Egal ob die Entscheidung des Patienten für ein Keramikimplantat auf der emotionalen Ebene aufgrund des Wunsches nach schönen weißen Zähnen gefallen ist oder ob eine erhöhte Zytokinfreisetzung, die sogenannte „Titanunverträglichkeit“, ursächlich ist: Diese Behandlungsoption bietet in ausgewählten Indikationen eine sehr gute und wissenschaftlich fundierte Alternative [1].
Bei manchen Indikationsstellungen sind Keramikimplantate vorteilhafter als Titanimplantate. Bei dünner Mukosa könnte ein Titanimplantat bzw. ein Titanabutment grau durchschimmern [2]. Elfenbeinfarbene transluzente Zirkoniumdioxidimplantate wirken hierbei als ästhetischer Puffer, da sie der natürlichen Zahnwurzel am ähnlichsten sind. In vielen experimentellen Studien wird ihre gute Osseointegration bestätigt. Bedingt durch die idealen Eigenschaften des Zirkoniumdioxids wird eine gute, dem natürlichen Zahn ähnliche Weichgewebsadaption beobachtet [3-8].
Die ersten keramischen Systeme waren einteilige Implantate. Diese müssen exakt platziert werden, da die Hersteller oft eine nachträgliche Manipulation des Implantats untersagen. Zudem müssen diese Implantattypen während der Einheilphase über eine provisorische Versorgung speziell vor Überbelastung geschützt oder alternativ bei einer Sofortbelastung untereinander verblockt werden, um eine sichere Osseointegration zu gewährleisten. Daher wächst die Forderung nach einem System, das dem gewohnten Standard der Titansysteme entspricht. Nachdem die ersten zweiteiligen Systeme meist aus einer verklebten Innenverbindung bestanden, sind nun neuere Systeme mit reversibel verschraubbaren Prothetikkomponenten verfügbar. Der Einsatz der Keramikimplantate bereichert das Therapieangebot in meiner Praxis seit einigen Jahren.
Der Patientenfall
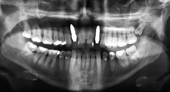
Ein 52-jähriger Mann konsultierte Mitte 2015 unsere Praxis als Neupatient. Er äußerte, dass seine Implantatkrone regio 22 sich gelockert habe. Neun Monate zuvor waren bei ihm via Sofortimplantation zwei einteilige Keramikimplantate als Ersatz der oberen seitlichen Schneidezähne (Zahn 12 und 22) inseriert und jeweils mit einer therapeutischen Krone sofort versorgt worden. In regio 22 habe sich während der Einheilphase die Krone gelockert, sei aber wieder befestigt worden. Nun spüre er eine minimale Bewegung der vor 9 Monaten eingegliederten Implantatkrone in regio 22. Bei forcierter Belastung spüre er zudem einen Schmerz im Kieferbereich.
Der klinische Befund zeigte eine definitive Versorgung auf 12 und eine temporäre Versorgung auf 22. Dahingegen lag bei der Implantatversorgung in regio 22 der Verdacht auf eine partielle Fibro-Osseointegration vor (Abb. 1 und 2) [9,10].

Die partielle Fibro-Osseointegration, auch als aseptische Lockerung bezeichnet, ist ein Faktor für die verkürzte Lebenszeit eines Implantats [11]. Ursächlich dafür können mehrere Mechanismen sein: zum einen die Reduktion der Knochendichte in der Nähe des Implantats, verursacht durch eine veränderte Lastübertragung (sogenanntes „stress shielding“), zum anderen Mikrocracks im Implantatkörper, hervorgerufen durch beispielsweise zu hohe Kraftübertragung beim Eindrehen des Implantats.
Die Therapieplanung
Eine Revision zum Erhalt des Implantats war nicht Erfolg versprechend. Es musste explantiert werden. Nach eingehender Beratung des Patienten hinsichtlich einer Implantatrekonstruktion oder alternativ einer einflügeligen Klebebrücke aus Zirkoniumdioxid entschied sich der Patient erneut für eine Versorgung mit einem Keramikimplantat. Da eine Rekonstruktion des bukkalen Knochendefizits notwendig war, besprachen wir zusammen mit dem Patienten die Therapiemöglichkeiten Sofortimplantation bzw. Spätimplantation. Wir wägten den chirurgischen Aufwand beider Therapien ab, die entsprechenden Einheilzeiten und die therapeutischen Versorgungen. Gemeinsam entschieden wir uns für die Implantation sofort nach der Explantation mit simultanem Aufbau des Knochendefizits sowie des alveolären Volumens im Bereich des Implantatbetts. Der allgemeinmedizinische Befund des Patienten war unauffällig.
Für die Implantatversorgung stehen uns die ein- und zweiteiligen CERALOG Zirkoniumdioxidimplantate zur Verfügung. Sie weisen trotz aller „ideologischen“ Gegensätze viele Gemeinsamkeiten auf, wie beispielsweise das Implantatmaterial, die Form und die Oberflächentextur des intraossären Bereichs. Die klinischen Ergebnisse bei einer Sofortimplantation unterliegen individuell unterschiedlichen Ausprägungen des Heilungsverlaufs mit erhöhtem Risiko zur Ausbildung von Gingivarezessionen. Da das einteilige Zirkoniumdioxidimplantat eng mit den Prinzipien der offenen Einheilung, der einhergehenden prothetischen Sofortversorgung bzw. der funktionellen Sofortbelastung verknüpft ist, war es in diesem speziellen Fall keine Alternative für die Rehabilitation des sensiblen Situs. Die für eine Sofortbelastung notwendige Primärstabilität des einteiligen Implantats konnten wir aufgrund der Explantation nicht gewährleisten. Das Ziel war eine sichere Osseointegration des Implantats, frei von mechanischer Belastung und bakterieller Besiedlung. Auch die Risiken von Überbelastung und das Provozieren von Sprüngen, die beim Beschleifen des integrierten Aufbaus auftreten, waren nicht tragbar [12-14]. Ein weiteres Argument für ein zweiteiliges Implantat war die Option der Weichgewebsverdickung bei der Freilegung des Implantats. Durch spezielle chirurgische Lappentechniken lässt sich das ästhetische Erscheinungsbild des Gingivaverlaufs individuell optimieren. Nach diesen medizinisch fundierten Abwägungen wurde die Entscheidung für das zweiteilige CERALOG Hexalobe Implantat getroffen.
Die Implantatchirurgie
Der chirurgische Eingriff wurde unter Lokalanästhesie mit palatinaler und labialer Infiltration durchgeführt. Zuerst erfolgte die Entfernung des Implantats. Für die Explantation wählten wir das aus unserer Sicht knochenschonendste Verfahren. Mithilfe einer Extraktionszange und mit entsprechend dosierter Kraft drehten wir das teilweise ankylotische Implantat in Achsrichtung aus, um auf jeden Fall die dünne labiale Knochenlamelle zu erhalten (Abb. 3). Dabei frakturierte der osseointegrierte Implantatapex tief im Implantatbett (Abb. 4). Um diesen zu entfernen, musste ein minimalinvasiver apikaler Zugang geschaffen werden. Nach einer krestalen Inzision mit mesialer Tunnelpräparation und distaler Entlastungsinzision sowie der Präparation eines Mukoperiostlappens zeigte sich ein ausgeprägter konkaver Alveolarknochen. Mit einem piezotechnisch unterstützten Chirurgieansatz fenestrierten wir die labiale Knochenlamelle (Abb. 5). Durch diesen minimalinvasiven Zugang lösten wir die ankylotische Verbindung und entfernten den apikalen Implantatrest. Bei dieser Methode der Implantatentfernung wird der periimplantäre krestale Knochen weitestgehend geschont.





Extraoral wurde das explantierte Implantat auf Vollständigkeit geprüft, indem die beiden Teile passgenau aufeinandergelegt wurden (Abb. 6). Nach sorgfältiger Kürettage, intensiver Spülung und Dekontamination der Defektstelle wurde das prothetisch orientierte Implantatlager mit den entsprechenden Formbohrern für das CERALOG Hexalobe Implantat (12 mm L, 4 mm Ø) über den bestehenden Implantatfundus hinaus apikal aufbereitet (Abb. 7). So konnte eine ausreichende Primärstabilität des Implantats erzielt werden. Um einen ausreichenden Knochen-Implantat-Kontakt zu erreichen, musste der Stollen mit einem Gemisch aus autologen Knochenspänen und Bio-Oss Collagen (Geistlich) vor der Insertion augmentiert werden (Abb. 8) [15]. Das Implantat wurde mit dem Eindrehinstrument aus dem Blister genommen und manuell in das Knochenfach inseriert. Das Implantat erreichte eine Primärstabilität von 20 Ncm. Das Design der Innenkonfiguration trägt dem Material Zirkoniumdioxid Rechnung. Die optimierte Hexalobe-Verbindung erlaubt beispielsweise eine höhere Kraftübertragung als eine Sechskantinnenverbindung. Beim Einbringen wird die Kraft radial in das Implantat eingeleitet und Spannungsspitzen werden vermieden.
Wegen der niedrigen Wärmeleitfähigkeit des Zirkoniumdioxids werden die CERALOG Implantate mit maximal 15 U/min eingedreht. Bei zu schnellem Eindrehen kann es zu einer Temperaturerhöhung von bis zu 20 Grad kommen mit negativen Folgen für das periimplantäre Hartgewebe. Daher wurde das Implantat mit einer handgeführten Ratsche unter ständiger Kontrolle des Drehmoments (bis zu max. 35 Ncm) inseriert (Abb. 9). Die Implantatschulter wurde 1 mm suprakrestal platziert, sodass die prothetische Plattform zirka 0,5 mm unter dem Weichgewebeniveau zu liegen kommt. Die CERALOG Implantate sind mit einer dualen Oberflächentextur versehen. Sie vereint zwei definierte Rauigkeiten. So ist der enossale Bereich mit einer Mikrorauigkeit von 1,6 ?m für die gezielte Anlagerung der Knochenzellen versehen. Für eine gute Weichgewebeadaption ist der Halsbereich des Zirkoniumdioxidimplantats mit einem Ra-Wert von 0,5 ?m versehen. Die Implantatpositionierung entspricht dem Übergangsbereich von glatter zu rauer Oberflächentextur auf Knochenniveau [16].





Mit der PEEK-Abdeckkappe, die über einen Klickmechanismus in die Innenkonfiguration des Implantats gesteckt wird, wurde das Implantat verschlossen. Die Abbildung 10 zeigt die optimale prothetisch orientierte Platzierung des Implantats für die Rekonstruktion mit einer direkt verschraubten Hybridabutmentkrone. Von okklusal ist das ausgeprägte bukkale Knochendefizit deutlich zu sehen. Mit einem Gemisch aus autologen Knochenspänen, die während des Bohrvorgangs implantatnah gewonnen worden waren, und Bio-Oss Collagen (Geistlich) wurde der Defekt aufgebaut. Aufgrund ihrer osteogenetischen, -induktiven und -konduktiven Eigenschaften ist der Einsatz von autologen Knochenspänen in der GBR in unserer Praxis Standard. Eine resorbierbare Membran mit verlängerter Barrierefunktion (Memlok BioHorizons) wurde nach Ablösung des Periosts, dem biologischen Konzept folgend, zur Abdeckung des volumengebenden Augmentats in direktem Kontakt zur angrenzenden Knochenoberfläche eingebracht (Abb. 11) [17, 18]. Resorbierbare Kollagenmembranen zeichnen sich dadurch aus, dass der Heilungsprozess der Weichgewebe auch bei Exposition der Membran weiter voranschreitet. Ein Kollagenkegel (Parasorb, Resorba) wurde zum Verschluss des gingivalen Defektbereichs eingesetzt, bevor das Weichgewebe spannungsfrei vernäht (Prolene 5-0, Ethicon) und ein postoperatives Röntgenkontrollbild gemacht wurde (Abb. 12–14). Die temporäre Versorgung erfolgte durch eine Kunststoff-Klebebrücke.
Die Implantatfreilegung mit Weichgewebschirurgie
Nach sechs Monaten Einheilzeit war der labiale Aufbau in einen stabilen Knochen umgebaut und das CERALOG Implantat osseointegriert. Nachdem die Klebebrücke herausgetrennt war, wurde das Implantat mittels modifizierter Rolllappentechnik freigelegt. Der Anteil der krestalen Gingiva über dem Implantat wurde mit einem diamantierten Schleifkörper deepithelisiert (Abb. 15). Mit einem wellenförmigen parakrestalen Schnitt wurde der Zugang zur Implantatverschlusskappe geschaffen, indem das nach labial gestielte Weichgewebe über dem Implantat mobilisiert und angehoben wurde. Anschließend wurde die flache Kappe entfernt und ein 4 mm hoher Gingivaformer eingeschraubt. In das labiale Weichgewebe wurde eine Tasche über dem Periost präpariert, in die das umgeklappte Bindegewebe eingeschoben wurde (Abb. 16–19). Mit einem 6.0 Prolene-Nahtmaterial wurde das Weichgewebe dicht um den Gingivaformer vernäht (Abb. 20). Die von basal gekürzte temporäre Klebebrücke befestigten wir adhäsiv an den Nachbarzähnen.





Die prothetische Versorgung
Zwei Wochen nach der Freilegung erfolgte die Abformung des Implantatsitus mit einem PEEK-Abformpfosten für die offene Löffeltechnik. Vorbereitend mussten die Klebebrücke und deren Überschüsse an den Nachbarzähnen entfernt werden (Abb. 21 und 22). Im Labor wurde ein PEEK-Implantatanalog mit dem Abformpfosten verschraubt und die Abformung ausgegossen. Das Meistermodell wurde einartikuliert und die Hybridabutmentkrone hergestellt. Das anatomische Kronendurchtrittsprofil wurde auf dem Gipsmodell angezeichnet und das Profil im subgingivalen Anteil der Versorgung mithilfe einer Fräse bis hin zum Laboranalog ausgeschliffen (Abb. 23). Die Abutments beim CERALOG Hexalobe Implantat sind aus dem innovativen Hochleistungspolymer PEKK (Poly-Ether- Keton-Keton) hergestellt. PEKK wird schon seit vielen Jahren in der Medizin eingesetzt – beispielsweise für kraniomaxillofaziale (CMF) Anwendungen in der rekonstruktiven Schädelchirurgie oder an der Wirbelsäule. Das Material ist sehr stabil und hat dämpfende Eigenschaften [19].



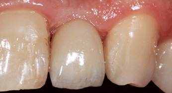
Das Abutment wurde im Labor modifiziert, eingescannt und eine okklusal verschraubte, anatomisch reduzierte Hybridkrone virtuell darüber designt. Im CAM-Verfahren wurde eine Zirkoniumdioxidkrone gefertigt, die dann bukkal verblendet wurde (Abb. 24). Durch die prothetisch orientierte Implantatpositionierung kam der Schraubenzugangskanal palatinal zu liegen. Die exakte Weichgewebsausformung durch das stabilisierende subgingivale Kronenprofil ist für eine langzeitästhetische Rekonstruktion essenziell.
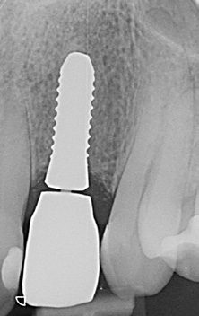
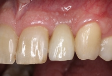
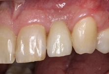
Nach einer Ästhetikeinprobe wurde die Zirkoniumdioxidkrone mit Multilink Hybrid Abutment Zement (Ivoclar Vivadent) auf dem PEKK-Abutment verklebt (Abb. 25–28). Die Klebeüberschüsse wurden entfernt, die subgingivalen Anteile sorgfältig poliert und gereinigt. Die Abbildung 29 zeigt das individuell ausgeformte Weichgewebsprofil vor der definitiven Insertion der Hybridabutmentkrone, die mithilfe einer neuen Titanabutmentschraube eingesetzt wurde. Nach dem Einsetzen der Versorgung mit 25 Ncm wurde eine Röntgenkontrollaufnahme angefertigt. Da das Hochleistungspolymer nicht röntgenopak ist, bedarf es etwas Erfahrung bei der Passungskontrolle. Die Aufnahme sollte im rechten Winkel zur Plattform auftreffen, um dann eine parallel verlaufende dunkle Scheibe in einer Höhe von 0,55 mm über dem Implantat zu erkennen (Abb. 30 und 31). Mithilfe von Zusätzen, wie z. B. Bariumsulfat, könnte der Hochleistungskunststoff röntgenopak gefertigt werden. Allerdings würden diese das Material schwächen, wodurch die herausragenden Eigenschaften von PEKK, wie Stabilität, Duktilität und Abdichtung, minimiert würden. Beim Followup nach zwölf Monaten zeigten sich eine stabile Weichgewebesituation und geschlossene Interdentalräume (Abb. 32).







Kritische Diskussion
Die Forschungs- und Entwicklungsergebnisse der letzten Jahre bezüglich vollkeramischer Implantatsysteme und die bisherigen Erfolge in der klinischen Anwendung eröffnen Wege in „das neue Keramikzeitalter“ in der zahnärztlichen Implantologie. Die CERALOG Keramikimplantate werden aus Yttrium-stabilisiertem Zirkoniumdioxid gefertigt und sind seit 2012 im klinischen Einsatz. Hergestellt werden sie im Ceramic Injection Molding, einem Hightech- Spritzgussverfahren, bei dem sowohl die Außengeometrie als auch die Oberflächentextur durch eine Form bereits vor dem Sinter- und HIP-Prozess (Hot Isostatic Pressing) erzeugt wird. Die duale Oberflächentextur fördert das Weichgewebeattachment am glatteren Implantathals und die Osseointegration an der mikrorauen Struktur im enossalen Bereich. In den bisher existierenden Studien wird von überwiegend positiven Ergebnissen in Bezug auf Zelladhäsion, Osseointegration und Lebensdauer berichtet [3, 4, 20].
Zweiteilige Keramikimplantate werden kontrovers diskutiert. Sind sie überhaupt eine echte Alternative zu Titanimplantaten? Für Keramikimplantate gelten die gleichen Indikationen bzw. Kontraindikationen wie für Titanimplantate. Vorteil der Keramikimplantate ist die Metallfreiheit mit der sich daraus ergebenden biologischen Kompatibilität und ästhetischen Wirkung im oralen Umfeld. In zahlreichen Studien konnte eine mit Titanimplantaten vergleichbare Osseointegration nachgewiesen werden. Die deutlichsten Unterschiede zu Titanimplantaten existieren momentan noch durch ein eingeschränktes Produktportfolio, auch im Bereich der prothetischen Komponenten. Einige Hersteller bieten als Lösung hierbei individuelle CAD/CAM-gefertigte Zirkoniumdioxidabutments an. Bedingt durch die materialspezifischen Eigenschaften des Zirkoniumdioxids ergeben sich Limitationen beim Design von Keramikimplantaten. Bei zweiteiligen Keramikimplantaten liegt der geringste Durchmesser im enossalen Anteil (mit Indikationslimitationen) bei 3,5 mm. Die kürzesten Implantatlängen liegen bei 8,0 bis 9,0 mm. Empfohlen wird generell ein schonendes Einbringen der Implantate. Zirkoniumdioxidimplantate sind im chirurgischen Eingriff etwas sensitiver als Titanimplantate, da der Werkstoff Keramik eine schlechtere Wärmeleitfähigkeit als Titan besitzt. Keramikimplantate müssen langsam mit maximal 15 U/min eingedreht werden. Es kann beim Eindrehen, bedingt durch die niedrige Wärmeleitfähigkeit von Zirkoniumdioxid (2,5 bis 3 W/mK), zu einer Temperaturerhöhung von bis zu 20 Grad kommen. Dies hätte negative Folgen für das periimplantäre Hartgewebe. Es empfiehlt sich daher das kontrollierte Eindrehen mit einer handgeführten Ratsche und die Kontrolle des Drehmomentes während der Insertion.
Im chirurgischen Umgang mit Keramikimplantaten gilt es, die formkongruente Implantatbettaufbereitung zu beachten, den Gewindeschnitt bei Knochenklasse 1 und 2, und es müssen Primärstabilitäten über 35 Ncm vermieden werden. Ferner gibt es materialgeschuldete Abweichungen bei der prothetischen Versorgung im Vergleich zu Titanimplantaten. Diese wären: Keine Extensionen und keine gemischte Lagerung Zahn/Implantat. Bei jeglicher Konstruktion muss die Starrheit des Materials berücksichtigt werden.
Die von uns eingesetzten zweiteiligen CERALOG Hexalobe Implantate besitzen die prothetische Freiheit durch reversibel verschraubbare Prothetikkomponenten, die entweder mit einer Titan- oder einer holistischen Goldschraube im Implantat fixiert werden. Das Verbindungsdesign macht das Implantat einfach und sicher – sowohl in der chirurgischen Anwendung als auch bei der prothetischen Versorgung. Eine hohe Positionsgenauigkeit durch die Fertigungsqualität, eine minimale Rotationsfreiheit und die keramikgerechte Kraftübertragung beim Einsetzen zeichnen das System aus. In manchen Fällen ist eine gedeckte Einheilung zwingend erforderlich.
Fazit
Zusammenfassend kann gesagt werden, dass das Wissen um die materialspezifischen Eigenschaften von Zirkoniumdioxid mit seinen Möglichkeiten und Grenzen, der systemspezifische Umgang und die korrekte Patienten- und Fallselektion unter Einbeziehung und Aufklärung des Patienten wichtige Faktoren für den erfolgreichen Umgang mit Keramikimplantaten in der Praxis sind. Werden diese Parameter beachtet, so stellen moderne Keramikimplantate schon heute eine Bereicherung des implantologischen Spektrums in der zahnärztlichen Praxis dar.
Weitere klinische Studien sollten angestoßen werden hinsichtlich der Osseointegration, der Stabilität, des Designs und der Qualität der Abutmentverbindung. Daraus lassen sich dann weitere Erkenntnisse und Empfehlungen für die in freier Praxis praktizierenden Zahnärzte ableiten. Begleitend sollte die Industrie weitere Materialforschungen betreiben, etwa noch stabileres Zirkoniumdioxid entwickeln, um neue Designformen für keramische Implantate zu ermöglichen. Die Zukunft wird in diesem Bereich dynamisch.
Bildquellen sofern nicht anders deklariert: Unternehmen, Quelle oder Autor/-in des Artikels
Entdecke CME Artikel






Keine Kommentare.