Die Zahnentfernung im stark parodontal geschädigten Gebiss oder die lange Zahnlosigkeit können zu deutlichen Weich- und Hartgewebsdefiziten führen. Für die Therapie solcher komplexer knöcherner Konturdefekte mit einer Kombination aus einem vertikalen und horizontalen Knochendefizit gelten im Bereich der Auflagerungsplastiken autologe Knochenblöcke als die am besten dokumentierten Augmentationsverfahren [7]. Die Knochenblöcke werden aus den intraoralen Donorstellen im Bereich der Linea obliqua oder des Kinns im Bereich der Symphyse oder von extraoralen Spenderregionen wie beispielsweise dem Beckenkamm entnommen. Zwar zeigt sich bei den Knochenblöcken zumeist eine gute Heilung an der Kontaktstelle zwischen dem Knochenlager und der Blockoberfläche, jedoch besteht ein Risiko durch die Gefahr einer mangelnden Vaskularisierung und Durchbauung der Knochenstruktur [1]. Zudem können Dehiszenzen und Infektionen zu vollständigen Augmentatverlusten führen [7]. In Bezug auf die Langzeitstabilität und den Knochengewinn sind die Knochenblöcke bei den horizontalen Konturdefekten ohne vertikale Komponente gegenüber einer klassischen GBR-Technik mit partikulären Materialien und einer Membran überlegen [6].
Die Guided-Bone-Regeneration-Technik (GBR) hat ihre Ursprünge in der Parodontologie (Guided Tissue Regeneration) [10]. Dabei werden die schneller regenerierenden Fibroblasten von den langsameren Osteoblasten mittels einer Barrieremembran getrennt und somit können die Osteoblasten in dem Bereich der Membranabdeckung Knochen regenerieren [5]. Um die klassische GBRTechnik auch für komplexe Defektsituationen zu erweitern, muss ein lage- und volumenstabiler Hohlraum für das partikuläre Augmentationsmaterial geschaffen werden. Dies kann mit der Tent- Pole-Technik [4] erreicht werden, indem mit einer oder mehreren Osteosyntheseschrauben das partikuläre Augmentat stabilisiert wird. Zusätzlich wird hierfür eine volumenstabile Membran mit einem verlängerten Degradationsprofil (4 bis 6 Monate) angewandt. Eine hierfür geeignete Membran ist beispielsweise die porcine kortikale Bone-Lamina-Membran (Tecnoss, American Dental) [19]. Die stabile und nicht formbare kortikale Membran wird vor der Anwendung ca. 10 Minuten in sterilem Kochsalz gewässert und erhält dadurch eine Formbarkeit. Unerlässlich zur Lagestabilität ist die Fixation der Membran mit Pins. Die Anwendung der Bone Lamina als lagestabile Membran führt zu klinisch und histologisch gut vaskularisierten Knochenaugmentationen bei guten Weichgewebsverhältnissen. Zudem lassen sich histologisch Osteoklasten im Augmentationsbereich nachweisen, welche für einen aktiven Umbau des ehemals partikulären Augmentats in neu gebildeten Knochen stehen [12].
Anwendung von Titangittern in der implantologischen Augmentationschirurgie
Eine weitere Möglichkeit, insbesondere bei komplexen dreidimensionalen Defekten, welche eine notwendige Lage- und Volumenstabilität für das partikuläre Transplantat auch über größere Distanzen ideal erfüllt, ist die Anwendung eines Titangitters. Das Verfahren wurde erstmals in der Rekonstruktionschirurgie nach Tumoren und Traumata 1969 von Boyne beschrieben [2] und findet seit 1996 Anwendung in der präimplantologischen Augmentationschirurgie [18]. Die früher noch intraoperativ angepassten Titangitter führen in der Literaturübersicht von Rasia dal Polo zu einem durchschnittlichen Knochengewinn von fast 5 mm vertikal und 4 mm horizontal und zeigen planbare Ergebnisse mit geringen Komplikationsraten [11]. Heute, mit Fortschreiten der Digitalisierung, können patientenindividualisierte Gitter hergestellt werden (Yxoss CBR®, Geistlich). Hierfür werden die DVToder CT-Daten des Defekts zur individuellen Konstruktion des Meshs verwendet, welches dann mit dem selektiven Laserschmelzverfahren Schicht für Schicht dreidimensional gedruckt wird. Das Augmentationsmaterial wird durch die Volumenstütze somit optimal im Defektbereich stabilisiert und die Augmentation kann durch ein Backward-Planning im Bereich der prothetischen Position erfolgen. Diese präoperative Planung und Herstellung reduziert die OP-Dauer im Vergleich zur intraoperativen Herstellung um ca. 30 Min. und ermöglicht aufgrund der passiven Lage des Titangitters eine wesentlich einfachere Fixation ohne bestehende Rückstellkräfte oder scharfe Kanten. Durch die bessere Passform und die geringere OP-Dauer wird im Vergleich zu herkömmlichen Titangittern die Wunddehiszenz als Hauptkomplikation dieser Augmentation deutlich gesenkt [15].
Andere, ebenfalls in der CAD/CAM-Technik hergestellte Titangitter zeigen bei Augmentationsvolumina von bis zu 7 mm eine Dehiszenzrate von 66%. Die Autoren vermuten bei ausgeprägten partikulären Augmentationen einen biologischen Ursprung im Bereich der Neoangiogenese als Ursache für die hohe Dehiszenzrate und haben nach den Ergebnissen der Studie das Augmentationsvolumen zur Reduktion der Weichteilspannung auf ein Maximum von 3 bis 4 mm beschränkt [3]. Die Erkenntnis der kritischen 3- bis 4-mm-Schwelle bei partikulären Augmentationen deckt sich mit den Ergebnissen der Literaturübersicht von Troeltz et al. [17]. Die Auswertung von 6182 Patientendaten zeigt dabei einen durchschnittlichen horizontalen und vertikalen Knochengewinn von 3,7 mm bei der partikulären Augmentation (Yxoss, CBR, Geistlich). Andere Studien, welche das Reoss-Verfahren angewandt haben, besitzen keine Begrenzung des Augmentationsvolumens. Dabei liegen die Dehiszenzraten von 33% [13] und 22,6% [14] deutlich darunter. Bei den relativ hohen Dehiszenzraten ist zu beachten, dass dabei nicht die vollständige Augmentation verloren geht, wie dies bei einer Blockaugmentation häufig der Fall wäre, sondern dass durch lokale desinfizierende Maßnahmen das Gitter weiterhin belassen werden kann. Dann können im Sinne einer Teilverluststrategie Augmentationsareale unter Verlust von Knochenhöhe und Breite offen zugranulieren. Eine Möglichkeit, die Dehiszenzen zu verringern, liegt in der Anwendung von PRP-Membranen, die in einer vergleichenden Studie die Dehiszenzrate reduzieren konnten [16].
Als Augmentationsmaterial wird aufgrund der osteokonduktiven, osteoinduktiven und osteoproliferativen Eigenschaften autologer Knochen empfohlen [13,14]. Dieser kann ohne Unterschiede in der knöchernen Regeneration mit bovinem Knochenersatz vermischt werden und führt klinisch und histologisch in einem 50:50-Mischungsverhältnis zu vorhersagbaren Augmentationen trotz des Auftretens von Dehiszenzen [8].
Weitere Überlegungen gehen bereits so weit, dass auf die autologe Komponente im Augmentat und somit auf ein zweites Operationsgebiet verzichtet wird. Dabei wird das bovine Knochenersatzmaterial mit dem flüssigen i-PRF angereichert und mit einer A-PRF Membran abgedeckt und es resultiert in dem Fallbericht ein klinisch und histologisch gut regeneriertes Augmentat [9].
Patientenfall
Ausgangsbefund
Die allgemeinmedizinisch gesunde Patientin befand sich aufgrund ihrer Grad-IV-Parodontitis seit 2013 in einem engmaschigen parodontalen Recall. Trotz der starken parodontalen Destruktion lagen stabile Verhältnisse vor. Ende 2016 stellte sich die Patientin mit Beschwerden an Zahn 16 vor. Dieser reagierte negativ auf die Sensibilitätsprobe und wies einen Furkationsgrad 3 auf. Zudem zeigte sich röntgenologisch eine apikale Aufhellungszone. Da bei dem Nachbarzahn 17 ebenfalls ein Furkationsgrad 3 bei einem Lockerungsgrad I vorlag, wurden in Absprache mit der Patientin Zahn 16 und 17 operativ entfernt. Die Patientin wünschte eine festsitzende, implantologisch-prothetische Rehabilitation und lehnte eine herausnehmbare Versorgung ab.
Präoperative Planung
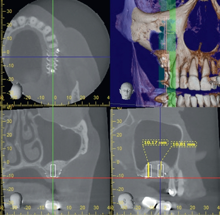
Nach einer Abheilzeit von 10 Wochen wurde im Rahmen der präimplantologischen Diagnostik aufgrund der Komplexität der Defektsituation im 1. Quadranten regio 16 und 17 neben der klinischen Untersuchung eine DVT-Aufnahme angefertigt. Es zeigte sich ein transversaler und vertikaler Knochendefekt mit einer Restknochenhöhe von teilweise nur 1 mm. Zu beachten war auch die Höhe des Knochenlagers, das sich teilweise auf Höhe des Apex des Nachbarzahnes 15 befand (Abb. 1a und b). Dieser dreidimensionale Defekt sollte durch einen externen Sinuslift nach kranial sowie eine ventrale horizontale auflagernde Augmentation ausgeglichen werden. Hierfür wurde mit dem DICOM-Datensatz der DVT-Aufnahme ein virtuelles Modell hergestellt, welches die Planungsgrundlage für das Augmentationsvolumen darstellte (Abb. 1c). Anhand dieser Daten und in Abstimmung mit dem Behandler stellte die ReOss GmbH ein patientenindividuell gedrucktes Titangitter für die Augmentation her.
Dr. Bopp
Dr. Bopp
Dr. Bopp
Chirurgische Phase
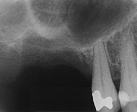
In Lokalanästhesie wurde mit einer vertikalen Entlastung an Zahn 24 und einer marginalen Schnittführung 25, welche mittig im Bereich der Linea alba nach distal fortgeführt wurde, ein Mukoperiostlappen gebildet. Der dreidimensionale Defekt wurde mit einer Präparation nach palatinal dargestellt und das Titangitter auf seine Passform kontrolliert. Bereits zum jetzigen Zeitpunkt erfolgte eine Periostschlitzung für einen späteren spannungsfreien Wundverschluss. Nach Ausdünnung des Knochenfensters mit dem Safescraper wurde das bukkale Fenster für den externen Sinuslift präpariert und die Schneider-Membran angehoben. Diese zeigte sich als vollständig intakt. Aufgrund des großen Augmentationsvolumens wurde zusätzlich retromolar in regio 47/48 mit einem Trepanbohrer autologer Knochen entnommen (Abb. 2) und mit einer Knochenmühle in kleine Knochenspäne zerkleinert. Das Mischverhältnis im Bereich der Augmentation lag bei einem Anteil von 50% autologem Knochen mit 50% bovinem Knochenersatzmaterial (Bio-Oss, Geistlich) (Abb. 3), wobei im Bereich der Kieferhöhle mit etwas mehr DBBM und nur einer geringeren Menge an autologen Knochenchips gearbeitet wurde. Nach dem Auffüllen des Sinus (Abb. 4) wurde das individuelle Titangitter mit leicht rüttelnden Bewegungen auf den Defekt gesetzt und dessen Passform an den Füßchen am Rande des Gitters überprüft. Anschließend wurde es mit 2 Osteosyntheseschrauben lagestabil fixiert (ADS Schrauben, American Dental) (Abb. 5) und zusätzlich mit einer Kollagenmembran abgedeckt (Biogide, Geistlich) (Abb. 6). Es erfolgte ein primärer Wundverschluss mit 2 tiefen Matratzennähten und einer fortlaufenden Naht (Seralon 5/0, Serag-Wiessner) (Abb. 7). Postoperativ wurde die Patientin gebeten, für 2 Wochen das Schnäuzen der Nase zu unterlassen.
Dr. Bopp
Dr. Bopp
Dr. Bopp
Dr. Bopp
Dr. Bopp
Dr. Bopp
Darüber hinaus bekam sie ein Antibiotikum (Amoxicillin 1000 mg, 1/1/1 über 5 Tage) sowie ein Schmerzmittel (Ibuprofen 600 mg) verordnet. Die Nahtentfernung im Bereich der vertikalen Entlastung und der fortlaufenden Naht erfolgte nach ca. 7 Tagen, während die beiden tiefen Matratzennähte zur Stabilisierung für eine weitere Woche belassen wurden.
Nach einer komplikationslosen Einheilzeit von ca. 5 Monaten wurde mithilfe einer erneuten bildgebenden Diagnostik die Implantation geplant und in einem 2. Eingriff das Titangitter entfernt (Abb. 8). Die Kieferhöhle zeigte sich reizfrei bei einem nun ausreichenden horizontalen und vertikalen Knochenangebot für die Implantation in regio 16,17. In Lokalanästhesie wurde das Titangitter im Bereich der krestal angebrachten Sollbruchstelle in 2 Teile getrennt und entfernt (Abb. 9). Das darunterliegende Augmentat war sehr stabil und gut vaskularisiert und es konnte in regio 16 und 17 ein Implantatbett aufbereitet werden. In regio 17 wurde zudem ein kleiner interner Sinuslift durchgeführt. Die Achse wurde mit Positionierungshilfen parallel zu den Nachbarzähnen ausgerichtet und die Implantate konnten in idealer implantatprothetischer Ausrichtung primärstabil inseriert werden (Abb. 10 a und b). Es erfolgte ein erneuter primärer Wundverschluss und die Wundheilung verlief unauffällig.
Dr. Bopp
Dr. Bopp
Dr. Bopp
Dr. Bopp
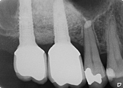
Nach weiteren 3 Monaten Einheilzeit wurde zur Freilegung der Implantate ein nach vestibulär versetzter Spaltlappen präpariert. Im krestalen Bereich wurde das Periost perforiert sowie die Deckschrauben der Implantate entfernt und mit einem Gingivaformer (Wide Body, Camlog) versehen (Abb. 11). Der apikale Verschiebelappen wurde apikal mit dem Periost vernäht (Seralon 6/0, Serag-Wiessner). Danach wurde die Patientin zu ihrem Hauszahnarzt (Dr. Marc Mauch, Stuttgart) für die prothetische Weiterbehandlung zurücküberwiesen (Abb. 12). Die Suprakonstruktion konnte aufgrund des stabilen Implantatlagers ohne Verblockung der beiden Einzelkronen erfolgen (Zahntechnik, Waiblinger Dentallabor, Waiblingen) (Abb. 13a und b). Im Rahmen der Implantatnachsorge zeigten sich bei der Patientin stabile periimplantäre Weich- und Hartgewebsverhältnisse. Die Röntgenkontrolle 20 Monate nach prothetischer Versorgung zeigte ein im Vergleich zur Röntgenkontrolle nach 6 Monaten ein stabiles vertikales Knochenniveau (Abb. 14).
Dr. Bopp
Dr. Bopp
Dr. Bopp
Dr. Bopp
Diskussion
Die Zahnentfernung im stark parodontal geschädigten Gebiss führt zu deutlichen Weich- und Hartgewebsdefiziten. Im Bereich der Kieferhöhle lässt sich zwar mit einem externen Sinuslift das Hartgewebsdefizit nach kranial vorhersagbar augmentieren, jedoch führt dieses Verfahren bei starken Atrophien zu einer vergrößerten Implantat-Kronenlänge und zu unterschiedlichen Emergenzniveaus der Restbezahnung und der Implantate. Um daraus resultierende parodontalhygienische Schwierigkeiten zu vermeiden, ist eine vertikale Rekonstruktion sinnvoll. Eine denkbare Alternative zu dem in diesem Fall hergestellten patientenspezifischen CAD/CAM-Gitter als Auflagerungsplastik wäre eine Blockaugmentation mit einem im Bereich der Linea obliqua entnommenen kortikalen Knochenblock. Jedoch ist die lagestabile Fixation des Blockaugmentats aufgrund der Restknochenhöhe von etwa 1 mm zum Sinus maxillaris schwierig und unsicher. Weitere denkbare Techniken zur vertikalen Augmentation wären eine Segmentosteotomie oder eine Distraktionsosteogenese, welche aber aufgrund des direkt kranial liegenden Sinus maxillaris nicht anwendbar sind.
Bildquellen sofern nicht anders deklariert: Unternehmen, Quelle oder Autor/-in des Artikels
Entdecke CME Artikel




Keine Kommentare.