Die Vorteile der Sofortimplantation liegen auf der Hand: Die knöchernen Strukturen und das Weichgewebe werden gleich nach der Extraktion stabilisiert, die Behandlungszeit für Patientinnen und Patienten wird signifikant verkürzt [1]. Instabil eingeklebte oder unkomfortable herausnehmbare Provisorien werden in der Einheilungsphase nicht benötigt [2]. Einteilige keramische Implantate aus Zirkondioxid können bei diesem Behandlungsprotokoll mit ihrer Weichgewebsadaption und -verträglichkeit eine komplikationsfreie offene Einheilung unterstützen [3]. Das liegt nicht nur an dem per se biokompatiblen Zirkondioxid [4], sondern auch an der Spaltfreiheit im Gegensatz zu zweiteiligen, verschraubten Implantatkonstruktionen, bei denen eine Keimbesiedelung in dieser Nische unvermeidbar ist [5]. Gerade im ästhetisch sichtbaren Bereich kann außerdem mit weißen Zirkondioxidimplantaten ein metallisches Durchschimmern grundlegend verhindert werden [6]. Anhand eines klinischen Fallbeispiels wird im Folgenden das Zusammenspiel einer Sofortimplantation mit einem einteiligen, keramischen Zirkondioxidimplantat demonstriert.
Ausgangssituation
Dr. Spiegelberg
Diagnostik und Planung
Um einen sinnvollen prothetischen Einschub unter optimaler Nutzung des Knochenangebots gewährleisten zu können, entschied man sich für eine teilnavigierte Aufbereitung des Implantatbetts. Mit der digitalen Planung sollte auch direkt nach der Implantatinsertion Primärstabilität gewährleistet werden, die für eine provisorische Sofortversorgung unerlässlich ist [8]. Als Implantat wurde das im Rahmen einer prospektiven, klinischen Langzeitstudie erprobte yttriumstabilisierte, einteilige Zirkondioxidimplantat ceramic.implant (vitaclinical, Bad Säckingen, Deutschland) ausgewählt, um der Patientin im Langzeitverlauf größtmögliche Sicherheit zu bieten. Das Implantat ist seit fünf Jahren dokumentiert und zeigt hier stabile Knochen- und Weichgewebsverhältnisse. Die Dreijahresdaten wurden bereits publiziert [9].
Dr. Spiegelberg
Dr. Spiegelberg
Dr. Spiegelberg
Dr. Spiegelberg
Dr. Spiegelberg
Dr. Spiegelberg
Dr. Spiegelberg
Dr. Spiegelberg
Dr. Spiegelberg
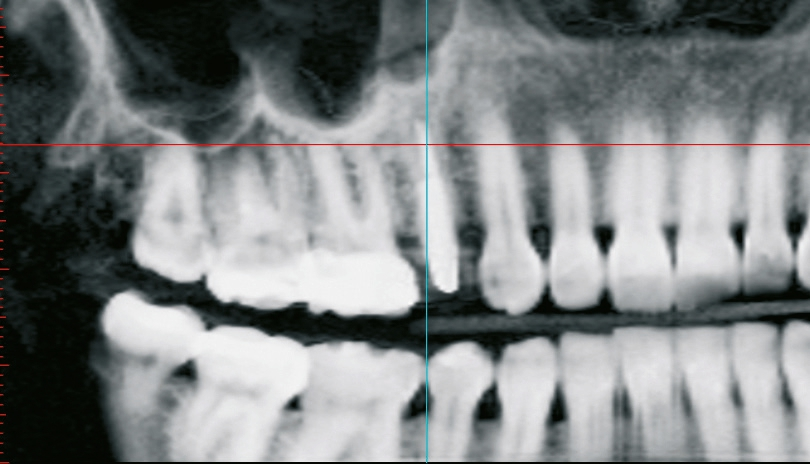
Um eine dreidimensionale Planung vornehmen zu können, wurde ein DVT erstellt und die Bilddaten wurden in die Planungssoftware 3Shape Implant Studio (3Shape, Kopenhagen, Dänemark) transferiert. Dort konnte die Implantation virtuell vorgenommen und in allen Raumdimensionen optimiert werden. Auf dieser Grundlage wurde eine Bohrschablone zur Teilnavigation hergestellt. Mittlerweile ist auch eine vollnavigierte, hülsenlose Implantation mit dem ceramic. implant möglich, das im Rahmen einer klinischen Studie eine noch präzisere Positionierung als bei den gängigen hülsengeführten Bohrschablonen zeigte [10].
Atraumatische Extraktion
In einem ersten Schritt wurde eine knochenschonende Zahnentfernung unter Erhalt der bukkalen Knochenlamelle mit dem Easy X-Trac System (Benco Dental, Pittston, Pennsylvania, USA) durchgeführt. Für einen Gewindestift mit Abzugshilfe wurde dabei ein Bohrloch im entsprechenden Durchmesser und in senkrechtem Einschub gesetzt. Mit einer Handratsche wurde der Stift lagestabil in den erweiterten Wurzelkanal eingedreht. Ein Löffel mit einer Öffnung für den Stiftkopf wurde nun einprobiert und anschließend mit Knetsilikon so individualisiert, dass eine schaukelfreie Abstützung auf den Nachbarzähnen gewährleistet war. An dem aus dem Abformlöffel herausragenden Stiftkopf wurde nun das Extraktionsinstrument angebracht, das eine rein vertikale Kraft auf den Stift und damit auf die verbliebene Zahnwurzel überträgt. Dadurch kommt es zu einer kontrollierten Ruptur der Sharpey’schen Fasern. Ohne traumatischen Hebeleinsatz auf Gewebe und Knochen konnte der Wurzelrest so am Stück entfernt werden.
Implantatinsertion
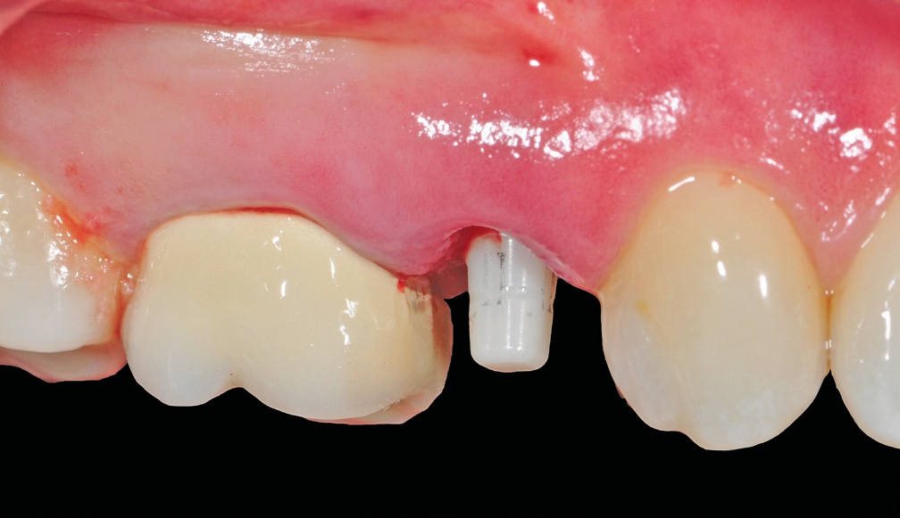
Nach sorgfältiger Kürettage und Inspektion einer idealen Knochenalveole vom Typ I [11] konnte mit der Sofortimplantation begonnen werden. Die ersten beiden Pilotbohrungen wurden teilnavigiert mit der Bohrschablone durchgeführt. Das restliche Bohrprotokoll wurde nach den Vorgaben des Herstellers frei durchgeführt. Mit der Insertion des Implantats konnte die nötige Primärstabilität von 35 Ncm für eine sofortige provisorische Versorgung erreicht werden. Im Vorfeld war ein Situationsmodell der Ausgangssituation und darauf eine Tiefziehschiene vorbereitet worden, die jetzt für die intraorale Herstellung des Provisoriums mit fließfähigem Kompositmaterial verwendet wurde. Als stabilisierende Gerüststruktur diente dabei die präzise sitzende Einbringkappe (insertion.transfer) auf dem Implantatkopf, die zuvor auf die entsprechende Höhe eingekürzt worden war. Nach der Ausarbeitung und okklusalen Adjustierung der Krone wurde diese provisorisch zementiert.
Dr. Spiegelberg
Dr. Spiegelberg
Dr. Spiegelberg
Dr. Spiegelberg
Dr. Spiegelberg
Dr. Spiegelberg
Dr. Spiegelberg
Dr. Spiegelberg
Dr. Spiegelberg
Abformung und Versorgung
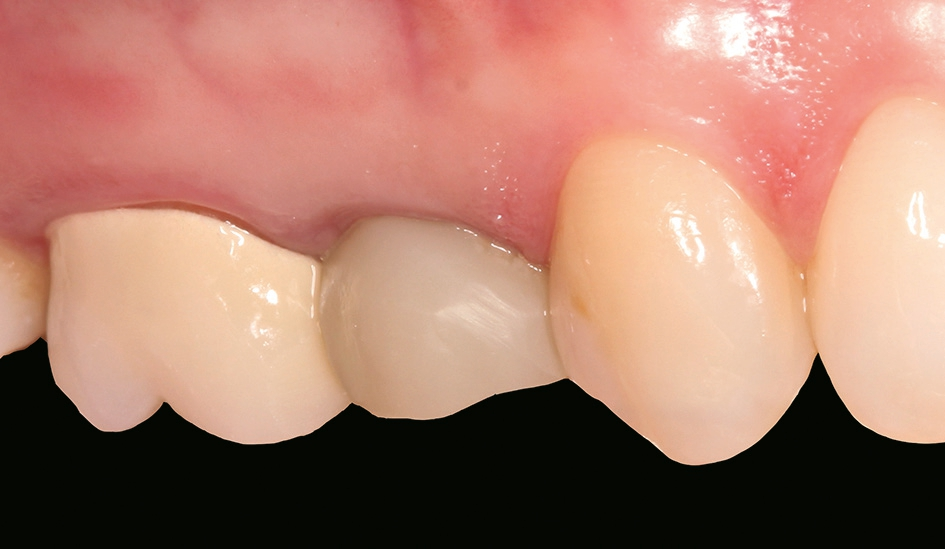
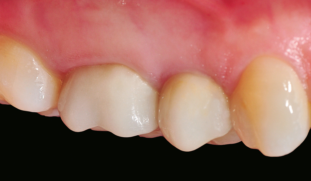
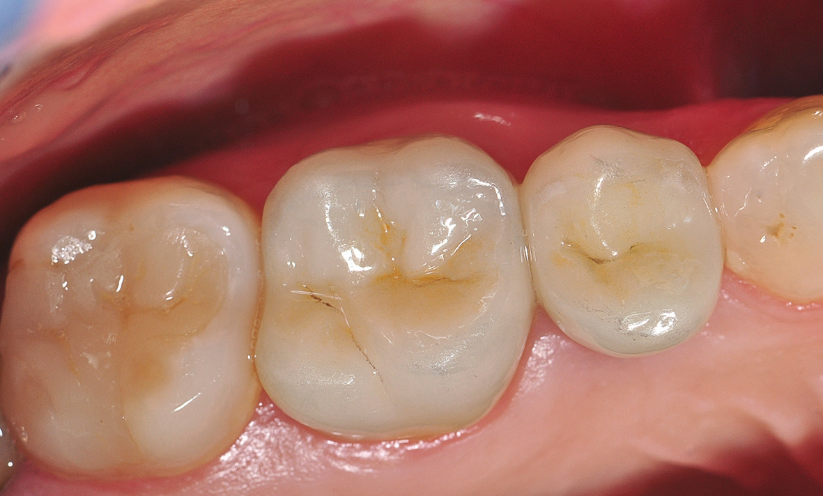
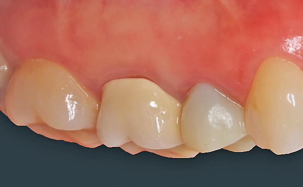
Nach einer komplikationsfreien Einheilzeit von vier Monaten konnte mit der Herstellung des definitiven Zahnersatzes begonnen werden. Hier entschied man sich konsequent für monolithische Kronen aus Lithiumdisilikat, um das Chippingrisiko so gering wie möglich zu halten [12]. Im Zuge der Implantatversorgung wurde nun auch – wie geplant – die metallkeramische Krone an 16 geschlitzt, entfernt und der Stumpf nachpräpariert. Implantatkopf und Zahnstumpf wurden daraufhin zusammen mit A-Silikon analog abgeformt. Für die geschlossene Abformung wurde die Abformkappe (impression.transfer) auf dem Implantatkopf positioniert. Ein deutliches Einrasten signalisierte den lagestabilen Sitz. Für die Modellherstellung rastete das Implantatanalog (lab. replica) ebenso in die integrierte Abformkappe ein. Nach der Herstellung des Meistermodells konnten die beiden Kronen im digitalen Workflow CAD/ CAM-gestützt gefertigt werden. Nach Ausarbeitung, Bemalung und Glasur waren die beiden Kronen für die definitive Zementierung bereit. Die klinische Einprobe der Restaurationen verlief erfolgreich, sodass die Kronen nacheinander mit selbstadhäsivem Befestigungskomposit eingegliedert werden konnten.
Dr. Spiegelberg
Dr. Spiegelberg
Dr. Spiegelberg
Dr. Spiegelberg
Dr. Spiegelberg
Dr. Spiegelberg
Dr. Spiegelberg
Fazit
Auch wenn die Sofortimplantation mit dem ceramic.implant nicht Teil des offiziellen Indikationsspektrums ist, erwies sich das einteilige keramische Implantat wie schon mehrfach in anderen dokumentierten Fällen als schnelle, ästhetische und sichere Versorgungsform. Natürlich müssen alle Grundvoraussetzungen für eine Sofortimplantation gegeben sein. Eine penible Risikoanalyse sollte deswegen im Vorfeld immer durchgeführt werden. Das Implantationsgebiet muss entzündungsfrei, genügend Knochen in der Schaltlücke vorhanden und eine gute Mundhygiene sowie Compliance von Patientinnen und Patienten gegeben sein. Ein dicker Gingivatyp erhöht signifikant die Wahrscheinlichkeit für stabile gingivale Verhältnisse [13]. Aber auch Allgemeinerkrankungen und die etwaige Einnahme von Medikamenten entscheiden darüber, ob eine Sofortimplantation vertretbar ist oder nicht [14,15]. Im Zweifelsfall sollte die Entscheidung auf eine geschlossene Einheilung fallen.
Die Einteiligkeit macht zwar ein Mehr an Planung notwendig, die Spaltfreiheit bietet aber gerade bei der offenen Einheilung eine Infektionsprävention. Im Zusammenspiel mit der Gewebsverträglichkeit von Zirkondioxid führte dies zu einer komplikationsfreien Einheilung. Gerade im Hinblick auf etwaige Rezessionen ist die per se weiße Farbe von Zirkondioxidimplantaten im Gegensatz zu Titanimplantaten ein echter Mehrwert hinsichtlich der Patiententoleranz.
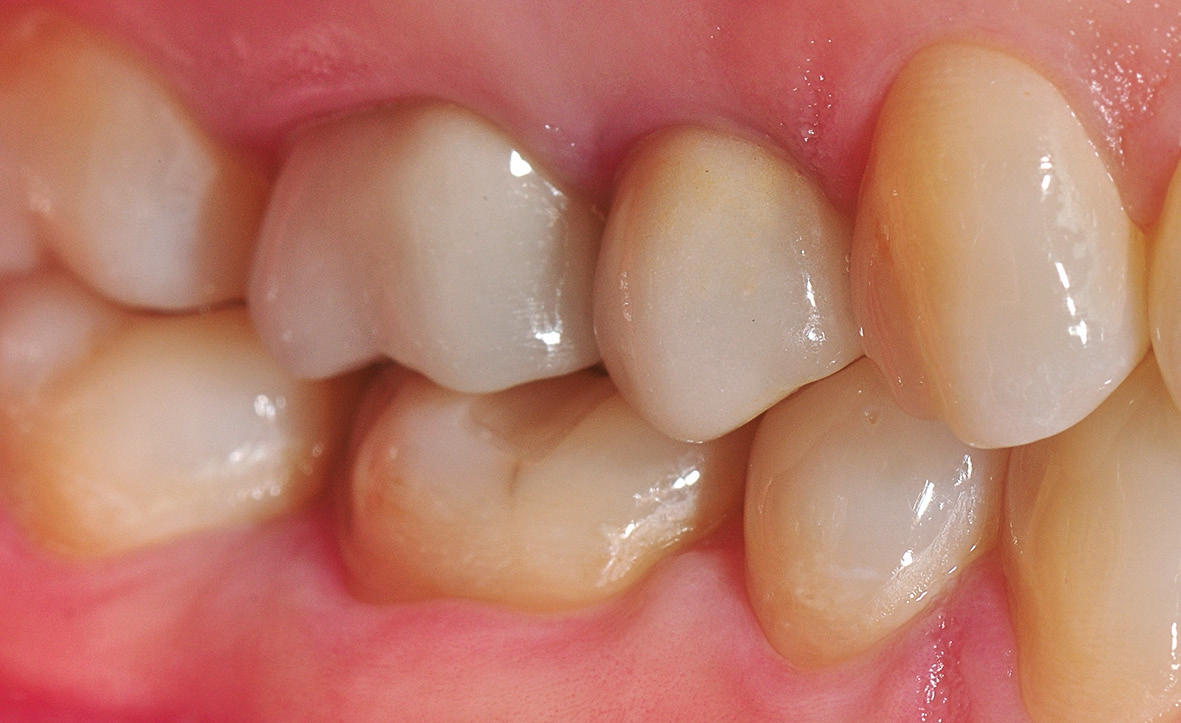
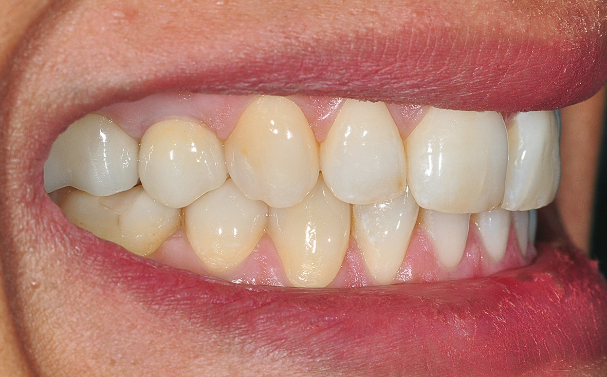
Aber auch bei einem nachträglichen Bindegewebstransplantat zur gingivalen Korrektur bietet ein einteiliges, spaltfreies Implantat aus gewebefreundlichem Zirkondioxid womöglich bessere Chancen auf eine zufriedenstellende rote Ästhetik als zweiteilige Titanlösungen. Die Patientin war in diesem Fall mit dem ästhetischen Erscheinungsbild und der Funktionalität ihrer neuen Versorgungen eineinhalb Monate nach der definitiven Eingliederung absolut zufrieden.
Näheres zu den Autoren des Fachbeitrages: Dr. Frank E. SpiegelbergBildquellen sofern nicht anders deklariert: Unternehmen, Quelle oder Autor/-in des Artikels
Entdecke CME Artikel






Keine Kommentare.