beeinflussung der De- und Remineralisationsprozesse (z.B. mit Fluoriden).
Dr. J. Schmoeckel
Dr. J. Schmoeckel
Dr. J. Schmoeckel
Dr. J. Schmoeckel
Dr. J. Schmoeckel
M. Alkilzy
Dr. J. SchmoeckelAbb. 8: Die Zahnseparation mit einem orthodontischen Separiergummi ermöglicht eine direkte klinische Untersuchung der Approximalflächen nach dessen Entfernung.
Direkte klinische Untersuchung bei Approximalkaries Klinisch stellt sich die Diagnostik im Approximalbereich insbesondere von Läsionen in den Stadien ICDAS 1 bis 4 als sehr schwierig dar. Durch die Zahnseparation mit einem KFO-Separiergummi (Abb. 8) und nach dessen Entfernung etwa 1–3 Tage später ist klinisch jedoch eine direkte visuell-taktile Untersuchung der Approximalfläche möglich.
Nachteilig ist jedoch die Notwendigkeit eines zweiten Termins. Mitunter kann dies durch geübte Untersucher umgangen werden, denn nach etwa 2 Stunden Wartezeit nach Applikation ist eine sehr kurze direkte Untersuchung direkt nach Entfernung des Gummis möglich.
Röntgendiagnostik
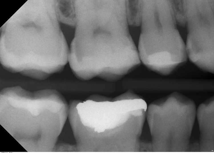
Bei Verdacht auf oder bei bereits bestehender Approximalkaries ist stets eine röntgenologische Untersuchung in Betracht zu ziehen, da eine Approximalkaries selten isoliert auftritt (Abb. 9a) und insbesondere im Milchgebiss durch die vergleichsweise dünne Schmelz-Dentin-Schicht die Nähe vom Defekt zur Pulpa abgeklärt werden sollte (Abb. 9b). Dafür bietet sich die Bissflügelaufnahme an [1], die approximal als Goldstandard in der Kariesdiagnostik gilt.
Dr. J. SchmoeckelDentinkaries zu befunden.
Dr. J. SchmoeckelZudem ist hier die Tiefe der Läsion (Nähe zur Pulpa) gut abschätzbar. Bei der Indikationsstellung für ein Röntgenbild ist immer die zwar geringe, aber dennoch vorhandene Strahlenbelastung zu berücksichtigen [12]. Faseroptische Transillumination (FOTI) Die Kaltlichtsonde bietet sich insbesondere für die erste Untersuchung „scheinbar gesunder“ Approximalflächen an [7], und dies v.a. wenn bereits an einem anderem Zahn eine approximale Läsion oder Füllung detektiert wurde.
Dr. J. SchmoeckelAbb. 10: Approximalkariesdiagnostik mit FOTI: Eine Opazität („Schatten“) ist distal an Zahn 24 deutlich zu erkennen.
Mit faseroptischer Transillumination (Kaltlicht) ist eine Dentinläsion anhand einer Opazität zu erkennen, denn die Lichtbrechung der Karies ist aufgrund vergrößerter Poren in der kariösen Zahnhartsubstanz im Vergleich zur gesunden Zahnhartsubstanz verändert und erscheint daher als „Schatten“ (Abb. 10). FOTI hat jedoch eher eine geringe Sensitivität speziell bei Schmelzläsionen und stellt eine qualitative Diagnosemethode (keine quantitativen Ergebnisse ermittelbar) dar.
Die großen Vorteile im Gegensatz zur Röntgendiagnostik sind jedoch, dass keine Strahlenbelastung entsteht und die Geräte vergleichsweise günstig sind. Zudem ist die Anwendung einfach und das Gerät relativ günstig, sodass eine Untersuchung mit FOTI auch routinemäßig erfolgen kann bzw. sollte.
Neuere Kariesdiagnostiksysteme
Seit einigen Jahren sind weitere neue technikbasierte Kariesdiagnostiksysteme wie DIAGNOcam, QLF™, Calcivis auf dem Markt erhältlich, mit der Zielstellung objektivierbare Ergebnisse in der Kariesdiagnose zu liefern. Diese liefern interessante innovative Ansätze sind jedoch zurzeit eher noch für wissenschaftliche Zwecke geeignet, da oft ein erhöhter Zeitbedarf zur Kariesdiagnose nötig ist und die Geräte vergleichsweise kostenintensiv sind (Tab. 5).
Dr. J. SchmoeckelFazit
- Nur bei Vorliegen aller notwendigen diagnostischen Befunde kann eine Diagnose korrekt gestellt werden, welche die Grundlage für die Therapieempfehlung darstellt.
- Die Erkrankung „Karies“ bezeichnet im eigentlichen Sinne nicht das „Loch im Zahn“, sondern einen Prozess mit chronischem Ungleichgewicht von De- und Remineralisation, bei der die kariöse Kavität eine Folge, also ein spätes Symptom, der Karies darstellt.
- Entkalkungen des kristallinen Zahnschmelzes werden durch Säuren verursacht, die aus Zucker im bakteriellen Zahnbelag gebildet werden.
- Der kariöse Prozess kann in jedem Stadium, gleich ob bei einer initialen Läsion (ICDAS 1 oder 2) oder bereits manifester, sondierbarer Dentinkaries (ICDAS 5 und 6), inaktiviert werden.
- Die Durchführung der 4 Ds („Determine“, „Detect“, „Decide“, „Do“) sind ein guter Leitfaden, wobei für den Praktiker eine Einteilung von kariösen Läsionen nach dem ICCMS in 3 Grade: early stage decay (ICDAS 1 & 2), moderate decay (ICDAS 3 & 4) sowie established decay (ICDAS 5 & 6) ausreicht, sofern sie um den Aktivitätsgrad (+/-) der Läsionen ergänzt wird.
- Die Kenntnis über die alterstypischen Lokalisationen spielt für die Kariesdiagnostik eine wichtige Rolle, sodass bei (Verdacht auf) Approximalkaries neben einer routinemäßigen Untersuchung mit FOTI/DIFOTI meist eine röntgenologische Untersuchung sehr hilfreich ist, aber auch eine direkte klinische Untersuchung nach Zahnseparation mittels orthodontischer Gummis in Betracht gezogen werden sollte.
Autoren
OA Dr. Julian Schmoeckel,
OÄ Dr. Ruth M. Santamaría,
ZA Mhd Said Mourad,
Prof. Dr. Christian H. Splieth
Abteilung Präventive Zahnmedizin und Kinderzahnheilkunde,
ZZMK, Universitätsmedizin Greifswald
Die Autoren erklären, dass kein Interessenkonflikt besteht.
Bildquellen sofern nicht anders deklariert: Unternehmen, Quelle oder Autor/-in des Artikels
Entdecke CME Artikel




Keine Kommentare.