Repräsentative epidemiologische Zahlen zu orofazialen Traumata sind schwierig zu generieren, da sie nicht zentral erfasst sowie uneinheitlich dokumentiert und abgerechnet werden. Bei kleinen Kindern kommt hinzu, dass sie häufig hinfallen und dabei Traumata z.T. auch unbemerkt bleiben. Es ist davon auszugehen, dass beim Laufenlernen fast alle Kinder auf den Mund-Gesichts-Bereich stürzen, mit mehr oder weniger gravierenden Folgen für die Milchzähne. Dies wird aufgrund von Erinnerungsverzerrungen deutlich unterschätzt, wie Untersuchungsergebnisse zeigen, die beispielsweise für 50% der Kinder ein Trauma im Milchgebiss belegen [3].
Prof. Splieth
- dass fast ausschließlich die beiden oberen zentralen Milchschneidezähne betroffen sind (Tab. 1).
- dass mehrheitlich nur ein Schneidezahn ohne Platzhalterfunktion betroffen ist (Tab. 2), was erheblich unter dem Umfang der Gebisszerstörung bei frühkindlicher Karies liegt.
- dass mehrheitlich sehr kleine Kinder im Alter von 2 bis 4 Jahren betroffen sind, also in einem präoperativen Alter, in dem meist keine komplexen Therapien wie Adhäsivtechnik für Aufbauten, Schienungen oder gar Endo möglich sind.
- dass die deutliche Mehrheit der Verletzungen Luxationen inkl. Avulsionen bilden und damit der Zahn teilweise oder vollständig aus der Alveole verlagert ist.
Prof. Splieth
Therapieansätze
Prof. Splieth
Probleme bei der Evidenz
Wissenschaftliche Studien zum Milchgebiss sind erheblich seltener und die Empfehlungen zur Behandlung weisen aus vielen Gründen einen recht niedrigen Evidenzgrad auf. Allein der Altersschwerpunkt von 1 bis 4 Jahren zum Zeitpunkt des Traumas und ggf. multiple, z.T. nicht dokumentierte Traumata beim Laufenlernen und Spielen erschweren die Anamnese zum Unfallhergang und die Diagnostik am Kind. Damit sind Verzerrungen und Fehler bei den Ausgangsbedingungen zu erwarten. Für die Bewertung des Therapieerfolges ist das Schicksal des traumatisierten Milchzahnes deutlich weniger relevant als der unbeschadete Durchbruch des permanenten Folgezahnes. Da dieser aber erst Jahre später erfolgt, sind wiederum Verzerrungen und Fehler bei der Dokumentation und Erinnerung zu erwarten. Prospektive Studien, die dieses Problem verringern würden, stellen in kurzlebigen Wissenschaftszyklen und deren Bewertung kein attraktives Forschungsfeld dar. Damit folgen die Therapieempfehlungen für Milchzahntraumata eher klinischen Erfahrungen und biologischen Konzepten statt harter Evidenz aus systematischen, vergleichenden Studien [14].
Kindesmisshandlung
Bereits seit den 1970er-Jahren ist bekannt, dass Rohheitsdelikte an kleinen Kindern aufgrund der Größenverhältnisse oft deren Kopf- und Gesichtsbereich einschließlich der Zähne treffen [2]. Daher sollte ein Zahnarzt trotz des Stresses beim Milchzahntrauma genügend Aufmerksamkeit besitzen, um Zeichen von Kindesmisshandlung zu erkennen. Es gibt dazu vonseiten der Zahnärztekammern und anderer Organisationen zahlreiche gute Broschüren, Internetseiten und sogar eine Medizinische Kinderschutz-Hotline, die ausführliche Informationen zur Diagnostik und dem anschließenden Verhalten bei Verdacht auf Kindesmisshandlung geben [4]. Wesentlicher Punkt ist die Feststellung, ob die Beschreibung des Unfallherganges zum vorgevorgefundenen Verletzungsmuster passt und die Aussagen der beteiligten Personen übereinstimmen. Multiple Verletzungen in verschiedenen Abheilungsstadien oder untypische Verletzungen an den Streckseiten der Extremitäten aufgrund von Abwehrreaktionen lassen Zweifel aufkommen. Ähnlich wie in den USA verlangen die Berufsordnungen in Deutschland für Zahnärzte oft explizit, dies festzustellen und adäquate Schritte folgen zu lassen [11,13,5,4].
Erstversorgung
Die Erstversorgung von dentoalveolären Traumata passiert meist ohne Terminvereinbarung und ist für den weiteren Heilungsverlauf entscheidend. Da Kind und Eltern gerade ein traumatisches Erlebnis hatten, sollte das zahnärztliche Team Ruhe und Kompetenz ausstrahlen. Dazu muss jeder Zahnarzt mit den Grundlagen der Behandlung vertraut sein und sollte ein aktuelles Buch, eine Trauma-App oder aktuelle Internetseiten zum Nachschlagen nutzen (Abb. 2), da in den vergangenen zwei Dekaden einige altvertraute Lehrmeinungen revidiert werden mussten und für die meisten Situationen aktuelle Empfehlungen zur Behandlung bestehen.
Prof. Splieth
Anamnese
Prof. Splieth
Die Dokumentation von Ort und Ablauf des Unfalls sind forensisch für die Abrechnung äußert bedeutsam, da private und Freizeitunfälle meist von der regulären Krankenversicherung übernommen werden. Unfälle im Kindergarten werden dagegen infolge der Übertragung der Aufsichtspflicht von der Gemeindeunfallversicherung und äquivalenten Körperschaften getragen, die meist großzügiger in der Langzeitversorgung verfahren. Im Interesse der Patienten und aufgrund der Natur von Milchzahntraumata bezüglich des permanenten Zahnkeimes sollte der Versicherung und den Eltern kommuniziert werden, dass ein Ende der Behandlung nicht abschätzbar ist und mögliche Spätfolgen resultieren können.
Diagnostik
Die Traumadiagnostik folgt den üblichen Prinzipien der klinischen Inspektion von extra- nach intraoral. Wichtig ist, der Perkussions- und Vitalitätskontrolle eher skeptisch gegenüberzustehen, da Kinder häufig keine validen Auskünfte kommunizieren können.
Prof. Splieth
Prof. Splieth
Therapiekonzepte
Wie bereits am Beginn dieses Beitrages vermerkt, dominieren bei den Traumata im Milchgebiss Luxationen einschließlich der Avulsionen und Intrusionen sowie Subluxationen, während Kronen- und Wurzelfrakturen seltener vorkommen. Das daraus folgende Therapiekonzept aus „Ex oder nix“ umfasst entweder die Extraktion von stark verlagerten oder geschädigten Milchfrontzähnen oder die abwartende Haltung bei leichten Verletzungen. Die Kooperationsfähigkeit des Kindes und der Keim des permanenten Zahnes sind außerordentlich wichtige Parameter bei der Behandlung.
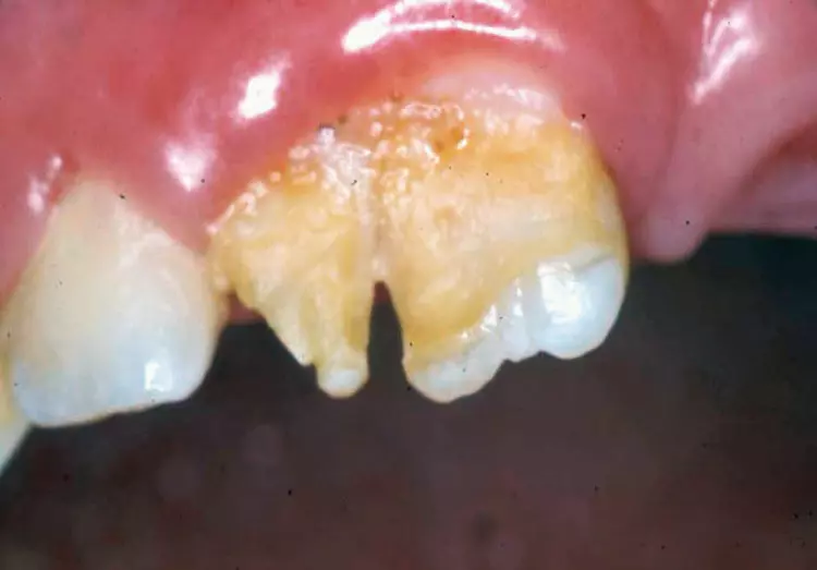
Die Kinder schonen die traumatisierte Region ohnehin reflektorisch, sodass die Empfehlung für weiche Kost und ein adäquates Recall bei leichten Verletzungen für alle Beteiligten eine gute Lösung darstellen. Ein Großteil der Luxationen heilt komplikationslos ab [6,18]. Bei schweren Schädigungen, einer deutlichen Infektion oder einem entsprechenden Risiko stellt die notwendige Zahnentfernung für alle Beteiligten eine deutliche Herausforderung dar, die mit den Eltern intensiv kommuniziert werden muss. Bei den selteneren koronalen Frakturen sind die üblichen Strategien der Pulpatherapie und des adhäsiven Verschlusses theoretisch möglich, allerdings lassen die kleinen Kinder nach einem Trauma oft nur eine Abdeckung mit einem Glasionomerzement (GIZ) zu. Lichthärtende Produkte erlauben hier eine schnelle, kontrollierte Applikation.
Avulsion, Luxation und Intrusion
Bezüglich der Replantation von avulsierten Milchfrontzähnen existiert eine durchaus kontroverse Diskussion in der Literatur [9,19,10]. Aus kinderzahnärztlicher Sicht bereitet die Replantation eines avulsierten Milchfrontzahnes eher Probleme bei sehr geringem Gewinn, auch wenn die Eltern dies natürlich primär wünschen. Die Möglichkeit der Milchzahnreplantation hat allerdings bei Verlust eines permanenten Frontzahnes über die Autotransplantation eines oberen Milcheckzahnes eine neue und zuverlässige Therapieoption eröffnet: Bei ausreichender Kooperation des Kindes erfolgt eine extraorale Resektion des Apex und eine retrograde Füllung des Milchzahnes mit Kalziumhydroxid oder besser sogar Jodoform/Kalziumhydroxid (z.B. Vitapex®) sowie die nachfolgende Replantation und Schienung. Eine apikale Periodontitis ist auf alle Fälle zu vermeiden, da hier das Risiko einer Zahnkeimschädigung besteht.
Auch bei deutlichen lateralen Luxationen, insbesondere in Kombination mit Fraktur der Alveole, Gingivaverletzungen, Lockerung oder abwehrendem Verhalten sollte die Extraktion vorgezogen werden [14]. Minimale Luxationen tragen ein geringeres Risiko der Nekrose, vor allem bei einem offenen Apex bei kleinen Kindern, was aber eine Repositionierung oder Schienung schwierig bis unmöglich macht. Wenn die Repositionierung bei einem frischen Trauma nicht durch einfache Manipulation möglich ist und kein Okklusionshindernis besteht, empfiehlt sich hier eine abwartende Haltung und Recall, bei Problemen ggf. eine nachfolgende Extraktion.
Prof. Splieth
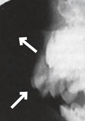
Wie bei der bleibenden Dentition stellen die Intrusionen ein besonderes Problem dar: Bei 4 bis 22% der Traumata im Milchgebiss bei sehr kleinen Kindern im Alter von 1 bis 3 Jahren [15] resultiert eine relevante Schädigung des Zahnkeimes und damit nachfolgenden Zahnes [16] wie Schmelzhypoplasien, Kronenverlagerungen, odontomähnliche Verformungen, Kronen-/Wurzelabknickung, Einstellung der Wurzelbildung, Infektion des Zahnkeimes und Schmelzschädigung sowie Durchbruchsstörungen beim bleibenden Zahn (Abb. 6a u. b).
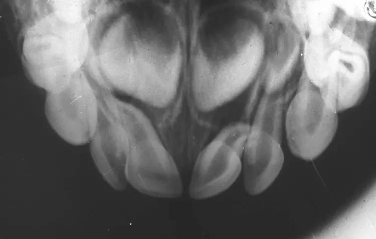
Prinzipiell steht bei der Intrusion die abwartende Therapie mit der Möglichkeit einer spontanen Reeruption innerhalb weniger Wochen der zügigen Entfernung gegenüber, die den Druck auf den bleibenden Zahn sofort mindert, aber oft nicht ohne Narkose erfolgen kann. Randomisierte und damit hochwertige Vergleichsstudien existieren nicht und somit kann nur anhand von biologischer Plausibilität geraten werden, bei unkomplizierten Fällen primär der Reeruption eine Chance zu geben. Die Empfehlung, intrudierte Milchzähne reeruptieren zu lassen, basiert auf der bukkalen Position der Intrusion zum Zahnkeim (siehe Abb. 5).
Prof. Splieth
Bildquellen sofern nicht anders deklariert: Unternehmen, Quelle oder Autor/-in des Artikels
Entdecke CME Artikel




Keine Kommentare.