In jüngster Zeit gelang es einem bisher unbekannten Krankheitsbild mit rasant steigendem Vorkommen, den medialen Fokus auf sich zu ziehen. Im Volksmund bekannt unter dem Terminus „Kreidezähne“ und im Fachjargon Molaren-Inzisiven-Hypomineralisation (MIH) genannt, wirbelt diese systemisch bedingte Strukturanomalie viele Fragen in der Kinderzahnheilkunde auf. Bei den betroffenen Zähnen handelt es sich vornehmlich um die ersten bleibenden Molaren und optional um die Inzisiven [1].
Die erkrankten Zähne fallen durch eine Fehlstrukturierung des Schmelzes in Form einer Mindermineralisierung auf, die klinisch durch umschriebene Opazitäten zu erkennen ist. Je nach vorliegendem Schweregrad kann es durch den Einfluss von Kaukräften bereits bald nach dem Durchbruch der Zähne zu einem Verlust des mindermineralisierten Schmelzes in Form von posteruptiven Schmelzeinbrüchen kommen. Weiterhin sind Temperatur- und Berührungsempfindlichkeiten MIH-betroffener Zähne möglich, die die Lebensqualität der Patienten beeinträchtigen können.
Prävalenz und Ätiologie: häufiges Vorkommen, unklare Ursache
Die MIH ist eine weltweit vorkommende Erkrankung, deren Prävalenzspektrum breit ist und länderspezifisch variiert [2]. In jüngster Zeit ist die Häufigkeit weltweit gestiegen. Derzeit wird von einer durchschnittlichen Prävalenz von 13 bis 14% ausgegangen.
Bekes/BoukhobzaDie aktuelle Datenlage für Deutschland zeichnet ein düsteres Bild: Knapp 30% der 12-Jährigen sind nach Erhebung der Fünften Deutschen Mundgesundheitsstudie betroffen (Abb. 1) [3]. Das bedeutet, dass bei mehr als einem Viertel der untersuchten Kinder mindestens ein Zahn eine MIH zeigt.
Bei solchen Zahlen verwundert es, dass das Krankheitsbild nicht eine wesentlich prominentere Rolle in der öffentlichen Wahrnehmung einnimmt. Zumal die Erkrankung teilweise mehr Fragen aufwirft, als die Wissenschaft momentan beantworten kann.
Ein Aspekt, der die Forschung besonders beschäftigt, ist die bisher ungeklärte Ätiologie dieser systemisch bedingten Erkrankung. In mehreren Forschungsgruppen, die sich dieser Thematik widmen, wird zurzeit ein multifaktorielles Geschehen als wahrscheinlichste Ursache diskutiert [4]. Relativ sicher scheint, dass die Störung der Zahnentwicklung in den ersten Lebensjahren stattfindet.
In den Fokus geraten sind Antibiotikagaben in diesem Zeitraum, Infektionskrankheiten und Probleme während der Schwangerschaft [5]. Trotz der bisher erzielten Fortschritte in der Ursachenforschung lässt sich die Bildung der MIH aufgrund der noch unklaren Kausalbeziehungen bisher nicht bewusst vermeiden. Bis dahin gilt es, die Patienten frühzeitig zu erkennen und bestmöglich zu therapieren, damit es nicht zu einer andauernden Beeinträchtigung kommt.
Therapieansätze nach Schweregrad der MIH
Je nach Schweregrad der Hypomineralisation sind unterschiedliche Therapieansätze zu favorisieren: von der Intensivprophylaxe über restaurative Maßnahmen bis hin zur Extraktion [6]. Unabhängig vom vorliegenden Schweregrad der MIH sollten alle betroffenen Kinder engmaschig in einem Intensivprophylaxe-Programm betreut werden.
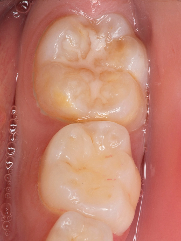
Fissurenversiegelung
Bekes/BoukhobzaAbb. 2: Fissurenversiegelung an Zahn 36 mit umschriebenen Opazitäten.
Fissurenversiegelungen können bei MIH-Molaren generell dann durchgeführt werden, wenn diese keine posteruptiven Schmelzeinbrüche im okklusalen Bereich aufweisen und nicht kariös kavitiert sind [7] (Abb. 2). Es empfiehlt sich, vor der Applikation des Versiegelungsmaterials ein Adhäsiv anzuwenden, um den Verbund zum porösen, mindermineralisierten Schmelz zu verbessern [8–10]. Sollte der Zahn noch nicht vollständig eruptiert sein, kann auch ein niedrigvisköser Glasionomerzement zum Einsatz kommen.
Eine kürzlich publizierte Multicenter-Studie zeigt, dass durch eine Versiegelung auch Hypersensibilitäten effektiv therapiert werden können. Bekes et al. untersuchten die Behandlung hypersensibler MIH-Molaren mittels zwei verschiedener Sealing-Methoden im Split-Mouth-Design [11]; ein Kunststoffversiegler und ein Glasionomerzement kamen zur Anwendung. Bereits direkt nach der Anwendung und über den Verlauf von 12 Wochen hinweg konnte die zuvor existente Hypersensibilität bei den betroffenen MIH-Molaren signifikant verringert bzw. komplett gestoppt werden.
Restaurative Therapie
Verglichen mit der Füllungstherapie an gesunden Zähnen hält die Behandlung von MIH-Molaren besondere Herausforderungen für den Behandler bereit. Zunächst gilt es, in der konservierenden Behandlung hypomineralisierter Zähne einige patientenspezifische Faktoren zu berücksichtigen, die Einfluss auf die korrekte Wahl der Materialien und die generelle Herangehensweise nehmen. Hierzu zählen das Alter des Patienten, der Schweregrad und die Ausdehnung des Zahnhartsubstanzverlustes sowie das Ausmaß der Hypersensibilität der betroffenen Zähne [12].
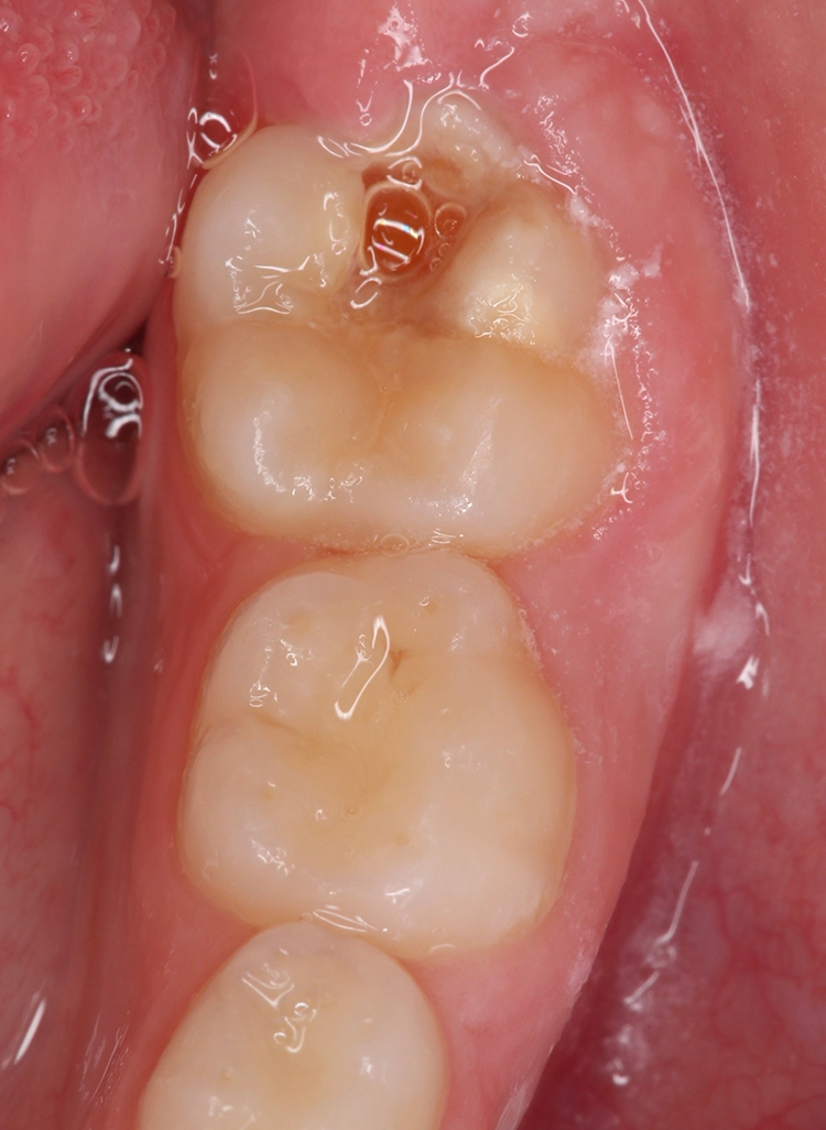
Die durch die Mindermineralisation bedingten Schmelzverluste sind meist ausgedehnt, sodass man eher selten auf approximale oder im Okklusalbereich begrenzte Kavitäten trifft, wie dies bei klassischen kariesbedingten Kavitäten oftmals der Fall ist. Bei ausgeprägten posteruptiven Abplatzungen kann es manchmal sogar zum Verlust ganzer Höckeranteile kommen (Abb. 3).
Bekes/BoukhobzaAbb. 3: MIH an Zahn 46. Typische Absplitterung des hypomineralisierten tragenden Höckers aufgrund der Kaubelastung.
Glasionomerzement
Bekes/BoukhobzaAbb. 4: Abdeckung eines MIH-Molaren mit einem Glasionomerzement.
Glasionomerzemente sind ideal zur initialen und provisorischen Abdeckung von durchbrechenden Zähnen und zur Vermeidung eines weiteren Zahnhartsubstanzverlustes (Abb. 4). Die einfache Handhabung, aufgrund des Wegfalls von Konditionierungsschritten, erleichtert die Anwendung besonders bei eingeschränkter Kooperation des Patienten. Aufgrund der niedrigen Biegefestigkeit und minimalen Abrasionsstabilität eignet sich dieses Material jedoch nicht als definitives Restaurationsmaterial von MIH-Molaren, da gerade bei großflächigen, höckerersetzenden Bereichen keine adäquate Stabilität gewährleistet wäre.
Seit Einführung der ersten Glasionomerzemente in den 1970er-Jahren wird eine vorteilhafte Fluoridfreisetzung durch dieses Material behauptet. Die aktuelle Datenlage zeigt jedoch, dass die Abgabe von Fluoridionen klinisch eine eher untergeordnete Rolle spielt, da diese Wirkung bereits nach einigen Tagen auf ein vernachlässigbares Niveau sinkt [13].
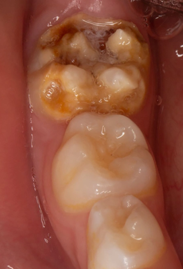
Komposit
Bekes/BoukhobzaAbb. 5a–c: Posteruptiver Schmelzverlust und Kavitation an dem unteren bleibenden MIH-Molaren und anschließende
Füllungstherapie mit einem Komposit.
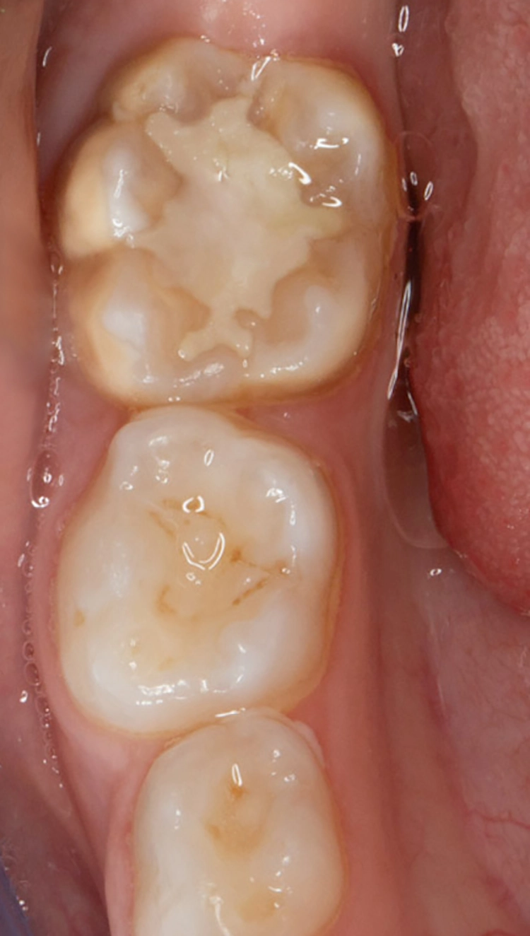
Aufgrund seiner Eigenschaften ist Komposit das geeignetste und zu favorisierende direkte Restaurationsmaterial bei MIH-Zähnen [14]. Es bedarf keiner retentiven Präparation, sodass die Füllung gezielt defektorientiert gelegt und der umliegende gesunde Schmelz geschont werden kann (Abb. 5a–c). In einigen Studien konnte gezeigt werden, dass Self-Etch-Adhäsive signifikant bessere Haftwerte an MIH-Zähnen ergeben als Total-Etch-Systeme und somit mindestens gleichwertig, wenn nicht überlegen sind.
Bekes/Boukhobza
Bekes/BoukhobzaHieraus folgend kann laut dieser Studien der Konditionierungsschritt übersprungen werden [15,16]. Trotzdem liegt die Schmelzhaftung aller Dentinadhäsive an hypomineralisiertem Schmelz weiterhin unter der weitaus höheren Schmelzhaftung an gesunden Zähnen. Eine weitere Schwierigkeit in der restaurativen Versorgung von hypomineralisierten Zähnen bereitet die Bestimmung und Einschätzung der genauen Ausdehnung der geplanten Restauration.
Der Füllungsrand sollte unter idealen Verhältnissen in gesundem Schmelz enden, um weitere Schmelzeinbrüche oder einen Füllungsverlust zu vermeiden, da der adhäsive Verbund zu hypomineralisiertem Schmelz verringert ist [15]. Dies ist klinisch jedoch nicht immer praktikabel.
So kann es bei lediglich kleinem Schmelzeinbruch und einer sich über mehrere Flächen erstreckenden Opazität im Sinne eines minimalinvasiven Vorgehens nicht erstrebenswert sein, diese Verfärbung im jungen Alter des Patienten komplett zu entfernen und so eine einflächige Kavität in eine mehrflächige zu verwandeln. In dieser Situation müssen die Eltern des Patienten aufgeklärt werden, dass eine Füllungsreparatur eventuell erforderlich werden kann.
Indirekte Restaurationen: konfektioniert oder laborgefertigt Mehrflächige Kavitäten können, wenn das Indikationsspektrum einer direkten Versorgung überschritten ist, mit indirekten Restaurationen therapiert werden [17]. Grundsätzlich ist es möglich, mehrflächige und okklusionstragende Füllungen zu legen, jedoch ist mit der Zeit mit einem partiellen oder gar vollständigen Verlust der Versorgung zu rechnen. Für diese Situation gibt es zwei Möglichkeiten: die konfektionierte Stahlkrone oder die definitive, indirekte Restauration in Form eines Onlays, Overlays oder einer (Teil-)Krone.
Die konfektionierte Stahlkrone erfüllt ihre Aufgabe als Langzeitprovisorium. Sie kann bei massivem Substanzverlust und Hypersensibilitäten bei jungen Kindern kurz nach Zahndurchbruch eingesetzt werden (Abb. 6a und b) – zum Erhalt des Zahnes, bis eine definitive indirekte Versorgung möglich ist, oder um den Zahn bis zum optimalen Extraktionszeitpunkt zu erhalten. Die Durchführung ist wenig techniksensitiv, die Stahlkrone kann weitere Schmelzverluste verhindern und schützt die verbleibenden Anteile der Zahnkrone.
Bekes/Boukhobza
Bekes/BoukhobzaZu beachten ist hierbei, dass eine Tangentialpräparation erforderlich ist, welche die Zukunftsperspektive des Zahnes hinsichtlich einer weiteren Versorgung stark einschränkt. Aufgrund der entstehenden subgingivalen Präparationsränder ist eine spätere definitive Versorgung, welche adhäsiv befestigt werden muss, nur bedingt möglich [18].
Bei etwas älteren Kindern kann eine indirekte, laborgefertigte Restauration alternativ in Betracht gezogen werden [17]. Darin ist nach derzeitigem Erkenntnisstand eine langlebige Therapievariante mit guter Langzeitprognose zu sehen [19]. Es ist hervorzuheben, dass diese Form der Therapie mit einem erheblichen klinischen und labortechnischen Aufwand einhergeht, sodass eine gute Kooperationsfähigkeit des Kindes gegeben sein sollte.
Als Material bietet sich eine kompositverstärkte Keramik an. Diese erlaubt nicht nur eine hartsubstanzschonende Präparation in Abhängigkeit vom Verlauf der Hypomineralisation, sondern auch eine geringere Schichtstärke im Vergleich zur vollkeramischen Versorgung. Auch im Hinblick auf eine künftige kieferorthopädische Behandlung ist diese Versorgung vorteilhaft; der versorgte Zahn kann in die KFO-Therapie miteinbezogen werden – festsitzende kieferorthopädische Apparaturen können an der Keramik problemlos befestigt werden.
Extraktion
Ist die Erhaltungswürdigkeit und Langzeitprognose des hypomineralisierten Zahnes nach Prüfung aller verfügbaren konservierenden Möglichkeiten unsicher, kann eine Extraktion in Erwägung gezogen werden [7]. Diese Möglichkeit kommt infrage, wenn der Zahn von hochgradigen posteruptiven Schmelzabbrüchen betroffen ist, stark kariös zerstört ist oder pathologische periapikale Prozesse im Gange sind.
Eine kieferorthopädische Einordnung des nachfolgenden Molaren ist unter Umständen möglich. Hier ist jedoch eine gute interdisziplinäre Zusammenarbeit zwischen behandelndem Zahnarzt und Kieferorthopäden gefragt, da nur gemeinsam ein optimaler Therapieplan für den Patienten erstellt werden kann.
Fazit
Die Molaren-Inzisiven-Hypomineralisation nimmt eine besondere Position in der Kinderzahnmedizin ein. Anders als bei Krankheiten wie frühkindlicher Karies, bei denen Klarheit und weitestgehend Einigkeit zur Ätiologie und den Behandlungsmethoden herrscht, befindet sich der wissenschaftliche Prozess zur MIH noch immer im Fluss. Nichtsdestotrotz haben sich jüngst erste Antworten auf die ätiologische Frage herauskristallisiert und Behandlungsmethoden bewährt.
Die richtige und vor allem frühe Diagnostik mit anschließender, individualisierter Therapie sind die wichtigsten Faktoren, die den weiteren Verlauf entscheidend mitbestimmen. Wird die MIH früh erkannt, ist nicht nur das Therapiespektrum noch weiter gefächert, sondern die Schmerzerfahrung und die psychologischen Folgen für die kleinen Patienten bleiben auch geringer. Nach erfolgter Sanierung ist es essenziell für den weiteren Therapieerfolg, die Patienten in ein Recall-Programm aufzunehmen, um in engmaschigen Abständen den Zustand zu evaluieren und bei Bedarf rechtzeitig zu intervenieren.
Weitere Informationen
An diesen Beitrag ist eine CME-Fortbildung angekoppelt. Den Fragebogen finden Sie auf www.zmk-aktuell.de/cme.
Näheres zu den Autoren des Fachbeitrages: Univ.-Prof. Dr. Katrin Bekes, Sarra Boukhobza
Bildquellen sofern nicht anders deklariert: Unternehmen, Quelle oder Autor/-in des Artikels
Entdecke CME Artikel






Keine Kommentare.