In der modernen Zahnmedizin wird eine Vielzahl von Dentalmaterialien zur Wiederherstellung verlorengegangener Zahnhartsubstanz oder zum Ersatz von Zähnen verwendet. Diese Dentalmaterialien sind meist dazu bestimmt, mehrere Jahre oder sogar Jahrzehnte in der Mundhöhle zu verbleiben. Als unvermeidliche Folge davon sind Unverträglichkeiten gegenüber diesen Werkstoffen beschrieben worden [1-8]. Die Prävalenz solcher Unverträglichkeiten gegenüber Dentalwerkstoffen ist jedoch recht gering [1–3,9,10].
In einer Reihe von Studien bezifferten Jacobsen und Hensten-Petterson die Häufigkeit unerwünschter Wirkungen von Dentalwerkstoffen auf 1:300 bei prothetischen Patienten [3], 1% bei kieferorthopädischen Patienten [1] und etwa einen Fall pro Jahr bei Parodontologen [2], wobei in diesen Studien auch unerwünschte Wirkungen von Mundspüllösungen oder Latexhandschuhen einbezogen wurden. Kallus und Mjör berichteten über 46 Fälle von Unverträglichkeiten gegenüber Dentalmaterialien bei 13.325 Patienten (0,35%) [10].
Basierend auf einer früheren Studie über Patienten mit Verdacht auf Unverträglichkeiten gegenüber Dentallegierungen (außer Amalgamen), die von 1995 bis 1997 durchgeführt wurde [7], wurde 1998 in der Poliklinik für Zahnerhaltung und Parodontologie des Universitätsklinikums Regensburg eine Spezialsprechstunde für Patienten eingerichtet, die Unverträglichkeiten gegenüber Dentalmaterialien berichteten [8]. Bis Mitte 2019 wurden 625 Patienten von einer einzigen erfahrenen Zahnärztin (Dr. Pauline Mittermüller, geb. Garhammer) untersucht und diagnostiziert.
Die Daten zu Häufigkeiten, subjektiven Beschwerden, objektiven intraoralen Symptomen und Allergien der ersten 500 Patienten aus dieser Patientenkohorte (untersucht und diagnostiziert bis Anfang 2015) wurden bereits veröffentlicht [8]. Es wurde dargestellt, dass Allergien gegen Dentalmaterialien oder deren Bestandteile nur in 14% der Fälle zu den von den Patienten geäußerten subjektiven Beschwerden beitrugen [8].
Dies wirft die Frage auf, welche anderen Faktoren für die behaupteten Unverträglichkeiten gegenüber Dentalmaterialien in dieser Patientengruppe ursächlich sein könnten. Ziel der vorliegenden Studie war es daher, eine erweiterte Kohorte von 625 Patienten mit Verdacht auf Unverträglichkeiten gegenüber Dentalmaterialien (untersucht und diagnostiziert zwischen Ende 1998 und Mitte 2019) retrospektiv auf nicht-allergiebedingte dentale oder orofaziale Befunde mit Relevanz für ihre subjektiven Beschwerden zu untersuchen.
Material und Methoden
Studiendesign
In diese retrospektive Studie wurden die Daten aller Patienten eingeschlossen, die zwischen Ende 1998 und Mitte 2019 die Spezialsprechstunde für Unverträglichkeiten gegenüber Dentalmaterialien in der Poliklinik für Zahnerhaltung und Parodontologie des Universitätsklinikums Regensburg aufsuchten. Darüber hinaus gab es keine weiteren Ein- oder Ausschlusskriterien.
Diese 625 Patienten kamen aus eigener Initiative oder wurden von Zahnärzten aus der Region Ostbayern (Niederbayern und Oberpfalz) mit rund 2 Millionen Einwohnern in diese Spezialsprechstunde überwiesen. Alle Daten dieser Studie wurden retrospektiv erhoben und vollständig anonymisiert verarbeitet, sodass keine Zuordnung der Daten zur Identität eines einzelnen Patienten möglich war. Daher war für diese Art der retrospektiven Studie keine Genehmigung einer Ethikkommission erforderlich.
Medizinische Anamnese und klinische Untersuchungen
Die Patienten wurden in standardisierter Weise nach ihrer Krankengeschichte, ihrer Medikation und bekannten Allergien befragt. Zunächst wurden allgemeine (Allgemeingesundheit) und spezifische (Mundgesundheit) Anamnesen erhoben. Dazu zählten u.a. Informationen über Art, Ort und Zeitpunkt des Auftretens, sowie der Dauer der von den Patienten geäußerten subjektiven Beschwerden.
Allergien waren nicht das Hauptinteresse der vorliegenden Studie, werden aber der Vollständigkeit halber angegeben (zu den Methoden und detaillierten Ergebnissen siehe [8]). Zudem wurden eingehende extraorale und intraorale Untersuchungen und Fotodokumentationen durchgeführt, während Röntgenuntersuchungen (hauptsächlich Orthopantomogramme und Zahnfilme) nur bei begründeten medizinischen Indikationen vorgenommen wurden.
Die Ränder von festsitzendem Zahnersatz (FZ) wie Teilkronen, Kronen oder Doppelkronen wurden mit zahnärztlichen Sonden untersucht und Ränder als insuffizient beurteilt, wenn sie sondiert werden konnten (dichotome Entscheidungen auf der Grundlage einer Vereinfachung der von Felton et al. [11] festgelegten Kriterien). Herausnehmbarer Zahnersatz (HZ) wurde auf unzureichenden Halt, Schaukeln bei Druckbelastung, scharfe Kanten oder Druckstellen untersucht.
Jeder FZ und HZ wurde auch visuell auf Verarbeitungsfehler wie Korrosionsstellen, Lunker, Lötstellen, Perforationen, insuffiziente Goldbeschichtungen, schadhafte Verblendungen, unzureichende Unterfütterung, reizauslösende Schienungen usw. untersucht. Verarbeitungsfehler oder mechanische Irritationen wurden als relevant definiert, wenn sie in engem räumlichen und zeitlichen Zusammenhang mit den von den Patienten geäußerten subjektiven Beschwerden standen und nach der profunden klinischen Expertise der untersuchenden Zahnärztin als ursächlich für diese subjektiven Beschwerden angesehen werden konnten.
Die klinische Funktionsanalyse wurde nach dem Kurzanalyse-Screening für temporomandibuläre Störungen nach Krogh-Poulsen [12,13] durchgeführt. Dies beinhaltete die klinische Untersuchung und Befragung der Patienten hinsichtlich oraler parafunktioneller Gewohnheiten (wie Zungenpressen, Wangenbeißen, Mundatmung oder viszeralem Schluckmuster), Bruxismus, Pressen und Knirschen der Zähne, Attritionen, Schmerzen bei der Palpation der Kaumuskeln, Knacken oder Schmerzen im Kiefergelenk, Bissanomalien (z.B. Angle-Klasse II oder III, Progenie, Kreuzbiss), fehlende Okklusion (z.B. Nonokklusion, Infraokklusion), Verlust der vertikalen Kieferrelation, muskuläre Verspannungen oder Schmerzen im Nacken und Rücken sowie okklusale Interferenzen des Zahnersatzes (z.B. Frühkontakte).
Klinische Funktionsbefunde wurden als relevant erachtet, wenn sie in einem räumlichen und zeitlichen Zusammenhang mit den von den Patienten geäußerten subjektiven Beschwerden standen und nach der profunden klinischen Expertise der untersuchenden Zahnärztin als ursächlich für diese subjektiven Beschwerden angesehen werden konnten.
Gingiva, Mundschleimhaut und Zunge wurden visuell auf Veränderungen oder Pathologien im Zusammenhang mit orofazialen Erkrankungen (z.B. Leukoplakie, oraler Lichen planus, Anomalien der Zunge) untersucht. Um orofaziale Erkrankungen von plaquebedingten Befunden wie Gingivitis oder Prothesenstomatitis zu unterscheiden, wurde eine professionelle Zahnreinigung durchgeführt, und die Patienten wurden gebeten, mindestens eine Woche lang vor der erneuten Untersuchung mit einer chlorhexidindigluconathaltigen Mundspüllösung (0,2%) zu spülen.
Orofaziale Erkrankungen wurden als relevant definiert, wenn sie in engem räumlichen und zeitlichen Zusammenhang mit den von den Patienten geäußerten subjektiven Beschwerden standen und nach der profunden klinischen Erfahrung der untersuchenden Zahnärztin als ursächlich für diese subjektiven Beschwerden angesehen werden konnten.
Die Speichelfließrate wurde gemessen, indem man die Patienten über einen Zeitraum von 5 min den gesamten kaugummi-stimulierten Speichel sammeln ließ. Ein stimulierter Speichelfluss von ? 0,7 ml/min wurde als Hyposalivation angesehen [14]. Der Mundhygienezustand wurde anhand des Papillen-Blutungs-Index (PBI) beurteilt, wie von Saxer und Mühlemann beschrieben [15]. Alle klinischen Untersuchungen wurden von einer erfahrenen Zahnärztin (PM) mit mehr als 25 Jahren klinischer Erfahrung in der Untersuchung und Diagnose von Patienten mit Verdacht auf Unverträglichkeiten gegenüber Dentalmaterialien durchgeführt.
Datenanalyse
Die PBI-Daten wurden als Mediane einschließlich des 1. und 3. Quartils dargestellt. Alle anderen Daten wurden deskriptiv als Häufigkeitstabellen dargestellt. Es wurden ?2-Tests zum Vergleich aller Patienten und der Patienten mit den häufigsten subjektiven Beschwerden (d.h. Mundbrennen, Geschmacksstörungen, Mundtrockenheit) für jede relevante erhobene dentale oder orofaziale Diagnose durchgeführt. Alle Berechnungen und statistischen Analysen wurden mit SPSS, v. 25 (SPSS Inc., Chicago, IL, USA) durchgeführt.
Ergebnisse
Patientencharakteristika
Von den 625 Patienten in dieser Studie waren 505 weiblich (80,8%) und 120 männlich (19,2%). Das mediane Alter aller Patienten betrug 58 Jahre (1. Quartil: 50; 3. Quartil: 66). Bei 579 (92,6%) der 625 Patienten konnte eine vollständige Untersuchung durchgeführt werden. Bei den verbleibenden 46 Patienten konnte der PBI nicht gemessen werden, da diese Patienten entweder zahnlos waren, die Messung verweigerten oder an Erkrankungen litten (z.B. Z.n. Herzklappentransplantationen), die gegen eine PBI-Messung ohne vorbeugende systemische Antibiose sprachen. Der mediane PBI wurde bei den verfügbaren 579 Patienten mit 40,0% (1. Quartil: 29,6%; 3. Quartil: 52,5%) ermittelt.
Subjektive Beschwerden
Die Tabelle 1 zeigt die häufigsten subjektiven Beschwerden, die von den Patienten geäußert wurden. 2,1% der Patienten berichteten über keine subjektiven Beschwerden, z.B. wegen Abklingen der Beschwerden vor ihrem Termin in unserer Spezialsprechstunde. Die am häufigsten genannten subjektiven Beschwerden waren Mundbrennen (43,8%), Geschmacksstörungen (d. h. metallischer, saurer, bitterer, salziger, süßer oder verminderter Geschmack; 28,8%), Mundtrockenheit (22,7%), Zahn-/Kieferschmerzen (20,3%), Gingivitis (17,1%) und Parästhesien (14,1%).
Universitätsklinikum Regensburg (UKR)
Die Liste der subjektiven Beschwerden, die von weniger als 3% der Patienten geäußert wurden, umfasste 117 Einträge, z.B. Sprachstörungen, Probleme mit den Augen, Schlafstörungen, Haarausfall, Nervosität, Angstzustände oder Vergesslichkeit. 83 Patienten (13,3%) berichteten über eine subjektive Beschwerde, 154 (24,6%) über 2, 125 (20,0%) über 3, 110 (17,6%) über 4 und 140 Patienten (22,4%) über 5 oder mehr (bis zu 12) subjektive Beschwerden.
Relevante dentale und orofaziale Befunde
Tabelle 2 fasst die dentalen und orofazialen Befunde zusammen, die für die von den Patienten geäußerten subjektiven Beschwerden als relevant diagnostiziert wurden. Bei 175 Patienten (28,0%) konnte kein relevanter dentaler oder orofazialer Befund diagnostiziert werden. Bei 307 Patienten (48,8%) wurde 1 relevanter dentaler oder orofazialer Befund diagnostiziert, während bei 115 Patienten (18,7%) 2, bei 26 Patienten (4,2%) 3 und bei 2 Patienten (0,3%) 4 Befunde festgestellt wurden.
Die am häufigsten gefundenen dentalen oder orofazialen Befunde mit klinischer Relevanz für die von den 625 Patienten geäußerten subjektiven Beschwerden waren Funktionsbefunde (diagnostiziert bei 19,8% der Patienten), orofaziale Erkrankungen (16,2%) und mechanische Irritationen durch FZ oder HZ (15,2%). Allergien wurden bei 12,3% der Patienten festgestellt. Auf zahn- und plaquebedingte Befunde entfielen 10,1% bzw. 9,4%, während Hyposalivation bei 9,4% der Patienten diagnostiziert wurde. Einschlägige Verarbeitungsfehler von HZ oder FZ wurden bei 7,2% der Patienten festgestellt.
Tabelle 2 fasst außerdem die zahnmedizinischen und orofazialen Befunde zusammen, die bei Patienten, die über Mundbrennen, Geschmacksstörungen oder Mundtrockenheit klagten, als relevant erachtet wurden, da dies die drei häufigsten subjektiven Beschwerden waren (siehe Tabelle 1).
Universitätsklinikum Regensburg (UKR)
Im Vergleich zur Gesamtkohorte von 625 Patienten wiesen die Patienten, die über Mundbrennen klagten, signifikant häufiger relevante Funktionsbefunde und Hyposalivation und signifikant seltener zahnbezogene Befunde auf. Bei Patienten, die über Geschmacksstörungen klagten, wurden signifikant häufiger relevante Funktionsbefunde und Verarbeitungsfehler von FZ oder HZ diagnostiziert, während orofaziale Erkrankungen, zahn- und plaquebezogene Symptome signifikant seltener gefunden wurden. Patienten, die über Mundtrockenheit klagten, hatten signifikant weniger Allergien, aber signifikant mehr Funktionsbefunde und Hyposalivation.
Funktionsbefunde
Von 124 Patienten (19,8% der 625 Patienten), bei denen relevante Funktionsbefunde diagnostiziert wurden, hatten 58 Patienten (46,8%) keine weitere relevante dentale oder orofaziale Diagnose, während bei 66 (53,2%) mindestens eine weitere relevante dentale oder orofaziale Diagnose festgestellt wurde (meist Hyposalivation, mechanisch verursachte Irritationen und orofaziale Erkrankungen).
Universitätsklinikum Regensburg (UKR)
Universitätsklinikum Regensburg (UKR)
Orofaziale Erkrankungen
Von 101 Patienten (16,2% der 625 Patienten), bei denen relevante orofaziale Erkrankungen diagnostiziert wurden, wiesen 57 Patienten (56,4%) keine weitere relevante dentale oder orofaziale Diagnose auf, während 44 (43,6%) mindestens eine weitere relevante dentale oder orofaziale Diagnose hatten (meist Funktionsbefunde, Hyposalivation und mechanische Irritationen).
Universitätsklinikum Regensburg (UKR)
Tabelle 4 fasst alle diagnostizierten orofazialen Erkrankungen zusammen, wobei Anomalien der Zunge (5,1%) und oraler Lichen planus (5,1%) am häufigsten gefunden wurden. Abbildung 2 zeigt klinische Beispiele für relevante orofaziale Erkrankungen.
Universitätsklinikum Regensburg (UKR)
Mechanische Irritationen
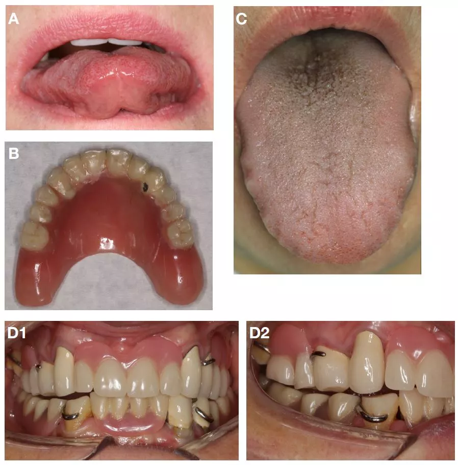
Von den 95 Patienten (15,2% der 625 Patienten), die relevante mechanische Irritationen durch FZ und HZ aufwiesen, hatten 28 (29,5%) keine andere relevante zahnmedizinische oder orofaziale Diagnose, während 67 (70,5%) mindestens eine andere relevante dentale oder orofaziale Diagnose aufwiesen (meist funktionelle Symptome, plaquebezogene Symptome und Verarbeitungsfehler).
Universitätsklinikum Regensburg (UKR)
Tabelle 5 zeigt alle relevanten mechanischen Irritationen, wobei unzureichender Randschluss von FZ (7,7%), unzureichender Halt von HZ (5,0%) oder Schaukeln von HZ bei Druckbelastung (4,3%) am häufigsten festgestellt wurden. Abbildung 3 zeigt klinische Beispiele für relevante mechanische Irritationen durch FZ und HZ.
Universitätsklinikum Regensburg (UKR)
Allergien
72 (93,5%) von 77 Patienten, bei denen eine relevante Allergie gegen ein per Patch-Test diagnostiziertes Dentalwerkstoffallergen festgestellt wurde (12,3% aller Patienten), wiesen keine andere relevante dentale oder orofaziale Diagnose auf. Einzelheiten zu diesem Aspekt wurden bereits früher vorgestellt [8].
Universitätsklinikum Regensburg (UKR)
Dentale Befunde
Von 63 Patienten (10,1% der 625 Patienten), bei denen relevante dentale Befunde wie Karies, endodontische oder parodontale Befunde diagnostiziert wurden, hatten 32 Patienten (50,8%) keine weitere relevante dentale oder orofaziale Diagnose, während bei 31 (49,2%) mindestens eine weitere relevante dentale oder orofaziale Diagnose gefunden wurde (meist Funktionsbefunde, orofaziale Erkrankungen und plaquebezogene Befunde). Abbildung 4 zeigt klinische Beispiele für relevante zahnbezogene Symptome.
Universitätsklinikum Regensburg (UKR)
Plaquebedingte Befunde
Von 59 Patienten (9,4% der 625 Patienten), bei denen relevante plaquebedingte Befunde wie Gingivitis oder Prothesenstomatitis diagnostiziert wurden, hatten 25 Patienten (42,4%) keine weitere relevante dentale oder orofaziale Diagnose, während 34 (57,6%) mindestens eine weitere relevante dentale oder orofaziale Diagnose aufwiesen (meist mechanische Irritationen, Funktionsbefundeund dentale Befunde). Abbildung 5 zeigt ein klinisches Beispiel für ein relevantes plaquebezogenes Symptom.
Hyposalivation
Von 59 Patienten (9,4% der 625 Patienten), bei denen Hyposalivation diagnostiziert wurde, hatten 18 Patienten (30,5%) keine weitere relevante dentale oder orofaziale Diagnose, während 69,5% mindestens eine weitere relevante dentale oder orofaziale Diagnose hatten (meist Funktionsbefunde, orofaziale Erkrankungen und mechanische Irritationen).
Verarbeitungsfehler
Von 45 Patienten (7,2% der 625 Patienten), bei denen relevante Verarbeitungsfehler von FZ oder HZ diagnostiziert wurden, hatten 17 Patienten (37,8%) keine weitere relevante dentale oder orofaziale Diagnose, während 28 (62,2%) mindestens eine weitere relevante dentale oder orofaziale Diagnose aufwiesen (meist mechanische Irritationen, Hyposalivation und plaquebedingte Befunde).
Universitätsklinikum Regensburg (UKR)
Tabelle 6 fasst alle relevanten Verarbeitungsfehler zusammen, wobei Korrosionsstellen oder Lunker (3,0%), Lötstellen (2,9%) und Perforationen (1,4%) am häufigsten gefunden wurden.
Universitätsklinikum Regensburg (UKR)
Abbildung 6 zeigt klinische Beispiele für relevante Verarbeitungsfehler.
Danksagung
Ella Merkl und Petra Fancso danken wir für ihre engagierte Unterstützung bei den klinischen Untersuchungen aller 625 Patienten.
Beiträge der Autoren
Alle Autoren konzipierten und gestalteten die Studie. Pauline Mittermüller führte alle klinischen Untersuchungen durch. Karl Anton Hiller, Pauline Mittermüller, Fabian Cieplik, Gottfried Schmalz und Wolfgang Buchalla werteten die Daten aus. Fabian Cieplik verfasste das Manuskript mit Unterstützung aller Autoren. Alle Autoren prüften und genehmigten das Manuskript.
Die Autoren
Fabian Cieplika, Poliklinik für Zahnerhaltung und Parodontologie, Universitätsklinikum Regensburg.
Karl-Anton Hiller, Poliklinik für Zahnerhaltung und Parodontologie, Universitätsklinikum Regensburg.
Gottfried Schmalz, Poliklinik für Zahnerhaltung und Parodontologie, Universitätsklinikum Regensburg und Klinik für Parodontologie, Fakultät für Zahnmedizin, Universität Bern.
Pauline Mittermüller, Poliklinik für Zahnerhaltung und Parodontologie, Universitätsklinikum Regensburg.
Wolfgang Buchalla, Poliklinik für Zahnerhaltung und Parodontologie, Universitätsklinikum Regensburg.
Pauline Mittermüller und Wolfgang Buchalla teilen sich die Letztautorenschaft.
Bildquellen sofern nicht anders deklariert: Unternehmen, Quelle oder Autor/-in des Artikels
Entdecke CME Artikel





Keine Kommentare.