Lithium-Disilikat ist eine sehr beliebte Glaskeramik, die für ihr besonders ausgewogenes Verhältnis von Stabilität und Ästhetik bekannt ist. GC hat den ersten vollständig kristallisierten CAD/CAM-Block aus Lithium-Disilikat unter dem Namen InitialTM LiSi Block (GC) auf den Markt gebracht. An einem Fallbeispiel wird der Workflow von Zahnarzt und Zahntechniker step-by-step aufgezeigt.
Bilder: Dr. Lampson / HannkerIm vorliegenden Fall stellte sich eine Patientin zur Behandlung vor (Abb. 1). An Position des fehlenden Zahnes 47 wurde ein Implantat auf Knochenniveau gesetzt. Darüber hinaus galt es, die insuffizienten Kronen auf den Zähnen 45 und 46 zu erneuern.
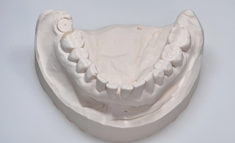
Nach der Alginat-Abformung folgte die Modellerstellung der Ausgangssituation (Abb.2). Mithilfe des Unterkiefermodells wurde ein individueller Abformlöffel mit einer Perforation im Bereich 47 für die spätere Implantat- und Pfeilerabformung angefertigt sowie eine Abformung mit EXACLEAR (GC) (Abb. 3) für die provisorische Versorgung der Zähne 45 und 46 – letzteres mittels handelsüblichem partiellen Abformlöffel.
Bilder: Dr. Lampson / HannkerAbb. 2a: Gipsmodelle. Bei Zahn 46 wurde Wachs hinzugefügt, um die Form im distalen Bereich zu verbessern.
Bilder: Dr. Lampson / Hannker
Bilder: Dr. Lampson / Hannker
Bilder: Dr. Lampson / Hannker
Bilder: Dr. Lampson / HannkerVor Beginn der Behandlung stand die Farbtonbestimmung (Abb. 4). Alte Kronen sowie Karies wurden entfernt, um anschließend mit Gænial® Universal Injectable (GC) den Stumpf aufzubauen und mit einer Hohlkehle zu präparieren (Abb. 5). Zur exakten Übertragung der Implantatposition an Position 47 erfolgte die Abformung mittels Pick-up-Technik.
Bilder: Dr. Lampson / Hannker
Bilder: Dr. Lampson / HannkerHierzu wurde der Gingivaformer entfernt und ein Abformpfosten auf Implantatniveau inseriert. Retraktionsfäden an den Pfeilerzähnen 45 und 46 dienten dazu, die Präparationsgrenze aufzuzeigen (Abb. 6). Anschließend kam ein Guttapercha-Druckverband zum Einsatz, um die marginale Gingiva zusätzlich zu verdrängen (Abb. 7).
Bilder: Dr. Lampson / Hannker
Bilder: Dr. Lampson / Hannker
Bilder: Dr. Lampson / HannkerAbb. 8: Einschritt-Doppelmischabformung, kombiniert mit Pick-up des Implantats.
Dieser wurde erst unmittelbar vor der Applikation des Abformmaterials entfernt. Für die Abformung an sich, fiel die Wahl auf eine einseitige Doppelmischtechnik (Abb. 8). Im nächsten Schritt wurde mit einem dualhärtenden Composite für provisorische Kronen und Brücken (TEMPSMARTTM DC, GC) die vorläufige Versorgung an den Zähnen 45 und 46 angefertigt (Abb. 9 und 10a bis c) und mit FREEGENOL (GC) befestigt.
Bilder: Dr. Lampson / Hannker
Bilder: Dr. Lampson / Hannker
Bilder: Dr. Lampson / Hannker
Bilder: Dr. Lampson / Hannker
Bilder: Dr. Lampson / Hannker
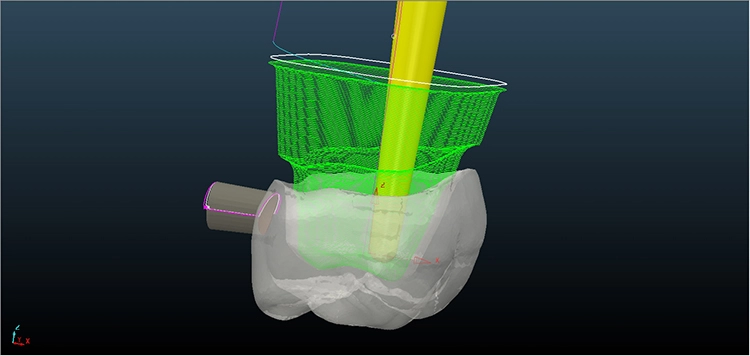
Bilder: Dr. Lampson / HannkerNach dem Ausgießen der Abformung sowie dem Scan des Gips- und Antagonistenmodells (Abb. 11a bis d) folgten das Kronendesign und die Fräsparametereinstellung per CAD/CAM-Programm (PowerMill Pro, Autodesk) (Abb. 12). Hergestellt wurden die Kronen aus Lithium-Disilikat-CAD/CAM-Blöcken (InitialTM LiSi Block, Farbe A2) (Abb. 13), die sich insbesondere durch eine hohe Opaleszenz bei hochtransluzenten (HT) Farbtönen auszeichnen und so auch ohne weitere Charakterisierung hochästhetische Ergebnisse erzielen.
Bilder: Dr. Lampson / Hannker
Bilder: Dr. Lampson / Hannker
Bilder: Dr. Lampson / Hannker
Bilder: Dr. Lampson / Hannker
Bilder: Dr. Lampson / Hannker
Bilder: Dr. Lampson / Hannker
Bilder: Dr. Lampson / Hannker
Bilder: Dr. Lampson / Hannker
Bilder: Dr. Lampson / Hannker
Bilder: Dr. Lampson / Hannker
Bilder: Dr. Lampson / Hannker
Bilder: Dr. Lampson / HannkerNach 35-minütigem Schleifen (Exocad PowerMill CAM, DMG) wurde die Restauration aus dem Block entfernt und der Bereich der Anstiftung geglättet. Anschließend galt es, die Kronen auf den jeweiligen Formen und am Modell zu prüfen, wobei sich bereits eine perfekte Randpassung zeigte (Abb. 14 und 15). Danach erfolgte die Glaslötung der Implantatkrone auf das individuell angepasste Zirkonoxid-Abutment (Abb. 16).
Bilder: Dr. Lampson / Hannker
Bilder: Dr. Lampson / Hannker
Bilder: Dr. Lampson / Hannker
Bilder: Dr. Lampson / Hannker
Bilder: Dr. Lampson / Hannker
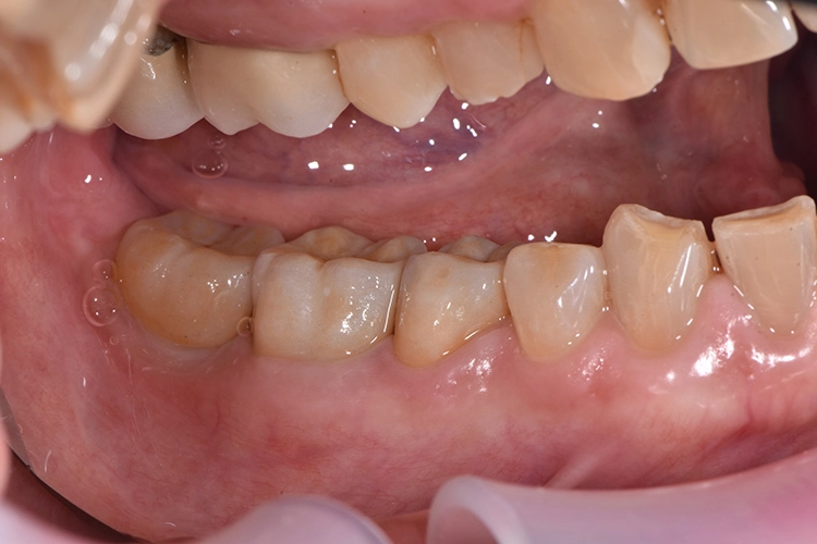
Bilder: Dr. Lampson / HannkerUm die monolithischen Restaurationen zu charakterisieren und zu glasieren, kam GC InitialTM Lustre Pastes NF zur Verwendung (Abb. 17). Nachdem die provisorischen Versorgungen entfernt waren, zeigte sich ein guter Gingiva-Zustand (Abb. 18).
Bilder: Dr. Lampson / Hannker
Bilder: Dr. Lampson / Hannker
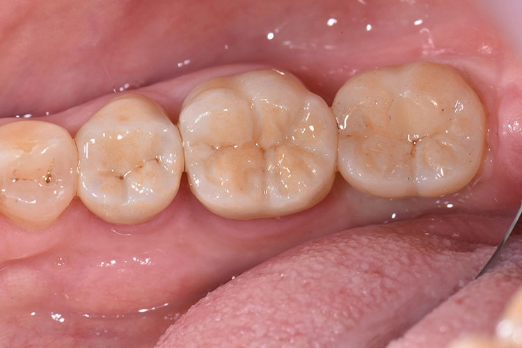
Bilder: Dr. Lampson / HannkerDie Kronen für die Zähne 45 und 46 wurden mit einem selbstadhäsiven Befestigungs-Composite (G-CEM LinkAce; GC*) auf den Pfeilerzähnen angebracht, die Krone für Zahn 47 auf das Implantat geschraubt (35 Ncm) und der Zugang im unteren Bereich mit Teflon, im oberen mit Composite gefüllt (Abb. 19). Nach Überprüfung der Okklusion wurde der Patientin das Endergebnis präsentiert.
Bilder: Dr. Lampson / Hannker
Bilder: Dr. Lampson / HannkerFazit
Die CAD/CAM-Restaurationen aus Lithium-Disilikat fügten sich nahtlos in die natürliche Zahnreihe ein und wiesen perfekte, passgenaue Ränder auf. Die Patientin war mit dem natürlichen Behandlungsergebnis sehr zufrieden. Auch bei der Kontrolluntersuchung nach 2 Jahren, berichtete die Patientin nicht Negatives und befand die Kronen in Bezug auf Ästhetik und Funktion weiterhin als gelungen.
Näheres zu den Autoren des Fachbeitrages: Dr. Christian Lampson, ZTM Christian Hannker
Bildquellen sofern nicht anders deklariert: Unternehmen, Quelle oder Autor/-in des Artikels
Entdecke CME Artikel






Keine Kommentare.