Anzeige

Ein Blick aus Wissenschaft und Praxis

Lassen sich nichtchirurgische parodontale Therapieverfahren mit Schmelzmatrixproteinen noch optimieren?

Schmelzmatrixproteine (SMP) in Form von Straumann® Emdogain® werden seit nunmehr 30 Jahren erfolgreich für verschiedene chirurgische Indikationen in der Parodontologie zur Förderung der Regeneration des Zahnhalteapparates eingesetzt. Vor dem Hintergrund neuer Erkenntnisse und den bekannt gewordenen pluripotenten physiologischen Funktionen von SMP hat sich das Einsatzgebiet adjuvanter SMP-Anwendungen kontinuierlich erweitert. SMP werden nun auch im Rahmen nichtchirurgischer parodontaler Therapieverfahren (NCPT) eingesetzt. In dieser Arbeit sollte daher die derzeit verfügbare publizierte Evidenz hinsichtlich etwaiger klinisch relevanter Effekte einer zusätzlichen EMD-Applikation in der NCPT einmal analysiert werden. 13 randomisierte kontrollierte (klinische) Studien und eine kontrollierte klinische Studie konnten dazu identifiziert werden. Davon weisen 8 Studien klinische Vorteile bezüglich unterschiedlicher Parameter, wie Sondierungstiefenreduktion, Attachmentlevelgewinn oder anderen Kenngrößen, nach der jeweils maximalen Beobachtungszeit von bis zu 24 Monaten auf. Aktuellere RCT zeichnet zudem derzeit ein weitgehend konsistentes Bild und belegen den zusätzlichen Nutzen einer adjuvanten EMD-Applikation in der Stufe 2 oder deren Reevaluation.

Ein Gebiss Walter
Getting your Trinity Audio player ready...

Historische Entwicklung

Schmelzmatrixproteine wurden vor nunmehr fast 30 Jahren zur Förderung der Regeneration des Zahnhalteapparates im Rahmen der chirurgischen parodontalen Therapie vorgestellt (Abb. 1). Es gab damals – September 1997 – ein Sonderheft des Journal of Clinical Periodontology. Beeindruckend ist auch heute noch die strukturierte und systematische Herangehensweise bis zur Einführung des umfassend getesteten Produkts auf den Markt [1–7]. Zunächst wurde in einer Übersichtsarbeit zusammengetragen, was zum damaligen Zeitpunkt an Wissen zur Bildung des Zahnhalteapparates bekannt war. Hier zeigte sich, dass SMP, die sogenannten Amelogenine, offenbar eine Schlüsselrolle bei der Bildung des Zementes auf der Dentinoberfläche der Zahnwurzel spielen. Die Zementoberfläche, in welche die Sharpey-Fasern inserieren, bildet die Grundlage für die bindegewebige Aufhängung des Zahnes in der Alveole [1]. Nachdem diese Hypothesen in Tierversuchen bei Affen bestätigt werden konnten, wurde ein Produkt bestehend aus einem Proteingemisch und einer Trägersubstanz entwickelt und in pharmakologischen Tier- und In-vitro-Studien getestet [2,3,4].

Dann folgte ein erster klinischer Versuch bei einem Patienten in einem chirurgischen Eingriff an einem Unterkieferfrontzahn [5]. Der Zahn und Teile der umgebenden Hart- und Weichgewebe wurden aus kieferorthopädischen Gründen 4 Monate nach der Operation extrahiert und histologisch aufbereitet. Die mikroskopische Analyse zeigte die Bildung von azellulärem Fremdfaserzement und eines neuen Faserapparats. Jetzt folgten größere Studien am Menschen. Zunächst musste die klinische Sicherheit gezeigt werden. Hier wurden 107 Patienten im Rahmen chirurgischer Eingriffe und der Applikation von Emdogain (EMD) im Vergleich zu einer Kontrollgruppe hinsichtlich etwaiger Nebenwirkungen untersucht [6]. Eine klinische randomisierte Multicenter-Studie zur Wirksamkeit der Formulierung in parodontalen knöchernen Defekten rundete letztendlich die Untersuchungen ab [7]. Es wurden 33 Patienten mit korrespondierenden knöchernen parodontalen Defekten eingeschlossen. Jeweils ein Defekt wurde dabei ganz klassisch mit einem modifizierten Widman-Lappen operiert. Bei einem anderen Defekt beim selben Patienten wurde zusätzlich zu diesem Vorgehen EMD appliziert.

Die erste Formulierung bestand noch aus zwei Komponenten – dem pharmakologisch wirksamen Proteingemisch und einem Trägergel aus Propylenglykol-Alginat (PGA) (Abb. 2). Der Smearlayer auf der Wurzeloberfläche wurde zuvor mit Ortho-Phosphorsäure, welche später durch Ethylendiamintetraessigsäure (EDTA) ersetzt wurde, entfernt. PGA diente in dieser kontrollierten Studie auch als Plazebo in der Kontrollgruppe. Die klinischen und radiologischen Effekte wurden 3 Jahre nachkontrolliert. Es zeigten sich statistisch signifikante, vor allem aber klinisch relevante Vorteile der zusätzlichen Anwendung von EMD. Nach 36 Monaten wiesen die Defekte in der Testgruppe durchschnittlich 0,5 mm mehr klinischen Attachmentlevelgewinn und 2,6 mm radiologisch bestimmten Knochengewinn auf. Das entsprach einer Auffüllung des Defektes von etwa 66 %. Der Knochengewinn nahm dabei – im radiologischen Vergleich zur Kontrolle – über den Untersuchungszeitraum kontinuierlich zu.

Abb. 1a: Titelseite einer historischen Ausgabe des Journal of Clinical Periodontology vom September 1997.Walter
Abb. 1a: Titelseite einer historischen Ausgabe des Journal of Clinical Periodontology vom September 1997.
Abb. 1b: Rückseite der Ausgabe (a) mit Autoren und Titeln der Publikationen. Illustriert ist die systematische wissenschaftliche Entwicklung eines völlig neuen biologischen Ansatzes zur Regeneration des Zahnhalteapparates mit dem Produkt EMD. EMD enthält unter anderem SMP – sogenannte Amelogenine –, welche, wie man heute weiß nicht nur die Regeneration des Zahnhalteapparates initiieren, sondern vielmehr pluripotente Effekte auf eine breite Palette von unterschiedlichen humanen, nicht nur oralen Zellen aufweisen. Ausgehend von einer Übersicht zu den biologischen Effekten von Amelogeninen folgten zunächst Tierversuche, pharmakologische Studien und In-vitro-Analysen des entwickelten Produkts. Nachdem die Applikation in einem humanen experimentellen Defekt vielversprechende histologische Ergebnisse generiert hatte, wurde die klinische Sicherheit evaluiert und schlussendlich eine klinische randomisierte Multicenter-Studie zur Wirksamkeit in parodontalen knöchernen Defekten durchgeführt. EMD wurde Anfang der 1990er-Jahre von schwedischen und amerikanischen Wissenschaftlern in Kooperation mit der Firma Biora AB (Malmö, Schweden) entwickelt. Heute wird EMD von der Firma Straumann (Basel, Schweiz) produziert und vertrieben.Walter
Abb. 1b: Rückseite der Ausgabe (a) mit Autoren und Titeln der Publikationen. Illustriert ist die systematische wissenschaftliche Entwicklung eines völlig neuen biologischen Ansatzes zur Regeneration des Zahnhalteapparates mit dem Produkt EMD. EMD enthält unter anderem SMP – sogenannte Amelogenine –, welche, wie man heute weiß nicht nur die Regeneration des Zahnhalteapparates initiieren, sondern vielmehr pluripotente Effekte auf eine breite Palette von unterschiedlichen humanen, nicht nur oralen Zellen aufweisen. Ausgehend von einer Übersicht zu den biologischen Effekten von Amelogeninen folgten zunächst Tierversuche, pharmakologische Studien und In-vitro-Analysen des entwickelten Produkts. Nachdem die Applikation in einem humanen experimentellen Defekt vielversprechende histologische Ergebnisse generiert hatte, wurde die klinische Sicherheit evaluiert und schlussendlich eine klinische randomisierte Multicenter-Studie zur Wirksamkeit in parodontalen knöchernen Defekten durchgeführt. EMD wurde Anfang der 1990er-Jahre von schwedischen und amerikanischen Wissenschaftlern in Kooperation mit der Firma Biora AB (Malmö, Schweden) entwickelt. Heute wird EMD von der Firma Straumann (Basel, Schweiz) produziert und vertrieben.
Abb. 2a u. b: Die erste kommerziell verfügbare Darreichung von SMP bestand anfänglich noch aus zwei Komponenten – dem Amelogenin-haltigen Proteingemisch und dem PGA-Trägergel. Vor der Applikation in den entsprechenden parodontalen Defekt mussten die Komponenten gemischt werden. Später wurde dann eine Ready-to-Use-Spritze eingeführt, welche das klinische Vorgehen vereinfacht.Walter
Abb. 2a u. b: Die erste kommerziell verfügbare Darreichung von SMP bestand anfänglich noch aus zwei Komponenten – dem Amelogenin-haltigen Proteingemisch und dem PGA-Trägergel. Vor der Applikation in den entsprechenden parodontalen Defekt mussten die Komponenten gemischt werden. Später wurde dann eine Ready-to-Use-Spritze eingeführt, welche das klinische Vorgehen vereinfacht.
Abb. 2a u. b: Die erste kommerziell verfügbare Darreichung von SMP bestand anfänglich noch aus zwei Komponenten – dem Amelogenin-haltigen Proteingemisch und dem PGA-Trägergel. Vor der Applikation in den entsprechenden parodontalen Defekt mussten die Komponenten gemischt werden. Später wurde dann eine Ready-to-Use-Spritze eingeführt, welche das klinische Vorgehen vereinfacht.Walter
Abb. 2a u. b: Die erste kommerziell verfügbare Darreichung von SMP bestand anfänglich noch aus zwei Komponenten – dem Amelogenin-haltigen Proteingemisch und dem PGA-Trägergel. Vor der Applikation in den entsprechenden parodontalen Defekt mussten die Komponenten gemischt werden. Später wurde dann eine Ready-to-Use-Spritze eingeführt, welche das klinische Vorgehen vereinfacht.

In den hier zusammenfassend dargestellten Studien waren unter der Führung von Lars Hammarström schwedische und amerikanische Zentren mit den entsprechenden Arbeitsgruppen und die Firma Biora AB (Malmö, Schweden) involviert. Heute wird EMD von der Firma Straumann Group (Basel, Schweiz) produziert und vertrieben.

Parodontalchirurgische Verfahren mit Anwendung von SMP

Die Einführung in den Dentalmarkt liegt mittlerweile mehr als ein Vierteljahrhundert zurück. Mittlerweile gibt es eine breite wissenschaftliche Basis und zahlreiche in der Hierarchie der Evidenz hochstehende Publikationen zur Anwendung von SMP im Rahmen oral- oder parodontalchirurgischer Eingriffe. Die Hauptindikation scheint dabei nach wie vor die Förderung der Regeneration vertikaler parodontaler Defekte zu sein. In einer großen systematischen Übersichtsarbeit wurden 79 randomisierte kontrollierte (klinische) Studien (RCT) (von insgesamt 88 Publikationen) aus den Jahren von 1990 bis 2019 eingeschlossen [8]. Das bedeutete, dass die Daten von 3042 Patienten und 3612 knöchernen parodontalen Defekten analysiert wurden. Die Auswertungen von 13 Metaanalysen zeigen eine statistisch signifikante Überlegenheit chirurgischer Verfahren, welche SMP oder die gesteuerte Geweberegeneration (GTR) zusätzlich zum chirurgischen Verfahren verwendeten. Während in der ersten oben erwähnten klinischen Studie noch eine klassische Schnittführung zum Einsatz kam, werden heute in erster Linie gewebeschonende, die Interdentalpapillen erhaltende Lappentechniken empfohlen und in aktuellen Studien angewendet. Hintergrund hierbei ist die Sicherstellung der Stabilität des Blutkoagels und des primären Wundverschlusses. Beide Forderungen sind mit einem modifizierten Widman-Lappen eher nicht erreichbar.

Ein weiteres Einsatzgebiet ist die regenerative Therapie von Furkationsdefekten [9]. Evidenz aus aktuellen Übersichtsarbeiten, die im laufenden Leitlinienprozess erstellt wurden, beschreibt die Möglichkeit eines erfolgversprechenden Einsatzes bei (solitärem) Furkationsgrad II bei bukkalen Oberkiefer- sowie bukkalen und lingualen Unterkieferfurkationen [10]. Der Furkationseingang sollte allerdings unter dem approximalen Knochenniveau lokalisiert sein, da eine Deckung mit dem mobilisierten Mukoperiostlappen andernfalls schwierig und zumeist technisch auch nicht möglich ist. Für beide Einsatzgebiete besteht die Möglichkeit, SMP auch mit anderen, die Regeneration fördernden Verfahren, wie Membranen oder unterschiedlichen Knochenersatzmaterialien oder autologem Knochen, zu kombinieren.

Eine dritte datenbasierte Anwendung liegt in der plastischen parodontalen Chirurgie [10]. Die Verwendung von SMP wird insbesondere dann empfohlen, wenn die Entnahme eines Bindegewebstransplantates nicht möglich oder seitens des Patienten nicht gewünscht wird. Bei der Therapie gingivaler Rezessionen kann der alleinige oder mit anderen Verfahren, wie Bindegewebstransplantaten, kombinierte Einsatz von SMP helfen, das ästhetische Ergebnis weiter zu optimieren. In frühen klinischen Studien konnte beispielsweise gezeigt werden, dass das Angebot an keratinisierter Gingiva – wichtig für die Stabilität des chirurgischen Ergebnisses – durch den Einsatz von EMD erhöht werden kann [12]. Eine aktuelle Metaanalyse konnte dies allerdings nicht bestätigen [13].

Entwicklung des biologischen Verständnisses

Neben der Evolution der klinischen Anwendungen wurden natürlich auch die biologischen Mechanismen in den letzten Jahrzehnten weiteren Untersuchungen unterzogen. Demnach ist die Wirkung von SMP keinesfalls nur auf die Initiierung der Bildung von azellulärem Fremdfaserzement im Rahmen der Zahnentwicklung beschränkt [14–18]. Aktuelle Arbeiten beschreiben die Gruppe der Amelogenine vielmehr als multifunktionale Proteine, die offenbar eine wichtige Rolle in der embryonalen Entwicklung des kraniofazialen Komplexes spielen [17,18]. Es konnten die Expressionen in zahlreichen nichtdentalen Geweben und Zellen, darunter Gehirn, Auge, Ganglien, peripheren Nervenstämmen, Knorpel, Knochen sowie Zellen des hämatopoetischen Systems, nachgewiesen werden. Darüber hinaus existiert mittlerweile eine große Anzahl an Literatur zu den biologischen Effekten auf unterschiedliche Zellen in vitro und teilweise auch in vivo. Einige dieser Effekte wurden in einer umfangreichen Übersichtsarbeit zusammengetragen und in einem parodontologischen Kontext bereits vor einigen Jahren publiziert [14]. Obwohl die Ergebnisse dieser (Labor-)Forschung sich teilweise – oft aus methodischen Gründen – widersprechen, konnte die Evidenz doch vorsichtig zusammengefasst werden. Demnach können SMP verschiedene Zellpopulationen, darunter Knochen- und Knorpelzellen, Epithelzellen, Fibroblasten, parodontale Ligamentzellen und Endothelzellen, differenziert beeinflussen. Die Daten zeigen unter anderem Effekte auf Zelladhäsion und Chemotaxis, die Freisetzung von Zytokinen, Transkriptions- und Wachstumsfaktoren oder Molekülen, welche die Umbauvorgänge im Knochen steuern. SMP werden demnach heute ein breites Vorkommen in zahlreichen Geweben und eine pluripotente Rolle in verschiedenen physiologischen Prozessen zugeschrieben [14–18]. Darüber hinaus wurden auch Untersuchungen zu einer möglichen antibakteriellen Wirkung der Formulierung durchgeführt [19]. Im Labor zeigte sich, dass solche Effekte eher nicht durch die SMP selbst entstehen, sondern vielmehr auf das Trägergel zurückzuführen sind.

Neuere Einsatzgebiete von SMP

Das erweiterte Verständnis und die vielfältige Beeinflussung unterschiedlichster Zellen und Gewebe führte zu neuen Überlegungen zum Einsatz von EMD. So verwenden einige Kliniker SMP auch bei einer periimplantären Mukositis oder der Periimplantitis-Therapie [20]. Der Einsatz von SMP bei dentalen Implantaten, die osseointegriert, d.h. mit einem direkten Kontakt vom Implantat zum Knochen sind bzw. sein sollten, wäre vor dem alleinigen Hintergrund der weiter oben dargestellten Imitierung der Entwicklung des Zahnhalteapparates wohl nicht erklärbar oder zu rechtfertigen. Eine aktuelle systematische Übersicht unter Einschluss einer zusammenfassenden Metaanalyse zeigt das Potenzial der Verwendung von SMP in der Periimplantitis-Therapie [21].

Viele Kliniker der ersten Stunde beobachteten bereits vor einigen Jahren, dass parodontalchirurgische Wunden nach entsprechenden Eingriffen und der Verwendung von SMP sehr gut heilen. Eine wegweisende Übersicht aus dem Jahre 2015 ging dem einmal nach und fasste das Wissen zu den spezifischen Effekten von SMP auf die an der parodontalen Wundheilung beteiligten Zellen und Zellverbände zusammen [22]. Die Autoren dieses Reviews führten eine breite Palette an Studien zutage, die berichten, wie SMP die Wundheilung durch eine differenzierte Freisetzung bestimmter Zytokine beeinflussen können. SMP haben darüber hinaus das Potenzial, die Proliferation und Migration von T-Lymphozyten, die Differenzierung von Monozyten oder auch die Angiogenese durch die Induktion der Proliferation, Migration und kapillarartigen Aussprossungen von Endothelzellen zu induzieren. Mittlerweile wurden einige vielversprechende Labor-, Tier- wie auch klinische Studien mit dem formulierten Ziel, die parodontale Wundheilung durch SMP-Applikation zu untersuchen, durchgeführt [23,24]. So zeigen beispielsweise klinische Studien zur adjuvanten Anwendung von SMP in der nichtchirurgischen Parodontitistherapie (NCPT, englisch Emdogain Flapless, FL) eine wundheilungsfördernde biochemische Zusammensetzung des Sulkusfluids [25,26].

Anwendung von SMP in der NCPT

Der Einsatz von SMP im Rahmen der NCPT wird vermutlich seit etwa 2002/2003 in wissenschaftlichen Zeitschriften diskutiert [27,28,51]. Diese ersten Studien erbrachten differenzierte Ergebnisse nach der Verwendung von SMP im Kontext der NCPT. Mittlerweile ist die publizierte Evidenz sehr stark angestiegen, und es sind mindestens vier systematische Übersichten zur Effektivität der Anwendung von SMP in der NCPT publiziert und in medizinischen Datenbanken verfügbar [29,30,31,32].

a) Evidenz aus systematischen Übersichten

Das hier vorliegende Manuskript stellt demnach auch eine Art Umbrella-Review dar. Hierbei handelt es sich um eine noch relativ neue Form der zusammenfassenden wissenschaftlichen Analyse – eine Übersicht über Übersichten. Die vier Arbeiten sind in einem ähnlichen Zeitraum in den Jahren 2022 bzw. 2023 in unterschiedlichen Fachzeitschriften publiziert worden und in Tabelle 1 dargestellt [29–32]. Sie reflektieren, aufgrund leicht abweichender Einschlusskriterien und Publikationszeitpunkte auf eine unterschiedliche Zahl zugrunde liegender RCT – zwischen 6 und 8. Während in zwei der Arbeiten Metaanalysen durchgeführt wurden, haben die verbliebenen zwei Arbeiten auf dieses mathematische, statistische Instrument aufgrund der Vielzahl unterschiedlicher Studienparameter, darunter Anzahl der SMP Applikationen, Beobachtungszeitraum und Zeitpunkt innerhalb der systematischen parodontalen Therapie, in den identifizierten RCT verzichtet. Einige Kenngrößen der in diesen Reviews eingeschlossenen RCT und CCT und darüber hinaus noch verfügbarer aktuellerer RCT werden in Tabelle 2 dargestellt und im hinteren Teil des Manuskriptes diskutiert. Die vier Übersichten kommen zu unterschiedlichen Schlussfolgerungen und demzufolge auch Empfehlungen. Interessant ist, dass die Übersichten, welche Metaanalysen verwendeten, um die RCT zusammenzufassen, eher keine klinischen Vorteile der zusätzlichen SMP-Applikation im Rahmen der NCPT fanden. Demgegenüber sehen die beiden anderen Übersichten mit einer einfacheren Synopsis mittels einer Vote-counting-Methode (Studien, die einen Effekt zeigen, wurden gezählt und Studien, die keinen Effekt zeigen, gegenübergestellt) eher Vorteile einer adjuvanten SMP-Applikation. Aufgrund der offenkundigen Dissonanz wurden die entsprechenden RCT noch einmal genauer angeschaut und darüber hinaus auch nach weiteren verfügbaren Studien in elektronischen wissenschaftlichen Datenbanken und den Literaturlisten bereits identifizierter Arbeiten gesucht (Tabelle 2).

Tabelle 1: Systematische Übersichten zur Anwendung von Straumann®Emdogain®(EMD) in nicht-chirurgischen parodontalen Therapieverfahren (NCPT) verglichen mit minimal-invasiven chirurgischen Verfahren (MIST) oder NCPT allein

ReviewAnzahl eingeschlossener StudienWesentliche ErgebnisseNCPT+EMD Effekt +/-
Roccuzzo A, Imber JC, Stähli A, Kloukos D, Salvi GE, Sculean A. Enamel matrix derivative as adjunctive to non‑surgical periodontal therapy: a systematic review and meta‑analysis of randomized controlled trials. Clin Oral Investig. 2022 Jun;26(6):4263-4280.  Erratum: Clin Oral Investig. 2022 Jun;26(6):4281. (31)6 RCT
(davon 4 RCT für Metaanalyse)
hohe Heterogenität der eingeschlossenen Studien

keine statistisch signifikanten Unterschiede zwischen NCPT+EMD vs NCPT bei ST und CAL
Estrin NE, Moraschini V, Zhang Y, Miron RJ. Use of Enamel Matrix Derivative in Minimally Invasive/Flapless Approaches: A Systematic Review with Meta-Analysis. Oral Health Prev Dent. 2022 Jul 13;20:233-242. (29)7 RCT (3 RCT MIST+/-EMD, 3 RCT NCPT+/-EMD, 1 RCT MIST+EMD vs NCPT+EMD)
(davon 5 RCT für Metaanalyse)

12 Fallserien
statistisch signifikante Unterschiede zwischen MIST+EMD vs MIST bei Rezession und knöcherner Defektfüllung, keine statistisch signifikanten Unterschiede bei ST und CAL   keine statistisch signifikanten Unterschiede (ST, CAL) zwischen NCPT+EMD vs NCPT

kein statistisch signifikanter Unterschied zwischen MIST+EMD vs NCPT+EMD
Chatzopoulos GS, Anastasopoulos M, Zarenti S, Doufexi AE, Tsalikis L. Flapless application of enamel matrix derivative in non-surgical periodontal treatment: A systematic review. Int J Dent Hyg. 2022 May;20(2):422-433. (32)8 RCT

1 CCT
keine Metaanalyse aufgrund hoher Heterogenität

vier Studien zeigen Vorteile für NCPT+EMD vs NCPT
+
Abu-Ta’a M, Marzouka D. Enamel Matrix Derivative (EMD) as an Adjunct to Non-surgical Periodontal Therapy: A Systematic Review. Cureus. 2023 Aug 15;15(8):e43530. (30)9 Studien
(davon 6 RCT)
keine Metaanalyse

60% der Studien zeigen Vorteile (Behandlungszeit, Wundheilung) für NCPT+EMD vs NCPT, ST: 3 Studien zeigen Vorteile für NCPT+EMD, CAL: 1 Studie zeigt Vorteile für NCPT+EMD
+
NCPT=nicht-chirurgische parodontale Therapie, EMD=Emdogain, ST=Sondierungstiefe, CAL=klinischer Attachmentlevel, BAS=Bluten auf Sondieren, MIST=Minimally Invasive Surgical Technique, RCT=randomisierte kontrollierte klinische Studie, CCT=kontrollierte klinische Studie

Tabelle 2: Klinische Untersuchungenzur Anwendung von Straumann®Emdogain®(EMD) in nicht-chirurgischen parodontalen Therapieverfahren (Stufe 2, Reevaluation, UPT, NCPT, MINST)

Nr.Erst-/Letztautor, JahrGesamtteilnehmer/ Test-/ KontrollgruppeBeobachtungszeitraumHäufigkeit der EMD- ApplikationEin-schluss Raucher (+/-)Zeit-punktWesentliche ErgebnisseNCPT+ EMD Effekt (+/-)  
1Wennström, Lindhe (51)(28) 28 NCPT+EMD 28 NCPT3 Wochen1Nicht berichtetStufe 2Statistisch signifikante Unterschiede nach 1 und 2 Wochen bzgl. Gingiva-Index (GI) BAS, und der Bewertung von post-operativen Beschwerden nach 1 Woche, keine statistischsignifikanten Unterschiede hinsichtlich GI, BAS, ST≤4mm nach 3 Wochen(+)/-
2Gutierrez, …Cochran, 2003 (27)(20) 20 NCPT+EMD 20 NCPT3 Monate1+Stufe 2Keine statistisch signifikanten Unterschiede in ST-Reduktion und CAL-Gewinn
3Sculean, …Gera, 2003 (28)(16) 4 NCPT+HI+EMD 6 NCPT+US+EMD 6 NCPT+US6 Monate1+Zähne zur Extrak-tion vorgesehenHistologische Untersuchung zeigt langes Saumepithel und nur vereinzelte Zementinseln (keine Regeneration) Keine statistisch signifikanten Unterschiede in ST-Reduktion und CAL-Gewinn
4a, bMombelli, … Giannopoulou, 2005 (33) & Giannopoulou, … Mombelli, 2006 (34)(16) 16 NCPT+EMD 16 NCPT+Placebo (+Amoxizillin (A) & Metronidazol (M) bei jeweils 8 Patienten)12 Monate1+Stufe 2Vorteile durch EMD in CAL-Gewinn bei EMD+AM, Keine wesentlichen Vorteile durch EMD in Zusammensetzung des Sulkusfluids(+)/-
5Wyganowska-Swiatkowska, … Marcinkowski, 2013 (35)(20) 20 NCPT+EMD 20 NCPT3 Monate1 (2 d nach NCPT)Stufe 2Keine statistisch signifikanten Unterschiede in ST-Reduktion und CAL-Gewinn, keine Unterschiede bzgl. der Detektion von P. gingivalis und P. intermedia nach der Therapie
6Aimetti, …Romano, 2017 (36)(30) 15 NCPT+EMD 15 MIST+EMD24 Monate1Nach Stufe 1 & 2Vergleichbare ST-Reduktion und CAL-Gewinn Doppelt so lange Behandlungszeit bei MIST+EMD=
7Graziani, …Tonetti, 2019 (25)(38) 19 NCPT+EMD 19 NCPT3 Monate1 (ST ≥ 6 mm)+Stufe 2Statistisch signifikante Unterschiede in % residual ST ≥ 6 mm und CAL-Gewinn, geringere fibronolytische Aktivität in NCPT+EMD +
8Schallhorn, … Kašaj, 2021 (37)(49) 49 NCPT+EMD 49 NCPT  12 Monate2+ (schwere Raucher ausge-schlos-sen)Stufe 2Keine statistisch signifikanten Unterschiede in ST-Reduktion und CAL-Gewinn, signifikante Unterschiede in % ST < 5 mm und BAS+
9Jentsch, …Eick, 2021 (38)(13) 13 NCPT+EMD 13 NCPT12 Monate1+Nach Stufe 1 & 2Statistisch signifikante Unterschiede in ST-Reduktion und IL-1β+
10Jentsch, …Jepsen, 2021 (39)(44) 44 NCPT+EMD 44 NCPT12 Monate1+Nach Stufe 1 & 2Statistisch signifikante Unterschiede in ST-Reduktion und Anteil geschlossener ST+
11Anoixiadou, … Vouros, 2022 (40)(36) 18 NCPT +EMD 18 NCPT12 Monate1+Stufe 2Keine statistisch signifikanten Unterschiede in ST- Reduktion, CAL-Gewinn, knöcherner Defektauffüllung, höherer % ST ≤4 mm/BAS-+
12Wehner, …Rausch-Fahn, 2023 (26)(22) 11 NCPT+EMD 11 NCPT6 Monate1+Nach Stufe 1 & 2Statistisch signifikante Unterschiede CAL- Gewinn, keine wesentlichen Unterschiede ST, Zusammensetzung des Sulkusfluids+
13Aimetti, …Romano, 2024 (41)(46) 23 NCPT+EMD 23 NCPT12 Monate1Nach Stufe 1 & 2Statistisch signifikante Unterschiede in CAL Gewinn, knöcherner Defektauffüllung, % ST ≤ 4 mm + CAL Gewinn ≥3 mm+
14Romano, …Aimetti, 2025 (42)(38) 19 NCPT+EMD 19 NCPT6 Monate1+Nach Stufe 1 & 2Statistisch signifikante Unterschiede in ST-Reduktion, CAL-Gewinn & Zusammensetzung des Sulkusfluids    +
NCPT=nicht-chirurgische parodontale Therapie, EMD=Emdogain®, ST=Sondierungstiefe, CAL=klinischer Attachmentlevel, HI =Handinstrumente, US=Ultraschall, A=Amoxicillin, M=Metronidazol, GI=Gingiva Index, BAS=Bluten auf Sondieren, MINST=Minimally Invasive Non-Surgical Technique

b) Evidenz aus einzelnen RCT

Bis zum 03.01.2026 konnten 14 RCT/CCT (15 Publikationen) zu den Effekten von SMP im Rahmen der NCPT identifiziert werden [25,27,28,33,34,35,36,37,38,39,40,26,41,42,51]. Einige Studien wurden durch die Straumann Group unterstützt. Darüber hinaus ist eine Vielzahl an Fallberichten oder Fallserien online verfügbar [u.a.43,44,45]. Da jedoch ausreichende Evidenz aus RCT zur Thematik vorliegt, wurden die teilweise sehr eindrücklichen und klinisch relevant bebilderten Fallberichte nicht weiter analysiert.

Insgesamt wurden 416 Patienten therapiert und statistisch ausgewertet. Die Vergleiche wurden entweder in einem Split-Mouth-Studiendesign [27,33,34,35,37 38,39,51] oder mit einer separaten Test- bzw. Kontrollgruppe durchgeführt. Die Beobachtungszeiträume reichten von 3 Wochen bis zu 2 Jahren [36,51]. In diesen Studien dienten entweder ohne den zusätzlichen Einsatz von SMP nichtchirurgisch therapierte Patienten oder parodontal-chirurgisch mit adjuvanter SMP-Applikation operierte Patienten als Kontrollgruppe [36]. Außer in einer Studie wurde EMD in allen Studien nur einmal appliziert [37]. Darüber hinaus wurden die SMP, bis auf eine Studie (2 Tage nach Instrumentierung), direkt nach der Instrumentierung appliziert [35]. In einem RCT (2 Publikationen) wurden auch die Effekte einer adjuvanten systemischen Antibiotikagabe, bestehend aus Amoxicillin und Metronidazol, untersucht [33,34]. Raucher waren in einigen Studien ausgeschlossen [35,36,41]. SMP wurden zu unterschiedlichen Zeitpunkten innerhalb der vierstufigen parodontalen Therapiestrecke eingesetzt. In einer Studie waren die behandelten Zähne bereits zur Extraktion und histologischen Auswertung vorgesehen [28]. In den verbliebenen Studien wurden SMP entweder im Rahmen der Stufe 2 [25,27,33,34,35,37,40,51] oder aber im Rahmen der Evaluation nach Stufe 1 und 2 appliziert.

Aufgrund dieser Varianz wurden die Studien nicht mittels einer Metaanalyse unter Inkaufnahme hoher statistischer Heterogenitätswerte zusammengefasst, sondern auch hier wurde ein einfaches Vote-counting-Verfahren (positiver Effekt durch EMD/SMP „+“ oder „-“) zur quantitativen Auswertung angewendet. Gesamthaft weisen 8 von 14 Studien einen zusätzlichen Nutzen einer alleinigen SMP-Applikation nach der entsprechenden maximalen Beobachtungszeit auf; 3 von 7 Studien zum Einsatz von SMP/EMD im Rahmen der Stufe 2 zeigen eindeutige Vorteile der adjuvanten EMD-Applikation. Alle 5 Arbeiten, in denen SMP/EMD nach oder bei der Reevaluation der Stufe 2 eingesetzt wurden, zeigen klinische Vorteile für die EMD-Gruppe auf. Darüber hinaus zeigte eine Studie vergleichbare Ergebnisse nach chirurgischem und nichtchirurgischem Einsatz von SMP. Durch die zeitliche Auflistung der eingeschlossenen Studien fällt darüber hinaus auf, dass nahezu alle Arbeiten, die nach 2013 publiziert wurden, klare Vorteile der EMD-Applikation dokumentiert haben.

Kasuistiken

Neben der regelmäßigen Analyse der publizierten wissenschaftlichen Daten werden SMP/EMD auch von den Autoren dieses Manuskriptes in den unterschiedlichen klinischen Einrichtungen seit einigen Jahren eingesetzt. Es besteht demnach auch eine gewisse interne Evidenz zu den erreichbaren klinischen Resultaten. Eine zeitgemäße Kasuistik in Form eines Videos ist über den QR Code in Abbildung 5 abrufbar. Demgegenüber zeigen die Abbildungen 3, 4 und 6 einen klassisch dokumentierten klinischen Fall.

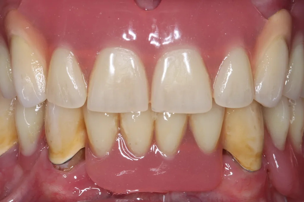
Abb. 3 a–e: Klinische Dokumentation eines 63-jahrigen männlichen Patienten (geb. 05.09.1961). Die Fotodokumentation erfolgte erst am Tag der AIT und nicht im Rahmen der klinischen und radiologischen und 47 wurden vor der AIT entfernt. An den Zahnen 13 und 23 war neben der peniblen subgingivalen Instrumentierung die Applikation von Straumann® Emdogain® (Straumann Group, Basel, Schweiz) vorgesehen.Walter
Abb. 3 a–e: Klinische Dokumentation eines 63-jahrigen männlichen Patienten (geb. 05.09.1961). Die Fotodokumentation erfolgte erst am Tag der AIT und nicht im Rahmen der klinischen und radiologischen und 47 wurden vor der AIT entfernt. An den Zahnen 13 und 23 war neben der peniblen subgingivalen Instrumentierung die Applikation von Straumann® Emdogain® (Straumann Group, Basel, Schweiz) vorgesehen.
Abb. 3 a–e: Klinische Dokumentation eines 63-jahrigen männlichen Patienten (geb. 05.09.1961). Die Fotodokumentation erfolgte erst am Tag der AIT und nicht im Rahmen der klinischen und radiologischen und 47 wurden vor der AIT entfernt. An den Zahnen 13 und 23 war neben der peniblen subgingivalen Instrumentierung die Applikation von Straumann® Emdogain® (Straumann Group, Basel, Schweiz) vorgesehen.Walter
Abb. 3 a–e: Klinische Dokumentation eines 63-jahrigen männlichen Patienten (geb. 05.09.1961). Die Fotodokumentation erfolgte erst am Tag der AIT und nicht im Rahmen der klinischen und radiologischen und 47 wurden vor der AIT entfernt. An den Zahnen 13 und 23 war neben der peniblen subgingivalen Instrumentierung die Applikation von Straumann® Emdogain® (Straumann Group, Basel, Schweiz) vorgesehen.
Abb. 3 a–e: Klinische Dokumentation eines 63-jahrigen männlichen Patienten (geb. 05.09.1961). Die Fotodokumentation erfolgte erst am Tag der AIT und nicht im Rahmen der klinischen und radiologischen und 47 wurden vor der AIT entfernt. An den Zahnen 13 und 23 war neben der peniblen subgingivalen Instrumentierung die Applikation von Straumann® Emdogain® (Straumann Group, Basel, Schweiz) vorgesehen.Walter
Abb. 3 a–e: Klinische Dokumentation eines 63-jahrigen männlichen Patienten (geb. 05.09.1961). Die Fotodokumentation erfolgte erst am Tag der AIT und nicht im Rahmen der klinischen und radiologischen und 47 wurden vor der AIT entfernt. An den Zahnen 13 und 23 war neben der peniblen subgingivalen Instrumentierung die Applikation von Straumann® Emdogain® (Straumann Group, Basel, Schweiz) vorgesehen.
Abb. 3 a–e: Klinische Dokumentation eines 63-jahrigen männlichen Patienten (geb. 05.09.1961). Die Fotodokumentation erfolgte erst am Tag der AIT und nicht im Rahmen der klinischen und radiologischen und 47 wurden vor der AIT entfernt. An den Zahnen 13 und 23 war neben der peniblen subgingivalen Instrumentierung die Applikation von Straumann® Emdogain® (Straumann Group, Basel, Schweiz) vorgesehen.Walter
Abb. 3 a–e: Klinische Dokumentation eines 63-jahrigen männlichen Patienten (geb. 05.09.1961). Die Fotodokumentation erfolgte erst am Tag der AIT und nicht im Rahmen der klinischen und radiologischen und 47 wurden vor der AIT entfernt. An den Zahnen 13 und 23 war neben der peniblen subgingivalen Instrumentierung die Applikation von Straumann® Emdogain® (Straumann Group, Basel, Schweiz) vorgesehen.
Abb. 3 a–e: Klinische Dokumentation eines 63-jahrigen männlichen Patienten (geb. 05.09.1961). Die Fotodokumentation erfolgte erst am Tag der AIT und nicht im Rahmen der klinischen und radiologischen und 47 wurden vor der AIT entfernt. An den Zahnen 13 und 23 war neben der peniblen subgingivalen Instrumentierung die Applikation von Straumann® Emdogain® (Straumann Group, Basel, Schweiz) vorgesehen.Walter
Abb. 3 a–e: Klinische Dokumentation eines 63-jahrigen männlichen Patienten (geb. 05.09.1961). Die Fotodokumentation erfolgte erst am Tag der AIT und nicht im Rahmen der klinischen und radiologischen und 47 wurden vor der AIT entfernt. An den Zahnen 13 und 23 war neben der peniblen subgingivalen Instrumentierung die Applikation von Straumann® Emdogain® (Straumann Group, Basel, Schweiz) vorgesehen.
Abb. 3f: Ausschnitt aus der Panoramaschichtaufnahme des in Abb. 3a-e dargestellten Patientenfalles. Deutlich wird der weit fortgeschrittene Attachmentverlust an nahezu allen Zähnen. Die ausgeprägte vertikale Komponente ist günstig für erfolgversprechende die Regeneration fördernde Maßnahmen.Walter
Abb. 3f: Ausschnitt aus der Panoramaschichtaufnahme des in Abb. 3a-e dargestellten Patientenfalles. Deutlich wird der weit fortgeschrittene Attachmentverlust an nahezu allen Zähnen. Die ausgeprägte vertikale Komponente ist günstig für erfolgversprechende die Regeneration fördernde Maßnahmen.
Abb. 4 a–j: Mögliche Variante des schrittweisen klinischen Vorgehens zur Anwendung von Straumann® Emdogain® im Rahmen einer initialen NCPT an Zahn 23. a)Initiale Sondierungstiefe, b) nach der Applikation der Lokalanästhesie erfolgt die subgingivale Instrumentierung mit Ultraschall und c) Pulverwasserstrahlgemischen (AIRFLOW® PLUS Pulver, EMS, Nyon, Schweiz), d) Spülung mit H2O2 3%, e) Spülung mit physiologischer Kochsalzlösung, f) Applikation einer konditionierenden EDTA-Lösung (Straumann® PrefGel®, Straumann Group, Basel, Schweiz), g) Trocknung und Blutstillung durch Einbringen von sterilisiertem Superfloss, h) Zahn 23 vorbereitet für die Applikation von SMP (Straumann® Emdogain®, Straumann Group, Basel, Schweiz), i) Applikation von Straumann® Emdogain®, j) Applikation von Histoacryl® Gewebekleber (B. Braun, Tuttlingen, Deutschland)Walter
Abb. 4 a–j: Mögliche Variante des schrittweisen klinischen Vorgehens zur Anwendung von Straumann® Emdogain® im Rahmen einer initialen NCPT an Zahn 23. a)Initiale Sondierungstiefe, b) nach der Applikation der Lokalanästhesie erfolgt die subgingivale Instrumentierung mit Ultraschall und c) Pulverwasserstrahlgemischen (AIRFLOW® PLUS Pulver, EMS, Nyon, Schweiz), d) Spülung mit H2O2 3%, e) Spülung mit physiologischer Kochsalzlösung, f) Applikation einer konditionierenden EDTA-Lösung (Straumann® PrefGel®, Straumann Group, Basel, Schweiz), g) Trocknung und Blutstillung durch Einbringen von sterilisiertem Superfloss, h) Zahn 23 vorbereitet für die Applikation von SMP (Straumann® Emdogain®, Straumann Group, Basel, Schweiz), i) Applikation von Straumann® Emdogain®, j) Applikation von Histoacryl® Gewebekleber (B. Braun, Tuttlingen, Deutschland)
Abb. 4 a–j: Mögliche Variante des schrittweisen klinischen Vorgehens zur Anwendung von Straumann® Emdogain® im Rahmen einer initialen NCPT an Zahn 23. a)Initiale Sondierungstiefe, b) nach der Applikation der Lokalanästhesie erfolgt die subgingivale Instrumentierung mit Ultraschall und c) Pulverwasserstrahlgemischen (AIRFLOW® PLUS Pulver, EMS, Nyon, Schweiz), d) Spülung mit H2O2 3%, e) Spülung mit physiologischer Kochsalzlösung, f) Applikation einer konditionierenden EDTA-Lösung (Straumann® PrefGel®, Straumann Group, Basel, Schweiz), g) Trocknung und Blutstillung durch Einbringen von sterilisiertem Superfloss, h) Zahn 23 vorbereitet für die Applikation von SMP (Straumann® Emdogain®, Straumann Group, Basel, Schweiz), i) Applikation von Straumann® Emdogain®, j) Applikation von Histoacryl® Gewebekleber (B. Braun, Tuttlingen, Deutschland)Walter
Abb. 4 a–j: Mögliche Variante des schrittweisen klinischen Vorgehens zur Anwendung von Straumann® Emdogain® im Rahmen einer initialen NCPT an Zahn 23. a)Initiale Sondierungstiefe, b) nach der Applikation der Lokalanästhesie erfolgt die subgingivale Instrumentierung mit Ultraschall und c) Pulverwasserstrahlgemischen (AIRFLOW® PLUS Pulver, EMS, Nyon, Schweiz), d) Spülung mit H2O2 3%, e) Spülung mit physiologischer Kochsalzlösung, f) Applikation einer konditionierenden EDTA-Lösung (Straumann® PrefGel®, Straumann Group, Basel, Schweiz), g) Trocknung und Blutstillung durch Einbringen von sterilisiertem Superfloss, h) Zahn 23 vorbereitet für die Applikation von SMP (Straumann® Emdogain®, Straumann Group, Basel, Schweiz), i) Applikation von Straumann® Emdogain®, j) Applikation von Histoacryl® Gewebekleber (B. Braun, Tuttlingen, Deutschland)
Abb. 4 a–j: Mögliche Variante des schrittweisen klinischen Vorgehens zur Anwendung von Straumann® Emdogain® im Rahmen einer initialen NCPT an Zahn 23. a)Initiale Sondierungstiefe, b) nach der Applikation der Lokalanästhesie erfolgt die subgingivale Instrumentierung mit Ultraschall und c) Pulverwasserstrahlgemischen (AIRFLOW® PLUS Pulver, EMS, Nyon, Schweiz), d) Spülung mit H2O2 3%, e) Spülung mit physiologischer Kochsalzlösung, f) Applikation einer konditionierenden EDTA-Lösung (Straumann® PrefGel®, Straumann Group, Basel, Schweiz), g) Trocknung und Blutstillung durch Einbringen von sterilisiertem Superfloss, h) Zahn 23 vorbereitet für die Applikation von SMP (Straumann® Emdogain®, Straumann Group, Basel, Schweiz), i) Applikation von Straumann® Emdogain®, j) Applikation von Histoacryl® Gewebekleber (B. Braun, Tuttlingen, Deutschland)Walter
Abb. 4 a–j: Mögliche Variante des schrittweisen klinischen Vorgehens zur Anwendung von Straumann® Emdogain® im Rahmen einer initialen NCPT an Zahn 23. a)Initiale Sondierungstiefe, b) nach der Applikation der Lokalanästhesie erfolgt die subgingivale Instrumentierung mit Ultraschall und c) Pulverwasserstrahlgemischen (AIRFLOW® PLUS Pulver, EMS, Nyon, Schweiz), d) Spülung mit H2O2 3%, e) Spülung mit physiologischer Kochsalzlösung, f) Applikation einer konditionierenden EDTA-Lösung (Straumann® PrefGel®, Straumann Group, Basel, Schweiz), g) Trocknung und Blutstillung durch Einbringen von sterilisiertem Superfloss, h) Zahn 23 vorbereitet für die Applikation von SMP (Straumann® Emdogain®, Straumann Group, Basel, Schweiz), i) Applikation von Straumann® Emdogain®, j) Applikation von Histoacryl® Gewebekleber (B. Braun, Tuttlingen, Deutschland)
Abb. 4 a–j: Mögliche Variante des schrittweisen klinischen Vorgehens zur Anwendung von Straumann® Emdogain® im Rahmen einer initialen NCPT an Zahn 23. a)Initiale Sondierungstiefe, b) nach der Applikation der Lokalanästhesie erfolgt die subgingivale Instrumentierung mit Ultraschall und c) Pulverwasserstrahlgemischen (AIRFLOW® PLUS Pulver, EMS, Nyon, Schweiz), d) Spülung mit H2O2 3%, e) Spülung mit physiologischer Kochsalzlösung, f) Applikation einer konditionierenden EDTA-Lösung (Straumann® PrefGel®, Straumann Group, Basel, Schweiz), g) Trocknung und Blutstillung durch Einbringen von sterilisiertem Superfloss, h) Zahn 23 vorbereitet für die Applikation von SMP (Straumann® Emdogain®, Straumann Group, Basel, Schweiz), i) Applikation von Straumann® Emdogain®, j) Applikation von Histoacryl® Gewebekleber (B. Braun, Tuttlingen, Deutschland)Walter
Abb. 4 a–j: Mögliche Variante des schrittweisen klinischen Vorgehens zur Anwendung von Straumann® Emdogain® im Rahmen einer initialen NCPT an Zahn 23. a)Initiale Sondierungstiefe, b) nach der Applikation der Lokalanästhesie erfolgt die subgingivale Instrumentierung mit Ultraschall und c) Pulverwasserstrahlgemischen (AIRFLOW® PLUS Pulver, EMS, Nyon, Schweiz), d) Spülung mit H2O2 3%, e) Spülung mit physiologischer Kochsalzlösung, f) Applikation einer konditionierenden EDTA-Lösung (Straumann® PrefGel®, Straumann Group, Basel, Schweiz), g) Trocknung und Blutstillung durch Einbringen von sterilisiertem Superfloss, h) Zahn 23 vorbereitet für die Applikation von SMP (Straumann® Emdogain®, Straumann Group, Basel, Schweiz), i) Applikation von Straumann® Emdogain®, j) Applikation von Histoacryl® Gewebekleber (B. Braun, Tuttlingen, Deutschland)
Abb. 4 a–j: Mögliche Variante des schrittweisen klinischen Vorgehens zur Anwendung von Straumann® Emdogain® im Rahmen einer initialen NCPT an Zahn 23. a)Initiale Sondierungstiefe, b) nach der Applikation der Lokalanästhesie erfolgt die subgingivale Instrumentierung mit Ultraschall und c) Pulverwasserstrahlgemischen (AIRFLOW® PLUS Pulver, EMS, Nyon, Schweiz), d) Spülung mit H2O2 3%, e) Spülung mit physiologischer Kochsalzlösung, f) Applikation einer konditionierenden EDTA-Lösung (Straumann® PrefGel®, Straumann Group, Basel, Schweiz), g) Trocknung und Blutstillung durch Einbringen von sterilisiertem Superfloss, h) Zahn 23 vorbereitet für die Applikation von SMP (Straumann® Emdogain®, Straumann Group, Basel, Schweiz), i) Applikation von Straumann® Emdogain®, j) Applikation von Histoacryl® Gewebekleber (B. Braun, Tuttlingen, Deutschland)Walter
Abb. 4 a–j: Mögliche Variante des schrittweisen klinischen Vorgehens zur Anwendung von Straumann® Emdogain® im Rahmen einer initialen NCPT an Zahn 23. a)Initiale Sondierungstiefe, b) nach der Applikation der Lokalanästhesie erfolgt die subgingivale Instrumentierung mit Ultraschall und c) Pulverwasserstrahlgemischen (AIRFLOW® PLUS Pulver, EMS, Nyon, Schweiz), d) Spülung mit H2O2 3%, e) Spülung mit physiologischer Kochsalzlösung, f) Applikation einer konditionierenden EDTA-Lösung (Straumann® PrefGel®, Straumann Group, Basel, Schweiz), g) Trocknung und Blutstillung durch Einbringen von sterilisiertem Superfloss, h) Zahn 23 vorbereitet für die Applikation von SMP (Straumann® Emdogain®, Straumann Group, Basel, Schweiz), i) Applikation von Straumann® Emdogain®, j) Applikation von Histoacryl® Gewebekleber (B. Braun, Tuttlingen, Deutschland)
Abb. 4 a–j: Mögliche Variante des schrittweisen klinischen Vorgehens zur Anwendung von Straumann® Emdogain® im Rahmen einer initialen NCPT an Zahn 23. a)Initiale Sondierungstiefe, b) nach der Applikation der Lokalanästhesie erfolgt die subgingivale Instrumentierung mit Ultraschall und c) Pulverwasserstrahlgemischen (AIRFLOW® PLUS Pulver, EMS, Nyon, Schweiz), d) Spülung mit H2O2 3%, e) Spülung mit physiologischer Kochsalzlösung, f) Applikation einer konditionierenden EDTA-Lösung (Straumann® PrefGel®, Straumann Group, Basel, Schweiz), g) Trocknung und Blutstillung durch Einbringen von sterilisiertem Superfloss, h) Zahn 23 vorbereitet für die Applikation von SMP (Straumann® Emdogain®, Straumann Group, Basel, Schweiz), i) Applikation von Straumann® Emdogain®, j) Applikation von Histoacryl® Gewebekleber (B. Braun, Tuttlingen, Deutschland)Walter
Abb. 4 a–j: Mögliche Variante des schrittweisen klinischen Vorgehens zur Anwendung von Straumann® Emdogain® im Rahmen einer initialen NCPT an Zahn 23. a)Initiale Sondierungstiefe, b) nach der Applikation der Lokalanästhesie erfolgt die subgingivale Instrumentierung mit Ultraschall und c) Pulverwasserstrahlgemischen (AIRFLOW® PLUS Pulver, EMS, Nyon, Schweiz), d) Spülung mit H2O2 3%, e) Spülung mit physiologischer Kochsalzlösung, f) Applikation einer konditionierenden EDTA-Lösung (Straumann® PrefGel®, Straumann Group, Basel, Schweiz), g) Trocknung und Blutstillung durch Einbringen von sterilisiertem Superfloss, h) Zahn 23 vorbereitet für die Applikation von SMP (Straumann® Emdogain®, Straumann Group, Basel, Schweiz), i) Applikation von Straumann® Emdogain®, j) Applikation von Histoacryl® Gewebekleber (B. Braun, Tuttlingen, Deutschland)
Abb. 4 a–j: Mögliche Variante des schrittweisen klinischen Vorgehens zur Anwendung von Straumann® Emdogain® im Rahmen einer initialen NCPT an Zahn 23. a)Initiale Sondierungstiefe, b) nach der Applikation der Lokalanästhesie erfolgt die subgingivale Instrumentierung mit Ultraschall und c) Pulverwasserstrahlgemischen (AIRFLOW® PLUS Pulver, EMS, Nyon, Schweiz), d) Spülung mit H2O2 3%, e) Spülung mit physiologischer Kochsalzlösung, f) Applikation einer konditionierenden EDTA-Lösung (Straumann® PrefGel®, Straumann Group, Basel, Schweiz), g) Trocknung und Blutstillung durch Einbringen von sterilisiertem Superfloss, h) Zahn 23 vorbereitet für die Applikation von SMP (Straumann® Emdogain®, Straumann Group, Basel, Schweiz), i) Applikation von Straumann® Emdogain®, j) Applikation von Histoacryl® Gewebekleber (B. Braun, Tuttlingen, Deutschland)Walter
Abb. 4 a–j: Mögliche Variante des schrittweisen klinischen Vorgehens zur Anwendung von Straumann® Emdogain® im Rahmen einer initialen NCPT an Zahn 23. a)Initiale Sondierungstiefe, b) nach der Applikation der Lokalanästhesie erfolgt die subgingivale Instrumentierung mit Ultraschall und c) Pulverwasserstrahlgemischen (AIRFLOW® PLUS Pulver, EMS, Nyon, Schweiz), d) Spülung mit H2O2 3%, e) Spülung mit physiologischer Kochsalzlösung, f) Applikation einer konditionierenden EDTA-Lösung (Straumann® PrefGel®, Straumann Group, Basel, Schweiz), g) Trocknung und Blutstillung durch Einbringen von sterilisiertem Superfloss, h) Zahn 23 vorbereitet für die Applikation von SMP (Straumann® Emdogain®, Straumann Group, Basel, Schweiz), i) Applikation von Straumann® Emdogain®, j) Applikation von Histoacryl® Gewebekleber (B. Braun, Tuttlingen, Deutschland)
Abb. 4 a–j: Mögliche Variante des schrittweisen klinischen Vorgehens zur Anwendung von Straumann® Emdogain® im Rahmen einer initialen NCPT an Zahn 23. a)Initiale Sondierungstiefe, b) nach der Applikation der Lokalanästhesie erfolgt die subgingivale Instrumentierung mit Ultraschall und c) Pulverwasserstrahlgemischen (AIRFLOW® PLUS Pulver, EMS, Nyon, Schweiz), d) Spülung mit H2O2 3%, e) Spülung mit physiologischer Kochsalzlösung, f) Applikation einer konditionierenden EDTA-Lösung (Straumann® PrefGel®, Straumann Group, Basel, Schweiz), g) Trocknung und Blutstillung durch Einbringen von sterilisiertem Superfloss, h) Zahn 23 vorbereitet für die Applikation von SMP (Straumann® Emdogain®, Straumann Group, Basel, Schweiz), i) Applikation von Straumann® Emdogain®, j) Applikation von Histoacryl® Gewebekleber (B. Braun, Tuttlingen, Deutschland)Walter
Abb. 4 a–j: Mögliche Variante des schrittweisen klinischen Vorgehens zur Anwendung von Straumann® Emdogain® im Rahmen einer initialen NCPT an Zahn 23. a)Initiale Sondierungstiefe, b) nach der Applikation der Lokalanästhesie erfolgt die subgingivale Instrumentierung mit Ultraschall und c) Pulverwasserstrahlgemischen (AIRFLOW® PLUS Pulver, EMS, Nyon, Schweiz), d) Spülung mit H2O2 3%, e) Spülung mit physiologischer Kochsalzlösung, f) Applikation einer konditionierenden EDTA-Lösung (Straumann® PrefGel®, Straumann Group, Basel, Schweiz), g) Trocknung und Blutstillung durch Einbringen von sterilisiertem Superfloss, h) Zahn 23 vorbereitet für die Applikation von SMP (Straumann® Emdogain®, Straumann Group, Basel, Schweiz), i) Applikation von Straumann® Emdogain®, j) Applikation von Histoacryl® Gewebekleber (B. Braun, Tuttlingen, Deutschland)
Abb. 4 a–j: Mögliche Variante des schrittweisen klinischen Vorgehens zur Anwendung von Straumann® Emdogain® im Rahmen einer initialen NCPT an Zahn 23. a)Initiale Sondierungstiefe, b) nach der Applikation der Lokalanästhesie erfolgt die subgingivale Instrumentierung mit Ultraschall und c) Pulverwasserstrahlgemischen (AIRFLOW® PLUS Pulver, EMS, Nyon, Schweiz), d) Spülung mit H2O2 3%, e) Spülung mit physiologischer Kochsalzlösung, f) Applikation einer konditionierenden EDTA-Lösung (Straumann® PrefGel®, Straumann Group, Basel, Schweiz), g) Trocknung und Blutstillung durch Einbringen von sterilisiertem Superfloss, h) Zahn 23 vorbereitet für die Applikation von SMP (Straumann® Emdogain®, Straumann Group, Basel, Schweiz), i) Applikation von Straumann® Emdogain®, j) Applikation von Histoacryl® Gewebekleber (B. Braun, Tuttlingen, Deutschland)Walter
Abb. 4 a–j: Mögliche Variante des schrittweisen klinischen Vorgehens zur Anwendung von Straumann® Emdogain® im Rahmen einer initialen NCPT an Zahn 23. a)Initiale Sondierungstiefe, b) nach der Applikation der Lokalanästhesie erfolgt die subgingivale Instrumentierung mit Ultraschall und c) Pulverwasserstrahlgemischen (AIRFLOW® PLUS Pulver, EMS, Nyon, Schweiz), d) Spülung mit H2O2 3%, e) Spülung mit physiologischer Kochsalzlösung, f) Applikation einer konditionierenden EDTA-Lösung (Straumann® PrefGel®, Straumann Group, Basel, Schweiz), g) Trocknung und Blutstillung durch Einbringen von sterilisiertem Superfloss, h) Zahn 23 vorbereitet für die Applikation von SMP (Straumann® Emdogain®, Straumann Group, Basel, Schweiz), i) Applikation von Straumann® Emdogain®, j) Applikation von Histoacryl® Gewebekleber (B. Braun, Tuttlingen, Deutschland)
Abb. 4 a–j: Mögliche Variante des schrittweisen klinischen Vorgehens zur Anwendung von Straumann® Emdogain® im Rahmen einer initialen NCPT an Zahn 23. a)Initiale Sondierungstiefe, b) nach der Applikation der Lokalanästhesie erfolgt die subgingivale Instrumentierung mit Ultraschall und c) Pulverwasserstrahlgemischen (AIRFLOW® PLUS Pulver, EMS, Nyon, Schweiz), d) Spülung mit H2O2 3%, e) Spülung mit physiologischer Kochsalzlösung, f) Applikation einer konditionierenden EDTA-Lösung (Straumann® PrefGel®, Straumann Group, Basel, Schweiz), g) Trocknung und Blutstillung durch Einbringen von sterilisiertem Superfloss, h) Zahn 23 vorbereitet für die Applikation von SMP (Straumann® Emdogain®, Straumann Group, Basel, Schweiz), i) Applikation von Straumann® Emdogain®, j) Applikation von Histoacryl® Gewebekleber (B. Braun, Tuttlingen, Deutschland)Walter
Abb. 4 a–j: Mögliche Variante des schrittweisen klinischen Vorgehens zur Anwendung von Straumann® Emdogain® im Rahmen einer initialen NCPT an Zahn 23. a)Initiale Sondierungstiefe, b) nach der Applikation der Lokalanästhesie erfolgt die subgingivale Instrumentierung mit Ultraschall und c) Pulverwasserstrahlgemischen (AIRFLOW® PLUS Pulver, EMS, Nyon, Schweiz), d) Spülung mit H2O2 3%, e) Spülung mit physiologischer Kochsalzlösung, f) Applikation einer konditionierenden EDTA-Lösung (Straumann® PrefGel®, Straumann Group, Basel, Schweiz), g) Trocknung und Blutstillung durch Einbringen von sterilisiertem Superfloss, h) Zahn 23 vorbereitet für die Applikation von SMP (Straumann® Emdogain®, Straumann Group, Basel, Schweiz), i) Applikation von Straumann® Emdogain®, j) Applikation von Histoacryl® Gewebekleber (B. Braun, Tuttlingen, Deutschland)
Abb. 5: Die nichtchirurgische Applikation von Straumann® Emdogain® FL wird im Video (Prof. Dr. A. Kašaj) gezeigt. Das vollständige Video ist via QR-Code über ein Smartphone abrufbar.Walter
Abb. 5: Die nichtchirurgische Applikation von Straumann® Emdogain® FL wird im Video (Prof. Dr. A. Kašaj) gezeigt. Das vollständige Video ist via QR-Code über ein Smartphone abrufbar.
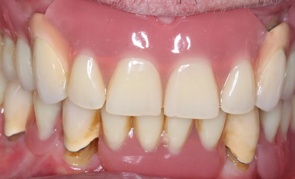
Abb. 6 a–h: Klinische und radiologische Dokumentation 7 Monate nach der AIT und der Applikation von Straumann® Emdogain® an den Zähnen 13 und 23. Die Sondierungstiefen und die parodontal entzündete Wundfläche haben sich im Vergleich zu den initialen Befunden deutlich reduziert. Es lagen keine Sondierungstiefen >5 mm vor. Das bedeutet, es bestand zu diesem Zeitpunkt keine Indikation für ein weiteres ggf. chirurgisches Vorgehen.Walter
Abb. 6 a–h: Klinische und radiologische Dokumentation 7 Monate nach der AIT und der Applikation von Straumann® Emdogain® an den Zähnen 13 und 23. Die Sondierungstiefen und die parodontal entzündete Wundfläche haben sich im Vergleich zu den initialen Befunden deutlich reduziert. Es lagen keine Sondierungstiefen >5 mm vor. Das bedeutet, es bestand zu diesem Zeitpunkt keine Indikation für ein weiteres ggf. chirurgisches Vorgehen.
Abb. 6 a–h: Klinische und radiologische Dokumentation 7 Monate nach der AIT und der Applikation von Straumann® Emdogain® an den Zähnen 13 und 23. Die Sondierungstiefen und die parodontal entzündete Wundfläche haben sich im Vergleich zu den initialen Befunden deutlich reduziert. Es lagen keine Sondierungstiefen >5 mm vor. Das bedeutet, es bestand zu diesem Zeitpunkt keine Indikation für ein weiteres ggf. chirurgisches Vorgehen.Walter
Abb. 6 a–h: Klinische und radiologische Dokumentation 7 Monate nach der AIT und der Applikation von Straumann® Emdogain® an den Zähnen 13 und 23. Die Sondierungstiefen und die parodontal entzündete Wundfläche haben sich im Vergleich zu den initialen Befunden deutlich reduziert. Es lagen keine Sondierungstiefen >5 mm vor. Das bedeutet, es bestand zu diesem Zeitpunkt keine Indikation für ein weiteres ggf. chirurgisches Vorgehen.
Abb. 6 a–h: Klinische und radiologische Dokumentation 7 Monate nach der AIT und der Applikation von Straumann® Emdogain® an den Zähnen 13 und 23. Die Sondierungstiefen und die parodontal entzündete Wundfläche haben sich im Vergleich zu den initialen Befunden deutlich reduziert. Es lagen keine Sondierungstiefen >5 mm vor. Das bedeutet, es bestand zu diesem Zeitpunkt keine Indikation für ein weiteres ggf. chirurgisches Vorgehen.Walter
Abb. 6 a–h: Klinische und radiologische Dokumentation 7 Monate nach der AIT und der Applikation von Straumann® Emdogain® an den Zähnen 13 und 23. Die Sondierungstiefen und die parodontal entzündete Wundfläche haben sich im Vergleich zu den initialen Befunden deutlich reduziert. Es lagen keine Sondierungstiefen >5 mm vor. Das bedeutet, es bestand zu diesem Zeitpunkt keine Indikation für ein weiteres ggf. chirurgisches Vorgehen.
Abb. 6 a–h: Klinische und radiologische Dokumentation 7 Monate nach der AIT und der Applikation von Straumann® Emdogain® an den Zähnen 13 und 23. Die Sondierungstiefen und die parodontal entzündete Wundfläche haben sich im Vergleich zu den initialen Befunden deutlich reduziert. Es lagen keine Sondierungstiefen >5 mm vor. Das bedeutet, es bestand zu diesem Zeitpunkt keine Indikation für ein weiteres ggf. chirurgisches Vorgehen.Walter
Abb. 6 a–h: Klinische und radiologische Dokumentation 7 Monate nach der AIT und der Applikation von Straumann® Emdogain® an den Zähnen 13 und 23. Die Sondierungstiefen und die parodontal entzündete Wundfläche haben sich im Vergleich zu den initialen Befunden deutlich reduziert. Es lagen keine Sondierungstiefen >5 mm vor. Das bedeutet, es bestand zu diesem Zeitpunkt keine Indikation für ein weiteres ggf. chirurgisches Vorgehen.
Abb. 6 a–h: Klinische und radiologische Dokumentation 7 Monate nach der AIT und der Applikation von Straumann® Emdogain® an den Zähnen 13 und 23. Die Sondierungstiefen und die parodontal entzündete Wundfläche haben sich im Vergleich zu den initialen Befunden deutlich reduziert. Es lagen keine Sondierungstiefen >5 mm vor. Das bedeutet, es bestand zu diesem Zeitpunkt keine Indikation für ein weiteres ggf. chirurgisches Vorgehen.Walter
Abb. 6 a–h: Klinische und radiologische Dokumentation 7 Monate nach der AIT und der Applikation von Straumann® Emdogain® an den Zähnen 13 und 23. Die Sondierungstiefen und die parodontal entzündete Wundfläche haben sich im Vergleich zu den initialen Befunden deutlich reduziert. Es lagen keine Sondierungstiefen >5 mm vor. Das bedeutet, es bestand zu diesem Zeitpunkt keine Indikation für ein weiteres ggf. chirurgisches Vorgehen.
Abb. 6 a–h: Klinische und radiologische Dokumentation 7 Monate nach der AIT und der Applikation von Straumann® Emdogain® an den Zähnen 13 und 23. Die Sondierungstiefen und die parodontal entzündete Wundfläche haben sich im Vergleich zu den initialen Befunden deutlich reduziert. Es lagen keine Sondierungstiefen >5 mm vor. Das bedeutet, es bestand zu diesem Zeitpunkt keine Indikation für ein weiteres ggf. chirurgisches Vorgehen.Walter
Abb. 6 a–h: Klinische und radiologische Dokumentation 7 Monate nach der AIT und der Applikation von Straumann® Emdogain® an den Zähnen 13 und 23. Die Sondierungstiefen und die parodontal entzündete Wundfläche haben sich im Vergleich zu den initialen Befunden deutlich reduziert. Es lagen keine Sondierungstiefen >5 mm vor. Das bedeutet, es bestand zu diesem Zeitpunkt keine Indikation für ein weiteres ggf. chirurgisches Vorgehen.
Abb. 6 a–h: Klinische und radiologische Dokumentation 7 Monate nach der AIT und der Applikation von Straumann® Emdogain® an den Zähnen 13 und 23. Die Sondierungstiefen und die parodontal entzündete Wundfläche haben sich im Vergleich zu den initialen Befunden deutlich reduziert. Es lagen keine Sondierungstiefen >5 mm vor. Das bedeutet, es bestand zu diesem Zeitpunkt keine Indikation für ein weiteres ggf. chirurgisches Vorgehen.Walter
Abb. 6 a–h: Klinische und radiologische Dokumentation 7 Monate nach der AIT und der Applikation von Straumann® Emdogain® an den Zähnen 13 und 23. Die Sondierungstiefen und die parodontal entzündete Wundfläche haben sich im Vergleich zu den initialen Befunden deutlich reduziert. Es lagen keine Sondierungstiefen >5 mm vor. Das bedeutet, es bestand zu diesem Zeitpunkt keine Indikation für ein weiteres ggf. chirurgisches Vorgehen.
Abb. 6 a–h: Klinische und radiologische Dokumentation 7 Monate nach der AIT und der Applikation von Straumann® Emdogain® an den Zähnen 13 und 23. Die Sondierungstiefen und die parodontal entzündete Wundfläche haben sich im Vergleich zu den initialen Befunden deutlich reduziert. Es lagen keine Sondierungstiefen >5 mm vor. Das bedeutet, es bestand zu diesem Zeitpunkt keine Indikation für ein weiteres ggf. chirurgisches Vorgehen.Walter
Abb. 6 a–h: Klinische und radiologische Dokumentation 7 Monate nach der AIT und der Applikation von Straumann® Emdogain® an den Zähnen 13 und 23. Die Sondierungstiefen und die parodontal entzündete Wundfläche haben sich im Vergleich zu den initialen Befunden deutlich reduziert. Es lagen keine Sondierungstiefen >5 mm vor. Das bedeutet, es bestand zu diesem Zeitpunkt keine Indikation für ein weiteres ggf. chirurgisches Vorgehen.

Es handelt sich hierbei um einen 63-jährigen männlichen Patienten (geb. 05.09.1961). Allgemeinmedizinisch war eine rheumatoide Erkrankung und die Einnahme von Methotrexat (Folsäureantagonist, Zytostatikum und Immunsuppressivum) dokumentiert. Etwaige orale Nebenwirkungen dieser Medikation lagen nicht vor. Herr B. war Nichtraucher. Der Patient wünschte maximalen Zahnerhalt und wurde daher zur parodontalen Therapie der bereits weit fortgeschrittenen Parodontitis an eine spezialisierte Praxis überwiesen. Zu diesem Zeitpunkt waren im Oberkiefer noch 2 und im Unterkiefer noch 5 Zähne vorhanden.

Der parodontale Screening-Index (PSI) an den verbliebenen Zähnen zeigte erhöhte Zahnlockerungen, stark entzündete und blutende Areale sowie Sondierungstiefen weit über 5 mm hinaus. Es lag dem zufolge ein Code 4* und damit die Notwendigkeit gründlicher Diagnostik vor. Die weiterführenden parodontalen Untersuchungen führten zur Diagnose einer generalisierten Parodontitis Stadium IV Grad C [46]. Die parodontal entzündete Wundfläche betrug 1088,69 mm2 [47]. Radiologisch konnten neben dem generalisierten horizontalen Knochenverlust auch ausgeprägte vertikale Defekte z.B. an den Zähnen 13 und 23 detektiert werden. Darüber hinaus wurde ein Chairside Vitamin-D-Test durchgeführt (Botiss, Straumann Group, Basel, Schweiz). Der Wert betrug 10 ng/ml und bedeutete, dass hier ein schwerer Vitamin-D-Mangel mit entsprechenden Implikationen für den Knochenstoffwechsel vorlag. Dem Patienten wurde eine Vitamin-D-Supplementierung mit zunächst 2000 IE und die Vorstellung bei seinem Hausarzt zu etwaiger weiterer Diagnostik und Festlegung einer optimierten Vitamin-D-Nahrungsergänzung empfohlen [48].

Der Patient wurde über die Krankheitsentstehung, die Prognosen der Einzelzähne und die therapeutischen Optionen aufgeklärt. Es wurde eine systematische parodontale Therapie unter Berücksichtigung der aktuellen EFP/ DGParo-Leitlinien geplant [48]. Der radiologisch sichtbare Knochenverlust an den Zähnen 37 und 47 ging bereits weit über den Apex hinaus. Eine parodontale Therapie erschien daher nicht mehr erfolgversprechend. Die Zähne wurden vor der antiinfektiösen Therapie (AIT) extrahiert und die Alveolen mit adaptierenden Nähten stabilisiert. Im Rahmen der Unterweisungen für eine optimierte häusliche Mundhygiene wurde dem Patienten die Benutzung einer Monobüschelbürste demonstriert und empfohlen. Bei regelmäßiger Anwendung an den vereinzelten, mit Primärteleskopen versorgten Zähnen lassen sich auch diese Zähne in ihrer gesamten Zirkumferenz sehr gut reinigen. Bei den verbliebenen 5 Zähnen war geplant, die zur Verfügung stehenden nichtchirurgischen Möglichkeiten auszuschöpfen. Eine adjuvante Gabe von systemischen Antibiotika war allerdings nicht vorgesehen. Das bedeutete aber, dass im Oberkiefer an den besonders schwer vorgeschädigten Zähnen 13 und 23 neben der subgingivalen Instrumentierung mit Ultraschall und Pulverwasserstrahl (EMS, Nyon, Schweiz) zusätzlich SMP (Straumann® Emdogain®, Basel, Schweiz) appliziert werden sollten [50]. Da beide Zähne einen erhöhten Lockerungsgrad aufwiesen, bestünde die Notwendigkeit einer präoperativen Schienung spätestens vor einer möglichen chirurgischen Stufe-3-Therapie.

Der Punkt, dass beide Zähne demzufolge wohl eher nicht unter optimalen Bedingungen parodontalchirurgisch operiert werden können, hat daher auch zu der Entscheidung einer SMP/EMD-Anwendung in der AIT beigetragen. Die AIT wurde an einem Termin durchgeführt. Nach der Applikation einer Lokalanästhesie wurden alle Zähne zunächst mit Ultraschall und nach Detektion glatter und harter Wurzeloberflächen mit einem erythritolhaltigen Pulverwasserstrahlgemisch mit dem Standard-Handstück behandelt (EMS, Nyon, Schweiz). An den Zähnen 13 und 23 wurden in derselben Sitzung noch zusätzlich SMP – entsprechend einem von Prof. A. Kašaj publiziertem Protokoll (Abb. 5) – appliziert. Zuvor wurde eine Blutstillung unter Verwendung von H2O2 und dem Einbringen von sterilisiertem Superfloss vorgenommen und ein EDTA-Gel zur Konditionierung der Wurzeloberfläche appliziert. Das Aufbringen von Histoacryl® (B. Braun, Tuttlingen, Deutschland) Gewebekleber zum Verschluss der instrumentierten parodontalen „Taschen“ rundete diesen Behandlungszyklus ab. Das detaillierte Vorgehen bei diesem Patienten ist in den Abbildungen 4a–j dargestellt. Da die Zähne nicht geschient werden konnten, wurde der Patient instruiert, auf ein Herausnehmen und Wiedereinsetzen der Prothese sofern möglich in den nächsten Tagen zu verzichten. Nach der AIT wurde die supragingivale Plaquekontrolle an 3 Terminen kontrolliert und die Wundheilung durch professionelle Zahnreinigungen unterstützt.

Die klinische und radiologische Untersuchung nach der AIT und der Applikation von Straumann® Emdogain® an den Zähnen 13 und 23 erfolgte nach 7 Monaten. Die Sondierungstiefen und die parodontal entzündete Wundfläche hatten sich deutlich reduziert (Abb. 6). Es lagen keine Sondierungstiefen >5 mm mehr vor. Auch radiologisch konnten Umbauvorgänge und Kortikalisierungen auf den Einzelbildern im Vergleich zur initialen Panoramaschichtaufnahme festgestellt werden. Somit bestand zu diesem Zeitpunkt keine Indikation für ein weiteres ggf. parodontalchirurgisches Vorgehen.

Diskussion

Zu den möglichen Einsätzen von SMP/EMD in der parodontalen Therapie existiert eine breite wissenschaftliche Datenbasis [15,16]. Ein Ziel dieses Artikels bestand darin, hier noch einmal das Fundament, auf dem wir uns heute bewegen, entsprechend darzustellen. Das Gebiet SMP/EMD in der NCPT galt dabei lange als kontrovers. Zum Thema publizierte systematische Übersichtsarbeiten klinischer Studien sowie die verfügbaren histologischen Untersuchungen lieferten kein einheitliches Bild bzw. sich widersprechende Ergebnisse [28–32,43].

Anzeige

Nach der Publikation dieser Reviews wurden in den letzten Jahren – seit 2023 – allerdings noch einige Arbeiten veröffentlicht [26,41,42]. Demnach besteht heute suffiziente klinische Evidenz für die adjuvante Verwendung von SMP/EMD in der NCPT. Insbesondere hinsichtlich des Einsatzes im Rahmen der Reevaluation nach der AIT/Stufe 2 zeigt sich ein weitgehend konsistentes Evidenzgefüge. Das bedeutet, SMP/EMD können somit „reinen Gewissens“ in der NCPT – bevorzugt bei einwurzeligen Zähnen und im Rahmen der Reevaluation – eingesetzt werden. Konzeptionell folgt nach der Reevaluation der initialen subgingivalen Instrumentierung üblicherweise eine parodontalchirurgische Therapie, idealerweise – sofern klinisch indiziert und wissenschaftlich ausreichend geprüft – mit zusätzlichen die parodontale Regeneration fördernden Maßnahmen [8,10]. Eine der in dieser Übersicht identifizierten Studien verglich die adjuvante Applikation von SMP/EMD bei speziellen parodontalchirurgischen Verfahren (MIST, minimally invasive surgical treatment) mit der Anwendung in der geschlossenen Therapie [36].

Die klinischen Ergebnisse waren vergleichbar. Der wesentliche Unterschied bestand in der aufgewendeten Behandlungszeit, welche beim chirurgischen Vorgehen etwa doppelt so lang war. Der Ansatz, zunächst also noch einmal eine geschlossene Therapie mit zusätzlicher Applikation von SMP zu versuchen, klingt daher vielversprechend und ist wohl auch und vor allem im Sinne der Patientinnen und Patienten. Um optimale Ergebnisse erzielen zu können, scheint allerdings das genaue Protokoll der Applikation von Bedeutung zu sein siehe Abb. 4 und 5 (Video). Die Autoren beschreiben in den hier vorliegenden Studien daher teilweise sehr ausführlich, welche vielfältigen Maßnahmen zur Vermeidung einer Traumatisierung der Gewebe (Mini-Küretten, schmale Ultraschallansätze), der Konditionierung der Wurzeloberfläche (EDTA-Gel) und zur Blutungskontrolle (Spülung, Trocknung, absorbierende Papierspitzen) in den instrumentierten Taschen vorgenommen worden sind [39]. Vor allem letzterer Punkt erscheint im klinischen Alltag herausfordernd. Hinweise aus In-vitro Studien zeigen ein eingeschränktes regeneratives Potenzial von SMP, wenn ein Kontakt mit Blut erfolgt ist [16]. Eine 100%ige Blutungskontrolle in einer infizierten parodontalen Tasche ist wohl eher eine Illusion. Wie oben aber bereits ausgeführt, haben SMP weit mehr physiologische Funktionen als „nur“ die Stimulation zur Regeneration des Zahnhalteapparates. Die vielfältigen Effekte, welche die parodontale Wundheilung zu fördern im Stande sind, sind gut in vitro und auch klinisch bei EMD-Applikation in der NCPT dokumentiert [25, 26]. Es erscheint nicht unwahrscheinlich, dass vor allem derartige biochemische Mechanismen zu den positiven Studienergebnissen wesentlich beigetragen haben.

Kommentare

Keine Kommentare.

Anzeige