Seit mehr als einem Jahrzehnt beschäftigt nun das Phänomen der Molaren-Inzisiven-Hypomineralisation (MIH) die Kinderzahnheilkunde. Am Anfang noch als Zufallsbefund abgetan, hat dieses Krankheitsbild mittlerweile große klinische Relevanz erreicht, denn weltweit wird ein verstärktes Vorkommen verzeichnet. Das gegenwärtige Interesse an diesem Krankheitsbild ist sogar so groß, dass auch die Tagespresse diese Thematik für sich entdeckt hat.
Was bedeutet MIH und wie sieht sie aus?
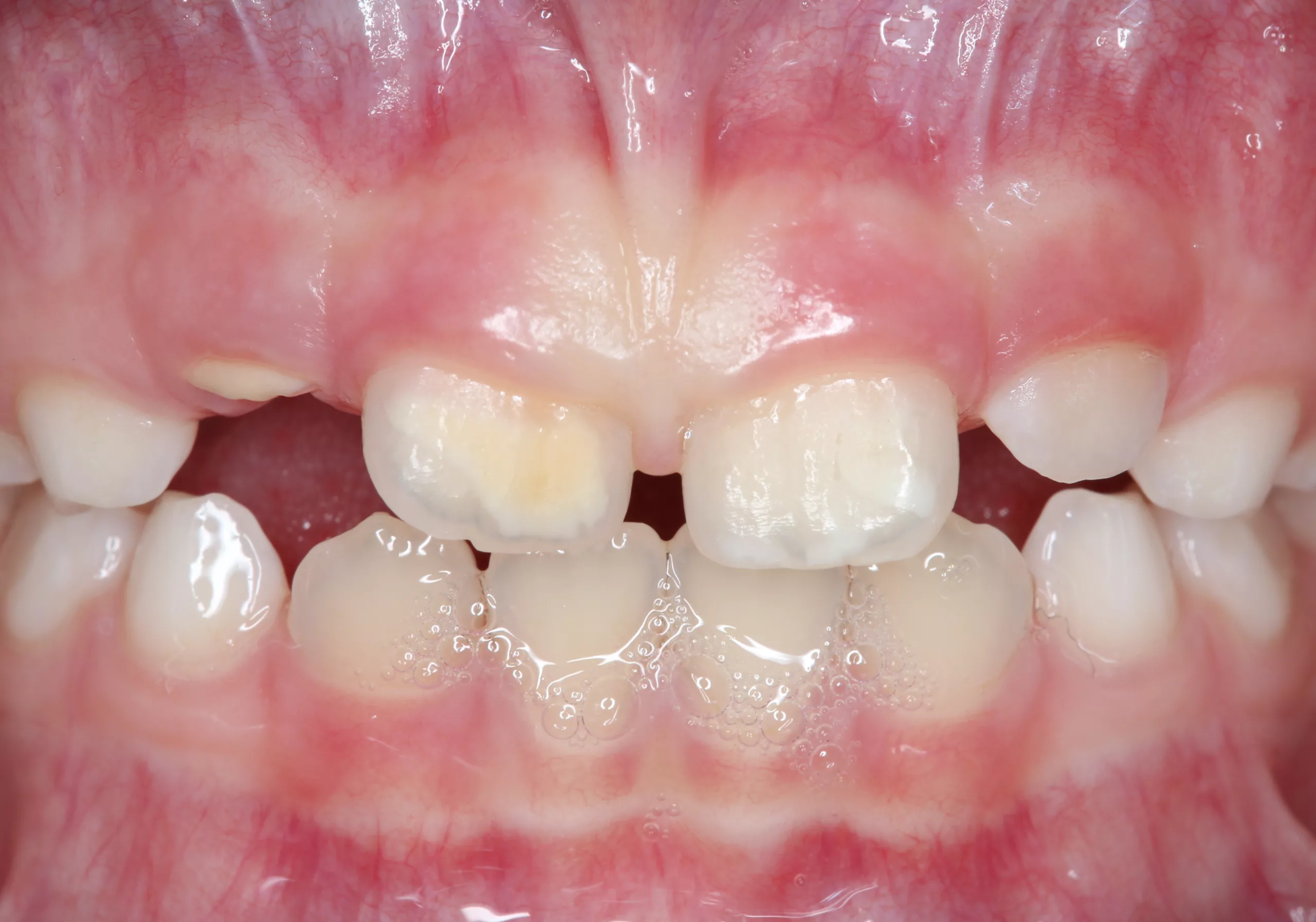
Der Begriff der „Molaren-Inzisiven-Hypomineralisation“ wird seit dem Kongress der European Academy of Paediatric Dentistry (EAPD) [1] im Jahre 2001 verwendet. Dieser beschreibt eine systemisch bedingte Hypomineralisation von ein bis vier bleibenden ersten Molaren mit oder ohne Beteiligung der Inzisiven [2] (Abb. 1 u. 2).


Klinisch imponieren die betroffenen Zähne durch abgegrenzte, weiß-cremige bis gelb-braune Verfärbungen bis hin zu prä- und posteruptiv entstandenen Schmelzdefekten mit zum Teil ausgeprägten Porositäten [2, 3]. Die Molaren sind dabei häufiger und ausgeprägter befallen als die Schneidezähne. Zu ergänzen ist, dass das klassische Bild des Befalls der Molaren und Inzisiven in der Zwischenzeit korrigiert wurde, da vereinzelt als MIH beschriebene Defekte mittlerweile auch an anderen Zähnen der bleibenden Dentition (7er, 5er, 3er) beobachtet worden sind. Des Weiteren finden sich vermehrt auch Hypomineralisationen an den zweiten Milchmolaren und den Milcheckzähnen [4, 5].
Wie häufig tritt MIH auf?
Die MIH wird weltweit beobachtet, wobei die Angaben zur Prävalenz in der Literatur schwanken. Ein aktueller Review beschreibt ein globales Auftreten von ca. 14,2 %. Südamerika und Spanien zeigen dabei die höchsten Werte [6]. In Deutschland leiden im Durchschnitt wahrscheinlich etwa 4 bis 14 von 100 Kindern an MIH [3, 7–9]. In der kürzlich publizierten Fünften Deutschen Mundgesundheitsstudie (DMS V) zeigte sich für das Auftreten von begrenzten Opazitäten bei 12-jährigen Kindern sogar eine Prävalenz von 28,7 % [10].
Was sind die Ursachen?
Die Frage nach den möglichen Ursachen der MIH beschäftigt nicht nur die Eltern der betroffenen Kinder, sondern seit der Erstbeschreibung auch die zahnmedizinische Forschung. Trotz all dieser Bemühungen ist es bis heute nicht gelungen,eine eindeutige Erklärung für das Auftreten der Erkrankung zu finden, sodass die Ätiologie gegenwärtig als nicht geklärt betrachtet werden muss [11, 12].
Prä-, peri- und postnatale Einflüsse (in den ersten Lebensjahren) werden als mögliche Ursachen diskutiert [6, 13]. Dazu zählen: Probleme im letzten Monat der Schwangerschaft, Frühgeburt, häufige Erkrankungen in den ersten 4 Lebensjahren und verlängertes Trinken aus Plastiktrinkflaschen [7, 14, 15]. Weiterhin scheinen Durchfallerkrankungen, Fieberzustände und respiratorische oder bläschenbildende Erkrankungen eventuell eine Rolle zu spielen. Jüngst wurde Bisphenol A als ein ebenfalls möglicher Faktor genannt [16]. Darüber hinaus werden ätiopathogenetisch umwelttoxische Einflüsse in Erwägung gezogen [17]. Eine der größten Schwierigkeiten besteht darin, dass die MIH erst Jahre nach dem Zeitpunkt der Schädigung klinisch sichtbar wird, da erst dann der Durchbruch der betroffenen Zähne einsetzt. So muss die Ursache oft bis zu sechs Jahre zurückliegend gesucht werden, was erhebliche Schwierigkeiten mit sich bringt. Prospektive, randomisierte Studien fehlen derzeit [13].
Wie kann die MIH diagnostiziert werden?
Für die Diagnose der MIH ist der klinische Befund entscheidend. Anamnestische Angaben sind dabei aufgrund der immer noch unklaren Ätiologie nur bedingt hilfreich. Aktuelle klinische Kriterien zur Erfassung der hypomineralisierten Zähne liegen von der EAPD vor [18], die wie folgt festgelegt sind: klar umschriebene Opazitäten, posteruptive Schmelzabbrüche, atypische Restaurationen und Extraktionen sowie atypische Hypersensibilitäten. Differenzialdiagnostisch müssen durch den behandelnden Zahnarzt u. a. folgende Krankheitsbilder in Betracht gezogen werden: erbliche Strukturanomalien (Amelogenesis imperfecta), postnatale Entwicklungsstörungen (Dentalfluorose, Schmelzfehlbildungen durch Tetrazyklingabe) und exogen bedingte Strukturanomalien (Trauma, apikale Entzündungen der Milchzähne [Turner-Zahn], Karies).
Welche Möglichkeiten gibt es, die MIH zu klassifizieren?
Im Alltag zeigen sich die klinischen Manifestationen von MIH in den verschiedensten Bildern und Zuständen. Für eine Einteilung in Schweregrade eignet sich die Klassifikation nach Wetzel und Reckel [19]:
- Grad I: einzelne cremefarbene bis braune Areale an Kauflächen/Höckerspitzen bei erhaltener Zahnmorphologie (Abb. 3)
- Grad II: überwiegend gelb-brauner Zahnschmelz, hypomineralisierte Bereiche über die Okklusalfläche hinaus bei erhöhter Gefahr für Schmelzfrakturen und gesteigerter Empfindlichkeit der betroffenen Zähne
- Grad III: große gelblich-braune Areale im gesamten Zahnbereich mit Defekten in der Kronenmorphologie und starken Schmelzverlusten, gekoppelt mit einer hohen Empfindlichkeit der Zähne (Abb. 4)
Es ist möglich, dass bei einem Patienten alle Molaren und Inzisiven oder auch nur einzelne Zähne betroffen sind. Der Schweregrad der Destruktion kann ebenfalls variieren. Hinzu kommen unterschiedlich stark ausgeprägte Hypersensibilitäten insbesondere auf Kältereize, welche im Alltag zu einer natürlichen Schonhaltung führen können. Im Rahmen der Frühjahrstagung der Deutschen Gesellschaft für Kinderzahnheilkunde (DGKiZ) im Frühjahr 2016 bildete sich eine internationale Arbeitsgruppe mit Vertretern aus dem deutschsprachigen, universitären Raum in Würzburg, die einen neuen MIH Treatment Need Index (MIH-TNI) zur Einteilung der MIH entsprechend der klinischen Leitsymptome „Hypersensibilität“ und „Substanzdefekt“ entwickelte und darauf basierend einen Therapieplan entworfen hat [20, 21]. Insgesamt können vier verschiedene Grade innerhalb der MIH unterschieden werden. Der Index kann auf alle Zähne angewandt werden und ist nicht auf bleibende Zähne oder einzelne Zahngruppen beschränkt:
- Index 1: MIH ohne Hypersensibilität, kein Substanzdefekt
- Index 2: MIH ohne Hypersensibilität, mit Substanzdefekt
- Index 3: MIH mit Hypersensibilität, kein Substanzdefekt
- Index 4: MIH mit Hypersensibilität, mit Substanzdefekt
Mit dem MIH-TNI soll es möglich sein, bei jedem einzelnen betroffenen Patienten für dessen Probleme und sein spezifisches Krankheitsbild einen reproduzierbaren, aussagekräftigen Befund zu erheben.


Wie kann die MIH therapiert werden?
Je nach Schweregrad der Hypomineralisation erstreckt sich die zu favorisierende Therapie von der Intensivprophylaxe bis hin zu restaurativen Maßnahmen oder sogar der Extraktion. Von MIH betroffene Frontzähne stellen meist aufgrund des geringeren Ausprägungsgrades der Hypomineralisation vor allem ein ästhetisches Problem dar [22]. Im Gegensatz dazu führt die MIH im Molarenbereich durch die mastikatorisch-funktionelle Belastung meist zu posteruptiven Schmelzabbrüchen mit konsekutiver Exposition des Dentins (insbesondere im Bereich der Höckerspitzen) [1] und erfordert ein schnelles Eingreifen. Unabhängig vom vorliegenden Schweregrad der MIH sollten alle betroffenen Kinder engmaschig in einem Intensivprophylaxe-Programm betreut werden. Hierzu werden folgende Maßnahmen empfohlen: regelmäßige Zahnreinigungen mit Mundhygieneanleitungen sowie die Applikation von Fluorid-, CHX- und CPP-ACP-Präparaten [18].
Beim Vorliegen einer leichten Form der MIH (kein Schmelzeinbruch) wird neben der Prophylaxe die Sealing-Therapie als Methode der Wahl angesehen. Diese sollte – wie von gesunden, nicht strukturgeschädigten Molaren bekannt – mit einem herkömmlichen Fissurenversiegler erfolgen. Bei noch nicht vollständiger Eruption des Zahnes, aber der Notwendigkeit einer Therapie aufgrund des Vorliegens einer starken Hypersensibilität oder/und eines hohen Kariesrisikos sollte für das Sealing ein niedrigvisköser Glasionomerzement verwendet werden.
Für die Restauration hypomineralisierter Zähne stehen verschiedene Möglichkeiten zur Auswahl, die von verschiedenen Faktoren abhängig sind: dem Alter der Patienten, der Ausdehnung und Qualität (Härte) der Zahnhartsubstanz, dem Schweregrad, dem Ausmaß der Empfindlichkeit und der Lokalisation der betroffenen Zähne. Sie alle nehmen Einfluss auf das zu verwendende Material [22]. Bei leichten bis mittleren Defekten ist Komposit ein gutes Therapiemedium (Abb. 5). Kompositfüllungen zeigen bei adäquater Verarbeitung eine gute Überlebensrate [23]. Die Füllungsränder sollten komplett im gesunden Schmelz liegen, da sonst die Gefahr eines weiteren Zahnsubstanzverlustes besteht [23]. Für die Erstversorgung von Zähnen, bei denen aufgrund des noch unvollständigen Zahndurchbruchs keine absolute Trockenlegung möglich ist, eignen sich Glasionomerzemente, die dann aber langfristig durch definitive Füllungen ausgetauscht werden sollten [24].

Bei größerem Substanzverlust und massiven Hypersensibilitäten kann zum Erhalt betroffener Molaren als Therapieoption die Eingliederung einer konfektionierten Stahlkrone als Langzeitprovisorium gewählt werden [25]. Neuere Therapieansätze propagieren neben der Stahlkrone den Einsatz laborgefertigter Arbeiten aus Komposit [26]. Diese weisen den Vorteil auf, dass defektbezogen versorgt werden kann und es somit zu einem maximalen Schutz der nicht betroffenen Zahnhartsubstanz kommt. Das Material Komposit hat gegenüber der Keramik den Nutzen, dass es in dünneren Schichtstärken verwendet und ebenso ohne Schwierigkeiten in die kieferorthopädische Behandlung einbezogen werden kann. So ist beispielsweise das Befestigen eines Tubes auf Komposit deutlich einfacher durchzuführen als auf Keramik.
Bei starker kariöser Zerstörung des MIH-Zahnes sowie ausgeprägten Substanzverlusten der ganzen Zahnkrone und/oder endodontischen Problemen kann als Therapieoption auch die Extraktion der befallenen Molaren in Betracht gezogen werden. Diese Frage nach der Erhaltungswürdigkeit und Prognose des Zahnes sollte aber in jedem Fall mit einem Kieferorthopäden vor Behandlungsbeginn abgeklärt werden [27, 28]. Eine strukturierte Zusammenfassung des Therapieplans basierend auf dem MIH-TNI wurde vor Kurzem in der Zeitschrift „Oralprophylaxe und Kinderzahnheilkunde“ veröffentlicht [20, 21].
Zusammenfassung
Die Behandlung von MIH in der zahnärztlichen Praxis spielt eine zunehmend große Rolle. Die Ausprägung der Hypomineralisationen der betroffenen Zähne und die daraus resultierende Problematik können stark differieren. Patienten mit einer MIH sollten so früh wie möglich erfasst und umfassend betreut werden, um sie in funktioneller und ästhetischer Hinsicht zufriedenstellend rehabilitieren zu können.
Bildquellen sofern nicht anders deklariert: Unternehmen, Quelle oder Autor/-in des Artikels
Entdecke CME Artikel





Keine Kommentare.